Sign in to use this feature.

Years

Between: -

Subjects

remove_circle_outline
remove_circle_outline
remove_circle_outline
remove_circle_outline
remove_circle_outline
remove_circle_outline
remove_circle_outline
remove_circle_outline
remove_circle_outline

Journals

remove_circle_outline
remove_circle_outline
remove_circle_outline
remove_circle_outline
remove_circle_outline
remove_circle_outline
remove_circle_outline
remove_circle_outline
remove_circle_outline
remove_circle_outline
remove_circle_outline
remove_circle_outline
remove_circle_outline
remove_circle_outline
remove_circle_outline
remove_circle_outline
remove_circle_outline
remove_circle_outline
remove_circle_outline
remove_circle_outline
remove_circle_outline
remove_circle_outline
remove_circle_outline
remove_circle_outline

Article Types

Countries / Regions

remove_circle_outline
remove_circle_outline
remove_circle_outline
remove_circle_outline
remove_circle_outline

Search Results (3,267)

Search Parameters:
Keywords = IBD

Order results
Result details
Results per page
Select all
Export citation of selected articles as:
13 pages, 1298 KB  
Article
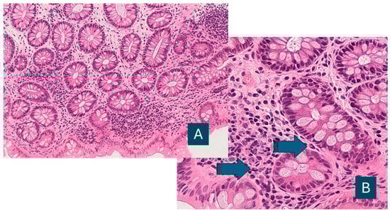
Sampling Extension, Chronic Infiltrates, and Eosinophils: Support for the Evaluation of Histological Healing in Inflammatory Bowel Disease with Endoscopic Remission
by Gabriella Canavese, Enrico Costantino Falco and Davide Giuseppe Ribaldone
Diagnostics 2026, 16(5), 739; https://doi.org/10.3390/diagnostics16050739 (registering DOI) - 2 Mar 2026
Abstract
Background/Objectives: Histological healing, primarily assessed by the absence of neutrophils in mucosal biopsies, is increasingly used to evaluate treatment efficacy in inflammatory bowel disease (IBD) and may identify residual inflammation despite endoscopic mucosal healing. We aimed to quantify histological parameters commonly linked to [...] Read more.
Background/Objectives: Histological healing, primarily assessed by the absence of neutrophils in mucosal biopsies, is increasingly used to evaluate treatment efficacy in inflammatory bowel disease (IBD) and may identify residual inflammation despite endoscopic mucosal healing. We aimed to quantify histological parameters commonly linked to active disease in patients with endoscopic healing and to explore their association with neutrophil-defined histologic activity in endoscopically healed mucosa. Methods: We assessed 371 colonoscopies from IBD patients with an endoscopic report of mucosal healing at a reference center. For each procedure, we recorded the number of biopsy samples obtained and histologic features according to ECCO consensus/position statements, including neutrophil infiltration, lymphoplasmacytic infiltrate, eosinophil infiltrate, and mucosal lesions. Results: Histologic activity was found in 21/98 (21.4%) procedures with one to three biopsy samples and in 89/273 (32.6%) procedures with more than three samples (p = 0.04). Neutrophils were absent in 207/212 (97.6%) procedures with normal lymphoplasmacytic infiltrate versus 55/159 (34.6%) with increased lymphoplasmacytic infiltrate (p < 0.00001). Eosinophils were below cut-off values in 122/168 (72.6%) procedures with normal lymphoplasmacytic infiltrate versus 90/203 (44.3%) with increased lymphoplasmacytic infiltrate (p < 0.00001). Eosinophils were below cut-off in 148/168 (88.1%) procedures without neutrophils and in 114/203 (56.2%) with neutrophils in the lamina propria (p < 0.00001). Conclusions: In IBD patients with endoscopic healing, the extent of biopsy sampling is associated with the detection of histologic activity. Lymphoplasmacytic and eosinophil infiltrates are strongly associated with neutrophil presence and are associated with neutrophil-defined activity and may serve as supportive indicators prompting closer pathological assessment in endoscopically healed mucosa. Full article
Show Figures

Figure 1

32 pages, 2752 KB  
Review
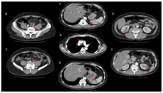
Arterial Thrombosis in Severe Ulcerative Colitis: A Case-Based Narrative Review of Current Evidence
by Djordje Kralj, Mladen Maksic, Tamara Knezevic Ivankovska, Olga Odanovic, Tijana Maksic, Tijana Gmizic, Zeljko Ivosevic, Dusan Radojevic, Lejla Suljic, Nevena Todorovic, Natasa Zdravkovic, Irfan Corovic and Srdjan Markovic
Biomedicines 2026, 14(3), 559; https://doi.org/10.3390/biomedicines14030559 (registering DOI) - 28 Feb 2026
Viewed by 46
Abstract
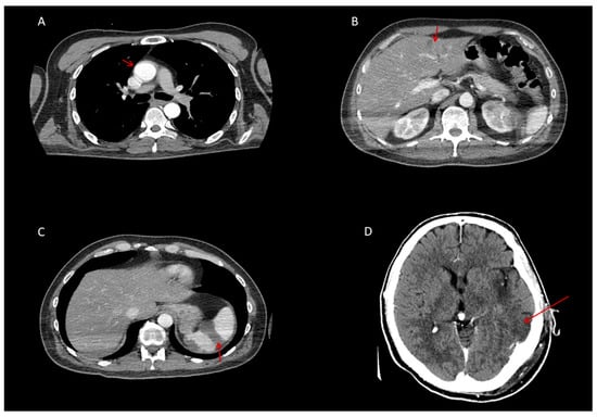
Inflammatory bowel disease is a recognized risk factor for venous thromboembolism, whereas arterial thrombotic events remain underappreciated despite their substantial clinical consequences. We report a 45-year-old man without significant comorbidities who developed severe ulcerative colitis complicated by diffuse arterial thrombosis, including cerebral infarctions, [...] Read more.
Inflammatory bowel disease is a recognized risk factor for venous thromboembolism, whereas arterial thrombotic events remain underappreciated despite their substantial clinical consequences. We report a 45-year-old man without significant comorbidities who developed severe ulcerative colitis complicated by diffuse arterial thrombosis, including cerebral infarctions, an ascending aortic mural thrombus, iliac artery thrombosis, and multi-organ infarctions. After stabilization with supportive care and anticoagulation, remission-directed ulcerative colitis therapy and a vascular safety–oriented maintenance strategy were initiated, including vedolizumab and individualized secondary thrombosis prevention. To contextualize this presentation, we integrate current evidence on the epidemiology, clinical phenotypes, underlying mechanisms, and risk factors for arterial thrombosis in inflammatory bowel disease, highlight disease activity as a dominant trigger, and summarize therapy-specific vascular safety considerations across IBD treatment classes. Full article
(This article belongs to the Section Molecular and Translational Medicine)
Show Figures

Graphical abstract

20 pages, 888 KB  
Article
A Randomised Controlled Trial Comparing the Effects of Personalised Diet and Physical Activity Intervention Versus Usual Care on Cardiometabolic Risk Factors in Adults with Inactive Inflammatory Bowel Disease
by Jia Min Yap, Catherine L. Wall, Kim Meredith-Jones, Ella Iosua, Hamish Osborne and Michael Schultz
Nutrients 2026, 18(5), 785; https://doi.org/10.3390/nu18050785 - 27 Feb 2026
Viewed by 76
Abstract
Background: Adults with inflammatory bowel disease (IBD) have a high prevalence of modifiable cardiometabolic risk factors. This study investigates the impact of a personalised diet and physical activity intervention versus usual care on the risk factors. Methods: A 6-month randomised controlled [...] Read more.
Background: Adults with inflammatory bowel disease (IBD) have a high prevalence of modifiable cardiometabolic risk factors. This study investigates the impact of a personalised diet and physical activity intervention versus usual care on the risk factors. Methods: A 6-month randomised controlled trial was conducted at three hospitals in New Zealand (NZ) from 2023 to 2024. Adults with IBD in remission, a body mass index >25 kg/m2, and a low fibre intake <25 g/day were recruited. Participants were randomised to receive either generic healthy eating and physical activity education or personalised heart-healthy eating education based on the NZ Heart Foundation and a self-led physical activity program. The primary outcome was change in body fat, and secondary outcomes included disease activity, biomarkers, quality of life, physical activity, and dietary intake. Between-group differences were analysed using multivariable regression. Results: Sixty-four participants were randomised, and 51 (80%) completed the intervention. The median age was 47 years (LQ,UQ: 37, 55), 59% participants were female, 61% had Crohn’s disease, and 85% had faecal calprotectin <150 µg/g. Common cardiometabolic risks were high waist circumference (88%) and abnormal lipid profile (56%). There were no significant differences in primary or secondary outcomes except for dietary intakes: increased fruit (0.5 serves/day; 95% CI: 0.1, 1.0) and dietary fibre (3.1 g/1000 kcal/day; 95% CI: 1.1, 5.1); reduced discretionary food and drink (−1.7 serves/day; 95% CI: −3.0,−0.3), and sodium (−911 mg/day; 95% CI: −1783,−40). Conclusions: Personalised dietitian advice led to meaningful dietary changes without exacerbating disease activity. More intensive activity modalities can be recommended to support body composition improvements. Full article
20 pages, 1032 KB  
Article
Elevated Serum Adiponectin Levels in Primary Sclerosing Cholangitis (PSC) Compared to Inflammatory Bowel Disease (IBD): A Potential Biomarker for PSC-IBD Screening
by Tanja Elger, Muriel Huss, Johanna Loibl, Patricia Mester, Andreas Albert, Arne Kandulski, Martina Müller, Hauke Christian Tews and Christa Buechler
Livers 2026, 6(2), 15; https://doi.org/10.3390/livers6020015 - 27 Feb 2026
Viewed by 140
Abstract
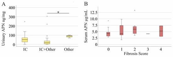
Background/Objectives: Systemic levels of the adipokine adiponectin are elevated in chronic liver disease including primary sclerosing cholangitis (PSC). Inflammatory bowel disease (IBD) and PSC are closely associated diseases, but in IBD serum adiponectin levels are near normal. Urinary and fecal biomarkers have [...] Read more.
Background/Objectives: Systemic levels of the adipokine adiponectin are elevated in chronic liver disease including primary sclerosing cholangitis (PSC). Inflammatory bowel disease (IBD) and PSC are closely associated diseases, but in IBD serum adiponectin levels are near normal. Urinary and fecal biomarkers have been suggested to be superior to the corresponding serum protein for disease diagnosis, but urinary and fecal adiponectin have not been analyzed in PSC. The aim of this study was to evaluate the adiponectin in human serum, urine, and feces as a potential diagnostic tool for PSC. Methods: Serum and urine samples were collected from 74 IBD patients, 40 PSC patients (35 patients with PSC and IBD (16 patients for urine) and 5 patients with PSC without underlying IBD), and 17 controls. Feces samples from 53 IBD patients and 11 PSC patients (8 of them with PSC-IBD) were available for this study. Adiponectin levels were analyzed by enzyme-linked immunosorbent assay. Results: Urinary and serum adiponectin levels in IBD patients and controls were comparable. Urinary, fecal and serum adiponectin in patients with ulcerative colitis and Crohn’s disease were similar and did not change, even with higher fecal calprotectin, a marker of intestinal inflammation in IBD. The three IBD patients with a high Gastrointestinal Symptom Rating Scale score as a marker for clinical activity had highly elevated urinary adiponectin. Systemic adiponectin levels were significantly elevated in the PSC-IBD cohort relative to the IBD-only group, suggesting its potential utility in clinical screening. Urinary and fecal adiponectin levels were similar between the cohorts. In PSC/PSC-IBD, serum adiponectin did not increase with higher fibrosis scores. Serum, urine, and fecal adiponectin were not correlated in both patient cohorts, except for a negative association of fecal and urine adiponectin in PSC. Conclusions: This exploratory study revealed preliminary findings suggesting an association between urinary adiponectin and severe gastrointestinal symptoms in IBD. In PSC-IBD, serum adiponectin is higher compared to IBD patients and continuous measurement may be used for PSC-IBD screening. Full article
Show Figures

Figure 1

26 pages, 1061 KB  
Review
Are All Cells Created Equal? Novel Cell-Based Regenerative Therapies in Inflammatory Bowel Disease
by Adam R. Peterson, Peter J. Eggenhuizen, Poh-Yi Gan, Charlotte Keung, Joshua Ooi, Gregory T. Moore and Rimma Goldberg
Int. J. Mol. Sci. 2026, 27(5), 2205; https://doi.org/10.3390/ijms27052205 - 26 Feb 2026
Viewed by 81
Abstract
Regenerative medicine, and in particular cell-based therapies, are under investigation as therapeutics in the management of inflammatory bowel disease, where despite significant advancements in management, prolonged remission is achieved in less than half of patients experiencing these disorders. In contrast to conventional immunomodulatory [...] Read more.
Regenerative medicine, and in particular cell-based therapies, are under investigation as therapeutics in the management of inflammatory bowel disease, where despite significant advancements in management, prolonged remission is achieved in less than half of patients experiencing these disorders. In contrast to conventional immunomodulatory medications, these therapies are hypothesised to act through multiple pathways including via regenerative mechanisms, which may enable them to break through the current therapeutic ceiling. Potential therapy candidates include mesenchymal stem cells, human amnion epithelial cells, and regulatory T-cells, as well as their derivatives including extracellular vesicles. Extensive preclinical studies have demonstrated the multi-modal nature of these therapies as well as shared and unique properties. Controversy remains regarding contradictory study outcomes and the efficacy of regenerative therapies in human trials. In this narrative review, we first examine the mechanisms of these candidate cell therapies, including signalling via cytokines and extracellular vesicles, and interactions with immune cells, stromal cells, and the microbiome to determine differences and similarities between them. The second part delves into the current state of regenerative and cell-based therapy, focusing on mesenchymal stem cell, human amnion epithelial cell, T regulatory cells, and their respective extracellular vesicles in IBD treatment. Finally, we close by identifying the major literature gaps and barriers to bringing regenerative medicines to clinical use, resulting in recommendations for future research. Full article
(This article belongs to the Special Issue Pathogenesis and Molecular Therapy of Inflammatory Bowel Disease)
25 pages, 634 KB  
Systematic Review
Prevalence of Comorbidities in Inflammatory Bowel Disease: An Umbrella Review of 18 Systematic Reviews
by Lupita Ana Maria Valladolid-Sandoval, Jhosmer Ballena-Caicedo, Fiorella E. Zuzunaga-Montoya, Darwin A. León-Figueroa, Percy Ordemar Vásquez, Mario J. Valladares-Garrido and Víctor Juan Vera-Ponce
J. Clin. Med. 2026, 15(5), 1739; https://doi.org/10.3390/jcm15051739 - 25 Feb 2026
Viewed by 175
Abstract
Background: Inflammatory bowel disease (IBD) is associated with numerous extraintestinal manifestations and systemic comorbidities; however, the certainty of prevalence estimates across multiple organ systems has not been systematically evaluated. Objective: To synthesize evidence from systematic reviews on the prevalence of comorbidities in patients [...] Read more.
Background: Inflammatory bowel disease (IBD) is associated with numerous extraintestinal manifestations and systemic comorbidities; however, the certainty of prevalence estimates across multiple organ systems has not been systematically evaluated. Objective: To synthesize evidence from systematic reviews on the prevalence of comorbidities in patients with inflammatory bowel disease (IBD) and to assess the certainty of estimates through an umbrella review. Methods: In this umbrella review, we included systematic reviews reporting the prevalence of comorbidities in adults with IBD and their confidence intervals. Methodological quality was assessed using AMSTAR-2 and ROBIS, while statistical heterogeneity and certainty of evidence were evaluated using GRADE adapted for prevalence studies. Results: Eighteen systematic reviews published between January 2014 and September 2025 were included. The highest prevalences were sexual dysfunction 50.6% (95% CI 40.8–60.5), fecal incontinence in Crohn’s disease 34.8% (27.9–41.9), non-alcoholic fatty liver disease 32% (24–40), anemia 24% (18–31), and ≥1 extraintestinal manifestation 24% (19–31). Only four comorbidities achieved moderate certainty: primary sclerosing cholangitis 2.16% (1.76–2.60), uveitis 2.38% (1.60–3.17), hepatitis B 3.3% (2.5–4.0), and hepatitis C 1.8% (1.2–2.4). Prevalence rates varied significantly by IBD subtype, geographic region, and diagnostic method. Heterogeneity was consistently high (I2 > 90%), and certainty was predominantly low or very low. Conclusions: Comorbidities in IBD are frequent, with prevalences ranging from 1.8% to 50.6%, highlighting the importance of comorbidity awareness in clinical practice. However, the certainty of evidence is predominantly low or very low due to extreme methodological heterogeneity. These findings underscore the urgent need for studies with standardized diagnostic methods and robust statistical approaches to strengthen the evidence base and establish evidence-based surveillance protocols. Full article
(This article belongs to the Section Gastroenterology & Hepatopancreatobiliary Medicine)
Show Figures

Figure 1

32 pages, 1055 KB  
Review
The Evolving Landscape of Advanced Therapies in Inflammatory Bowel Disease: Current Evidence and Emerging Targets
by Daniele Balducci, Marta Mosca, Sabrina Monaco, Susanna Faenza, Stefano Fabiani, Fabio Cortellini, Nicola Cesaro, Gianpiero Stefanelli, Salvatore Paba, Maddalena Pecchini, Michele Montori and Marco Valvano
Gastrointest. Disord. 2026, 8(1), 13; https://doi.org/10.3390/gidisord8010013 - 24 Feb 2026
Viewed by 213
Abstract
Background: Inflammatory bowel diseases (IBD), including Crohn’s disease (CD) and ulcerative colitis (UC), are chronic conditions that affect the gastrointestinal tract. Since the initial approval of infliximab (IFX), a monoclonal antibody targeting TNF-α, numerous novel therapeutic targets have been identified, and many [...] Read more.
Background: Inflammatory bowel diseases (IBD), including Crohn’s disease (CD) and ulcerative colitis (UC), are chronic conditions that affect the gastrointestinal tract. Since the initial approval of infliximab (IFX), a monoclonal antibody targeting TNF-α, numerous novel therapeutic targets have been identified, and many new therapies have been approved for the treatment of IBD. Methods: We conducted a narrative review of the literature using major biomedical databases, including EMBASE, Scopus, PubMed, CENTRAL, and ClinicalTrials.gov (last search date: 10 December 2025). Results: This review summarizes the current evidence on therapies approved for IBD (both CD and UC) and provides an overview of investigational agents currently being evaluated in ongoing phase II and III clinical trials. Conclusions: Moderate optimism arises from the expanding array of therapeutic targets under investigation and from emerging treatment strategies. However, only through a deeper understanding of the pathophysiological mechanisms underlying IBD will substantial improvements in treatment outcomes be achieved for conditions that continue to impose a significant burden on patients’ quality of life. Full article
(This article belongs to the Special Issue Novel Therapies for the Treatment of Inflammatory Bowel Disease)
Show Figures

Figure 1

14 pages, 938 KB  
Article
Characteristics, Complications, Comorbidities, and Other Manifestations of Inflammatory Bowel Disease: A 7-Year Tertiary Center Experience
by Waleed Alharbi, Turki Alasmari, Najla Al Rasheed, Jamila A. Alonazi, Naif K. Alaqil, Meshari Al Samih, Nawaf S. Alzahrani, Abdulaziz Bin Akrish and Soliman Alaraidh
Clin. Pract. 2026, 16(3), 45; https://doi.org/10.3390/clinpract16030045 - 24 Feb 2026
Viewed by 98
Abstract
Background/Objectives: Inflammatory bowel disease (IBD) is associated with significant morbidity worldwide. While global epidemiological trends are well-documented, data on the clinical and demographic characteristics of IBD patients in Saudi Arabia remain limited. This study aimed to evaluate the distribution of multimorbidity among [...] Read more.
Background/Objectives: Inflammatory bowel disease (IBD) is associated with significant morbidity worldwide. While global epidemiological trends are well-documented, data on the clinical and demographic characteristics of IBD patients in Saudi Arabia remain limited. This study aimed to evaluate the distribution of multimorbidity among IBD patients in a tertiary Saudi hospital and assess associated clinical features and outcomes. Methods: A retrospective cross-sectional study of IBD patients treated at the National Guard Hospital over a seven-year period was conducted. Data on demographics, body mass indices (BMIs), hospitalizations, comorbidities, complications, and surgical interventions were extracted from medical records. Associations between categorical and continuous variables were analyzed using chi-square and t-tests, respectively, with significance being set to p < 0.05. Results: A total of 465 patients were included: 54.6% had Crohn’s disease (CD) and 45.4% had ulcerative colitis (UC). CD predominated in males (60.6%), while UC was more common in females (55.5%, p = 0.001). BMI distribution differed significantly between groups (p = 0.004). Hospital admission rates and length of stay were higher among CD patients (p = 0.032). CD patients experienced greater complication rates, including fistulas (41.3% vs. 7.1%, p < 0.001) and strictures (26.1% vs. 1.4%, p < 0.001). Surgical interventions such as fistulotomy (4.3% vs. 0.5%, p = 0.009) and stricturoplasty (9.1% vs. 1.9%, p = 0.001) were more frequent in patients with CD. Conclusions: This study characterizes IBD patients in Saudi Arabia, highlighting gender differences, BMI variations, and the greater severity of CD compared with UC. The higher rates of complications and surgical interventions among CD patients emphasize the need for tailored management strategies. Future prospective studies are warranted to investigate disease progression and optimize care for this population. Full article
Show Figures

Figure 1

9 pages, 2191 KB  
Case Report
The Development of Sarcoidosis in an Ulcerative Colitis Patient Treated with Vedolizumab: A Case Report and Review of the Literature
by John K. Triantafillidis, Konstantinos Malgarinos, Loukas Kaklamanis, Emmanouil Kritsotakis, Victoria Polydorou, Konstantinos Pantos, Konstantinos Sfakianoudis, Agni Pantou, Konstantinos Bramis, Manousos M. Konstantoulakis and Apostolos E. Papalois
Clin. Pract. 2026, 16(2), 44; https://doi.org/10.3390/clinpract16020044 - 23 Feb 2026
Viewed by 138
Abstract
Background: Ulcerative colitis (UC) and sarcoidosis are chronic inflammatory diseases that share immunological pathways but rarely coexist. The increasing use of biologic agents in inflammatory bowel disease (IBD) has raised concerns regarding paradoxical inflammatory manifestations, including sarcoidosis-like reactions. Case presentation: We report the [...] Read more.
Background: Ulcerative colitis (UC) and sarcoidosis are chronic inflammatory diseases that share immunological pathways but rarely coexist. The increasing use of biologic agents in inflammatory bowel disease (IBD) has raised concerns regarding paradoxical inflammatory manifestations, including sarcoidosis-like reactions. Case presentation: We report the case of a 63-year-old man with long-standing UC treated with vedolizumab who developed systemic sarcoidosis characterized by bilateral hilar lymphadenopathy, mediastinal and abdominal lymph node enlargement, pulmonary involvement, and erythema nodosum. Extensive diagnostic work-up, including imaging and histopathology, confirmed non-necrotizing granulomatous disease consistent with sarcoidosis, while alternative infectious, malignant, and drug-induced causes were excluded. Vedolizumab was temporarily discontinued, leading to UC relapse, and subsequently reintroduced with rapid clinical remission of UC. Discussion: Sarcoidosis remained clinically and radiologically stable despite vedolizumab re-initiation, suggesting a coincidental association rather than a direct causal relationship. This case highlights the diagnostic challenges and therapeutic dilemmas in patients with immune-mediated diseases receiving biologic therapy. Conclusion: The coexistence of UC and sarcoidosis during vedolizumab therapy is rare. Although causality cannot be established, our findings suggest that vedolizumab may be safely continued in selected patients under close multidisciplinary monitoring. Full article
Show Figures

Figure 1

20 pages, 3857 KB  
Article
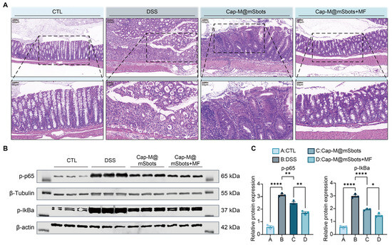
Collective Magnetic Mesoporous Silica Nanorobots for Targeted Oral Capsaicin Delivery in Colitis Intervention
by Hongyue Zhang, Yuzhu Di, Lubo Jin, Shuai Yang, Zesheng Li and Bo Qu
Micromachines 2026, 17(2), 272; https://doi.org/10.3390/mi17020272 - 22 Feb 2026
Viewed by 188
Abstract
Magnetic nanoparticles, with their excellent biocompatibility and biodegradability, serve as ideal materials for constructing targeted drug delivery systems. Iron oxide (Fe3O4) nanoparticles, controllably prepared via methods such as solvothermal synthesis, can be combined with mesoporous silica to construct magnetically [...] Read more.
Magnetic nanoparticles, with their excellent biocompatibility and biodegradability, serve as ideal materials for constructing targeted drug delivery systems. Iron oxide (Fe3O4) nanoparticles, controllably prepared via methods such as solvothermal synthesis, can be combined with mesoporous silica to construct magnetically steerable nanorobots. Such robots enable efficient drug loading and precise delivery. To address challenges in the treatment of Inflammatory Bowel Disease (IBD), including the significant side effects of systemic drugs and the low oral bioavailability and poor colonic targeting of novel food-derived drugs (e.g., capsaicin with anti-inflammatory activity), this study designed capsaicin-loaded iron oxide-mesoporous silica composite nanorobots (Cap-M@mSbots). Driven by a rotating gradient magnetic field of up to 80 mT, Cap-M@mSbots achieve large-scale emergent collective locomotion, with a maximum collective locomotion velocity reaching 180.7 μm/s, and are capable of long-distance movement overcoming millimeter-scale obstacles. This system can be actively propelled to colonic lesion sites under magnetic guidance, achieving targeted drug enrichment and sustained release, thereby offering a novel strategy for the targeted therapy of IBD. Full article
(This article belongs to the Special Issue Recent Study and Progress in Micro/Nanorobots)
Show Figures

Figure 1

22 pages, 408 KB  
Review
Confocal Laser Endomicroscopy: Real-Time Histology at the Fingertips: A Comprehensive Review of Current Applications of Endomicroscopy in Barrett Esophagus, Inflammatory Bowel Disease, and Colorectal Lesions
by Eyad Gadour, Bogdan Miutescu, Abed Al-Lehibi, Mustafa Mohamed, Emad Aljahdli, Mohammed Albeshir, Alexandru Popa, Bodour Raheem and Antonio Facciorusso
Medicina 2026, 62(2), 415; https://doi.org/10.3390/medicina62020415 - 22 Feb 2026
Viewed by 289
Abstract
Confocal laser endomicroscopy (CLE) is an innovative diagnostic modality that facilitates real-time in vivo optical biopsies of various tissues within luminal and ductal structures. Since its introduction in 2004, the application of this tool has broadened from diagnostic purposes to encompass management and [...] Read more.
Confocal laser endomicroscopy (CLE) is an innovative diagnostic modality that facilitates real-time in vivo optical biopsies of various tissues within luminal and ductal structures. Since its introduction in 2004, the application of this tool has broadened from diagnostic purposes to encompass management and prognostic evaluation in fields such as gastroenterology, neurosurgery, urology, and dermatology. This comprehensive review examines the current applications of endomicroscopy in Barrett’s esophagus (BE), inflammatory bowel disease (IBD), and colorectal lesions. Evidence from the literature suggests that CLE offers a potential solution to the diagnostic limitations associated with white-light endoscopy and histology. With a diagnostic accuracy nearly equivalent to that of histology, CLE is emerging as a promising tool to mitigate the delays related to awaiting histology results for clinical and therapeutic decision-making. However, its use is mainly as a complementary diagnostic method rather than an alternative to histopathology or other ancillary studies. Nevertheless, its widespread adoption remains limited, and further research is necessary to ascertain its overall benefits and cost implications of integrating it into patient care. Full article
(This article belongs to the Special Issue Recent Advances in Digestive Endoscopy)
22 pages, 532 KB  
Article
Sexuality and Intimacy in Inflammatory Bowel Disease: A Phenomenological Study
by Caterina Mercuri, Vincenzo Bosco, Vincenza Giordano, Teresa Rea, Raúl Juárez-Vela, Patrizia Doldo and Silvio Simeone
Healthcare 2026, 14(4), 526; https://doi.org/10.3390/healthcare14040526 - 19 Feb 2026
Viewed by 208
Abstract
Background/Objectives: Inflammatory Bowel Disease (IBD) often occurs during early adulthood and substantially affects physical, psychological, and relational well-being. Although sexual health is a fundamental component of quality of life, it is rarely addressed in clinical practice and remains insufficiently explored in research. This [...] Read more.
Background/Objectives: Inflammatory Bowel Disease (IBD) often occurs during early adulthood and substantially affects physical, psychological, and relational well-being. Although sexual health is a fundamental component of quality of life, it is rarely addressed in clinical practice and remains insufficiently explored in research. This study aimed to explore the lived experiences of individuals with IBD regarding sexuality and intimate relationships. Methods: Qualitative phenomenological design was adopted. Nineteen adults with a confirmed diagnosis of Crohn’s disease or Ulcerative Colitis were purposively recruited from a gastroenterology and endoscopy unit of a university hospital in Southern Italy. Data were collected through in-depth, audio-recorded interviews conducted in Italian, transcribed verbatim, and analyzed using Cohen’s phenomenological method. Lincoln and Guba’s criteria were applied to ensure methodological rigor. Results: Five main themes and two subthemes emerged. Participants reported that IBD profoundly affected their sexual lives, not only through physical symptoms but also by eliciting emotional distress and avoidance behaviors. Stigmatization of symptoms such as incontinence and bloating frequently led to withdrawal from physical intimacy. Changes in body image, including weight fluctuations, scarring, and fear of a possible stoma, were associated with feelings of shame and self-alienation. Sexuality was often described as mechanical and emotionally detached, although some participants reported processes of relational reconnection. Concerns about relationship stability and uncertainty about the future were common, alongside a persistent lack of communication with healthcare professionals regarding sexual health. Conclusions: Sexual health in people with IBD is essential yet frequently overlooked. A holistic and empathetic approach that integrates sexual health into routine IBD care may enhance emotional well-being, improve partner communication, and strengthen the overall quality of care. Full article
Show Figures

Figure 1

6 pages, 582 KB  
Case Report
Coexistence of Relapsing Polychondritis and Crohn’s Disease: Clinical Insights from a Rare Case
by Sang Wan Chung
J. Clin. Med. 2026, 15(4), 1609; https://doi.org/10.3390/jcm15041609 - 19 Feb 2026
Viewed by 241
Abstract
Relapsing polychondritis (RP) is a rare immune-mediated inflammatory disorder characterized by recurrent inflammation of cartilaginous structures. Although RP frequently coexists with other autoimmune disorders, its association with inflammatory bowel disease (IBD), particularly Crohn’s disease, has been rarely described. We report the case of [...] Read more.
Relapsing polychondritis (RP) is a rare immune-mediated inflammatory disorder characterized by recurrent inflammation of cartilaginous structures. Although RP frequently coexists with other autoimmune disorders, its association with inflammatory bowel disease (IBD), particularly Crohn’s disease, has been rarely described. We report the case of a 53-year-old man who presented with bilateral auricular inflammation sparing the earlobes and was diagnosed with RP based on clinical and histopathological findings. During treatment with systemic corticosteroids and methotrexate, he developed severe abdominal pain accompanied by inflammatory arthritis. These symptoms were initially considered related to treatment; however, subsequent endoscopic and histologic evaluation revealed Crohn’s disease involving the terminal ileum. Therapeutic adjustment, including discontinuation of nonsteroidal anti-inflammatory drugs and optimization of immunosuppressive therapy, resulted in resolution of both gastrointestinal and musculoskeletal symptoms. This case emphasizes the importance of considering concomitant IBD in patients with RP who develop unexplained gastrointestinal manifestations. Recognizing this rare coexistence may facilitate earlier diagnosis and more appropriate therapeutic decision-making in patients with multisystem inflammatory disease. Full article
(This article belongs to the Section Immunology & Rheumatology)
Show Figures

Figure 1

14 pages, 234 KB  
Article
The Knowledge, Attitude, and Perception (KAP) of Healthcare Professionals in Pediatric Settings Toward Oral Manifestations of Inflammatory Bowel Disease (IBD): A Survey-Based Cross-Sectional Study
by Stefania Leuci, Roberta Benvenuto, Gennaro Musella, Simone Liguori, Gaetano Marenzi, Francesco Riccitiello and Michele Davide Mignogna
J. Clin. Med. 2026, 15(4), 1598; https://doi.org/10.3390/jcm15041598 - 19 Feb 2026
Viewed by 151
Abstract
Objectives: This study aimed to evaluate the knowledge, attitudes, and perceptions of Italian general dentists, pediatric dentistry residents and pediatric residents regarding IBD-related oral manifestations, in order to identify educational gaps and promote a multidisciplinary approach. Methods: A cross-sectional survey using [...] Read more.
Objectives: This study aimed to evaluate the knowledge, attitudes, and perceptions of Italian general dentists, pediatric dentistry residents and pediatric residents regarding IBD-related oral manifestations, in order to identify educational gaps and promote a multidisciplinary approach. Methods: A cross-sectional survey using a validated questionnaire was conducted among pediatric residents, pediatric dentistry residents and general dentists. The tool included sociodemographic questions, 30 true/false items on knowledge and 20 Likert-scale items on attitude and perception. Data were collected online and on paper and analyzed using descriptive statistics, chi-square tests, and ANOVA. Results: Out of 228 respondents, general knowledge of IBD was high, while specific knowledge about oral manifestations was limited. Pediatric dentistry residents and pediatric residents performed significantly better than general dentists on targeted items (p = 0.01). Attitudinal responses revealed low clinical confidence, with only a minority feeling prepared to recognize or manage oral lesions, though most were willing to pursue further education. Perception was overall positive, with strong support for multidisciplinary collaboration (96.5%), and 89.5% recognized the role of dentists in early IBD detection. General dentists more often reported the need for additional training (p = 0.02). No significant differences emerged by sex or age. Conclusions: Our study highlights significant knowledge gaps and limited clinical confidence but also reveals a strong willingness to improve and collaborate. While the number of children with IBD seen by general dentists and primary care pediatricians is limited, considering the increasing incidence of pediatric IBD, our results support the need for targeted educational interventions. Full article
(This article belongs to the Section Clinical Pediatrics)
19 pages, 802 KB  
Article
Gut Microbiota Alterations and Dysbiosis Patterns in Pediatric Inflammatory Bowel Disease: Clinical Correlations and Therapeutic Impact
by Anda-Maria Beca, Roxana Folescu, Adina Teodora Crăciun, Laura Olariu, Ileana Enatescu, Bianca Belei and Oana Belei
J. Clin. Med. 2026, 15(4), 1589; https://doi.org/10.3390/jcm15041589 - 18 Feb 2026
Viewed by 229
Abstract
Background: Gut microbiota alterations are increasingly recognized as key contributors to the development and clinical course of inflammatory bowel disease (IBD), particularly in pediatric patients, in whom microbial maturation and immune regulation are still evolving. Objective: This study aimed to assess [...] Read more.
Background: Gut microbiota alterations are increasingly recognized as key contributors to the development and clinical course of inflammatory bowel disease (IBD), particularly in pediatric patients, in whom microbial maturation and immune regulation are still evolving. Objective: This study aimed to assess intestinal microbiota composition and dysbiosis severity in pediatric IBD, with comparative analyses according to disease phenotype (Crohn’s disease versus ulcerative colitis) and therapeutic strategy (biologic versus non-biologic treatment). Methods: A prospective cohort of 60 pediatric patients diagnosed with IBD based on Porto criteria was evaluated. Fecal samples were obtained at baseline and after three months of combined standard IBD treatment and adjunct microbiota-targeted therapy, and were analyzed using an AI-assisted microbiota profiling platform. A semi-quantitative dysbiosis score was calculated based on the relative abundance of proinflammatory taxa and depletion of short-chain fatty acid (SCFA)-producing bacteria. Microbial parameters were correlated with clinical and therapeutic variables, including the Organism of Interest metric and the Gut Microbiota Index (GMI). Results: Dysbiosis severity was significantly higher in patients with Crohn’s disease compared with ulcerative colitis (9.65 ± 1.44 vs. 8.42 ± 1.88, p = 0.037). Patients receiving biologic therapy showed a trend toward lower dysbiosis scores and improved microbial indices, although statistical significance was not reached. Severe dysbiosis was identified in 46.7% of the cohort. Strong positive correlations were observed between the dysbiosis score, Organism of Interest metric and GMI (r = 0.68–0.72, p < 0.01). Conclusions: Pediatric IBD is associated with a reproducible dysbiotic profile, more pronounced in Crohn’s disease and partially modulated by biologic therapy. The observed correlations between microbiota-derived indices support their potential utility as complementary markers of intestinal microbial imbalance and disease activity. Full article
(This article belongs to the Special Issue Inflammatory Bowel Diseases: Clinical Advances and Emerging Therapies)
Show Figures

Figure 1

Back to TopTop