Acute Onset Quadriplegia and Stroke: Look at the Brainstem, Look at the Midline
Abstract
1. Background
2. Neuroanatomical Issues
2.1. Corticospinal Tract in the Brainstem
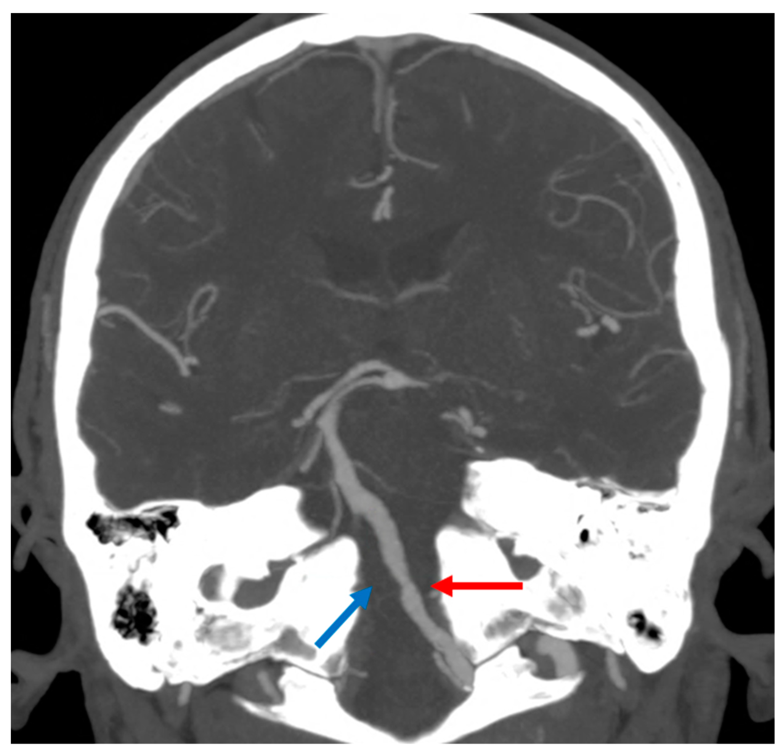
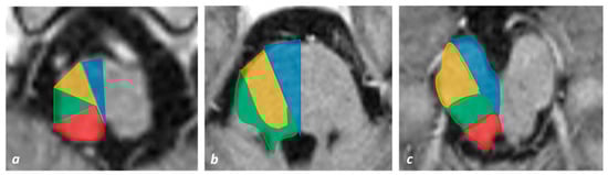
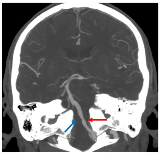
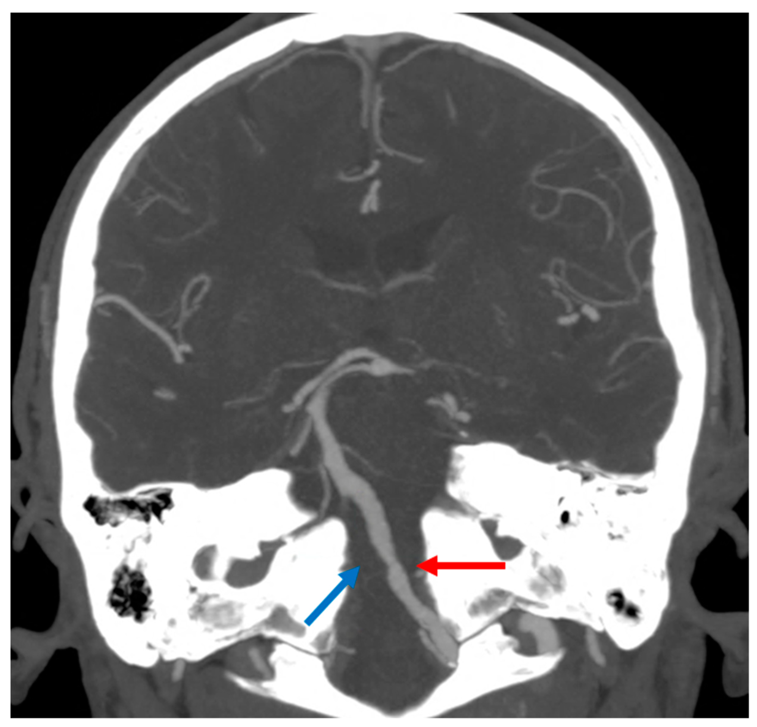
2.2. General Vascular Organization and Territories of the Brainstem
3. Brainstem Midline Stroke
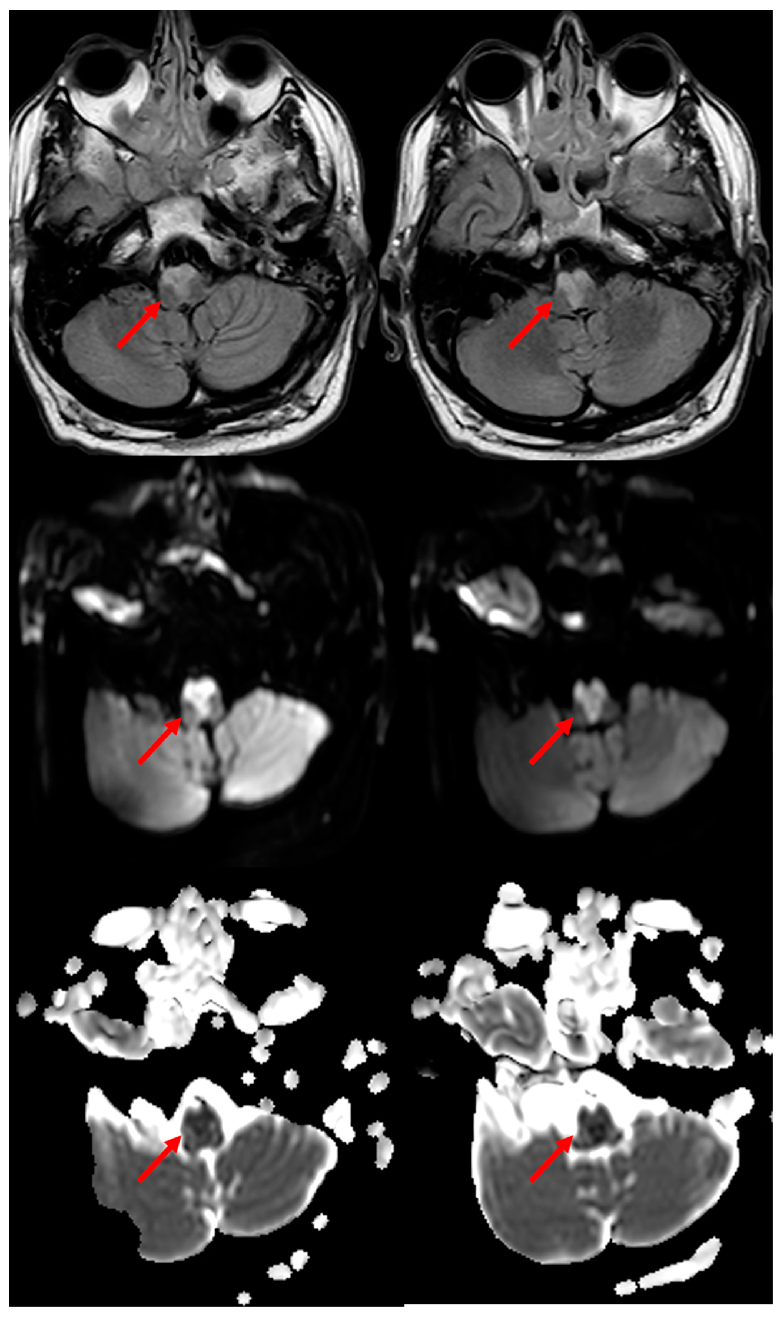
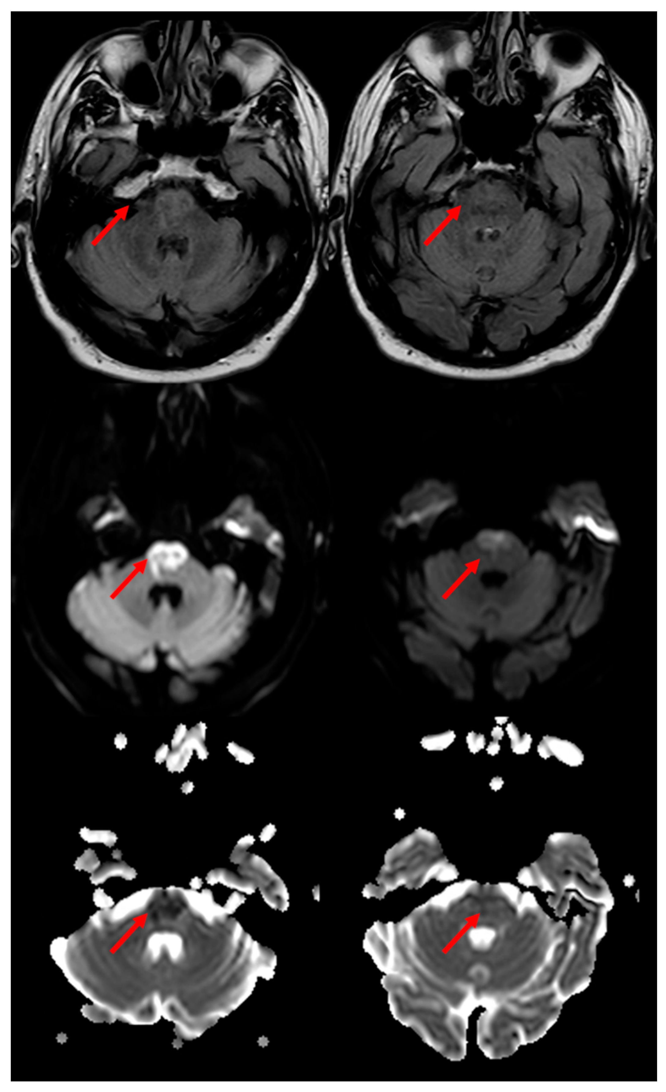
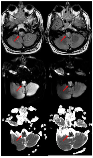
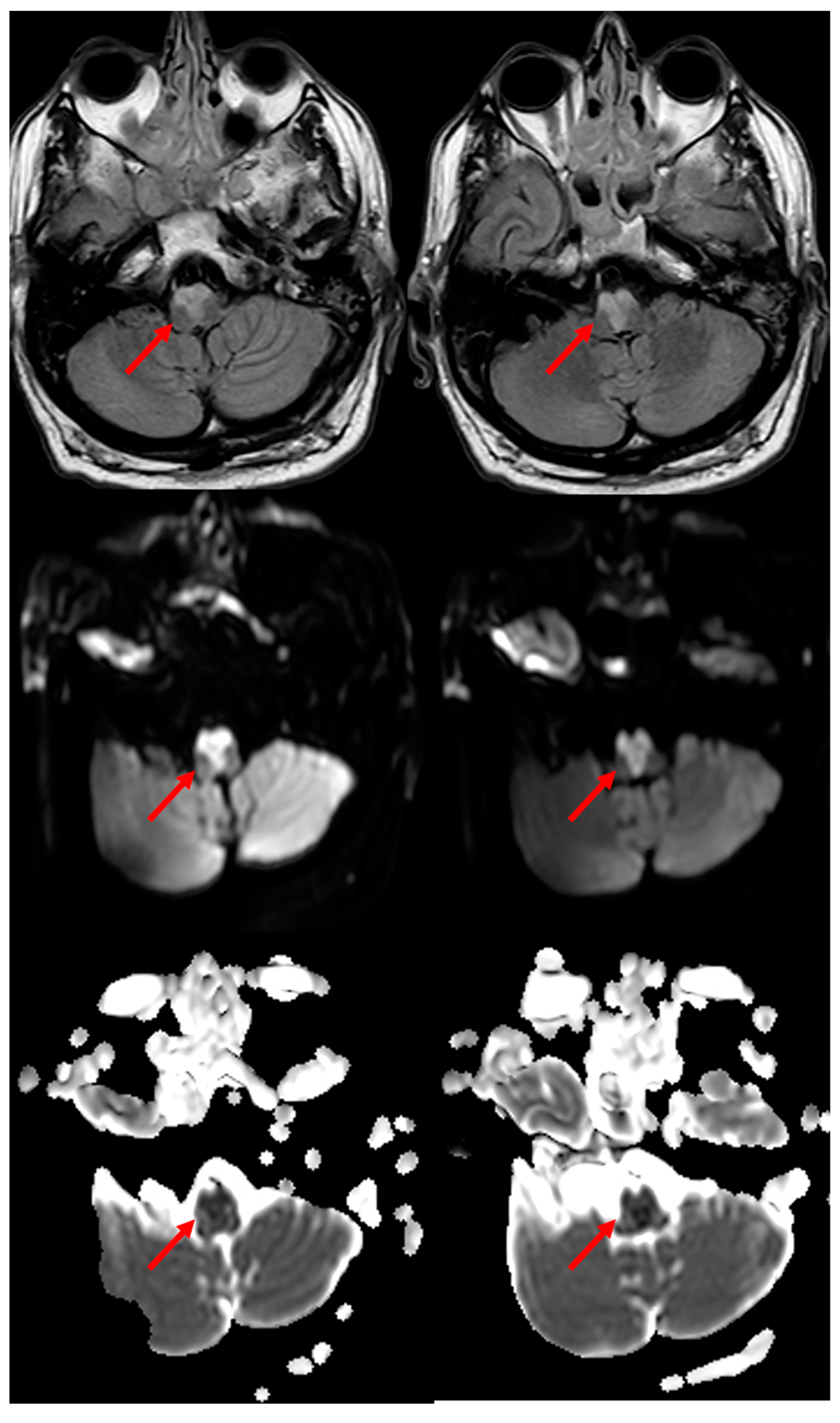
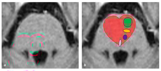
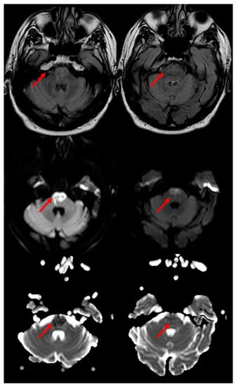
3.1. Medullary Infarction
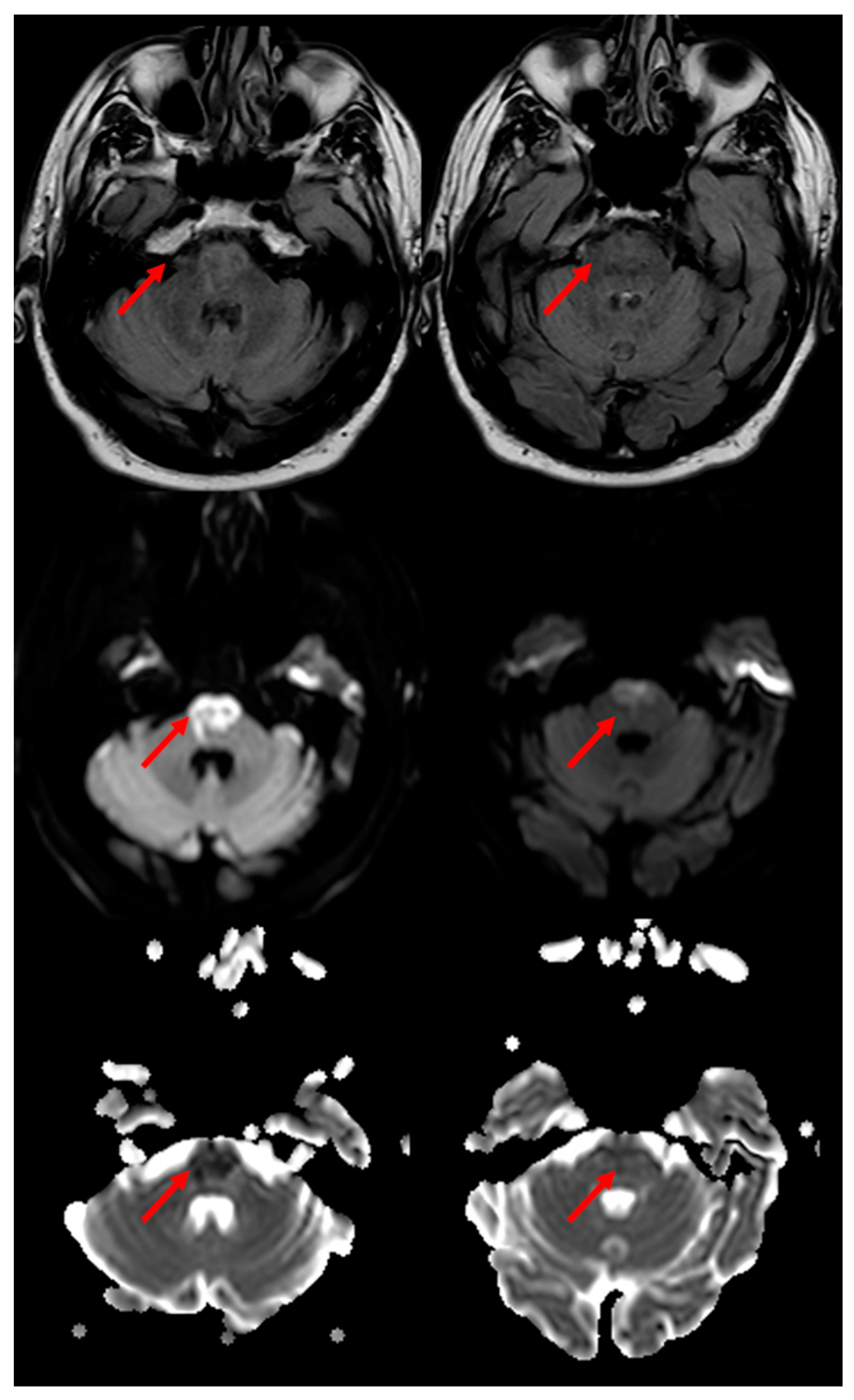
3.2. Pontine Infarction
3.3. Midbrain Infarction
4. Clinical Hints and Differential Diagnosis
5. Conclusions
Author Contributions
Funding
Institutional Review Board Statement
Informed Consent Statement
Data Availability Statement
Conflicts of Interest
References
- Rubin, M.; Rabinstein, A.A. Vascular Diseases of the Spinal Cord. Neurol. Clin. 2013, 31, 153–181. [Google Scholar] [CrossRef]
- Kramer, C.L. Vascular Disorders of the Spinal Cord. Contin. Lifelong Learn. Neurol. 2018, 24, 407–426. [Google Scholar] [CrossRef]
- Zalewski, N.L.; Rabinstein, A.A.; Krecke, K.N.; Brown, R.D.; Wijdicks, E.F.M.; Weinshenker, B.G.; Kaufmann, T.J.; Morris, J.M.; Aksamit, A.J.; Bartleson, J.D.; et al. Characteristics of Spontaneous Spinal Cord Infarction and Proposed Diagnostic Criteria. JAMA Neurol. 2019, 76, 56–63. [Google Scholar] [CrossRef]
- Loher, T.J.; Bassetti, C.L.; Stepper, F.P.; Sturzenegger, M.; Kiefer, C.; Nedeltchev, K.; Arnold, M.; Remonda, L.; Schroth, G.; Lovblad, K.-O. Diffusion-weighted MRI in acute spinal cord ischaemia. Neuroradiology 2003, 45, 557–561. [Google Scholar] [CrossRef]
- Thurnher, M.M.; Bammer, R. Diffusion-weighted MR imaging (DWI) in spinal cord ischemia. Neuroradiology 2006, 48, 795–801. [Google Scholar] [CrossRef]
- Küker, W.; Weller, M.; Klose, U.; Krapf, H.; Dichgans, J.; Nägele, T. Diffusion-weighted MRI of spinal cord infarction—High resolution imaging and time course of diffusion abnormality. J. Neurol. 2004, 251, 818–824. [Google Scholar] [CrossRef]
- Vargas, M.I.; Gariani, J.; Sztajzel, R.; Barnaure-Nachbar, I.; Delattre, B.M.; Lovblad, K.O.; Dietemann, J.L. Spinal Cord Ischemia: Practical Imaging Tips, Pearls, and Pitfalls. AJNR Am. J. Neuroradiol. 2015, 36, 825–830. [Google Scholar] [CrossRef]
- Filippopulos, F.M.; Brem, C.; Seelos, K.; Koeglsperger, T.; Sonnenfeld, S.; Kellert, L.; Vollmar, C. Uncrossed corticospinal tract in health and genetic disorders: Review, case report, and clinical implications. Eur. J. Neurol. 2021, 28, 2804–2811. [Google Scholar] [CrossRef]
- Welniarz, Q.; Dusart, I.; Roze, E. The corticospinal tract: Evolution, development, and human disorders. Dev. Neurobiol. 2017, 77, 810–829. [Google Scholar] [CrossRef]
- Burger, K.M.; Tuhrim, S.; Naidich, T.P. Brainstem Vascular Stroke Anatomy. Neuroimaging Clin. N. Am. 2005, 15, 297–324. [Google Scholar] [CrossRef]
- Tatu, L.; Moulin, T.; Bogousslavsky, J.; Duvernoy, H. Arterial territories of the human brain: Cerebral hemispheres. Neurology 1998, 50, 1699–1708. [Google Scholar] [CrossRef]
- De Mendivil, A.O.; Alcalá-Galiano, A.; Ochoa, M.; Salvador, E.; Millán, J.M. Brainstem Stroke: Anatomy, Clinical and Radiological Findings. Semin. Ultrasound CT MRI 2013, 34, 131–141. [Google Scholar] [CrossRef]
- Nakamura, S.; Kitami, M.; Furukawa, Y. Opalski syndrome: Ipsilateral hemiplegia due to a lateral-medullary infarction. Neurology 2010, 75, 1658. [Google Scholar] [CrossRef]
- Krasnianski, M.; Neudecker, S.; Schluter, A.; Zierz, S. Babinski-Nageotte’s syndrome and hemimedullary (Reinhold’s) syndrome are clinically and morphologically distinct conditions. J. Neurol. 2003, 250, 938–942. [Google Scholar] [CrossRef]
- Bassetti, C.; Bogousslavsky, J.; Mattle, H.; Bernasconi, A. Medial medullary stroke: Report of seven patients and review of the literature. Neurology 1997, 48, 882–890. [Google Scholar] [CrossRef]
- Kameda, W.; Kawanami, T.; Kurita, K.; Daimon, M.; Kayama, T.; Hosoya, T.; Kato, T. Lateral and Medial Medullary Infarction. A comparative analysis of 214 patients. Stroke 2004, 35, 694–699. [Google Scholar] [CrossRef]
- Kim, J.S.; Kim, H.G.; Chung, C.S. Medial medullary syndrome. Report of 18 new patients and a review of the literature. Stroke 1995, 26, 1548–1552. [Google Scholar] [CrossRef]
- Urban, P.P.; Wicht, S.; Vucorevic, G.; Fitzek, S.; Marx, J.; Thömke, F.; Mika-Grüttner, A.; Fitzek, C.; Stoeter, P.; Hopf, H.C. The course of corticofacial projections in the human brainstem. Brain 2001, 124 Pt 9, 1866–1876. [Google Scholar] [CrossRef]
- Deshpande, A.; Chandran, V.; Pai, A.; Rao, S.; Shetty, R. Bilateral medial medullary syndrome secondary to Takayasu arteritis. BMJ Case Rep. 2013, 2013, bcr0120125600. [Google Scholar] [CrossRef]
- Pongmoragot, J.; Parthasarathy, S.; Selchen, D.; Saposnik, G. Bilateral Medial Medullary Infarction: A Systematic Review. J. Stroke Cerebrovasc. Dis. 2013, 22, 775–780. [Google Scholar] [CrossRef]
- Tokuoka, K.; Yuasa, N.; Ishikawa, T.; Takahashi, M.; Mandokoro, H.; Kitagawa, Y.; Takagi, S. A case of bilateral medial medullary infarction presenting with “heart appearance” sign. Tokai J. Exp. Clin. Med. 2007, 32, 99–102. [Google Scholar]
- Maeda, M.; Shimono, T.; Tsukahara, H.; Maier, S.E.; Takeda, K. Acute Bilateral Medial Medullary Infarction: A Unique ‘Heart Appearance’ Sign by Diffusion-Weighted Imaging. Eur. Neurol. 2004, 51, 236–237. [Google Scholar] [CrossRef]
- Thijs, R.D.; Wijman, C.A.C.; van Dijk, G.W.; van Gijn, J. A case of bilateral medial medullary infarction demonstrated by magnetic res-onance imaging with diffusion-weighted imaging. J. Neurol. 2001, 248, 339–340. [Google Scholar] [CrossRef]
- Wilkins, E.G.; Kamel, H.; Johnson, E.C.; Shalev, S.M.; Josephson, S.A. Ischemic Stroke of the Pyramidal Decussation Causing Quadriplegia and Anarthria. J. Stroke Cerebrovasc. Dis. 2012, 21, 620.e1–620.e2. [Google Scholar] [CrossRef] [PubMed]
- Meyer, J.S.; Herndon, R.M. Bilateral infarction of the pyramidal tracts in man. Neurology 1962, 12, 637. [Google Scholar] [CrossRef] [PubMed]
- Jagiella, W.M.; Sung, J.H. Bilateral infarction of the medullary pyramids in humans. Neurology 1989, 39, 21–24. [Google Scholar] [CrossRef] [PubMed]
- Kobayashi, Z.; Hino, T.; Kanazawa, T.; Yokote, H.; Yokota, T.; Kanda, T.; Mizusawa, H. Bilateral medial medullary infarction presented with monoplegia of the lower limb, followed by paraplegia and finally by tetraplegia. Rinsho Shinkeigaku 1993, 43, 195–198. (In Japanese) [Google Scholar]
- Stopford, J.S. The arteries of the pons and medulla oblongata. Part II. J. Anat Physiol. 1916, 50 Pt 3, 255–280. [Google Scholar]
- Oh, S.; Bang, O.Y.; Chung, C.S.; Lee, K.H.; Chang, W.H.; Kim, G.M. Topographic Location of Acute Pontine Infarction Is Associated with the Development of Progressive Motor Deficits. Stroke 2012, 43, 708–713. [Google Scholar] [CrossRef]
- Kobayashi, J.; Ohara, T.; Minematsu, K.; Nagatsuka, K.; Toyoda, K. Etiological mechanisms of isolated pontine infarcts based on arterial territory involvement. J. Neurol. Sci. 2014, 339, 113–117. [Google Scholar] [CrossRef]
- Fisher, C.M. Lacunar strokes and infarcts: A review. Neurology 1982, 32, 871. [Google Scholar] [CrossRef] [PubMed]
- Kataoka, S.; Miaki, M.; Saiki, M.; Saiki, S.; Yamaya, Y.; Hori, A.; Hirose, G. Rostral lateral pontine infarction: Neurological/topographical correlations. Neurology 2003, 61, 114–117. [Google Scholar] [CrossRef] [PubMed]
- Kumral, E.; Bayulkem, G.; Evyapan, D. Clinical spectrum of pontine infarction: Clinical—MRI correlations. J. Neurol. 2002, 249, 1659–1670. [Google Scholar] [CrossRef] [PubMed]
- Xia, C.; Chen, H.S.; Wu, S.W.; Xu, W.H. Etiology of isolated pontine infarctions: A study based on high-resolution MRI and brain small vessel disease scores. BMC Neurol. 2017, 17, 216. [Google Scholar] [CrossRef] [PubMed]
- Vlašković, T.; Brkić, B.G.; Stević, Z.; Vukićević, M.; Đurović, O.; Kostić, D.; Stanisavljević, N.; Marinković, I.; Kapor, S.; Marinković, S. Anatomic and MRI Bases for Pontine Infarctions with Patients Presentation. J. Stroke Cerebrovasc. Dis. 2022, 31, 106613. [Google Scholar] [CrossRef]
- Marinković, S.; Gibo, H.; Milisavljević, M. The Surgical Anatomy of the Relationships between the Perforating and the Leptomeningeal Arteries. Neurosurgery 1996, 39, 72–83. [Google Scholar] [CrossRef]
- Kataoka, S.; Hori, A.; Shirakawa, T.; Hirose, G. Paramedian pontine infarction: Neurological/topographical correlation. Stroke 1997, 28, 809–815. [Google Scholar] [CrossRef]
- Venkatesan, P.; Balakrishnan, R.; Ramadoss, K.; Iyer, R.S. Heart appearance sign in pontine stroke: A result of bilateral infarction due to small vessel disease. Neurol. India 2014, 62, 115–116. [Google Scholar] [CrossRef]
- Sen, D.; Arora, V.; Adlakha, S.; Gulati, Y.S.; Doppaladudi, A.; Tiwary, S. The “Heart Appearance” Sign in Bilateral Pontine Infarction. J. Stroke Cerebrovasc. Dis. 2015, 24, e21–e24. [Google Scholar] [CrossRef]
- Bogousslavsky, J.; Maeder, P.; Regli, F.; Meuli, R. Pure midbrain infarction: Clinical syndromes, MRI, and etiologic patterns. Neurology 1994, 44, 2032–2040. [Google Scholar] [CrossRef]
- Kumral, E.; Bayulkem, G.; Akyol, A.; Yunten, N.; Sirin, H.; Sagduyu, A. Mesencephalic and associated posterior circulation infarcts. Stroke 2002, 33, 2224–2231. [Google Scholar] [CrossRef] [PubMed]
- Kim, J.S.; Kim, J. Pure midbrain infarction. Clinical, radiologic, and pathophysiologic findings. Neurology 2005, 64, 1227–1232. [Google Scholar] [CrossRef]
- Pedroza, A.; Dujovny, M.; Ausman, J.I.; Diaz, F.G.; Artero, J.C.; Berman, S.K.; Mirchandani, H.G.; Umansky, F. Microvascular anatomy of the interpeduncular fossa. J. Neurosurg. 1986, 64, 484–493. [Google Scholar] [CrossRef]
- Lazzaro, N.; Wright, B.; Castillo, M.; Fischbein, N.J.; Glastonbury, C.M.; Hildenbrand, P.G.; Wiggins, R.; Quigley, E.; Osborn, A. Artery of Percheron Infarction: Imaging Patterns and Clinical Spectrum. Am. J. Neuroradiol. 2010, 31, 1283–1289. [Google Scholar] [CrossRef]
- Moncayo, J.; Bogousslavsky, J. Eye movement disorders in posterior circulation stroke. Expert Rev. Ophthalmol. 2009, 4, 259–281. [Google Scholar] [CrossRef]
- Voogd, J.; van Baarsen, K. The Horseshoe-Shaped Commissure of Wernekinck or the Decussation of the Brachium Conjunctivum Methodological Changes in the 1840s. Cerebellum 2013, 13, 113–120. [Google Scholar] [CrossRef]
- Zhou, C.; Xu, Z.; Huang, B.; He, Y.; Zhu, Y.; Zhao, Y.; Wang, P. Caudal paramedian midbrain infarction: A clinical study of imaging, clinical features and stroke mechanisms. Acta Neurol. Belg. 2019, 121, 443–450. [Google Scholar] [CrossRef]
- Zhou, C.; He, Y.; Chao, Z.; Zhu, Y.; Wang, P.; Gao, X. The “heart appearance” sign on MRI of Wernekink’s commissure syndrome caused by bilateral caudal paramedian midbrain infarction. Neurol. Sci. 2017, 39, 587–589. [Google Scholar] [CrossRef] [PubMed]
- Krishnan, M.; Rajan, P.; Kesavadas, C.; Iyer, R.S. The ‘heart appearance’ sign in MRI in bilateral medial medullary infarction. Postgrad. Med. J. 2011, 87, 156. [Google Scholar] [CrossRef]
- Zhou, C.; He, Y.; Tian, X.; Chao, Z.; Zhu, Y.; Cheng, D.; Li, K. A Case Report of Isolated Bilateral Cerebral Peduncular Infarction. Case Rep. Neurol. Med. 2017, 2017, 9845917. [Google Scholar] [CrossRef]
- Fu, X.; Li, H.; Tian, X.; Wang, W.; Liu, H. Rare presentation of an isolated bilateral cerebral peduncular infarction. Medicine 2019, 98, e17665. [Google Scholar] [CrossRef] [PubMed]
- Ye, Q.; Xiang, T. A clinical characteristic analysis of five cases of rare bilateral cerebral peduncular infarction (BCPI) with the ‘Mickey Mouse ears’ sign. Brain Inj. 2021, 35, 363–367. [Google Scholar] [CrossRef] [PubMed]
- Chen, W.; Yi, T.; Chen, Y.; Zhang, M.; Wu, Z.; Wu, Y.; Chen, B.; Guo, T.; Wu, C.; Yang, M.; et al. Assessment of bilateral cerebral peduncular infarction: Magnetic resonance imaging, clinical features, and prognosis. J. Neurol. Sci. 2015, 357, 131–135. [Google Scholar] [CrossRef] [PubMed]
- Asakawa, Y.; Suzuki, K.; Takekawa, H.; Okamura, M.; Komagamine, T.; Kawasaki, A.; Yamamoto, M.; Sada, T.; Hirata, K. The ‘Mickey Mouse ears’ sign: A bilateral cerebral peduncular infarction. Eur. J. Neurol. 2013, 20, e37–e39. [Google Scholar] [CrossRef]
- Ogawa, K.; Suzuki, Y.; Oishi, M.; Kamei, S. Clinical Study of Twenty-One Patients with Pure Midbrain Infarction. Eur. Neurol. 2011, 67, 81–89. [Google Scholar] [CrossRef]







| Arterial Territories | Main Supplying Arteries |
|---|---|
| Anteromedial territory | It is supplied by the ASA and VA cranially, and the ASA, inferiorly. |
| Anterolateral territory | It is supplied by the ASA and PICA inferiorly, and by the ASA and VA, superiorly. |
| Lateral territory | It is supplied by the PICA, BA, VA and AICA from the caudal to cranial regions. |
| Posterior territory | It is supplied by the PSAs inferiorly and the PICA, superiorly. |
| Arterial Territories | Main Supplying Arteries |
|---|---|
| Anteromedial territory | It is supplied by the pontine perforating arteries arising from the BA and entering from the basilar sulcus. |
| Anterolateral territory | It is supplied by the perforating branches arising from the AICA and entering at the pontomedullary sulcus. |
| Lateral territory | It is supplied by lateral pontine perforators that arise directly from the BA, AICA or SCA. |
| Portions | Structures |
|---|---|
| Anterior portion | Fibers of the corticospinal tract, which most of them cross over to the contralateral side. |
| Tegmentum | Olivary complex, nuclei of cranial nerves (VIII–XII and part of V), parts of the reticular formation and ascending and descending fiber tracts (e.g., sympathetic fibers). |
| Posterior portion | The lower part is anatomically similar to the spinal cord, and it contains ascending fiber tracts that mostly end in the nuclei gracilis and cuneatus. |
| Structures | Main Neurological Deficit |
|---|---|
| Corticobulbar tract | Dysarthria. |
| Corticospinal tract | Contralateral hemiparesis/hemiplegia. |
| Medial Lemniscus | Contralateral loss of position sense and vibration. |
| Medial longitudinal fasciculus (MLF) | Ipsilateral internuclear ophtalmoplegia. |
| Hypoglossal (CN XII) nucleus | Ipsilateral weakness of the hemitongue. |
| Structures | Main Neurological Deficit |
|---|---|
| Corticobulbar tract | Dysarthria, contralateral facial palsy. |
| Corticospinal tract | Contralateral hemiparesis/hemiplegia. |
| Corticopontine tract | Contralateral ataxia, pathologic laughter. |
| Medial Lemniscus | Contralateral loss of position sense and vibration. |
| Medial longitudinal fasciculus (MLF) | Ipsilateral internuclear ophtalmoplegia. |
| CN VI nucleus, CN VII fibers | Ipsilateral lateral rectus palsy, ipsilateral facial weakness. |
| Paramedian pontine reticular formation (PPRF) | Ipsilateral horizontal gaze paresis. |
| Branches | Supplying Area and Associated Clinical Syndrome |
|---|---|
| PThA | Paramedian thalamus. Thalamo-peduncular syndrome or Percheron’s artery syndrome. |
| SPMA | Rostral midbrain (paramedian region). Thalamo-peduncular syndrome or Percheron’s artery syndrome. |
| IPMA | Caudal midbrain (paramedian region). Wernekink’s commissure syndrome. |
| Issues | Main Interpretations |
|---|---|
| Onset of symptoms | An acute or hyperacute onset with a very short time to the maximal deficit is more frequent in brain than it is in spinal vascular disorders. |
| Previous clinical history | A previous transient neurological symptom might suggest the site of brain disfunction and it is more frequent in brain then in spinal vascular disorders. |
| Facial sparing | It may occur in both brain and spinal vascular disorders. |
| Additional neurological signs | In brainstem involvement, oculomotor or cerebellar signs may be present and help to localize the site of the lesion. |
| Extension of deficits after the onset of symptoms | In brainstem vascular lesions is not uncommon the sequential occurrence of additional deficits due to the progressive extension of ischemia to the entire territory of the affected artery. |
Publisher’s Note: MDPI stays neutral with regard to jurisdictional claims in published maps and institutional affiliations. |
© 2022 by the authors. Licensee MDPI, Basel, Switzerland. This article is an open access article distributed under the terms and conditions of the Creative Commons Attribution (CC BY) license (https://creativecommons.org/licenses/by/4.0/).
Share and Cite
Zedde, M.; Grisendi, I.; Pezzella, F.R.; Napoli, M.; Moratti, C.; Valzania, F.; Pascarella, R. Acute Onset Quadriplegia and Stroke: Look at the Brainstem, Look at the Midline. J. Clin. Med. 2022, 11, 7205. https://doi.org/10.3390/jcm11237205
Zedde M, Grisendi I, Pezzella FR, Napoli M, Moratti C, Valzania F, Pascarella R. Acute Onset Quadriplegia and Stroke: Look at the Brainstem, Look at the Midline. Journal of Clinical Medicine. 2022; 11(23):7205. https://doi.org/10.3390/jcm11237205
Chicago/Turabian StyleZedde, Marialuisa, Ilaria Grisendi, Francesca Romana Pezzella, Manuela Napoli, Claudio Moratti, Franco Valzania, and Rosario Pascarella. 2022. "Acute Onset Quadriplegia and Stroke: Look at the Brainstem, Look at the Midline" Journal of Clinical Medicine 11, no. 23: 7205. https://doi.org/10.3390/jcm11237205
APA StyleZedde, M., Grisendi, I., Pezzella, F. R., Napoli, M., Moratti, C., Valzania, F., & Pascarella, R. (2022). Acute Onset Quadriplegia and Stroke: Look at the Brainstem, Look at the Midline. Journal of Clinical Medicine, 11(23), 7205. https://doi.org/10.3390/jcm11237205

