Case Series of Acute Meconium Peritonitis Secondary to Perforation of the Ileum in the Antepartum Period
Abstract
1. Introduction
2. Materials and Methods
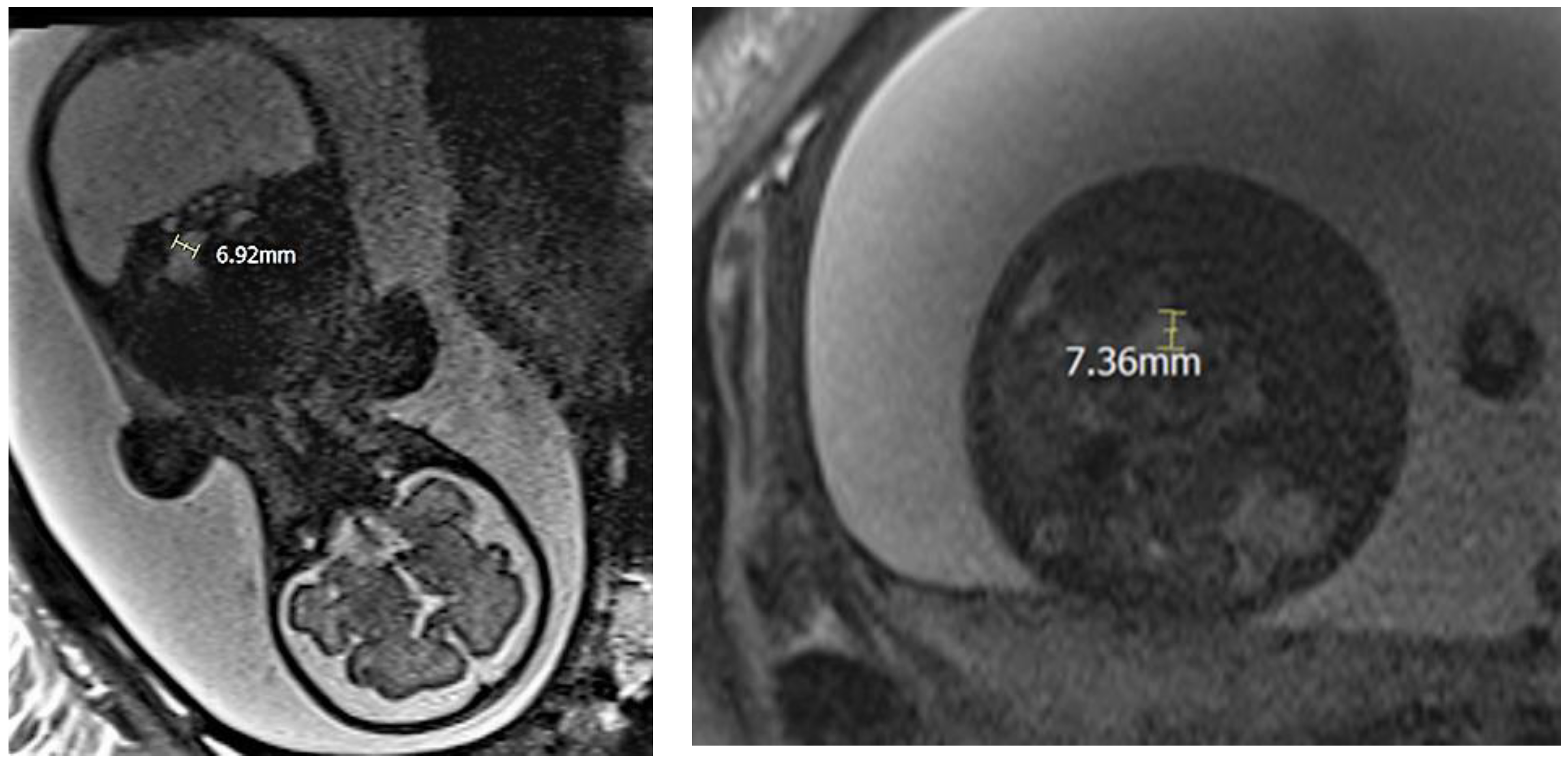
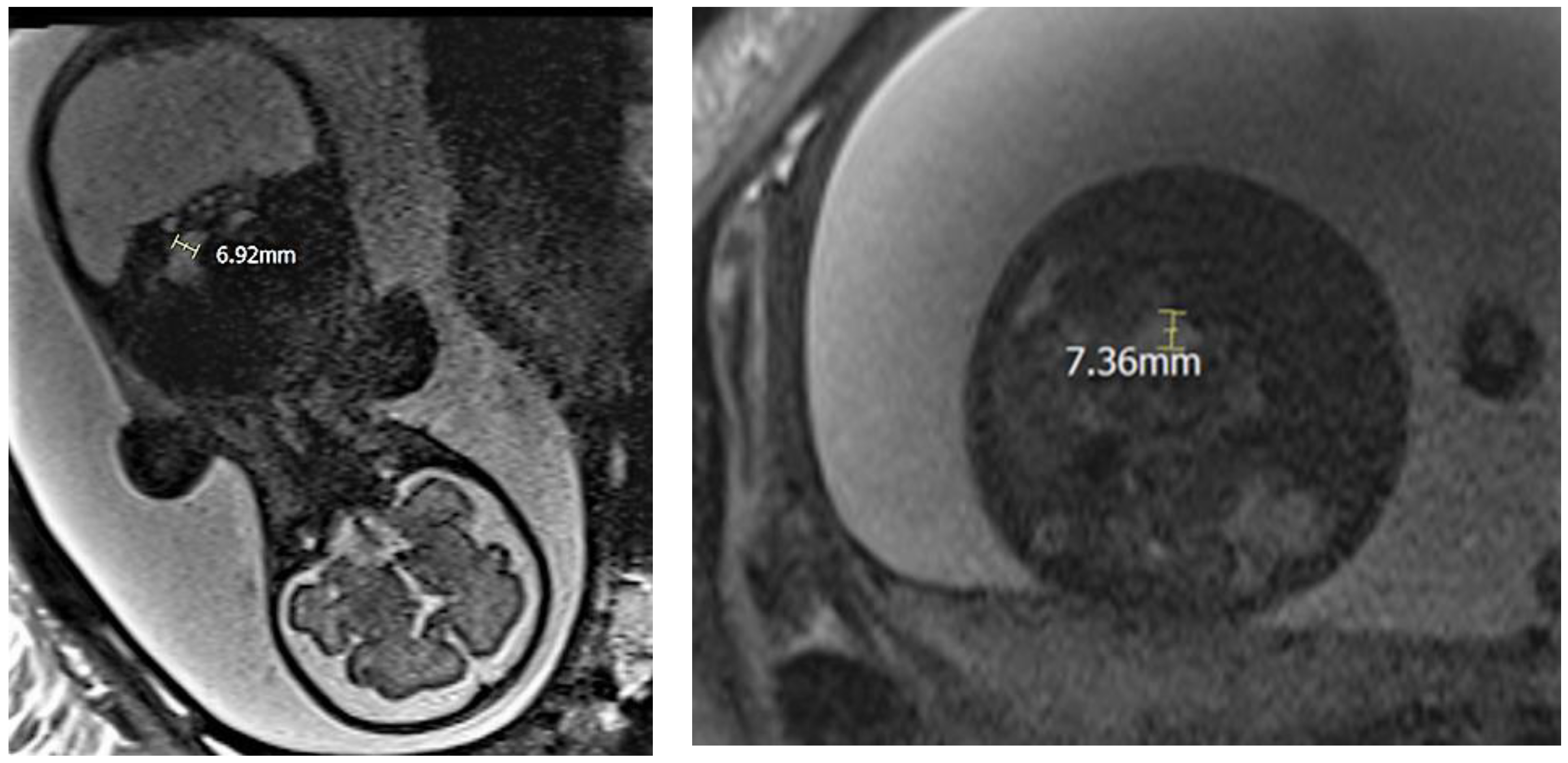
2.1. Case 1
2.2. Case 2
3. Discussion and Conclusions
Author Contributions
Funding
Institutional Review Board Statement
Informed Consent Statement
Data Availability Statement
Conflicts of Interest
References
- Foster, M.A.; Nyberg, D.A.; Mahony, B.S.; Mack, L.A.; Marks, W.M.; Raabe, R.D. Meconium peritonitis: Prenatal sonographic findings and their clinical significance. Radiology 1987, 165, 661–665. [Google Scholar] [CrossRef] [PubMed]
- Ohmichi, M.; Kanai, H.; Kanzaki, T.; Matumoto, K.; Neki, R.; Chiba, Y.; Kamata, S.; Murata, Y. Meconium peritonitis; changes in fetal C-reactive protein and CA 125 levels in relation to stage of disease. J. Ultrasound Med. 1997, 162, 89–92. [Google Scholar] [CrossRef] [PubMed][Green Version]
- Wang, Y.; Wu, Y.; Guan, W.; Yan, W.; Li, Y.; Fang, J.; Wang, J. Meconium peritonitis due to fetal appendiceal perforation: Two case reports and a brief review of the literature. BMC Pediatr. 2018, 18, 162. [Google Scholar] [CrossRef] [PubMed]
- Heineman, E.; Dejong, C.H.; Piena-Spoel, M.; Liefaard, G.; Molenaar, J.C.; Tibboel, D. Prospective evaluation of faecal fatty acid excretion in short bowel syndrome in newborns. J. Pediatr. Surg. 1996, 31, 520–525. [Google Scholar] [CrossRef] [PubMed]
- Nam, S.H.; Kim, S.C.; Kim, D.Y.; Kim, A.R.; Kim, K.S.; Pi, S.Y.; Won, H.S.; Kim, I.K. Experience with meconium peritonitis. J. Pediatr. Surg. 2007, 42, 1822–1825. [Google Scholar] [CrossRef] [PubMed]
- Packard, G.B.; Reynolds, L.E. Meconium peritonitis. Ann. Surg. 1951, 135, 548–554. [Google Scholar] [CrossRef] [PubMed]
- Tibboel, D.; Gaillard, J.L.; Molenaar, J.C. The importance of mesenteric vascular insufficiency in meconium peritonitis. Hum. Pathol. 1986, 17, 411–416. [Google Scholar] [CrossRef] [PubMed]
- Reynolds, E.; Douglass, B.; Bleacher, J. Meconium peritonitis. J. Perinatol. 2000, 201, 93–95. [Google Scholar] [CrossRef] [PubMed]
- Berlin, B.M.; Norton, M.E.; Sugarman, E.A.; Tsipis, J.E.; Allitto, B.A. Cystic fibrosis and chromosome abnormalities associated with echogenic fetal bowel. Obstet. Gynecol. 1999, 941, 35–138. [Google Scholar]
- Duchatel, F.; Muller, F.M.; Oury, J.F.; Mennesson, B.; Boue, J.; Boue, A. Prenatal diagnosis of cystic fibrosis: Ultrasonography of the gallbladder at 17 to 19 weeks of gestation. Fetal Diagn. Ther. 1993, 82, 8–36. [Google Scholar] [CrossRef] [PubMed]
- Shinar, S.; Agrawal, S.; Ryu, M.; Van Mieghem, T.; Daneman, A.; Ryan, G.; Zani, A.; Chiu, P.; Chitayat, D. Fetal meconium peritonitis—Prenatal findings and postnatal outcome: A case series, systematic review, and meta-analysis. Ultraschall. Med. 2022, 43, 194–203. [Google Scholar] [CrossRef] [PubMed]
- Freeman, R.K.; Nageotte, M.P. Comments on American College of Obstetricians and Gynecologists practice bulletin no. 106. Am. J. Obstet. Gynecol. 2010, 202, 411–412. [Google Scholar] [CrossRef] [PubMed]
- Mayock, D.E.; Hickok, D.E.; Guthrie, R.D. Cystic meconium peritonitis associated with hydrops fetalis. Am. J. Obstet. Gynecol. 1982, 142, 704–705. [Google Scholar] [CrossRef] [PubMed]
- Shinmoto, H.; Kuribayashi, S. MRI of fetal abdominal abnormalities. Abdom. Imaging 2003, 288, 77–886. [Google Scholar] [CrossRef]
- Masselli, G.; Cozzi, D.; Ceccanti, S.; Laghi, F.; Giancotti, A.; Brunelli, R. Fetal body MRI for fetal and perinatal management. Clin. Radiol. 2021, 76, 708.e1–708.e8. [Google Scholar] [CrossRef]
- Bernardo, S.; Giancotti, A.; Antonelli, A.; Rizzo, G.; Vinci, V.; Pizzuti, A.; Catalano, C.; Manganaro, L. MRI and US in the evaluation of fetal anomalies: The need to work together. Prenat. Diagn. 2017, 37, 1343–1349. [Google Scholar] [CrossRef]
- Meng, X.; Clews, J.; Kargas, V.; Wang, X.; Ford, R.C. The cystic fibrosis transmembrane conductance regulator (CFTR) and its stability. Cell. Mol. Life Sci. CMLS 2017, 74, 23–38. [Google Scholar] [CrossRef] [PubMed]
- Romero, R.; Pilu, G.; Jeanty, P.; Ghidini, A.; Hobbins, J.C. Prenatal Diagnosis of Congenital Anomalies; Appleton and Lange: Norwalk, CT, USA, 1988. [Google Scholar]
- Konje, J.C.; De Chazal, R.; MacFadyen, U.; Taylor, D.J. Antenatal diagnosis and management of meconium peritonitis: A case report and review of the literature. Ultrasound Obstet. Gynecol. 1995, 66, 6–69. [Google Scholar] [CrossRef] [PubMed]
- Nyberg, D.; Mahony, B.S.; Pretorius, D. Diagnostic Ultrasound of Fetal Anomalies: Text and Atlas; Year Book Medical Publishers: Chicago, IL, USA, 1990. [Google Scholar]



Publisher’s Note: MDPI stays neutral with regard to jurisdictional claims in published maps and institutional affiliations. |
© 2022 by the authors. Licensee MDPI, Basel, Switzerland. This article is an open access article distributed under the terms and conditions of the Creative Commons Attribution (CC BY) license (https://creativecommons.org/licenses/by/4.0/).
Share and Cite
Piccioni, M.G.; Merlino, L.; D’Ovidio, G.; Del Prete, F.; Galli, V.; Petrivelli, L.; Vena, F.; D’Ambrosio, V.; Giancotti, A.; Brunelli, R. Case Series of Acute Meconium Peritonitis Secondary to Perforation of the Ileum in the Antepartum Period. J. Clin. Med. 2022, 11, 7127. https://doi.org/10.3390/jcm11237127
Piccioni MG, Merlino L, D’Ovidio G, Del Prete F, Galli V, Petrivelli L, Vena F, D’Ambrosio V, Giancotti A, Brunelli R. Case Series of Acute Meconium Peritonitis Secondary to Perforation of the Ileum in the Antepartum Period. Journal of Clinical Medicine. 2022; 11(23):7127. https://doi.org/10.3390/jcm11237127
Chicago/Turabian StylePiccioni, Maria Grazia, Lucia Merlino, Giulia D’Ovidio, Federica Del Prete, Valerio Galli, Lucia Petrivelli, Flaminia Vena, Valentina D’Ambrosio, Antonella Giancotti, and Roberto Brunelli. 2022. "Case Series of Acute Meconium Peritonitis Secondary to Perforation of the Ileum in the Antepartum Period" Journal of Clinical Medicine 11, no. 23: 7127. https://doi.org/10.3390/jcm11237127
APA StylePiccioni, M. G., Merlino, L., D’Ovidio, G., Del Prete, F., Galli, V., Petrivelli, L., Vena, F., D’Ambrosio, V., Giancotti, A., & Brunelli, R. (2022). Case Series of Acute Meconium Peritonitis Secondary to Perforation of the Ileum in the Antepartum Period. Journal of Clinical Medicine, 11(23), 7127. https://doi.org/10.3390/jcm11237127

