Postoperative Femoral Nerve Palsy and Meralgia Paresthetica after Gynecologic Oncologic Surgery
Abstract
1. Introduction
2. Materials and Methods
3. Results
3.1. Patient Information
3.1.1. General Information
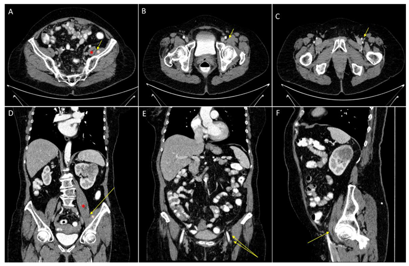
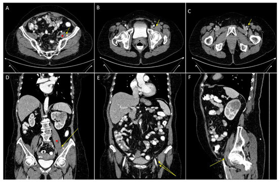
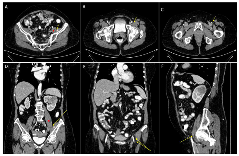
3.1.2. Femoral Nerve Palsy
3.1.3. Meralgia Paresthetica
3.1.4. Identified Risk Factors
3.1.5. Resolution of Symptoms
4. Discussion
5. Conclusions
Author Contributions
Funding
Institutional Review Board Statement
Informed Consent Statement
Data Availability Statement
Conflicts of Interest
References
- Moore, A.E.; Stringer, M.D. Iatrogenic femoral nerve injury: A systematic review. Surg. Radiol. Anat. 2011, 33, 649–658. [Google Scholar] [CrossRef]
 - Maneschi, F.; Nale, R.; Tozzi, R.; Bicciré, D.; Perrone, S.; Sarno, M. Femoral nerve injury complicating surgery for gynecologic cancer. Int. J. Gynecol. Cancer 2014, 24, 1112–1117. [Google Scholar] [CrossRef]
 - Orebaughl, S.L. The femoral nerve and its relationship to the lateral circumflex femoral artery. Anesth. Analg. 2006, 102, 1859–1862. [Google Scholar] [CrossRef]
 - Boontje, A.H.; Haaxma, R. Femoral neuropathy as a complication of aortic surgery. J. Cardiovasc. Surg. 1987, 28, 286–289. [Google Scholar]
 - Goldman, J.A.; Feldberg, D.; Dicker, D.; Samuel, N.; Dekel, A. Femoral neuropathy subsequent to abdominal hysterectomy. A comparative study. Eur. J. Obstet. Gynecol. Reprod. Biol. 1985, 20, 385–392. [Google Scholar] [CrossRef]
 - Bohrer, J.C.; Walters, M.D.; Park, A.; Polston, D.; Barber, M.D. Pelvic nerve injury following gynecologic surgery: A prospective cohort study. Am. J. Obstet. Gynecol. 2009, 201, 531.e1–531.e7. [Google Scholar] [CrossRef]
 - Lefevre, N.; Bohu, Y.; Klouche, S.; Chemla, N.; Herman, S. Complete paralysis of the quadriceps secondary to post-traumatic iliopsoas hematoma: A systematic review. Eur. J. Orthop. Surg. Traumatol. 2015, 25, 39–43. [Google Scholar] [CrossRef]
 - Rosenblum, J.; Schwarz, G.A.; Bendler, E. Femoral Neuropathy—A Neurological Complication of Hysterectomy. JAMA 1966, 95, 409–414. [Google Scholar] [CrossRef] [PubMed]
 - Kim, D.H.; Kline, D.G. Surgical outcome for intra- and extrapelvic femoral nerve lesions. J. Neurosurg. 1995, 83, 783–790. [Google Scholar] [CrossRef]
 - Kim, D.H.; Murovic, J.A.; Tiel, R.L.; Kline, D.G. Intrapelvic and thigh-level femoral nerve lesions: Management and outcomes in 119 surgically treated cases. J. Neurosurg. 2004, 100, 989–996. [Google Scholar] [CrossRef]
 - Irvin, W.; Andersen, W.; Taylor, P.; Rice, L. Minimizing the risk of neurologic injury in gynecologic surgery. Obstet. Gynecol. 2004, 103, 374–382. [Google Scholar] [CrossRef] [PubMed]
 - Cardosi, R.J.; Cox, C.S.; Hoffman, M.S. Postoperative neuropathies after major pelvic surgery. Obstet. Gynecol. 2002, 100, 240–244. [Google Scholar] [CrossRef] [PubMed]
 - Peters, G.; Larner, A.J. Meralgia paresthetica following gynecologic and obstetric surgery. Int. J. Gynecol. Obstet. 2006, 95, 42–43. [Google Scholar] [CrossRef]
 - Heidenreich, W.; Lorenzoni, E. Injury of the lateral cutaneous nerve of the thigh. A rare complication following gynecologic surgery. Geburtshilfe Frauenheilkd. 1983, 43, 766–768. [Google Scholar] [CrossRef] [PubMed]
 - Grothaus, M.C.; Holt, M.; Mekhail, A.O.; Ebraheim, N.A.; Yeasting, R.A. Lateral femoral cutaneous nerve: An anatomic study. Clin. Orthop. Relat. Res. 2005, 437, 164–168. [Google Scholar] [CrossRef]
 - Hanna, A. The lateral femoral cutaneous nerve canal. J. Neurosurg. 2017, 126, 972–978. [Google Scholar] [CrossRef]
 - Tubbs, R.S.; Salter, E.G.; Wellons, J.C.; Blount, J.P.; Oakes, W.J. Anatomical landmarks for the lumbar plexus on the posterior abdominal wall. J. Neurosurg. Spine 2005, 2, 335–338. [Google Scholar] [CrossRef]
 - Ray, B.; D‘Souza, A.S.; Kumar, B.; Marx, C.; Ghosh, B.; Gupta, N.K.; Marx, A. Variations in the course and microanatomical study of the lateral femoral cutaneous nerve and its clinical importance. Clin. Anat. 2010, 23, 978–984. [Google Scholar] [CrossRef]
 - Seddon, H.J. A classification of nerve injuries. Br. Med. J. 1942, 2, 237–239. [Google Scholar] [CrossRef]
 - Carballo Cuello, C.M.; De Jesus, O. Neurapraxia 2021; StatPearls Publishing: Treasure Island, FL, USA, 30 August 2021. [Google Scholar]
 - Gupta, A.; Meriwether, K.; Tuller, M.; Sekula, M.; Gaskins, J.; Stewart, J.R.; Hobson, D.; Cardenas-Trowers, O.; Francis, S. Candy Cane Compared With Boot Stirrups in Vaginal Surgery: A Randomized Controlled Trial. Obstet. Gynecol. 2020, 136, 333–341. [Google Scholar] [CrossRef]
 - Whitis, A.M.; Chen, E.; Sekhon, M.; Akella, S.; Bradley, C.S.; Kowalski, J.T. Postoperative Lower Extremity Neuropathy With Boot Stirrups Compared With Candy Cane Stirrups. Obstet. Gynecol 2021, 137, 916–923. [Google Scholar] [CrossRef]
 - Velchuru, V.; Domajnko, B.; deSouza, A.; Marecik, S.; Prasad, L.M.; Park, J.J.; Abcarian, H. Obesity increases the risk of postoperative peripheral neuropathy after minimally invasive colon and rectal surgery. Dis. Colon Rectum 2014, 57, 187–193. [Google Scholar] [CrossRef]
 - Clarke-Pearson, D.L.; Geller, E.J. Complications of hysterectomy. Obstet. Gynecol. 2013, 121, 654–673. [Google Scholar] [CrossRef]
 - Nobel, W.; Marks, S.C.; Jr; Kubik, S. The anatomical basis for femoral nerve palsy following iliacus hematoma. J. Neurosurg. 1980, 52, 533–540. [Google Scholar] [CrossRef]
 - Ozcakar, L.; Isik, M.; Erol, O.; Dagan, S.; Onat, A.M. Iliopsoas muscle injury during a femoral artery puncture: Benign but disabling. J. Crit. Care 2003, 18, 259–260. [Google Scholar] [CrossRef]
 - Bland, K.A.; Kirkham, A.A.; Bovard, J.; Shenkier, T.; Zucker, D.; McKenzie, D.C.; Davis, M.K.; Gelmon, K.A.; Campbell, K.L. Effect of Exercise on Taxane Chemotherapy-Induced Peripheral Neuropathy in Women With Breast Cancer: A Randomized Controlled Trial. Clin. Breast. Cancer 2019, 19, 411–422. [Google Scholar] [CrossRef]
 - Bodman, M.A.; Varacallo, M. Peripheral Diabetic Neuropathy 2021; StatPearls Publishing: Treasure Island, FL, USA, January 2021–26 July 2021.
 - Van Slobbe, A.M.; Bohnen, A.M.; Bernsen, R.M.D.; Koes, B.W.; Bierma-Zeinstra, S.M.A. Incidence rates and determinants in meralgia paresthetica in general practice. J. Neurol. 2004, 251, 294–297. [Google Scholar] [CrossRef]
 - Salzmann, S.N.; Shue, J.; Hughes, A.P. Lateral lumbar interbody fusion—Outcomes and complications. Curr. Rev. Musculoskelet. Med. 2017, 10, 539–546. [Google Scholar] [CrossRef]
 - Silverstein, J.; Mermelstein, L.; De Wal, H.; Basra, S. Saphenous nerve somatosensory evoked potentials: A novel technique to monitor the femoral nerve during transpsoas lumbar lateral interbody fusion. Spine 2014, 39, 1254–1260. [Google Scholar] [CrossRef]
 - Silverstein, J.W.; Block, J.; Smith, M.L.; Bomback, D.A.; Sanderson, S.; Paul, J.; Ball, H.; Ellis, J.A.; Goldstein, M.; Kramer, D.L.; et al. Femoral nerve neuromonitoring for lateral lumbar interbody fusion surgery. Spine J. 2022, 22, 296–304. [Google Scholar] [CrossRef]
 


| Femoral Nerve Injury | Femoral Nerve Intact | |
|---|---|---|
| Femoral artery catheter | Yes: 5  No: 10  | Yes: 75  No: 886  | 
| Peridrual catheter | Yes: 8  No: 7  | Yes: 329  No: 632  | 
| Duration of surgery in minutes | Median 413 (105–624) | Median 243 (15–770) | 
| Lymphnode dissection | Yes:11  No: 4  | Yes: 535  No: 426  | 
| Positioning | Candy canes: 6  Boot stirrups: 9  | Candy canes: 725  Boot stirrups: 236  | 
| Age | Median 65 (42–75) | Median 59 (14–88) | 
| Arterial hypertension | Yes: 5  No: 10  | Yes: 353  No: 608  | 
| Smoking | Yes: 4  No:11  | Yes: 89  No:872  | 
| Polyneuropathy | Yes:2  No: 13  | Yes: 13  No: 948  | 
| Chemotherapy before surgery | Yes: 10  No: 5  | Yes: 234  No: 727  | 
| Coronary heart disease | Yes: 0  No: 15  | Yes: 45  No: 916  | 
| Diabetes mellitus | Yes: 0  No:15  | Yes: 112  No: 849  | 
| BMI <185 18.5–24.9 25–29.9 30–34.9 35–39.9 >40 n/a  | 0 8 4 3 0 0 0  | 20 404 244 139 37 56 61  | 
| Entity | Number of Patients | Percent (%) | 
|---|---|---|
| Cervical cancer in total | 117 | 11.9 | 
| primary adenocarcinoma | 25 | 2.6 | 
| primary squamous carcinoma | 77 | 7.9 | 
| recurrent adenocarcinoma | 2 | 0.2 | 
| recurrent squamous carcinoma | 11 | 1.1 | 
| mucinous carcinoma | 2 | 0.2 | 
| Ovarian cancer in total | 441 | 45.2 | 
| Primary | 289 | 29.6 | 
| Recurrent | 79 | 8.1 | 
| borderline tumor | 73 | 7.5 | 
| Vulvar cancer in total | 191 | 19.6 | 
| Primary | 146 | 14.9 | 
| Recurrent | 41 | 4.2 | 
| Basalioma | 4 | 0.4 | 
| Vulvar melanoma | 30 | 3.1 | 
| Endometrial cancer in total | 148 | 15.2 | 
| Primary | 127 | 13.0 | 
| Recurrent | 7 | 0.7 | 
| Carcinosarcoma | 14 | 1.4 | 
| Uterine sarcoma | 11 | 1.1 | 
| Stromal | 9 | 0.9 | 
| Leiomyosarcoma | 2 | 0.2 | 
| Vaginal carcinoma | 8 | 0.8 | 
| Primary | 6 | 0.6 | 
| Recurrent | 2 | 0.2 | 
| Sex cord stromal tumors | 16 | 1.6 | 
| Granulosacell tumor | 10 | 1.0 | 
| Recurrent granulosacell tumor | 5 | 0.5 | 
| Sertoli-Leydig cell tumor | 1 | 0.1 | 
| Germ cell tumors | 8 | 0.8 | 
| Dysgerminoma | 1 | 0.1 | 
| Malign teratoma | 3 | 0.3 | 
| Yolk sac tumor | 2 | 0.2 | 
| Embryonalcell tumor | 1 | 0.1 | 
| Chorioncarcinoma | 1 | 0.1 | 
| Krukenberg Tumor | 3 | 0.3 | 
| Mesothelioma | 1 | 0.1 | 
| Carcinoid | 1 | 0.1 | 
| Sweat gland carcinoma | 1 | 0.1 | 
| Age | Diagnosis | Surgery | Surgery in Min | Patient Positioning | Retractor | BMI | Medical History  1. Prior Chemotherapy 2. Nicotine Abuse 3. PNP  | 
|---|---|---|---|---|---|---|---|
| 65 | OC | CS, pp LNE | 511 | Li, B | C | 25 | 1, 3 | 
| 43 | OC | CS, pp LNE | 388 | Li, CC | C | 30 | 1 | 
| 59 | VaC | VV, ing. LNE | 105 | Li, B | None | 25 | 2 | 
| 67 | EC | CS, pp LNE | 581 | Li, B | C | 19 | 1, 3 | 
| 75 | OC | CS | 456 | Li, B | C | 21 | 1 | 
| 71 | OC | CS, ppLNE | 413 | Li, B | M | 24 | 1 | 
| 74 | OC | CS, pp LNE | 430 | Li, CC | C | 21 | None | 
| 42 | OC | CS, ppLNE | 601 | Li, B | C | 27 | 1, 2 | 
| 75 | OC | CS | 193 | Li, CC | M | 24 | None | 
| 71 | VC | VV, ing. LNE | 175 | Li, CC | None | 30 | None | 
| 65 | EC | L-HE-AE-OE, pp LNE  | 510 | Li, B | C | 20 | 1 | 
| 70 | CC | RHE | 305 | Li, CC | M | 30 | None | 
| 59 | OC | CS, ppLNE | 524 | Li, B | C | 19 | 1 | 
| 45 | OC | CS, pp LNE | 624 | Li, B | C | 27 | 2 | 
| 48 | OC | CS, pp LNE | 345 | Li, CC | M | 22 | 1, 2 | 
| Age | Entity | Surgery | Surgery in Min | Positioning | Retractor | BMI | Comorbidity  1. After Chemotherapy 2. Nicotine Abuse  | 
|---|---|---|---|---|---|---|---|
| 72 | OC | CS, pp LNE | 605 | Li, B | C | 26 | None | 
| 71 | VC | VV; ing LNE | 175 | Li, CC | None | 30 | None | 
| 70 | EC | CS | 295 | Li, CC | M | 33 | None | 
| 53 | OC | CS, ppLNE | 365 | Li, B | C | 27 | 1 | 
| 50 | OC | CS, ppLNE | 534 | Li, CC | C | 26 | 1 | 
| 49 | OC | CS | 440 | Li, CC | C | 26 | 1 | 
| 49 | OC | CS, pp LNE | 260 | Li, CC | M | 32 | 1 | 
| 48 | CC | HE—AE | 119 | Li, B | C | 19 | 2 | 
| 48 | OC | CS, pp LNE | 345 | Li, CC | M | 22 | 1, 2 | 
| 46 | OC | CS | 316 | Li, CC | M | 20 | None | 
| 42 | OC | CS pp LNE | 601 | Li, B | C | 27 | 1, 2 | 
| Femoral Nerv Palsy | ||
|---|---|---|
| Factor | p-Value | |
| Duration of surgery | 3/447 < 245 min  12/529 > 245 min  | 0.0000 | 
| Positioning | 9/245 with boot stirrups  6/731 with candy canes  | 0.0040 | 
| Arterial femoral catheter | 5/80 with catheter  10/896 without catheter  | 0.0051 | 
| Prior chemotherapy (ctx) | 10/244 with ctx  5/732 without ctx  | 0.0007 | 
| Nicotine abuse (na) | 4/93 with na  10/883 without na  | 0.0456 | 
| Prior polyneuropahty (pp) | 2/16 with pp  13/960 without pp  | 0.0181 | 
| Meralgia Paresthetica | ||
| Factor | p-Value | |
| Nicotine abuse (na) | 4/93 with na 7/883 without na  | 0.0335 | 
| Prior chemotherapy (ctx) | 6/244 with ctx  5/732 without ctx  | 0.0151 | 
Publisher’s Note: MDPI stays neutral with regard to jurisdictional claims in published maps and institutional affiliations.  | 
© 2022 by the authors. Licensee MDPI, Basel, Switzerland. This article is an open access article distributed under the terms and conditions of the Creative Commons Attribution (CC BY) license (https://creativecommons.org/licenses/by/4.0/).
Share and Cite
Egger, E.K.; Sezer, O.; Condic, M.; Recker, F.; Marinova, M.; Hilbert, T.; Koscielny, A.; Mustea, A. Postoperative Femoral Nerve Palsy and Meralgia Paresthetica after Gynecologic Oncologic Surgery. J. Clin. Med. 2022, 11, 6242. https://doi.org/10.3390/jcm11216242
Egger EK, Sezer O, Condic M, Recker F, Marinova M, Hilbert T, Koscielny A, Mustea A. Postoperative Femoral Nerve Palsy and Meralgia Paresthetica after Gynecologic Oncologic Surgery. Journal of Clinical Medicine. 2022; 11(21):6242. https://doi.org/10.3390/jcm11216242
Chicago/Turabian StyleEgger, Eva Katharina, Oezge Sezer, Mateja Condic, Florian Recker, Milka Marinova, Tobias Hilbert, Arne Koscielny, and Alexander Mustea. 2022. "Postoperative Femoral Nerve Palsy and Meralgia Paresthetica after Gynecologic Oncologic Surgery" Journal of Clinical Medicine 11, no. 21: 6242. https://doi.org/10.3390/jcm11216242
APA StyleEgger, E. K., Sezer, O., Condic, M., Recker, F., Marinova, M., Hilbert, T., Koscielny, A., & Mustea, A. (2022). Postoperative Femoral Nerve Palsy and Meralgia Paresthetica after Gynecologic Oncologic Surgery. Journal of Clinical Medicine, 11(21), 6242. https://doi.org/10.3390/jcm11216242
        
