Primary Amenorrhea with Apparently Absent Uterus: A Report of Three Cases
Abstract
:1. Introduction
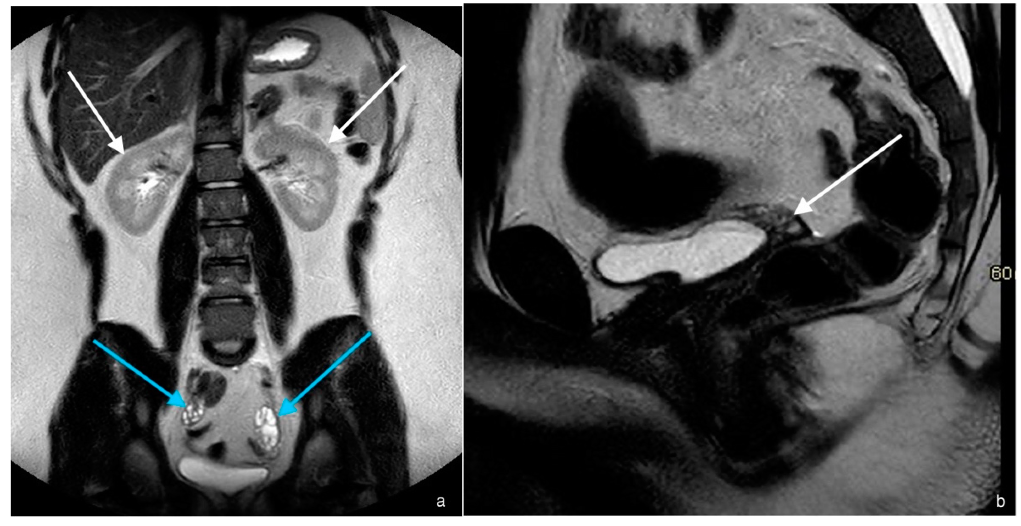
2. Case 1
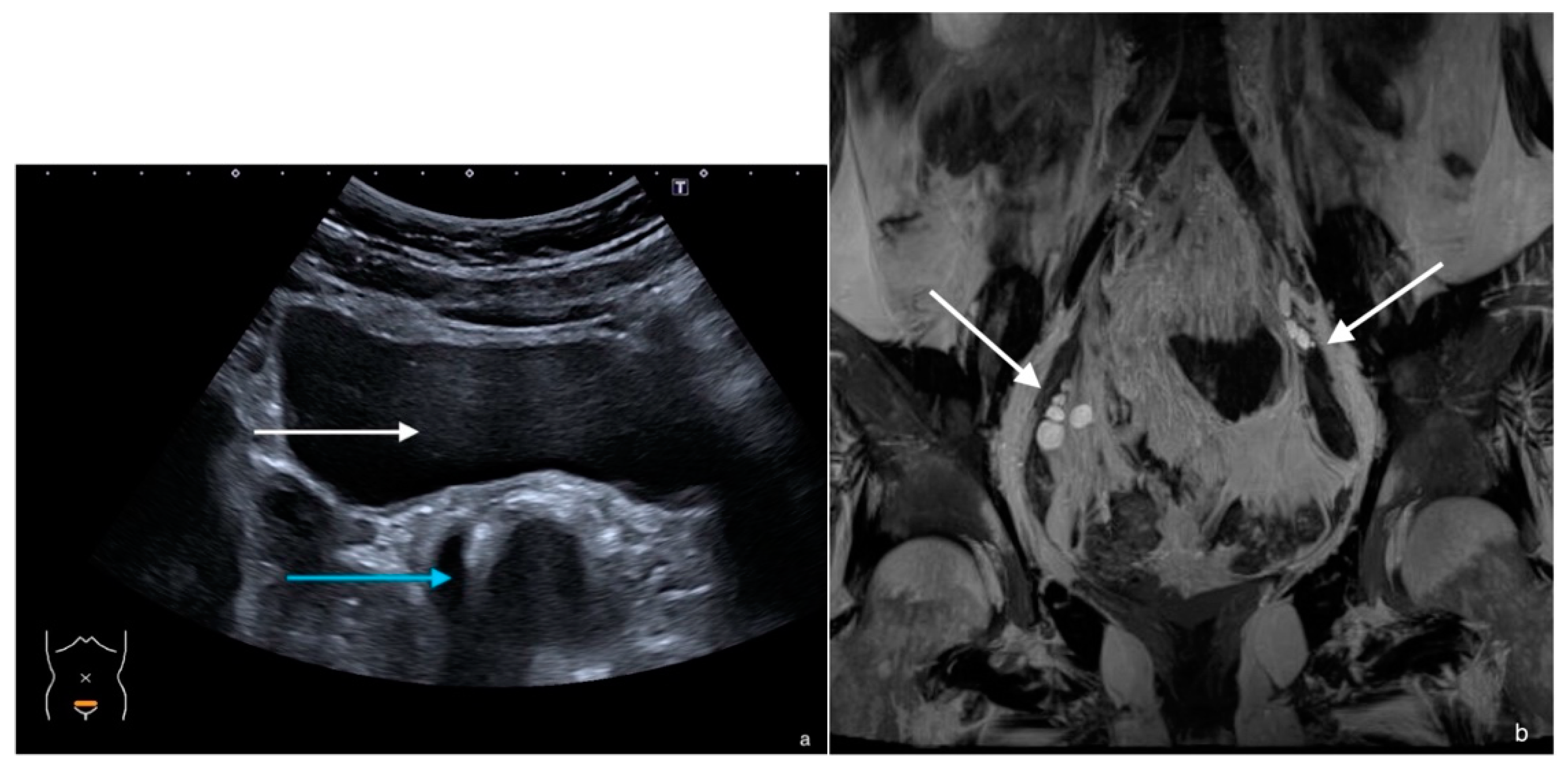
3. Case 2
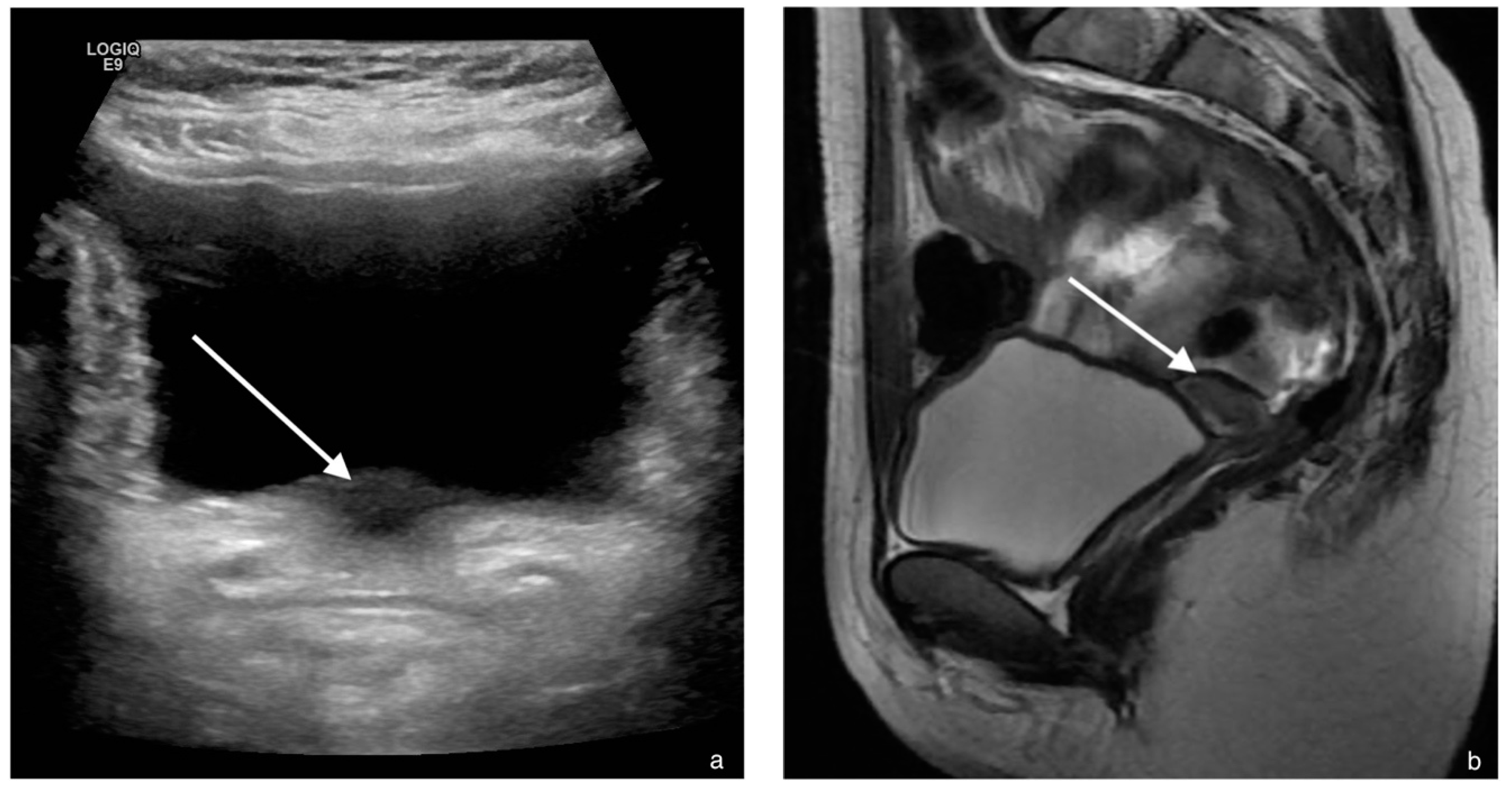
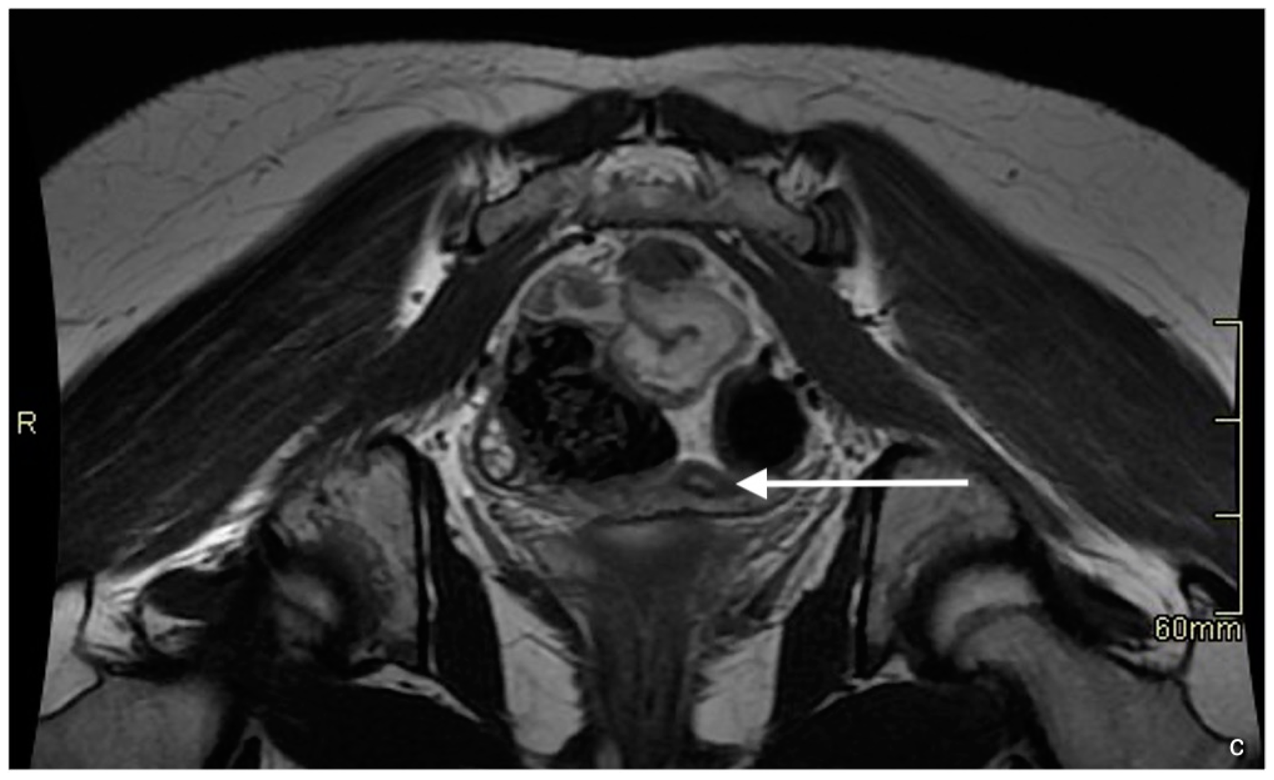
4. Case 3
5. Discussion
6. Conclusions
Author Contributions
Funding
Institutional Review Board Statement
Informed Consent Statement
Data Availability Statement
Acknowledgments
Conflicts of Interest
References
- Teede, H.J.; Misso, M.L.; Costello, M.F.; Dokras, A.; Laven, J.; Moran, L.; Piltonen, T.; Norman, R.J.; International, P.N. Recommendations from the international evidence-based guideline for the assessment and management of polycystic ovary syndrome. Clin. Endocrinol. 2018, 89, 251–268. [Google Scholar] [CrossRef] [PubMed] [Green Version]
- Klein, D.A.; Poth, M.A. Amenorrhea: An approach to diagnosis and management. Am. Fam. Physician 2013, 87, 781–788. [Google Scholar] [PubMed]
- Nederlandse Vereniging Obstetrie & Gynaecologie (NVOG). Primaire Amenorroe. Available online: https://richtlijnendatabase.nl/richtlijn/primaire_amenorroe/primaire_amenorroe_-_startpagina.html (accessed on 5 May 2022).
- Rosenberg, H.K. Sonography of the pelvis in patients with primary amenorrhea. Endocrinol. Metab. Clin. N. Am. 2009, 38, 739–760. [Google Scholar] [CrossRef] [PubMed]
- Pendergrass, P.B.; Reeves, C.A.; Belovicz, M.W.; Molter, D.J.; White, J.H. The shape and dimensions of the human vagina as seen in three-dimensional vinyl polysiloxane casts. Gynecol. Obstet. Investig. 1996, 42, 178–182. [Google Scholar] [CrossRef] [PubMed]
- van Rijn, R.R.; Lequin, M.H.; Thodberg, H.H. Automatic determination of Greulich and Pyle bone age in healthy Dutch children. Pediatr. Radiol. 2009, 39, 591–597. [Google Scholar] [CrossRef] [PubMed] [Green Version]
- Herlin, M.K.; Petersen, M.B.; Brannstrom, M. Mayer-Rokitansky-Kuster-Hauser (MRKH) syndrome: A comprehensive update. Orphanet J. Rare Dis. 2020, 15, 214. [Google Scholar] [CrossRef] [PubMed]
- Lanciotti, L.; Cofini, M.; Leonardi, A.; Bertozzi, M.; Penta, L.; Esposito, S. Different Clinical Presentations and Management in Complete Androgen Insensitivity Syndrome (CAIS). Int. J. Environ. Res. Public Health 2019, 16, 1268. [Google Scholar] [CrossRef] [PubMed] [Green Version]
- Wang, Y.; He, Y.L.; Yuan, L.; Yu, J.C.; Xue, H.D.; Jin, Z.Y. Typical and atypical pelvic MRI characteristics of Mayer-Rokitansky-Kuster-Hauser syndrome: A comprehensive analysis of 201 patients. Eur. Radiol. 2020, 30, 4014–4022. [Google Scholar] [CrossRef] [PubMed]
- Berglund, A.; Burt, E.; Cameron-Pimblett, A.; Davies, M.C.; Conway, G.S. A critical assessment of case reports describing absent uterus in subjects with oestrogen deficiency. Clin. Endocrinol. 2019, 90, 822–826. [Google Scholar] [CrossRef] [PubMed]
- Michala, L.; Aslam, N.; Conway, G.S.; Creighton, S.M. The clandestine uterus: Or how the uterus escapes detection prior to puberty. BJOG 2010, 117, 212–215. [Google Scholar] [CrossRef] [PubMed]
- Heller-Boersma, J.G.; Schmidt, U.H.; Edmonds, D.K. Psychological distress in women with uterovaginal agenesis (Mayer-Rokitansky-Kuster-Hauser Syndrome, MRKH). Psychosomatics 2009, 50, 277–281. [Google Scholar] [CrossRef] [PubMed] [Green Version]





| Case 1 | Case 2 | Case 3 | ||
|---|---|---|---|---|
| Diagnosis | MRKHS | CAIS | Hypogonadotropic hypogonadism e.c.i. | |
| History | Normal start of breast development and pubarche | Normal start of breast development, no pubarche | Delayed and incomplete breast development, normal pubarche | |
| Physical examination | Tanner M4 P4 Female external genitalia with no virilization Short blind-ending vagina | Tanner M5 P1 Female external genitalia with no virilization. Tall stature. No axillary hair | Tanner M1-2 P2-3 Female external genitalia with no virilization BMI 15.8 kg/m2 (−2.2 SD) Height 1.56 m (−1.78 SD) | |
| Biochemical analysis | reference values | |||
| LH | 2.4–12.6 E/L (follicular), 14.0–95.6 (ovular), 1.0–11.4 (luteal) | 38.8 | 24 | 0.5 |
| FSH | 3.5–12.5 E/L (follicular); 4.7–21.5 (ovular); 1.7–7.7 (luteal) | 6.6 | 2.8 | 1.2 |
| Estradiol | 45–854 pmol/L (follicular); 151–1461 (ovular); 82–1251 (luteal) | 470 | 78 | <18 |
| AMH | 0.52–12.01 ug/L | 2.5 | 1292 | 10.1 |
| Testosterone | 0.52–2.0 nmol/L | 13 | ||
| Progesterone | <1.3 (follicular); 1.3–12 (mid cycle); 19–120 (luteal) nmol/L | 1.7 | <0.25 | |
| Prolactin | 100–760 mE/L | 250 | ||
| TSH | 0.27–4.20 mE/L | 2.5 | ||
| Karyotype | 46,XX | 46,XY | 46,XX | |
| Imaging findings | ultrasound | No visualization of uterus or ovaries | No visualization of uterus or ovaries | No visualization of uterus or ovaries |
| MRI report on primary investigation | Absent uterus, impression of hypoplastic vagina. Normal multicystic ovaries | Absent uterus and presence of a short vagina. Normal ovaries | Normal multicystic ovaries and a small uterus of 2.3 × 1.3 cm, described as rudimentary uterus | |
| MRI after referral | Lipofibromatous tissue at location of the uterus, no endo- myometrial or cervical structures. Normal multicystic ovaries | Underdeveloped Müllerian structures. Gonads with (ovo)testicular aspect | Small uterus with normal endo- and myometrial tissue, normal multicystic ovaries | |
Publisher’s Note: MDPI stays neutral with regard to jurisdictional claims in published maps and institutional affiliations. |
© 2022 by the authors. Licensee MDPI, Basel, Switzerland. This article is an open access article distributed under the terms and conditions of the Creative Commons Attribution (CC BY) license (https://creativecommons.org/licenses/by/4.0/).
Share and Cite
Porsius, E.; Spath, M.; Kluivers, K.; Klein, W.; Claahsen-van der Grinten, H. Primary Amenorrhea with Apparently Absent Uterus: A Report of Three Cases. J. Clin. Med. 2022, 11, 4305. https://doi.org/10.3390/jcm11154305
Porsius E, Spath M, Kluivers K, Klein W, Claahsen-van der Grinten H. Primary Amenorrhea with Apparently Absent Uterus: A Report of Three Cases. Journal of Clinical Medicine. 2022; 11(15):4305. https://doi.org/10.3390/jcm11154305
Chicago/Turabian StylePorsius, Eva, Marian Spath, Kirsten Kluivers, Willemijn Klein, and Hedi Claahsen-van der Grinten. 2022. "Primary Amenorrhea with Apparently Absent Uterus: A Report of Three Cases" Journal of Clinical Medicine 11, no. 15: 4305. https://doi.org/10.3390/jcm11154305
APA StylePorsius, E., Spath, M., Kluivers, K., Klein, W., & Claahsen-van der Grinten, H. (2022). Primary Amenorrhea with Apparently Absent Uterus: A Report of Three Cases. Journal of Clinical Medicine, 11(15), 4305. https://doi.org/10.3390/jcm11154305

