Safety and Feasibility Assessment of Repetitive Vascular Occlusion Stimulus (RVOS) Application to Multi-Organ Failure Critically Ill Patients: A Pilot Randomised Controlled Trial
Abstract
1. Introduction
2. Materials and Methods
2.1. Study Design
2.2. Study Participants
2.3. Study Protocol
2.4. Statistical Analysis
3. Results
3.1. Feasibility
3.2. Tolerability of RVOS
3.3. Acceptability
3.4. Exploratory Measures
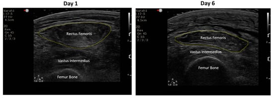
3.4.1. Effect on Rectus Femoris Cross-Sectional Area and Echogenicity
3.4.2. Effects of RVOS on Muscle Function
3.4.3. Effects of RVOS on Vascular Health
3.4.4. Effects of RVOS on Clinical Outcomes
3.4.5. Effects of RVOS on Blood Biomarkers
4. Discussion
4.1. Primary Outcome Measures
4.2. Exploratory Measures
4.3. Muscle Function
4.4. Vascular Measures
4.5. Clinical Outcome
4.6. Blood Biomarkers
4.7. Limitations
5. Conclusions
Supplementary Materials
Author Contributions
Funding
Institutional Review Board Statement
Informed Consent Statement
Data Availability Statement
Acknowledgments
Conflicts of Interest
Abbreviations
| AKI | Acute kidney injury |
| APTR | Activated partial thromboplastin time ratio |
| APTT | Activated partial thromboplastin time |
| CPAP | Continuous positive airway pressure |
| FMD | Flow mediated dilation |
| ICU | Intensive care unit |
| ICU-AW | Intensive care unit-acquired weakness |
| MRC-SS | Medical research council sum score |
| RCT | Randomised controlled trial |
| RFCSA | Rectus femoris cross-sectional area |
| RRT | Renal replacement therapy |
| RVOS | Repetitive vascular occlusion stimulus |
| SAEs | Serious adverse events |
| SBP | Systolic blood pressure |
| SFA | Superficial femoral artery |
| SOFA | Sequential Organ Failure Assessment Score |
| STS | Sit to stand |
| TUG | Timed up and go |
| VAS | Visual analogue scale |
References
- Hutchings, A.; Durand, M.A.; Grieve, R.; Harrison, D.; Rowan, K.; Green, J.; Cairns, J.; Black, N. Evaluation of modernisation of adult critical care services in England: Time series and cost effectiveness analysis. BMJ 2009, 339, b4353. [Google Scholar] [CrossRef]
- Milbrandt, E.; Kersten, A.; Watson, S.; Rahim, M.; Clermont, G.; Angus, D.; Linde-Zwirble, W. Rising use of intensive care unit services in Medicare. Crit. Care 2005, 9, 112. [Google Scholar]
- Zimmerman, J.E.; Kramer, A.A.; Knaus, W.A. Changes in hospital mortality for United States intensive care unit admissions from 1988 to 2012. Crit. Care 2013, 17, R81. [Google Scholar] [CrossRef]
- Iwashyna, T.J.; Ely, E.W.; Smith, D.M.; Langa, K.M. Long-term Cognitive Impairment and Functional Disability among Survivors of Severe Sepsis. JAMA 2010, 304, 1787–1794. [Google Scholar] [CrossRef]
- Erridge, M.S.; Tansey, C.M.; Matté, A.; Tomlinson, G.; Diaz-Granados, N.; Cooper, A.; Guest, C.B.; Mazer, C.D.; Mehta, S.; Stewart, T.E.; et al. Functional Disability 5 Years after Acute Respiratory Distress Syndrome. N. Engl. J. Med. 2011, 364, 1293–1304. [Google Scholar] [CrossRef]
- National Institute for Health and Care Excellence. Rehabilitation after Critical Ilness in Adults; NICE Guideline 83; National Institute for Health and Care Excellence: London, UK, 2009. [Google Scholar]
- Appleton, R.T.; Kinsella, J.; Quasim, T. The incidence of intensive care unit-acquired weakness syndromes: A systematic review. J. Intensiv. Care Soc. 2014, 16, 126–136. [Google Scholar] [CrossRef]
- Khan, J.; Harrison, T.B.; Rich, M.M.; Moss, M. Early development of critical illness myopathy and neuropathy in patients with severe sepsis. Neurology 2006, 67, 1421–1425. [Google Scholar] [CrossRef]
- Mirzakhani, H.; Williams, J.-N.; Mello, J.; Joseph, S.; Meyer, M.; Waak, K.; Schmidt, U.; Kelly, E.; Eikermann, M. Muscle Weakness Predicts Pharyngeal Dysfunction and Symptomatic Aspiration in Long-term Ventilated Patients. Anesthesiology 2013, 119, 389–397. [Google Scholar] [CrossRef]
- Ali, N.A.; O’Brien, J.M.; Hoffmann, S.P.; Phillips, G.; Garland, A.; Finley, J.C.W.; Almoosa, K.; Hejal, R.; Wolf, K.M.; Lemeshow, S.; et al. Acquired weakness, handgrip strength, and mortality in critically ill patients. Am. J. Respir. Crit. Care Med. 2008, 178, 261–268. [Google Scholar] [CrossRef]
- Hermans, G.; Van Mechelen, H.; Clerckx, B.; Vanhullebusch, T.; Mesotten, D.; Wilmer, A.; Casaer, M.; Meersseman, P.; Debaveye, Y.; Van Cromphaut, S.; et al. Acute Outcomes and 1-Year Mortality of Intensive Care Unit–acquired Weakness. A Cohort Study and Propensity-matched Analysis. Am. J. Respir. Crit. Care Med. 2014, 190, 410–420. [Google Scholar] [CrossRef]
- Wieske, L.; Dettling-Ihnenfeldt, D.S.; Verhamme, C.; Nollet, F.; van Schaik, I.N.; Schultz, M.J.; Horn, J.; van der Schaaf, M. Impact of ICU-acquired weakness on post-ICU physical functioning: A follow-up study. Crit. Care 2015, 19, 196. [Google Scholar] [CrossRef]
- Kelmenson, D.A.; Held, N.; Allen, R.R.; Quan, D.; Burnham, E.L.; Clark, B.J.; Ho, P.M.; Kiser, T.H.; Vandivier, R.W.; Moss, M. Outcomes of ICU patients with a discharge diagnosis of critical illness polyneuromyopathy: A propensity-matched analysis. Crit. Care Med. 2017, 45, 2055–2060. [Google Scholar] [CrossRef]
- Sharshar, T.; Bastuji-Garin, S.; Stevens, R.D.; Durand, M.-C.; Malissin, I.; Rodriguez, P.; Cerf, C.; Outin, H.; De Jonghe, B. Presence and severity of intensive care unit-acquired paresis at time of awakening are associated with increased intensive care unit and hospital mortality. Crit. Care Med. 2009, 37, 3047–3053. [Google Scholar] [CrossRef]
- Lacomis, D.; Zochodne, D.W.; Bird, S.J. Critical illness myopathy. Muscle Nerve 2000, 23, 1785–1788. [Google Scholar] [CrossRef]
- Stevens, R.D.; Marshall, S.A.; Cornblath, D.R.; Hoke, A.; Needham, D.M.; De Jonghe, B.; Ali, N.A.; Sharshar, T. A framework for diagnosing and classifying intensive care unit-acquired weakness. Crit. Care Med. 2009, 37 (Suppl. S10), 299–308. [Google Scholar] [CrossRef]
- Wollersheim, T.; Woehlecke, J.; Krebs, M.; Hamati, J.; Lodka, D.; Luther-Schroeder, A.; Langhans, C.; Haas, K.; Radtke, T.; Kleber, C.; et al. Dynamics of myosin degradation in intensive care unit-acquired weakness during severe critical illness. Intensiv. Care Med. 2014, 40, 528–538. [Google Scholar] [CrossRef]
- Puthucheary, Z.A.; Rawal, J.; McPhail, M.; Connolly, B.; Ratnayake, G.; Chan, P.; Hopkinson, N.S.; Padhke, R.; Dew, T.; Sidhu, P.S.; et al. Acute Skeletal Muscle Wasting in Critical Illness. JAMA 2013, 310, 1591–1600. [Google Scholar] [CrossRef]
- Burtin, C.; Clerckx, B.; Robbeets, C.; Ferdinande, P.; Langer, D.; Troosters, T.; Hermans, G.; Decramer, M.; Gosselink, R. Early exercise in critically ill patients enhances short-term functional recovery. Crit. Care Med. 2009, 37, 2499–2505. [Google Scholar] [CrossRef]
- Schweickert, W.D.; Pohlman, M.C.; Pohlman, A.S.; Nigos, C.; Pawlik, A.J.; Esbrook, C.L.; Spears, L.; Miller, M.; Franczyk, M.; Deprizio, D.; et al. Early physical and occupational therapy in mechanically ventilated, critically ill patients: A randomised controlled trial. Lancet 2009, 373, 1874–1882. [Google Scholar] [CrossRef]
- Morris, P.E.; Goad, A.; Thompson, C.; Taylor, K.; Harry, B.; Passmore, L.; Ross, A.; Anderson, L.; Baker, S.; Sanchez, M.; et al. Early intensive care unit mobility therapy in the treatment of acute respiratory failure. Crit. Care Med. 2008, 36, 2238–2243. [Google Scholar] [CrossRef]
- Eggmann, S.; Verra, M.L.; Luder, G.; Takala, J.; Jakob, S.M. Effects of early, combined endurance and resistance training in mechanically ventilated, critically ill patients: A study protocol for a randomised controlled trial. PLoS ONE 2016, 17, 403. [Google Scholar] [CrossRef]
- Hickmann, C.E.; Castanares-Zapatero, D.; Deldicque, L.; Van den Bergh, P.; Caty, G.; Robert, A.; Roeseler, J.; Francaux, M.; Laterre, P.-F. Impact of Very Early Physical Therapy during Septic Shock on Skeletal Muscle. Crit. Care Med. 2018, 46, 1436–1443. [Google Scholar] [CrossRef]
- Wollersheim, T.; Grunow, J.J.; Carbon, N.M.; Haas, K.; Malleike, J.; Ramme, S.F.; Schneider, J.; Spies, C.D.; Mardian, S.; Mai, K.; et al. Muscle wasting and function after muscle activation and early protocol-based physiotherapy: An explorative trial. J. Cachexia Sarcopenia Muscle 2019, 10, 734–747. [Google Scholar] [CrossRef]
- Segers, J.; Vanhorebeek, I.; Langer, D.; Charususin, N.; Wei, W.; Frickx, B.; Demeyere, I.; Clerckx, B.; Casaer, M.; Derese, I.; et al. Early neuromuscular electrical stimulation reduces the loss of muscle mass in critically ill patients—A within subject randomized controlled trial. J. Crit. Care 2020, 62, 65–71. [Google Scholar] [CrossRef]
- Fossat, G.; Baudin, F.; Courtes, L.; Bobet, S.; Dupont, A.; Bretagnol, A.; Benzekri-Lefèvre, D.; Kamel, T.; Muller, G.; Bercault, N.; et al. Effect of In-Bed Leg Cycling and Electrical Stimulation of the Quadriceps on Global Muscle Strength in Critically Ill Adults. JAMA 2018, 320, 368–378. [Google Scholar] [CrossRef]
- Fischer, A.; Spiegl, M.; Altmann, K.; Winkler, A.; Salamon, A.; Themessl-Huber, M.; Mouhieddine, M.; Strasser, E.M.; Schiferer, A.; Paternostro-Sluga, T.; et al. Muscle mass, strength and functional outcomes in critically ill patients after cardiothoracic surgery: Does neuromuscular electrical stimulation help? The Catastim 2 randomized controlled trial. Crit. Care 2016, 20, 1–13. [Google Scholar] [CrossRef]
- Kho, M.E.; Truong, A.D.; Zanni, J.M.; Ciesla, N.D.; Brower, R.G.; Palmer, J.B.; Needham, D.M. Neuromuscular electrical stimulation in mechanically ventilated patients: A randomized, sham-controlled pilot trial with blinded outcome assessment. J. Crit. Care 2014, 30, 32–39. [Google Scholar] [CrossRef]
- Maffiuletti, N.A.; Roig, M.; Karatzanos, E.; Nanas, S. Neuromuscular electrical stimulation for preventing skeletal-muscle weakness and wasting in critically ill patients: A systematic review. BMC Med. 2013, 11, 137. [Google Scholar] [CrossRef]
- Burke, D.; Gorman, E.; Stokes, D.; Lennon, O. An evaluation of neuromuscular electrical stimulation in critical care using the ICF framework: A systematic review and meta-analysis. Clin. Respir. J. 2014, 10, 407–420. [Google Scholar] [CrossRef]
- Hermans, G.; De Jonghe, B.; Bruyninckx, F.; Van den Berghe, G. Interventions for preventing critical illness polyneuropathy and critical illness myopathy. Cochrane Libr. 2014, 1, CD006832. [Google Scholar] [CrossRef]
- Wageck, B.; Nunes, G.S.; Silva, F.L.; Damasceno, M.C.P.; de Noronha, M. Application and effects of neuromuscular electrical stimulation in critically ill patients: Systemic review. Med. Intensiva 2014, 38, 444–454. [Google Scholar] [CrossRef]
- Doiron, K.A.; Hoffmann, T.C.; Beller, E.M. Early intervention (mobilization or active exercise) for critically ill adults in the intensive care unit. Cochrane Database Syst. Rev. 2018, 3, CD010754. [Google Scholar] [CrossRef]
- Takarada, Y.; Takazawa, H.; Ishii, N. Applications of vascular occlusion diminish disuse atrophy of knee extensor muscles. Med. Sci. Sports Exerc. 2000, 32, 2035–2039. [Google Scholar] [CrossRef]
- De Groot, P.C.E.; Thijssen, D.H.J.; Sanchez, M.; Ellenkamp, R.; Hopman, M.T.E. Ischemic preconditioning improves maximal performance in humans. Eur. J. Appl. Physiol. 2010, 108, 141–146. [Google Scholar] [CrossRef]
- Bailey, T.G.; Jones, H.; Gregson, W.; Atkinson, G.; Cable, N.T.; Thijssen, D.H.J. Effect of Ischemic Preconditioning on Lactate Accumulation and Running Performance. Med. Sci. Sport Exerc. 2012, 44, 2084–2089. [Google Scholar] [CrossRef]
- Crisafulli, A.; Tangianu, F.; Tocco, F.; Concu, A.; Mameli, O.; Mulliri, G.; Caria, M.A. Ischemic preconditioning of the muscle improves maximal exercise performance but not maximal oxygen uptake in humans. J. Appl. Physiol. 2011, 111, 530–536. [Google Scholar] [CrossRef]
- Jean-St-Michel, E.; Manlhiot, C.; Li, J.; Tropak, M.; Michelsen, M.M.; Schmidt, M.R.; Mccrindle, B.W.; Wells, G.D.; Redington, A.N. Remote Preconditioning Improves Maximal Performance in Highly Trained Athletes. Med. Sci. Sports Exerc. 2011, 43, 1280–1286. [Google Scholar] [CrossRef]
- Cook, C.J.; Kilduff, L.P.; Beaven, C.M. Improving Strength and Power in Trained Athletes With 3 Weeks of Occlusion Training. Int. J. Sports Physiol. Perform. 2014, 9, 166–172. [Google Scholar] [CrossRef]
- Takarada, Y.; Sato, Y.; Ishii, N. Effects of resistance exercise combined with vascular occlusion on muscular function in athletes. Eur. J. Appl. Physiol. 2002, 86, 308–314. [Google Scholar] [CrossRef]
- Sumide, T.; Sakuraba, K.; Sawaki, K.; Ohmura, H.; Tamura, Y. Effect of resistance exercise training combined with relatively low vascular occlusion. J. Sci. Med. Sport 2009, 12, 107–112. [Google Scholar] [CrossRef]
- Abe, T.; Kearns, C.F.; Sato, Y. Muscle size and strength are increased following walk training with restricted venous blood flow from the leg muscle, Kaatsu-walk training. J. Appl. Physiol. 2006, 100, 1460–1466. [Google Scholar] [CrossRef]
- Patterson, S.D.; Ferguson, R.A. Increase in calf post-occlusive blood flow and strength following short-term resistance exercise training with blood flow restriction in young women. Eur. J. Appl. Physiol. 2009, 108, 1025–1033. [Google Scholar] [CrossRef]
- Karabulut, M.; Abe, T.; Sato, Y.; Bemben, M.G. The effects of low-intensity resistance training with vascular restriction on leg muscle strength in older men. Eur. J. Appl. Physiol. 2009, 108, 147–155. [Google Scholar] [CrossRef]
- Takarada, Y.; Takazawa, H.; Sato, Y.; Takebayashi, S.; Tanaka, Y.; Ishii, N. Effects of resistance exercise combined with moderate vascular occlusion on muscular function in humans. J. Appl. Physiol. 2000, 88, 2097–2106. [Google Scholar] [CrossRef]
- Patterson, S.D.; Ferguson, R.A. Enhancing Strength and Postocclusive Calf Blood Flow in Older People with Training with Blood-Flow Restriction. J. Aging Phys. Act. 2011, 19, 201–213. [Google Scholar] [CrossRef]
- Ozaki, H.; Sakamaki, M.; Yasuda, T.; Fujita, S.; Ogasawara, R.; Sugaya, M.; Nakajima, T.; Abe, T. Increases in Thigh Muscle Volume and Strength by Walk Training with Leg Blood Flow Reduction in Older Participants. J. Gerontol. Ser. A 2010, 66, 257–263. [Google Scholar] [CrossRef]
- Yasuda, T.; Abe, T.; Sato, Y.; Midorikawa, T.; Kearns, C.F.; Inoue, K.; Ryushi, T.; Ishii, N. Muscle fiber cross-sectional area is increased after two weeks of twice daily KAATSU-resistance training. Int. J. KAATSU Train. Res. 2005, 1, 65–70. [Google Scholar] [CrossRef]
- Vechin, F.C.; Libardi, C.A.; Conceição, M.S.; Damas, F.R.; Lixandrão, M.E.; Berton, R.P.B.; Tricoli, V.A.A.; Roschel, H.A.; Cavaglieri, C.R.; Chacon-Mikahil, M.P.T.; et al. Comparisons between low-intensity resistance training with blood flow restriction and high-intensity resistance training on quadriceps muscle mass and strength in elderly. J. Strength Cond. Res. 2015, 29, 1071–1076. [Google Scholar] [CrossRef]
- Libardi, A.C.A.; Chacon-Mikahil, M.P.T.; Cavaglieri, C.R.; Tricoli, V.; Roschel, H.; Vechin, F.C.; Conceicao, M.S.; Ugrinowitsch, C. Effect of Concurrent Training with blood flow restriction in the elderly. Int. J. Sport Med. 2015, 36, 395–399. [Google Scholar] [CrossRef]
- Ohta, H.; Kurosawa, H.; Ikeda, H.; Iwase, Y.; Satou, N.; Nakamura, S. Low-load resistance muscular training with moderate restriction of blood flow after anterior cruciate ligament reconstruction. Acta Orthop. Scand. 2003, 74, 62–68. [Google Scholar] [CrossRef]
- Cook, S.B.; Brown, K.A.; DeRuisseau, K.; Kanaley, J.A.; Ploutz-Snyder, L.L. Skeletal muscle adaptations following blood flow-restricted training during 30 days of muscular unloading. J. Appl. Physiol. 2010, 109, 341–349. [Google Scholar] [CrossRef]
- Hughes, L.; Paton, B.; Rosenblatt, B.; Gissane, C.; Patterson, S.D. Blood flow restriction training in clinical musculoskeletal rehabilitation: A systematic review and meta-analysis. Br. J. Sports Med. 2017, 51, 1003–1011. [Google Scholar] [CrossRef]
- Hughes, L.; Rosenblatt, B.; Haddad, F.; Gissane, C.; McCarthy, D.; Clarke, T.; Ferris, G.; Dawes, J.; Paton, B.; Patterson, S.D. Comparing the Effectiveness of Blood Flow Restriction and Traditional Heavy Load Resistance Training in the Post-Surgery Rehabilitation of Anterior Cruciate Ligament Reconstruction Patients: A UK National Health Service Randomised Controlled Trial. Sport Med. 2019, 49, 1787–1805. [Google Scholar] [CrossRef]
- Mattar, M.A.; Gualano, B.; Perandini, L.A.; Shinjo, S.K.; Lima, F.R.; Sá-Pinto, A.L.; Roschel, H. Safety and possible effects of low-intensity resistance training associated with partial blood flow restriction in polymyositis and dermatomyositis. Arthritis Res. Ther. 2014, 16, 473. [Google Scholar] [CrossRef]
- Gualano, B.; Neves, M.; Lima, F.R.; Pinto, A.L.D.S.; Laurentino, G.; Borges, C.; Baptista, L.; Artioli, G.G.; Aoki, M.S.; Moriscot, A.; et al. Resistance training with vascular occlusion in inclusion body myositis: A case study. Med. Sci. Sports Exerc. 2010, 42, 250–254. [Google Scholar] [CrossRef]
- Kubota, A.; Sakuraba, K.; Sawaki, K.; Sumide, T.; Tamura, Y. Prevention of Disuse Muscular Weakness by Restriction of Blood Flow. Med. Sci. Sports Exerc. 2008, 40, 529–534. [Google Scholar] [CrossRef]
- Shimizu, R.; Hotta, K.; Yamamoto, S.; Matsumoto, T.; Kamiya, K.; Kato, M.; Hamazaki, N.; Kamekawa, D.; Akiyama, A.; Kamada, Y.; et al. Low-intensity resistance training with blood flow restriction improves vascular endothelial function and peripheral blood circulation in healthy elderly people. Eur. J. Appl. Physiol. 2016, 116, 749–757. [Google Scholar] [CrossRef]
- Jones, H.; Nyakayiru, J.; Bailey, T.G.; Green, D.J.; Cable, N.T.; Sprung, V.S.; Hopkins, N.D.; Thijssen, D.H.J. Impact of eight weeks of repeated ischaemic preconditioning on brachial artery and cutaneous microcirculatory function in healthy males. Eur. J. Prev. Cardiol. 2015, 22, 1083–1087. [Google Scholar] [CrossRef] [PubMed]
- Jones, H.; Hopkins, N.; Bailey, T.G.; Green, D.J.; Cable, N.T.; Thijssen, D.H. Seven-Day Remote Ischemic Preconditioning Improves Local and Systemic Endothelial Function and Microcirculation in Healthy Humans. Am. J. Hypertens. 2014, 27, 918–925. [Google Scholar] [CrossRef]
- Hunt, J.E.A.; Galea, D.; Tufft, G.; Bunce, D.; Ferguson, R.A. Time course of regional vascular adaptations to low load resistance training with blood flow restriction. J. Appl. Physiol. 2013, 115, 403–411. [Google Scholar] [CrossRef] [PubMed]
- Hamburg, N.M.; Mcmackin, C.J.; Huang, A.L.; Shenouda, S.M.; Michael, E.; Schulz, E.; Gokce, N.; Ruderman, N.B.R.; Keaney, J.F., Jr.; Vita, J.A. Physical Inactivity rapidly induces insulin resistance and microvascualr dysfunction in healthy volunteers. Arter. Thromb. Vasc. Biol. 2007, 27, 2650–2656. [Google Scholar] [CrossRef] [PubMed]
- Nosova, E.V.; Yen, P.; Chong, K.C.; Alley, H.F.; Stock, E.O.; Quinn, A.; Hellmann, J.; Conte, M.S.; Ownes, C.D.; Spite, M.; et al. Short-term physical inactivity impairs vascular function. J. Surg. Res. 2014, 190, 672–682. [Google Scholar] [CrossRef] [PubMed]
- Bleeker, M.W.P.; De Groot, P.C.E.; Rongen, G.A.; Rittweger, J.; Felsenberg, D.; Smits, P.; Hopman, M.T.E. Vascular adaptation to deconditioning and the effect of an exercise countermeasure: Results of the Berlin Bed Rest study. J. Appl. Physiol. 2005, 99, 1293–1300. [Google Scholar] [CrossRef] [PubMed]
- Van Duijnhoven, N.T.L.; Green, D.J.; Felsenberg, D.; Belavý, D.L.; Hopman, M.T.E.; Thijssen, D.H.J. Impact of bed rest on conduit artery remodeling: Effect of exercise countermeasures. Hypertension 2010, 56, 240–246. [Google Scholar] [CrossRef]
- Neviere, R.; Mathieu, D.; Chagnon, J.L.; LeBleu, N.; Millien, J.P.; Wattel, F. Skeletal muscle microvascular blood flow and oxygen transport in patients with severe sepsis. Am. J. Respir. Crit. Care Med. 1996, 153, 191–195. [Google Scholar] [CrossRef]
- Doerschug, K.C.; Delsing, A.S.; Schmidt, G.A.; Haynes, W.G. Impairments in microvascular reactivity are related to organ failure in human sepsis. Am. J. Physiol. Heart Circ. Physiol. 2007, 293, H1065–H1071. [Google Scholar] [CrossRef]
- Haisjackl, M.; Hasibeder, W.; Klaunzer, S.; Altenberger, H.; Koller, W. Diminished reactive hyperemia in the skin of critically ill patients. Crit. Care Med. 1990, 18, 813–818. [Google Scholar] [CrossRef]
- Creteur, J.; Carollo, T.; Soldati, G.; Buchele, G.; De Backer, D.; Vincent, J.-L. The prognostic value of muscle StO2 in septic patients. Intensiv. Care Med. 2007, 33, 1549–1556. [Google Scholar] [CrossRef]
- Vaudo, G.; Marchesi, S.; Siepi, D.; Brozzetti, M.; Lombardini, R.; Pirro, M.; Alaeddin, A.; Roscini, A.R.; Lupattelli, G.; Mannarino, E. Human endothelial impairment in sepsis Gaetano. Atherosclerosis 2008, 197, 747–752. [Google Scholar] [CrossRef]
- Wexler, O.; Morgan, M.A.M.; Gough, M.S.; Steinmetz, S.D.; Mack, C.M.; Darling, D.C.; Doolin, K.P.; Apostolakos, M.J.; Graves, B.T.; Frampton, M.W.; et al. Brachial artery reactivity in patients with severe sepsis: An observational study. Crit. Care 2012, 16, R38. [Google Scholar] [CrossRef]
- Cheung, M.M.; Kharbanda, R.K.; Konstantinov, I.E.; Shimizu, M.; Frndova, H.; Li, J.; Holtby, H.M.; Cox, P.N.; Smallhorn, J.F.; Van Arsdell, G.S.; et al. Randomized Controlled Trial of the Effects of Remote Ischemic Preconditioning on Children Undergoing Cardiac Surgery: First Clinical Application in Humans. J. Am. Coll. Cardiol. 2006, 47, 2277–2282. [Google Scholar] [CrossRef] [PubMed]
- Ali, Z.A.; Callaghan, C.J.; Lim, E.; Ali, A.A.; Nouraei, S.A.R.; Akthar, A.M.; Boyle, J.R.; Varty, J.R.; Kharbanda, R.K.; Dutka, D.P.; et al. Remote ischemic preconditioning reduces myocardial and renal injury after elective abdominal aortic aneurysm repair: A randomized controlled trial. Circulation 2007, 116, 98–105. [Google Scholar] [CrossRef]
- Hoole, S.P.; Heck, P.M.; Sharples, L.; Khan, S.N.; Duehmke, R.; Densem, C.G.; Clarke, S.C.; Shapiro, L.M.; Schofield, P.M.; O’Sullivan, M.; et al. Cardiac Remote Ischemic Preconditioning in Coronary Stenting (CRISP Stent) Study. A prospective, randomized control trial. Circulation 2009, 119, 820–827. [Google Scholar] [CrossRef] [PubMed]
- Zarbock, A.; Schmidt, C.; Van Aken, H.; Wempe, C.; Martens, S.; Zahn, P.K.; Wolf, B.; Goebel, U.; Schwer, C.I.; Rosenberger, P.; et al. Effect of remote ischemic preconditioning on kidney injury among high-risk patients undergoing cardiac surgery: A randomized clinical trial. JAMA 2015, 313, 2133–2141. [Google Scholar] [CrossRef] [PubMed]
- Meng, R.; Asmaro, K.; Meng, L.; Liu, Y.; Ma, C.; Xi, C.; Li, G.; Ren, C.; Luo, Y.; Ling, F.; et al. Upper limb ischemic preconditioning prevents recurrent stroke in intracranial arterial stenosis. Neurology 2012, 79, 1853–1861. [Google Scholar] [CrossRef] [PubMed]
- Chhetri, I.; Hunt, J.E.A.; Mendis, J.R.; Patterson, S.D.; Puthucheary, Z.A.; Montgomery, H.E.; Creagh-Brown, B.C. Repetitive vascular occlusion stimulus (RVOS) versus standard care to prevent muscle wasting in critically ill patients (ROSProx): A study protocol for a pilot randomised controlled trial. Trials 2019, 20, 456. [Google Scholar] [CrossRef]
- Lancaster, G.A.; Dodd, S.; Williamson, P.R. Design and analysis of pilot studies: Recommendations for good practice. J. Eval. Clin. Pract. 2004, 10, 307–312. [Google Scholar] [CrossRef]
- Sharma, V.; Cunniffe, B.; Verma, A.P.; Cardinale, M.; Yellon, D. Characterization of acute ischemia-related physiological responses associated with remote ischemic preconditioning: A randomized controlled, crossover human study. Physiol. Rep. 2014, 2, e12200. [Google Scholar] [CrossRef]
- Patterson, S.D.; Hughes, L.; Warmington, S.; Burr, J.; Scott, B.R.; Owens, J.; Abe, T.; Nielsen, J.L.; Libardi, C.A.; Laurentino, G.; et al. Blood flow restriction exercise: Considerations of methodology, application, and safety. Front. Physiol. 2019, 10, 533. [Google Scholar] [CrossRef]
- Hodgson, C.; Needham, D.; Haines, K.; Bailey, M.; Ward, A.; Harrold, M.; Young, P.; Zanni, J.; Buhr, H.; Higgins, A.; et al. Feasibility and inter-rater reliability of the ICU Mobility Scale. Heart Lung 2014, 43, 19–24. [Google Scholar] [CrossRef]
- Mehta, R.L.; Kellum, J.A.; Shah, S.V.; Molitoris, B.A.; Ronco, C.; Warnock, D.G.; Levin, A.; Acute Kidney Injury Network. Acute Kidney Injury Network: Report of an initiative to improve outcomes in acute kidney injury. Crit. Care 2007, 11, R31. [Google Scholar] [CrossRef] [PubMed]
- Young, H.-J.; Jenkins, N.T.; Zhao, Q.; McCully, K.K. Measurement of intramuscular fat by muscle echo intensity. Muscle Nerve 2015, 52, 963–971. [Google Scholar] [CrossRef] [PubMed]
- Ryan, E.D.; Shea, N.W.; Gerstner, G.R.; Barnette, T.J.; Tweedell, A.J.; Kleinberg, C.R. The influence of subcutaneous fat on the relationship between body composition and ultrasound-derived muscle quality. Appl. Physiol. Nutr. Metab. 2016, 41, 1104–1107. [Google Scholar] [CrossRef] [PubMed]
- Hough, C.L.; Lieu, B.K.; Caldwell, E.S. Manual muscle strength testing of critically ill patients: Feasibility and interobserver agreement. Crit. Care 2011, 15, R43. [Google Scholar] [CrossRef] [PubMed]
- Saes, G.F.; Zerati, A.E.; Wolosker, N.; Ragazzo, L.; Ayzin Rosoky, R.M.; Ritti-Dias, R.M.; Cucato, G.G.; Chehuen, M.; Farah, B.Q.; Puech-Leao, P. Remote ischemic preconditioning in patients with intermittent claudication. Clinics 2013, 68, 495–499. [Google Scholar] [CrossRef]
- Balin, M.; Kıvrak, T. Effect of Repeated Remote Ischemic Preconditioning on Peripheral Arterial Disease in Patients Suffering from Intermittent Claudication. Cardiovasc. Ther. 2019, 2019, 9592378. [Google Scholar] [CrossRef]
- Hansen, C.S.; Jørgensen, M.E.; Fleischer, J.; Bøtker, H.E.; Rossing, P. Efficacy of Long-Term Remote Ischemic Conditioning on Vascular and Neuronal Function in Type 2 Diabetes Patients With Peripheral Arterial Disease. J. Am. Heart Assoc. 2019, 8, e011779. [Google Scholar] [CrossRef]
- Mason, S.; Barrow, H.; Phillips, A.; Eddison, G.; Nelson, A.; Cullum, N.; Nixon, J. Brief report on the experience of using proxy consent for incapacitated adults. J. Med. Ethic. 2006, 32, 61–62. [Google Scholar] [CrossRef]
- Burns, K.E.A.; Zubrinich, C.; Tan, W.; Raptis, S.; Xiong, W.; Smith, O.; McDonald, E.; Marshall, J.C.; Saginur, R.; Heslegrave, H.; et al. Research recruitment practices and critically ill patients: A multicenter, cross-sectional study (the consent study). Am. J. Respir. Crit. Care Med. 2013, 187, 1212–1218. [Google Scholar] [CrossRef]
- Loenneke, J.P.; Wilson, J.M.; Wilson, G.J.; Pujol, T.J.; Bemben, M.G. Potential safety issues with blood flow restriction training. Scand. J. Med. Sci. Sports 2011, 21, 510–518. [Google Scholar] [CrossRef]
- Crenshawl, A.G.; Hargensl, A.R.; Gershuni, D.H. Wide tourniquet cuffs more effective at lower inflation pressure. Acta Orthop. Scand. 1988, 59, 447–451. [Google Scholar] [CrossRef] [PubMed]
- Mittal, P.; Shenoy, S.; Sandhu, J.S. Effect of different cuff widths on the motor nerve conduction of the median nerve: An experimental study. J. Orthop. Surg. Res. 2008, 3, 1. [Google Scholar] [CrossRef] [PubMed]
- AORN Recommended Practices Committee. Recommended practices for the use of the pneumatic tourniquet in the perioperative practice setting. AORN J. 2007, 86, 640–655. [Google Scholar] [CrossRef] [PubMed]
- McEwen, J.A.; Owens, J.G.; Jeyasurya, J. Why is it Crucial to Use Personalized Occlusion Pressures in Blood Flow Restriction (BFR) Rehabilitation? J. Med. Biol. Eng. 2019, 39, 173–177. [Google Scholar] [CrossRef]
- Loenneke, J.P.; Fahs, C.A.; Rossow, L.M.; Sherk, V.D.; Thiebaud, R.S.; Abe, T.; Bemben, D.A.; Bemben, M.G. Effects of cuff width on arterial occlusion: Implications for blood flow restricted exercise. Eur. J. Appl. Physiol. 2011, 112, 2903–2912. [Google Scholar] [CrossRef]
- Younger, A.S.E.; McEwen, J.A.; Inkpen, K. Wide Contoured Thigh Cuffs and Automated Limb Occlusion Measurement Allow Lower Tourniquet Pressures. Clin. Orthop. Relat. Res. 2004, 428, 286–293. [Google Scholar] [CrossRef]
- Matthews, E.E. Sleep disturbances and fatigue in critically ILL patients. AACN Adv. Crit. Care 2011, 22, 204–224. [Google Scholar] [CrossRef]
- Figueroa-Ramos, M.I.; Arroyo-Novoa, C.M.; Lee, K.A.; Padilla, G.; Puntillo, K.A. Sleep and delirium in ICU patients: A review of mechanisms and manifestations. Intensiv. Care Med. 2009, 35, 781–795. [Google Scholar] [CrossRef]
- Kubota, A.; Sakuraba, K.; Koh, S.; Ogura, Y.; Tamura, Y. Blood flow restriction by low compressive force prevents disuse muscular weakness. J. Sci. Med. Sport 2011, 14, 95–99. [Google Scholar] [CrossRef]
- Natsume, T.; Ozaki, H.; Saito, A.I.; Abe, T.; Naito, H. Effects of Electrostimulation with Blood Flow Restriction on Muscle Size and Strength. Med. Sci. Sports Exerc. 2015, 47, 2621–2627. [Google Scholar] [CrossRef]
- Head, P.; Waldron, M.; Theis, N.; Patterson, S.D. Acute Neuromuscular Electrical Stimulation (NMES) With Blood Flow Restriction: The Effect of Restriction Pressures. J. Sport Rehabil. 2021, 30, 375–383. [Google Scholar] [CrossRef]
- Gorgey, A.S.; Timmons, M.K.; Dolbow, D.R.; Bengel, J.; Fugate-Laus, K.C.; Michener, L.A.; Gater, D.R. Electrical stimulation and blood flow restriction increase wrist extensor cross-sectional area and flow meditated dilatation following spinal cord injury. Eur. J. Appl. Physiol. 2016, 116, 1231–1244. [Google Scholar] [CrossRef] [PubMed]
- Kakehi, S.; Tamura, Y.; Kubota, A.; Takeno, K.; Kawaguchi, M.; Sakuraba, K.; Kawamori, R.; Watada, H. Effects of blood flow restriction on muscle size and gene expression in muscle during immobilization: A pilot study. Physiol. Rep. 2020, 8, e14516. [Google Scholar] [CrossRef] [PubMed]
- Ekeloef, S.; Homilius, M.; Stilling, M.; Ekeloef, P.; Koyuncu, S.; Münster, A.-M.B.; Meyhoff, C.S.; Gundel, O.; Holst-Knudsen, J.; Mathiesen, O.; et al. The effect of remote ischaemic preconditioning on myocardial injury in emergency hip fracture surgery (PIXIE trial): Phase II randomised clinical trial. BMJ 2019, 367, l6395. [Google Scholar] [CrossRef] [PubMed]
- Atherton, P.J.; Greenhaff, P.L.; Phillips, S.M.; Bodine, S.C.; Adams, C.M.; Lang, C.H. Control of skeletal muscle atrophy in response to disuse: Clinical/preclinical contentions and fallacies of evidence. Am. J. Physiol. Endocrinol Metab. 2016, 311, E594–E604. [Google Scholar] [CrossRef] [PubMed]
- Rossaint, J.; Med, D. Propofol anesthesia and remote ischemic preconditioning: An unfortunate relationship. Anesth. Analg. 2018, 126, 1118–1120. [Google Scholar] [CrossRef]
- Grimm, A.; Teschner, U.; Porzelius, C.; Ludewig, K.; Zielske, J.; Witte, O.W.; Brunkhorst, F.M.; Axer, H. Muscle ultrasound for early assessment of critical illness neuromyopathy in severe sepsis. Crit. Care 2013, 17, R227. [Google Scholar] [CrossRef]
- Cartwright, M.S.; Kwayisi, G.; Griffin, L.P.; Sarwal, A.; Walker, F.O.; Harris, J.M.; Berry, M.J.; Chahal, P.S.; Morris, P.E. Quantitative neuromuscular ultrasound in the intensive care unit. Muscle Nerve 2012, 47, 255–259. [Google Scholar] [CrossRef]
- Parry, S.M.; El-Ansary, D.; Cartwright, M.S.; Sarwal, A.; Berney, S.; Koopman, R.; Annoni, R.; Puthucheary, Z.; Gordon, I.R.; Morris, P.E.; et al. Ultrasonography in the intensive care setting can be used to detect changes in the quality and quantity of muscle and is related to muscle strength and function. J. Crit. Care 2015, 30, 1151.e9–1151.e14. [Google Scholar] [CrossRef]
- Pillen, S. Muscle ultrasound. Eur. J. Transl. Myol. 2014, 1, 145–155. [Google Scholar]
- Pillen, S.; Tak, R.O.; Zwarts, M.J.; Lammens, M.M.Y.; Verrijp, K.N.; Arts, I.M.P.; van der Laak, J.A.; Hoogerbrugge, P.M.; van Engelen, B.G.M.; Verrips, A. Skeletal Muscle Ultrasound: Correlation Between Fibrous Tissue and Echo Intensity. Ultrasound Med. Biol. 2009, 35, 443–446. [Google Scholar] [CrossRef]
- Puthucheary, Z.; Phadke, R.; Rawal, J.; McPhail, M.J.W.; Sidhu, P.; Rowlerson, A.; Moxham, J.; Harridge, S.; Hart, N.; Montgomery, H. Qualitative Ultrasound in Acute Critical Illness Muscle Wasting. Crit. Care Med. 2015, 43, 1603–1611. [Google Scholar] [CrossRef] [PubMed]
- Reimers, K.; Reimers, C.D.; Wagner, S.; Paetzke, I.; Pongratz, D.E. Skeletal muscle sonography: A correlative study of echogenicity and morphology. J. Ultrasound Med. 1993, 12, 73–77. [Google Scholar] [CrossRef] [PubMed]
- Hermans, G.; van den Berghe, G. Clinical review: Intensive care unit acquired weakness. Crit. Care 2015, 19, 274. [Google Scholar] [CrossRef] [PubMed]
- Thijssen, D.H.J.; Bruno, R.M.; Van Mil, A.C.C.M.; Holder, S.M.; Faita, F.; Greyling, A.; Zock, P.L.; Taddei, S.; Deanfield, J.E.; Luscher, T.; et al. Expert consensus and evidence-based recommendations for the assessment of flow-mediated dilation in humans. Eur. Heart J. 2019, 40, 2534–2547. [Google Scholar] [CrossRef] [PubMed]
- Hunt, J.E.A.; Walton, L.A.; Ferguson, R.A. Brachial artery modifications to blood flow-restricted handgrip training and detraining. J. Appl. Physiol. 2012, 112, 956–961. [Google Scholar] [CrossRef]
- Naylor, L.; Weisbrod, C.J.; O’Driscoll, G.; Green, D.J. Measuring peripheral resistance and conduit arterial structure in humans using Doppler ultrasound. J. Appl. Physiol. 2005, 98, 2311–2315. [Google Scholar] [CrossRef]
- Pontiga, F.; Gaytán, S.P. An experimental approach to the fundamental principles of hemodynamics. Adv. Physiol. Educ. 2005, 29, 165–171. [Google Scholar] [CrossRef]
- Pyke, K.E.; Tschakovsky, M.E.; Bandi, E.; Bernareggi, A.; Grandolfo, M.; Mozzetta, C.; Augusti-Tocco, G.; Ruzzier, F.; Lorenzon, P. The relationship between shear stress and flow-mediated dilatation: Implications for the assessment of endothelial function. J. Physiol. 2005, 568, 357–369. [Google Scholar] [CrossRef]
- Becker, L.; Prado, K.; Foppa, M.; Martinelli, N.; Aguiar, C.; Furian, T.; Clausell, N.; Rohde, L.E. Endothelial dysfunction assessed by brachial artery ultrasound in severe sepsis and septic shock. J. Crit. Care 2012, 27, 316.e9–316.e14. [Google Scholar] [CrossRef]
- Celermajer, D.S.; Sorensen, K.E.; Spiegelhalter, D.J.; Georgakopoulos, D.; Robinson, J.; Deanfield, J.E. Aging is associated with endothelial dysfunction in healthy men years before the age-related decline in women. J. Am. Coll. Cardiol. 1994, 24, 471–476. [Google Scholar] [CrossRef]
- van den Munckhof, I.; Riksen, N.; Seeger, J.P.H.; Schreuder, T.H.; Borm, G.F.; Eijsvogels, T.M.H.; Hopman, M.T.E.; Rongen, G.A.; Thijssen, D.H.J. Aging attenuates the protective effect of ischemic preconditioning against endothelial ischemia-reperfusion injury in humans. Am. J. Physiol. Circ. Physiol. 2013, 304, H1727–H1732. [Google Scholar] [CrossRef][Green Version]
- Nishiyama, S.K.; Wray, D.W.; Richardson, R.S. Aging affects vascular structure and function in a limb-specific manner. J. Appl. Physiol. 2008, 105, 1661–1670. [Google Scholar] [CrossRef] [PubMed]
- Angerer, P.; Negut, C.; Störk, S.; von Schacky, C. Endothelial function of the popliteal artery in patients with coronary artery disease. Atherosclerosis 2001, 155, 187–193. [Google Scholar] [CrossRef]
- Zarbock, A.; Kellum, J.A.; Van Aken, H.; Schmidt, C.; Küllmar, M.; Rosenberger, P.; Martens, S.; Gorlich, D.; Meersch, M. Long-term Effects of Remote Ischemic Preconditioning on Kidney Function in High-risk Cardiac Surgery Patients: Follow-up Results from the RenalRIP Trial. Anesthesiology 2017, 126, 787–798. [Google Scholar] [CrossRef]
- Zarbock, A.; Kellum, J.A. Remote Ischemic Preconditioning and Protection of the Kidney—A Novel Therapeutic Option. Crit. Care Med. 2016, 44, 607–616. [Google Scholar] [CrossRef]
- Zimmerman, R.F.; Ezeanuna, P.U.; Kane, J.C.; Cleland, C.D.; Kempananjappa, T.J.; Lucas, F.L.; Kramer, R.S. Ischemic preconditioning at a remote site prevents acute kidney injury in patients following cardiac surgery. Kidney Int. 2011, 80, 861–867. [Google Scholar] [CrossRef]
- Schulz, R.; Cohen, M.V.; Behrends, M.; Downey, J.M.; Heusch, G. Signal transduction of ischemic preconditioning. Cardiovasc. Res. 2001, 52, 181–198. [Google Scholar] [CrossRef]
- Hausenloy, D.J.; Yellon, D. Remote ischaemic preconditioning: Underlying mechanisms and clinical application. Cardiovasc. Res. 2008, 79, 377–386. [Google Scholar] [CrossRef]
- Harvey, S.E.; Parrott, F.; Harrison, D.A.; Bear, D.E.; Segaran, E.; Beale, R.; Bellingan, G.; Leonard, R.; Mythen, M.G.; Rowan, K.M.; et al. Trial of the Route of Early Nutritional Support in Critically Ill Adults. N. Engl. J. Med. 2014, 371, 1673–1684. [Google Scholar] [CrossRef]
- Baxter, R.C.; Hawker, F.H.; To, C.; Stewart, P.M.; Holman, S.R. Thirty-day monitoring of insulin-like growth factors and their binding proteins in intensive care unit patients. Growth Horm. IGF Res. 1998, 8, 455–463. [Google Scholar] [CrossRef]
- Mesotten, D.; Van den Berghe, G. Changes Within the Growth Hormone/Insulin-like Growth Factor I/IGF Binding Protein Axis During Critical Illness. Endocrinol. Metab. Clin. N. Am. 2006, 35, 793–805. [Google Scholar] [CrossRef] [PubMed]
- Xu, L.; Zhang, W.; Sun, R.; Liu, J.; Hong, J.; Li, Q.; Hu, B.; Gong, F. IGF-1 may predict the severity and outcome of patients with sepsis and be associated with microRNA-1 level changes. Exp. Ther. Med. 2017, 14, 797–804. [Google Scholar] [CrossRef] [PubMed]
- Bloch, S.A.; Lee, J.Y.; Wort, S.J.; Polkey, M.I.; Kemp, P.R.; Griffiths, M.J. Sustained elevation of circulating GDF-15 and a dynamic imbalance in mediators of muscle homeostasis is associated with the development of acute muscle wasting following cardiac surgery. Crit. Care Med. 2013, 41, 982–989. [Google Scholar] [CrossRef]
- Schoenfeld, B.J. Potential Mechanisms for a Role of Metabolic Stress in Hypertrophic Adaptations to Resistance Training. Sports Med. 2013, 43, 179–194. [Google Scholar] [CrossRef]
- Takarada, Y.; Nakamura, Y.; Aruga, S.; Onda, T.; Miyazaki, S.; Ishii, N. Rapid increase in plasma growth hormone after low-intensity resistance exercise with vascular occlusion. J. Appl. Physiol. 2000, 88, 61–65. [Google Scholar] [CrossRef]
- Abe, T.; Yasuda, T.; Midorikawa, T.; Sato, Y.; Kearns, C.F.; Inoue, K.; Koizumi, K.; Ishii, N. Skeletal muscle size and circulating IGF-1 are increased after two weeks of twice daily “KAATSU” resistance training. Int. J. KAATSU Train. Res. 2005, 1, 6–12. [Google Scholar] [CrossRef]
- Borst, S.E.; De Hoyos, D.V.; Garzarella, L.; Vincent, K.; Pollock, B.H.; Lowenthal, D.T.; Pollock, M.L. Effects of resistance training on insulin-like growth factor-I and IGF binding proteins. Med. Sci. Sports Exerc. 2001, 33, 648–653. [Google Scholar] [CrossRef]
- West, D.W.D.; Burd, N.; Tang, J.E.; Moore, D.; Staples, A.W.; Holwerda, A.; Baker, S.K.; Phillips, S. Elevations in ostensibly anabolic hormones with resistance exercise enhance neither training-induced muscle hypertrophy nor strength of the elbow flexors. J. Appl. Physiol. 2010, 108, 60–67. [Google Scholar] [CrossRef]
- Morton, R.W.; Oikawa, S.Y.; Wavell, C.G.; Mazara, N.; McGlory, C.; Quadrilatero, J.; Baechler, B.L.; Baker, S.K.; Phillips, S.M. Neither load nor systemic hormones determine resistance training-mediated hypertrophy or strength gains in resistance-trained young men. J. Appl. Physiol. 2016, 121, 129–138. [Google Scholar] [CrossRef]
- Morton, R.W.; Sato, K.; Gallaugher, M.P.B.; Oikawa, S.Y.; McNicholas, P.D.; Fujita, S.; Phillips, S.M. Muscle Androgen Receptor Content but Not Systemic Hormones Is Associated With Resistance Training-Induced Skeletal Muscle Hypertrophy in Healthy, Young Men. Front. Physiol. 2018, 9, 1373. [Google Scholar] [CrossRef] [PubMed]
- Barclay, R.D.; Burd, N.A.; Tyler, C.; Tillin, N.; MacKenzie, R.W. The Role of the IGF-1 Signaling Cascade in Muscle Protein Synthesis and Anabolic Resistance in Aging Skeletal Muscle. Front. Nutr. 2019, 6, 146. [Google Scholar] [CrossRef] [PubMed]
- Uchimido, R.; Schmidt, E.P.; Shapiro, N.I. The glycocalyx: A novel diagnostic and therapeutic target in sepsis. Crit. Care 2019, 23, 16. [Google Scholar] [CrossRef]
- Nelson, A.; Johansson, J.; Tydén, J.; Bodelsson, M. Circulating syndecans during critical illness. APMIS 2017, 125, 468–475. [Google Scholar] [CrossRef]
- Patejdl, R.; Walter, U.; Rosener, S.; Sauer, M.; Reuter, D.A.; Ehler, J. Muscular Ultrasound, Syndecan-1 and Procalcitonin Serum Levels to Assess Intensive Care Unit-Acquired Weakness. Can. J. Neurol. Sci. 2019, 46, 234–242. [Google Scholar] [CrossRef] [PubMed]
- Salmito, F.T.S.; de Oliveira Neves, F.M.; Meneses, G.C.; de Almeida Leitão, R.; Martins, A.M.C.; Libório, A.B. Glycocalyx injury in adults with nephrotic syndrome: Association with endothelial function. Clin. Chim. Acta 2015, 447, 55–58. [Google Scholar] [CrossRef] [PubMed]
- Sullivan, P.J.; Sweeney, K.J.; Hirpara, K.M.; Malone, C.B.; Curtin, W.; Kerin, M.J. Cyclical ischaemic preconditioning modulates the adaptive immune response in human limb ischaemia–reperfusion injury. Br. J. Surg. 2009, 96, 381–390. [Google Scholar] [CrossRef] [PubMed]
- Guo, Z.-N.; Guo, W.-T.; Liu, J.; Chang, J.; Ma, H.; Zhang, P.; Zhang, F.-L.; Han, K.; Hu, H.-H.; Jin, H.; et al. Changes in cerebral autoregulation and blood biomarkers after remote ischemic preconditioning. Neurology 2019, 93, E8–E19. [Google Scholar] [CrossRef] [PubMed]
- Yang, J.; Liu, C.; Du, X.; Liu, M.; Ji, X.; Du, H.; Zhao, H. Hypoxia Inducible Factor 1α Plays a Key Role in Remote Ischemic Preconditioning Against Stroke by Modulating Inflammatory Responses in Rats. J. Am. Heart Assoc. 2018, 7, e007589. [Google Scholar] [CrossRef]
- Yong, W.L.; Kim, P.H.; Won, H.L.; Hirani, A.A. Interleukin-4, oxidative stress, vascular inflammation and atherosclerosis. Biomol. Ther. 2010, 18, 135–144. [Google Scholar]
- Skaria, T.; Burgener, J.; Bachli, E.; Schoedon, G. IL-4 causes hyperpermeability of vascular endothelial cells through Wnt5A signaling. PLoS ONE 2016, 11, e0156002. [Google Scholar] [CrossRef] [PubMed]
- Tinken, T.M.; Thijssen, D.H.J.; Black, M.A.A.; Cable, N.; Green, D.J. Time course of change in vasodilator function and capacity in response to exercise training in humans. J. Physiol. 2008, 586, 5003–5012. [Google Scholar] [CrossRef] [PubMed]
- Tinken, T.M.; Thijssen, D.H.; Hopkins, N.; Dawson, E.A.; Cable, N.T.; Green, D.J. Shear Stress Mediates Endothelial Adaptations to Exercise Training in Humans. Hypertension 2010, 55, 312–318. [Google Scholar] [CrossRef] [PubMed]
- Urschel, K.; Cicha, I. TNF-α in the cardiovascular system: From physiology to therapy. Int. J. Interferon Cytokine Mediat. Res. Dovepress 2015, 7, 9–25. [Google Scholar]
- Chandrasekharan, U.M.; Siemionow, M.; Unsal, M.; Yang, L.; Poptic, E.; Bohn, J.; Ozer, K.; Zhou, Z.; Howe, P.H.; Penn, M.; et al. Tumor necrosis factor (TNF-) receptor-II is required for TNF-induced leukocyte-endothelial interaction in vivo Tumor necrosis factor-(TNF-) binds to 2 distinct cell-surface receptors: TNF-receptor-I (TNFR-I: p55) and TNF-recep-tor-II (TNFR-II: p75). TNF-i. Blood 2007, 109, 1938–1944. [Google Scholar] [CrossRef]
- Cohen, M.V.; Baines, C.P.; Downey, J.M. Ischemic preconditioning: From adenosine receptor to K(ATP) channel. Annu. Rev. Physiol. 2000, 62, 79–109. [Google Scholar] [CrossRef]



| Baseline Characteristics | Control (n = 6) | Intervention (n = 6) |
|---|---|---|
| Age, mean (SD) (years) | 65 (10) | 70 (11) |
| Gender, male/female (no) | 4/2 | 4/2 |
| BMI, mean (SD) (kg/m2) | 29.8(5.0) | 29.2(6.8) |
| Charlson Co-morbidity Index, median (IQR) | 3 (1–5) | 3 (2–5) |
| APACHE II Score, mean (SD) | 22(6.4) | 19.5(7.3) |
| ICNARC Score, mean (SD) | 34(9.7) | 24(4.7) |
| Katz Index, median (IQR) | 6(6–6) | 6(6–6) |
| MUST score, median (IQR) | 2 (2–2) | 2 (2–3) |
| Hospital length of stay prior to ICU admission, median (IQR) (days) | 0 (0–1) | 0 (0–1) |
| SOFA score at ICU admission, mean (SD) | 12 (1.2) | 10 (2.6) |
| Primary Diagnosis, No (%) | ||
| CAP | 2 (33.3) | 3 (50) |
| Pulmonary Oedema | 1 (16.7) | |
| Ischemic Bowel | 2 (33.3) | 1 (16.7) |
| Septic Shock | 1 (16.7) | |
| Acute Pancreatitis | 1 (16.7) | |
| AKI | 3 (50) | 3 (50) |
| Comorbidities, No (%) | ||
| Asthma | 2 (33.3) | |
| Chronic Kidney Disease | 1 (16.7) | |
| COPD | 1 (16.7) | 1 (16.7) |
| Crohn’s Disease | 1 (16.7) | |
| Diabetes Mellitus (Type I and Type II) | 1 (16.7) | 2 (33.3) |
| Hypertension | 1 (16.7) | 3 (50) |
| Previous Cerebrovascular accident | 1 (16.7) | |
| Osteoarthritis | 1 (16.7) | 1 (16.7) |
| Trial Process | Feasibility Target | Achieved | Comment |
|---|---|---|---|
| Screening | <55 of potentially eligible patients being missed | 176/176 (100%) screened | |
| Consent | >75% agreement | 54.5 % | |
| Recruitment Rate | 32 patients within 16 months | 12 patients were recruited within 16 months | |
| Randomisation | Balanced demographic and severity of illness in intervention and control arm | Groups were balanced (Table 1). | |
| Delivery of Intervention | 80% of the scheduled RVOS sessions performed | 76.1% (n = 67/88) | Rest (n = 21) not delivered due to participants declining (12.5%, n = 11); intolerance (4.5%, n = 4); participant unavailability (3.4%, n = 3); staff unavailability (2.3%, n = 2); and other clinical reasons (1.1%, n = 1). |
| Retention Rate | >50% of enrolled patients remain in ICU for the full 10 days of study enrolment | 45.6% | |
| Outcome Measure Assessments | 100% of RFCSA ultrasound measurements were performed within 24 h of the scheduled time | 100% | |
| >75% of vascular, strength, and functional capacity measures were performed within 24 h of the scheduled time | 80.8% of vascular measures 95.5% of strength measures 92.5% functional capacity measures | Rest vascular measures were not performed due to intolerance (11.5%, n = 3) and clinical reasons (7.7 %, n = 2). Rest strength and functional measures either performed after 24 h of schedule time (5%, n = 2) or not performed due to participant unavailability (2.5%, n = 1) or clinical reasons (2.5%, n = 1). | |
| >75% of surviving patients complete the quality-of-life questionnaires at 90-day follow-up | 85.7%. | ||
| Data Collection | <10% missing outcome data including ICU and hospital length of stay and survival | 2.9% | |
| <10% missing clinical data obtained from clinical medical notes and electronic patient records, such as the severity of illness scores and requirement for organ supportive therapies | <1% |
Publisher’s Note: MDPI stays neutral with regard to jurisdictional claims in published maps and institutional affiliations. |
© 2022 by the authors. Licensee MDPI, Basel, Switzerland. This article is an open access article distributed under the terms and conditions of the Creative Commons Attribution (CC BY) license (https://creativecommons.org/licenses/by/4.0/).
Share and Cite
Chhetri, I.; Hunt, J.E.A.; Mendis, J.R.; Forni, L.G.; Kirk-Bayley, J.; White, I.; Cooper, J.; Somasundaram, K.; Shah, N.; Patterson, S.D.; et al. Safety and Feasibility Assessment of Repetitive Vascular Occlusion Stimulus (RVOS) Application to Multi-Organ Failure Critically Ill Patients: A Pilot Randomised Controlled Trial. J. Clin. Med. 2022, 11, 3938. https://doi.org/10.3390/jcm11143938
Chhetri I, Hunt JEA, Mendis JR, Forni LG, Kirk-Bayley J, White I, Cooper J, Somasundaram K, Shah N, Patterson SD, et al. Safety and Feasibility Assessment of Repetitive Vascular Occlusion Stimulus (RVOS) Application to Multi-Organ Failure Critically Ill Patients: A Pilot Randomised Controlled Trial. Journal of Clinical Medicine. 2022; 11(14):3938. https://doi.org/10.3390/jcm11143938
Chicago/Turabian StyleChhetri, Ismita, Julie E. A. Hunt, Jeewaka R. Mendis, Lui G. Forni, Justin Kirk-Bayley, Ian White, Jonathan Cooper, Karthik Somasundaram, Nikunj Shah, Stephen D. Patterson, and et al. 2022. "Safety and Feasibility Assessment of Repetitive Vascular Occlusion Stimulus (RVOS) Application to Multi-Organ Failure Critically Ill Patients: A Pilot Randomised Controlled Trial" Journal of Clinical Medicine 11, no. 14: 3938. https://doi.org/10.3390/jcm11143938
APA StyleChhetri, I., Hunt, J. E. A., Mendis, J. R., Forni, L. G., Kirk-Bayley, J., White, I., Cooper, J., Somasundaram, K., Shah, N., Patterson, S. D., Puthucheary, Z. A., Montgomery, H. E., & Creagh-Brown, B. C. (2022). Safety and Feasibility Assessment of Repetitive Vascular Occlusion Stimulus (RVOS) Application to Multi-Organ Failure Critically Ill Patients: A Pilot Randomised Controlled Trial. Journal of Clinical Medicine, 11(14), 3938. https://doi.org/10.3390/jcm11143938

