Risk Factor Analysis for Infection after Medial Open Wedge High Tibial Osteotomy
Abstract
1. Background
2. Methods
2.1. Patient Selection
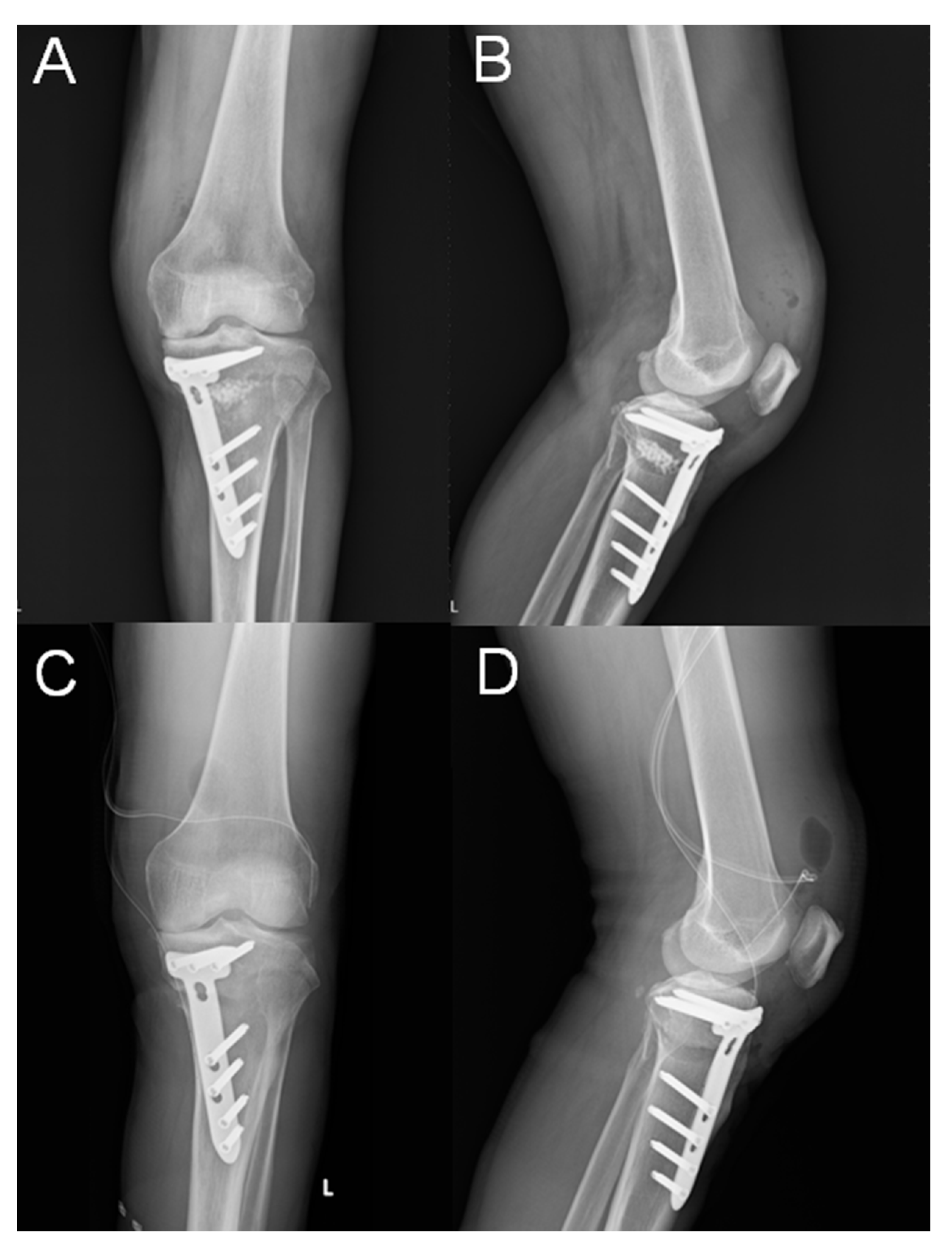
2.2. Surgical Technique
2.3. Rehabilitation Protocol
2.4. Definition of Superficial and Deep SSI
2.5. Statistical Ananlysis
3. Results
3.1. Univariate Analysis
3.2. Multivariate Analysis
4. Discussion
5. Conclusions
Author Contributions
Funding
Institutional Review Board Statement
Informed Consent Statement
Data Availability Statement
Conflicts of Interest
Abbreviations
| MOWHTO | Medial open wedge high tibial osteotomy |
| SSI | Surgical site infection |
References
- Rossi, R.; Bonasia, D.E.; Amendola, A. The role of high tibial osteotomy in the varus knee. JAAOS—J. Am. Acad. Orthop. Surg. 2011, 19, 590–599. [Google Scholar] [CrossRef] [PubMed]
- Brinkman, J.-M.; Lobenhoffer, P.; Agneskirchner, J.D.; Staubli, A.E.; Wymenga, A.B.; van Heerwaarden, R.J. Osteotomies around the knee: Patient selection, stability of fixation and bone healing in high tibial osteotomies. J. Bone Jt. Surg. 2008, 90, 1548–1557. [Google Scholar] [CrossRef] [PubMed]
- Konopka, J.F.; Gomoll, A.H.; Thornhill, T.S.; Katz, J.N.; Losina, E. The cost-effectiveness of surgical treatment of medial unicompartmental knee osteoarthritis in younger patients: A computer model-based evaluation. J. Bone Jt. Surg. 2015, 97, 807. [Google Scholar] [CrossRef] [PubMed]
- Amendola, A.; Bonasia, D.E. Results of high tibial osteotomy: Review of the literature. Int. Orthop. 2010, 34, 155–160. [Google Scholar] [CrossRef] [PubMed]
- Akizuki, S.; Yasukawa, Y.; Takizawa, T. Does arthroscopic abrasion arthroplasty promote cartilage regeneration in osteoarthritic knees with eburnation? A prospective study of high tibial osteotomy with abrasion arthroplasty versus high tibial osteotomy alone. Arthrosc. J. Arthrosc. Relat. Surg. 1997, 13, 9–17. [Google Scholar] [CrossRef]
- Schuster, P.; Schulz, M.; Mayer, P.; Schlumberger, M.; Immendoerfer, M.; Richter, J. Open-wedge high tibial osteotomy and combined abrasion/microfracture in severe medial osteoarthritis and varus malalignment: 5-year results and arthroscopic findings after 2 years. Arthrosc. J. Arthrosc. Relat. Surg. 2015, 31, 1279–1288. [Google Scholar] [CrossRef] [PubMed]
- Takeuchi, R.; Ishikawa, H.; Kumagai, K.; Yamaguchi, Y.; Chiba, N.; Akamatsu, Y.; Saito, T. Fractures around the lateral cortical hinge after a medial opening-wedge high tibial osteotomy: A new classification of lateral hinge fracture. Arthroscopy 2012, 28, 85–94. [Google Scholar] [CrossRef]
- Seki, K.; Sakka, A.; Tokushige, A.; Imagama, T.; Mutou, M.; Taguchi, T. Treatment for Staphylococcus aureus infection following open wedge high tibial osteotomy using antibiotic-impregnated calcium phosphate cement. Knee Surg. Sports Traumatol. Arthrosc. 2014, 22, 2614–2617. [Google Scholar] [CrossRef] [PubMed]
- Miniaci, A.; Ballmer, F.T.; Ballmer, P.M.; Jakob, R.P. Proximal tibial osteotomy. A new fixation device. Clin. Orthop. Relat. Res. 1989, 250–259. [Google Scholar] [PubMed]
- Staubli, A.E.; De Simoni, C.; Babst, R.; Lobenhoffer, P. TomoFix: A new LCP-concept for open wedge osteotomy of the medial proximal tibia–early results in 92 cases. Injury 2003, 34, 55–62. [Google Scholar] [CrossRef] [PubMed]
- Anagnostakos, K.; Mosser, P.; Kohn, D. Infections after high tibial osteotomy. Knee Surg. Sports Traumatol. Arthrosc. 2013, 21, 161–169. [Google Scholar] [CrossRef] [PubMed]
- Kawata, M.; Jo, T.; Taketomi, S.; Inui, H.; Yamagami, R.; Matsui, H.; Fushimi, K.; Yasunaga, H.; Tanaka, S. Type of bone graft and primary diagnosis were associated with nosocomial surgical site infection after high tibial osteotomy: Analysis of a national database. Knee Surg. Sports Traumatol. Arthrosc. 2020, 29, 1–8. [Google Scholar] [CrossRef] [PubMed]
- Dale, H.; Fenstad, A.M.; Hallan, G.; I Havelin, L.; Furnes, O.; Overgaard, S.; Pedersen, A.B.; Kärrholm, J.; Garellick, G.; Pulkkinen, P.; et al. Increasing risk of prosthetic joint infection after total hip arthroplasty: 2,778 revisions due to infection after 432,168 primary THAs in the Nordic Arthroplasty Register Association (NARA). Acta Orthop. 2012, 83, 449–458. [Google Scholar] [CrossRef] [PubMed]
- Namba, R.S.; Inacio, M.C.S.; Paxton, E.W. Risk factors associated with deep surgical site infections after primary total knee arthroplasty: An analysis of 56,216 knees. JBJS 2013, 95, 775–782. [Google Scholar] [CrossRef] [PubMed]
- Aghdassi, S.J.S.; Schröder, C.; Gastmeier, P. Gender-related risk factors for surgical site infections. Results from 10 years of surveillance in Germany. Antimicrob. Resist. Infect. Control 2019, 8, 95. [Google Scholar] [CrossRef] [PubMed]
- Guo, S.A.; DiPietro, L.A. Factors affecting wound healing. J. Dent. Res. 2010, 89, 219–229. [Google Scholar] [CrossRef]
- Seo, S.-S.; Kim, O.G.; Seo, J.H.; Kim, D.H.; Lee, I.S. Complications and short-term outcomes of medial opening wedge high tibial osteotomy using a locking plate for medial osteoarthritis of the knee. Knee Surg. Relat. Res. 2016, 28, 289. [Google Scholar] [CrossRef] [PubMed]
- van Houten, A.H.; Heesterbeek, P.J.C.; van Heerwaarden, R.J.; van Tienen, T.G.; Wymenga, A.B. Medial open wedge high tibial osteotomy: Can delayed or nonunion be predicted? Clin. Orthop. Relat. Res® 2014, 472, 1217–1223. [Google Scholar] [CrossRef] [PubMed]
- Schröter, S.; Freude, T.; Kopp, M.M.; Konstantinidis, L.; Döbele, S.; Stöckle, U.; van Heerwaarden, R. Smoking and unstable hinge fractures cause delayed gap filling irrespective of early weight bearing after open wedge osteotomy. Arthroscopy 2015, 31, 254–265. [Google Scholar] [CrossRef]
- Patel, R.A.; Wilson, R.F.; Patel, P.A.; Palmer, R.M. The effect of smoking on bone healing: A systematic review. Bone Jt. Res. 2013, 2, 102–111. [Google Scholar] [CrossRef] [PubMed]
- Rahbar, M.; Mardanpour, K.; Mardanpour, S.; Mardanpour, N. Surgical site infections in orthopedic surgery: Incidence and risk factors at an Iranian teaching hospital. Clin. Trials Orthop. Disord. 2017, 2, 132. [Google Scholar] [CrossRef]
- Jain, R.K.; Shukla, R.; Singh, P.; Kumar, R. Epidemiology and risk factors for surgical site infections in patients requiring orthopedic surgery. Eur. J. Orthop. Surg. Traumatol. 2015, 25, 251–254. [Google Scholar] [CrossRef] [PubMed]
- W-Dahl, A.; Toksvig-Larsen, S. Infection prophylaxis: A prospective study in 106 patients operated on by tibial osteotomy using the hemicallotasis technique. Arch. Orthop. Trauma Surg. 2006, 126, 441–447. [Google Scholar] [CrossRef] [PubMed]
- Fisichella, L.; Fenga, D.; Rosa, M.A. Surgical site infection in orthopaedic surgery: Correlation between age, diabetes, smoke and surgical risk. Folia Med. 2014, 56, 259–263. [Google Scholar] [CrossRef]
- Wang, T.; Wang, H.; Yang, D.-L.; Jiang, L.-Q.; Zhang, L.-J.; Ding, W.-Y. Factors predicting surgical site infection after posterior lumbar surgery: A multicenter retrospective study. Medicine 2017, 96. [Google Scholar] [CrossRef]
- de Boer, A.S.; Mintjes-de Groot, A.J.; Severijnen, A.J.; van den Berg, J.M.; van Pelt, W. Risk assessment for surgical-site infections in orthopedic patients. Infect. Control Hosp. Epidemiol. 1999, 20, 402–407. [Google Scholar] [CrossRef] [PubMed]
- Kaye, K.S.; Schmit, K.; Pieper, C.; Sloane, R.; Caughlan, K.F.; Sexton, D.J.; Schmader, K.E. The effect of increasing age on the risk of surgical site infection. J. Infect. Dis. 2005, 191, 1056–1062. [Google Scholar] [CrossRef]
- Takeuchi, R.; Ishikawa, H.; Aratake, M.; Bito, H.; Saito, I.; Kumagai, K.; Akamatsu, Y.; Saito, T. Medial opening wedge high tibial osteotomy with early full weight bearing. Arthrosc. J. Arthrosc. Relat. Surg. 2009, 25, 46–53. [Google Scholar] [CrossRef] [PubMed]
- Saito, T.; Kumagai, K.; Akamatsu, Y.; Kobayashi, H.; Kusayama, Y. Five- to ten-year outcome following medial opening-wedge high tibial osteotomy with rigid plate fixation in combination with an artificial bone substitute. Bone Jt. J. 2014, 96, 339–344. [Google Scholar] [CrossRef]
- Koshino, T.; Murase, T.; Saito, T. Medial opening-wedge high tibial osteotomy with use of porous hydroxyapatite to treat medial compartment osteoarthritis of the knee. J. Bone Jt. Surg. Am. 2003, 85, 78–85. [Google Scholar] [CrossRef] [PubMed]
- Spahn, G. Complications in high tibial (medial opening wedge) osteotomy. Arch. Orthop. Trauma Surg. 2004, 124, 649–653. [Google Scholar] [CrossRef] [PubMed]
- Mariaux, S.; Borens, O. Management of an Infected Nonunion of an Opening-Wedge High Tibial Osteotomy with 2-Stage Implantation of Rotating Hinge Knee Prosthesis. Case Rep. Orthop. 2018, 2018, 2493095. [Google Scholar] [CrossRef] [PubMed]
- Chae, D.J.; Shetty, G.M.; Wang, K.H.; Montalban, A.S.C., Jr.; Kim, J.I.; Nha, K.W. Early complications of medial opening wedge high tibial osteotomy using autologous tricortical iliac bone graft and T-plate fixation. Knee 2011, 18, 278–284. [Google Scholar] [CrossRef] [PubMed]



| Parameter | Total |
|---|---|
| Number of procedures | 61 |
| Number of patients | 59 |
| Side, R:L | 35:26 |
| Sex, M:F | 20:39 |
| Age (years), mean (SD) | 58.7 ± 6.9 |
| Body mass index (kg/m2), mean (SD) | 27.2 ± 3.6 |
| Correction (degree), mean (SD) | 10 ± 3 |
| Meniscus repair (number) | 43 |
| Operation time (minutes), mean (SD) | 125 ± 27 |
| Hospitalization length (days), mean (SD) | 5.2 ± 0.8 |
| Sex, Age, BMI | Comorbi-dities | Smoking | Correction Angle | Intraoperative Complications | Time to Infection | Culture | Treatment | Time to Union |
|---|---|---|---|---|---|---|---|---|
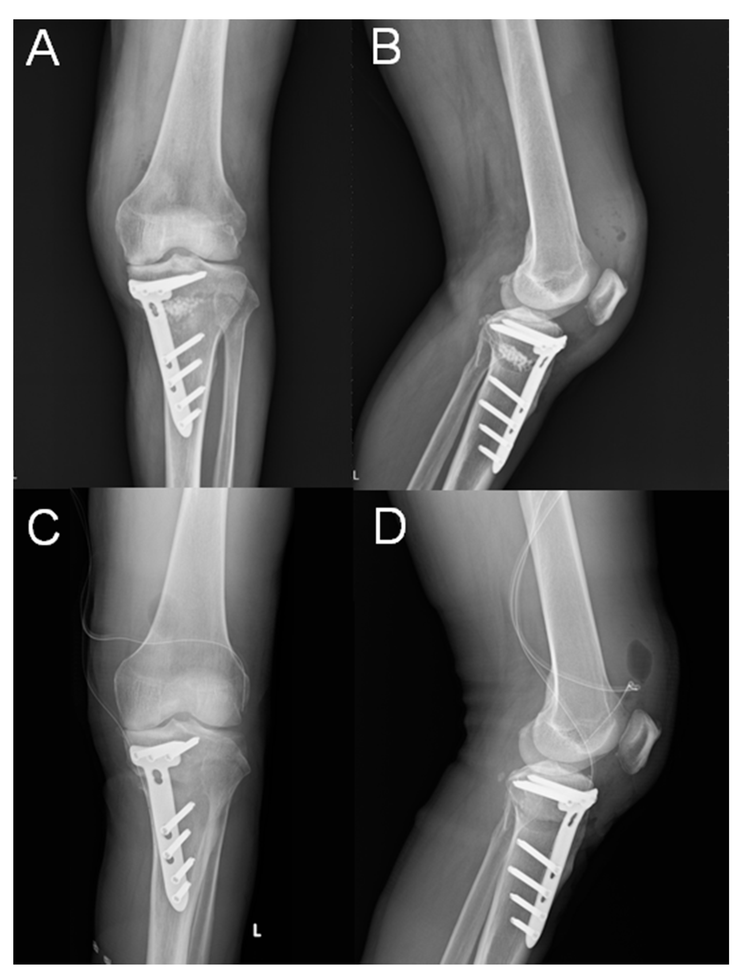
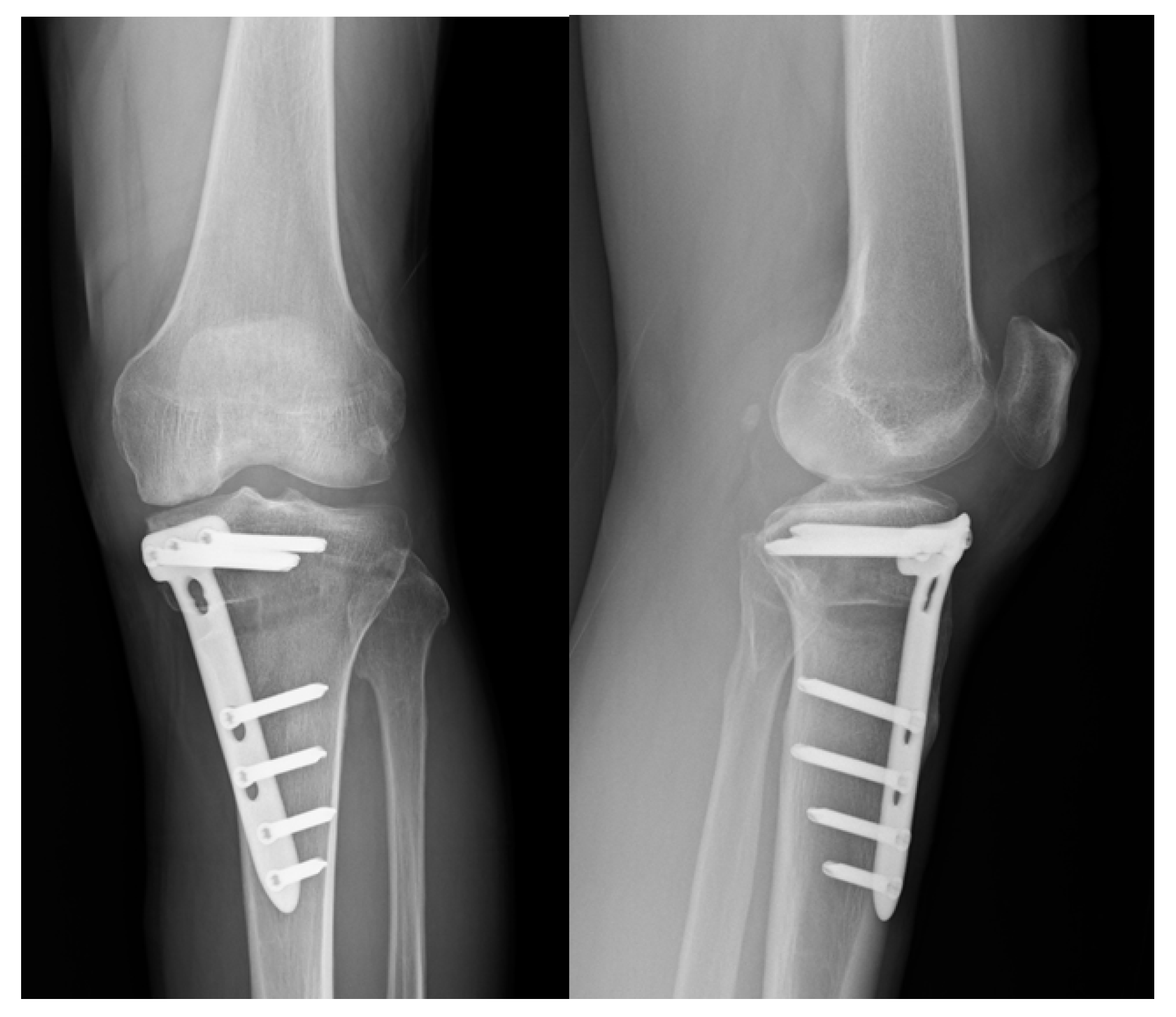
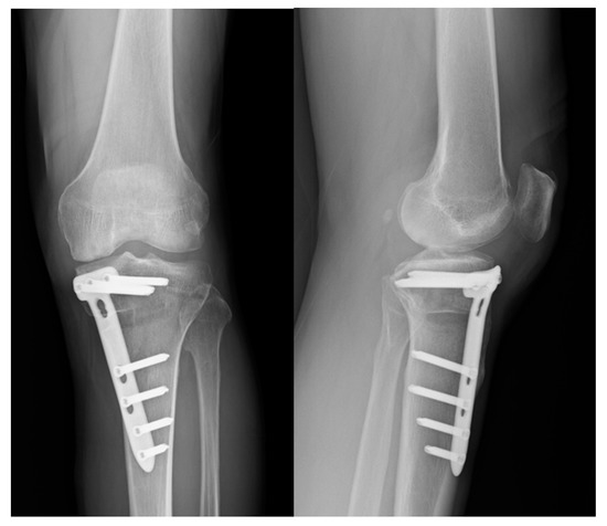
| M, 64, 25.3 | HCV | yes | 17 degree | nil | 3 months | No growth | Arthroscopic debride of knee joint, open debride of osteotomy site tics with daptomycin and Ceftazidime for a total of 6 weeks | 8 months |
| M, 58, 26.1 | Type II DM | yes | 9 degree | nil | 2 weeks | Staphylococcus epidermidis | Arthroscopic debride of knee joint, open debride of osteotomy site, systemic antibiotics with daptomycin for total of 6 weeks | 8 months |
| M, 46, 26.4 | Nil | yes | 11 degree | Lateral hinge fracture, Takeuchi type III, fixation with cannulated screws × 2 | 2 months | MSSA | Open debride of osteotomy site, systemic antibiotics with Oxaxillin for a total of 6 weeks | 8 months |
| Parameter | No Infection n = 50 | Surgical Site Infection n = 11 | p-Value |
|---|---|---|---|
| Sex, male | 15 (30%) | 5 (45.5%) | 0.479 |
| Age, mean | 58 | 62.1 | 0.073 |
| BMI, mean | 27.4 | 26.3 | 0.337 |
| Preop IKDC | 44.2 | 45.5 | 0.834 |
| Smoker | 2 (4%) | 4 (36.4%) | 0.008 * |
| Diabetes mellitus | 2 (4%) | 3 (27.3%) | 0.037 * |
| Hypertension, n | 12 (24%) | 4 (36.4%) | 0.457 |
| Hepatitis B, C, n | 5 (10%) | 3 (27.3%) | 0.148 |
| Days of hospitalization | 5.2 | 5.5 | 0.336 |
| Correction angle | 10 | 9.8 | 0.811 |
| Surgery time, min | 127.1 | 117 | 0.274 |
| Meniscus repair | 34 (68%) | 10 (91%) | 0.415 |
Publisher’s Note: MDPI stays neutral with regard to jurisdictional claims in published maps and institutional affiliations. |
© 2021 by the authors. Licensee MDPI, Basel, Switzerland. This article is an open access article distributed under the terms and conditions of the Creative Commons Attribution (CC BY) license (https://creativecommons.org/licenses/by/4.0/).
Share and Cite
Liu, T.-W.; Chiu, C.-H.; Chen, A.C.-Y.; Chang, S.-S.; Chan, Y.-S. Risk Factor Analysis for Infection after Medial Open Wedge High Tibial Osteotomy. J. Clin. Med. 2021, 10, 1727. https://doi.org/10.3390/jcm10081727
Liu T-W, Chiu C-H, Chen AC-Y, Chang S-S, Chan Y-S. Risk Factor Analysis for Infection after Medial Open Wedge High Tibial Osteotomy. Journal of Clinical Medicine. 2021; 10(8):1727. https://doi.org/10.3390/jcm10081727
Chicago/Turabian StyleLiu, Ta-Wei, Chih-Hao Chiu, Alvin Chao-Yu Chen, Shih-Sheng Chang, and Yi-Sheng Chan. 2021. "Risk Factor Analysis for Infection after Medial Open Wedge High Tibial Osteotomy" Journal of Clinical Medicine 10, no. 8: 1727. https://doi.org/10.3390/jcm10081727
APA StyleLiu, T.-W., Chiu, C.-H., Chen, A. C.-Y., Chang, S.-S., & Chan, Y.-S. (2021). Risk Factor Analysis for Infection after Medial Open Wedge High Tibial Osteotomy. Journal of Clinical Medicine, 10(8), 1727. https://doi.org/10.3390/jcm10081727

