Sign in to use this feature.

Years

Between: -

Subjects

remove_circle_outline
remove_circle_outline
remove_circle_outline
remove_circle_outline
remove_circle_outline
remove_circle_outline
remove_circle_outline
remove_circle_outline

Journals

Article Types

Countries / Regions

remove_circle_outline
remove_circle_outline
remove_circle_outline

Search Results (396)

Search Parameters:
Keywords = arthroscope

Order results
Result details
Results per page
Select all
Export citation of selected articles as:
12 pages, 2925 KB  
Article
Arthroscopic Bioinductive Collagen Scaffold Augmentation in High-Risk Posterosuperior Rotator Cuff Tears: Clinical and Radiological Outcomes
by Michael Kimmeyer, Geert Alexander Buijze, Madu Nayan Soares, Peter Rab, Antonio Gioele Colombini, Robin Diot, Arno Macken and Thibault Lafosse
J. Clin. Med. 2025, 14(24), 8797; https://doi.org/10.3390/jcm14248797 - 12 Dec 2025
Viewed by 241
Abstract
Background/Objectives: Bioinductive bovine collagen implants (BCI) have been introduced to enhance tendon biology and promote tissue regeneration in rotator cuff (RC) repairs. This study aimed to assess the clinical and radiological outcomes of arthroscopic posterosuperior rotator cuff (psRC) repair with BCI augmentation in [...] Read more.
Background/Objectives: Bioinductive bovine collagen implants (BCI) have been introduced to enhance tendon biology and promote tissue regeneration in rotator cuff (RC) repairs. This study aimed to assess the clinical and radiological outcomes of arthroscopic posterosuperior rotator cuff (psRC) repair with BCI augmentation in full-thickness tears at increased risk of retear. Methods: This case series analyzed 30 patients with psRC tears who were classified as being at high risk of failure according to a predefined set of parameters, including patient history, radiological findings and intraoperative assessments, and the presence of psRC retears. All patients subsequently underwent arthroscopic psRC repair with BCI augmentation, compromising 21 primary and 9 secondary repairs. Clinical outcomes were assessed using Subjective Shoulder Value (SSV), American Shoulder and Elbow Surgeons (ASES) shoulder score, and Constant score at 6 and 12 months postoperatively. Tendon integrity was assessed using the Sugaya classification. Results: At 12 months, magnetic resonance imaging revealed complete tendon healing in 56.7%, partial healing in 16.7%, and insufficient healing in 26.7%. Significant improvements in SSV (45.3 to 83.5), ASES (40.6 to 77.8), and Constant score (36.6 to 71.7) were observed at 12 months postoperatively, with all outcome measures exceeding their respective minimally clinically important differences. Two patients (6.7%) developed secondary shoulder stiffness, and 1 patient (3.3%) required revision surgery for bicipital groove pain. Conclusions: Augmentation with a BCI in arthroscopic repair of high-risk psRC tears demonstrate promising short-term results. Patients achieve significant improvements in pain and shoulder function, accompanied by satisfactory tendon healing on MRI. Full article
(This article belongs to the Section Orthopedics)
Show Figures

Figure 1

15 pages, 3013 KB  
Article
Clinical Outcomes of Minced Cartilage Treatment (AutoCart™) for Medial Osteochondral Lesions of the Talus: A Prospective One-Year Follow-Up Study
by Klaus E. Roth, Gian M. Salzmann, Philipp Winter, Irene Schmidtmann, Gerrit Maier, Isabelle Cochrane, Robert Ossendorff, Kajetan Klos and Philipp Drees
J. Clin. Med. 2025, 14(24), 8710; https://doi.org/10.3390/jcm14248710 - 9 Dec 2025
Viewed by 212
Abstract
Background/Objectives: This prospective study aims to assess the clinical outcomes of the AutoCart™ technique for the treatment of medial osteochondral lesions of the talus (OLT). Methods: 29 consecutive patients treated for medial OLT were included. Demographic characteristics and preoperative imaging (MRI and CT) [...] Read more.
Background/Objectives: This prospective study aims to assess the clinical outcomes of the AutoCart™ technique for the treatment of medial osteochondral lesions of the talus (OLT). Methods: 29 consecutive patients treated for medial OLT were included. Demographic characteristics and preoperative imaging (MRI and CT) were reviewed, and patient-reported outcome measures (PROMs)—including a Visual Analog Pain Scale (VAS), Foot Function Index (FFI), Foot and Ankle Ability Measure (FAAM), and the Veterans RAND 12-Item Health Survey (VR-12)—were assessed preoperatively and at 6 and 12 months post-treatment. Results: In the cohort, 14 (48%) were female, 13 (45%) were male, and 2 (7%) did not disclose their gender. Median age was 35.5 years (interquartile range: 23.0–49.5). Mean defect size was 121.95 ± 84.46 mm2. Three patients were treated entirely arthroscopically, while 26 patients underwent medial malleolar osteotomy with cancellous bone grafting from the calcaneus for cartilage fragment placement. At one-year follow-up, there were significant improvements in pain and functional outcomes. The VAS score showed a mean reduction of 1.3 points (95% CI: −2.6 to −0.1; p = 0.036). Strong improvement was observed in the FFI, with a mean reduction of 13.3 points (95% CI: −21.0 to −5.6; p = 0.001). The FAAM Sports subscale showed a significant increase of 18.6 points (95% CI: 7.0 to 30.1; p = 0.002). Conclusions: Patients demonstrate clinical improvement after minced cartilage implantation with the AutoCart™ technique. These findings suggest that the minced cartilage procedure is a viable treatment option for medial OLTs, though further studies are needed to assess long-term efficacy. Full article
(This article belongs to the Special Issue Clinical Advances in Cartilage Repair and Regeneration)
Show Figures

Figure 1

15 pages, 1626 KB  
Article
Tractionless Arthroscopic Treatment of Suspected Hip Septic Arthritis in Adults: A Single-Center Retrospective Case Series with Minimum One-Year Follow-Up
by Nadav Graif, Ran Atzmon, Aimee Steen, Shai Factor, Samuel Belmont, Michal Dekel, Ehud Rath and Eyal Amar
Surg. Tech. Dev. 2025, 14(4), 43; https://doi.org/10.3390/std14040043 - 4 Dec 2025
Viewed by 173
Abstract
Background: Septic arthritis of the hip (SAH) requires emergent surgical intervention. While open arthrotomy has been the traditional approach, arthroscopic treatment is emerging as an effective alternative. Tractionless techniques in adult populations remain understudied. Methods: Twenty-one patients (22 hips) met inclusion criteria. Six [...] Read more.
Background: Septic arthritis of the hip (SAH) requires emergent surgical intervention. While open arthrotomy has been the traditional approach, arthroscopic treatment is emerging as an effective alternative. Tractionless techniques in adult populations remain understudied. Methods: Twenty-one patients (22 hips) met inclusion criteria. Six patients (7 hips) were excluded for age < 18 years, post-COVID osteomyelitis, prior hip surgery, or insufficient records, resulting in a final cohort of 15 patients. All fifteen patients underwent tractionless arthroscopic irrigation and debridement for suspected SAH (2014–2023). Inclusion required ≥2 clinical criteria (hip pain, limited range of motion, inability to bear weight, fever > 38 °C) AND ≥ 1 laboratory criterion (leukocytosis, elevated CRP, synovial WBC > 50,000, positive culture). Primary outcomes included Visual Analog Scale pain scores, inflammatory markers, and complications. Results: Median age was 33 years (range 20–76); 60% were female. VAS scores improved from 7 (6–10) to 1 (0–3) at discharge (p < 0.001). CRP levels decreased from 115 mg/L (35–206) to <5 mg/L (<5–9) postoperatively (p < 0.001). Positive cultures were obtained in 26.7% of cases, predominantly methicillin-sensitive Staphylococcus aureus. No perioperative complications occurred. Histopathological analysis revealed tenosynovial giant cell tumor (TGCT) in 33.3% of cases, representing an important differential diagnosis. Among non-TGCT cases, the culture-positive rate was 40%. No infection recurrence was observed during a minimum one-year follow-up. Conclusions: Tractionless arthroscopic irrigation and debridement appears effective for managing suspected SAH in adults, achieving significant improvements in pain scores and inflammatory markers without perioperative complications. This technique offers potential advantages by eliminating traction-related risks while maintaining effective joint debridement. Additionally, TGCT should be considered in the differential diagnosis of suspected SAH with culture-negative inflammatory arthropathy. Full article
Show Figures

Figure 1

23 pages, 4572 KB  
Systematic Review
Graduated Compression Stockings for Thromboprophylaxis in Orthopaedic and Trauma Surgery: A Rapid Review and Meta-Analysis
by Dirk Stengel, Daniela Schnorbus, Axel Ekkernkamp, Matthias Münzberg, Beate Schmucker, Lina El Kassar, Flemming Rohrmann and Paul A. Grützner
J. Clin. Med. 2025, 14(23), 8578; https://doi.org/10.3390/jcm14238578 - 3 Dec 2025
Viewed by 296
Abstract
Background/Objectives: The utility and value of graduated compression stockings (gCS) as an adjunct to pharmacological thromboprophylaxis, with and without low-molecular-weight heparins (LMWH) and other anticoagulants, in avoiding any thromboembolic (TE) event in the scenario of total joint replacement, fracture management, spine and pelvic [...] Read more.
Background/Objectives: The utility and value of graduated compression stockings (gCS) as an adjunct to pharmacological thromboprophylaxis, with and without low-molecular-weight heparins (LMWH) and other anticoagulants, in avoiding any thromboembolic (TE) event in the scenario of total joint replacement, fracture management, spine and pelvic surgery, and arthroscopic procedures, remains unclear. Because of the urgent need to decide whether gCS should stay in the portfolio of a national group of nine tertiary trauma centres, our research department was requested to answer the question of whether gCS provide any extra benefit in addition to modern TE prophylaxis in orthopaedic and trauma surgery through a prospectively registered rapid review (PROSPERO CRD42024621104). Methods: We searched PubMed, Ovid MEDLINE, Embase, CINAHL, and CENTRAL from 1 January 1980 to 1 March 2025, for randomised controlled trials (RCTs) and cohort studies comparing TE prophylaxis regimens, both with and without gCS, and modern pharmacological anticoagulants. The methodological quality of individual studies was rated by the Cochrane Collaborations’ Risk of Bias Version 2.0 (RoB-2) and the Risk of Bias in Non-Randomised Studies of Interventions (ROBINS-I) tools, supplemented by the Grading of Recommendations Assessment, Development and Evaluation (GRADE). The reported cumulative incidence of any TE event (i.e., deep vein thrombosis, pulmonary embolism), as defined by individual trialists, was chosen as the primary endpoint, and expressed as the relative risk (RR) between intervention and control groups. Results: Fifteen investigations (13 RCTs and 2 observational studies) enrolling 7721 patients (mean age, 59 [SD 13] years; 3538 males [46%]) with various musculoskeletal conditions and injuries were included. Methodological quality was deemed sufficient to derive meaningful conclusions. The random-effects pooled RR across all studies was 1.15 (95% confidence interval [CI]: 0.80–1.64) in favour of the no-gCS control, but with substantial heterogeneity (I2: 73%). Only three studies investigated the effectiveness of gCS versus no prophylaxis (N = 246, RR: 0.72, 95% CI: 0.43–1.22). Seven studies (N = 5117) compared various combinations of pharmacological prophylaxis, with or without gCS, for a summary RR of 1.44 (95% CI: 0.76–2.72). Conclusions: The results of this rapid review neither show a clear benefit nor support the general use of gCS to prevent TE in orthopaedic and trauma surgery, especially if pharmacological prophylactic measures are established and suitable. Full article
(This article belongs to the Section Orthopedics)
Show Figures

Figure 1

9 pages, 3164 KB  
Case Report
Refractory Hypoxemia as a Trigger for Systemic Thrombolysis in Intermediate-High-Risk Pulmonary Embolism: A Case Report
by Ilias E. Dimeas, Panagiota Vairami, George E. Zakynthinos, Cormac McCarthy and Zoe Daniil
Reports 2025, 8(4), 253; https://doi.org/10.3390/reports8040253 - 29 Nov 2025
Viewed by 209
Abstract
Background and Clinical Significance: Intermediate-high-risk pulmonary embolism is characterized by right-ventricular dysfunction and positive cardiac biomarkers in the absence of hemodynamic instability. Current guidelines recommend anticoagulation with vigilant monitoring, and reserve systemic fibrinolysis for patients who deteriorate hemodynamically. However, some patients may [...] Read more.
Background and Clinical Significance: Intermediate-high-risk pulmonary embolism is characterized by right-ventricular dysfunction and positive cardiac biomarkers in the absence of hemodynamic instability. Current guidelines recommend anticoagulation with vigilant monitoring, and reserve systemic fibrinolysis for patients who deteriorate hemodynamically. However, some patients may experience physiologic decompensation manifested by refractory hypoxemia rather than hypotension, despite preserved systemic perfusion and normal lung parenchyma. In such cases, oxygenation failure reflects the severity of perfusion impairment and incipient right-ventricular-circulatory collapse. Whether this scenario justifies systemic fibrinolysis remains uncertain. Case Presentation: We present a 75-year-old man, five days after arthroscopic meniscus repair, presenting with acute dyspnea, tachycardia, and severe respiratory failure despite normal chest radiography. Laboratory findings revealed elevated troponin-I and brain natriuretic peptide, and echocardiography demonstrated marked right-ventricular dilation. Computed tomographic pulmonary angiography confirmed extensive bilateral central emboli with preserved lung parenchyma. Despite high-flow nasal oxygen at 100% fraction of inspired oxygen, respiratory failure worsened, necessitating intubation under lung-protective settings. With catheter-directed therapy unavailable and transfer unsafe, a multidisciplinary team administered staged systemic fibrinolysis with alteplase, pausing heparin during infusion. No bleeding or surgical complications occurred. Oxygenation and right-ventricular indices improved promptly. The patient was extubated on day 2, discharged from intensive care unit on day 7, and remained asymptomatic with normal echocardiography at 3 months. Conclusions: Refractory hypoxemia in intermediate-high-risk, normotensive pulmonary embolism, particularly when parenchymal disease and ventilator confounding are excluded, may represent an early form of circulatory decompensation warranting rescue reperfusion. In the absence of catheter-directed options and with acceptable bleeding risk, staged full-dose systemic fibrinolysis can be life-saving and physiologically justified. This case supports expanding the concept of “clinical deterioration” in intermediate-risk pulmonary embolism to include isolated, unexplained respiratory failure, highlighting the need for future trials to refine individualized reperfusion thresholds. Full article
(This article belongs to the Section Critical Care/Emergency Medicine/Pulmonary)
Show Figures

Figure 1

11 pages, 224 KB  
Article
Personalized Surgical Decision-Making in Meniscal Tears: Short-Term Outcomes of Repair vs. Partial Meniscectomy in Mongolian Patients
by Orgil Zorigtbaatar, Nomin-Erdene Minjuurdorj, Baatarjav Sosor, Gonchigsuren Dagvasumberel, Bayasgalan Gombojav and Naranbat Lkhagvasuren
J. Pers. Med. 2025, 15(12), 578; https://doi.org/10.3390/jpm15120578 - 28 Nov 2025
Viewed by 463
Abstract
Objectives: Arthroscopic meniscal surgery (AMS) is one of the most common orthopedic procedures worldwide, and its prevalence has been steadily increasing. In this study, we aimed to compare the short-term clinical outcomes (STCOs) and patient-reported outcome measures (PROMs) with anxiety and satisfaction [...] Read more.
Objectives: Arthroscopic meniscal surgery (AMS) is one of the most common orthopedic procedures worldwide, and its prevalence has been steadily increasing. In this study, we aimed to compare the short-term clinical outcomes (STCOs) and patient-reported outcome measures (PROMs) with anxiety and satisfaction in Mongolian patients. Methods: A prospective cohort study involved 103 patients who underwent arthroscopic knee surgery at The National Trauma Orthopedic Research Center and Grandmed Hospital in Mongolia between 2020 and 2023. STCO and PROM were calculated for the Knee Injury and Osteoarthritis Outcome Score (KOOS) subscores, the visual analog scale was assessed for pain (VAS), and Knee Range of Motion (ROM), Measures of Anxiety State-Trait Anxiety Inventory (STAI), and The Surgical Satisfaction Questionnaire (SSQ-8) were also used. Results: Out of 103 patients (69 for partial meniscectomy and 34 for meniscal repair), KOOSs improved significantly from pre-operative to post-operative levels. The Koos subscores for pain were 57.93 ± 12.58 pre-operatively and 80.93 ± 5.70 post-operatively; Koos subscores for Symptoms (KOOS Sx) were 54.13 ± 12.73, 80.27 ± 6.22; Koos subscores for Activities of Daily Living (KOOS ADL) were 61.28 ± 13.19, 79.61 ± 4.91; Koos subscores for Sports/Recreation (KOOS SR) were 42.28 ± 13.21, 72.04 ± 6.88; and Koos subscores for Quality of Life (KOOS QOL) were 45.08 ± 12.46, 77.85 ± 7.96. On the other hand, the pre-operative and post-operative results of the STAI were not significant (46.03 ± 8.2 vs. 39.59 ± 7.13, p = 0.781). Conclusions: In the present study, we elucidated patient- and injury-specific factors that may guide personalized surgical decision-making in Mongolian patients. Our findings suggest that AMS is a viable option for alleviating pain and enhancing function in the short term for patients with meniscal tears. The high PROMs and satisfaction scores reflect good-to-excellent results, and meniscal repair was associated with better outcome scores. While pre-operative anxiety levels were high, they decreased after surgery, although they did not entirely disappear. Full article
(This article belongs to the Special Issue Knee Injuries: Personalized Diagnosis, Treatment and Management)
15 pages, 4064 KB  
Review
Clock-Face Sonography of the Glenoid Labrum: A Pictorial Technical Protocol for Patients Ineligible for MRI/MR Arthrography
by Tomasz Poboży, Wojciech Konarski, Kacper Janowski, Klaudia Michalak, Kamil Poboży, Julia Domańska-Poboża and Maciej Kielar
Diagnostics 2025, 15(23), 3031; https://doi.org/10.3390/diagnostics15233031 - 28 Nov 2025
Viewed by 337
Abstract
This work presents a standardized 360-degree, clock-face ultrasonographic protocol for comprehensive static and dynamic assessment of the glenoid labrum. The protocol translates the arthroscopic clock-face orientation into ultrasound scanning windows, providing reproducible steps for each labral quadrant (12 to 12 o’clock) including patient [...] Read more.
This work presents a standardized 360-degree, clock-face ultrasonographic protocol for comprehensive static and dynamic assessment of the glenoid labrum. The protocol translates the arthroscopic clock-face orientation into ultrasound scanning windows, providing reproducible steps for each labral quadrant (12 to 12 o’clock) including patient positioning, transducer orientation, and dynamic maneuvers. By leveraging linear transducers with trapezoidal imaging and an optional convex transducer to bypass acoustic shadowing from the acromion and coracoid, all labral segments can be consistently visualized, while dynamic testing reveals subtle clefts, irregular margins, and medial displacement patterns. Clinically, this approach is particularly valuable for patients who cannot undergo MRI or MR arthrography (e.g., due to metallic implants, contrast allergy, claustrophobia or renal dysfunction) and in settings where MR/MRA is unavailable or impractical (sports medicine, urgent care, postoperative follow-up). The pictorial atlas and step-by-step checklists aim to support adoption in routine practice and to facilitate communication with surgeons through shared clock-face terminology. This protocol is not intended to replace MR arthrography for surgical planning; rather, when MRI/MRA cannot be performed or access is limited, it provides actionable, dynamic information that complements clinical decision-making. Full article
(This article belongs to the Special Issue Musculoskeletal Imaging 2025, 2nd Edition)
Show Figures

Figure 1

9 pages, 1139 KB  
Article
Comparison of Suture Anchor Constructs in Arthroscopic Rotator Cuff Reconstruction: Assessing Clinical Outcome and Treatment Cost Variations
by David Endell, Tim Schneller, Moritz Kraus and Markus Scheibel
J. Clin. Med. 2025, 14(23), 8412; https://doi.org/10.3390/jcm14238412 - 27 Nov 2025
Viewed by 227
Abstract
Background: Cuff reconstructions vary due to different technical approaches by suture anchor manufacturers, as well as different suture construct configurations. Objectives: The main aim of this study is to primarily compare clinical outcomes and secondarily observe cost-effectiveness by assessing suture construct [...] Read more.
Background: Cuff reconstructions vary due to different technical approaches by suture anchor manufacturers, as well as different suture construct configurations. Objectives: The main aim of this study is to primarily compare clinical outcomes and secondarily observe cost-effectiveness by assessing suture construct configurations in arthroscopic rotator cuff repair (ARCR). Methods: Using a retrospective local registry, we included patients undergoing arthroscopic rotator cuff repair who had been implanted with different anchor configurations and different anchor manufacturers. Data analysis was conducted via multiple linear regression, primarily evaluating the relationship between clinical scores (OSS; SSV) and suture construct configurations, to analyze, monitor, and compare the postoperative clinical development. Total surgical costs were also obtained from the clinical billing department for analysis of various factors, including Adjusted Life Years (ALYs) and Incremental Cost-Effectiveness Ratio (ICER), while controlling for sex, tear severity, and age. Results: A total of 317 patients were included in the final analysis, with a mean age at surgery of 60.1 ± 10.8 years, with 58% of patients being male. According to the Gerber tear severity classification, 23% of patients had a partial tear, 59% had at least one full-thickness tear, and the remaining 18% had a massive tear. Using linear regression models, the analysis of changes in Quality-Adjusted Life Years (QALYs) as the dependent variable did not yield statistically significant results. The postoperative development of the measured clinical scores (SSV; OSS) did not show a significant difference comparing the two manufacturers (p = 0.11, p = 0.85). However, the model evaluating costs identified significant effects related to the type of anchor configuration and manufacturer. Regarding anchor configurations, utilizing anchor configuration 1 or 2 resulted in lower costs by up to CHF 254.51 compared to the reference anchor configuration 4 (p < 0.05), after controlling for age, sex, tear severity, and anchor configuration. Conclusions: The primary findings of this study indicate that although clinical outcomes are generally consistent across various rotator cuff reconstruction scenarios, while secondarily the cost implications can differ significantly and are mainly attributed to the differing numbers of anchors required for each configuration and price setting of the manufacturer. The study underscores the importance of suture construct configuration and manufacturer selection in controlling healthcare costs while maintaining quality patient care. Full article
(This article belongs to the Special Issue Shoulder Arthroplasty: Clinical Advances and Future Perspectives)
Show Figures

Figure 1

14 pages, 3283 KB  
Article
Subchondral Phosphate Injection During Hip Arthroscopy Safely Treats Acetabular Bone Marrow Lesions in Early Osteoarthritis
by Marco Minelli, Berardo Di Matteo, Vincenzo Longobardi, Alessio D’Addona, Marco Rosolani, Sebiano Pitronaci, Elizaveta Kon and Federico Della Rocca
J. Clin. Med. 2025, 14(23), 8298; https://doi.org/10.3390/jcm14238298 - 22 Nov 2025
Viewed by 321
Abstract
Introduction: Arthroscopy for femoroacetabular impingement (FAI) yields inferior outcomes when subchondral edema and cystic degeneration are present. Subchondroplasty (SCP), which involves injecting osteoconductive calcium phosphate into Bone Marrow Lesions (BMLs), may enhance subchondral structural support and can be performed alongside hip arthroscopy. [...] Read more.
Introduction: Arthroscopy for femoroacetabular impingement (FAI) yields inferior outcomes when subchondral edema and cystic degeneration are present. Subchondroplasty (SCP), which involves injecting osteoconductive calcium phosphate into Bone Marrow Lesions (BMLs), may enhance subchondral structural support and can be performed alongside hip arthroscopy. Materials and Methods: This single-center retrospective study included patients who underwent SCP for acetabular BMLs during primary hip arthroscopy for FAI from March 2019 to March 2023. Clinical and radiographic outcomes were recorded at ≥2-year follow-up. Survivorship with treatment failure as the endpoint was assessed using Kaplan–Meier analysis. Results: Thirty-four patients were evaluated at a mean 3.1-year follow-up. No perioperative, early, or late complications or adverse events occurred. No bone substitute migration or intra-articular extravasation was seen. Four patients (11.8%) showed osteoarthritis progression and required conversion to total hip arthroplasty; no intraoperative issues with acetabular preparation were encountered. All clinical scores improved significantly (p < 0.001), and 82.4% returned to sport. Conclusions: SCP performed during hip arthroscopy appears safe in selected patients with early hip osteoarthritis and BMLs. Calcium phosphate injection may help restore subchondral integrity and load distribution, though the independent contribution of SCP beyond standard arthroscopic management remains uncertain. Full article
(This article belongs to the Section Orthopedics)
Show Figures

Figure 1

13 pages, 1905 KB  
Article
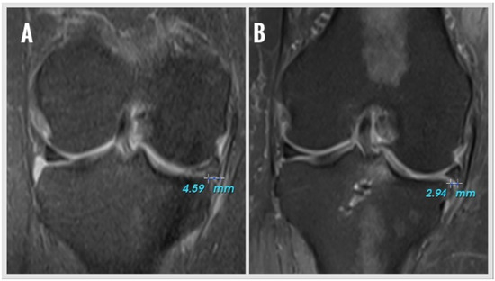
Arthroscopic All-Suture Anchor Repair of Medial Meniscus Posterior Root Tears Without a Posteromedial Portal: Clinical Improvement and Healing Despite Persistent Extrusion
by Murat Aşci, Yavuz Şahbat, Mete Gedikbaş, Utkan Sobay, Fırat Erpala and Taner Güneş
J. Clin. Med. 2025, 14(23), 8272; https://doi.org/10.3390/jcm14238272 - 21 Nov 2025
Viewed by 310
Abstract
Background: It is known that meniscus root tears affect the biomechanics of the knee in a way that is equivalent to a total meniscectomy. Therefore, repair is increasingly favored for meniscal root tears. In our study, we aimed to investigate the clinical and [...] Read more.
Background: It is known that meniscus root tears affect the biomechanics of the knee in a way that is equivalent to a total meniscectomy. Therefore, repair is increasingly favored for meniscal root tears. In our study, we aimed to investigate the clinical and radiological outcomes of meniscal root repairs with suture anchors. Materials and Methods: Patients who had undergone surgery for medial meniscus posterior root tear (MMPRT) using suture-anchors between 2018 and 2023 were retrospectively analyzed. Patients were excluded if they had a previous infection, a fracture and an operation on the same knee, or osteoarthritis and a follow-up period under one year. The MMPRTs were classified according to the LaPrade classification system. For the functional classification, the range of motion (ROM), the Visual Analog Scale (VAS), the Lysholm Knee Score (LKS), and the International Knee Documentation Committee (IKDC) Subjective Knee Form were used for the postoperative functional assessments. The radiological assessment was performed by measuring the medial meniscus extrusion (MME) and evaluating the signal changes in the magnetic resonance imaging (MRI) of the knee, which was recorded during the last follow-up examination. Results: Thirty-two patients (6M/26F) were included in the study. The mean age was 49.9 ± 5.4 years old, and the follow-up period was 29.6 ± 24.1 months. The LKS improved from 53.7 ± 6.9 to 83.6 ± 5.2 and the IKDC improved from 46.1 ± 6.9 to 83.0 ± 5.5 at the final follow-up control (p < 0.001 and p < 0.001). The VAS score decreased from 8.4 ± 0.5 to 2.5 ± 0.9 (p < 0.001). The MRI scan of the knee performed at the last follow-up examination showed no improvement in only one patient. While the MME before surgery was 5.0 ± 2.1 mm, it was 4.6 ± 2.1 mm at the last follow-up examination (p = 0.178). An increase in the Kellgren–Lawrence stage was observed in 4 of our patients (from stage 1 to stage 2 in one patient, from stage 0 to stage 1 in 3 patients). Conclusions: The results of this study suggest that repairing MMPRTs using suture-anchors is a valid solution for treatment and prevention in patients with poor prognoses in order to achieve positive results in reducing pain, restoring mobility, improving functional outcomes and avoiding a significant increase in progression to arthrosis. Full article
(This article belongs to the Section Orthopedics)
Show Figures

Figure 1

14 pages, 1818 KB  
Article
Dynamic Kinematic Assessment with 3D Motion Analysis After Arthroscopic Bankart Repair: A Mid- to Long-Term Study
by Pit Hetto, Raissa Liewald, David M. Spranz and Stefanos Tsitlakidis
J. Clin. Med. 2025, 14(22), 8204; https://doi.org/10.3390/jcm14228204 - 19 Nov 2025
Viewed by 308
Abstract
Background/Objectives: The aim of the study is to first evaluate mid- to long-term changes in shoulder range of motion (ROM) and functional performance in activities of daily living (ADLs) after arthroscopic Bankart repair using three-dimensional (3D) motion analysis. Methods: We prospectively analyzed five [...] Read more.
Background/Objectives: The aim of the study is to first evaluate mid- to long-term changes in shoulder range of motion (ROM) and functional performance in activities of daily living (ADLs) after arthroscopic Bankart repair using three-dimensional (3D) motion analysis. Methods: We prospectively analyzed five patients (mean age: 31.8 years) pre- and postoperatively at 8.4 months and eight patients retrospectively at 12.1 years (mean age: 40.4 years). Fifteen asymptomatic adults served as controls. Shoulder kinematics were assessed using the Heidelberg Upper Extremity (HUX) model during maximum ROM and four ADL tasks (apron, neck, wash, and book). Results: At short-term follow-up, forward flexion improved by 31° (p < 0.05) and abduction improved by 70° (p < 0.05), while other movements showed non-significant trends toward improvement. Long-term follow-up demonstrated sustained or increased gains in flexion (+9°) and abduction (+7°) but significant declines in external rotation (−5°) and internal rotation (−30°). ADL analyses showed significant postoperative gains in abduction/adduction during “apron” (+6.7°) and “neck” (+49.8°) tasks. The long-term results remained comparable to or better than postoperative values in most planes, although external/internal rotation during the “wash” task decreased over time. Compared with normative controls, patients employed a larger ROM during some ADLs, suggesting compensatory mechanisms. Conclusions: Arthroscopic Bankart repair yields sustained mid- to long-term improvements in shoulder ROM and ADL performance. Rotational deficits persist despite maintained flexion and abduction in the long run, underscoring the need for targeted rehabilitation strategies. Full article
(This article belongs to the Special Issue Clinical Advances in Arthroscopic Shoulder Surgery)
Show Figures

Figure 1

16 pages, 2302 KB  
Systematic Review
Clinical Efficacy of Different Therapies for Painful Shoulder Conditions: A Network Meta-Analysis of Randomized Controlled Trials
by Kuan-Han Chen, Sih-Yu Guo, Hung-Cheng Chen and Chiu-Yueh Yang
Healthcare 2025, 13(22), 2920; https://doi.org/10.3390/healthcare13222920 - 14 Nov 2025
Viewed by 902
Abstract
Objective: This study aimed to evaluate, through a network meta-analysis, the short- and long-term efficacy of both Western medical therapies and traditional Chinese medical therapy (acupuncture) in improving symptoms of shoulder pain. Methods: A comprehensive computer-based search was conducted in Embase, Cochrane Library, [...] Read more.
Objective: This study aimed to evaluate, through a network meta-analysis, the short- and long-term efficacy of both Western medical therapies and traditional Chinese medical therapy (acupuncture) in improving symptoms of shoulder pain. Methods: A comprehensive computer-based search was conducted in Embase, Cochrane Library, Web of Science, and PubMed databases for randomized controlled trials (RCTs) related to Western and Chinese medical treatments for shoulder pain measured by visual analogue scale (VAS) scores. All researchers independently screened and selected studies, extracted data, and assessed the risk of bias. Studies that met quality standards were analyzed using Stata 16.0 and Review Manager 5.4 software. Results: A total of 269 articles were retrieved, and 15 were ultimately included in the network meta-analysis, covering nine types of Western and Chinese medical therapies. The total sample size was 1114 cases, with 557 in an experimental group and 557 in a control group. In terms of reducing VAS scores at 4 weeks after treatment, sham acupuncture was significantly less effective than acupuncture (MD: 19.39; 95% CI: 0.66–38.12), indicating that acupuncture had a better short-term effect on pain relief at 4 weeks. In terms of reducing VAS scores at 12 weeks after treatment, sodium hyaluronate (hyaluronate) was more effective than physical therapy (PT) in reducing long-term pain (MD: −19.57; 95% CI: −37.23–−1.90); suprascapular nerve block (SSNB) (MD: −9.11; 95% CI: −16.02–−2.20) and arthroscopic capsular release (MD: −16.07; 95% CI: −30.16–−1.97) were also more effective than PT. The top three treatments in terms of clinical efficacy for painful shoulder conditions were hyaluronate, SSNB, and arthroscopic capsular release. Conclusions: For the treatment of shoulder pain, hyaluronate, SSNB, and arthroscopic capsular release showed greater potential long-term efficacy in pain reduction than PT, with hyaluronate showing the best effect. Full article
Show Figures

Figure 1

21 pages, 2823 KB  
Systematic Review
Arthroscopic Discopexy Techniques for Articular Disc Displacement: A Systematic Review and Meta-Analysis
by Shinnosuke Nogami, Phasathorn Jewrasumnuay and Kensuke Yamauchi
J. Clin. Med. 2025, 14(22), 8046; https://doi.org/10.3390/jcm14228046 - 13 Nov 2025
Viewed by 577
Abstract
Background/Objectives: Anterior disc displacement (ADD) is a common temporomandibular joint (TMJ) disorder and may progress to internal derangements. Although arthroscopic discopexy (minimally invasive disc repositioning with fixation) has been adopted, suggested techniques and pooled outcomes have not been comprehensively synthesized. The aim [...] Read more.
Background/Objectives: Anterior disc displacement (ADD) is a common temporomandibular joint (TMJ) disorder and may progress to internal derangements. Although arthroscopic discopexy (minimally invasive disc repositioning with fixation) has been adopted, suggested techniques and pooled outcomes have not been comprehensively synthesized. The aim of the present study was to summarize the effectiveness of arthroscopic discopexy in treating patients with disc-related TMJ disorders. Methods: This systematic review and meta-analysis followed Cochrane guidance and PRISMA 2020 protocol. Four databases were searched through 1 September 2025. A total of 26 studies were included in this review. Nine studies met the eligibility criteria for meta-analysis and were pooled. The remaining 17 studies were narratively described, focusing on surgical characteristics. Continuous outcomes (MIO, pain score (VAS 0–10)) were pooled as mean differences (MD) with 95% confidence intervals (CIs), and joint sounds were synthesized as dichotomous outcomes. Analyses and heterogeneity were performed in RevMan 5.4. Certainty was graded with GRADE. (PROSPERO: CRD420251145229). Results: 1086 TMJs were analyzed. Arthroscopic discopexy significantly improved MIO, pain, and joint sounds at all time points. The MD of MIO was 10.58 mm (95% CI: 4.46 to 16.70; p ≤ 0.001), 9.83 mm (95% CI: 4.09 to 15.57; p ≤ 0.001), and 13.06 mm (95% CI: 4.40 to 21.72; p ≤ 0.001), respectively. The MD of the pain score was −4.36 (95% CI: −6.89 to −1.82; p ≤ 0.001), −3.91 (95% CI: −6.23 to −1.59; p ≤ 0.001), and −4.56 (95% CI: −7.81 to −1.31; p < 0.01), respectively. At 12 months, joint sounds were less frequent than preoperatively (OR = 0.07; 95% CI: 0.01 to 0.37; p < 0.01). Overall, the certainty of evidence according to the GRADE approach was rated as low. Therefore, the results should be interpreted with caution, as high heterogeneity was observed across the three follow-up time points and the included studies were observational. Conclusions: These findings underscore the significance of arthroscopic discopexy in enhancing TMJ function and alleviating symptoms. Current evidence, characterized by a low risk of bias and low certainty, supports the advantage of arthroscopic discopexy. Due to the observational evidence base and heterogeneity, high-quality randomized trials conducted under standardized treatment protocols and with longer follow-up are needed. Full article
Show Figures

Figure 1

22 pages, 2921 KB  
Article
Nationwide Trends in Arthroscopic Knee Surgery and ACL Reconstruction in Romania, 2017–2023: Insights from a Seven-Year Health System Analysis
by Gloria Alexandra Tolan, Cris Virgiliu Precup, Bogdan Uivaraseanu, Delia Mirela Tit, Gabriela S. Bungau, Andrei-Flavius Radu and Cristian George Furau
Life 2025, 15(11), 1734; https://doi.org/10.3390/life15111734 - 12 Nov 2025
Viewed by 897
Abstract
Arthroscopic knee surgery represents a cornerstone of modern orthopedic practice, yet nationwide data from Eastern Europe remain scarce. This study provides the first comprehensive assessment of arthroscopic knee procedures in Romania over a seven-year period (2017–2023), focusing on anterior cruciate ligament (ACL) reconstruction [...] Read more.
Arthroscopic knee surgery represents a cornerstone of modern orthopedic practice, yet nationwide data from Eastern Europe remain scarce. This study provides the first comprehensive assessment of arthroscopic knee procedures in Romania over a seven-year period (2017–2023), focusing on anterior cruciate ligament (ACL) reconstruction trends and related interventions. Using national hospital discharge data, all arthroscopic knee procedures were identified and analyzed by year, sex, age group, region, and hospital type. A total of 76,804 procedures were recorded, including 26,888 reconstructions (O15301/O15303) and 29,979 meniscectomies (O13404). ACL reconstructions increased from 1560 cases in 2017 (7.9/100,000 inhabitants) to 1865 in 2023 (9.8/100 k), with a marked decline in 2020 (5.3/100 k) due to the COVID-19 pandemic and full recovery thereafter. Men predominated in ACL reconstructions (74%; 8226 males vs. 2854 females), whereas meniscectomy peaked in middle-aged adults (50–54 years: 48.7/100 k). Surgical activity was highly centralized, with five counties performing over two-thirds of all ACL reconstructions. Approximately 89% of procedures were conducted in public hospitals. These findings reveal substantial progress but also persistent regional and demographic inequities. Strengthening access, standardizing indications for degenerative meniscal surgery, and establishing a national ACL registry could support equitable, evidence-based advancement of arthroscopic care in Romania. Full article
(This article belongs to the Special Issue Diagnosis and Treatment of Orthopedic Diseases: Advancing Arthroscopy)
Show Figures

Figure 1

10 pages, 1246 KB  
Case Report
Cell Technologies in Treating Osteochondral Lesions of the Talus: A Clinical Case and Brief Review
by Dina Saginova, Meruyert Makhmetova, Yerik Raimagambetov, Bagdat Balbossynov, Assel Issabekova, Lyudmila Spichak and Vyacheslav Ogay
J. Clin. Med. 2025, 14(22), 7917; https://doi.org/10.3390/jcm14227917 - 8 Nov 2025
Viewed by 620
Abstract
Osteochondral lesions of the talus (OLTs) present a significant clinical challenge, often leading to pain, dysfunction, and joint degeneration. Traditional treatments, including microfracture and grafting, have limitations in their ability to fully restore osteochondral integrity. Recent advances in tissue engineering have introduced heparin-conjugated [...] Read more.
Osteochondral lesions of the talus (OLTs) present a significant clinical challenge, often leading to pain, dysfunction, and joint degeneration. Traditional treatments, including microfracture and grafting, have limitations in their ability to fully restore osteochondral integrity. Recent advances in tissue engineering have introduced heparin-conjugated fibrin hydrogel (HCFH) as a promising scaffold for regenerative therapy. By supporting mesenchymal stem cell (MSC) proliferation and controlled growth factor release, HCFH enhances cartilage and bone repair. A 21-year-old female presented with chronic right ankle pain and instability following a sports injury, with MRI revealing an osteochondral lesion in the lateral dome of the talus and an anterior talofibular ligament injury. Treatment included autologous MSC isolation, HCFH synthesis, arthroscopic debridement, microfracture, and implantation of MSC-loaded HCFH, while postoperative rehabilitation involved four weeks of restricted weight-bearing- and physiotherapy. At 12 months, her visual analog scale (VAS) score decreased from 60 to 40, indicating clinical improvement, and her American Orthopaedic Foot and Ankle Society (AOFAS) score increased from 69 to 77. Serial MRI scans showed progressive cartilage regeneration with near-complete defect filling. This case highlights the potential of MSC-loaded HCFH in treating OLTs. The observed improvements in pain relief, function, and cartilage regeneration suggest that this technique may overcome the limitations of conventional treatments. Further studies with larger cohorts and long-term follow-up are necessary to confirm its clinical efficacy. Full article
(This article belongs to the Section Orthopedics)
Show Figures

Figure 1

Back to TopTop