Spontaneous Pneumomediastinum, Pneumothorax, Pneumopericardium and Subcutaneous Emphysema—Not So Uncommon Complications in Patients with COVID-19 Pulmonary Infection—A Series of Cases
Abstract
1. Introduction
2. Materials and Methods
2.1. Study Population
2.2. Methods
2.3. Statistical Methods
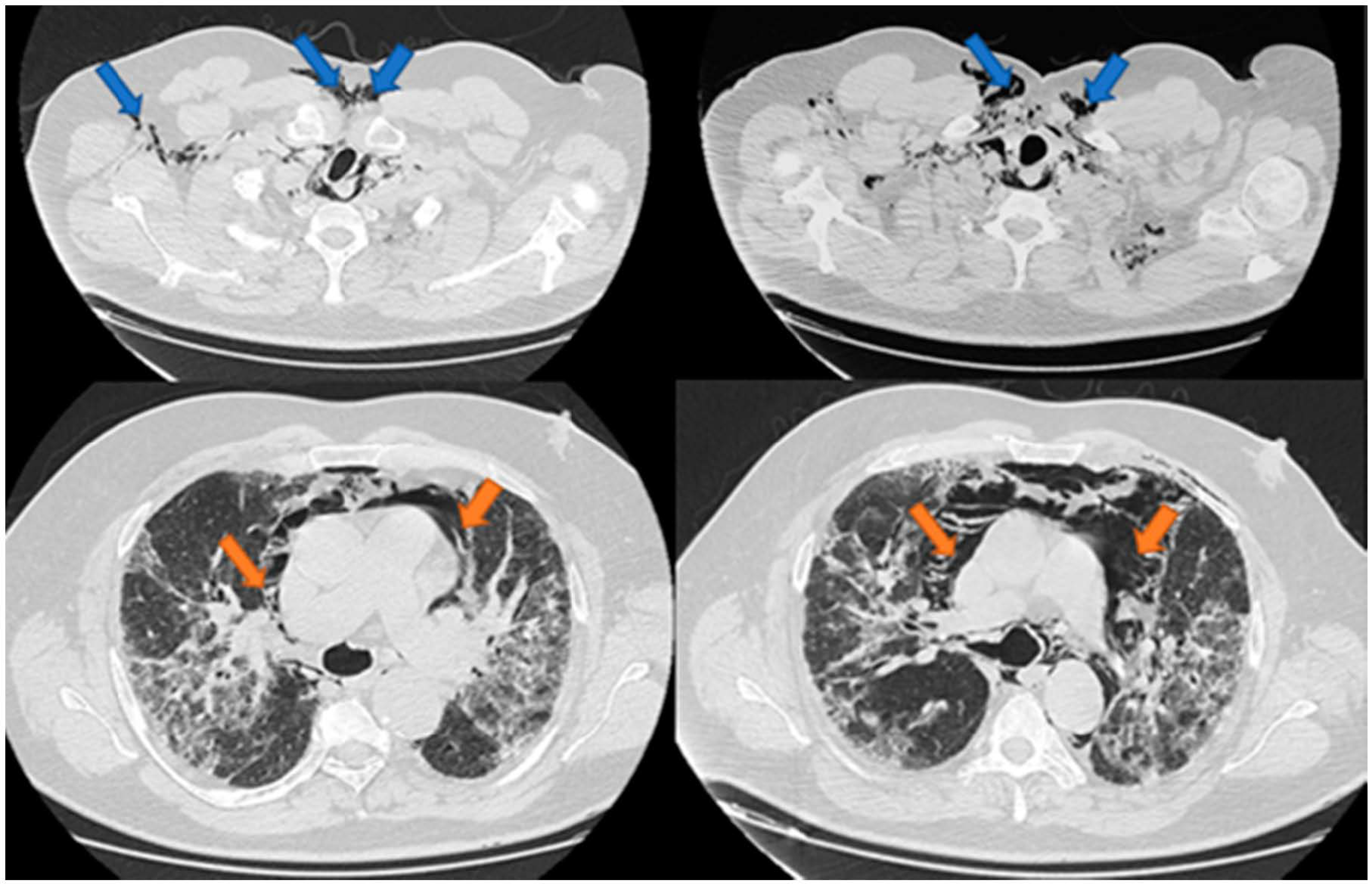
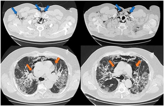
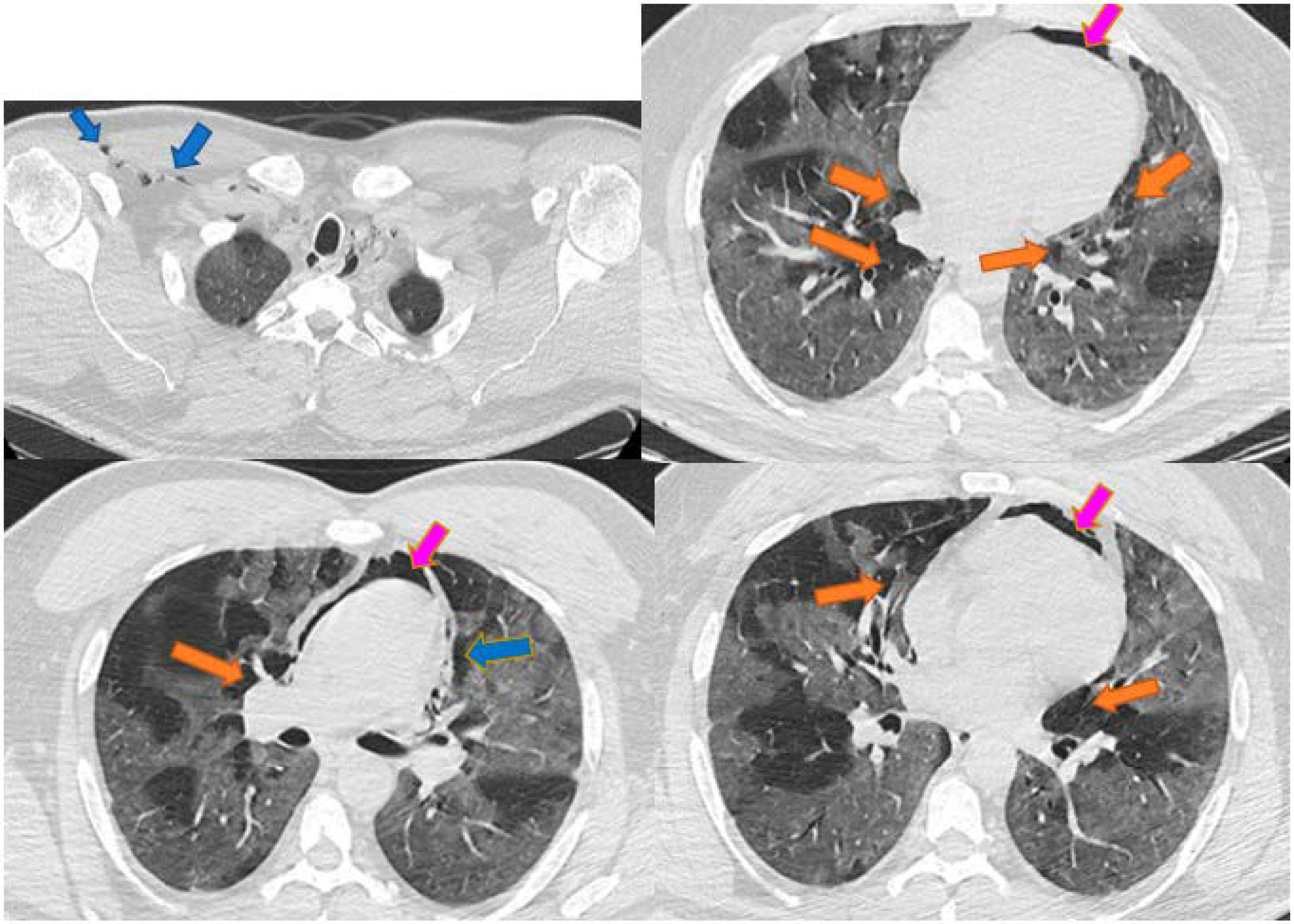
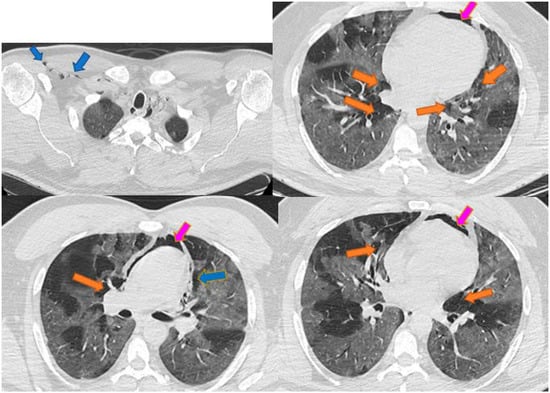
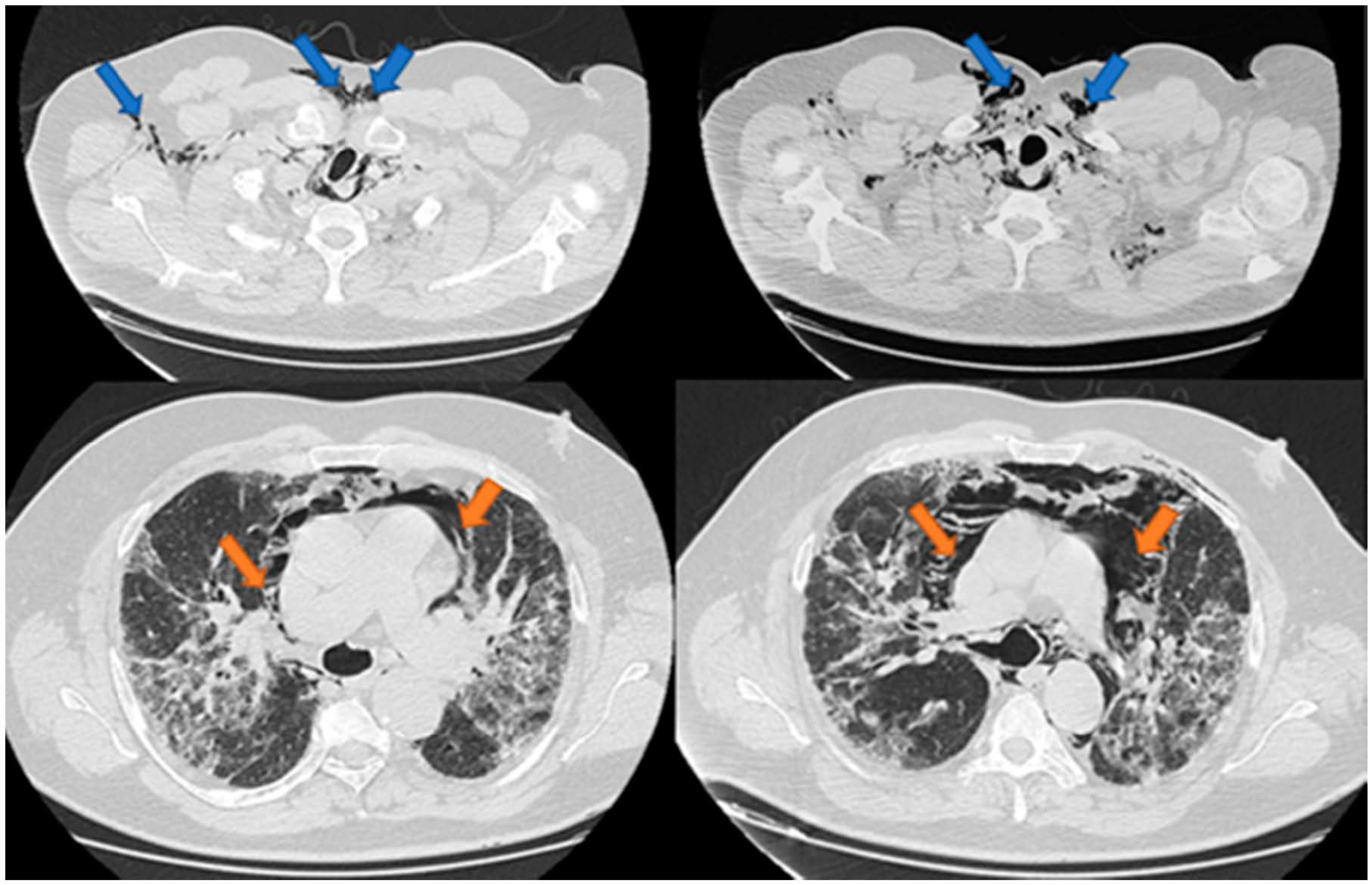
3. Results
4. Discussion
5. Conclusions
Author Contributions
Funding
Institutional Review Board Statement
Informed Consent Statement
Data Availability Statement
Conflicts of Interest
References
- Hamad, A.-M.M.; Elmahrouk, A.F.; Abdulatty, O.A. Alveolar Air Leakage in COVID-19 Patients: Pneumomediastinum and/or Pneumopericardium. Heart Lung 2020, 49, 881–882. [Google Scholar] [CrossRef] [PubMed]
- Brito, D.A.M. COVID-19 Pneumonia Associated With Spontaneous Pneumomediastinum and Pneumopericardium. CTSNET 2020. [Google Scholar] [CrossRef]
- Martinelli, A.W.; Ingle, T.; Newman, J.; Nadeem, I.; Jackson, K.; Lane, N.D.; Melhorn, J.; Davies, H.E.; Rostron, A.J.; Adeni, A.; et al. COVID-19 and Pneumothorax: A Multicentre Retrospective Case Series. Eur. Respir. J. 2020, 56. [Google Scholar] [CrossRef] [PubMed]
- Elhakim, T.S.; Abdul, H.S.; Pelaez Romero, C.; Rodriguez-Fuentes, Y. Spontaneous Pneumomediastinum, Pneumothorax and Subcutaneous Emphysema in COVID-19 Pneumonia: A Rare Case and Literature Review. BMJ Case Rep. 2020, 13, e239489. [Google Scholar] [CrossRef] [PubMed]
- Juárez-Lloclla, J.P.; León-Jiménez, F.; Urquiaga-Calderón, J.; Temoche-Nizama, H.; Bryce-Alberti, M.; Portmann-Baracco, A.; Bryce-Moncloa, A. Spontaneous Pneumopericardium and Pneumomediastinum in Twelve COVID-19 Patients. Arch. Bronconeumol. 2021, 57, 86–88. [Google Scholar] [CrossRef] [PubMed]
- López Vega, J.M.; Parra Gordo, M.L.; Diez Tascón, A.; Ossaba Vélez, S. Pneumomediastinum and Spontaneous Pneumothorax as an Extrapulmonary Complication of COVID-19 Disease. Emerg. Radiol. 2020, 1–4. [Google Scholar] [CrossRef]
- Wang, J.; Su, X.; Zhang, T.; Zheng, C. Spontaneous Pneumomediastinum: A Probable Unusual Complication of Coronavirus Disease 2019 (COVID-19) Pneumonia. Korean J. Radiol. 2020, 21, 627–628. [Google Scholar] [CrossRef] [PubMed]
- Zhou, C.; Gao, C.; Xie, Y.; Xu, M. COVID-19 with Spontaneous Pneumomediastinum. Lancet Infect. Dis. 2020, 20, 510. [Google Scholar] [CrossRef]
- Sun, R.; Liu, H.; Wang, X. Mediastinal Emphysema, Giant Bulla, and Pneumothorax Developed during the Course of COVID-19 Pneumonia. Korean J. Radiol. 2020, 21, 541–544. [Google Scholar] [CrossRef] [PubMed]
- Singh, A.; Bass, J.; Lindner, D.H. Rare Complication of Pneumomediastinum and Pneumopericardium in a Patient with COVID-19 Pneumonia. Available online: https://www.hindawi.com/journals/cripu/2020/8845256/ (accessed on 28 January 2021).
- Hameed, M.; Jamal, W.; Yousaf, M.; Thomas, M.; Haq, I.U.; Ahmed, S.; Ahmad, M.; Khatib, M. Pneumothorax In Covid-19 Pneumonia: A Case Series. Respir. Med. Case Rep. 2020, 31, 101265. [Google Scholar] [CrossRef] [PubMed]
- Mohan, V.; Tauseen, R.A. Spontaneous Pneumomediastinum in COVID-19. BMJ Case Rep. 2020, 13, e236519. [Google Scholar] [CrossRef] [PubMed]
- Zantah, M.; Dominguez Castillo, E.; Townsend, R.; Dikengil, F.; Criner, G.J. Pneumothorax in COVID-19 Disease- Incidence and Clinical Characteristics. Respir. Res. 2020, 21, 236. [Google Scholar] [CrossRef] [PubMed]
- Alharthy, A.; Bakirova, G.H.; Bakheet, H.; Balhamar, A.; Brindley, P.G.; Alqahtani, S.A.; Memish, Z.A.; Karakitsos, D. COVID-19 with Spontaneous Pneumothorax, Pneumomediastinum, and Subcutaneous Emphysema in the Intensive Care Unit: Two Case Reports. J. Infect. Public Health 2020. [Google Scholar] [CrossRef]
- Gorospe, L.; Ayala-Carbonero, A.; Ureña-Vacas, A.; Fra Fernández, S.; Muñoz-Molina, G.M.; Arrieta, P.; Almonacid-Sánchez, C.; Ramos-Sánchez, A.; Filigheddu, E.; Pérez-Fernández, M. Spontaneous Pneumomediastinum in Patients With COVID-19: A Case Series of Four Patients. Arch. Bronconeumol. 2020, 56, 754–756. [Google Scholar] [CrossRef] [PubMed]
- Janssen, M.L.; van Manen, M.J.G.; Cretier, S.E.; Braunstahl, G.-J. Pneumothorax in Patients with Prior or Current COVID-19 Pneumonia. Respir. Med. Case Rep. 2020, 31, 101187. [Google Scholar] [CrossRef]



| Nr. | Gender | Age | CT Injury | Days until | PT | PM | PP | SE | HR | Sat O2 | Days of NIV | Days of MV | Days of ECMO | Outcome | |
|---|---|---|---|---|---|---|---|---|---|---|---|---|---|---|---|
| Worse-Ning | Discharge/Death | ||||||||||||||
| 1. | M | 64 | 50% | 15 | 36 | yes | yes | no | yes | 66 | 86% | 2 | 11 | 0 | fatal |
| 2. | M | 61 | 50% | 1 | 17 | no | yes | no | yes | 82 | 67% | 0 | 7 | 4 | fatal |
| 3. | M | 49 | 70% | 3 | 21 | no | yes | yes | yes | 100 | 80% | 11 | 4 | 0 | fatal |
| 4. | M | 57 | 70% | 6 | 13 | yes | yes | no | yes | 95 | 60% | 7 | 6 | 0 | fatal |
| 5. | F | 72 | 20% | 1 | 2 | yes | yes | no | yes | 70 | 92% | 0 | 0 | 0 | good |
| 6. | M | 50 | 10% | 2 | 7 | yes | no | no | no | 70 | 98% | 0 | 0 | 0 | good |
| 7. | M | 54 | 50% | 5 | 40 | yes | yes | no | yes | 120 | 60% | 8 | 26 | 0 | fatal |
| 8. | M | 78 | 30% | 3 | 26 | yes | no | no | no | 100 | 87% | 0 | 2 | 0 | fatal |
| 9. | M | 71 | 35% | 4 | 9 | yes | no | no | no | 75 | 90% | 0 | 0 | 0 | good |
| 10. | M | 49 | 80% | 3 | 27 | yes | no | no | no | 100 | 93% | 2 | 20 | 0 | fatal |
| 11. | F | 36 | 70% | 6 | 12 | no | yes | no | yes | 91 | 50% | 0 | 2 | 0 | fatal |
| Case 1 | Case 2 | Case 3 | Case 4 | Case 5 | Case 6 | Case 7 | Case 8 | Case 9 | Case 10 | Case 11 | |
|---|---|---|---|---|---|---|---|---|---|---|---|
| WBC(/mm3) | 21,470 | 29,460 | 21,750 | 25,430 | 8320 | 5540 | 43,550 | 25,430 | 15,090 | 13,490 | 2340 |
| Neutrophyls% Lymphocytes% | 86.3 | 89.1 | 95.3 | 96.4 | 84.4 | 62.2 | 90.9 | 90.7 | 93.2 | 95.6 | 72.2 |
| 7.7 | 2.4 | 2.9 | 1.3 | 7.3 | 30.1 | 5.6 | 5.4 | 5.4 | 1.6 | 20.1 | |
| Ferritin (ug/L) | 2132.66 | 2692.1 | 2619.3 | 3457.2 | 808 | 172.11 | 4815.3 | 2543 | 1077.1 | 1206.79 | 220.03 |
| Fibrinogen (g/L) | 6.79 | 9.87 | 8.88 | ˃10 | 5.5 | 3.03 | 8.45 | 8.99 | 5.5 | ˃10 | 5.2 |
| Il-6 (pg/mL) | 43.61 | 61.31 | 29.03 | 1245 | 87.01 | 1.5 | 5000 | 178.32 | 10.11 | 1295 | 89.36 |
| CRP (mg/L) | 113.75 | 31.67 | 171.1 | 245.17 | 88.22 | 1.26 | 163.13 | 245 | 53.04 | 345.91 | 74.92 |
| Procalcitonin | 1.21 | 0.19 | 25.69 | 9.7 | 0.18 | 0.02 | 3.05 | 5.87 | 0.15 | 3.2 | 0.11 |
| (ng/mL) |
Publisher’s Note: MDPI stays neutral with regard to jurisdictional claims in published maps and institutional affiliations. |
© 2021 by the authors. Licensee MDPI, Basel, Switzerland. This article is an open access article distributed under the terms and conditions of the Creative Commons Attribution (CC BY) license (http://creativecommons.org/licenses/by/4.0/).
Share and Cite
Cut, T.G.; Tudoran, C.; Lazureanu, V.E.; Marinescu, A.R.; Dumache, R.; Tudoran, M. Spontaneous Pneumomediastinum, Pneumothorax, Pneumopericardium and Subcutaneous Emphysema—Not So Uncommon Complications in Patients with COVID-19 Pulmonary Infection—A Series of Cases. J. Clin. Med. 2021, 10, 1346. https://doi.org/10.3390/jcm10071346
Cut TG, Tudoran C, Lazureanu VE, Marinescu AR, Dumache R, Tudoran M. Spontaneous Pneumomediastinum, Pneumothorax, Pneumopericardium and Subcutaneous Emphysema—Not So Uncommon Complications in Patients with COVID-19 Pulmonary Infection—A Series of Cases. Journal of Clinical Medicine. 2021; 10(7):1346. https://doi.org/10.3390/jcm10071346
Chicago/Turabian StyleCut, Talida Georgiana, Cristina Tudoran, Voichita Elena Lazureanu, Adelina Raluca Marinescu, Raluca Dumache, and Mariana Tudoran. 2021. "Spontaneous Pneumomediastinum, Pneumothorax, Pneumopericardium and Subcutaneous Emphysema—Not So Uncommon Complications in Patients with COVID-19 Pulmonary Infection—A Series of Cases" Journal of Clinical Medicine 10, no. 7: 1346. https://doi.org/10.3390/jcm10071346
APA StyleCut, T. G., Tudoran, C., Lazureanu, V. E., Marinescu, A. R., Dumache, R., & Tudoran, M. (2021). Spontaneous Pneumomediastinum, Pneumothorax, Pneumopericardium and Subcutaneous Emphysema—Not So Uncommon Complications in Patients with COVID-19 Pulmonary Infection—A Series of Cases. Journal of Clinical Medicine, 10(7), 1346. https://doi.org/10.3390/jcm10071346

