3D Considerations and Outcomes of Immediate Single Implant Insertion and Provisionalization at the Maxillary Esthetic Zone: A Long-Term Retrospective Follow-Up Study of Up to 18 Years
Abstract
:1. Introduction
2. Materials and Methods
2.1. Patients
2.2. Pretreatment Examination
- Older than 18 years of age;
- Tooth loss due to periodontal attachment loss,
- Non-restorable crowns,
- Endodontic failures,
- Root fracture,
- Dentoalveolar trauma.
- Uncontrolled diabetes;
- Severe para-functional habits (bruxism or clenching);
- Infected adjacent teeth;
- The need for tissue augmentation procedures during surgery.
2.3. Surgical Technique
2.4. Follow-Up and Definition of Outcome Variables
3. Results
4. Discussion
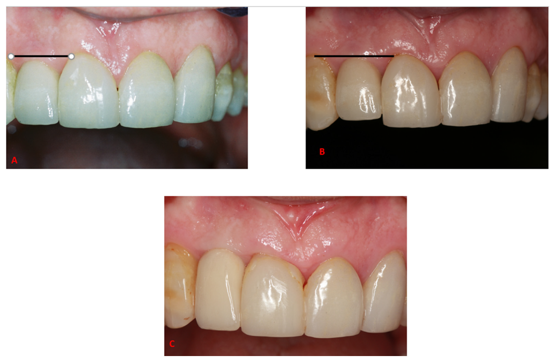
Figure Legends
5. Conclusions
Author Contributions
Funding
Institutional Review Board Statement
Informed Consent Statement
Conflicts of Interest
References
- Cooper, L.F.; Raes, F.; Reside, G.J.; Garriga, J.S.; Tarrida, L.G.; Wiltfang, J.; Kern, M.; de Bruyn, H. Comparison of radiographic and clinical outcomes following immediate provisionalization of single-tooth dental implants placed in healed alveolar ridges and extraction sockets. Int. J. Oral Maxillofac. Implants 2010, 25, 1222–1232. [Google Scholar] [PubMed]
- Mijiritsky, E.; Mardinger, O.; Mazor, Z.; Chaushu, G. Immediate provisionalization of single-tooth implants in fresh-extraction sites at the maxillary esthetic zone: Up to 6 years of follow-Up. Implant Dent. 2009, 18, 326–333. [Google Scholar] [CrossRef]
- Barone, A.; Marconcini, S.; Giammarinaro, E.; Mijiritsky, E.; Gelpi, F.; Covani, U. Clinical Outcomes of Implants Placed in Extraction Sockets and Immediately Restored: A 7-Year Single-Cohort Prospective Study. Clin. Implant Dent. Relat. Res. 2016, 18, 1103–1112. [Google Scholar] [CrossRef] [PubMed]
- Kolerman, R.; Nissan, J.; Mijiritsky, E.; Hamoudi, N.; Mangano, C.; Tal, H. Esthetic assessment of immediately restored implants combined with GBR and free connective tissue graft. Clin. Oral Implants Res. 2016, 27, 1414–1422. [Google Scholar] [CrossRef]
- Kolerman, R.; Mijiritsky, E.; Barnea, E.; Dabaja, A.; Nissan, J.; Tal, H. Esthetic Assessment of Implants Placed into Fresh Extraction Sockets for Single-Tooth Replacements Using a Flapless Approach. Clin. Implant Dent. Relat. Res. 2017, 19, 351–364. [Google Scholar] [CrossRef]
- Kolerman, R.; Qahaz, N.; Barnea, E.; Mijiritsky, E.; Chaushu, L.; Tal, H.; Nissan, J. Allograft and collagen membrane augmentation procedures preserve the bone level around implants after immediate placement and restoration. Int. J. Environ. Res. Public Health 2020, 17, 1133. [Google Scholar] [CrossRef] [Green Version]
- Wöhrle, P.S. Single-tooth replacement in the aesthetic zone with immediate provisionalization: Fourteen consecutive case reports. Pract. Periodontics Aesthet. Dent. 1998, 10, 1107–1114. [Google Scholar]
- Groisman, M.; Frossard, W.M.; Ferreira, H.M.B.; de Menezes Filho, L.M.; Touati, B. Single-tooth implants in the maxillary incisor region with immediate provisionalization: 2-year prospective study. Pract. Proced. Aesthet. Dent. 2003, 15, 115–126. [Google Scholar] [PubMed]
- Ferrara, A.; Galli, C.; Mauro, G.; Macaluso, G.M. Immediate provisional restoration of postextraction implants for maxillary single-tooth replacement. Int. J. Periodontics Restor. Dent. 2006, 26, 371–377. [Google Scholar] [CrossRef]
- De Rouck, T.; Collys, K.; Cosyn, J. Immediate single-tooth implants in the anterior maxilla: A 1-year case cohort study on hard and soft tissue response. J. Clin. Periodontol. 2008, 35, 649–657. [Google Scholar] [CrossRef]
- Canullo, L.; Rasperini, G. Preservation of peri-implant soft and hard tissues using platform switching of implants placed in immediate extraction sockets. Int. J. Oral Maxillofac. Implants 2007, 22, 995–1000. [Google Scholar]
- Chen, S.T.; Darby, I.B.; Reynolds, E.C.; Clement, J.G. Immediate Implant Placement Postextraction Without Flap Elevation. J. Periodontol. 2009, 80, 163–172. [Google Scholar] [CrossRef]
- Barone, A.; Rispoli, L.; Vozza, I.; Quaranta, A.; Covani, U. Immediate Restoration of Single Implants Placed Immediately After Tooth Extraction. J. Periodontol. 2006, 77, 1914–1920. [Google Scholar] [CrossRef] [PubMed]
- Palattella, P.; Torsello, F.; Cordaro, L. Two-year prospective clinical comparison of immediate replacement vs. immediate restoration of single tooth in the esthetic zone. Clin. Oral Implants Res. 2008, 19, 1148–1153. [Google Scholar] [CrossRef] [PubMed]
- Siegenthaler, D.W.; Jung, R.E.; Holderegger, C.; Roos, M.; Hämmerle, C.H.F. Replacement of teeth exhibiting periapical pathology by immediate implants. A prospective, controlled clinical trial. Clin. Oral Implants Res. 2007, 18, 727–737. [Google Scholar] [CrossRef] [PubMed]
- Tsirlis, A.T. Clinical evaluation of immediate loaded upper anterior single implants. Implant Dent. 2005, 14, 94–103. [Google Scholar] [CrossRef] [PubMed]
- Kan, J.Y.; Rungcharassaeng, K.; Liddelow, G.; Henry, P.; Goodacre, C.J. Periimplant tissue response following immediate provisional restoration of scalloped implants in the esthetic zone: A one-year pilot prospective multicenter study. J. Prosthet. Dent. 2007, 97, S109–S118. [Google Scholar] [CrossRef]
- Hui, E.; Chow, J.; Li, D.; Liu, J.; Wat, P.; Law, H. Immediate provisional for single-tooth implant replacement with Brånemark system: Preliminary report. Clin. Implant Dent. Relat. Res. 2001, 3, 79–86. [Google Scholar] [CrossRef]
- Kan, J.; Rungcharassaeng, K.; Deflorian, M.; Weinstein, T.; Wang, H.L.; Testori, T. Immediate implant placement and provisionalization of maxillary anterior single implants. Periodontol. 2000 2018, 77, 197–212. [Google Scholar] [CrossRef]
- Kan, J.Y.; Rungcharassaeng, K.; Lozada, J. Immediate placement and provisionalization of maxillary anterior single implants: 1-year prospective study. Int. J. Oral Maxillofac. Implants 2003, 18, 31–39. [Google Scholar]
- Garber, D.A.; Salama, M.A.; Salama, H. Immediate total tooth replacement. Compend. Contin. Educ. Dent. 2001, 22, 210–218. [Google Scholar]
- Den Hartog, L.; Raghoebar, G.M.; Stellingsma, K.; Vissink, A.; Meijer, H.J.A. Immediate non-occlusal loading of single implants in the aesthetic zone: A randomized clinical trial. J. Clin. Periodontol. 2011, 38, 186–194. [Google Scholar] [CrossRef] [PubMed] [Green Version]
- Buser, D.; von Arx, T. Surgical procedures in partially edentulous patients with ITI implants. Clin. Oral Implants Res. 2000, 11, 83–100. [Google Scholar] [CrossRef] [PubMed]
- Choquet, V.; Hermans, M.; Adriaenssens, P.; Daelemans, P.; Tarnow, D.P.; Malevez, C. Clinical and Radiographic Evaluation of the Papilla Level Adjacent to Single-Tooth Dental Implants. A Retrospective Study in the Maxillary Anterior Region. J. Periodontol. 2001, 72, 1364–1371. [Google Scholar] [CrossRef]
- Buser, D.; Martin, W.; Belser, U.C. Optimizing esthetics for implant restorations in the anterior maxilla: Anatomic and surgical considerations. Int. J. Oral Maxillofac. Implants 2004, 19, 43–61. [Google Scholar] [PubMed]
- Garber, D.A. The esthetic dental implant: Letting restoration be the guide. J. Am. Dent. Assoc. 1995, 126, 319–325. [Google Scholar] [CrossRef] [PubMed]
- Grunder, U.; Gracis, S.; Capelli, M. Influence of the 3-D bone-to-implant relationship on esthetics. Int. J. Periodontics Restor. Dent. 2005, 25, 112–119. [Google Scholar] [CrossRef]
- Kois, J.C. Predictable single-tooth peri-implant esthetics: Five diagnostic keys. Compend. Contin. Educ. Dent. 2001, 22, 199–206. [Google Scholar]
- Trisi, P.; Perfetti, G.; Baldoni, E.; Berardi, D.; Colagiovanni, M.; Scogna, G. Implant micromotion is related to peak insertion torque and bone density. Clin. Oral Implants Res. 2009, 20, 467–471. [Google Scholar] [CrossRef]
- Gapski, R.; Wang, H.L.; Mascarenhas, P.; Lang, N.P. Critical review of immediate implant loading. Clin. Oral Implants Res. 2003, 14, 515–527. [Google Scholar] [CrossRef]
- Mijiritsky, E. Plastic temporary abutments with provisional restorations in immediate loading procedures: A clinical report. Implant Dent. 2006, 15, 236–240. [Google Scholar] [CrossRef]
- Maló, P.; de Araújo Nobre, M.; Lopes, A.; Ferro, A.; Gravito, I. Single-Tooth Rehabilitations Supported by Dental Implants Used in an Immediate-Provisionalization Protocol: Report on Long-Term Outcome with Retrospective Follow-Up. Clin. Implant Dent. Relat. Res. 2015, 17 (Suppl. S2), e511–e519. [Google Scholar] [CrossRef]
- Donati, M.; La Scala, V.; Di Raimondo, R.; Speroni, S.; Testi, M.; Berglundh, T. Marginal Bone Preservation in Single-Tooth Replacement: A 5-Year Prospective Clinical Multicenter Study. Clin. Implant Dent. Relat. Res. 2015, 17, 425–434. [Google Scholar] [CrossRef]
- Lang, L.A.; Turkyilmaz, I.; Edgin, W.A.; Verrett, R.; Garcia, L.T. Immediate restoration of single tapered implants with nonoccluding provisional crowns: A 5-Year clinical prospective study. Clin. Implant Dent. Relat. Res. 2014, 16, 248–258. [Google Scholar] [CrossRef] [PubMed]
- Norton, M.R. The influence of insertion torque on the survival of immediately placed and restored single-tooth implants. Int. J. Oral Maxillofac. Implant. 2011, 32, 849–857. [Google Scholar] [CrossRef] [PubMed]
- Degidi, M.; Piattelli, A.; Gehrke, P.; Felice, P.; Carinci, F. Five-year outcome of 111 immediate nonfunctional single restorations. J. Oral Implantol. 2006, 32, 277–285. [Google Scholar] [CrossRef]
- Van Nimwegen, W.G.; Goené, R.J.; Van Daelen, A.C.L.; Stellingsma, K.; Raghoebar, G.M.; Meijer, H.J.A. Immediate implant placement and provisionalisation in the aesthetic zone. J. Oral Rehabil. 2016, 43, 745–752. [Google Scholar] [CrossRef] [PubMed]
- Albrektsson, T.; Zarb, G.A. Determinants of correct clinical reporting. Ont. Dent. 1999, 11, 517. [Google Scholar]
- van Steenberghe, D. Outcomes and their measurement in clinical trials of endosseous oral implants. Ann. Periodontol. 1997, 2, 291–298. [Google Scholar] [CrossRef] [PubMed]
- Mijiritsky, E.; Badran, M.; Kleinman, S.; Manor, Y.; Peleg, O. Continuous tooth eruption adjacent to single-implant restorations in the anterior maxilla: Aetiology, mechanism and outcomes—A review of the literature. Int. Dent. J. 2020, 70, 155–160. [Google Scholar] [CrossRef] [Green Version]
- Cocchetto, R.; Pradies, G.; Celletti, R.; Canullo, L. Continuous craniofacial growth in adult patients treated with dental implants in the anterior maxilla. Clin. Implant Dent. Relat. Res. 2019, 21, 627–634. [Google Scholar] [CrossRef] [PubMed]
- Cocchetto, R.; Canullo, L.; Celletti, R. Infraposition of Implant-Retained Maxillary Incisor Crown Placed in an Adult Patient: Case Report. Int. J. Oral Maxillofac. Implants 2018, 33, e107–e111. [Google Scholar] [CrossRef] [PubMed]
- Kan, J.Y.; Rungcharassaeng, K.; Lozada, J.L.; Zimmerman, G. Facial gingival tissue stability following immediate placement and provisionalization of maxillary anterior single implants: A 2- to 8-year follow-up. J. Prosthet. Dent. 2011, 26, 179–187. [Google Scholar] [CrossRef]
- Chen, S.; Buser, D. Esthetic Outcomes Following Immediate and Early Implant Placement in the Anterior Maxilla—A Systematic Review. Int. J. Oral Maxillofac. Implants 2014, 29, 186–215. [Google Scholar] [CrossRef] [PubMed] [Green Version]
- Benic, G.; Mir-Mari, J.; Hämmerle, C. Loading Protocols for Single-Implant Crowns: A Systematic Review and Meta-Analysis. Int. J. Oral Maxillofac. Implants 2014, 29, 222–238. [Google Scholar] [CrossRef] [Green Version]
- Chan, H.L.; George, F.; Wang, I.C.; Suárez López del Amo, F.; Kinney, J.; Wang, H.L. A randomized controlled trial to compare aesthetic outcomes of immediately placed implants with and without immediate provisionalization. J. Clin. Periodontol. 2019, 46, 1061–1069. [Google Scholar] [CrossRef]
- Noelken, R.; Moergel, M.; Pausch, T.; Kunkel, M.; Wagner, W. Clinical and esthetic outcome with immediate insertion and provisionalization with or without connective tissue grafting in presence of mucogingival recessions: A retrospective analysis with follow-up between 1 and 8 years. Clin. Implant Dent. Relat. Res. 2018, 20, 285–293. [Google Scholar] [CrossRef]
- Chu, S.; Saito, H.; Östman, P.-O.; Levin, B.; Reynolds, M.; Tarnow, D. Immediate Tooth Replacement Therapy in Postextraction Sockets: A Comparative Prospective Study on the Effect of Variable Platform-Switched Subcrestal Angle Correction Implants. Int. J. Periodontics Restor. Dent. 2020, 40, 509–517. [Google Scholar] [CrossRef]
- Cheng, Q.; Su, Y.-Y.; Wang, X.; Chen, S. Clinical Outcomes Following Immediate Loading of Single-Tooth Implants in the Esthetic Zone: A Systematic Review and Meta-Analysis. Int. J. Oral Maxillofac. Implants 2020, 35, 167–177. [Google Scholar] [CrossRef]
- Esposito, M.; Grusovin, M.G.; Maghaireh, H.; Worthington, H.V. Interventions for replacing missing teeth: Different times for loading dental implants. Cochrane Database Syst. Rev. 2013, 2013, CD003878. [Google Scholar] [CrossRef] [Green Version]
- Chen, J.; Cai, M.; Yang, J.; Aldhohrah, T.; Wang, Y. Immediate versus early or conventional loading dental implants with fixed prostheses: A systematic review and meta-analysis of randomized controlled clinical trials. J. Prosthet. Dent. 2019, 122, 516–536. [Google Scholar] [CrossRef] [PubMed] [Green Version]
- Schulze, D.; Heiland, M.; Thurmann, H.; Adam, G. Research: Radiation exposure during midfacial imaging using 4- and 16-slice computed tomography, cone beam computed tomography systems and conventional radiography. Dentomaxillofacial Radiol. 2004, 33, 83–86. [Google Scholar] [CrossRef]
- Guerrero, M.E.; Jacobs, R.; Loubele, M.; Schutyser, F.; Suetens, P.; van Steenberghe, D. State-of-the-art on cone beam CT imaging for preoperative planning of implant placement. Clin. Oral Investig. 2006, 10, 1–7. [Google Scholar] [CrossRef]
- Jung, R.E.; Schneider, D.; Ganeles, J.; Wismeijer, D.; Zwahlen, M.; Hämmerle, C.H.F.; Tahmaseb, A. Computer technology applications in surgical implant dentistry: A systematic review. Int. J. Oral Maxillofac. Implants 2009, 24, 92–109. [Google Scholar] [CrossRef] [PubMed]
- Tahmaseb, A.; Wismeijer, D.; Coucke, W.; Derksen, W. Computer Technology Applications in Surgical Implant Dentistry: A Systematic Review. Int. J. Oral Maxillofac. Implants 2014, 29, 25–42. [Google Scholar] [CrossRef] [PubMed] [Green Version]
- Colombo, M.; Mangano, C.; Mijiritsky, E.; Krebs, M.; Hauschild, U.; Fortin, T. Clinical applications and effectiveness of guided implant surgery: A critical review based on randomized controlled trials. BMC Oral Health 2017, 17, 150. [Google Scholar] [CrossRef] [PubMed]
- Chen, X.; Yuan, J.; Wang, C.; Huang, Y.; Kang, L. Modular preoperative planning software for computer-aided oral implantology and the application of a novel stereolithographic template: A pilot study. Clin. Implant Dent. Relat. Res. 2009, 12, 181–193. [Google Scholar] [CrossRef]
- Kupeyan, H.K.; Shaffner, M.; Armstrong, J. Definitive CAD/CAM-guided prosthesis for immediate loading of bone-grafted maxilla: A case report. Clin. Implant Dent. Relat. Res. 2006, 8, 161–167. [Google Scholar] [CrossRef] [PubMed]
- Hämmerle, C.H.F.; Stone, P.; Jung, R.E.; Kapos, T.; Brodala, N. Consensus statements and recommended clinical procedures regarding computer-assisted implant dentistry. Int. J. Oral Maxillofac. Implants 2009, 24, 126–131. [Google Scholar]
- Wolfinger, G.J.; Balshi, T.J.; Wulc, D.A.; Balshi, S.F. A retrospective analysis of 125 single molar crowns supported by two implants: Longterm follow-up from 3 to 12 years. Int. J. Oral Maxillofac. Implant. 2011, 26, 148–153. [Google Scholar] [CrossRef]
- Koo, K.T.; Wikesjö, U.M.; Park, J.Y.; Kim, T.I.; Seol, Y.J.; Ku, Y.; Rhyu, I.C.; Chung, C.P.; Lee, Y.M. Evaluation of Single-Tooth Implants in the Second Molar Region: A 5-Year Life-Table Analysis of a Retrospective Study. J. Periodontol. 2010, 81, 1242–1249. [Google Scholar] [CrossRef] [PubMed] [Green Version]

| Patient No. | Gender * | Age | Site | Implant * | Diameter | Length | Follow Up (Months) |
|---|---|---|---|---|---|---|---|
| 1 | 2 | 62 | 12 | 1 | 4.5 | 15 | 201 |
| 2 | 1 | 55 | 12 | 2 | 3.4 | 15 | 180 |
| 3 | 1 | 61 | 22 | 2 | 3.8 | 15 | 216 |
| 61 | 11 | 2 | 5.5 | 15 | 208 | ||
| 4 | 2 | 47 | 12 | 2 | 3.8 | 15 | 209 |
| 5 | 2 | 50 | 12 | 1 | 3.75 | 16 | 179 |
| 50 | 22 | 1 | 3.75 | 16 | “ | ||
| 6 | 2 | 23 | 11 | 2 | 4.2 | 16 | 194 |
| 23 | 12 | 2 | 3.3 | 16 | “ | ||
| 7 | 1 | 57 | 21 | 1 | 4.7 | 13 | 190 |
| 1 | 57 | 11 | 1 | 4.7 | 13 | “ | |
| 8 | 2 | 52 | 24 | 3 | 3.8 | 13 | 174 |
| 9 | 1 | 25 | 12 | 1 | 3.75 | 13 | 174 |
| 25 | 22 | 1 | 3.75 | 13 | “ | ||
| 10 | 2 | 25 | 25 | 3 | 3.8 | 13 | 171 |
| 25 | 24 | 3 | 3.4 | 15 | “ | ||
| 11 | 1 | 32 | 12 | 3 | 3.8 | 15 | 179 |
| 32 | 22 | 3 | 3.8 | 15 | “ | ||
| 12 | 2 | 50 | 13 | 2 | 3.3 | 13 | 193 |
| 13 | 1 | 26 | 22 | 2 | 3.75 | 16 | 192 |
| 14 | 1 | 26 | 13 | 3 | 3.8 | 15 | 168 |
| 15 | 1 | 26 | 23 | 3 | 4.5 | 15 | “ |
| s | 28 | 21 | 3 | 4.5 | 15 | 170 |
| Bone Loss Up to 6 Years (from Baseline) | Bone Loss between 6–18 Follow-Up Years (between Follow-Ups) | Bone Loss Up to 18 Years (from Baseline) | |
|---|---|---|---|
| Mean (in mm) | 0.9 | −0.13 | 0.79 |
| Std. (in mm) | 0.5 | 0.06 | 0.5 |
| Number of implants | 24 | 23 | 23 |
Publisher’s Note: MDPI stays neutral with regard to jurisdictional claims in published maps and institutional affiliations. |
© 2021 by the authors. Licensee MDPI, Basel, Switzerland. This article is an open access article distributed under the terms and conditions of the Creative Commons Attribution (CC BY) license (https://creativecommons.org/licenses/by/4.0/).
Share and Cite
Mijiritsky, E.; Barone, A.; Cinar, I.C.; Nagy, K.; Shacham, M. 3D Considerations and Outcomes of Immediate Single Implant Insertion and Provisionalization at the Maxillary Esthetic Zone: A Long-Term Retrospective Follow-Up Study of Up to 18 Years. J. Clin. Med. 2021, 10, 4138. https://doi.org/10.3390/jcm10184138
Mijiritsky E, Barone A, Cinar IC, Nagy K, Shacham M. 3D Considerations and Outcomes of Immediate Single Implant Insertion and Provisionalization at the Maxillary Esthetic Zone: A Long-Term Retrospective Follow-Up Study of Up to 18 Years. Journal of Clinical Medicine. 2021; 10(18):4138. https://doi.org/10.3390/jcm10184138
Chicago/Turabian StyleMijiritsky, Eitan, Antonio Barone, Ihsan Caglar Cinar, Katalin Nagy, and Maayan Shacham. 2021. "3D Considerations and Outcomes of Immediate Single Implant Insertion and Provisionalization at the Maxillary Esthetic Zone: A Long-Term Retrospective Follow-Up Study of Up to 18 Years" Journal of Clinical Medicine 10, no. 18: 4138. https://doi.org/10.3390/jcm10184138
APA StyleMijiritsky, E., Barone, A., Cinar, I. C., Nagy, K., & Shacham, M. (2021). 3D Considerations and Outcomes of Immediate Single Implant Insertion and Provisionalization at the Maxillary Esthetic Zone: A Long-Term Retrospective Follow-Up Study of Up to 18 Years. Journal of Clinical Medicine, 10(18), 4138. https://doi.org/10.3390/jcm10184138

