Diagnostic Performance of EUS-Guided Sampling in Indeterminate Radiological Diagnosis of Pancreatic Disease and Intra-Abdominal Lymphadenopathy
Abstract
1. Introduction
2. Materials and Methods
2.1. Patients
2.2. Classification of the Purpose of EUS-Guided Sampling
2.3. EUS-Guided Sampling Technique
2.4. Statistical Analysis
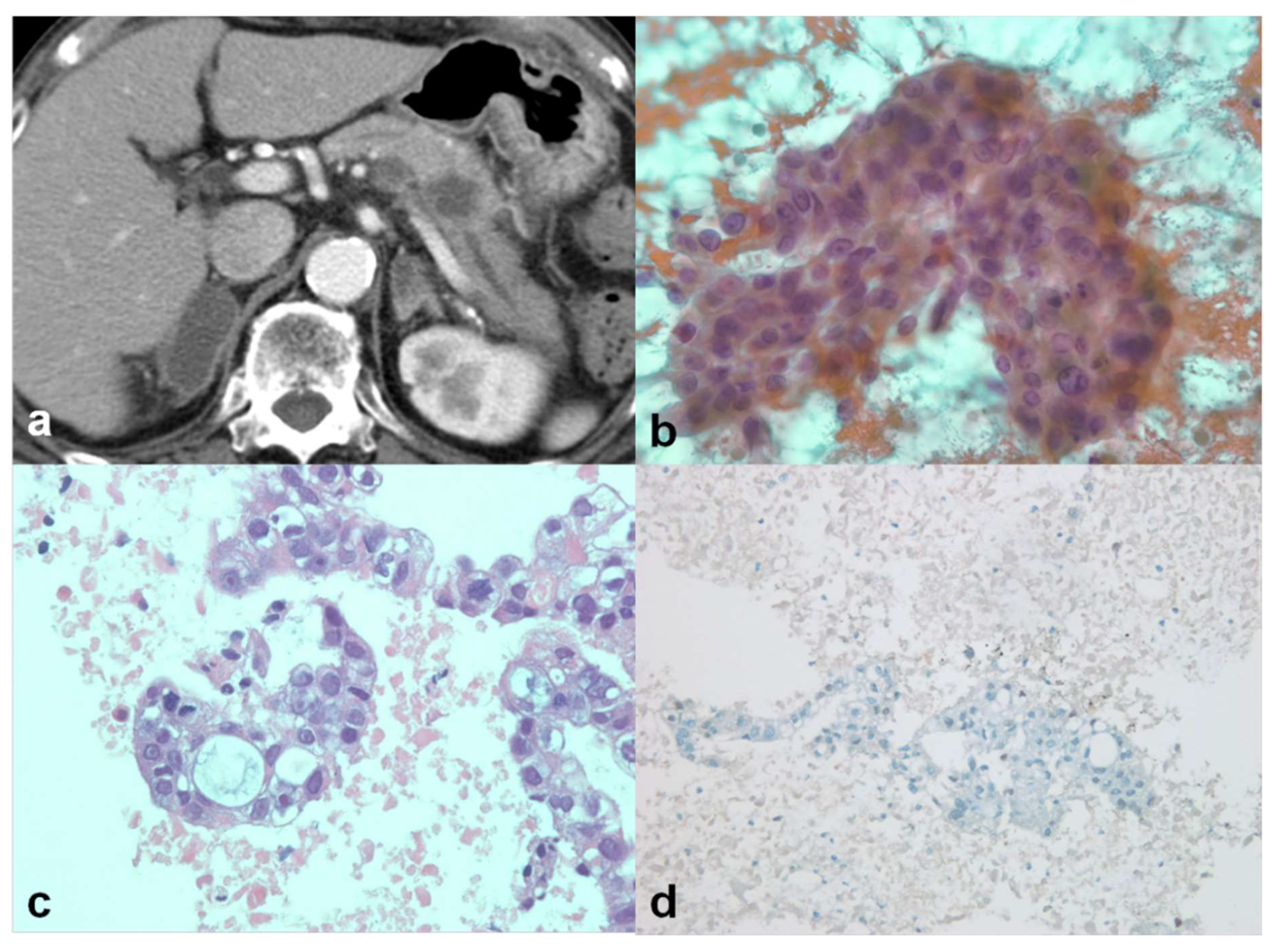
3. Results
3.1. Baseline Characteristics
3.2. EUS-Guided Sampling-Based Decision Making
3.3. Diagnostic Performance between the Indeterminate Group and the High-Confidence Group
3.4. Effects of Type and Size of the Needle on Diagnostic Yield
4. Discussion
Author Contributions
Funding
Institutional Review Board Statement
Informed Consent Statement
Data Availability Statement
Conflicts of Interest
References
- Hewitt, M.J.; McPhail, M.J.; Possamai, L.; Dhar, A.; Vlavianos, P.; Monahan, K.J. EUS-guided FNA for diagnosis of solid pancreatic neoplasms: A meta-analysis. Gastrointest. Endosc. 2012, 75, 319–331. [Google Scholar] [CrossRef] [PubMed]
- Costache, M.I.; Iordache, S.; Karstensen, J.G.; Saftoiu, A.; Vilmann, P. Endoscopic ultrasound-guided fine needle aspiration: From the past to the future. Endosc. Ultrasound 2013, 2, 77–85. [Google Scholar] [PubMed]
- Yoon, S.B.; Moon, S.H.; Song, T.J.; Kim, J.H.; Kim, M.H. Endoscopic ultrasound-guided fine needle aspiration versus biopsy for diagnosis of autoimmune pancreatitis: Systematic review and comparative meta-analysis. Dig. Endosc. 2020. [Google Scholar] [CrossRef] [PubMed]
- Esposito, I.; Hruban, R.H.; Verbeke, C.; Terris, B.; Zamboni, G.; Scarpa, A.; Morohoshi, T.; Suda, K.; Luchini, C.; Klimstra, D.S.; et al. Guidelines on the histopathology of chronic pancreatitis. Recommendations from the working group for the international consensus guidelines for chronic pancreatitis in collaboration with the International Association of Pancreatology, the American Pancreatic Association, the Japan Pancreas Society, and the European Pancreatic Club. Pancreatology 2020, 20, 586–593. [Google Scholar] [PubMed]
- Moon, S.H.; Kim, M.H. The role of endoscopy in the diagnosis of autoimmune pancreatitis. Gastrointest. Endosc. 2012, 76, 645–656. [Google Scholar] [CrossRef] [PubMed]
- Chatzipantelis, P.; Salla, C.; Konstantinou, P.; Karoumpalis, I.; Sakellariou, S.; Doumani, I. Endoscopic ultrasound-guided fine-needle aspiration cytology of pancreatic neuroendocrine tumors: A study of 48 cases. Cancer 2008, 114, 255–262. [Google Scholar] [CrossRef] [PubMed]
- Hartwig, W.; Schneider, L.; Diener, M.K.; Bergmann, F.; Buchler, M.W.; Werner, J. Preoperative tissue diagnosis for tumours of the pancreas. Br. J. Surg. 2009, 96, 5–20. [Google Scholar] [CrossRef] [PubMed]
- Haba, S.; Yamao, K.; Bhatia, V.; Mizuno, N.; Hara, K.; Hijioka, S.; Imaoka, H.; Niwa, Y.; Tajika, M.; Kondo, S.; et al. Diagnostic ability and factors affecting accuracy of endoscopic ultrasound-guided fine needle aspiration for pancreatic solid lesions: Japanese large single center experience. J. Gastroenterol. 2013, 48, 973–981. [Google Scholar] [CrossRef] [PubMed]
- Newcombe, R.G. Two-sided confidence intervals for the single proportion: Comparison of seven methods. Stat. Med. 1998, 17, 857–872. [Google Scholar] [CrossRef]
- Dumonceau, J.M.; Polkowski, M.; Larghi, A.; Vilmann, P.; Giovannini, M.; Frossard, J.L.; Heresbach, D.; Pujol, B.; Fernandez-Esparrach, G.; Vazquez-Sequeiros, E.; et al. Indications, results, and clinical impact of endoscopic ultrasound (EUS)-guided sampling in gastroenterology: European Society of Gastrointestinal Endoscopy (ESGE) Clinical Guideline. Endoscopy 2011, 43, 897–912. [Google Scholar] [CrossRef] [PubMed]
- Chen, G.; Liu, S.; Zhao, Y.; Dai, M.; Zhang, T. Diagnostic accuracy of endoscopic ultrasound-guided fine-needle aspiration for pancreatic cancer: A meta-analysis. Pancreatology 2013, 13, 298–304. [Google Scholar] [CrossRef] [PubMed]
- Kim, J.H.; Park, S.H.; Yu, E.S.; Kim, M.H.; Kim, J.; Byun, J.H.; Lee, S.S.; Hwang, H.J.; Hwang, J.Y.; Lee, M.G. Visually isoattenuating pancreatic adenocarcinoma at dynamic-enhanced CT: Frequency, clinical and pathologic characteristics, and diagnosis at imaging examinations. Radiology 2010, 257, 87–96. [Google Scholar] [CrossRef]
- Prokesch, R.W.; Chow, L.C.; Beaulieu, C.F.; Bammer, R.; Jeffrey, R.B., Jr. Isoattenuating pancreatic adenocarcinoma at multi-detector row CT: Secondary signs. Radiology 2002, 224, 764–768. [Google Scholar] [CrossRef] [PubMed]
- Sahani, D.V.; Shah, Z.K.; Catalano, O.A.; Boland, G.W.; Brugge, W.R. Radiology of pancreatic adenocarcinoma: Current status of imaging. J. Gastroenterol. Hepatol. 2008, 23, 23–33. [Google Scholar] [CrossRef] [PubMed]
- To’o, K.J.; Raman, S.S.; Yu, N.C.; Kim, Y.J.; Crawford, T.; Kadell, B.M.; Lu, D.S. Pancreatic and peripancreatic diseases mimicking primary pancreatic neoplasia. Radiographics 2005, 25, 949–965. [Google Scholar] [CrossRef] [PubMed][Green Version]
- Yasuda, I.; Tsurumi, H.; Omar, S.; Iwashita, T.; Kojima, Y.; Yamada, T.; Sawada, M.; Takami, T.; Moriwaki, H.; Soehendra, N. Endoscopic ultrasound-guided fine-needle aspiration biopsy for lymphadenopathy of unknown origin. Endoscopy 2006, 38, 919–924. [Google Scholar] [CrossRef] [PubMed]
- Kim, J.B.; Lee, S.S.; Kim, S.H.; Byun, J.H.; Park, D.H.; Lee, T.Y.; Lee, B.U.; Jeong, S.U.; Seo, D.W.; Lee, S.K.; et al. Peripancreatic tuberculous lymphadenopathy masquerading as pancreatic malignancy: A single-center experience. J. Gastroenterol. Hepatol. 2014, 29, 409–416. [Google Scholar] [CrossRef] [PubMed]


| Patient No. | Age | Sex | Clinical Setting | Needle Type | Size (mm) | Pathologic Result of EUS-Guided Sampling | Final Diagnosis |
|---|---|---|---|---|---|---|---|
| 1 | 66 | M | Pancreatic mass vs. serous cystadenoma | 22G FNA | 15 | Inflammatory and lymphoid cells | Solid serous cystadenoma of the pancreas |
| 2 | 57 | M | Peripancreatic lymphadenopathy, S/P distal gastrectomy for advanced gastric cancer | 25G FNA | 13 | Necrotic tissue with some macrophages | Reactive lymph node |
| 3 | 70 | F | Pancreatic duct stricture, mass-forming pancreatitis vs. pancreatic cancer | 25G FNA | 10 | Atypia, favor reactive | Chronic pancreatitis |
| 4 | 62 | M | Lymphadenopathy near left gastric artery, S/P Whipple operation for pancreatic cancer | 22G FNA | 9 | Suggestive of metastatic ductal adenocarcinoma | Recurrence of pancreatic cancer |
| 5 * | 66 | F | Lymphadenopathy near common hepatic artery, S/P Distal gastrectomy for early gastric cancer | 22G FNA | 26 | Fragments of bland-looking cells | Recurrence of gastric cancer |
| 22G FNA | 26 | Fragments of bland-looking cells | Recurrence of gastric cancer | ||||
| 6 | 45 | M | Autoimmune pancreatitis vs. pancreatic cancer | 19G FNB | 35 | Chronic pancreatitis with lymphocyte infiltration and fibrosis | Autoimmune pancreatitis |
| 7 | 70 | M | Pancreatic duct stricture, chronic pancreatitis vs. pancreatic cancer | 22G FNA | 15 | Negative for malignancy | Chronic pancreatitis |
| 8 | 75 | F | Autoimmune pancreatitis vs. pancreatic cancer | 22G FNA | 30 | Benign ductal epithelial cells | Pancreatic cancer |
| 9 | 71 | M | Atypical pancreatic cancer vs. lymphoma | 19G FNB | 90 | Diffuse large B-cell lymphoma | Lymphoma |
| 10 | 77 | M | Chronic pancreatitis vs. pancreatic cancer | 22G FNA | 24 | Negative for malignancy | Chronic pancreatitis |
| 11 | 77 | M | Peripancreatic lymphadenopathy, S/P bisegmentectomy for cholangiocarcinoma | 22G FNA | 10 | Negative for malignancy | Reactive lymph node |
| 12 | 77 | M | Necrotic lymphadenopathy along hepatoduodenal ligament | 19G FNB | 42 | Neutrophils and necrotic debris. PCR for tuberculosis (+) | Tuberculous lymphadenopathy |
| 13 | 66 | M | Pancreatic head mass, S/P Rectal cancer | 22G FNA | 28 | Consistent with adenocarcinoma | Pancreatic cancer |
| 14 | 62 | F | Lymphadenopathy with gallbladder mass | 25G FNA | 27 | Consistent with adenocarcinoma | Gallbladder cancer |
| 15 | 66 | M | Pancreatic mass, pancreatic cancer vs. inflammatory pseudotumor | 22G FNA | 18 | Adenocarcinoma | Pancreatic cancer |
| 16 | 79 | F | Multiple enlarged lymph nodes in retroperitoneal space | 22G FNA | 22 | Many inflammatory cells and granuloma in necrotic background, PCR for tuberculosis (+) | Tuberculous lymphadenopathy |
| 17 | 60 | M | Pancreatic cancer vs. autoimmune pancreatitis | 22G FNA | 37 | Proliferation of activated lymphoid cells | Autoimmune pancreatitis |
| 18 | 69 | F | Pancreatic mass, H/O non-Hodgkin’s lymphoma | 19G FNB | 36 | Adenocarcinoma | Pancreatic cancer |
| 19 | 69 | M | Periaortic lymphadenopathy, S/P Ivor-Lewis operation due to esophageal cancer, S/P colon cancer | 22G FNA | 19 | Suggestive of squamous cell carcinoma | Recurrence of esophageal cancer |
| 20 | 79 | M | Pancreatic mass, H/O lung cancer | 22G FNB | 29 | Adenocarcinoma favor pancreatic origin † | Pancreatic cancer |
| 21 | 56 | M | Pancreatic mass and lung mass | 22G FNB | 40 | Favor neuroendocrine carcinoma € | Neuroendocrine carcinoma |
| Indeterminate Group | High-Confidence Group | p Values | |
|---|---|---|---|
| Sensitivity (95% CI) | 75.0% (46.7–91.1%) | 88.5% (79.5–93.8%) | 0.358 |
| Specificity (95% CI) | 100% (72.3–100%) | N-A | N-A |
| Positive predictive value (95% CI) | 100% (70.1–100%) | 100% (94.7–100%) | 1.000 |
| Negative predictive value (95% CI) | 76.9% (49.7–91.8%) | 0% (0–30.0%) | <0.0001 |
| Accuracy (95% CI) | 86.4% (66.7–95.3%) | 88.5% (79.5–93.8%) | 1.000 |
Publisher’s Note: MDPI stays neutral with regard to jurisdictional claims in published maps and institutional affiliations. |
© 2021 by the authors. Licensee MDPI, Basel, Switzerland. This article is an open access article distributed under the terms and conditions of the Creative Commons Attribution (CC BY) license (https://creativecommons.org/licenses/by/4.0/).
Share and Cite
Jeon, T.Y.; Moon, S.-H.; Kim, J.H.; Lim, H.; Kang, H.S.; Park, J.-W.; Kim, S.-E.; Min, S.K. Diagnostic Performance of EUS-Guided Sampling in Indeterminate Radiological Diagnosis of Pancreatic Disease and Intra-Abdominal Lymphadenopathy. J. Clin. Med. 2021, 10, 3850. https://doi.org/10.3390/jcm10173850
Jeon TY, Moon S-H, Kim JH, Lim H, Kang HS, Park J-W, Kim S-E, Min SK. Diagnostic Performance of EUS-Guided Sampling in Indeterminate Radiological Diagnosis of Pancreatic Disease and Intra-Abdominal Lymphadenopathy. Journal of Clinical Medicine. 2021; 10(17):3850. https://doi.org/10.3390/jcm10173850
Chicago/Turabian StyleJeon, Tae Yeon, Sung-Hoon Moon, Jong Hyeok Kim, Hyun Lim, Ho Suk Kang, Ji-Won Park, Sung-Eun Kim, and Soo Kee Min. 2021. "Diagnostic Performance of EUS-Guided Sampling in Indeterminate Radiological Diagnosis of Pancreatic Disease and Intra-Abdominal Lymphadenopathy" Journal of Clinical Medicine 10, no. 17: 3850. https://doi.org/10.3390/jcm10173850
APA StyleJeon, T. Y., Moon, S.-H., Kim, J. H., Lim, H., Kang, H. S., Park, J.-W., Kim, S.-E., & Min, S. K. (2021). Diagnostic Performance of EUS-Guided Sampling in Indeterminate Radiological Diagnosis of Pancreatic Disease and Intra-Abdominal Lymphadenopathy. Journal of Clinical Medicine, 10(17), 3850. https://doi.org/10.3390/jcm10173850

