Decreased Bone Mineral Density Is a Predictor of Poor Survival in Critically Ill Patients
Abstract
:1. Introduction
2. Materials and Methods
2.1. Study Design and Patient Characteristics
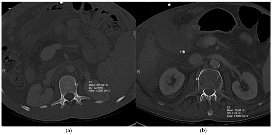
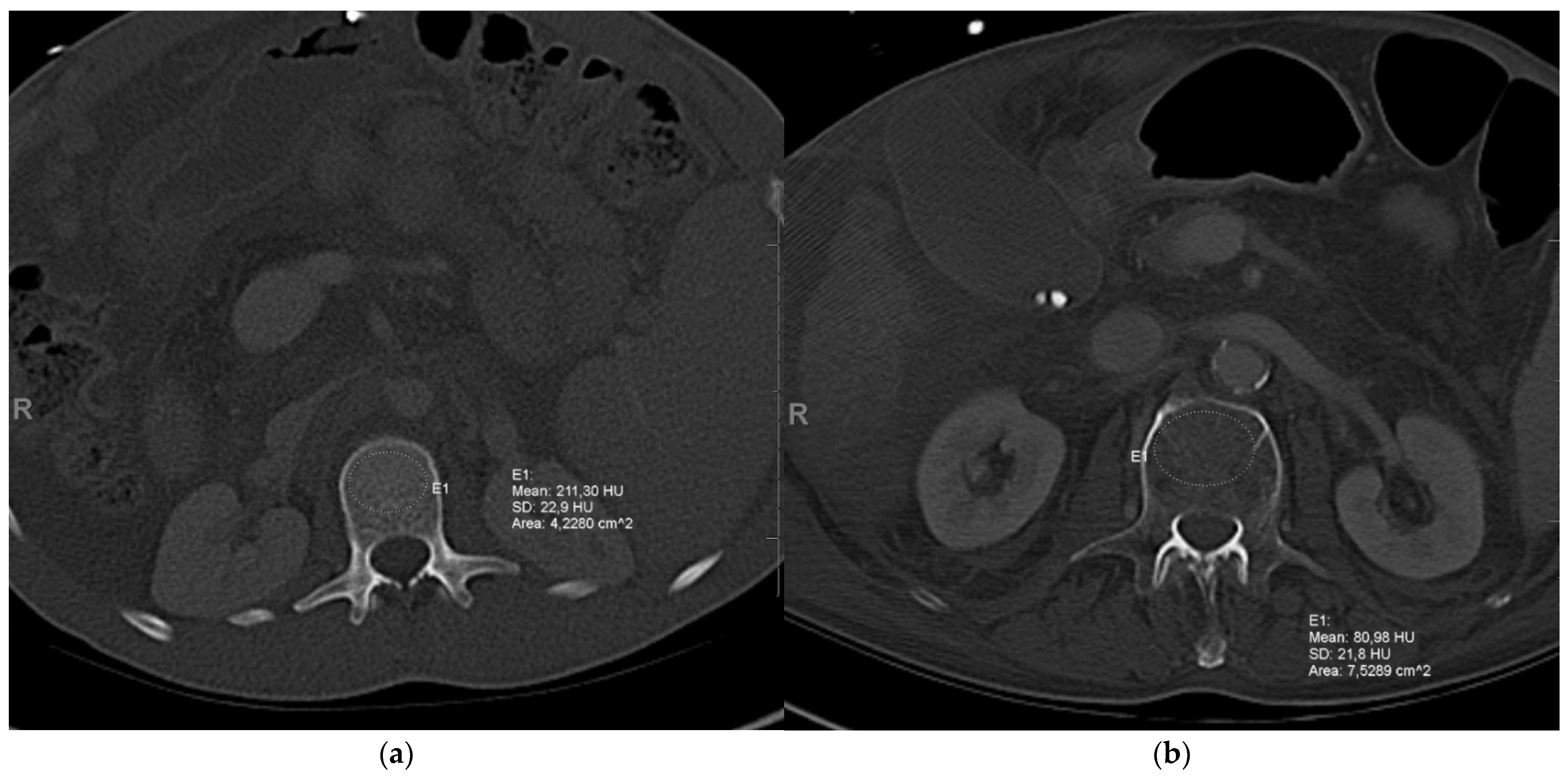
2.2. Assessment of Vertebral Trabecular Attenuation at the First Lumbar Vertebra
2.3. Measurement of Standard Laboratory Parameters
2.4. Statistical Analysis
3. Results
3.1. Baseline Characteristics of the Study Cohort
3.2. Bone Mineral Density (BMD) and Patient Characteristics
3.3. Low BMD Is Associated with Higher Short-Term Mortality in Critically Ill Patients
3.4. BMD Is a Prognostic Factor for Overall Survival in Critically Ill Patients
4. Discussion
5. Conclusions
Author Contributions
Funding
Institutional Review Board Statement
Informed Consent Statement
Data Availability Statement
Conflicts of Interest
References
- Goossens, C.; Marques, M.B.; Derde, S.; Perre, S.V.; Dufour, T.; Thiessen, S.E.; Güiza, F.; Janssens, T.; Hermans, G.; Vanhorebeek, I.; et al. Premorbid obesity, but not nutrition, prevents critical illness-induced muscle wasting and weakness. J. Cachexia Sarcopenia Muscle 2017, 8, 89–101. [Google Scholar] [CrossRef] [PubMed]
- Benz, F.; Roy, S.; Trautwein, C.; Roderburg, C.; Luedde, T. Circulating MicroRNAs as biomarkers for sepsis. Int. J. Mol. Sci. 2016, 17, 78. [Google Scholar] [CrossRef] [PubMed] [Green Version]
- Cleymaet, R.; Scheinok, T.; Maes, H.; Stas, A.; Malbrain, L.; De Laet, I.; Schoonheydt, K.; Dits, H.; van Regenmortel, N.; Mekeirele, M.; et al. Prognostic value of bioelectrical impedance analysis for assessment of fluid overload in ICU patients: A pilot study. Anestezjol. Intensywna Ter. 2021, 53, 10–17. [Google Scholar]
- Yao, S.; Kaido, T.; Okumura, S.; Iwamura, S.; Miyachi, Y.; Shirai, H.; Kobayashi, A.; Hamaguchi, Y.; Kamo, N.; Uozumi, R.; et al. Bone mineral density correlates with survival after resection of extrahepatic biliary malignancies. Clin. Nutr. 2019, 38, 2770–2777. [Google Scholar] [CrossRef] [PubMed]
- Sharma, P.; Parikh, N.D.; Yu, J.; Barman, P.; Derstine, B.A.; Sonnenday, C.J.; Wang, S.C.; Su, G. Bone mineral density predicts posttransplant survival among hepatocellular carcinoma liver transplant recipients. Liver Transplant. 2016, 22, 1092–1098. [Google Scholar] [CrossRef] [PubMed] [Green Version]
- Toshima, T.; Yoshizumi, T.; Ikegami, T.; Harada, N.; Itoh, S.; Mano, Y.; Motomura, T.; Soejima, Y.; Maehara, Y. Impact of Osteopenia in Liver Cirrhosis: Special Reference to Standard Bone Mineral Density with Age. Anticancer Res. 2018, 38, 6465–6471. [Google Scholar] [CrossRef] [PubMed]
- Wright, N.C.; Looker, A.C.; Saag, K.G.; Curtis, J.R.; Delzell, E.S.; Randall, S.; Dawson-Hughes, B. The Recent Prevalence of Osteoporosis and Low Bone Mass in the United States Based on Bone Mineral Density at the Femoral Neck or Lumbar Spine. J. Bone Miner. Res. 2014, 29, 2520–2526. [Google Scholar] [CrossRef] [PubMed] [Green Version]
- Burge, R.; Dawson-Hughes, B.; Solomon, D.H.; Wong, J.B.; King, A.; Tosteson, A. Incidence and Economic Burden of Osteoporosis-Related Fractures in the United States, 2005–2025. J. Bone Miner. Res. 2007, 22, 465–475. [Google Scholar] [CrossRef] [PubMed]
- Lee, S.J.; Pickhardt, P.J. Opportunistic Screening for Osteoporosis Using Body CT Scans Obtained for Other Indications: The UW Experience. Clin. Rev. Bone Miner. Metab. 2017, 15, 128–137. [Google Scholar] [CrossRef]
- Jang, S.; Graffy, P.M.; Ziemlewicz, T.J.; Lee, S.J.; Summers, R.M.; Pickhardt, P.J. Opportunistic Osteoporosis Screening at Routine Abdominal and Thoracic CT: Normative L1 Trabecular Attenuation Values in More than 20,000 Adults. Radiology 2019, 291, 360–367. [Google Scholar] [CrossRef] [PubMed]
- Luetkens, J.A.; Faron, A.; Geissler, H.L.; Al-Kassou, B.; Shamekhi, J.; Stundl, A.; Sprinkart, A.M.; Meyer, C.; Fimmers, R.; Treede, H.; et al. Opportunistic Computed Tomography Imaging for the Assessment of Fatty Muscle Fraction Predicts Outcome in Patients Undergoing Transcatheter Aortic Valve Replacement. Circulation 2020, 141, 234–236. [Google Scholar] [CrossRef] [PubMed]
- Qu, X.; Huang, X.; Jin, F.; Wang, H.; Hao, Y.; Tang, T.; Dai, K. Bone mineral density and all-cause, cardiovascular and stroke mortality: A meta-analysis of prospective cohort studies. Int. J. Cardiol. 2013, 166, 385–393. [Google Scholar] [CrossRef] [PubMed]
- Campos-Obando, N.; Castano-Betancourt, M.C.; Oei, L.; Franco, O.; Stricker, B.H.C.; Brusselle, G.; Lahousse, L.; Hofman, A.; Tiemeier, H.; Rivadeneira, F.; et al. Bone Mineral Density and Chronic Lung Disease Mortality: The Rotterdam Study. J. Clin. Endocrinol. Metab. 2014, 99, 1834–1842. [Google Scholar] [CrossRef] [PubMed] [Green Version]
- Trivedi, D.P.; Khaw, K.T. Bone mineral density at the hip predicts mortality in elderly men. Osteoporos. Int. 2001, 12, 259–265. [Google Scholar] [CrossRef] [PubMed]
- Lampropoulos, C.E.; Papaioannou, I.; D’Cruz, D.P. Osteoporosis—A risk factor for cardiovascular disease? Nat. Rev. Rheumatol. 2012, 8, 587–598. [Google Scholar] [CrossRef] [PubMed]
- Fathala, A.L.; Alkulaybi, S.; Khawaji, A.; Alomari, A.; Almuhaideb, A. The association between low bone mineral density and coronary artery calcification in osteoporotic and non-osteoporotic patients in a tertiary center in Saudi Arabia. Ann. Saudi Med. 2021, 41, 101–108. [Google Scholar] [CrossRef] [PubMed]
- Ionescu, A.; Schoon, E. Osteoporosis in chronic obstructive pulmonary disease. Eur. Respir. J. 2003, 22, 64s–75s. [Google Scholar] [CrossRef] [PubMed] [Green Version]
- Guañabens, N.; Pares, A. Osteoporosis in chronic liver disease. Liver Int. 2018, 38, 776–785. [Google Scholar] [CrossRef] [Green Version]
- Lee, Y.-F.; Tsou, H.-K.; Leong, P.-Y.; Wang, Y.-H.; Wei, J.C.-C. Association of sepsis with risk for osteoporosis: A population-based cohort study. Osteoporos. Int. 2020, 32, 301–309. [Google Scholar] [CrossRef] [PubMed]




| Parameter | Study Cohort |
|---|---|
| ICU patients | 153 |
| Gender (%) male-female | 62.1–37.9 |
| Age (years, median and range) | 60 (21–88) |
| BMI (kg/m2, median and range) | 25.21 (13.89–69.92) |
| Bone mineral density (HU, median and range) | 152.0 (54.0–277.0) |
| ICU stay (days, median and range) | 12 (1–399) |
| Hospital stay (days, median and range) | 35 (3–199) |
| Sepsis (%) no–yes | 38.8–61.2 |
| Cause of ICU admission (%) | |
| Pulmonary sepsis | 24.2 |
| Abdominal sepsis | 10.5 |
| Urosepsis | 3.9 |
| Other sepsis | 15 |
| Liver cirrhosis | 7.8 |
| Acute liver failure | 4.6 |
| Liver transplantation | 2.6 |
| GI bleeding | 7.2 |
| Cardiopulmonal | 14.4 |
| Acute pancreatitis | 4.6 |
| Other | 5.2 |
| Medical conditions | |
| Diabetes mellitus | 76.00% |
| Art. hypertension | 50.40% |
| Coronary artery disease | 75.20% |
| Chronic alcohol intake | 69.50% |
| COPD | 83.70% |
| Liver cirrhosis | 73.60% |
| Malignant disease | 68.20% |
| Survival rates | |
| ICU survival | 68.20% |
| 30-days survival | 71.20% |
| 180-days survival | 43.10% |
| Laboratory Parameters | BMD | |
|---|---|---|
| Correlation Coefficient (rS) | p-Value | |
| Leukocytes | −0.054 | 0.515 |
| Haemoglobin | −0.087 | 0.289 |
| Thrombocytes | −0.201 | 0.014 |
| INR | 0.177 | 0.030 |
| Sodium | −0.269 | 0.001 |
| Potassium | −0.161 | 0.049 |
| Calcium | −0.141 | 0.087 |
| Chloride | −0.277 | 0.001 |
| Protein | 0.104 | 0.252 |
| Albumin | −0.006 | 0.953 |
| Cholesterol | −0.102 | 0.267 |
| Bilirubin | 0.256 | 0.002 |
| AST | 0.389 | <0.001 |
| ALT | 0.419 | <0.001 |
| GGT | 0.260 | 0.001 |
| ALP | 0.180 | 0.034 |
| LDH | 0.291 | 0.001 |
| Creatinine | −0.060 | 0.458 |
| Urea | −0.211 | 0.009 |
| Glucose | −0.194 | 0.025 |
| CK | 0.241 | 0.004 |
| CRP | 0.001 | 0.987 |
| PCT | 0.085 | 0.362 |
| IL-6 | 0.074 | 0.415 |
| Univariate Cox Regression | Multivariate Cox Regression | |||
|---|---|---|---|---|
| Parameter | p-Value | Hazard-Ratio (95% CI) | p-Value | Hazard-Ratio (95% CI) |
| BMD < 122 HU | <0.001 | 2.493 (1.679–3.701) | 0.016 | 1.836 (1.118–3.015) |
| Age | <0.001 | 1.030 (1.015–1.046) | 0.002 | 1.034 (1.013–1.055) |
| Sex | 0.724 | 0.933 (0.634–1.373) | ||
| BMI | 0.875 | 1.002 (0.976–1.029) | ||
| Sodium | 0.890 | 1.002 (0.976–1.028) | ||
| Potassium | 0.014 | 1.317 (1.057–1.642) | 0.300 | 1.152 (0.881–1.506) |
| Calcium | 0.919 | 0.959 (0.427–2.152) | ||
| Leukocytes | 0.386 | 1.008 (0.990–1.027) | ||
| Hemoglobin | 0.025 | 0.991 (0.983–0.999) | 0.403 | 0.996 (0.986–1.006) |
| Platelets | 0.616 | 1.000 (0.999–1.002) | ||
| Protein | 0.113 | 0.993 (0.983–1.002) | ||
| Bilirubin | 0.253 | 0.983 (0.954–1.013) | ||
| AST | 0.229 | 1.000 (1.000–1.000) | ||
| ALT | 0.035 | 0.999 (0.999–0.999) | 0.212 | 1.000 (0.999–1.000) |
| GGT | 0.564 | 1.000 (0.999–1.001) | ||
| ALP | 0.005 | 1.002 (1.001–1.003) | 0.003 | 1.002 (1.001–1.003) |
| LDH | 0.618 | 1.000 (1.000–1.000) | ||
| PCT | 0.828 | 1.001 (0.994–1.008) | ||
| CRP | 0.220 | 1.001 (0.999–1.003) | ||
| IL-6 | 0.008 | 1.000 (1.000–1.000) | 0.031 | 1.000 (1.000–1.000) |
| Creatinine | 0.997 | 1.000 (0.932–1.073) | ||
| INR | 0.526 | 0.940 (0.776–1.139) | ||
Publisher’s Note: MDPI stays neutral with regard to jurisdictional claims in published maps and institutional affiliations. |
© 2021 by the authors. Licensee MDPI, Basel, Switzerland. This article is an open access article distributed under the terms and conditions of the Creative Commons Attribution (CC BY) license (https://creativecommons.org/licenses/by/4.0/).
Share and Cite
Schulze-Hagen, M.F.; Roderburg, C.; Wirtz, T.H.; Jördens, M.S.; Bündgens, L.; Abu Jhaisha, S.; Hohlstein, P.; Brozat, J.F.; Bruners, P.; Loberg, C.; et al. Decreased Bone Mineral Density Is a Predictor of Poor Survival in Critically Ill Patients. J. Clin. Med. 2021, 10, 3741. https://doi.org/10.3390/jcm10163741
Schulze-Hagen MF, Roderburg C, Wirtz TH, Jördens MS, Bündgens L, Abu Jhaisha S, Hohlstein P, Brozat JF, Bruners P, Loberg C, et al. Decreased Bone Mineral Density Is a Predictor of Poor Survival in Critically Ill Patients. Journal of Clinical Medicine. 2021; 10(16):3741. https://doi.org/10.3390/jcm10163741
Chicago/Turabian StyleSchulze-Hagen, Maximilian F., Christoph Roderburg, Theresa H. Wirtz, Markus S. Jördens, Lukas Bündgens, Samira Abu Jhaisha, Philipp Hohlstein, Jonathan F. Brozat, Philipp Bruners, Christina Loberg, and et al. 2021. "Decreased Bone Mineral Density Is a Predictor of Poor Survival in Critically Ill Patients" Journal of Clinical Medicine 10, no. 16: 3741. https://doi.org/10.3390/jcm10163741
APA StyleSchulze-Hagen, M. F., Roderburg, C., Wirtz, T. H., Jördens, M. S., Bündgens, L., Abu Jhaisha, S., Hohlstein, P., Brozat, J. F., Bruners, P., Loberg, C., Kuhl, C., Trautwein, C., Tacke, F., Luedde, T., Loosen, S. H., & Koch, A. (2021). Decreased Bone Mineral Density Is a Predictor of Poor Survival in Critically Ill Patients. Journal of Clinical Medicine, 10(16), 3741. https://doi.org/10.3390/jcm10163741

