Changes in Brain Activation through Cognitive-Behavioral Therapy with Exposure to Virtual Reality: A Neuroimaging Study of Specific Phobia
Abstract
:1. Introduction
2. Materials and Methods
2.1. Participants
2.2. Instruments
2.2.1. Clinical Assessments
2.2.2. fMRI Data Acquisition
2.3. Design and Statistical Analysis
2.4. Procedure
CBT Program
3. Results
3.1. Clinical Assessments
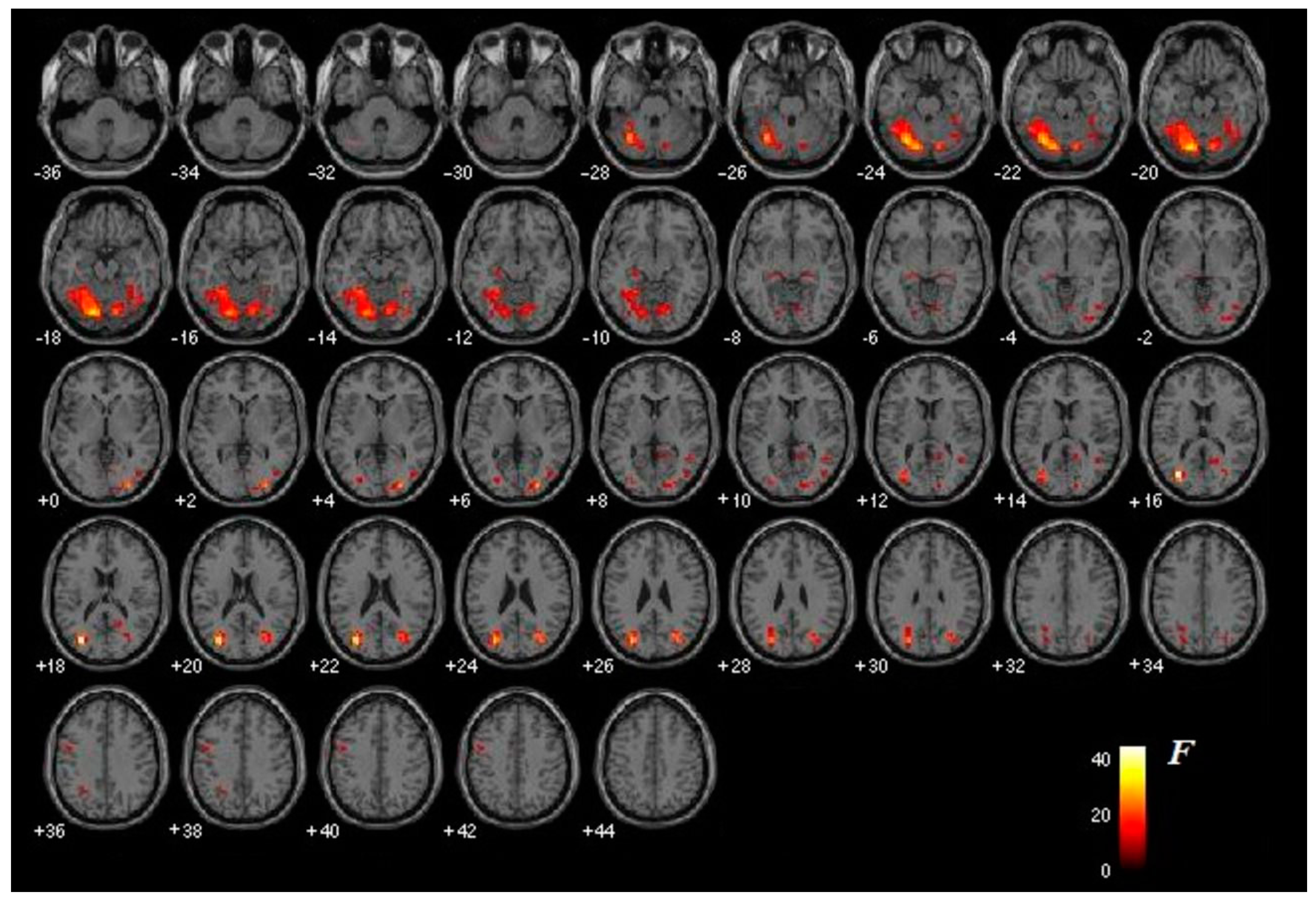
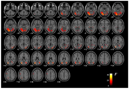
3.2. Functional Brain Activation
3.2.1. Thalamus
3.2.2. Amygdala
3.2.3. Occipital Cortex
3.2.4. Frontal and Prefrontal Cortex
3.2.5. Other Brain Structures Involved in Emotional Regulation and Specific Phobias
4. Discussion
5. Conclusions
Supplementary Materials
Author Contributions
Funding
Institutional Review Board Statement
Informed Consent Statement
Data Availability Statement
Acknowledgments
Conflicts of Interest
References
- Diagnostic and Statistical Manual of Mental Disorders, 5th ed.; American Psychiatric Association: Washington, DC, USA, 2013; Available online: https://doi.org/10.1176/appi.books.9780890425596 (accessed on 7 August 2021). [CrossRef]
- Benaiges, E.A. El abordaje de las fobias. FMC Form. Médica Contin. Atención Primaria 2013, 20, 347–350. [Google Scholar] [CrossRef]
- LeBeau, R.T.; Glenn, D.; Liao, B.; Wittchen, H.-U.; Beesdo-Baum, K.; Ollendick, T.; Craske, M.G. Specific phobia: A review of DSM-IV specific phobia and preliminary recommendations for DSM-V. Depress. Anxiety 2010, 27, 148–167. [Google Scholar] [CrossRef] [PubMed]
- Wardenaar, K.J.; Lim, C.C.W.; Al-Hamzawi, A.; Alonso, J.; Andrade, L.H.; Benjet, C.; Bunting, B.; de Girolamo, G.; Demyttenaere, K.; Florescu, S.E.; et al. The cross-national epidemiology of specific phobia in the World Mental Health Surveys. Psychol. Med. 2017, 47, 1744–1760. [Google Scholar] [CrossRef] [PubMed] [Green Version]
- Chisholm, D.; Sweeny, K.; Sheehan, P.; Rasmussen, B.; Smit, F.; Cuijpers, P.; Saxena, S. Scaling-up treatment of depression and anxiety: A global return on investment analysis. Lancet Psychiatr. 2016, 3, 415–424. [Google Scholar] [CrossRef] [Green Version]
- Alonso, J.; Angermeyer, M.C.; Bernert, S.; Bruffaerts, R.; Brugha, T.S.; Bryson, H.; de Girolamo, G.; De Graaf, R.; Demyttenaere, K.; Gasquet, I.; et al. Disability and quality of life impact of mental disorders in Europe: Results from the European Study of the Epidemiology of Mental Disorders (ESEMeD) project. Acta Psychiatr. Scand. 2004, 109, 38–46. [Google Scholar] [CrossRef] [PubMed]
- Åhs, F.; Rosén, J.; Kastrati, G.; Fredrikson, M.; Agren, T.; Lundström, J.N. Biological preparedness and resistance to extinction of skin conductance responses conditioned to fear relevant animal pictures: A systematic review. Neurosci. Biobehav. Rev. 2018, 95, 430–437. [Google Scholar] [CrossRef]
- Hunsley, J.; Mash, E.J. A Guide to Assessments that Work; Oxford University Press: New York, NY, USA, 2008. [Google Scholar]
- Holubová, M.; Prasko, J.; Ociskova, M.; Kantor, K.; Vaněk, J.; Slepecky, M.; Vrbova, K. Quality of life, self-stigma, and coping strategies in patients with neurotic spectrum disorders: A cross-sectional study. Psychol. Res. Behav. Manag. 2019, 12, 81–95. [Google Scholar] [CrossRef] [PubMed] [Green Version]
- Lieb, R.; Miché, M.; Gloster, A.; Beesdo-Baum, K.; Meyer, A.H.; Wittchen, H.-U. Impact of specific phobia on the risk of onset of mental disorders: A 10-year prospective-longitudinal community study of adolescents and young adults. Depress. Anxiety 2016, 33, 667–675. [Google Scholar] [CrossRef]
- McCabe, R. Specific Phobia in Adults: Epidemiology, Clinical Manifestations, Course and Diagnosis. Available online: https://www.uptodate.com/contents/specific-phobia-in-adults-epidemiology-clinical-manifestations-course-and-diagnosis (accessed on 14 March 2021).
- Moriana, J.A.; Gálvez-Lara, M.; Corpas, J. Psychological treatments for mental disorders in adults: A review of the evidence of leading international organizations. Clin. Psychol. Rev. 2017, 54, 29–43. [Google Scholar] [CrossRef]
- Almeida, A.G.-D.; Filho, G.M.D.A.; Berberian, A.D.A.; Trezsniak, C.; Nery-Fernandes, F.; Neto, C.A.A.; Jackowski, A.P.; Miranda-Scippa, A.; De Oliveira, I.R. The impacts of cognitive-behavioral therapy on the treatment of phobic disorders measured by functional neuroimaging techniques: A systematic review. Rev. Bras. de Psiquiatr. 2013, 35, 279–283. [Google Scholar] [CrossRef] [Green Version]
- Capafons, J.I. Tratamientos psicológicos eficaces para las fobias específicas. Psicothema 2001, 13, 447–452. [Google Scholar]
- Marcks, B.A.; Weisberg, R.B.; Keller, M.B. Psychiatric Treatment Received by Primary Care Patients With Panic Disorder With and Without Agoraphobia. Psychiatr. Serv. 2009, 60, 823–830. [Google Scholar] [CrossRef]
- Bados, A.; García, E. Técnicas de exposición; Departamento de Personalidad, Evaluación y Tratamiento Psicológicos Facultad de Psicología; Universidad de Barcelona: Barcelona, Spain, 2011; Available online: http://diposit.ub.edu/dspace/bitstream/2445/18403/1/T%C3%A9cnicas%20de%20Exposici%C3%B3n%202011.pdf (accessed on 7 August 2021).
- Powers, M.B.; Rothbaum, B.O. Recent advances in virtual reality therapy for anxiety and related disorders: Introduction to the special issue. J. Anxiety Disord. 2019, 61, 1–2. [Google Scholar] [CrossRef] [PubMed]
- Quero, S.; Botella, C.; Guillén, V.; Moles, M.; Nebot García-Palacios, S.A.; Botella Arbona, C. La Realidad Virtual Para el Tratamiento de los Trastornos Emocionales: Una Revisión. Anuario de Psicología Clínica y de la Salud 2012, 8, 7–27. [Google Scholar]
- De Carvalho, M.R.; Freire, R.C.; Nardi, A.E. Virtual reality as a mechanism for exposure therapy. World J. Biol. Psychiatr. 2010, 11, 220–230. [Google Scholar] [CrossRef]
- Clough, B.A.; Casey, L.M. Technological adjuncts to enhance current psychotherapy practices: A review. Clin. Psychol. Rev. 2011, 31, 279–292. [Google Scholar] [CrossRef] [PubMed] [Green Version]
- Castro, W.P.; Sánchez, M.J.R.; González, C.T.P.; Bethencourt, J.M.; Portero, J.A.D.L.F.; Marco, R.G. Cognitive-behavioral treatment and antidepressants combined with virtual reality exposure for patients with chronic agoraphobia. Int. J. Clin. Health Psychol. 2014, 14, 9–17. [Google Scholar] [CrossRef] [Green Version]
- Fernández-Álvarez, J.; Rozental, A.; Carlbring, P.; Colombo, D.; Riva, G.; Anderson, P.L.; Baños, R.M.; Benbow, A.A.; Bouchard, S.; Bretón-López, J.M.; et al. Deterioration rates in Virtual Reality Therapy: An individual patient data level meta-analysis. J. Anxiety Disord. 2019, 61, 3–17. [Google Scholar] [CrossRef] [PubMed]
- Jeong, H.; Lee, J.; Kim, H.; Kim, J.-J. Appropriate Number of Treatment Sessions in Virtual Reality-Based Individual Cognitive Behavioral Therapy for Social Anxiety Disorder. J. Clin. Med. 2021, 10, 915. [Google Scholar] [CrossRef] [PubMed]
- North, M.; North, S. Virtual Environments and psychological disorders. Electron. J. Virtual Cult. 1994, 2, 37–42. [Google Scholar]
- Antony, M.M.; Barlow, D.H. Specific phobias. In Anxiety and Its Disorders, 2nd ed.; Guilford Press: New York, NY, USA, 2002; pp. 380–417. [Google Scholar]
- Riva, G.; Serino, S. Virtual Reality in the Assessment, Understanding and Treatment of Mental Health Disorders. J. Clin. Med. 2020, 9, 3434. [Google Scholar] [CrossRef]
- Kalsi, N.; Altavilla, D.; Tambelli, R.; Aceto, P.; Trentini, C.; Di Giorgio, C.; Lai, C. Neural Correlates of Outcome of the Psychotherapy Compared to Antidepressant Therapy in Anxiety and Depression Disorders: A Meta-Analysis. Front. Psychol. 2017, 8, 8. [Google Scholar] [CrossRef] [PubMed] [Green Version]
- Lange, I.; Goossens, L.; Bakker, J.; Michielse, S.; Marcelis, M.; Wichers, M.; van Os, J.; van Amelsvoort, T.; Schruers, K. Functional neuroimaging of associative learning and generalization in specific phobia. Prog. Neuro Psychopharmacol. Biol. Psychiatr. 2019, 89, 275–285. [Google Scholar] [CrossRef] [PubMed]
- Del Casale, A.; Ferracuti, S.; Rapinesi, C.; Serata, D.; Piccirilli, M.; Savoja, V.; Kotzalidis, G.D.; Manfredi, G.; Angeletti, G.; Tatarelli, R.; et al. Functional neuroimaging in specific phobia. Psychiatry Res. Neuroimaging 2012, 202, 181–197. [Google Scholar] [CrossRef]
- Papez, J.W. A proposed mechanism of emotion. 1937 [classical article]. J. Neuropsychiatry Clin. Neurosci. 1995, 7, 103–112. [Google Scholar] [CrossRef] [PubMed]
- Etkin, A.; Büchel, C.; Gross, J.J. The neural bases of emotion regulation. Nat. Rev. Neurosci. 2015, 16, 693–700. [Google Scholar] [CrossRef]
- LeDoux, J.E. Emotion, Memory and the Brain. Sci. Am. 1994, 270, 50–57. [Google Scholar] [CrossRef]
- Mocaiber, I.; de Oliveira, L.; Garcia Pereira, M.; Machado-Pinheiro, W.; Ventura, P.R.; Figueira, I.V.; Volchan, E. Neurobiology of Emotion Regulation: Implications for Cognitive-Behavioral Therapy. Psicol. Em Estud. 2008, 13, 531–538. [Google Scholar] [CrossRef]
- Ochsner, K.N.; Ray, R.R.; Hughes, B.L.; McRae, K.; Cooper, J.C.; Weber, J.; Gabrieli, J.D.E.; Gross, J.J. Bottom-Up and Top-Down Processes in Emotion Generation. Psychol. Sci. 2009, 20, 1322–1331. [Google Scholar] [CrossRef] [Green Version]
- Gentili, C.; Benvenuti, S.M.; Lettieri, G.; Costa, C.; Cecchetti, L. ROI and phobias: The effect of ROI approach on an ALE meta-analysis of specific phobias. Hum. Brain Mapp. 2019, 40, 1814–1828. [Google Scholar] [CrossRef] [Green Version]
- Rivero, F.; Herrero, M.; Viña, C.; Alvarez-Perez, Y.; Peñate, W. Neuroimaging in cockroach phobia: An experimental study. Int. J. Clin. Health Psychol. 2017, 17, 207–215. [Google Scholar] [CrossRef]
- Salone, A.; Di Giacinto, A.; Lai, C.; De Berardis, D.; Iasevoli, F.; Fornaro, M.; De Risio, L.; Santacroce, R.; Martinotti, G.; Di Giannantonio, M. The Interface between Neuroscience and Neuro-Psychoanalysis: Focus on Brain Connectivity. Front. Hum. Neurosci. 2016, 10, 20. [Google Scholar] [CrossRef] [Green Version]
- Ipser, J.C.; Singh, L.; Stein, D. Meta-analysis of functional brain imaging in specific phobia. Psychiatry Clin. Neurosci. 2013, 67, 311–322. [Google Scholar] [CrossRef]
- Peñate, W.; Pitti, C.T.; Bethencourt, J.M. The Effects of a Treatment Based on the Use of Virtual Reality Exposure and Cognitive-Behavioral Therapy Applied to Patients with Agoraphobia. Int. J. Clin. Health Psychol. 2008, 8, 5–22. [Google Scholar]
- Pitti, C.; Peñate, W.; De La Fuente, J.; Bethencourt, J.; Acosta, L.; Villaverde, M.; Gracia, R. Agoraphobia: Combined treatment and virtual reality. Preliminary results. Actas Esp. Psiquiatr. 2008, 36, 94–101. [Google Scholar] [PubMed]
- González-Lorenzo, M.; Peñate, W.; Pitti, C.T.; Bethencourt, J.M.; de la Fuente, J.; Gracia, R. Efficacy of virtual reality exposure therapy combined with two pharmacotherapies in the treatment of agoraphobia. Int. J. Clin. Health Psychol. 2011. Available online: https://www.redalyc.org/articulo.oa?id=33716996001 (accessed on 7 August 2021).
- Lorenzo, C.V.; Fernández, M.H.; Rivero, F.; Pérez, Y.; Hernández, A.F.; Pérez, J.M.B.; Pitti, C.; Peñate, W. Cambios en la actividad cerebral asociados a la terapia de exposición cognitivo-conductual para fobias específicas: Búsqueda de los mecanismos subyacentes. Rev. Neurol. 2020, 71, 391. [Google Scholar] [CrossRef]
- Peñate, W.; Rivero, F.; Viña, C.; Herrero, M.; Betancort, M.; De La Fuente, J.; Álvarez-Pérez, Y.; Fumero, A. The Equivalence between Virtual and Real Feared Stimuli in a Phobic Adult Sample: A Neuroimaging Study. J. Clin. Med. 2019, 8, 2139. [Google Scholar] [CrossRef] [Green Version]
- Endler, N.S.; Hunt, J.M.; Rosenstein, A.J. An S-R inventory of anxiousness. Psychol. Monogr. Gen. Appl. 1962, 76, 1–33. [Google Scholar] [CrossRef]
- Kessler, R.C.; Üstün, T.B. The world mental health (WMH) survey initiative version of the world health organization (WHO) composite international diagnostic interview (CIDI). Int. J. Meth. Psych. Res. 2004, 13, 93–121. [Google Scholar] [CrossRef]
- Navarro-Mateu, F.; Morán-Sánchez, I.; Alonso, J.; Tormo, M.J.; Pujalte, M.L.; Garriga, A.; Aguilar-Gaxiola, S.; Navarro, C. Cultural adaptation of the Latin American version of the World Health Organization Composite International Diagnostic Interview (WHO-CIDI) (v 3.0) for use in Spain. Gac. Sanit. 2013, 27, 325–331. [Google Scholar] [CrossRef] [Green Version]
- Hamilton, M. The Assessment of Anxiety States by Rating. Br. J. Med. Psychol. 1959, 32, 50–55. [Google Scholar] [CrossRef]
- Lobo, A.; Chamorro, L.; Luque, A.; Dal-Ré, R.; Badia, X.; Baró, E. Validación de las versiones en español de la Montgomery-Asberg Depression Rating Scale y la Hamilton Anxiety Rating Scale para la evaluación de la depresión y de la ansiedad. Med. Clínica 2002, 118, 493–499. [Google Scholar] [CrossRef]
- Bruss, G.S.; Gruenberg, A.M.; Goldstein, R.D.; Barber, J. Hamilton anxiety rating scale interview guide: Joint interview and test-retest methods for interrater reliability. Psychiatry Res. 1994, 53, 191–202. [Google Scholar] [CrossRef]
- Zigmond, A.S.; Snaith, R.P. The Hospital Anxiety and Depression Scale. Acta Psychiatr. Scand. 1983, 67, 361–370. [Google Scholar] [CrossRef] [Green Version]
- Quintana, J.M.; Padierna, A.; Esteban, C.; Arostegui, I.; Bilbao, A.; Ruiz, I. Evaluation of the psychometric characteristics of the Spanish version of the Hospital Anxiety and Depression Scale. Acta Psychiatr. Scand. 2003, 107, 216–221. [Google Scholar] [CrossRef]
- Oldfield, R. The assessment and analysis of handedness: The Edinburgh inventory. Neuropsychologyia 1971, 9, 97–113. [Google Scholar] [CrossRef]
- Dragovic, M. Categorization and validation of handedness using latent class analysis. Acta Neuropsychiatr. 2004, 16, 212–218. [Google Scholar] [CrossRef] [PubMed]
- Andrade-González, N.; Fernández-Liria, A. Spanish adaptation of the Revised Helping Alliance Questionnaire (HAq-II). J. Ment. Health 2015, 24, 155–161. [Google Scholar] [CrossRef]
- Luborsky, L.; Barber, J.P.; Siqueland, L.; Johnson, S.; Najavits, L.M.; Frank, A.; Daley, D. Helping Alliance Questionnaire—II. PsycTESTS Dataset 1996, 5, 260–271. [Google Scholar] [CrossRef]
- Furutani, K.; Harada, M.; Mawlan, M.; Nishitani, H. Difference in Enhancement Between Spin Echo and 3-Dimensional Fast Spoiled Gradient Recalled Acquisition in Steady State Magnetic Resonance Imaging of Brain Metastasis at 3-T Magnetic Resonance Imaging. J. Comput. Assist. Tomogr. 2008, 32, 313–319. [Google Scholar] [CrossRef] [PubMed]
- Biswal, B.B.; Mennes, M.; Zuo, X.-N.; Gohel, S.; Kelly, C.; Smith, S.M.; Beckmann, C.F.; Adelstein, J.S.; Buckner, R.L.; Colcombe, S.; et al. Toward discovery science of human brain function. Proc. Natl. Acad. Sci. USA 2010, 107, 4734–4739. [Google Scholar] [CrossRef] [Green Version]
- Friston, K. Functional and effective connectivity in neuroimaging: A synthesis. Hum. Brain Mapp. 1994, 2, 56–78. [Google Scholar] [CrossRef]
- Cieślik, B.; Mazurek, J.; Rutkowski, S.; Kiper, P.; Turolla, A.; Szczepańska-Gieracha, J. Virtual reality in psychiatric disorders: A systematic review of reviews. Complement. Ther. Med. 2020, 52, 102480. [Google Scholar] [CrossRef]
- Hudson, D.; Heales, C.; Vine, S. Scoping review: How is virtual reality being used as a tool to support the experience of undergoing Magnetic resonance imaging? Radiography 2021. [Google Scholar] [CrossRef]
- Horigome, T.; Kurokawa, S.; Sawada, K.; Kudo, S.; Shiga, K.; Mimura, M.; Kishimoto, T. Virtual reality exposure therapy for social anxiety disorder: A systematic review and meta-analysis. Psychol. Med. 2020, 50, 2487–2497. [Google Scholar] [CrossRef]
- Dellazizzo, L.; Potvin, S.; Luigi, M.; Dumais, A. Evidence on Virtual Reality–Based Therapies for Psychiatric Disorders: Meta-Review of Meta-Analyses. J. Med. Internet Res. 2020, 22, e20889. [Google Scholar] [CrossRef]
- Pot-Kolder, R.; Veling, W.; Geraets, C.; Lokkerbol, J.; Smit, F.; Jongeneel, A.; Ising, H.; Van Der Gaag, M. Cost-Effectiveness of Virtual Reality Cognitive Behavioral Therapy for Psychosis: Health-Economic Evaluation Within a Randomized Controlled Trial. J. Med. Internet Res. 2020, 22, e17098. [Google Scholar] [CrossRef]
- Carl, E.; Stein, A.T.; Levihn-Coon, A.; Pogue, J.R.; Rothbaum, B.; Emmelkamp, P.; Asmundson, G.J.; Carlbring, P.; Powers, M.B. Virtual reality exposure therapy for anxiety and related disorders: A meta-analysis of randomized controlled trials. J. Anxiety Disord. 2019, 61, 27–36. [Google Scholar] [CrossRef]
- Hadjistavropoulos, H.D.; Pugh, N.E.; Hesser, H.; Andersson, G. Therapeutic Alliance in Internet-Delivered Cognitive Behaviour Therapy for Depression or Generalized Anxiety. Clin. Psychol. Psychother. 2016, 24, 451–461. [Google Scholar] [CrossRef]
- Norcross, J.C.; Lambert, M.J. Psychotherapy relationships that work II. Psychotheraphy 2011, 48, 4–8. [Google Scholar] [CrossRef]
- Pihlaja, S.; Stenberg, J.-H.; Joutsenniemi, K.; Mehik, H.; Ritola, V.; Joffe, G. Therapeutic alliance in guided internet therapy programs for depression and anxiety disorders—A systematic review. Internet Interv. 2018, 11, 1–10. [Google Scholar] [CrossRef]
- Linden, D.E.J. How psychotherapy changes the brain—The contribution of functional neuroimaging. Mol. Psychiatry 2006, 11, 528–538. [Google Scholar] [CrossRef] [Green Version]
- Lueken, U.; Hahn, T. Functional neuroimaging of psychotherapeutic processes in anxiety and depression. Curr. Opin. Psychiatry 2016, 29, 25–31. [Google Scholar] [CrossRef]
- Stefanescu, M.R.; Endres, R.J.; Hilbert, K.; Wittchen, H.-U.; Lueken, U. Networks of phobic fear: Functional connectivity shifts in two subtypes of specific phobia. Neurosci. Lett. 2018, 662, 167–172. [Google Scholar] [CrossRef]
- Colmenero, J.M. La atención y su papel en la experiencia consciente. An. Psicol. 2004, 1, 103–126. [Google Scholar]
- Weiner, K.S.; Zilles, K. The anatomical and functional specialization of the fusiform gyrus. Neuropsychologia 2016, 83, 48–62. [Google Scholar] [CrossRef] [Green Version]
- Shenhav, A.; Botvinick, M.M.; Cohen, J.D. The Expected Value of Control: An Integrative Theory of Anterior Cingulate Cortex Function. Neuron 2013, 79, 217–240. [Google Scholar] [CrossRef] [Green Version]
- Botvinick, M.M. Conflict monitoring and decision making: Reconciling two perspectives on anterior cingulate function. Cogn. Affect. Behav. Neurosci. 2007, 7, 356–366. [Google Scholar] [CrossRef]
- Lockwood, P.L.; Wittmann, M.K. Ventral anterior cingulate cortex and social decision-making. Neurosci. Biobehav. Rev. 2018, 92, 187–191. [Google Scholar] [CrossRef]
- Marwood, L.; Wise, T.; Perkins, A.M.; Cleare, A.J. Meta-analyses of the neural mechanisms and predictors of response to psychotherapy in depression and anxiety. Neurosci. Biobehav. Rev. 2018, 95, 61–72. [Google Scholar] [CrossRef]
- Bas-Hoogendam, J.M.; van Steenbergen, H.; Pannekoek, J.N.; Fouche, J.-P.; Lochner, C.; Hattingh, C.J.; Cremers, H.R.; Furmark, T.; Månsson, K.N.; Frick, A.; et al. Voxel-based morphometry multi-center mega-analysis of brain structure in social anxiety disorder. NeuroImage Clin. 2017, 16, 678–688. [Google Scholar] [CrossRef] [PubMed]
- Zhu, Y.; Tang, Y.; Zhang, T.; Li, H.; Tang, Y.; Li, C.; Luo, X.; He, Y.; Lu, Z.; Wang, J. Reduced functional connectivity between bilateral precuneus and contralateral parahippocampus in schizotypal personality disorder. BMC Psychiatry 2017, 17, 48. [Google Scholar] [CrossRef] [Green Version]
- Craske, M.G.; Kircanski, K.; Zelikowsky, M.; Mystkowski, J.; Chowdhury, N.; Baker, A. Optimizing inhibitory learning during exposure therapy. Behav. Res. Ther. 2008, 46, 5–27. [Google Scholar] [CrossRef] [PubMed]
- Craske, M.G.; Treanor, M.; Conway, C.C.; Zbozinek, T.; Vervliet, B. Maximizing exposure therapy: An inhibitory learning approach. Behav. Res. Ther. 2014, 58, 10–23. [Google Scholar] [CrossRef] [Green Version]
- Foa, E.B.; Kozak, M.J. Emotional processing of fear: Exposure to corrective information. Psychol. Bull. 1986, 99, 20–35. [Google Scholar] [CrossRef] [PubMed]
- Cognitive-behavioral therapy for anxiety disorders: An update on the empirical evidence. Dialog Clin. Neurosci. 2015, 17, 337–346. [CrossRef]
- Fumero, A.; Marrero, R.; Rivero, F.; Alvarez-Pérez, Y.; Bethencourt, J.; González, M.; Peñate, W. Neuronal Correlates of Small Animal Phobia in Human Subjects through fMRI: The Role of the Number and Proximity of Stimuli. Life 2021, 11, 275. [Google Scholar] [CrossRef]



| Active Control Group | Intervention Group | |
|---|---|---|
| Participants (n) | 17 | 14 |
| Mean age (year) | 37.47 | 29.64 |
| Gender (women) | 80% | 90% |
| Phobic animal | ||
| Spiders | 24% | 21% |
| Cockroaches | 65% | 79% |
| Lizards | 11% | 0% |
| Age of onset of phobia | ||
| Childhood (≤11 years) | 88% | 86% |
| Adolescence (12–17 years) | 12% | 14% |
| Adulthood (≥18 years) | 0% | 0% |
| Instrument | Baseline | Post-Treatment | Follow-up (3 Months) | |||
|---|---|---|---|---|---|---|
| M | sd | M | sd | M | sd | |
| S-R | ||||||
| Active control group | 37.94 | 6.75 | 18.6 | 6.63 | 21.4 | 4.8 |
| Intervention group | 37.86 | 5.76 | 17.21 | 8.11 | 20 | 7.25 |
| HADanx | ||||||
| Active control group | 6.59 | 4.53 | 4.75 | 3.01 | 4.36 | 3.39 |
| Intervention group | 6.92 | 2.99 | 5.93 | 2.40 | 6.00 | 2.39 |
| * HAM-A | ||||||
| Active control group | 17.13 | 9.13 | 4.33 | 2.51 | – | – |
| Intervention group | 22.64 | 6.83 | 7.36 | 5.05 | – | – |
| HAQ-II-PV | ||||||
| Active control group | – | – | 73.81 | 6.23 | – | – |
| Intervention group | – | – | 71.36 | 7.76 | – | – |
| Active Control Group | Intervention Group | |||||||||||||||
|---|---|---|---|---|---|---|---|---|---|---|---|---|---|---|---|---|
| Area | Pre > Post | Post > Pre | Pre > Post | Post > Pre | ||||||||||||
| p | t(58) | k | Coordinates (x, y, z) 1 | p | t(58) | k | Coordinates (x, y, z) 1 | p | t(58) | k | Coordinates (x, y, z) 1 | p | t(58) | k | Coordinates (x, y, z) 1 | |
| Thalamus | ||||||||||||||||
| RH | 0.000 * | 5.03 | 57 | 14, −8, −2 | – | – | – | – | 0.000 * | 3.50 | 7 | 14, −8, 6 | – | – | – | – |
| LH | 0.000 * | 4.75 | 27 | −10, −8, 2 | – | – | – | – | – | – | – | – | – | – | – | – |
| Amygdala | ||||||||||||||||
| RH | 0.003 | 2.82 | 3 | 30, 4, −18 | – | – | – | – | 0.001 * | 3.43 | 5 | 30, 0, −18 | – | – | – | – |
| LH | – | – | – | – | – | – | – | – | 0.000 * | 3.60 | 5 | −26, 0, −22 | – | – | – | – |
| Occipital cortex | ||||||||||||||||
| RH | 0.003 | 2.86 | 3 | 22, −64, −14 | – | – | – | – | – | – | – | – | – | – | – | – |
| LH | 0.000 * | 3.52 | 5 | −22, −60, −14 | – | – | – | – | 0.001 * | 3.28 | 3 | −38, −68, −18 | – | – | – | – |
| Frontal orbital cortex | ||||||||||||||||
| RH | 0.001 * | 3.37 | 5 | – | – | – | – | – | 0.000 * | 3.59 | 4 | 38, 24, 2 | – | – | – | – |
| LH | – | – | – | – | – | – | – | – | 0.000 * | 3.97 | 4 | −42, 20, 2 | – | – | – | – |
| Dorsolateral prefrontal cortex | ||||||||||||||||
| RH | 0.000 * | 3.95 | 6 | 50, 4, 34 | – | – | – | – | 0.000 * | 4.00 | 6 | 46, 4, 34 | – | – | – | – |
| LH | 0.000 * | 4.43 | 6 | −46, 4, 30 | – | – | – | – | – | – | – | – | – | – | – | – |
| Ventromedial prefrontal cortex | ||||||||||||||||
| RH | 0.000 * | 4.53 | 3 | 18, 8, 50 | – | – | – | – | – | – | – | – | – | – | – | – |
| LH | – | – | – | – | – | – | – | – | 0.000 * | 3.83 | 9 | −2, 20, 42 | – | – | – | – |
| Anterior cingulate cortex | ||||||||||||||||
| RH | 0.000 * | 3.54 | 4 | 2, 20, 26 | – | – | – | – | – | – | – | – | – | – | – | – |
| LH | – | – | – | – | – | – | – | – | 0.001 * | 3.39 | 17 | −2, 36, 30 | 0.000 | 3.54 | 8 | −6, 44, 2 |
| Insula | ||||||||||||||||
| RH | 0.001 * | 3.18 | 13 | 38, 24, 6 | – | – | – | – | 0.000 * | 4.56 | 23 | 38, 28, 6 | – | – | – | – |
| LH | 0.001 * | 3.16 | 8 | −30, 16, 2 | – | – | – | – | 0.000 * | 5.49 | 48 | −46, 8, −2 | – | – | – | – |
| Fusiform gyrus | ||||||||||||||||
| RH | 0.000 * | 4.47 | 7 | 42, −64, −18 | – | – | – | – | 0.000 * | 3.76 | 7 | 38, −36, −14 | – | – | – | – |
| LH | 0.000 * | 4.50 | 11 | −46, −52, −22 | – | – | – | – | 0.000 * | 3.41 | 3 | −38, −64, −18 | – | – | – | – |
| Precuneus | ||||||||||||||||
| RH | – | – | – | – | 0.000 * | 3.90 | 6 | 16, −56, 14 | 0.000 * | 4.21 | 18 | 18, −72, 42 | – | – | – | – |
| LH | 0.000 * | 3.59 | 3 | −10, −60, 46 | 0.000 * | 4.17 | 9 | −10, −60, 18 | – | – | – | – | 0.000 * | 3.90 | 21 | −2, −60, 14 |
Publisher’s Note: MDPI stays neutral with regard to jurisdictional claims in published maps and institutional affiliations. |
© 2021 by the authors. Licensee MDPI, Basel, Switzerland. This article is an open access article distributed under the terms and conditions of the Creative Commons Attribution (CC BY) license (https://creativecommons.org/licenses/by/4.0/).
Share and Cite
Álvarez-Pérez, Y.; Rivero, F.; Herrero, M.; Viña, C.; Fumero, A.; Betancort, M.; Peñate, W. Changes in Brain Activation through Cognitive-Behavioral Therapy with Exposure to Virtual Reality: A Neuroimaging Study of Specific Phobia. J. Clin. Med. 2021, 10, 3505. https://doi.org/10.3390/jcm10163505
Álvarez-Pérez Y, Rivero F, Herrero M, Viña C, Fumero A, Betancort M, Peñate W. Changes in Brain Activation through Cognitive-Behavioral Therapy with Exposure to Virtual Reality: A Neuroimaging Study of Specific Phobia. Journal of Clinical Medicine. 2021; 10(16):3505. https://doi.org/10.3390/jcm10163505
Chicago/Turabian StyleÁlvarez-Pérez, Yolanda, Francisco Rivero, Manuel Herrero, Conrado Viña, Ascensión Fumero, Moisés Betancort, and Wenceslao Peñate. 2021. "Changes in Brain Activation through Cognitive-Behavioral Therapy with Exposure to Virtual Reality: A Neuroimaging Study of Specific Phobia" Journal of Clinical Medicine 10, no. 16: 3505. https://doi.org/10.3390/jcm10163505
APA StyleÁlvarez-Pérez, Y., Rivero, F., Herrero, M., Viña, C., Fumero, A., Betancort, M., & Peñate, W. (2021). Changes in Brain Activation through Cognitive-Behavioral Therapy with Exposure to Virtual Reality: A Neuroimaging Study of Specific Phobia. Journal of Clinical Medicine, 10(16), 3505. https://doi.org/10.3390/jcm10163505

