Single-Dose Vaccination of Recombinant Chimeric Newcastle Disease Virus (NDV) LaSota Vaccine Strain Expressing Infectious Bursal Disease Virus (IBDV) VP2 Gene Provides Full Protection against Genotype VII NDV and IBDV Challenge
Abstract
1. Introduction
2. Materials and Methods
2.1. Cells, Viruses, and Ethics Statement
2.2. Plasmid Construction and Recovery of Recombinant Virus
2.3. Characterization of Recombinant Viruses
2.4. Immunization and Challenge Experiment
2.5. Hemagglutination Inhibition Assay (HI)
2.6. ELISA for Detecting Antibody against IBDV
2.7. SYBR Green I Quantitative Real-Time Polymerase Chain Reaction (RT-qPCR)
2.8. Statistical Analysis
3. Results
3.1. Generation and Characterization of Chimeric LaSota Expressing IBDV VP2
3.2. Immunogenicity and Protective Efficacy of Recombinant NDV
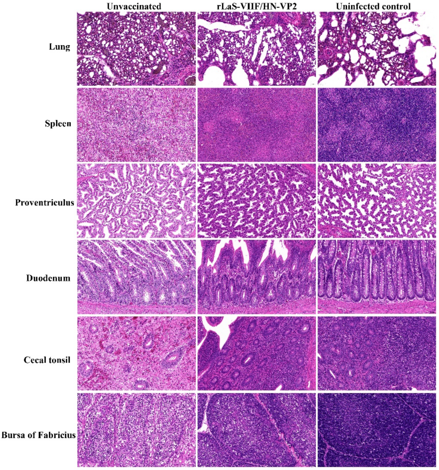
3.3. Single-Dose Live rLaS-VIIF/HN-VP2 Vaccination Reduced Clinical Signs of Disease, Gross and Histological Lesions, Viral Shedding and Viral Loads
4. Discussion
5. Conclusions
Author Contributions
Funding
Institutional Review Board Statement
Informed Consent Statement
Data Availability Statement
Acknowledgments
Conflicts of Interest
References
- Miller, P.J.; Koch, G. Diseases of Poultry, 13th ed.; Swayne, D.E., Ed.; John Wiley &Sons: Hoboken, NJ, USA, 2013; Chapter 3. [Google Scholar]
- Samal, S.K. (Ed.) Avian Virology Current Research and Future Trends; Caister Academic Press: Norfolk, UK, 2020; Chapters 2 and 7. [Google Scholar]
- Vijayarani, K.; Muthusamy, S.; Tirumurugaan, K.G.; Sakthivelan, S.M.; Kumanan, K. Pathotyping of a Newcastle disease virus isolated from peacock (Pavo cristatus). Trop. Anim. Heal. Prod. 2009, 42, 415–419. [Google Scholar] [CrossRef] [PubMed]
- Bello, M.B.; Yusoff, K.; Ideris, A.; Hair-Bejo, M.; Peeters, B.P.H.; Omar, A.R. Diagnostic and Vaccination Approaches for Newcastle Disease Virus in Poultry: The Current and Emerging Perspectives. BioMed Res. Int. 2018, 2018, 7278459. [Google Scholar] [CrossRef]
- Snoeck, C.J.; Owoade, A.A.; Couacy-Hymann, E.; Alkali, B.R.; Okwen, M.P.; Adeyanju, A.T.; Komoyo, G.F.; Nakouné, E.; Le Faou, A.; Muller, C.P. High Genetic Diversity of Newcastle Disease Virus in Poultry in West and Central Africa: Cocirculation of genotype xiv and newly defined genotypes XVII and XVIII. J. Clin. Microbiol. 2013, 7, 2250–2260. [Google Scholar] [CrossRef] [PubMed]
- Bello, M.B.; Yusoff, K.M.; Ideris, A.; Hair-Bejo, M.; Peeters, B.P.H.; Jibril, A.H.; Tambuwal, F.M.; Omar, A.R. Genotype Diversity of Newcastle Disease Virus in Nigeria: Disease Control Challenges and Future Outlook. Adv. Virol. 2018, 2018, 1–17. [Google Scholar] [CrossRef]
- Berhanu, A.; Ideris, A.; Omar, A.R.; Bejo, M.H. Molecular characterization of partial fusion gene and C-terminus extension length of haemagglutinin-neuraminidase gene of recently isolated Newcastle disease virus isolates in Malaysia. Virol. J. 2010, 7, 183. [Google Scholar] [CrossRef]
- Bogoyavlenskiy, A.; Berezin, V.; Prilipov, A.; Usachev, E.; Lyapina, O.; Korotetskiy, I.; Zaitceva, I.; Asanova, S.; Kydyrmanov, A.; Daulbaeva, K.; et al. Newcastle disease outbreaks in Kazakhstan and Kyrgyzstan during 1998, 2000, 2001, 2003, 2004, and 2005 were caused by viruses of the genotypes VIIb and VIId. Virus Genes 2009, 39, 94–101. [Google Scholar] [CrossRef]
- Herczeg, J.; Wehmann, E.; Bragg, R.; Dias, P.M.T.; Hadjiev, G.; Werner, O.; Lomniczi, B. Two novel genetic groups (VIIb and VIII) responsible for recent Newcastle disease outbreaks in Southern Africa, one (VIIb) of which reached Southern Europe. Arch. Virol. 1999, 144, 2087–2099. [Google Scholar] [CrossRef]
- Rui, Z.; Juan, P.; Jingliang, S.; Jixun, Z.; Xiaoting, W.; Shouping, Z.; Xiaojiao, L.; Guozhong, Z. Phylogenetic characterization of Newcastle disease virus isolated in the mainland of China during 2001–2009. Veter. Microbiol. 2010, 141, 246–257. [Google Scholar] [CrossRef] [PubMed]
- Roohani, K.; Tan, S.W.; Yeap, S.K.; Ideris, A.; Bejo, M.H.; Omar, A.R. Characterisation of genotype VII Newcastle disease virus (NDV) isolated from NDV vaccinated chickens, and the efficacy of LaSota and recombinant genotype VII vaccines against challenge with velogenic NDV. J. Veter. Sci. 2015, 4, 447–457. [Google Scholar] [CrossRef] [PubMed]
- Bello, M.B.; Mahamud, S.N.A.; Yusoff, K.; Ideris, A.; Hair-Bejo, M.; Peeters, B.P.H.; Omar, A.R. Development of an Effective and Stable Genotype-Matched Live Attenuated Newcastle Disease Virus Vaccine Based on a Novel Naturally Recombinant Malaysian Isolate Using Reverse Genetics. Vaccines 2020, 2, 270. [Google Scholar] [CrossRef] [PubMed]
- Wang, N.; Huang, M.; Fung, T.S.; Luo, Q.; Ye, J.X.; Du, Q.R.; Wen, L.H.; Liu, D.X.; Chen, R.A. Rapid Development of an Effective Newcastle Disease Virus Vaccine Candidate by Attenuation of a Genotype VII Velogenic Isolate Using a Simple Infectious Cloning System. Front. Veter. Sci. 2020, 7, 648. [Google Scholar] [CrossRef] [PubMed]
- Xu, X.; Li, J.; Ding, J.; Yang, M.; Xue, C.; Wang, J.; Cong, Y.; Yin, R.; Qian, J.; Jin, N.; et al. Evaluation of the safety and protection efficacy of an attenuated genotype vii newcastle disease virus strain as a candidate vaccine. Microb. Pathog. 2019, 139, 103831. [Google Scholar] [CrossRef] [PubMed]
- Cho, S.H.; Kwon, H.J.; Kim, T.E.; Kim, J.H.; Yoo, H.S.; Park, M.H.; Park, Y.-H.; Kim, S.-J. Characterization of a recombinant newcastle disease virus vaccine strain. Clin. Vaccine Immunol. 2008, 15, 1572–1579. [Google Scholar] [CrossRef]
- Bu, Y.W.; Yang, H.M.; Jin, J.H.; Zhao, J.; Xue, J.; Zhang, G.Z. Recombinant Newcastle disease virus (NDV) La Sota expressing the haemagglutinin–neuraminidase protein of genotype VII NDV shows improved protection efficacy against NDV challenge. Avian Pathol. 2019, 2, 91–97. [Google Scholar] [CrossRef]
- Kim, S.H.; Wanasen, N.; Paldurai, A.; Xiao, S.; Collins, P.L.; Samal, S.K. Newcastle disease virus fusion protein is the major contributor to protective immunity of genotype-matched vaccine. PLoS ONE 2013, 8, e74022. [Google Scholar] [CrossRef] [PubMed]
- Mahgoub, H.A.; Bailey, M.; Kaiser, P. An overview of infectious bursal disease. Arch. Virol. 2012, 11, 2059. [Google Scholar] [CrossRef][Green Version]
- Sharma, J.; Kim, I.J.; Rautenschlein, S.; Yeh, H.Y. Infectious bursal disease virus of chickens: Pathogenesis and immunosuppression. Dev. Comp. Immunol. 2000, 2, 223–235. [Google Scholar] [CrossRef]
- Guo, X.; Sun, W.; Wei, L.; Wang, X.; Zou, Y.; Zhang, Y.; Li, S.; Wang, N.; Jiang, M.; Zhao, H.; et al. Development and evaluation of a recombinant VP2 neutralizing epitope antigen vaccine candidate for infectious bursal disease virus. Transbound. Emerg. Dis. 2021, 6, 3658–3675. [Google Scholar] [CrossRef]
- Thai, T.N.; Jang, I.; Kim, H.A.; Kim, H.S.; Kwon, Y.K.; Kim, H.R. Characterization of antigenic variant infectious bursal disease virus strains identified in South Korea. Avian Pathol. 2021, 2, 174–181. [Google Scholar] [CrossRef]
- Wang, W.; Huang, Y.; Zhang, Y.; Qiao, Y.; Deng, Q.; Chen, R.; Chen, J.; Huang, T.; Wei, T.; Mo, M.; et al. The emerging naturally reassortant strain of IBDV (genotype A2dB3) having segment A from Chinese novel variant strain and segment B from HLJ 0504-like very virulent strain showed enhanced pathogenicity to three-yellow chickens. Transbound. Emerg. Dis. 2021, 28. Epub ahead of print. [Google Scholar] [CrossRef]
- Kurukulsuriya, S.; Ahmed, K.A.; Ojkic, D.; Gunawardana, T.; Gupta, A.; Goonewardene, K.; Karunaratne, R.; Popowich, S.; Willson, P.; Tikoo, S.K.; et al. Circulating strains of variant infectious bursal disease virus may pose a challenge for antibiotic-free chicken farming in Canada. Res. Veter. Sci. 2016, 108, 54–59. [Google Scholar] [CrossRef]
- Fan, L.; Wu, T.; Wang, Y.; Hussain, A.; Jiang, N.; Gao, L.; Li, K.; Gao, Y.; Liu, C.; Cui, H.; et al. Novel variants of infectious bursal disease virus can severely damage the bursa of Fabricius of immunized chickens. Vet. Microbiol. 2020, 240, 108507. [Google Scholar] [CrossRef] [PubMed]
- Stoute, S.T.; Jackwood, D.J.; Crossley, B.M.; Michel, L.O.; Blakey, J.R. Molecular epidemiology of endemic and very virulent infectious bursal disease virus genogroups in backyard chickens in California, 2009–2017. J. Veter. Diagn. Investig. 2019, 31, 371–377. [Google Scholar] [CrossRef] [PubMed]
- Fan, L.; Wang, Y.; Jiang, N.; Chen, M.; Gao, L.; Li, K.; Gao, Y.; Cui, H.; Pan, Q.; Liu, C.; et al. Novel variant infectious bursal disease virus suppresses Newcastle disease vaccination in broiler and layer chickens. Poult. Sci. 2020, 12, 6542–6548. [Google Scholar] [CrossRef]
- Dey, S.; Chellappa, M.M.; Pathak, D.C.; Gaikwad, S.; Yadav, K.; Ramakrishnan, S.; Vakharia, V.N. Newcastle Disease Virus Vectored Bivalent Vaccine against Virulent Infectious Bursal Disease and Newcastle Disease of Chickens. Vaccines 2017, 4, 31. [Google Scholar] [CrossRef] [PubMed]
- Ge, J.; Wang, X.; Tian, M.; Wen, Z.; Feng, Q.; Qi, X.; Gao, H.; Wang, X.; Bu, Z. Novel in-ovo chimeric recombinant Newcastle disease vaccine protects against both Newcastle disease and infectious bursal disease. Vaccine 2014, 13, 1514–1521. [Google Scholar] [CrossRef]
- Huang, Z.; Elankumaran, S.; Yunus, A.S.; Samal, S.K. A recombinant Newcastle disease virus (NDV) expressing vp2 protein of infectious bursal disease virus (IBDV) protects against NDV and IBDV. J. Virol. 2004, 18, 10054–10063. [Google Scholar] [CrossRef]
- Wang, J.; Cong, Y.; Yin, R.; Feng, N.; Yang, S.; Xia, X.; Xiao, Y.; Wang, W.; Liu, X.; Hu, S.; et al. Generation and evaluation of a recombinant genotype VII Newcastle disease virus expressing VP3 protein of Goose parvovirus as a bivalent vaccine in goslings. Virus Res. 2015, 203, 77–83. [Google Scholar] [CrossRef]
- Saikia, D.P.; Yadav, K.; Pathak, D.C.; Ramamurthy, N.; D’Silva, A.L.; Marriappan, A.K.; Ramakrishnan, S.; Vakharia, V.N.; Chellappa, M.M.; Dey, S. Recombinant Newcastle Disease Virus (NDV) Expressing Sigma C Protein of Avian Reovirus (ARV) Protects against Both ARV and NDV in Chickens. Pathogens 2019, 3, 145. [Google Scholar] [CrossRef]
- Tan, L.; Wen, G.; Yuan, Y.; Huang, M.; Sun, Y.; Liao, Y.; Song, C.; Liu, W.; Shi, Y.; Shao, H.; et al. Development of a Recombinant Thermostable Newcastle Disease Virus (NDV) Vaccine Express Infectious Bronchitis Virus (IBV) Multiple Epitopes for Protecting against IBV and NDV Challenges. Vaccines 2020, 8, 564. [Google Scholar] [CrossRef]
- Sun, M.; Dong, J.; Li, L.; Lin, Q.; Sun, J.; Liu, Z.; Shen, H.; Zhang, J.; Ren, T.; Zhang, C. Recombinant Newcastle disease virus (NDV) expressing Duck Tembusu virus (DTMUV) pre-membrane and envelope proteins protects ducks against DTMUV and NDV challenge. Veter. Microbiol. 2018, 218, 60–69. [Google Scholar] [CrossRef]
- Sun, W.; McCroskery, S.; Liu, W.-C.; Leist, S.; Liu, Y.; Albrecht, R.A.; Slamanig, S.; Oliva, J.; Amanat, F.; Schäfer, A.; et al. A Newcastle Disease Virus (NDV) Expressing a Membrane-Anchored Spike as a Cost-Effective Inactivated SARS-CoV-2 Vaccine. Vaccines 2020, 4, 771. [Google Scholar] [CrossRef]
- Peeters, B.P.; de Leeuw, O.S.; Koch, G.; Gielkens, A.L. Rescue of Newcastle disease virus from cloned cDNA: Evidence that cleavability of the fusion protein is a major determinant for virulence. J. Virol. 1999, 6, 5001–5009. [Google Scholar] [CrossRef]
- Alexander, D.J. Newcastle disease and other avian paramyxoviruses. Rev. Sci. Tech. 2000, 2, 443–462. [Google Scholar] [CrossRef]
- Tian, K.Y.; Guo, H.F.; Li, N.; Zhang, Y.H.; Wang, Z.; Wang, B.; Yang, X.; Li, Y.-T.; Zhao, J. Protection of chickens against hepatitis-hydropericardium syndrome and Newcastle disease with a recombinant Newcastle disease virus vaccine expressing the fowl adenovirus serotype 4 fiber-2 protein. Vaccine 2020, 8, 1989–1997. [Google Scholar] [CrossRef]
- Office International des Epizooties. Infection with Newcastle Disease Virus; Terres Anim Health Code 10:1; Office International des Epizooties: Paris, France, 2017. [Google Scholar]
- Kim, S.H.; Samal, S.K. Newcastle Disease Virus as a Vaccine Vector for Development of Human and Veterinary Vaccines. Viruses 2016, 7, 183. [Google Scholar] [CrossRef] [PubMed]
- Cornax, I.; Miller, P.J.; Afonso, C.L. Characterization of live lasota vaccine strain–induced protection in chickens upon early challenge with a virulent newcastle disease virus of heterologous genotype. Avian Dis. 2012, 56, 464–470. [Google Scholar] [CrossRef] [PubMed]
- Müller, H.; Mundt, E.; Eterradossi, N.; Islam, M.R. Current status of vaccines against infectious bursal disease. Avian Pathol. 2012, 41, 133–139. [Google Scholar] [CrossRef] [PubMed]
- Liang, R.; Cao, D.J.; Li, J.Q.; Chen, J.; Guo, X.; Zhuang, F.F.; Duan, M. Newcastle disease outbreaks in western China were caused by the genotypes VIIa and VIII. Veter. Microbiol. 2002, 3, 193–203. [Google Scholar] [CrossRef]
- Li, G.; Kuang, H.; Guo, H.; Cai, L.; Chu, D.; Wang, X.; Hu, J.; Rong, J. Development of a recombinant VP2 vaccine for the prevention of novel variant strains of infectious bursal disease virus. Avian Pathol. 2020, 49, 557–571. [Google Scholar] [CrossRef] [PubMed]
- Dortmans, J.C.; Rottier, P.J.; Koch, G.; Peeters, B.P. The viral replication complex is associated with the virulence of newcastle disease virus. J. Virol. 2010, 84, 10113–10120. [Google Scholar] [CrossRef] [PubMed]
- Paldurai, A.; Kim, S.H.; Nayak, B.; Xiao, S.; Shive, H.; Collins, P.L.; Samal, S.K. Evaluation of the contributions of individual viral genes to newcastle disease virus virulence and pathogenesis. J. Virol. 2014, 88, 8579–8596. [Google Scholar] [CrossRef] [PubMed]
- Yu, X.H.; Cheng, J.L.; Xue, J.; Jin, J.H.; Song, Y.; Zhao, J.; Zhang, G.Z. Roles of the polymerase-associated protein genes in newcastle disease virus virulence. Front. Microbiol. 2017, 8, 161. [Google Scholar] [CrossRef] [PubMed][Green Version]









| Group | Challenge Virus | Survival Rate a | Days Post Challenge b | |||||||||||||
|---|---|---|---|---|---|---|---|---|---|---|---|---|---|---|---|---|
| 1 | 2 | 3 | 4 | 5 | 6 | 7 | ||||||||||
| OP | Cloacal | OP | Cloacal | OP | Cloacal | OP | Cloacal | OP | Cloacal | OP | Cloacal | OP | Cloacal | |||
| rLaS-VIIF/HN-VP2 | NDV | 10/10 | 1/10 | 0/10 | 1/10 | 2/10 | 0/10 | 0/10 | 0/10 | 0/10 | 0/10 | 0/10 | 0/10 | 0/10 | 0/10 | 0/10 |
| IBDV | 10/10 | 0/10 | 3/10 | 0/10 | 0/10 | 0/10 | 0/10 | 0/10 | ||||||||
| Unvaccinated | NDV | 0/10 | 4/10 | 0/10 | 8/10 | 6/10 | 10/10 | 10/10 | 8/8 | 8/8 | NS | NS | NS | NS | NS | NS |
| IBDV | 2/10 | 0/10 | 10/10 | 10/10 | 10/10 | 6/7 | 0/2 | 0/2 | 0/2 | |||||||
Publisher’s Note: MDPI stays neutral with regard to jurisdictional claims in published maps and institutional affiliations. |
© 2021 by the authors. Licensee MDPI, Basel, Switzerland. This article is an open access article distributed under the terms and conditions of the Creative Commons Attribution (CC BY) license (https://creativecommons.org/licenses/by/4.0/).
Share and Cite
Qiao, Q.; Song, M.; Song, C.; Zhang, Y.; Wang, X.; Huang, Q.; Wang, B.; Yang, P.; Zhao, S.; Li, Y.; et al. Single-Dose Vaccination of Recombinant Chimeric Newcastle Disease Virus (NDV) LaSota Vaccine Strain Expressing Infectious Bursal Disease Virus (IBDV) VP2 Gene Provides Full Protection against Genotype VII NDV and IBDV Challenge. Vaccines 2021, 9, 1483. https://doi.org/10.3390/vaccines9121483
Qiao Q, Song M, Song C, Zhang Y, Wang X, Huang Q, Wang B, Yang P, Zhao S, Li Y, et al. Single-Dose Vaccination of Recombinant Chimeric Newcastle Disease Virus (NDV) LaSota Vaccine Strain Expressing Infectious Bursal Disease Virus (IBDV) VP2 Gene Provides Full Protection against Genotype VII NDV and IBDV Challenge. Vaccines. 2021; 9(12):1483. https://doi.org/10.3390/vaccines9121483
Chicago/Turabian StyleQiao, Qilong, Mingzhen Song, Congcong Song, Yihang Zhang, Xiangdong Wang, Qing Huang, Baiyu Wang, Panpan Yang, Shiyi Zhao, Yongtao Li, and et al. 2021. "Single-Dose Vaccination of Recombinant Chimeric Newcastle Disease Virus (NDV) LaSota Vaccine Strain Expressing Infectious Bursal Disease Virus (IBDV) VP2 Gene Provides Full Protection against Genotype VII NDV and IBDV Challenge" Vaccines 9, no. 12: 1483. https://doi.org/10.3390/vaccines9121483
APA StyleQiao, Q., Song, M., Song, C., Zhang, Y., Wang, X., Huang, Q., Wang, B., Yang, P., Zhao, S., Li, Y., Wang, Z., & Zhao, J. (2021). Single-Dose Vaccination of Recombinant Chimeric Newcastle Disease Virus (NDV) LaSota Vaccine Strain Expressing Infectious Bursal Disease Virus (IBDV) VP2 Gene Provides Full Protection against Genotype VII NDV and IBDV Challenge. Vaccines, 9(12), 1483. https://doi.org/10.3390/vaccines9121483

