New Onset of Giant Cell Arteritis following ChAdOx1-S (Vaxevria®) Vaccine Administration
Abstract
:1. Introduction
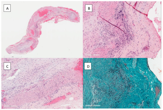
2. Case Report
3. Discussion
4. Conclusions
Author Contributions
Funding
Informed Consent Statement
Data Availability Statement
Conflicts of Interest
References
- Connolly, C.M.; Ruddy, J.A.; Boyarsky, B.J.; Barbur, I.; Werbel, W.A.; Geetha, D.; Garonzik-Wang, J.M.; Segev, D.L.; Christopher-Stine, L.; Paik, J.J. Disease Flare and Reactogenicity in Patients With Rheumatic and Musculoskeletal Diseases Following Two-Dose SARS–CoV-2 Messenger RNA Vaccination. Arthritis Rheumatol. 2021, 74, 28–32. [Google Scholar] [CrossRef] [PubMed]
- Mücke, V.T.; Knop, V.; Mücke, M.M.; Ochsendorf, F.; Zeuzem, S. First description of immune complex vasculitis after COVID-19 vaccination with BNT162b2: A case report. BMC Infect. Dis. 2021, 21, 1–6. [Google Scholar] [CrossRef] [PubMed]
- McMahon, D.E.; Amerson, E.; Rosenbach, M.; Lipoff, J.B.; Moustafa, D.; Tyagi, A.; Desai, S.R.; French, L.E.; Lim, H.W.; Thiers, B.H.; et al. Cutaneous reactions reported after Moderna and Pfizer COVID-19 vaccination: A registry-based study of 414 cases. J. Am. Acad. Dermatol. 2021, 85, 46–55. [Google Scholar] [CrossRef] [PubMed]
- Carmona, F.D.; Martín, J.; González-Gay, M.A. New insights into the pathogenesis of giant cell arteritis and hopes for the clinic. Expert Rev. Clin. Immunol. 2015, 12, 57–66. [Google Scholar] [CrossRef] [PubMed]
- Geisen, U.M.; Berner, D.K.; Tran, F.; Sümbül, M.; Vullriede, L.; Ciripoi, M.; Reid, H.M.; Schaffarzyk, A.; Longardt, A.C.; Franzenburg, J.; et al. Immunogenicity and safety of anti-SARS-CoV-2 mRNA vaccines in patients with chronic inflammatory conditions and immunosuppressive therapy in a monocentric cohort. Ann. Rheum Dis. 2021, 80, 1306–1311. [Google Scholar] [CrossRef]
- Liozon, E.; Parreau, S.; Filloux, M.; Dumonteil, S.; Gondran, G.; Bezanahary, H.; Ly, K.; Fauchais, A.L. Giant cell arteritis or polymyalgia rheumatica after influenza vaccination: A study of 12 patients and a literature review. Autoimmun. Rev. 2020, 20, 102732. [Google Scholar] [CrossRef]
- Mejren, A.; Sørensen, C.; Gormsen, L.; Tougaard, R.; Nielsen, B. Large-vessel giant cell arteritis after COVID-19 vaccine. Scand. J. Rheumatol. 2021, 51, 154–155. [Google Scholar] [CrossRef]
- Anzola, A.M.; Trives, L.; Martínez-Barrio, J.; Pinilla, B.; Álvaro-Gracia, J.M.; Molina-Collada, J. New-onset giant cell arteritis following COVID-19 mRNA (BioNTech/Pfizer) vaccine: A double-edged sword? Clin. Rheumatol. 2022, 41, 1623–1625. [Google Scholar] [CrossRef]
- Maronese, C.A.; Zelin, E.; Avallone, G.; Moltrasio, C.; Romagnuolo, M.; Ribero, S.; Quaglino, P.; Marzano, A.V. Cutaneous vasculitis and vasculopathy in the era of COVID-19 pandemic. Front. Med. 2022, 9, 996288. [Google Scholar] [CrossRef]
- Ursini, F.; Ruscitti, P.; Raimondo, V.; De Angelis, R.; Cacciapaglia, F.; Pigatto, E.; Olivo, D.; Di Cola, I.; Galluccio, F.; Francioso, F.; et al. Spectrum of short-term inflammatory musculoskeletal manifestations after COVID-19 vaccine administration: A report of 66 cases. Ann. Rheum. Dis. 2021, 81, 440–441. [Google Scholar] [CrossRef]
- Afshar, Z.M.; Pirzaman, A.T.; Liang, J.J.; Sharma, A.; Pirzadeh, M.; Babazadeh, A.; Hashemi, E.; Deravi, N.; Abdi, S.; Allahgholipour, A.; et al. Do we miss rare adverse events induced by COVID-19 vaccination? Front. Med. 2022, 9, 933914. [Google Scholar] [CrossRef]
- Obeid, M.; Fenwick, C.; Pantaleo, G. Reactivation of IgA vasculitis after COVID-19 vaccination. Lancet Rheumatol. 2021, 3, e617. [Google Scholar] [CrossRef] [PubMed]
- Negrea, L.; Rovin, B.H. Gross hematuria following vaccination for severe acute respiratory syndrome coronavirus 2 in 2 patients with IgA nephropathy. Kidney Int. 2021, 99, 1487. [Google Scholar] [CrossRef]
- Rahim, S.E.G.; Lin, J.T.; Wang, J.C. A case of gross hematuria and IgA nephropathy flare-up following SARS-CoV-2 vaccination. Kidney Int. 2021, 100, 238. [Google Scholar] [CrossRef]
- Sirufo, M.M.; Raggiunti, M.; Magnanimi, L.M.; Ginaldi, L.; De Martinis, M. Henoch-Schönlein Purpura Following the First Dose of COVID-19 Viral Vector Vaccine: A Case Report. Vaccines 2021, 9, 1078. [Google Scholar] [CrossRef] [PubMed]
- Sollini, M.; Ciccarelli, M.; Cecconi, M.; Aghemo, A.; Morelli, P.; Gelardi, F.; Chiti, A. Vasculitis changes in COVID-19 survivors with persistent symptoms: An [18F]FDG-PET/CT study. Eur. J. Nucl. Med. 2020, 48, 1460–1466. [Google Scholar] [CrossRef] [PubMed]
- Nasiri, S.; Dadkhahfar, S.; Abasifar, H.; Mortazavi, N.; Gheisari, M. Urticarial vasculitis in a COVID-19 recovered patient. Int. J. Dermatol. 2020, 59, 1285–1286. [Google Scholar] [CrossRef]
- Dash, S.; Behera, B.; Sethy, M.; Mishra, J.; Garg, S. COVID -19 vaccine-induced urticarial vasculitis. Dermatol. Ther. 2021, 34, e15093. [Google Scholar] [CrossRef] [PubMed]
- Frumholtz, L.; Laurent-Roussel, S.; Lipsker, D.; Terrier, B. Cutaneous Vasculitis: Review on Diagnosis and Clinicopathologic Correlations. Clin. Rev. Allergy Immunol. 2020, 61, 181–193. [Google Scholar] [CrossRef]
- Uh, J.A.; Lee, S.K.; Kim, J.H.; Lee, J.H.; Kim, M.S.; Lee, U.H. Cutaneous Small-vessel Vasculitis after ChAdOx1 COVID-19 Vaccination: A Report of Five Cases. Int. J. Low. Extremity Wounds 2022, 21, 193–196. [Google Scholar] [CrossRef]
- Terracina, K.A.; Tan, F.K. Flare of rheumatoid arthritis after COVID-19 vaccination. Lancet Rheumatol. 2021, 3, e469–e470. [Google Scholar] [CrossRef] [PubMed]
- Ray, P.; Black, S.; Shinefield, H.; Dillon, A.; Carpenter, D.; Lewis, E.; Ross, P.; Chen, R.T.; Klein, N.P.; Baxter, R. Risk of rheumatoid arthritis following vaccination with tetanus, influenza and hepatitis B vaccines among persons 15–59 years of age. Vaccine 2011, 29, 6592–6597. [Google Scholar] [CrossRef] [PubMed]
- Perrot, L.; Hemon, M.; Busnel, J.-M.; Muis-Pistor, O.; Picard, C.; Zandotti, C.; Pham, T.; Roudier, J.; Desplat-Jego, S.; Balandraud, N. First flare of ACPA-positive rheumatoid arthritis after SARS-CoV-2 infection. Lancet Rheumatol. 2021, 3, e6–e8. [Google Scholar] [CrossRef] [PubMed]
- Gillion, V.; Jadoul, M.; Demoulin, N.; Aydin, S.; Devresse, A. Granulomatous vasculitis after the AstraZeneca anti–SARS-CoV-2 vaccine. Kidney Int. 2021, 100, 706–707. [Google Scholar] [CrossRef] [PubMed]
- Patel, C.; Shah, H.H. Vaccine-associated kidney diseases: A narrative review of the literature. Saudi J. Kidney Dis. Transpl. 2019, 30, 1002–1009. [Google Scholar] [CrossRef]
- Mettler, C.; Jonville-Bera, A.-P.; Grandvuillemin, A.; Treluyer, J.-M.; Terrier, B.; Chouchana, L. Risk of giant cell arteritis and polymyalgia rheumatica following COVID-19 vaccination: A global pharmacovigilance study. Rheumatology 2021, 61, 865–867. [Google Scholar] [CrossRef]




Disclaimer/Publisher’s Note: The statements, opinions and data contained in all publications are solely those of the individual author(s) and contributor(s) and not of MDPI and/or the editor(s). MDPI and/or the editor(s) disclaim responsibility for any injury to people or property resulting from any ideas, methods, instructions or products referred to in the content. |
© 2023 by the authors. Licensee MDPI, Basel, Switzerland. This article is an open access article distributed under the terms and conditions of the Creative Commons Attribution (CC BY) license (https://creativecommons.org/licenses/by/4.0/).
Share and Cite
Lo Sardo, L.; Parisi, S.; Ditto, M.C.; De Giovanni, R.; Maletta, F.; Grimaldi, S.; Brussino, L.; Fusaro, E. New Onset of Giant Cell Arteritis following ChAdOx1-S (Vaxevria®) Vaccine Administration. Vaccines 2023, 11, 434. https://doi.org/10.3390/vaccines11020434
Lo Sardo L, Parisi S, Ditto MC, De Giovanni R, Maletta F, Grimaldi S, Brussino L, Fusaro E. New Onset of Giant Cell Arteritis following ChAdOx1-S (Vaxevria®) Vaccine Administration. Vaccines. 2023; 11(2):434. https://doi.org/10.3390/vaccines11020434
Chicago/Turabian StyleLo Sardo, Luca, Simone Parisi, Maria Chiara Ditto, Rosanna De Giovanni, Francesca Maletta, Serena Grimaldi, Luisa Brussino, and Enrico Fusaro. 2023. "New Onset of Giant Cell Arteritis following ChAdOx1-S (Vaxevria®) Vaccine Administration" Vaccines 11, no. 2: 434. https://doi.org/10.3390/vaccines11020434
APA StyleLo Sardo, L., Parisi, S., Ditto, M. C., De Giovanni, R., Maletta, F., Grimaldi, S., Brussino, L., & Fusaro, E. (2023). New Onset of Giant Cell Arteritis following ChAdOx1-S (Vaxevria®) Vaccine Administration. Vaccines, 11(2), 434. https://doi.org/10.3390/vaccines11020434

