Abstract
The manufacture and downstream processing of virus-like particles (VLPs) using the baculovirus expression vector system (BEVS) is complicated by the presence of large concentrations of baculovirus particles, which are similar in size and density to VLPs, and consequently are difficult to separate. To reduce the burden of downstream processing, CRISPR-Cas9 technology was used to introduce insertion-deletion (indel) mutations within the Autographa californica multiple nucleopolyhedrovirus (AcMNPV) gp64 open reading frame, which encodes the major envelope protein of AcMNPV. After comfirming the site-specific targeting of gp64 leading to reduced budded virus (BV) release, the gag gene of human immunodeficiency virus type 1 was expressed to produce Gag VLPs. This approach was effective for producing VLPs using the BEVS whilst simultaneously obstructing BV release.
1. Introduction
Virus-like particles (VLPs) are an emerging class of biotherapeutic modality for delivery of therapeutic cargo such as chemotherapy, protein, and nucleic acid-based drugs, and as antigens for vaccination [1,2]. VLPs are highly ordered structures that typically self-assemble from a single or multiple viral structural proteins to mimic the three-dimensional structure of the natural virus from which the structural proteins are derived. Additionally, VLPs may be enveloped or nonenveloped, and are replication/infection incompetent, as they lack the genetic material of the natural virus. Finally, the particulate structure of VLPs favours uptake by antigen presenting cells and can stimulate robust B cell and T cell-mediated adaptive and innate immune responses [2,3].
The Baculovirus Expression Vector System (BEVS) has many features that make it an attractive platform for VLP production, including ease of manipulation and large capacity for foreign gene insertion that allows simultaneous expression of multiple proteins from the same recombinant BEV (rBEV) [4]. As such, the BEVS is a preferred platform for production of VLPs, and a multitude of studies have reported successful production of VLPs that mimic many enveloped and nonenveloped viruses [4]. Further, several BEVS-produced VLPs have received regulatory approval for human or veterinary use, or are in various stages of clinical development [5,6]. Nevertheless, significant process shortcomings must be addressed to realize the full potential of the BEVS for VLP production; large amounts of progeny virus, proteins, and cell debris resulting from the lytic infection cycle contaminate the supernatant, requiring extensive purification steps to achieve pharmaceutical-grade purity for clinical applications. In addition, enveloped VLPs and baculovirus are often similar in size, density, and have the same constituent membrane proteins, further complicating downstream processing [5].
To reduce the burden of baculovirus contamination on downstream processing, strategies have been devised wherein a gene encoding a baculovirus structural protein required for viral genome packaging, nucleocapsid assembly, or release of budded viruses (BV) is deleted from its genome. To enable initial production of infectious virus seed stocks, a trans-complementing cell line, in which the deleted gene is constitutively expressed, is required. The mutant rBEV is then used to infect parental cells (ie., not expressing the essential gene) for production of the recombinant protein/therapeutic. This approach has been used with the AcMNPV vp80 and gp64 genes to produce enhanced green fluorescent protein (EGFP) and HIV-1 Gag VLPs, respectively [7,8]. Both VP80 and GP64 proteins have been shown to be essential to produce infectious budded virus. VP80 is a protein expressed late in the infection involved in the packaging of nucleocapsids and their egress from the nucleus toward the exterior of the cell [7], whereas GP64 is a structural protein that is required for host cell receptor binding and propagation of the budded virus from cell to cell [9]. Although these strategies were successful for reducing the contaminating baculovirus in the supernatant, initial propagation of the rBEV to generate the required viral seed stocks is impaired in both systems, and the overall yield of the recombinant protein from the knockout virus (KOV) may have similarly been affected [7,8].
Here, a recently developed approach for generating rBEV KOVs using CRISPR-Cas9 [10] was used to target the gp64 gene for disruption. After confirming that targeting the gp64 open reading frame (ORF) resulted in decreased GP64 abundance in infected cells, expression of the green fluorescent protein (GFP) reporter gene was assessed. Consistent with previous reports, disruption of gp64 reduced progeny virus release but did not affect expression of GFP. Next, production of HIV-1 Gag VLPs was demonstrated with this approach (targeting gp64 and vp80). The yield of Gag VLPs was similar for all rBEVs in Sf9-Cas9 cells and Sf9 cells, further indicating that CRISPR-mediated disruption of structural genes may be an effective strategy for reducing BV release while maintaining high expression of foreign genes.
2. Materials and Methods
2.1. Cells and Culture Conditions
Development of the Sf9-Cas9 cells was described previously [10]. Sf9 and Sf9-Cas9 cells were passaged as suspension cultures in Gibco SF900 III serum free medium (Fisher Scientific, Whitby, ON, Canada) in a non-humidified 27 incubator and shaken at 130 rpm on an orbital shaker. Puromycin (5 g/mL; Sigma-Aldrich, Oakville, ON, Canada) was routinely added to the Sf9-Cas9 culture for maintenance of expression of the cas9 gene.
2.2. Plasmid Construction
All plasmids used in this study were constructed using the NEBuilder HiFi DNA Assembly Master Mix (New England Biolabs, Whitby, ON, Canada) according to manufacturer’s directions. Primers used for construction of all plasmids were synthesized by Integrated DNA Technologies (IDT; Coralville, IA, USA) and are given in Table 1. The spacer sequences for the sgRNA are given in Table 2.
Table 1.
Primers used in this study.
Table 2.
Protospacer sequences for CRISPR targets.
The plasmid p6.9GFP-sgRNA, which encodes the p6.9GFP reporter cassette and SfU6-sgRNA for targeting Cas9, has been described previously [10]. Briefly, to construct the p6.9-GFP-encoding CRISPR transfer plasmids, first the coding region of the p10 gene, including upstream and downstream sequences to include its endogenous promoter and 3’ UTR, was amplified from AcMNPV genomic DNA and inserted into pACUW51. The p10 ORF was then replaced with the gfp gene, and the SfU6-sgRNA fragment was inserted downstream to derive p10GFP-sgRNA. Finally, the p6.9 promoter region was amplified from AcMNPV genomic DNA and inserted in place of the p10 promoter sequence in p10GFP-sgRNA to yield p6.9GFP-sgRNA. Inverse PCR was used to exchange the spacer sequence region on plasmid p6.9GFP-sgRNA with those specific to the gp64 or vp80 ORF [11]. To generate the transfer plasmids encoding the HIV-1 gag gene, the gfp ORF was replaced with the gag gene from the plasmid pAdCMV5-gagGFP [12] using PCR and NEBuilder HiFi DNA Assembly as described previously [10].
2.3. Recombinant Baculovirus Generation, Amplification, and Quantification
Transfer plasmids for rBEV generation were co-transfected with flashBACGOLD™ (Oxford Expression Technologies Ltd., Oxford UK) genomic DNA to Sf9 cells using Escort IV transfection reagent (Sigma-Aldrich) according to manufacturer’s directions. Supernatant from each transfection was harvested 4–5 days post transfection and used to infect suspension Sf9 cultures ( cells/mL) at low multiplicity of infection (MOI) for 3–4 days to amplify the rBEV to higher infectious viral titer (IVT). Following one more round of amplification, the rBEV IVT was quantified using end-point dilution assay (EPDA). Briefly, Sf9 cells were diluted to a density of cells/mL and 100 L was seeded to each well of a 96-well plate (Fisher Scientific). Separately, the rBEV was serially diluted ( to ) in fresh SF900 III medium and 10 L of each dilution was added, in 12 replicates, to the 96-well plate. Plates were incubated for 6–7 days at 27 , after which wells were scored according to visualization of green fluorescence using a fluorescence microscope. Results were converted from TCID50 as described previously [10] and reported as plaque forming units per mL (pfu/mL).
2.4. Infections
Sf9-Cas9 or Sf9 cells were infected with rBEVs at a density of 1.5–2 cells/mL at a MOI of 3 pfu/cell. Samples were harvested at the required times (hours post infection; hpi) wherein cells were centrifuged at 300 for 10 min and resuspended in 2% paraformaldehyde diluted in phosphate buffered saline (PBS) for 30 min prior to analysis by flow cytometry. The cell culture supernatant was kept at 4 and cell pellets for western blotting were frozen at .
2.5. Western Blot
Infected cells (1.5–2 cells/mL) were collected at 20–24 hpi by centrifugation at 500 for 10 min at 4 . The cells were lysed in RIPA buffer (Fisher Scientific), quantified by Pierce BCA assay (Fisher Scientific), and 10 g of protein was separated by electrophoresis in 10% TGX Stain-Free precast mini SDS-PAGE gels (Bio-Rad, Mississauga, ON, Canada) according to manufacturer’s directions. After transfer to low fluorescence PVDF membranes, Western blot analysis was performed with anti-GP64 (AcV5, Fisher Scientific) primary antibody and goat anti-mouse IgG HRP secondary (Bio-Rad) and imaged on a ChemiDoc MP Imager (Bio-Rad). The Image Lab software (Bio-Rad) was used for further image processing.
2.6. Immunofluorescence
Infected cells (1 × 10) were collected at 12–15 hpi or 48 hpi by centrifugation at 300 for 10 min at 4 . The cells were washed twice with cold PBS + 0.5% Bovine Serum Albumin (PBS-BSA) and incubated with anti-gp64 (AcV1, Fisher Scientific) conjugated to APC diluted in PBS-BSA (1:1000) for 30 min on ice. Cells were washed 3 times in PBS-BSA and resuspended finally in 200 L PBS for analysis by flow cytometry.
2.7. Flow Cytometry and Analysis
Fluorescent cells were acquired using a BD Accuri™ C6 Plus flow cytometer (BD Biosciences, San Jose, CA, USA) equipped with 488 nm and 640 nm lasers. Samples were run at the low flow setting and 10,000 events were collected and analyzed using FlowJo® V10 flow cytometry analysis software (FlowJo LLC, Ashland, OR, USA).
2.8. Quantification of Baculovirus Particles Using Flow Cytometry
Sample preparation for analysis via flow cytometry was described previously [13]. Briefly, samples were diluted in PBS and fixed with paraformaldehyde for 1 h, subjected to one freeze-thaw cycle, and incubated with Triton X-100 to permeabilize the membrane. The nucleic acid stain SYBR Green I was added and incubated at 80 for 10 min in the dark to stain double stranded DNA (dsDNA). After cooling on ice, the samples were analyzed via flow cytometry. Flow-Set Fluorospheres (Beckman Coulter, Mississauga, ON, Canada) were used for calibration and all samples were run in triplicate.
2.9. Quantification of Gag-VLPs with Enzyme-Linked Immunosorbent Assay (ELISA)
The supernatants of Sf9 and Sf9-Cas9 cells infected with Gag-expressing rBEVs were harvested by centrifugation at 1000 for 10 min and filter sterilized with a 0.2 m syringe filter. Gag-VLPs were quantified using the HIV-1 p24 ELISA Kit (Xpress Bio Life Science, Frederick, MD, USA) according to manufacturer’s directions. The absorbance was measured using a Synergy 4 hybrid microplate reader (BioTek, Winooski, VT, USA) at a wavelength of 450 nm. An HIV-1 p24 protein standard of known concentration was used to calculate the Gag concentration and estimate VLP yield.
3. Results
3.1. Targeting the gp64 ORF Is Site Specific
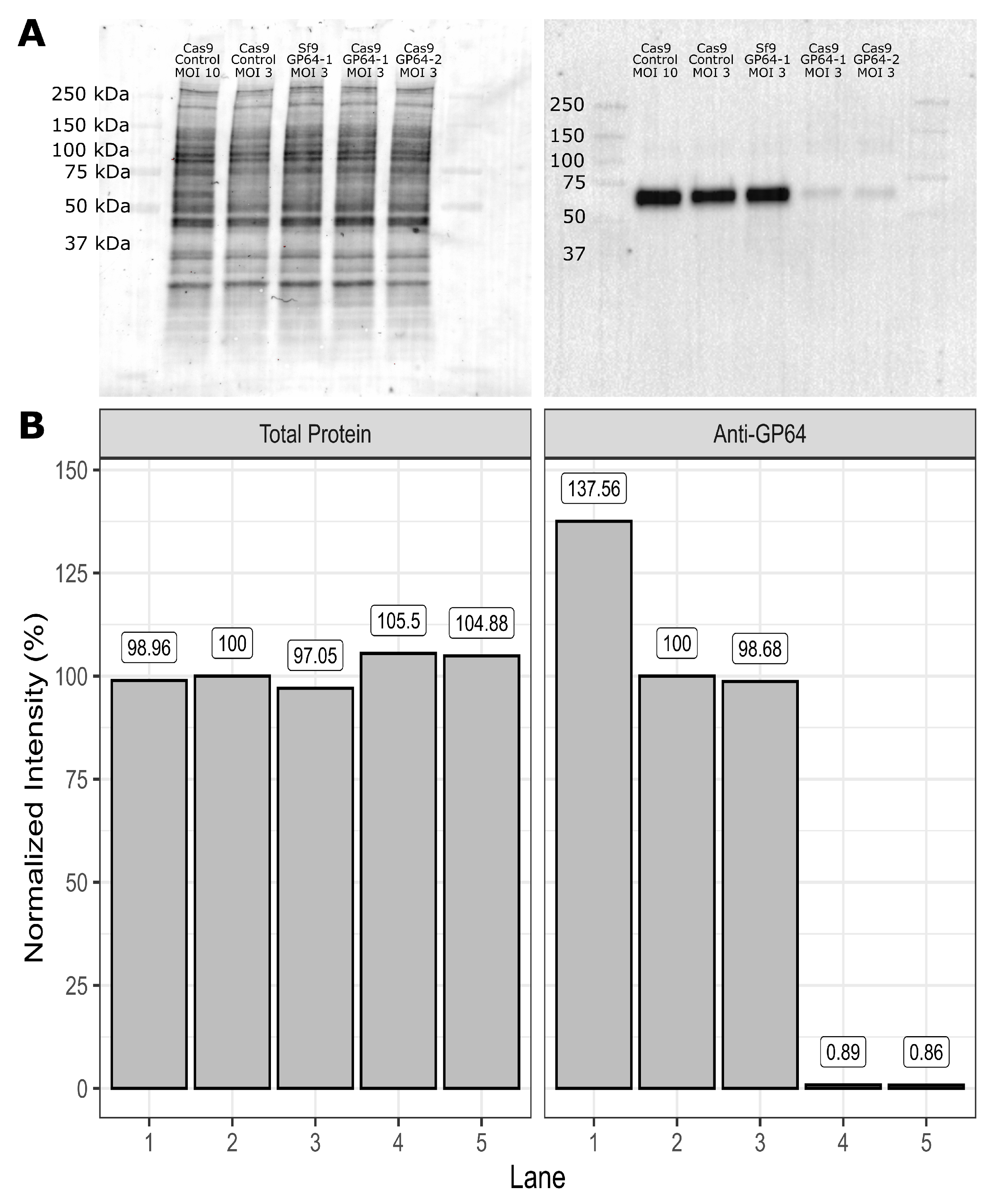
Initial experiments were conducted to confirm that sgRNAs designed to target the gp64 gene were target-specific and resulted in the disruption of progeny virus release. Accordingly, the abundance of GP64 protein was analyzed by western blot and immunofluorescence staining in the cell membrane. Analysis of cell lysates from infected cells revealed that GP64 present in Sf9-Cas9 cells infected with rBEVs targeting the gp64 ORF was reduced to 1% compared to Sf9-Cas9 cells infected with control rBEVs. Parental Sf9 cells infected with the GP64-1 rBEV, on the other hand, showed GP64 levels indistinguishable from the control (Figure 1). Detection of GP64 in the plasma membrane of infected cells similarly revealed reduced fluorescence consistent with lower GP64 abundance in Sf9-Cas9 cells but not parental Sf9 cells (Figure 2). Taken together, these data indicate the sgRNAs designed to target the gp64 ORF result in decreased abundance of GP64 protein.
Figure 1.
CRISPR-mediated disruption of gp64 is target specific. (A) Western blot of infected cell lysates with AcV5 anti-GP64 antibody. Left panel: total protein on PVDF membrane after transfer from SDS-PAGE gel. Right panel: PVDF membrane after probing with anti-GP64 AcV5 monoclonal antibody revealed intense bands corresponding to the 4 kDa GP64 protein in lanes 1–3, and very faint bands in lanes 4 and 5. (B) Semi-quantitative western blot analysis of GP64 abundance in infected cell lysates. Left panel: Normalized intensity of total protein in each lane of PVDF membrane from (A). Lane 2 was selected as the reference for total protein normalization. Right panel: Relative abundance of GP64 determined using total protein normalization. The columns 1–5 in (B) correspond to the labeled lanes in (A). All samples were taken at 48 hpi.
Figure 2.
CRISPR-mediated disruption of gp64 reduces GP64 abundance in the membrane of Sf9-Cas9 cells compared to parental Sf9 cells. Fluorescence intensity for control and gp64-targeted rBEVs expressing the reporter GFP (x-axis) and stained with APC-conjugated anti-GP64 AcV1 monoclonal antibody (y-axis) represented as a 2-dimensional boxplot. The width and height of the boxes represent the interquartile range (IQR) for the GFP and RFP distributions, respectively. The length of the whiskers are . Uninfected control: uninfected cells; Infected Control: Infected with non-fluorescent control rBEV; Control: Sf9-Cas9 cells infected with untargeted sgRNA; GP64-1/GP64-2: Sf9-Cas9 cells infected with gp64-targeted sgRNAs; GP64-1 (Sf9): parental Sf9 cells infected with GP64-1 rBEV. All samples were taken at 48 hpi.
3.2. Cas9-Mediated Disruption of gp64 Impacts Progeny Virus Production but Not Late Gene Expression
Sf9-Cas9 cells infected with rBEVs encoding a gfp reporter gene transcribed from the late p6.9 gene promoter and sgRNAs targeting the gp64 gene resulted in significant reduction of infectious viral titer (IVT) at 48 hpi compared to the untargeted control. Specifically, the mean IVT for control rBEVs in Sf9-Cas9 cells was pfu/mL whereas the IVT for the gp64 KOV was pfu/mL. Conversely, Sf9 cells infected with the same rBEVs yielded IVTs that were indistinguishable from each other ( pfu/mL and pfu/mL for control and gp64-targeting sgRNAs, respectively) and similar to the untargeted control rBEV in Sf9-Cas9 cells (Table 3). Analysis of cell culture supernatants at 8–12 hpi yielded IVT of 2.1–6.9 × 10 pfu/mL for all rBEVs in both cell lines, indicating virus uptake was similar for all rBEVs in Sf9-Cas9 and Sf9 cells (data not shown). Additionally, late gene expression appeared to be unaffected as there were small but insignificant differences in fluorescence intensity between control and gp64-disrupted rBEVs in both Sf9 and Sf9-Cas9 cells (Figure 3A,B). Finally, to confirm that this approach resulted in significant reduction of total particles in the supernatant as opposed to only IVT, analysis of cell culture supernatants by flow cytometry revealed that particle concentration was reduced 90% compared to the untargeted control rBEV in Sf9-Cas9 cells (Figure 3C). This evidence suggests that CRISPR-mediated disruption of the gp64 gene resulted in a reduction of particles in culture supernatants but does not significantly impact late gene expression.
Table 3.
Summary of fluorescence intensity and virus quantification data for rBEVs in Sf9 and Sf9-Cas9 cells at 48 hpi. A minimum n = 3 was used in all cases.
Figure 3.
GP64-disrupted KOVs show reduced IVT and total particle concentration in the supernatant, but unaffected late gene expression. (A) Expression of the gfp gene from the viral late p6.9 promoter was similar for all rBEVs in both Sf9-Cas9 and Sf9 cells, however (B) IVT, and (C) total particle concentration was significantly reduced for control and gp64-targeting rBEVs in Sf9-Cas9 but not parental Sf9 cells. Results in panel (C) are for Sf9-Cas9 cells only. Solid line: Sf9-Cas9 cells; dashed line: Sf9 cells; untargeted control (circles) and gp64-targeted (triangles) rBEVs. All samples were taken at 48 hpi. *** p < 0.001.
3.3. Production of HIV-1 Gag VLPs
In light of these results, the gfp reporter gene was replaced with the HIV-1 gag gene to investigate the production of Gag VLPs with this system. In addition to targeting the gp64 ORF for disruption, rBEVs expressing gag and sgRNAs targeting the vp80 ORF were also prepared. Infecting Sf9-Cas9 cells with rBEVs resulted in 99% reduction of IVT for rBEVs targeting the gp64 and 94% for the vp80 target (Figure 4A) compared to the same infections in Sf9 cells. Similarly, GP64 in the plasma membrane was reduced by 99% for the gp64-targeting sgRNAs. Interestingly, targeting the vp80 ORF resulted in 35% reduction in GP64 (via immunofluorescence analysis) compared to control infections in Sf9 cells, indicating that targeting the vp80 ORF may have an impact on GP64 expression (Figure 4B). Finally, quantification of Gag VLPs by ELISA indicated VLP yields of 3–6 particles/mL for all rBEVs in both Sf9 and Sf9-Cas9 cells. These yields were not significantly different from each other, indicating that production of Gag VLPs was not impaired by disruption of either gp64 or vp80 genes (Figure 4C).
Figure 4.
Disruption of the gp64 gene reduces rBEV contamination more than disruption of the vp80 gene. (A) gp64-KOVs produce less budded virus than vp80-KOVs as measured by IVT in Sf9-Cas9 cells but were both similar to the control with parental Sf9 cells. (B) Abundance of GP64 in infected cell membranes of Sf9-Cas9 cells was significantly lower for gp64 KOVs compared to parental Sf9 cells. Targeting the vp80 gene also had an apparent effect on GP64 abundance in the membrane. (C) Yield of HIV-1 Gag VLPs was not significantly different for any KOVs in either Sf9-Cas9 or Sf9 cells. All samples were taken at 48 hpi. ** p < 0.01, *** p < 0.001.
4. Discussion
Although the production of virus-like particles in insect cells using BEVs is well-established, the presence of high concentrations of baculovirus particles that are co-produced along with VLPs in the culture supernatant, complicates and increases the cost of the downstream processing [5]. This is especially true for enveloped VLPs that bud out of the cell via the cytoplasmic membrane.
To address this drawback, strategies have been devised to reduce or eliminate progeny baculovirus production through the targeted deletion of genes encoding structural proteins that are required for BV release, called knockout viruses (KOVs) [5,7,8]. This strategy requires the development of a trans-complementing cell line to enable replication of the rBEV. However, this approach may be less effective for rBEV seed production, and foreign gene expression and overall yield is reportedly lower than with conventional, wildtype rBEV systems [7,8]. We recently developed a novel system for producing KOVs based on CRISPR-Cas9 mediated introduction of indel mutations in the AcMNPV genome [10]. This system is able to disrupt progeny BV release and/or reduce late gene expression through targeted disruption of several AcMNPV genes. Targeting gp64 or the vp80 gene, which encodes the nucleocapsid-associated protein VP80, with this approach resulted in reduced BV release but did not appear to significantly impact expression of the gfp reporter gene.
To assess this strategy for its utility as an effective production platform for VLP production with concomitant reduced BV release, we again targeted the AcMNPV gp64 gene for disruption. To this end, the abundance of GP64 in infected cell lysates and in the membrane of infected cells was measured. Our results indicated 99% and 90–95% reduction of GP64 in lysates and in the membrane of infected Sf9-Cas9 cells, respectively. Importantly, the abundance of GP64 in Sf9 cells infected with rBEVs targeting gp64 was indistinguishable from control infections, indicating that disruption of GP64 expression was the result of CRISPR-mediated targeting of the gp64 ORF.
Next, the effect of targeting gp64 on late gene expression and progeny BV release was measured. Disruption of GP64 resulted in >98% and 94% reduction of IVT and total particles/mL, respectively. This data is consistent with a previous report in which BV release was reduced by 50–98% for different gp64 gene truncations [14]. Similarly, GP64 appeared to be undetectable for the gp64 KOV via western blot, however direct quantification of BV in the supernatant was not conducted in that report [8]. For late gene expression, our results indicated that expression of the gfp reporter gene was not significantly affected by gp64 disruption. Although the median fluorescence intensity was slightly lower for gp64-targeting rBEVs compared to the control, this difference in expression was similar for both Sf9-Cas9 and Sf9 cell lines. This data could indicate that variability between individual virus stocks may have accounted for these differences as opposed to decreased late gene expression as a result of CRISPR-mediated targeting. Nevertheless, these differences were not statistically significant. This is an important result, as previous reports indicated that high MOIs were required for similar EGFP yields between vp80 KOV and the control virus [7], whereas high MOIs were not necessary with the system developed here. Furthermore, in previous studies, production of Gag VLPs appeared to be lower via western blot analysis between the gp64 KOV and the control [8]; and with the system developed here, the difference was negligible.
Finally, we assessed the production of HIV-1 Gag VLPs with concomitant reduced BV contamination. The HIV-1 gag ORF encodes a 55 kDa polyprotein (Pr55 or Gag) that is processed into several proteins, including the 17 kDa matrix protein (p17 or MA), the 24 kDa capsid protein (p24 or CA), and the 7 kDa nucleocapsid protein (p7 or NC) [15]. Expression of Gag alone is sufficient for assembly and budding of VLPs, and several studies have demonstrated production of pseudotyped and non-pseudotyped Gag VLPs in the BEVS and in uninfected insect cells [8,16,17,18,19,20,21]. In addition to targeting gp64, rBEVs with sgRNAs targeting the vp80 ORF were prepared in order to compare VLP production using both of these strategies. Similar to previous results, targeting the gp64 ORF resulted in significant reduction of GP64 abundance in the plasma membrane of infected cells and IVT. The IVT of vp80-disrupted rBEVs was also significantly reduced compared to control infections in Sf9 cells. Unexpectedly, immunofluorescence staining of GP64 in the plasma membrane of infected cells was observed to be lower in Sf9-Cas9 cells compared to Sf9 cells, suggesting that disruption of VP80 expression may impact GP64 production. Reduced GP64 was not observed by western blot analysis of cell lysates infected with a vp80 KOV previously [7], however staining of GP64 in the membrane of those cells was not conducted. On the other hand, analysis of VP39 by western blot indicated lower abundance in cells infected with the gp64 KOV [8]. The results here do not appear to be associated with off-site targeting of the Cas9/sgRNA ribonucleoprotein complex, as 2 other sgRNAs targeting the vp80 ORF showed similar results (data not shown). Similarly, there were insignificant differences between GP64 measurements in the cell membranes infected with control or vp80/gp64-targeted rBEVs (data not shown). As such, this observation appears to be the result of a potential and as yet unreported interaction between vp80 disruption and GP64 expression, and may require further scrutiny to assess this relationship. Nevertheless, both of these strategies were successful for producing Gag VLPs with concomitant reduction in rBEV contamination. Importantly, although the estimated yield of VLPs by p24 ELISA was lower compared to a control (ie., untargeted rBEV expressing the gag gene), yields of VLPs were similar in Sf9-Cas9 and Sf9 cells for all of the rBEVs, suggesting that these results might be due to variance among virus seed stocks as opposed to the strategy itself.
5. Conclusions
In this report, CRISPR-mediated disruption of the gp64 gene was assessed. After confirming that this strategy resulted in target specific obstruction of GP64 and reduced BV release, production of HIV-1 Gag VLPs was assessed and compared with a similar strategy in which the vp80 ORF was targeted for disruption. Both strategies resulted in high level production of VLPs along with reduced rBEV contamination in culture supernatants. This strategy may be impactful for simplifying the purification of recombinant proteins and other complex biologics such as VLPs, and may be an improvement over previously reported strategies in which initial virus seed production was impaired and overall yield may be impacted.
Author Contributions
M.R.B. and M.G.A. conceived and designed the research. M.R.B. conducted the experiments. M.R.B. analyzed the data and wrote the initial draft of the manuscript. M.G.A. edited the manuscript. All authors have read and agreed to the published version of the manuscript.
Funding
This work was supported in the form of a Natural Sciences and Engineering Research Council of Canada (NSERC) Discovery (RGPIN 355513-2017) and Strategic Project Grants (STPGP 462995-14) and post-graduate scholarship to M.R.B.
Institutional Review Board Statement
Not applicable.
Informed Consent Statement
Not applicable.
Data Availability Statement
The datasets generated during and/or analysed during the current study are available from the corresponding author on reasonable request.
Conflicts of Interest
MGA and MRB declare that they have no conflict of interest.
Abbreviations
The following abbreviations are used in this manuscript:
| AcMNPV | Autographa californica multiple nucleopolyhedrovirus |
| APC | allophycocyanin |
| au | arbitrary units |
| BV | budded virus |
| BEVS | baculovirus expression vectors system |
| rBEV | recombinant baculovirus expression vector |
| eGFP | enhanced Green fluorescent protein |
| EPDA | end-point dilution assay |
| GFP | green fluorescent protein |
| hpi | hours post infection |
| hpt | hours post transfection |
| IQR | interquartile range |
| IVT | infectious virus titer |
| KOV | knockout virus |
| MOI | multiplicity of infection |
| ORF | open reading frame |
| PVDF | polyvinylidene difluoride |
| VLP | virus-like particle |
References
- Rohovie, M.J.; Nagasawa, M.; Swartz, J.R. Virus-like particles: Next-generation nanoparticles for targeted therapeutic delivery. Bioeng. Transl. Med. 2017, 2, 43–57. [Google Scholar] [CrossRef] [PubMed]
- Buonaguro, L.; Tagliamonte, M.; Tornesello, M.L.; Buonaguro, F.M. Developments in virus-like particle-based vaccines for infectious diseases and cancer. Expert Rev. Vaccines 2011, 10, 1569–1583. [Google Scholar] [CrossRef] [PubMed]
- Lua, L.H.; Connors, N.K.; Sainsbury, F.; Chuan, Y.P.; Wibowo, N.; Middelberg, A.P. Bioengineering virus-like particles as vaccines. Biotechnol. Bioeng. 2014, 111, 425–440. [Google Scholar] [CrossRef] [PubMed]
- Sokolenko, S.; George, S.; Wagner, A.; Tuladhar, A.; Andrich, J.M.S.; Aucoin, M.G. Co-expression vs. co-infection using baculovirus expression vectors in insect cell culture: Benefits and drawbacks. Biotechnol. Adv. 2012, 30, 766–781. [Google Scholar] [CrossRef] [PubMed]
- Yee, C.M.; Zak, A.J.; Hill, B.D.; Wen, F. The Coming Age of Insect Cells for Manufacturing and Development of Protein Therapeutics. Ind. Eng. Chem. Res. 2018, 57, 10061–10070. [Google Scholar] [CrossRef]
- Khurana, S.; Wu, J.; Verma, N.; Verma, S.; Raghunandan, R.; Manischewitz, J.; King, L.R.; Kpamegan, E.; Pincus, S.; Smith, G.; et al. H5N1 Virus-Like Particle Vaccine Elicits Cross-Reactive Neutralizing Antibodies That Preferentially Bind to the Oligomeric Form of Influenza Virus Hemagglutinin in Humans. J. Virol. 2011, 85, 10945–10954. [Google Scholar] [CrossRef] [PubMed]
- Marek, M.; van Oers, M.M.; Devaraj, F.F.; Vlak, J.M.; Merten, O.W. Engineering of baculovirus vectors for the manufacture of virion-free biopharmaceuticals. Biotechnol. Bioeng. 2011, 108, 1056–1067. [Google Scholar] [CrossRef]
- Chaves, L.C.S.; Ribeiro, B.M.; Blissard, G.W. Production of GP64-free virus-like particles from baculovirus-infected insect cells. J. Gen. Virol. 2018, 99, 265–274. [Google Scholar] [CrossRef]
- Monsma, S.A.; Oomens, A.G.; Blissard, G.W. The GP64 envelope fusion protein is an essential baculovirus protein required for cell-to-cell transmission of infection. J. Virol. 1996, 70, 4607–4616. [Google Scholar] [CrossRef]
- Bruder, M.R.; Walji, S.D.; Aucoin, M.G. Comparison of CRISPR–Cas9 Tools for Transcriptional Repression and Gene Disruption in the BEVS. Viruses 2021, 13, 1925. [Google Scholar] [CrossRef]
- Stemmer, W.P.; Morris, S.K. Enzymatic inverse PCR: A restriction site independent, single-fragment method for high-efficiency, site-directed mutagenesis. BioTechniques 1992, 13, 214–220. [Google Scholar] [PubMed]
- Venereo-Sanchez, A.; Gilbert, R.; Simoneau, M.; Caron, A.; Chahal, P.; Chen, W.; Ansorge, S.; Li, X.; Henry, O.; Kamen, A. Hemagglutinin and neuraminidase containing virus-like particles produced in HEK-293 suspension culture: An effective influenza vaccine candidate. Vaccine 2016, 34, 3371–3380. [Google Scholar] [CrossRef] [PubMed]
- Shen, C.F.; Meghrous, J.; Kamen, A. Quantitation of baculovirus particles by flow cytometry. J. Virol. Methods 2002, 105, 321–330. [Google Scholar] [CrossRef]
- Oomens, A.G.P.; Blissard, G.W. Requirement for GP64 to drive efficient budding of Autographa californica multicapsid nucleopolyhedrovirus. Virology 1999, 254, 297–314. [Google Scholar] [CrossRef] [PubMed]
- Wagner, R.; Fließbach, H.; Wanner, G.; Motz, M.; Niedrig, M.; Deby, G.; Brunn, A.v.; Wolf, H. Studies on processing, particle formation, and immunogenicity of the HIV-1gag gene product: A possible component of a HIV vaccine. Arch. Virol. 1992, 127, 117–137. [Google Scholar] [CrossRef] [PubMed]
- Haynes, J.R. Influenza virus-like particle vaccines. Expert Rev. Vaccines 2014, 8, 435–445. [Google Scholar] [CrossRef]
- Gheysen, D.; Jacobs, E.; Foresta, F.d.; Thiriart, C.; Francotte, M.; Thines, D.; Wilde, M.D. Assembly and release of HIV-1 precursor Pr55gag virus-like particles from recombinant baculovirus-infected insect cells. Cell 1989, 59, 103–112. [Google Scholar] [CrossRef] [PubMed]
- Garnier, L.; Ravallec, M.; Blanchard, P.; Chaabihi, H.; Bossy, J.P.; Devauchelle, G.; Jestin, A.; Cerutti, M. Incorporation of pseudorabies virus gD into human immunodeficiency virus type 1 Gag particles produced in baculovirus-infected cells. J. Virol. 1995, 69, 4060–4068. [Google Scholar] [CrossRef]
- Puente-Massaguer, E.; Gòdia, F.; Lecina, M. Development of a non-viral platform for rapid virus-like particle production in Sf9 cells. J. Biotechnol. 2020, 322, 43–53. [Google Scholar] [CrossRef]
- Puente-Massaguer, E.; Lecina, M.; Gòdia, F. Application of advanced quantification techniques in nanoparticle-based vaccine development with the Sf9 cell baculovirus expression system. Vaccine 2020, 38, 1849–1859. [Google Scholar] [CrossRef]
- Fuenmayor, J.; Gòdia, F.; Cervera, L. Production of virus-like particles for vaccines. New Biotechnol. 2017, 39, 174–180. [Google Scholar] [CrossRef] [PubMed]
Disclaimer/Publisher’s Note: The statements, opinions and data contained in all publications are solely those of the individual author(s) and contributor(s) and not of MDPI and/or the editor(s). MDPI and/or the editor(s) disclaim responsibility for any injury to people or property resulting from any ideas, methods, instructions or products referred to in the content. |
© 2023 by the authors. Licensee MDPI, Basel, Switzerland. This article is an open access article distributed under the terms and conditions of the Creative Commons Attribution (CC BY) license (https://creativecommons.org/licenses/by/4.0/).



