Liposomal Resveratrol and/or Carvedilol Attenuate Doxorubicin-Induced Cardiotoxicity by Modulating Inflammation, Oxidative Stress and S100A1 in Rats
Abstract
1. Introduction
2. Materials and Methods
2.1. Chemicals
2.2. Animal and Experimental Design
2.3. Assay of Markers of Cardiac Injury, SERCA2a and Cytokines
2.4. Assay of Lipid Peroxidation, GSH and Superoxide Dismutase (SOD)
2.5. Histology and Immunohistochemistry
2.6. Western Blotting
2.7. Statistical Analysis
3. Results
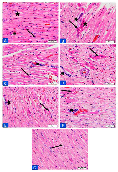
3.1. CAR, RES and LIPO-RES Prevent DOX-Induced Cardiac Injury
3.2. CAR, RES and LIPO-RES Attenuate Cardiac Inflammation in DOX-Intoxicated Rats
3.3. CAR, RES and LIPO-RES Prevent Oxidative Stress in the Heart of DOX-Intoxicated Rats
3.4. CAR, RES and LIPO-RES Upregulate Cardiac S100A1 and SERCA2a in DOX-Intoxicated Rats
4. Discussion
5. Conclusions
Author Contributions
Funding
Acknowledgments
Conflicts of Interest
References
- Octavia, Y.; Tocchetti, C.G.; Gabrielson, K.L.; Janssens, S.; Crijns, H.J.; Moens, A.L. Doxorubicin-Induced Cardiomyopathy: From Molecular Mechanisms to Therapeutic Strategies. J. Mol. Cell. Cardiol. 2012, 52, 1213–1225. [Google Scholar] [CrossRef]
- Carvalho, F.S.; Burgeiro, A.; Garcia, R.; Moreno, A.J.; Carvalho, R.A.; Oliveira, P.J. Doxorubicin-Induced Cardiotoxicity: From Bioenergetic Failure and Cell Death to Cardiomyopathy. Med. Res. Rev. 2014, 34, 106–135. [Google Scholar] [CrossRef]
- Jungsuwadee, P. Doxorubicin-Induced Cardiomyopathy: An Update Beyond Oxidative Stress and Myocardial Cell Death. Cardiovasc. Regen. Med. 2016, 3, 1–8. [Google Scholar]
- Bahadır, A.; Kurucu, N.; Kadıoğlu, M.; Yenilme, E. The Role of Nitric Oxide in Doxorubicin-Induced Cardiotoxicity: Experimental Study. Turk. J. Hematol. 2014, 31, 68. [Google Scholar] [CrossRef] [PubMed]
- Sun, Y.; Xia, P.; Zhang, H.; Liu, B.; Shi, Y. P53 Is Required for Doxorubicin-Induced Apoptosis via the TGF-Beta Signaling Pathway in Osteosarcoma-Derived Cells. Am. J. Cancer Res. 2015, 6, 114–125. [Google Scholar] [PubMed]
- Tombal, B.; Denmeade, S.R.; Gillis, J.M.; Isaacs, J.T. A Supramicromolar Elevation of Intracellular Free Calcium ([Ca (2+)] (i)) Is Consistently Required to Induce the Execution Phase of Apoptosis. Cell Death Differ. 2002, 9, 561–573. [Google Scholar] [CrossRef]
- Riad, A.; Bien, S.; Gratz, M.; Escher, F.; Heimesaat, M.M.; Bereswill, S.; Krieg, T.; Felix, S.B.; Schultheiss, H.-P.; Kroemer, H.K.; et al. Toll-Like Receptor-4 Deficiency Attenuates Doxorubicin-Induced Cardiomyopathy in Mice. Eur. J. Hear. Fail. 2008, 10, 233–243. [Google Scholar] [CrossRef]
- Hasan, U.; Chaffois, C.; Gaillard, C.; Saulnier, V.; Merck, E.; Tancredi, S.; Guiet, C.; Brière, F.; Vlach, J.; Lebecque, S.; et al. Human TLR10 Is a Functional Receptor, expressed by B Cells and Plasmacytoid Dendritic Cells, which Activates Gene Transcription through MyD88. J. Immunol. 2005, 174, 2942–2950. [Google Scholar] [CrossRef]
- Yang, Y.; Lv, J.; Jiang, S.; Ma, Z.; Wang, D.; Hu, W.; Deng, C.; Fan, C.; Di, S.; Sun, Y. The Emerging Role of Toll-Like Receptor 4 in Myocardial Inflammation. Cell death Dis. 2017, 7, 2234–2245. [Google Scholar] [CrossRef]
- Nozaki, N. Modulation of Doxorubicin-Induced Cardiac Dysfunction in Toll-Like Receptor-2-Knockout Mice. Circulation 2004, 110, 2869–2874. [Google Scholar] [CrossRef]
- Boyd, J.H.; Mathur, S.; Wang, Y.; Bateman, R.M.; Walley, K.R. Toll-Like Receptor Stimulation in Cardiomyoctes Decreases Contractility and Initiates an NF-κB Dependent Inflammatory Response. Cardiovasc. Res. 2006, 72, 384–393. [Google Scholar] [CrossRef] [PubMed]
- Takeuchi, O.; Akira, S. Pattern Recognition Receptors and Inflammation. Cell 2010, 140, 805–820. [Google Scholar] [CrossRef] [PubMed]
- Wang, X.-J.; Wang, M. The S100 Protein Family and Its Application in Cardiac Diseases. World J. Emerg. Med. 2010, 1, 165–168. [Google Scholar] [PubMed]
- Eryilmaz, U.; Demirci, B.; Aksun, S.; Boyacioglu, M.; Akgullu, C.; Ilgenli, T.F.; Yalinkilinc, H.S.; Bilgen, M. S100a1 as a Potential Diagnostic Biomarker for Assessing Cardiotoxicity and Implications for the Chemotherapy of Certain Cancers. PLoS ONE 2015, 10, 418–445. [Google Scholar] [CrossRef] [PubMed]
- Remppis, A.; Greten, T.; Schäfer, B.W.; Hunziker, P.; Erne, P.; Katus, H.A.; Heizmann, C.W. Altered Expression of the Ca2+-Binding Protein s100a1 in Human Cardiomyopathy. Biochim. Biophys. Acta 1996, 1313, 253–257. [Google Scholar] [CrossRef]
- Ritterhoff, J.; Most, P. Targeting S100A1 in Heart Failure. Gene Ther. 2012, 19, 613–621. [Google Scholar] [CrossRef]
- Duarte-Costa, S.; Castro-Ferreira, R.; Neves, J.S.; Leite-Moreira, A.F. S100A1: A Major Player in Cardiovascular Performance. Physiol. Res. 2014, 63, 669–681. [Google Scholar]
- Brinks, H.; Rohde, D.; Voelkers, M.; Qiu, G.; Pleger, S.T.; Herzog, N.; Rabinowitz, J.; Ruhparwar, A.; Silvestry, S.; Lerchenmüller, C.; et al. S100A1 Genetically Targeted Therapy Reverses Dysfunction of Human Failing Cardiomyocytes. J. Am. Coll. Cardiol. 2011, 58, 966–973. [Google Scholar] [CrossRef]
- Mitry, M.A.; Edwards, J. Doxorubicin Induced Heart Failure: Phenotype and Molecular Mechanisms. IJC Hear. Vasc. 2016, 10, 17–24. [Google Scholar] [CrossRef]
- Jhorawat, R.; Kumari, S.; Varma, S.C.; Rohit, M.K.; Narula, N.; Suri, V.; Malhotra, P.; Jain, S. Preventive Role of Carvedilol in Adriamycin-Induced Cardiomyopathy. Indian J. Med. Res. 2016, 144, 725–729. [Google Scholar] [CrossRef]
- Kalay, N.; Başar, E.; Ozdogru, I.; Er, O.; Cetinkaya, Y.; Dogan, A.; Oguzhan, A.; Eryol, N.K.; Topsakal, R.; Ergin, A.; et al. Protective Effects of Carvedilol Against Anthracycline-Induced Cardiomyopathy. J. Am. Coll. Cardiol. 2006, 48, 2258–2262. [Google Scholar] [CrossRef] [PubMed]
- Sari, F.R.; Arozal, W.; Watanabe, K.; Harima, M.; Veeravedu, P.T.; Thandavarayan, R.A.; Suzuki, K.; Arumugam, S.; Soetikno, V.; Kodama, M. Carvedilol Attenuates Inflammatory-Mediated Cardiotoxicity in Daunorubicin-Induced Rats. Pharmaceuticals 2011, 4, 551–566. [Google Scholar] [CrossRef]
- Ibrahim, S.S.; Barakat, M.A.; Helmy, H.S. Modulating Effect of Carvedilol on Doxorubicininduced Cardiomyopathy and Hepatic Damage. J. Am. Sci. 2010, 6, 20–32. [Google Scholar]
- Fazio, S.; A Palmieri, E.; Ferravante, B.; Bonè, F.; Biondi, B.; Saccà, L. Doxorubicin-Induced Cardiomyopathy Treated with Carvedilol. Clin. Cardiol. 1998, 21, 777–779. [Google Scholar] [CrossRef]
- Matsui, H.; Morishima, I.; Numaguchi, Y.; Toki, Y.; Okumura, K.; Hayakawa, T. Protective Effects of Carvedilol against Doxorubicin-Induced Cardiomyopathy in Rats. Life Sci. 1999, 65, 1265–1274. [Google Scholar] [CrossRef]
- Chen, Y.-L.; Chung, S.-Y.; Chai, H.-T.; Chen, C.-H.; Liu, C.-F.; Chen, Y.-L.; Huang, T.-H.; Zhen, Y.-Y.; Sung, P.-H.; Sun, C.-K.; et al. Early Administration of Carvedilol Protected against Doxorubicin-Induced Cardiomyopathy. J. Pharmacol. Exp. Ther. 2015, 355, 516–527. [Google Scholar] [CrossRef]
- Beheshti, A.T.; Toroghi, H.M.; Hosseini, G.; Zarifian, A.; Fazlinezhad, A.; Shandiz, F.H. Carvedilol Administration Can Prevent Doxorubicin-Induced Cardiotoxicity: A Double-Blind Randomized Trial. Cardiology 2016, 134, 47–53. [Google Scholar] [CrossRef]
- A Poole-Wilson, P.; Swedberg, K.; Cleland, J.G.F.; Di Lenarda, A.; Hanrath, P.; Komajda, M.; Lubsen, J.; Lutiger, B.; Metra, M.; Remme, W.J.; et al. Comparison of Carvedilol and Metoprolol on Clinical Outcomes in Patients with Chronic Heart Failure in the Carvedilol or Metoprolol European Trial (COMET): Randomised Controlled Trial. Lancet 2003, 362, 7–13. [Google Scholar] [CrossRef]
- Baker, J.G. The Selectivity of Beta-Adrenoceptor Antagonists at the Human Beta1, Beta2 and Beta3 Adrenoceptors. Br. J. Pharmacol. 2005, 144, 317–322. [Google Scholar] [CrossRef]
- Molenaar, P.; Christ, T.; Ravens, U.; Kaumann, A. Carvedilol Blocks β2- more than β1-Adrenoceptors in Human Heart. Cardiovasc. Res. 2006, 69, 128–139. [Google Scholar] [CrossRef]
- Zhang, R.; Kang, X.; Wang, Y.; Wang, F.; Yu, P.; Shen, J.; Fu, L. Effects of Carvedilol on Ventricular Remodeling and the Expression of Beta3-Adrenergic Receptor in a Diabetic Rat Model Subjected Myocardial Infarction. Int. J. Cardiol. 2016, 222, 178–184. [Google Scholar] [CrossRef] [PubMed]
- Raj, P.; Louis, X.L.; Thandapilly, S.J.; Movahed, A.; Zieroth, S.; Netticadan, T. Potential of Resveratrol in the Treatment of Heart Failure. Life Sci. 2014, 95, 63–71. [Google Scholar] [CrossRef] [PubMed]
- Bonnefont-Rousselot, D. Resveratrol and Cardiovascular Diseases. Nutrients 2016, 8, 250. [Google Scholar] [CrossRef] [PubMed]
- Vella, R.K.; Pullen, C.; Coulson, F.R.; Fenning, A.S. Resveratrol Prevents Cardiovascular Complications in the SHR/STZ Rat by Reductions in Oxidative Stress and Inflammation. BioMed Res. Int. 2015, 2015, 1–8. [Google Scholar] [CrossRef]
- Li, J.; Xie, C.; Zhuang, J.; Li, H.; Yao, Y.; Shao, C.; Wang, H. Resveratrol Attenuates Inflammation in the Rat Heart Subjected to Ischemia-Reperfusion: Role of the TLR4/NF-κB Signaling Pathway. Mol. Med. Rep. 2015, 11, 1120–1126. [Google Scholar] [CrossRef]
- Wang, G.; Hu, Z.; Fu, Q.; Song, X.; Cui, Q.; Jia, R.; Zou, Y.; He, C.; Li, L.; Yin, Z. Resveratrol Mitigates Lipopolysaccharide-Mediated Acute Inflammation in Rats by Inhibiting the TLR4/NF-κBp65/MAPKs Signaling Cascade. Sci. Rep. 2017, 7, 45006–45019. [Google Scholar] [CrossRef]
- Wang, H.; Yang, Y.J.; Qian, H.Y.; Zhang, Q.; Xu, H.; Li, J.J. Resveratrol in Cardiovascular Disease: What Is Known from Current Research? Heart Fail. Rev. 2012, 17, 437–448. [Google Scholar] [CrossRef]
- Ramírez-Garza, S.L.; Laveriano-Santos, E.P.; Marhuenda-Muñoz, M.; Storniolo, C.E.; Tresserra-Rimbau, A.; Vallverdú-Queralt, A.; Lamuela-Raventós, R.M. Health Effects of Resveratrol: Results from Human Intervention Trials. Nutrients 2018, 10, 1892. [Google Scholar] [CrossRef]
- Reis, S.; Neves, A.R.; Lúcio, M.; Martins, S.; Lima, J. Novel Resveratrol Nanodelivery Systems Based on Lipid Nanoparticles to Enhance Its Oral Bioavailability. Int. J. Nanomed. 2013, 8, 177–187. [Google Scholar] [CrossRef]
- Tatlidede, E.; Şehirli, Ö.; Velioğlu-Öğünç, A.; Çetinel, Ş.; Yeğen, B.Ç.; Yarat, A.; Suleymanoglu, S.; Şener, G.; Yeǧ, B.Ç. Resveratrol Treatment Protects against Doxorubicin-Induced Cardiotoxicity by Alleviating Oxidative Damage. Free. Radic. Res. 2009, 43, 195–205. [Google Scholar] [CrossRef]
- Arozal, W.; Watanabe, K.; Veeraveedu, P.T.; Vijayakumar, S.; Thandavarayan, R.A.; Sukumaran, V.; Suzuki, K.; Kodama, M.; Aizawa, Y. Protective Effect of Carvedilol on Daunorubicin-Induced Cardiotoxicity and Nephrotoxicity in Rats. Toxicology 2010, 274, 18–26. [Google Scholar] [CrossRef]
- Arafa, M.H.; Mohammad, N.S.; Atteia, H.H.; Abd-Elaziz, H.R. Protective Effect of Resveratrol against Doxorubicin-Induced Cardiac Toxicity and Fibrosis in Male Experimental Rats. J. Physiol. Biochem. 2014, 70, 701–711. [Google Scholar] [CrossRef]
- Shoukry, H.S.; Ammar, H.I.; Rashed, L.A.; Zikri, M.B.; Shamaa, A.A.; Elfadl, S.G.A.; Rub, E.A.-A.; Saravanan, S.; Dhingra, S. Prophylactic Supplementation of Resveratrol is more Effective than Its Therapeutic Use against Doxorubicin Induced Cardiotoxicity. PLOS ONE 2017, 12, e0181535. [Google Scholar] [CrossRef] [PubMed]
- Bradford, M.M. A Rapid and Sensitive Method for the Quantitation of Microgram Quantities of Protein Utilizing the Principle of Protein-Dye Binding. Anal. Biochem. 1976, 72, 248–254. [Google Scholar] [CrossRef]
- Ohkawa, H.; Ohishi, N.; Yagi, K. Assay for Lipid Peroxides in Animal Tissues by Thiobarbituric Acid Reaction. Anal. Biochem. 1979, 95, 351–358. [Google Scholar] [CrossRef]
- Beutler, E.; Duron, O.; Kelly, B.M. Improved Method for the Determination of Blood Glutathione. J. Lab. Clin. Med. 1963, 61, 882–888. [Google Scholar]
- Marklund, S.; Marklund, G. Involvement of the Superoxide Anion Radical in the Autoxidation of Pyrogallol and a Convenient Assay for Superoxide Dismutase. JBIC J. Boil. Inorg. Chem. 1974, 47, 469–474. [Google Scholar] [CrossRef]
- Hsu, S.; Raine, L.; Fanger, H. Use of Biotin-Avidin-Peroxidase Conplex (abc) in Immunoperoxidase Techniques: A Comparison between abc and Unlabeled Antibody Techniques. Am. J. Clin. Pathol. 1981, 75, 816–821. [Google Scholar] [CrossRef]
- Völkers, M.; Rohde, D.; Goodman, C.; Most, P. S100a1: A Regulator of Striated Muscle Sarcoplasmic Reticulum Ca2+ Handling, Sarcomeric, and Mitochondrial Function. J. Biomed. Biotechnol. 2010, 2010, 1–10. [Google Scholar] [CrossRef]
- Hua, M.; Shan, J.; Li, J.; Zhang, Y.; Lin, X.L. Resveratrol Inhibits Doxorubicin-Induced Cardiotoxicity via Sirtuin 1 Activation in h9c2 Cardiomyocytes. Exp. Ther. Med. 2016, 12, 1113–1118. [Google Scholar]
- Franco, Y.L.; Vaidya, T.R.; Ait-Oudhia, S. Anticancer and Cardio-Protective Effects of Liposomal Doxorubicin in the Treatment of Breast Cancer. Breast Cancer: Targets Ther. 2018, 10, 131–141. [Google Scholar] [CrossRef] [PubMed]
- Shaker, R.A.; Abboud, S.H.; Assad, H.C.; Hadi, N. Enoxaparin Attenuates Doxorubicin Induced Cardiotoxicity in Rats via Interfering with Oxidative Stress, Inflammation and Apoptosis. BMC Pharmacol. Toxicol. 2018, 19, 3. [Google Scholar] [CrossRef] [PubMed]
- Qarakhanlou, B.; Ebrahimi Kalan, A.; Tofighi, A. Effect of Resveratrol and Aerobic Exercise on Some Cardiovascular Risk Factors in Rats with Acute Myocardial Infarction. Surgut State Univ. J. 2017, 25, 501–511. [Google Scholar]
- Moloudi, A.; Sabzi, F.; Rashidi, S. Suppression of Myocardial Injury Markers following Percutaneous Coronary Interventions by Pre-Treatment with Carvedilol. Int. Cardivascular Res. J. 2012, 6, 88–91. [Google Scholar]
- Shi, Y.; Moon, M.; Dawood, S.; McManus, B.; Liu, P. Mechanisms and Management of Doxorubicin Cardiotoxicity. Herz 2011, 36, 296–305. [Google Scholar] [CrossRef]
- Valen, G.; Yan, Z.-Q.; Hansson, G.K. Nuclear Factor Kappa-B and the Heart. J. Am. Coll. Cardiol. 2001, 38, 307–314. [Google Scholar] [CrossRef]
- Vyas, D.; Laput, G.; Vyas, A.K. Chemotherapy-Enhanced Inflammation May Lead to the Failure of Therapy and Metastasis. OncoTargets Ther. 2014, 7, 1015–1023. [Google Scholar] [CrossRef]
- Bartekova, M.; Radosinska, J.; Jelemensky, M.; Dhalla, N.S. Role of Cytokines and Inflammation in Heart Function during Health and Disease. Hear. Fail. Rev. 2018, 23, 733–758. [Google Scholar] [CrossRef]
- Sayed-Ahmed, M.M.; Khattab, M.M.; Gad, M.; Osman, A.-M.M. Increased Plasma Endothelin-1 and Cardiac Nitric Oxide during Doxorubicin-Induced Cardiomyopathy. Pharmacol. Toxicol. 2001, 89, 140–144. [Google Scholar] [CrossRef]
- Wong, V.Y.; Laping, N.J.; Nelson, A.H.; Contino, L.C.; A Olson, B.; Gygielko, E.; Campbell, W.G.; Barone, F.; Brooks, D.P. Renoprotective Effects of Carvedilol in Hypertensive-Stroke Prone Rats May Involve Inhibition of TGFβ Expression. Br. J. Pharmacol. 2001, 134, 977–984. [Google Scholar] [CrossRef]
- Coutinho, D.D.S.; Pacheco, M.T.; Frozza, R.L.; Bernardi, A. Anti-Inflammatory Effects of Resveratrol: Mechanistic Insights. Int. J. Mol. Sci. 2018, 19, 1812. [Google Scholar] [CrossRef] [PubMed]
- Mahmoud, H.M.; Abo-Youssef, A.M.; Abo-Saif, A.A. Protective Effect of Carvedilol on Paracetamol-induced Hepatotoxicity; Role of Modulation Inflammation and Lipid Peroxidation. Int. J. Pharmacol. 2017, 13, 33–43. [Google Scholar] [CrossRef]
- Tian, Y.; Ma, J.; Wang, W.; Zhang, L.; Xu, J.; Wang, K.; Li, D. Resveratrol Supplement Inhibited the NF-κB Inflammation Pathway through Activating Ampkα-sirt1 Pathway in Mice with Fatty Liver. Mol. Cell. Biochem. 2016, 422, 75–84. [Google Scholar] [CrossRef] [PubMed]
- Quivy, V.; Van Lint, C. Regulation at Multiple Levels of NF-κB-Mediated Transactivation by protein acetylation. Biochem. Pharmacol. 2004, 68, 1221–1229. [Google Scholar] [CrossRef]
- Zhu, X.; Liu, Q.; Wang, M.; Liang, M.; Yang, X.; Xu, X.; Zou, H.; Qiu, J. Activation of Sirt1 by Resveratrol Inhibits TNF-α Induced Inflammation in Fibroblasts. PLoS ONE 2011, 6, e27081. [Google Scholar] [CrossRef]
- Csiszar, A.; Smith, K.; Labinskyy, N.; Orosz, Z.; Rivera, A.; Ungvari, Z. Resveratrol Attenuates TNF-α-Induced Activation of Coronary Arterial Endothelial Cells: Role of NF-κB inhibition. Am. J. Physiol. Heart Circ. Physiol. 2006, 291, 1694–1699. [Google Scholar] [CrossRef]
- Zhang, Y.; Chen, Y.; Zhang, M.; Tang, Y.; Xie, Y.; Huang, X.; Li, Y. Doxorubicin Induces Sarcoplasmic Reticulum Calcium Regulation Dysfunction via the Decrease of SERCA2 and Phospholamban Expressions in Rats. Cell Biochem. Biophys. 2014, 70, 1791–1798. [Google Scholar] [CrossRef]
- Koitabashi, N.; Arai, M.; Tomaru, K.; Takizawa, T.; Watanabe, A.; Niwano, K.; Yokoyama, T.; Wuytack, F.; Periasamy, M.; Nagai, R. Carvedilol Effectively Blocks Oxidative Stress-Mediated Downregulation of Sarcoplasmic Reticulum Ca2+-Atpase 2 Gene Transcription through Modification of sp1 Binding. Biochem. Biophys. Res. Commun. 2005, 328, 116–124. [Google Scholar] [CrossRef]
- Dong, Q.; Wu, Z.; Li, X.; Yan, J.; Zhao, L.; Yang, C.; Lu, J.; Deng, J.; Chen, M. Resveratrol Ameliorates Cardiac Dysfunction Induced by Pressure Overload in Rats via Structural Protection and Modulation of Ca2+ Cycling Proteins. J. Transl. Med. 2014, 12, 323–334. [Google Scholar] [CrossRef]
- Sung, M.M.; Dyck, J.R. Therapeutic Potential of Resveratrol in Heart Failure. Ann. New York Acad. Sci. 2015, 1348, 32–45. [Google Scholar] [CrossRef]
- Sulaiman, M.; Matta, M.J.; Sunderesan, N.R.; Gupta, M.P.; Periasamy, M. Resveratrol, an Activator of SIRT1, Upregulates Sarcoplasmic Calcium ATPase and Improves Cardiac Function in Diabetic Cardiomyopathy. Am. J. Physiol. Circ. Physiol. 2009, 298, H833–H843. [Google Scholar] [CrossRef] [PubMed]
- Kraus, C.; Rohde, D.; Weidenhammer, C.; Qiu, G.; Pleger, S.T.; Voelkers, M.; Boerries, M.; Remppis, A.; Katus, H.A.; Most, P. S100A1 in Cardiovascular Health and Disease: Closing the Gap between Basic Science and Clinical Therapy. J. Mol. Cell. Cardiol. 2009, 47, 445–455. [Google Scholar] [CrossRef] [PubMed]
- Kiewitz, R.; Lyons, G.E.; Schäfer, B.W.; Heizmann, C.W. Transcriptional Regulation of S100A1 and Expression during Mouse Heart Development. Biochim. Biophys. Acta 2000, 1498, 207–219. [Google Scholar] [CrossRef][Green Version]
- Song, W.; Zimmer, D.B. Expression of the Rat S100A1 Gene in Neurons, Glia, and Skeletal Muscle. Brain Res. 1996, 721, 204–216. [Google Scholar] [CrossRef]
- Fatemi, A.; Kazemi, A.; Kashiri, M.; Safa, M. Elevation of cAMP Levels Inhibits Doxorubicin-Induced Apoptosis in Pre-B ALL NALM- 6 Cells Through Induction of BAD Phosphorylation and Inhibition of P53 Accumulation. Int. J. Mol. Cell. Med. 2015, 4, 94–102. [Google Scholar] [PubMed]
- El-Mowafy, A.; Alkhalaf, M. Resveratrol Activates Adenylyl-Cyclase in Human Breast Cancer Cells: A Novel, Estrogen Receptor-Independent Cytostatic Mechanism. Carcinogenesis 2003, 24, 869–873. [Google Scholar] [CrossRef]








© 2020 by the authors. Licensee MDPI, Basel, Switzerland. This article is an open access article distributed under the terms and conditions of the Creative Commons Attribution (CC BY) license (http://creativecommons.org/licenses/by/4.0/).
Share and Cite
Alanazi, A.M.; Fadda, L.; Alhusaini, A.; Ahmad, R.; Hasan, I.H.; Mahmoud, A.M. Liposomal Resveratrol and/or Carvedilol Attenuate Doxorubicin-Induced Cardiotoxicity by Modulating Inflammation, Oxidative Stress and S100A1 in Rats. Antioxidants 2020, 9, 159. https://doi.org/10.3390/antiox9020159
Alanazi AM, Fadda L, Alhusaini A, Ahmad R, Hasan IH, Mahmoud AM. Liposomal Resveratrol and/or Carvedilol Attenuate Doxorubicin-Induced Cardiotoxicity by Modulating Inflammation, Oxidative Stress and S100A1 in Rats. Antioxidants. 2020; 9(2):159. https://doi.org/10.3390/antiox9020159
Chicago/Turabian StyleAlanazi, Abeer M., Laila Fadda, Ahlam Alhusaini, Rehab Ahmad, Iman H. Hasan, and Ayman M. Mahmoud. 2020. "Liposomal Resveratrol and/or Carvedilol Attenuate Doxorubicin-Induced Cardiotoxicity by Modulating Inflammation, Oxidative Stress and S100A1 in Rats" Antioxidants 9, no. 2: 159. https://doi.org/10.3390/antiox9020159
APA StyleAlanazi, A. M., Fadda, L., Alhusaini, A., Ahmad, R., Hasan, I. H., & Mahmoud, A. M. (2020). Liposomal Resveratrol and/or Carvedilol Attenuate Doxorubicin-Induced Cardiotoxicity by Modulating Inflammation, Oxidative Stress and S100A1 in Rats. Antioxidants, 9(2), 159. https://doi.org/10.3390/antiox9020159

