Cardiac and Metabolic Impact of Functional Foods with Antioxidant Properties Based on Whey Derived Proteins Enriched with Hemp Seed Oil
Abstract
1. Introduction
2. Materials and Methods
2.1. Animals
2.2. Drugs and Chemicals
2.3. Preparation of Diet Supplementation
2.4. Aqueous Phase Preparation
2.5. Oil Phase Preparation
2.6. Emulgel Production
2.7. Rheological Characterization
2.8. Evaluation of Total Polyphenols Content and Antioxidant Properties
2.9. Folin-Ciocalteu Assay
2.10. DPPH Assay
2.11. 2,2′-azinobis-(3-ethylbenzthiazoline-6-sulphonic Acid) (ABTS) Assay
3. Experimental Groups
- Control group fed with a standard diet (SD, diet 2018: 6.2% kcal fat, 18.6% kcal protein, and 44.2% kcal carbohydrate; Envigo, Udine, Italy)
- Group WDPP fed with SD supplemented with WDPP (13.33% WPI w/w%)
- Group HSOP fed with SD supplemented with WDPP (13.33% WPI w/w%) + HSO (9.5% w/w%)
- Group HSO fed with SD supplemented with 9.5% HSO.
4. “Anthropometric” Variables
5. Biochemical Analysis
5.1. Plasma Metabolic Profile
5.2. Lactate Dehydrogenase (LDH) Activity
5.3. Malondialdehyde (MDA) Concentration
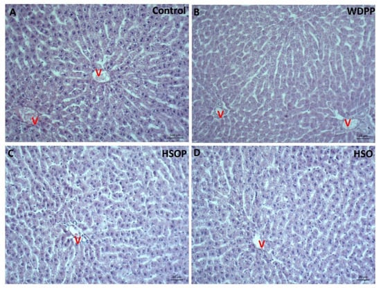
6. Liver Histology
7. Isolated Heart Perfusion
8. Basal Conditions
9. Ischemia/Reperfusion (I/R) Protocols
9.1. Infarct Size
9.2. Cardiac MDA Levels and Protein Oxidation
9.3. Western Blot Analysis
9.4. Statistics
10. Results
10.1. Rheological Properties of Puddings
10.2. Evaluation of Total Polyphenols Content and Antioxidant Properties
10.3. “Anthropometric” Variables
11. Biochemical Analysis
11.1. Metabolic Variables
11.2. Organ Injury and Oxidative Stress
12. Liver Histology and Damage
13. Cardiovascular Function
13.1. Basal Cardiac Parameters
13.2. Post-Ischemic Cardiac Function
13.3. Infarct Size and Cardiac Oxidative Stress
13.4. Western Blot
14. Discussion
15. Conclusions
Author Contributions
Funding
Acknowledgments
Conflicts of Interest
References
- Meyer, F.; Valentini, L. Disease-Related Malnutrition and Sarcopenia as Determinants of Clinical Outcome. Visc. Med. 2019, 35, 282–290. [Google Scholar] [CrossRef] [PubMed]
- Elia, M.; Stratton, R.; Russell, C.; Green, C.; Pang, F. The Cost of Disease Related Malnutrition in the UK and Economic Considerations for the Use of Oral Nutritional Supplements (ONS) in Adults: Executive Summary; Elia, M., Ed.; British Association for Parenteral and Enteral Nutrition: Redditch, UK, 2006. [Google Scholar]
- Cao, L.; Morley, J.E. Sarcopenia Is Recognized as an Independent Condition by an International Classification of Disease, Tenth Revision, Clinical Modification (ICD-10-CM) Code. J. Am. Med. Dir. Assoc. 2016, 17, 675–677. [Google Scholar] [CrossRef]
- Sieber, C.C. Malnutrition and sarcopenia. Aging Clin. Exp. Res. 2019, 31, 793–798. [Google Scholar] [CrossRef] [PubMed]
- Fujishima, I.; Fujiu-Kurachi, M.; Arai, H.; Hyodo, M.; Kagaya, H.; Maeda, K.; Mori, T.; Nishioka, S.; Oshima, F.; Ogawa, S.; et al. Sarcopenia and dysphagia: Position paper by four professional organizations. Geriatr. Gerontol. Int. 2019, 19, 91–97. [Google Scholar] [CrossRef] [PubMed]
- Mijnarends, D.M.; Luiking, Y.C.; Halfens, R.J.G.; Evers, S.M.A.A.; Lenaerts, E.L.A.S.; Wallace, V.M.; Schols, J.M.G.A.; Meijers, J.M.M. Muscle health and costs: A glance at their relationship. J. Nutr. Health Aging 2018, 22, 766–773. [Google Scholar] [CrossRef] [PubMed]
- Kim, T.N.; Park, M.S.; Lee, E.J.; Chung, H.S.; Yoo, H.J.; Kang, H.J.; Song, W.; Baik, S.H.; Choi, K.M. Comparisons of three different methods for defining sarcopenia: An aspect of cardiometabolic risk. Sci. Rep. 2017, 7, 6491. [Google Scholar] [CrossRef] [PubMed]
- Clavé, P.; de Kraa, M.; Arreola, V.; Girvent, M.; Farré, R.; Palomera, E.; Serra-Prat, M. The effect of bolus viscosity on swallowing function in neurogenic dysphagia. Aliment. Pharmacol. Ther. 2006, 24, 1385–1394. [Google Scholar] [CrossRef]
- Eglseer, D.; Halfens, R.J.G.; Schols, J.M.G.A.; Lohrmann, C. Dysphagia in hospitalized older patients: Associated factors and nutritional interventions. J. Nutr. Health Aging 2018, 22, 103–110. [Google Scholar] [CrossRef]
- Huppertz, V.A.L.; Halfens, R.J.G.; van Helvoort, A.; de Groot, L.C.P.G.M.; Baijens, L.W.J.; Schols, J.M.G.A. Association between oropharyngeal dysphagia and malnutrition in dutch nursing home residents: Results of the national prevalence measurement of quality of care. J. Nutr. Health Aging 2018, 22, 1246–1252. [Google Scholar] [CrossRef]
- Blanař, V.; Hödl, M.; Lohrmann, C.; Amir, Y.; Eglseer, D. Dysphagia and factors associated with malnutrition risk: A 5-year multicentre study. J. Adv. Nurs. 2019, 75, 3566–3576. [Google Scholar] [CrossRef]
- Gallegos, C.; Brito-de la Fuente, E.; Clavé, P.; Costa, A.; Assegehegn, G. Nutritional Aspects of Dysphagia Management. Adv. Food Nutr. Res. 2017, 81, 271–318. [Google Scholar] [PubMed]
- Laguna, L.; Hetherington, M.M.; Chen, J.; Artigas, G.; Sarkar, A. Measuring eating capability, liking and difficulty perception of older adults: A textural consideration. Food Qual. Prefer. 2016, 53, 47–56. [Google Scholar] [CrossRef]
- Matsuo, K.; Palmer, J.B. Coordination of mastication, swallowing and breathing. Jpn. Dent. Sci. Rev. 2009, 45, 31–40. [Google Scholar] [CrossRef] [PubMed]
- Engmann, J.; Burbidge, A.S. Fluid mechanics of eating, swallowing and digestion—Overview and perspectives. Food Funct. 2013, 4, 443–447. [Google Scholar] [CrossRef] [PubMed]
- Newman, R.; Vilardell, N.; Clavé, P.; Speyer, R. Effect of bolus viscosity on the safety and efficacy of swallowing and the kinematics of the swallow response in patients with oropharyngeal dysphagia: White paper by the European society for swallowing disorders (ESDD). Dysphagia 2016, 31, 232–249. [Google Scholar] [CrossRef]
- Steele, C.; Alsanei, W.A.; Ayanikalath, S.; Barbon, C.E.A.; Chen, J.; Chichero, J.A.; Coutts, K.; Dantas, R.O.; Duivestein, J.; Giosa, L.; et al. The influence of food textures and liquid consistency modification on swallowing physiology and function: A systematic review. Dysphagia 2015, 30, 2–26. [Google Scholar] [CrossRef] [PubMed]
- Tieland, M.; Dirks, M.L.; van der Zwaluw, N.; Verdijk, L.B.; van de Rest, O.; de Groot, L.C.; van Loon, L.J.C. Protein supplementation increases muscle mass gain during prolonged resistance-type exercise training in frail elderly people: A randomized, double-blind, placebo-controlled trial. J. Am. Med. Dir. Assoc. 2012, 13, 713–719. [Google Scholar] [CrossRef] [PubMed]
- Naseeb, M.A.; Volpe, S.L. Protein, and exercise in the prevention of sarcopenia and aging. Nutr. Res. 2017, 40, 1–20. [Google Scholar] [CrossRef]
- Lionetti, V.; Tuana, B.S.; Casieri, V.; Parikh, M.; Pierce, G.N. Importance of functional food compounds in cardioprotection through action on the epigenome. Eur. Heart J. 2019, 40, 575–582. [Google Scholar] [CrossRef]
- Lancha, A.H., Jr.; Zanella, R., Jr.; Tanabe, S.G.; Andriamihaja, M.; Blachier, F. Dietary protein supplementation in the elderly for limiting muscle mass loss. Amino Acids 2017, 49, 33–47. [Google Scholar] [CrossRef]
- Davies, R.W.; Carson, B.P.; Jakeman, P.M. The Effect of Whey Protein Supplementation on the Temporal Recovery of Muscle Function Following Resistance Training: A Systematic Review and Meta-Analysis. Nutrients 2018, 10, 221. [Google Scholar] [CrossRef] [PubMed]
- Del Bo’, C.; Deon, V.; Abello, F.; Massini, G.; Porrini, M.; Riso, P.; Guardamagna, O. Eight-week hempseed oil intervention improves the fatty acid composition of erythrocyte phospholipids and the omega-3 index, but does not affect the lipid profile in children and adolescents with primary hyperlipidemia. Food Res. Int. 2019, 119, 469–476. [Google Scholar] [CrossRef]
- Lupi, F.R.; Gabriele, D.; Seta, L.; Baldino, N.; De Cindio, B.; Marino, R. Rheological investigation of pectin-based emulsion gels for pharmaceutical and cosmetic uses. Rheol. Acta 2015, 54, 41–52. [Google Scholar] [CrossRef]
- Lupi, F.R.; Franco, G.; Baldino, N.; Gabriele, D. The effect of operating conditions on the physicochemical characteristics of whey protein-based systems. Rheol. Acta 2020, 59, 227–238. [Google Scholar] [CrossRef]
- Parisi, O.I.; Malivindi, R.; Amone, F.; Ruffo, M.; Malanchin, R.; Carlomagno, F.; Piangiolino, C.; Nobile, V.; Pezzi, V.; Scrivano, L.; et al. Safety and Efficacy of Dextran-Rosmarinic Acid Conjugates as Innovative Polymeric Antioxidants in Skin Whitening: What Is the Evidence? Cosmetics 2017, 4, 28. [Google Scholar] [CrossRef]
- Parisi, O.I.; Aiello, D.; Casula, M.F.; Puoci, F.; Malivindi, R.; Scrivano, L.; Testa, F. Mesoporous nanocrystalline TiO2 loaded with ferulic acid for sunscreen and photo-protection: Safety and efficacy assessment. RSC Adv. 2016, 6, 83767. [Google Scholar] [CrossRef]
- Casacchia, T.; Scavello, F.; Rocca, C.; Granieri, M.C.; Beretta, G.; Amelio, D.; Gelmini, F.; Spena, A.; Mazza, R.; Toma, C.C.; et al. Leopoldia comosa prevents metabolic disorders in rats with high-fat-diet induced obesity. Eur. J. Nutr. 2019, 58, 965–979. [Google Scholar] [CrossRef]
- McQueen, M.J. Optimal Assay of LDH and α-HBD at 37 °C. Ann. Clin. Biochem. 1972, 9, 2. [Google Scholar] [CrossRef]
- Rocca, C.; Scavello, F.; Colombo, B.; Gasparri, A.M.; Dallatomasina, A.; Granieri, M.C.; Amelio, D.; Pasqua, T.; Cerra, M.C.; Tota, B.; et al. Physiological levels of chromogranin A prevent doxorubicin-induced cardiotoxicity without impairing its anticancer activity. FASEB J. 2019, 33, 7734–7747. [Google Scholar] [CrossRef]
- Assimakopoulos, S.F.; Vagianos, C.E.; Zervoudakis, G.; Filos, K.S.; Georgiou, C.; Nikolopoulou, V.; Scopa, C.D. Gut regulatory peptides bombesin and neurotensin reduce hepatic oxidative stress and histological alterations in bile duct ligated rats. Regul. Pept. 2004, 120, 185–193. [Google Scholar] [CrossRef]
- Angelone, T.; Quintieri, A.M.; Pasqua, T.; Filice, E.; Cantafio, P.; Scavello, F.; Rocca, C.; Mahata, S.K.; Gattuso, A.; Cerra, M.C. The NO stimulator, Catestatin, improves the Frank-Starling response in normotensive and hypertensive rat hearts. Nitric Oxide 2015, 50, 10–19. [Google Scholar] [CrossRef]
- Angelone, T.; Filice, E.; Quintieri, A.M.; Imbrogno, S.; Amodio, N.; Pasqua, T.; Pellegrino, D.; Mulè, F.; Cerra, M.C. Receptor identification and physiological characterisation of glucagon-like peptide-2 in the rat heart. Nutr. Metabol. Cardiovasc. Dis. 2012, 22, 486–494. [Google Scholar] [CrossRef] [PubMed]
- Pasqua, T.; Filice, E.; Mazza, R.; Quintieri, A.M.; Cerra, M.C.; Iannacone, R.; Melfi, D.; Indiveri, C.; Gattuso, A.; Angelone, T. Cardiac and hepatic role of r-AtHSP70: Basal effects and protection against ischemic and sepsis conditions. J. Cell. Mol. Med. 2015, 19, 1492–1503. [Google Scholar] [CrossRef] [PubMed]
- Filice, E.; Pasqua, T.; Quintieri, A.M.; Cantafio, P.; Scavello, F.; Amodio, N.; Cerra, M.C.; Marban, C.; Schneider, F.; Metz-Boutigue, M.H.; et al. Chromofungin, CgA47-66-derived peptide, produces basal cardiac effects and postconditioning cardioprotective action during ischemia/reperfusion injury. Peptides 2015, 71, 40–48. [Google Scholar] [CrossRef] [PubMed]
- Rocca, C.; Scavello, F.; Granieri, M.C.; Pasqua, T.; Amodio, N.; Imbrogno, S.; Gattuso, A.; Mazza, R.; Cerra, M.C.; Angelone, T. Phoenixin-14: Detection and novel physiological implications in cardiac modulation and cardioprotection. Cell. Mol. Life Sci. 2018, 75, 743–756. [Google Scholar] [CrossRef] [PubMed]
- Pasqua, T.; Tota, B.; Penna, C.; Corti, A.; Cerra, M.C.; Loh, Y.P.; Angelone, T. pGlu-serpinin protects the normotensive and hypertensive heart from ischemic injury. J. Endocrinol. 2015, 227, 167–178. [Google Scholar] [CrossRef][Green Version]
- Rocca, C.; Boukhzar, L.; Granieri, M.C.; Alsharif, I.; Mazza, R.; Lefranc, B.; Tota, B.; Leprince, J.; Cerra, M.C.; Anouar, Y.; et al. A selenoprotein T-derived peptide protects the heart against ischaemia/reperfusion injury through inhibition of apoptosis and oxidative stress. Acta Physiol. 2018, 223, e13067. [Google Scholar] [CrossRef]
- Penna, C.; Tullio, F.; Femminò, S.; Rocca, C.; Angelone, T.; Cerra, M.C.; Gallo, M.P.; Gesmundo, J.; Fanciulli, A.; Brizzi, M.F.; et al. Obestatin regulates cardiovascular function and promotes cardioprotection through the nitric oxide pathway. J. Cell. Mol. Med. 2017, 21, 3670–3678. [Google Scholar] [CrossRef]
- Quintieri, A.M.; Filice, E.; Amelio, D.; Pasqua, T.; Lupi, F.R.; Scavello, F.; Cantafio, P.; Rocca, C.; Lauria, A.; Penna, C.; et al. The innovative “Bio-Oil Spread” prevents metabolic disorders and mediates preconditioning-like cardioprotection in rats. Nutr. Metab. Cardiovasc. Dis. 2016, 26, 603–613. [Google Scholar] [CrossRef]
- Rocca, C.; Femminò, S.; Aquila, G.; Granieri, M.C.; De Francesco, E.M.; Pasqua, T.; Rigiracciolo, D.C.; Fortini, F.; Cerra, M.C.; Maggiolini, M.; et al. Notch1 Mediates Preconditioning Protection Induced by GPER in Normotensive and Hypertensive Female Rat Hearts. Front. Physiol. 2018, 9, 521. [Google Scholar] [CrossRef]
- Gabriele, D.; De Cindio, B.; D’Antona, P. A weak gel model for foods. Rheol. Acta 2001, 40, 120–127. [Google Scholar] [CrossRef]
- Deutz, N.E.; Bauer, J.M.; Barazzoni, R.; Biolo, G.; Boirie, Y.; Bosy-Westphal, A.; Cederholm, T.; Cruz-Jentoft, A.; Krznariç, Z.; Nair, K.S.; et al. Protein intake and exercise for optimal muscle function with aging: Recommendations from the ESPEN Expert Group. Clin. Nutr. 2014, 33, 929–936. [Google Scholar] [CrossRef] [PubMed]
- Liao, Y.; Peng, Z.; Chen, L.; Zhang, Y.; Cheng, Q.; Nüssler, A.K.; Bao, W.; Liu, L.; Yang, W. Prospective Views for Whey Protein and/or Resistance Training Against Age-related Sarcopenia. Aging Dis. 2019, 10, 157–173. [Google Scholar] [CrossRef] [PubMed]
- Zargaraan, A.; Rastmanesh, R.; Fadavi, G.; Zayeri, F.; Mohammadifar, M.A. Rheological aspects of dysphagia-oriented food products: A mini review. Food Sci. Hum. Wellness 2013, 2, 173–178. [Google Scholar] [CrossRef]
- Marconati, M.; Engmann, J.; Burbidge, A.S.; Mathieu, V.; Souchon, I.; Ramaioli, M. A review of the approaches to predict the ease of swallowing and post-swallow residues. Trends Food Sci. Technol. 2019, 86, 281–297. [Google Scholar] [CrossRef]
- Quinchia, L.A.; Valencia, C.; Partal, P.; Franco, J.M.; Brito-de la Fuente, E.; Gallegos, C. Linear and non-linear viscoelasticity of puddings for nutritional management of dysphagia. Food Hydrocoll. 2011, 25, 586–593. [Google Scholar] [CrossRef]
- Talens, P.; Castells, M.L.; Verdú, S.; Barat, J.M.; Grau, R. Flow, viscoelastic and masticatory properties of tailormade thickened pea cream for people with swallowing problems. J. Food Eng. 2020, 292, 110265. [Google Scholar] [CrossRef]
- Pal, R. Novel shear modulus equations for concentrated emulsions of two immiscible elastic liquids with interfacial tension. J. Nonnewton. Fluid Mech. 2002, 105, 21–33. [Google Scholar] [CrossRef]
- Van Vliet, T. Rheological properties of filled gels. Influence of filler matrix interaction. Colloid Polym. Sci. 1988, 266, 518–524. [Google Scholar] [CrossRef]
- Patel, S. Emerging trends in nutraceutical applications of whey protein and its derivatives. J. Food Sci. Technol. 2015, 52, 6847–6858. [Google Scholar] [CrossRef]
- Sánchez-Oliver, A.J.; Contreras-Calderón, J.; Puya-Braza, J.M.; Guerra-Hernández, E. Quality analysis of commercial protein powder supplements and relation to characteristics declared by manufacturer. LWT 2018, 97, 100–108. [Google Scholar] [CrossRef]
- Tang, J.A.; Moore, D.R.; Kujbida, G.W.; Tarnopolsky, M.A.; Phillips, S.M. Ingestion of whey hydrolysate, casein, or soy protein isolate: Effects on mixed muscle protein synthesis at rest and following resistance exercise in young men. J. Appl. Physiol. 2009, 107, 987–992. [Google Scholar] [CrossRef] [PubMed]
- Gavel, N.T.; Edel, A.L.; Bassett, C.M.; Weber, A.M.; Merchant, M.; Rodriguez-Leyva, D.; Pierce, G.N. The effect of dietary hempseed on atherogenesis and contractile function in aortae from hypercholesterolemic rabbits. Acta Physiol. Hung. 2011, 98, 273–283. [Google Scholar] [CrossRef] [PubMed]
- Simopoulos, A.P. The importance of the omega-6/omega-3 fatty acid ratio incardiovascular disease and other chronic diseases. Exp. Biol. Med. 2008, 233, 674–688. [Google Scholar] [CrossRef]
- Kawase, M.; Hashimoto, H.; Hosoda, M.; Morita, H.; Hosono, A. Effect of administration of fermented milk containing whey protein concentrate to rats and healthy men on serum lipids and blood pressure. J. Dairy Sci. 2000, 83, 255–263. [Google Scholar] [CrossRef]
- Badely, M.; Sepandi, M.; Samadi, M.; Parastouei, K.; Taghdir, M. The effect of whey protein on the components of metabolic syndrome in overweight and obese individuals; a systematic review and meta-analysis. Diabetes Metab. Syndr. 2019, 13, 3121–3131. [Google Scholar] [CrossRef]
- Prociuk, M.A.; Edel, A.L.; Richard, M.N.; Gavel, N.T.; Ander, B.P.; Dupasquier, C.M.; Pierce, G.N. Cholesterol-induced stimulation of platelet aggregation is prevented by a hempseed-enriched diet. Can. J. Physiol. Pharmacol. 2008, 86, 153–159. [Google Scholar] [CrossRef]
- Hallén, J.; Sreeharan, N. Development of triglyceride-lowering drugs to address residual cardiovascular risk: Strategic and clinical considerations. Eur. Heart J. Cardiovasc. Pharmacother. 2018, 4, 237–242. [Google Scholar] [CrossRef]
- Farhana, A.; Lappin, S.L. Biochemistry, Lactate Dehydrogenase (LDH); StatPearls Publishing: Treasure Island, FL, USA, 2020. [Google Scholar]
- Del Rio, D.; Stewart, A.J.; Pellegrini, N. A review of recent studies on malondialdehyde as toxic molecule and biological marker of oxidative stress. Nutr. Metab. Cardiovasc. Dis. 2005, 15, 316–328. [Google Scholar] [CrossRef]
- Neri, M.; Fineschi, V.; Di Paolo, M.; Pomara, C.; Riezzo, I.; Turillazzi, E.; Cerretani, D. Cardiac oxidative stress and inflammatory cytokines response after myocardial infarction. Curr. Vasc. Pharmacol. 2015, 13, 26–36. [Google Scholar] [CrossRef]
- Caimi, G.; Hopps, E.; Montana, M.; Carollo, C.; Calandrino, V.; Gallà, E.; Canino, B.; Lo Presti, R. Behaviour of carbonyl groups in several clinical conditions: Analysis of our survey. Clin. Hemorheol. Microcirc. 2020, 74, 299–313. [Google Scholar] [CrossRef] [PubMed]
- Qi, D.; Young, L.H. AMPK: Energy sensor and survival mechanism in the ischemic heart. Trends Endocrinol. Metab. 2015, 26, 422–429. [Google Scholar] [CrossRef] [PubMed]
- DeMan, J.M. Chemical and physical properties of fatty acids. In Fatty Acids in Foods and Their Health Implications, 2nd ed.; Ching Kuang, C., Ed.; Marcel Dekker, Inc.: Basel, Switzerland, 2000; pp. 17–46. [Google Scholar]
- Sah, B.N.P.; Vasiljevic, T.; McKechnie, S.; Donkor, O.N. Antioxidative and antibacterial peptides derived from bovine milk proteins. Crit. Rev. Food Sci. Nutr. 2018, 58, 726–740. [Google Scholar] [CrossRef] [PubMed]
- Brandelli, A.; Daroit, D.J.; Folmer Corrêa, A.P. Whey as a source of peptides with remarkable biological activities. Int. Food Res. J. 2015, 73, 149–161. [Google Scholar] [CrossRef]
- Martin, M.; Kopaliani, I.; Jannasch, A.; Mund, C.; Todorov, V.; Henle, T.; Deussen, A. Antihypertensive and cardioprotective effects of the dipeptide isoleucine-tryptophan and whey protein hydrolysate. Acta Physiol. 2015, 215, 167–176. [Google Scholar] [CrossRef] [PubMed]
- Al-Khalifa, A.; Maddaford, T.G.; Chahine, M.N.; Austria, J.A.; Edel, A.L.; Richard, M.N.; Ander, B.P.; Gavel, N.; Kopilas, M.; Ganguly, R.; et al. Effect of dietary hempseed intake on cardiac ischemia-reperfusion injury. Am. J. Physiol. Regul. Integr. Comp. Physiol. 2007, 292, R1198–R1203. [Google Scholar] [CrossRef]








| SAMPLE ID | |||
|---|---|---|---|
| INGREDIENTS | WDPP (w/w %) | HSOP (w/w %) | |
| WPI | 13.33 | 13.33 | |
| Water | 86.67 | 76.67 | |
| Hemp seeds oil | 0 | 9.50 | |
| Soy Lecithin | 0 | 0.50 | |
| WPI/tot ratio | 12 | 12 | |
| Energy (kJ/100 g) | 212 | 556 | |
| Energy (kcal/100 g) | 50.6 | 132.8 | |
| Energy from proteins (kcal) | 50.6 | 50.6 | |
| Total Fats (g/100 g) | 0.13 | 9.9 | |
| Saturated Fats (g/100 g) | 0.02 | 0.56 | |
| Total Carbohydrates (g/100 g) | 0.27 | 0.28 | |
| SAMPLE ID | SAMPLE ID | ||
| HSO (per 100 mL) | SD (per 100 g) | ||
| Proteins (g) | 0 | Proteins (g) | 18.6 |
| Carbohydrates (g) | 0 | Carbohydrates (g) | 44.2 |
| Total Fats (g) | 99.5 | Total Fats (g) | 6.2 |
| Saturated Fats (g) | 5 | Saturated Fats (g) | 0.9 |
| Monounsaturated Fats (g) | 12.5 | Monounsaturated Fats (g) | 1.3 |
| Omega-3 Fat (g) | 82 | Omega-3 Fat (g) | 0.3 |
| Omega-6 Fat (g) | 64 | Omega-6 Fat (g) | 3.1 |
| Vitamin (g) | 6.1 | Vitamin A (IU/g) | 15 |
| Vitamin D3 (IU/g) | 1.5 | ||
| DPPH INHIBITION (%) | ABTS INHIBITION (%) | ||
|---|---|---|---|
| SAMPLE CONCENTRATION (mg/mL) | SD | SAMPLE CONCENTRATION (mg/mL) | SD |
| 10 | 14.89 ± 0.99 | 20 | 81.92 ± 1.60 |
| 15 | 22.24 ± 1.23 | 30 | 83.92 ± 2.67 |
| 20 | 25.65 ± 1.30 | 40 | 87.64 ± 0.95 |
| 25 | 36.45 ± 0.65 | 50 | 87.87 ± 1.13 |
| DPPH INHIBITION (%) | ABTS INHIBITION (%) | ||||||
|---|---|---|---|---|---|---|---|
| SAMPLE CONCENTRATION (mg/mL) | WDPP | HSOP | HSO | SAMPLE CONCENTRATION (mg/mL) | WDPP | HSOP | HSO |
| 10 | 15.84 ± 1.67 | 19.64 ± 1.45 *,§§ | 5.57 ± 0.63 ** | 20 | 9.29 ± 1.06 | 14.08 ± 1.58 **,§§ | 3.09 ± 0.44 ** |
| 15 | 37.04 ± 1.04 | 46.8 ± 0.79 **,§§ | 13.61 ± 1.43 ** | 30 | 23.41 ± 1.16 | 37.49 ± 1.37 **,§§ | 8.56 ± 0.65 ** |
| 20 | 60.07 ± 2.03 | 72.62 ± 1.04 **,§§ | 22.16 ± 1.89 ** | 40 | 49.60 ± 0.95 | 78.47 ± 1.21 **,§§ | 18.62 ± 1.10 ** |
| 25 | 78.39 ± 0.92 | 84.33 ± 1.16 **,§§ | 31.39 ± 1.61 ** | 50 | 75.30 ± 1.55 | 81.66 ± 1.19 **,§§ | 27.65 ± 0.82 ** |
| “Anthropometric” Parameters | Control | WDPP | HSOP | HSO |
|---|---|---|---|---|
| Food intake (g/die) | 22.5 ± 0.2 | 21.8 ± 0.3 | 22.2 ± 0.3 | 22.0 ± 0.3 |
| Water intake (mL/die) | 31.7 ± 0.3 | 33.0 ± 0.3 | 32.7 ± 0.5 | 32.5 ± 0.2 |
| Body weight (g) | 465 ± 17 | 486 ± 37 | 469 ± 11 | 476 ± 8 |
| Waist circumference (cm) | 22.3 ± 0.3 | 22 ± 0.5 | 21.3 ± 0.2 | 22 ± 0.3 |
| Body length (cm) | 26 ± 0.1 | 26 ± 0.2 | 26 ± 0.2 | 26 ± 0.2 |
| BMI (Kg/m2) | 7 ± 0.3 | 7.4 ± 0.6 | 7.2 ± 0.3 | 7.2 ± 0.1 |
| Abdominal fat (g) | 7.1 ± 0.4 | 7.9 ± 0.3 | 7.3 ± 0.6 | 7.5 ± 0.6 |
| Epididymal fat (g) | 2.6 ± 0.2 | 3 ± 0.2 | 3.1 ± 0.3 | 3.2 ± 0.1 |
| Liver weight (g) | 14.5 ± 0.4 | 15.1 ± 0.7 | 14.7 ± 0.6 | 14.3 ± 0.9 |
| Liver to body weight (%) | 3.1 ± 0.13 | 3.2 ± 0.4 | 3.2 ± 0.2 | 3 ± 0.2 |
| Heart weight (g) | 1.70 ± 0.09 | 1.88 ± 0.1 | 1.82 ± 0.09 | 1.85 ± 0.08 |
| Cardiac somatic index | 0.37 ± 0.01 | 0.39 ± 0.03 | 0.39 ± 0.02 | 0.39 ± 0.02 |
| Experimental Group | dLVP (mmHg) | LVEDP (mmHg) | HR (Beats/min) | CP (mmHg) |
|---|---|---|---|---|
| SD | 64 ± 9 | 4 ± 0.4 | 241 ± 23 | 67 ± 6 |
| WDPP | 89 ± 16 | 5 ± 0.9 | 220 ± 14 | 61 ± 5 |
| HSOP | 78 ± 6 | 5 ± 1 | 222 ± 13 | 68 ± 3 |
| HSO | 70 ± 10 | 5 ± 1 | 250 ± 18 | 66 ± 3 |
Publisher’s Note: MDPI stays neutral with regard to jurisdictional claims in published maps and institutional affiliations. |
© 2020 by the authors. Licensee MDPI, Basel, Switzerland. This article is an open access article distributed under the terms and conditions of the Creative Commons Attribution (CC BY) license (http://creativecommons.org/licenses/by/4.0/).
Share and Cite
Pasqua, T.; Rocca, C.; Lupi, F.R.; Baldino, N.; Amelio, D.; Parisi, O.I.; Granieri, M.C.; De Bartolo, A.; Lauria, A.; Dattilo, M.; et al. Cardiac and Metabolic Impact of Functional Foods with Antioxidant Properties Based on Whey Derived Proteins Enriched with Hemp Seed Oil. Antioxidants 2020, 9, 1066. https://doi.org/10.3390/antiox9111066
Pasqua T, Rocca C, Lupi FR, Baldino N, Amelio D, Parisi OI, Granieri MC, De Bartolo A, Lauria A, Dattilo M, et al. Cardiac and Metabolic Impact of Functional Foods with Antioxidant Properties Based on Whey Derived Proteins Enriched with Hemp Seed Oil. Antioxidants. 2020; 9(11):1066. https://doi.org/10.3390/antiox9111066
Chicago/Turabian StylePasqua, Teresa, Carmine Rocca, Francesca Romana Lupi, Noemi Baldino, Daniela Amelio, Ortensia Ilaria Parisi, Maria Concetta Granieri, Anna De Bartolo, Arturo Lauria, Marco Dattilo, and et al. 2020. "Cardiac and Metabolic Impact of Functional Foods with Antioxidant Properties Based on Whey Derived Proteins Enriched with Hemp Seed Oil" Antioxidants 9, no. 11: 1066. https://doi.org/10.3390/antiox9111066
APA StylePasqua, T., Rocca, C., Lupi, F. R., Baldino, N., Amelio, D., Parisi, O. I., Granieri, M. C., De Bartolo, A., Lauria, A., Dattilo, M., Perrotta, I. D., Puoci, F., Cerra, M. C., Gabriele, D., & Angelone, T. (2020). Cardiac and Metabolic Impact of Functional Foods with Antioxidant Properties Based on Whey Derived Proteins Enriched with Hemp Seed Oil. Antioxidants, 9(11), 1066. https://doi.org/10.3390/antiox9111066

