Effects of Black Cumin Seed Extract on Pancreatic Islet β-Cell Proliferation and Hypoglycemic Activity in Streptozotocin-Induced Diabetic Rats
Abstract
1. Introduction
2. Materials and Methods
2.1. Experimental Design
2.2. Test Materials
2.3. High-Performance Liquid Chromatography Analyses
2.4. Measurements
2.4.1. Body Weight Measurement
2.4.2. Organ Weight Measurement
2.4.3. Measurement of Blood Glucose Level
2.4.4. Serum Insulin and HbA1c
2.4.5. Serum Biochemistry
2.4.6. Oral Glucose Tolerance Test (OGTT)
2.4.7. Pancreas Capase-3, TGF-β1, and IL-1β Gene Expression
2.4.8. Histopathology and Immunohistochemistry
2.4.9. Oxidative Stress Markers
2.4.10. Hepatic Glucose-Regulating Enzymes
2.5. Statistical Analysis
3. Results
3.1. Effects of BCS on Body Weight and Weight Gains in STZ-Induced Diabetic Rats
3.2. Anti-Diabetic Hypoglycemic Effects
3.2.1. Effects on Pancreatic Weight in STZ-Induced Diabetic Rats
3.2.2. Reduction in Hyperglycemia Following BCS Administration
3.2.3. Oral Glucose Tolerance Test (OGTT) in STZ-Induced Diabetic Rats Treated with BCS
3.2.4. Improvement in Insulin Secretion Following BCS Treatment
3.2.5. Reduction in HbA1c Levels Following BCS Treatment
3.2.6. Effects of BCS on the Pancreas Caspase-3, TGF-β1, and IL-1β mRNA Expressions
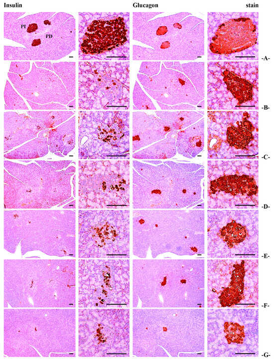
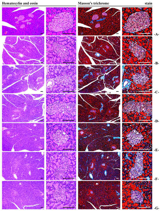
3.2.7. Effects of BCS on Pancreatic Histopathology and Insulin-Positive Cell Count
3.3. Oxidative Stress Mitigation in Liver, Kidney, and Pancreas Following BCS Treatment
3.4. Hepatoprotective Effects of BCS: Impact on Liver Weight
3.4.1. The Increase in Both Absolute and Relative Liver Weight
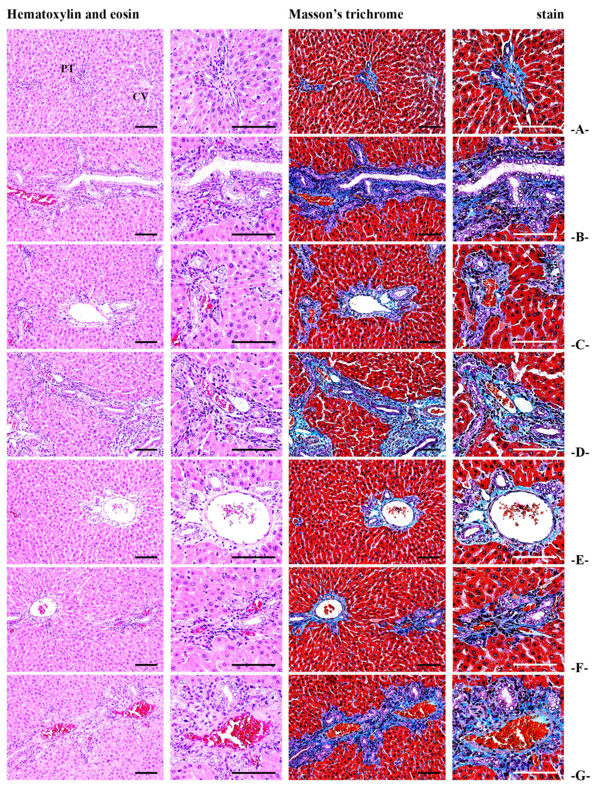
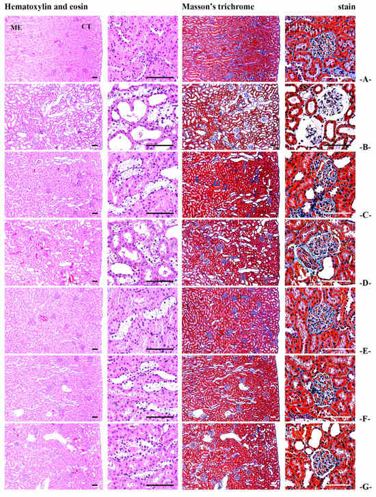
3.4.2. Effects of BCS on Serum Liver Enzymes and Liver Histopathology
3.4.3. Effects of BCS on Hepatic Glucose-Regulating Enzyme Activity
3.5. Nephroprotective Effects
3.5.1. Effects of BCS on Kidney Weight
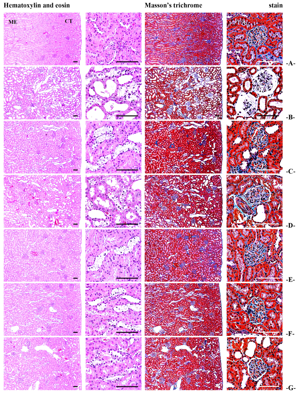
3.5.2. Effects of BCS on Serum BUN, Creatinine Levels, and Kidney Histopathology
3.6. Hypolipidemic Effects of BCS on Serum Lipid Profile
4. Discussion
5. Conclusions
Supplementary Materials
Author Contributions
Funding
Institutional Review Board Statement
Informed Consent Statement
Data Availability Statement
Conflicts of Interest
Abbreviations
| ALP | Alkaline phosphatase |
| ALT | Alanine phosphatase |
| ANOVA | Analysis of variance |
| AST | Aspartate phosphatase |
| BCS | Black cumin seed extract |
| BUN | Blood urea nitrogen |
| CAT | Catalase |
| G6Pase | Glucose-6-phosphatase |
| GAPDH | Glyceraldehyde-3-phosphate dehydrogenase |
| GGT | Gamma-glutamyl transferase |
| GK | Glucokinase |
| GSH | Glutathione |
| HbA1c | Hemoglobin A1c |
| HDL | High-density lipoprotein |
| HPLC | High-performance liquid chromatography |
| IL-1β | Interleukin-1 beta |
| LDH | Lactate dehydrogenase |
| LDL | Low-density lipoprotein |
| MDA | Malondialdehyde |
| OGTT | Oral glucose tolerance test |
| PEPCK | Phosphoenolpyruvate carboxykinase |
| ROS | Reactive oxygen species |
| SOD | Superoxide dismutase |
| SPF | Specific pathogen-free |
| STZ | Streptozotocin |
| TC | Total cholesterol |
| TG | Triglycerides |
| TGF-β1 | Transforming growth factor-beta 1 |
| TQ | Thymoquinone |
| VAF | Virus antibody free |
References
- Ha, K.H.; Kim, D.J. Changes in the epidemiological landscape of diabetes in South Korea: Trends in prevalence, incidence, and healthcare expenditures. Endocrinol. Metab. 2024, 39, 669–677. [Google Scholar] [CrossRef] [PubMed]
- Yu, T.; Robotham, J.L.; Yoon, Y. Increased production of reactive oxygen species in hyperglycemic conditions requires dynamic change of mitochondrial morphology. Proc. Natl. Acad. Sci. USA 2006, 103, 2653–2658. [Google Scholar] [CrossRef] [PubMed]
- Darenskaya, M.A.; Kolesnikova, L.I.; Kolesnikov, S.I. Oxidative stress: Pathogenetic role in diabetes mellitus and its complications and therapeutic approaches to correction. Bull. Exp. Biol. Med. 2021, 171, 179–189. [Google Scholar] [CrossRef] [PubMed]
- Harding, J.L.; Pavkov, M.E.; Magliano, D.J.; Shaw, J.E.; Gregg, E.W. Global trends in diabetes complications: A review of current evidence. Diabetologia 2019, 62, 3–16. [Google Scholar] [CrossRef]
- Leão, A.D.; da Silva, J.R.; Agostini, J.F.; Santo, G.D.; Vieira, L.D.; Neto, J.d.C.S.; Ramos, K.R.d.L.P.; da Silva, T.G.; Alvarez-Lorenzo, C.; Wanderley, A.G. Efficacy and safety of nanoparticles of glibenclamide and organomodified layered double hydroxides in diabetics rats. Int. J. Pharm. 2023, 634, 122678. [Google Scholar]
- Frederico, M.J.S.; Castro, A.J.G.; Menegas, D.; Murat, C.D.B.; Mendes, C.P.; Mascarello, A.; Nunes, R.J.; Silva, F.R.M.B. Mechanism of action of novel glibenclamide derivatives on potassium and calcium channels for insulin secretion. Curr. Drug Targets 2017, 18, 641–650. [Google Scholar] [CrossRef]
- Shabana, A.; El-Menyar, A.; Asim, M.; Al-Azzeh, H.; Thani, H.A. Cardiovascular benefits of black cumin (Nigella sativa). Cardiovasc. Toxicol. 2013, 13, 9–21. [Google Scholar] [CrossRef]
- AlSuhaymi, N. Therapeutic Effects of Nigella sativa Oil and Whole Seeds on STZ-Induced Diabetic Rats: A Biochemical and Immunohistochemical Study. Oxidative Med. Cell. Longev. 2024, 2024, 5594090. [Google Scholar] [CrossRef]
- Ragheb, A.; Attia, A.; Eldin, W.S.; Elbarbry, F.; Gazarin, S.; Shoker, A. The protective effect of thymoquinone, an anti-oxidant and anti-inflammatory agent, against renal injury: A review. Saudi J. Kidney Dis. Transpl. 2009, 20, 741–752. [Google Scholar]
- Hawsawi, Z.A.; Ali, B.A.; Bamosa, A.O. Effect of Nigella sativa (black seed) and thymoquinone on blood glucose in albino rats. Ann. Saudi Med. 2001, 21, 242–244. [Google Scholar] [CrossRef]
- Solati, Z.; Baharin, B.S.; Bagheri, H. Supercritical carbon dioxide (SC-CO2) extraction of Nigella sativa L. oil using full factorial design. Ind. Crops Prod. 2012, 36, 519–523. [Google Scholar] [CrossRef]
- Lutterodt, H.; Luther, M.; Slavin, M.; Yin, J.-J.; Parry, J.; Gao, J.-M.; Yu, L.L. Fatty acid profile, thymoquinone content, oxidative stability, and antioxidant properties of cold-pressed black cumin seed oils. LWT-Food Sci. Technol. 2010, 43, 1409–1413. [Google Scholar] [CrossRef]
- Alkhatib, H.; Mawazi, S.M.; Al-Mahmood, S.M.A.; Zaiter, A. Thymoquinone content in marketed black seed oil in Malaysia. J. Pharm. Bioallied Sci. 2020, 12, 284–288. [Google Scholar] [PubMed]
- Bashir, K.M.I.; Kim, J.W.; Kim, J.-K.; Chun, Y.-S.; Choi, J.-S.; Ku, S.-K. Efficacy confirmation test of black cumin (Nigella sativa L.) seeds extract using a high-fat diet mouse model. Metabolites 2023, 13, 501. [Google Scholar] [CrossRef]
- Soliman, G.A. Dietary fiber, atherosclerosis, and cardiovascular disease. Nutrients 2019, 11, 1155. [Google Scholar] [CrossRef]
- Reynolds, A.N.; Akerman, A.P.; Mann, J. Dietary fibre and whole grains in diabetes management: Systematic review and meta-analyses. PLoS Med. 2020, 17, e1003053. [Google Scholar] [CrossRef]
- Al-Logmani, A.; Zari, T. Long-term effects of Nigella sativa L. oil on some physiological parameters in normal and streptozotocin-induced diabetic rats. J. Diabetes Mellit. 2011, 1, 46–53. [Google Scholar] [CrossRef][Green Version]
- Furman, B.L. Streptozotocin-induced diabetic models in mice and rats. Curr. Protoc. Pharmacol. 2021, 70, 5.47.1–5.47.20. [Google Scholar] [CrossRef]
- Nkono, B.L.N.Y.; Rouamba, A.; Duceac, I.A.; Verestiuc, L. Antihyperglycemic effect of Vernonia amygdalina and in vitro evaluation of its antiproliferative activity on human osteosarcoma MG-63. Pan Afr. Med. J. 2022, 42, 222. [Google Scholar] [CrossRef]
- El-Shafei, R.; El-Adl, M.; Ali, H.; Nomier, Y. Ameliorative effect of Arabic gum Acacia and mori extracts in streptozotocin-induced diabetic rats: Implications of Cas-3 and TGF-β. Eur. Rev. Med. Pharmacol. Sci. 2023, 27, 2845–2857. [Google Scholar]
- Schmittgen, T.D.; Livak, K.J. Analyzing real-time PCR data by the comparative CT method. Nat. Protoc. 2008, 3, 1101–1108. [Google Scholar] [CrossRef] [PubMed]
- Lutfi, M.F.; Abdel-Moneim, A.-M.H.; Alsharidah, A.S.; Mobark, M.A.; Abdellatif, A.A.; Saleem, I.Y.; Al Rugaie, O.; Mohany, K.M.; Alsharidah, M. Thymoquinone lowers blood glucose and reduces oxidative stress in a rat model of diabetes. Molecules 2021, 26, 2348. [Google Scholar] [CrossRef] [PubMed]
- Ebrahimi, B.; Baroutian, S.; Li, J.; Zhang, B.; Ying, T.; Lu, J. Combination of marine biactive compounds and extracts for the prevention and treatment of chronic diseases. Front. Nutr. 2023, 9, 1047026. [Google Scholar] [CrossRef] [PubMed]
- Cui, D.; Feng, X.; Lei, S.; Zhang, H.; Hu, W.; Yang, S.; Yu, X.; Su, Z. Pancreatic β-cell failure, clinical implications, and therapeutic strategies in type 2 diabetes. Chin. Med. J. 2024, 137, 791–805. [Google Scholar] [CrossRef] [PubMed]
- Sankaranarayanan, C.; Pari, L. Thymoquinone ameliorates chemical induced oxidative stress and β-cell damage in experimental hyperglycemic rats. Chem. Biol. Interact. 2011, 190, 148–154. [Google Scholar] [CrossRef]
- Taneera, J.; Saber-Ayad, M.M. Preservation of β-Cells as a Therapeutic Strategy for Diabetes. Horm. Metab. Res. 2024, 56, 261–271. [Google Scholar] [CrossRef]
- Rakhis Sr, S.A.B.; AlDuwayhis, N.M.; Aleid, N.; AlBarrak, A.N.; Aloraini, A.A. Glycemic control for type 2 diabetes mellitus patients: A systematic review. Cureus 2022, 14, e26180. [Google Scholar]
- Seker, U.; Kaya, S.; Kandemir, S.I.; Sener, D.; Demirel, O.U.; Nergiz, Y. Effects of black cumin seed oil on oxidative stress and expression of membrane-cytoskeleton linker proteins, radixin, and moesin in streptozotocin-induced diabetic rat liver. Hepatol. Forum 2021, 3, 21–26. [Google Scholar] [CrossRef]
- Hannan, M.A.; Zahan, M.S.; Sarker, P.P.; Moni, A.; Ha, H.; Uddin, M.J. Protective effects of black cumin (Nigella sativa) and its bioactive constituent, thymoquinone against kidney injury: An aspect on pharmacological insights. Int. J. Mol. Sci. 2021, 22, 9078. [Google Scholar] [CrossRef]
- Niu, S.; Bian, Z.; Trembaly, A.; Luo, Y.; Kidder, K.; Mansour, A.; Zen, K.; Liu, Y. Broad infiltration of macrophages leads to a proinflammatory state in streptozotocin-induced hyperglycemic mice. J. Immunol. 2016, 197, 3293–3301. [Google Scholar] [CrossRef]
- Maedler, K.; Sergeev, P.; Ris, F.; Oberholzer, J.; Jooler-Jemelka, H.I.; Spinas, G.A.; Kaiser, N.; Halban, P.A.; Donath, M.Y. Glucose-induced β cell production of IL-1β contributes to glucotoxicity in human pancreatic islets. J. Clin. Investig. 2017, 127, 1589. [Google Scholar] [CrossRef] [PubMed]
- Kato, Y.; Miura, Y.; Yamamoto, N.; Ozaki, N.; Oiso, Y. Suppressive effects of a selective inducible nitric oxide synthase (iNOS) inhibitor on pancreatic beta-cell dysfunction. Diabetologia 2003, 46, 1228–1233. [Google Scholar] [CrossRef] [PubMed]
- Papaccio, G.; Graziano, A.; d’Auino, R.; Valiante, S.; Naro, F. A biphasic role of nuclear transcription factor (NF)-κB in the islet beta-cell apoptosis induced by interleukin (IL)-1β. J. Cell. Physiol. 2005, 204, 124–130. [Google Scholar] [CrossRef] [PubMed]
- Li, X.; Sui, Y.; Li, S.; Xie, B.; Sun, Z. A-type procyanidins from litchi pericarp ameliorate hyperglycaemia by regulating hepatic and muscle glucose metabolism in streptozotocin (STZ)-induced diabetic mice fed with high fat diet. J. Funct. Foods 2016, 27, 711–722. [Google Scholar] [CrossRef]
- Adam, S.H.; Nasri, N.M.; Kashim, M.I.A.M.; Latib, E.H.A.; Juhari, M.A.A.A.; Mokhtar, M.H. Potential health benefits of Nigella sativa on diabetes mellitus and its complications: A review from laboratory studies to clinical trials. Front. Nutr. 2022, 9, 1057825. [Google Scholar] [CrossRef]
- Oh, K.-J.; Han, H.-S.; Kim, M.-J.; Koo, S.-H. CREB and FoxO1: Two transcription factors for the regulation of hepatic gluconeogenesis. BMB Rep. 2013, 46, 567–574. [Google Scholar] [CrossRef]
- Lee, J.-M.; Seo, W.-Y.; Han, H.-S.; Oh, K.-J.; Lee, Y.-S.; Kim, D.-K.; Choi, S.; Choi, B.H.; Harris, R.A.; Lee, C.-H. Insulin-inducible SMILE inhibits hepatic gluconeogenesis. Diabetes 2016, 65, 62–73. [Google Scholar] [CrossRef]
- Maheswari, K.U.; Dilara, K.; Vadivel, S.; Johnson, P.; Jayaraman, S. A review on hypo-cholesterolemic activity of Nigella sativa seeds and its extracts. Bioinformation 2022, 18, 343–348. [Google Scholar] [CrossRef]
- Derosa, G.; D’Angelo, A.; Maffioli, P.; Cucinella, L.; Nappi, R.E. The Use of Nigella sativa in Cardiometabolic Diseases. Biomedicines 2024, 12, 405. [Google Scholar] [CrossRef]
- Maideen, N.M.P. Antidiabetic activity of nigella sativa (black seeds) and its active constituent (thymoquinone): A review of human and experimental animal studies. Chonnam Med. J. 2021, 57, 169–175. [Google Scholar] [CrossRef]










| Group | Absolute Pancreas Weight | Relative Pancreas Weight |
|---|---|---|
| Controls | ||
| Intact vehicle | 1.077 ± 0.104 | 0.266 ± 0.036 |
| STZ | 0.657 ± 0.040 a | 0.304 ± 0.017 |
| Reference drug | ||
| GB 5 mg/kg | 0.792 ± 0.062 ab | 0.304 ± 0.025 |
| DF 800 mg/kg | 0.734 ± 0.022 a | 0.297 ± 0.014 |
| BCS | ||
| 200 mg/kg | 0.859 ± 0.120 ab | 0.313 ± 0.049 b |
| 100 mg/kg | 0.795 ± 0.079 ab | 0.307 ± 0.036 |
| 50 mg/kg | 0.764 ± 0.059 ac | 0.300 ± 0.024 |
| Item | Pancreas mRNA Expressions | |||
|---|---|---|---|---|
| Group | Caspase-3 | TGF-β1 | IL-1β | |
| Controls | ||||
| Intact vehicle | 1.03 ± 0.09 | 1.03 ± 0.12 | 1.02 ± 0.11 | |
| STZ | 2.80 ± 0.33 a | 4.98 ± 1.66 c | 3.30 ± 0.76 c | |
| Reference drug | ||||
| GB 5 mg/kg | 1.93 ± 0.33 ab | 2.33 ± 0.64 ce | 1.78 ± 0.29 cd | |
| DF 800 mg/kg | 2.25 ± 0.21 ab | 3.19 ± 0.19 c | 2.21 ± 0.23 ce | |
| BCS | ||||
| 200 mg/kg | 1.50 ± 0.26 ab | 2.16 ± 0.69 cd | 1.47 ± 0.25 cd | |
| 100 mg/kg | 1.92 ± 0.25 ab | 2.28 ± 0.57 cd | 1.78 ± 0.23 cd | |
| 50 mg/kg | 2.09 ± 0.20 ab | 2.67 ± 0.57 ce | 2.00 ± 0.17 cd | |
| Pancreatic Islets | |||||||
|---|---|---|---|---|---|---|---|
| Item (Unit) | Numbers/10 mm2 | Diameters (μm) | Collagen Occupied Regions (%/mm2) | Insulin Cells (numbers/mm2) | Glucagon Cells (numbers/mm2) | Insulin/Glucagon Cell Ratio | |
| Group | |||||||
| Controls | |||||||
| Intact vehicle | 18.00 ± 3.05 | 185.62 ± 19.02 | 1.02 ± 0.11 | 513.60 ± 96.64 | 51.00 ± 10.47 | 10.13 ± 0.68 | |
| STZ | 2.08 ± 1.14 c | 65.80 ± 10.54 a | 3.30 ± 0.76 c | 13.00 ± 3.68 c | 58.20 ± 12.38 | 0.23 ± 0.06 c | |
| Reference drug | |||||||
| GB 5 mg/kg | 9.80 ± 1.75 ce | 105.99 ± 14.77 ab | 1.78 ± 0.29 ce | 49.00 ± 13.17 ce | 56.20 ± 12.25 | 0.89 ± 0.22 ce | |
| DF 800 mg/kg | 6.00 ± 0.94 ce | 82.31 ± 10.99 a | 2.21 ± 0.23 ce | 22.20 ± 1.99 ce | 53.70 ± 8.27 | 0.42 ± 0.06 ce | |
| BCS | |||||||
| 200 mg/kg | 13.10 ± 2.28 de | 124.11 ± 19.17 b | 1.47 ± 0.25 de | 61.80 ± 20.54 ce | 51.10 ± 12.72 | 1.25 ± 0.39 ce | |
| 100 mg/kg | 9.90 ± 1.91 ce | 104.87 ± 20.36 ab | 1.78 ± 0.23 ce | 49.80 ± 11.37 ce | 54.20 ± 12.02 | 0.93 ± 0.15 ce | |
| 50 mg/kg | 8.20 ± 1.62 ce | 93.12 ± 15.65 ab | 2.00 ± 0.17 ce | 38.00 ± 14.05 ce | 54.60 ± 12.08 | 0.74 ± 0.36 cf | |
| Group | Controls | Reference Drug | BCS | |||||
|---|---|---|---|---|---|---|---|---|
| Item (Unit) | Intact Vehicle | STZ | GB 5 mg/kg | DF 800 mg/kg | 200 mg/kg | 100 mg/kg | 50 mg/kg | |
| Liver | ||||||||
| MDA (nM/g protein) | 82.10 ± 16.08 | 319.00 ± 69.83 e | 142.80 ± 28.96 eg | 205.30 ± 34.05 eg | 120.80 ± 23.01 eg | 142.60 ± 30.42 eg | 181.80 ± 36.81 eg | |
| GSH (μM/g protein) | 166.90 ± 17.74 | 57.60 ± 22.19 a | 121.30 ± 13.73 ac | 96.80 ± 13.04 ac | 140.70 ± 18.18 bc | 123.70 ± 12.02 ac | 115.30 ± 13.57 ac | |
| CAT (U/mg protein) | 423.80 ± 82.59 | 168.90 ± 24.92 e | 254.40 ± 47.12 eg | 215.80 ± 11.37 eg | 292.40 ± 44.61 fg | 255.40 ± 36.60 eg | 234.10 ± 30.78 eg | |
| SOD (U/mg protein) | 272.10 ± 49.59 | 106.00 ± 24.84 a | 206.60 ± 30.07 ac | 172.10 ± 28.58 ac | 230.60 ± 36.43 c | 206.80 ± 39.84 ac | 181.70 ± 31.52 ac | |
| Kidney | ||||||||
| MDA (nM/g protein) | 114.90 ± 29.74 | 327.10 ± 61.88 e | 187.60 ± 30.41 eg | 223.30 ± 26.03 eg | 161.80 ± 28.94 fg | 186.60 ± 28.39 eg | 203.90 ± 25.08 eg | |
| GSH (μM/g protein) | 155.70 ± 12.65 | 62.00 ± 10.62 a | 105.60 ± 12.37 ac | 89.90 ± 12.03 ac | 120.50 ± 15.40 ac | 104.80 ± 16.04 ac | 96.60 ± 12.32 ac | |
| CAT (U/mg protein) | 423.60 ± 102.17 | 192.40 ± 21.54 e | 277.90 ± 24.73 fg | 250.20 ± 24.54 eg | 318.10 ± 55.56 g | 276.40 ± 18.73 fg | 269.80 ± 23.88 fg | |
| SOD (U/mg protein) | 283.60 ± 64.31 | 117.40 ± 33.63 a | 195.00 ± 18.46 ac | 165.60 ± 14.86 ad | 218.80 ± 32.70 c | 196.80 ± 27.94 ac | 180.10 ± 18.32 ac | |
| Pancreas | ||||||||
| MDA (nM/g protein) | 63.60 ± 15.96 | 189.40 ± 19.71 a | 104.10 ± 18.14 ac | 129.50 ± 15.71 ac | 84.70 ± 13.98 c | 105.50 ± 15.96 ac | 115.40 ± 18.61 ac | |
| GSH (μM/g protein) | 144.30 ± 25.29 | 37.40 ± 10.23 e | 78.70 ± 14.45 eg | 59.80 ± 10.93 eg | 97.00 ± 19.07 eg | 80.10 ± 15.37 eg | 70.90 ± 14.90 eg | |
| CAT (U/mg protein) | 396.90 ± 65.32 | 96.60 ± 31.47 a | 206.60 ± 36.77 ac | 170.90 ± 21.64 ac | 250.70 ± 39.64 ac | 207.20 ± 43.72 ac | 184.80 ± 27.01 ac | |
| SOD (U/mg protein) | 235.70 ± 39.03 | 46.70 ± 13.57 a | 132.70 ± 50.14 ac | 98.20 ± 32.38 a | 153.90 ± 35.19 ac | 132.50 ± 46.23 ac | 120.30 ± 44.03 ac | |
| Group | Absolute Liver Weight | Relative Liver Weight |
|---|---|---|
| Controls | ||
| Intact vehicle | 9.752 ± 0.733 | 2.403 ± 0.262 |
| STZ | 11.564 ± 0.346 c | 5.365 ± 0.339 a |
| Reference drug | ||
| GB 5 mg/kg | 9.867 ± 0.684 e | 3.790 ± 0.243 ab |
| DF 800 mg/kg | 10.790 ± 0.257 de | 4.378 ± 0.268 ab |
| BCS | ||
| 200 mg/kg | 9.413 ± 0.646 e | 3.425 ± 0.206 ab |
| 100 mg/kg | 9.911 ± 0.428 e | 3.830 ± 0.270 ab |
| 50 mg/kg | 10.094 ± 0.579 e | 3.970 ± 0.336 ab |
| Item (Unit) | Hepatocyte Diameters (μm) | Portal Triad Regions | |||
|---|---|---|---|---|---|
| Group | Bile Ducts (Numbers/mm2) | Inflammatory Cells (numbers/mm2) | Collagen-Occupied Regions (%/mm2) | ||
| Controls | |||||
| Intact vehicle | 14.17 ± 1.00 | 2.60 ± 1.17 | 27.00 ± 10.68 | 1.80 ± 0.83 | |
| STZ | 25.07 ± 1.17 a | 40.00 ± 6.48 d | 260.60 ± 76.36 a | 15.15 ± 2.73 d | |
| Reference drug | |||||
| GB 5 mg/kg | 17.84 ± 1.83 ac | 13.00 ± 3.43 de | 115.00 ± 28.74 ac | 7.38 ± 1.31 de | |
| DF 800 mg/kg | 20.97 ± 1.42 ac | 24.90 ± 3.60 de | 175.00 ± 25.88 ac | 9.71 ± 0.96 de | |
| BCS | |||||
| 200 mg/kg | 15.88 ± 2.02 ac | 7.90 ± 1.91 de | 79.40 ± 14.76 bc | 3.96 ± 1.15 de | |
| 100 mg/kg | 17.74 ± 1.67 ac | 12.40 ± 3.75 de | 114.00 ± 33.56 ac | 7.30 ± 1.51 de | |
| 50 mg/kg | 18.23 ± 1.95 ac | 21.60 ± 3.86 de | 157.20 ± 23.16 ac | 8.68 ± 1.53 de | |
| Item | Hepatic Enzyme Activities | |||
|---|---|---|---|---|
| Group | Glucokinase | Glucose-6-Phosphatase | PEPCK | |
| Controls | ||||
| Intact vehicle | 342.90 ± 109.31 | 441.10 ± 67.38 | 169.60 ± 45.06 | |
| STZ | 118.30 ± 25.19 c | 845.30 ± 137.76 a | 609.90 ± 102.00 a | |
| Reference drug | ||||
| GB 5 mg/kg | 192.20 ± 29.98 de | 579.20 ± 101.52 b | 366.20 ± 85.22 ab | |
| DF 800 mg/kg | 167.50 ± 14.61 de | 671.60 ± 70.61 ab | 453.30 ± 43.63 ab | |
| BCS | ||||
| 200 mg/kg | 212.00 ± 35.44 e | 539.23 ± 112.51 b | 289.90 ± 70.56 ab | |
| 100 mg/kg | 193.50 ± 23.85 de | 568.00 ± 109.31 b | 365.00 ± 71.05 ab | |
| 50 mg/kg | 180.50 ± 17.11 de | 638.40 ± 93.96 ab | 402.50 ± 67.92 ab | |
| Group | Absolute Kidney Weight | Relative Kidney Weight |
|---|---|---|
| Controls | ||
| Intact vehicle | 1.299 ± 0.045 | 0.319 ± 0.019 |
| STZ | 1.654 ± 0.075 a | 0.767 ± 0.050 a |
| Reference drug | ||
| GB 5 mg/kg | 1.412 ± 0.054 ab | 0.543 ± 0.031 ab |
| DF 800 mg/kg | 1.504 ± 0.049 ab | 0.610 ± 0.039 ab |
| BCS | ||
| 200 mg/kg | 1.344 ± 0.044 b | 0.490 ± 0.026 ab |
| 100 mg/kg | 1.413 ± 0.050 ab | 0.546 ± 0.030 ab |
| 50 mg/kg | 1.467 ± 0.045 ab | 0.577 ± 0.035 ab |
| Cortex Regions | Glomerulus Regions | ||||
|---|---|---|---|---|---|
| Item (Unit) | Degenerative Regions (%/mm2) | VA Tubules/100 Tubules | VDA Glomerulus/ 100 Glomeruli | Collagen-Occupied Regions (%/mm2) | |
| Group | |||||
| Controls | |||||
| Intact vehicle | 1.67 ± 1.12 | 4.40 ± 1.84 | 1.50 ± 1.27 | 4.25 ± 2.03 | |
| STZ | 68.86 ± 11.01 a | 63.70 ± 11.22 a | 56.90 ± 10.74 a | 6.07 ± 4.39 | |
| Reference drug | |||||
| GB 5 mg/kg | 25.77 ± 10.07 ac | 26.20 ± 11.55 ac | 22.40 ± 10.31 ac | 4.08 ± 3.23 | |
| DF 800 mg/kg | 44.63 ± 11.08 ac | 40.10 ± 10.47 ac | 38.30 ± 4.24 ac | 5.90 ± 3.71 | |
| BCS | |||||
| 200 mg/kg | 11.69 ± 6.87 bc | 11.80 ± 4.64 bc | 12.00 ± 4.19 ac | 4.64 ± 2.95 | |
| 100 mg/kg | 25.02 ± 10.13 ac | 24.60 ± 10.06 ac | 22.00 ± 10.20 ac | 5.02 ± 3.67 | |
| 50 mg/kg | 34.69 ± 10.50 ac | 30.20 ± 10.28 ac | 27.20 ± 10.35 ac | 4.63 ± 2.82 | |
| Group | Controls | Reference Drug | BCS | |||||
|---|---|---|---|---|---|---|---|---|
| Item (Unit) | Intact Vehicle | STZ | GB 5 mg/kg | DF 800 mg/kg | 200 mg/kg | 100 mg/kg | 50 mg/kg | |
| AST(IU/L) | 79.40 ± 12.33 | 336.00 ± 51.04 d | 222.20 ± 19.98 df | 254.00 ± 15.72 df | 173.10 ± 32.05 df | 221.20 ± 22.87 df | 242.40 ± 22.01 df | |
| ALT (IU/L) | 32.50 ± 10.21 | 248.40 ± 49.86 d | 150.20 ± 24.30 df | 174.90 ± 15.42 dg | 104.50 ± 22.87 df | 144.40 ± 17.23 df | 162.70 ± 16.08 df | |
| ALP (IU/L) | 119.50 ± 43.45 | 801.30 ± 137.09 d | 384.20 ± 85.19 df | 537.30 ± 65.36 df | 283.90 ± 56.12 df | 382.50 ± 103.38 df | 452.80 ± 105.50 df | |
| LDH (× 10 IU/L) | 74.92 ± 13.02 | 469.95 ± 133.15 d | 192.96 ± 31.07 df | 273.59 ± 24.46 dg | 144.68 ± 28.47 df | 192.58 ± 32.45 df | 235.14 ± 29.30 df | |
| GGT (IU/L) | 2.70 ± 1.06 | 9.40 ± 1.65 a | 5.40 ± 1.35 ac | 6.60 ± 0.70 ac | 4.70 ± 0.82 ac | 5.30 ± 0.82 ac | 6.10 ± 0.99 ac | |
| BUN (mg/dL) | 45.80 ± 12.48 | 148.80 ± 14.18 a | 84.80 ± 17.00 ac | 108.30 ± 16.05 ac | 68.60 ± 16.41 bc | 85.30 ± 12.38 ac | 94.20 ± 12.27 ac | |
| Creatinine (mg/dL) | 0.58 ± 0.13 | 1.72 ± 0.15 a | 1.11 ± 0.16 ac | 1.32 ± 0.10 ac | 0.92 ± 0.13 ac | 1.07 ± 0.14 ac | 1.17 ± 0.16 ac | |
| TC (mg/dL) | 56.00 ± 11.12 | 117.70 ± 9.17 a | 84.60 ± 14.24 ac | 93.80 ± 10.98 ac | 72.60 ± 12.29 bc | 84.30 ± 14.44 ac | 88.30 ± 11.45 ac | |
| TG (mg/dL) | 75.60 ± 12.08 | 89.10 ± 23.44 | 82.10 ± 13.40 | 84.20 ± 16.72 | 80.00 ± 18.50 | 79.70 ± 17.71 | 83.10 ± 20.16 | |
| LDL (mg/dL) | 9.40 ± 2.12 | 21.30 ± 2.95 a | 12.70 ± 1.77 ac | 15.50 ± 1.27 ac | 10.80 ± 1.32 c | 12.20 ± 1.32 bc | 13.20 ± 1.55 ac | |
| HDL (mg/dL) | 48.80 ± 12.41 | 11.60 ± 1.58 d | 23.40 ± 7.14 df | 18.50 ± 4.33 dg | 31.00 ± 7.85 ef | 24.60 ± 6.36df | 20.90 ± 3.98df | |
Disclaimer/Publisher’s Note: The statements, opinions and data contained in all publications are solely those of the individual author(s) and contributor(s) and not of MDPI and/or the editor(s). MDPI and/or the editor(s) disclaim responsibility for any injury to people or property resulting from any ideas, methods, instructions or products referred to in the content. |
© 2025 by the authors. Licensee MDPI, Basel, Switzerland. This article is an open access article distributed under the terms and conditions of the Creative Commons Attribution (CC BY) license (https://creativecommons.org/licenses/by/4.0/).
Share and Cite
Kim, J.; Chun, Y.-S.; Yoon, N.; Kim, B.; Choi, K.; Ku, S.-K.; Lee, N. Effects of Black Cumin Seed Extract on Pancreatic Islet β-Cell Proliferation and Hypoglycemic Activity in Streptozotocin-Induced Diabetic Rats. Antioxidants 2025, 14, 174. https://doi.org/10.3390/antiox14020174
Kim J, Chun Y-S, Yoon N, Kim B, Choi K, Ku S-K, Lee N. Effects of Black Cumin Seed Extract on Pancreatic Islet β-Cell Proliferation and Hypoglycemic Activity in Streptozotocin-Induced Diabetic Rats. Antioxidants. 2025; 14(2):174. https://doi.org/10.3390/antiox14020174
Chicago/Turabian StyleKim, Jongkyu, Yoon-Seok Chun, Namkyu Yoon, Byungkwon Kim, Kiin Choi, Sae-Kwang Ku, and Namju Lee. 2025. "Effects of Black Cumin Seed Extract on Pancreatic Islet β-Cell Proliferation and Hypoglycemic Activity in Streptozotocin-Induced Diabetic Rats" Antioxidants 14, no. 2: 174. https://doi.org/10.3390/antiox14020174
APA StyleKim, J., Chun, Y.-S., Yoon, N., Kim, B., Choi, K., Ku, S.-K., & Lee, N. (2025). Effects of Black Cumin Seed Extract on Pancreatic Islet β-Cell Proliferation and Hypoglycemic Activity in Streptozotocin-Induced Diabetic Rats. Antioxidants, 14(2), 174. https://doi.org/10.3390/antiox14020174

