Phytochemical and Bioactivity Evaluation of Bee Pollen and Androecia of Castanea, Salix, and Quercus Species
Abstract
1. Introduction
2. Materials and Methods
2.1. Chemicals
2.2. Preparation of Standard Solutions
2.3. Samples
2.4. Preparation of Sample Test Solutions
2.5. Isolation and Structure Elucidation of Marker Compounds from the Bee Pollen Sample
2.6. HPTLC Analyses
2.7. UPLC Analysis
2.8. In Vitro Bioactivity Analyses
2.8.1. DPPH• Assay
2.8.2. FRAP Assay
2.8.3. CUPRAC Assay
2.8.4. ABTS Assay
2.8.5. Xanthine Oxidase Inhibitory Activity
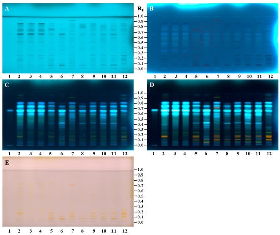
2.9. HPTLC-Effect-Directed Analyses (EDAs)
2.9.1. HPTLC-DPPH•
2.9.2. HPTLC-Xanthine Oxidase Inhibitory Activity
2.10. Image Analyses
2.11. Statistical Analyses
3. Results and Discussion
3.1. Isolation and Structural Elucidation of N1,N5,N10-Tricaffeoylspermidine from Chestnut Bee Pollen
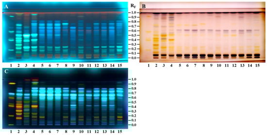
3.2. HPTLC Chemical Profiling
3.2.1. HPTLC Chemical Profiling of Bee Pollen Samples
3.2.2. HPTLC Chemical Profiling of Androecia Samples
3.2.3. Comparisons of HPTLC Fingerprints of Bee Pollen and Androecia of C. sativa, S. alba, and Q. pubescens
3.3. UPLC Analyses
3.3.1. UPLC Method Validation
Specificity
Linearity of the Calibration Curve, Limit of Detection (LOD), and Limit of Quantification (LOQ)
Precision
Accuracy
3.3.2. Quantitative Analyses
3.4. In Vitro Bioactivity Analyses
3.4.1. Antioxidant Activity Determined by DPPH, FRAP, ABTS, and CUPRAC Assays
3.4.2. Xanthine Oxidase Inhibitory Activity
3.5. HPTLC-Effect-Directed Analyses
3.5.1. HPTLC-DPPH Analyses of Antioxidant Activity
3.5.2. HPTLC-XO Inhibitory Activity
4. Conclusions
Supplementary Materials
Author Contributions
Funding
Institutional Review Board Statement
Informed Consent Statement
Data Availability Statement
Acknowledgments
Conflicts of Interest
References
- Guzelmeric, E. Highlights on Bee Pollen. Future Postharvest Food 2024, 1, 263–265. [Google Scholar] [CrossRef]
- Rzepecka-Stojko, A.; Stojko, J.; Kurek-Górecka, A.; Górecki, M.; Kabała-Dzik, A.; Kubina, R.; Moździerz, A.; Buszman, E.; Iriti, M. Polyphenols from Bee Pollen: Structure, Absorption, Metabolism and Biological Activity. Molecules 2015, 20, 21732–21749. [Google Scholar] [CrossRef] [PubMed]
- Vukašinović, E.L.; Kebert, M.; Radišić, P.; Đorđievski, S.; Čelić, T.V.; Pihler, I.; Kojić, D.; Purać, J. Polyamine Profiling in Honey Bee Products: A Contribution to Functional Nutrition. J. Food Compos. Anal. 2024, 125, 105856. [Google Scholar] [CrossRef]
- Zhang, H.; Liu, R.; Lu, Q. Separation and Characterization of Phenolamines and Flavonoids from Rape Bee Pollen, and Comparison of Their Antioxidant Activities and Protective Effects Against Oxidative Stress. Molecules 2020, 25, 1264. [Google Scholar] [CrossRef] [PubMed]
- Qiao, J.; Feng, Z.; Zhang, Y.; Xiao, X.; Dong, J.; Haubruge, E.; Zhang, H. Phenolamide and Flavonoid Glycoside Profiles of 20 Types of Monofloral Bee Pollen. Food Chem. 2023, 405, 134800. [Google Scholar] [CrossRef]
- Kostić, A.Ž.; Milinčić, D.D.; Špirović Trifunović, B.; Nedić, N.; Gašić, U.M.; Tešić, Ž.L.; Stanojević, S.P.; Pešić, M.B. Monofloral Corn Poppy Bee-Collected Pollen-A Detailed Insight into Its Phytochemical Composition and Antioxidant Properties. Antioxidants 2023, 12, 1424. [Google Scholar] [CrossRef]
- Hamamoto, R.; Ishiyama, K.; Hashimoto, K.; Yamaguchi, M. Characterization of the Active Component in Bee Pollen Cistus ladaniferus Extract in Stimulating Bone Calcification and in Inhibiting Bone Resorption in Vitro. J. Health Sci. 2006, 52, 607–612. [Google Scholar] [CrossRef]
- Maruyama, H.; Sakamoto, T.; Araki, Y.; Hara, H. Anti-Inflammatory Effect of Bee Pollen Ethanol Extract from Cistus sp. of Spanish on Carrageenan-Induced Rat Hind Paw Edema. BMC Complement. Altern. Med. 2010, 10, 30. [Google Scholar] [CrossRef]
- Morales-Soto, A.; Oruna-Concha, M.J.; Elmore, J.S.; Barrajón-Catalán, E.; Micol, V.; Roldán, C.; Segura-Carretero, A. Volatile Profile of Spanish Cistus Plants as Sources of Antimicrobials for Industrial Applications. Ind. Crops Prod. 2015, 74, 425–433. [Google Scholar] [CrossRef]
- Sen, N.B.; Guzelmeric, E.; Vovk, I.; Glavnik, V.; Kırmızıbekmez, H.; Yesilada, E. Phytochemical and Bioactivity Studies on Hedera helix L. (Ivy) Flower Pollen and Ivy Bee Pollen. Antioxidants 2023, 12, 1394. [Google Scholar] [CrossRef] [PubMed]
- Avşar, C.; Özler, H.; Berber, I.; Civek, S. Phenolic Composition, Antimicrobial and Antioxidant Activity of Castanea sativa Mill. Pollen Grains from Black Sea Region of Turkey. Int. Food Res. J. 2016, 23, 1711–1716. [Google Scholar]
- Şahin, H.; Kolaylı, S.; Kara, Y.; Can, Z.; Güler, H.İ.; Ozkok, A.; Serdar, Ü. A Study on Recognizing the Value of Chestnut (Castanea sativa) Blossom Waste. Tarım Bilim. Derg. 2024, 30, 79–89. [Google Scholar] [CrossRef]
- Sultana, S.; Saleem, M. Salix Caprea Inhibits Skin Carcinogenesis in Murine Skin: Inhibition of Oxidative Stress, Ornithine Decarboxylase Activity and DNA Synthesis. J. Ethnopharmacol. 2004, 91, 267–276. [Google Scholar] [CrossRef]
- Alam, M.S.; Kaur, G.; Jabbar, Z.; Javed, K.; Athar, M. Evaluation of Antioxidant Activity of Salix Caprea Flowers. Phyther. Res. 2006, 20, 479–483. [Google Scholar] [CrossRef]
- Enayat, S.; Banerjee, S. Comparative Antioxidant Activity of Extracts from Leaves, Bark and Catkins of Salix aegyptiaca sp. Food Chem. 2009, 116, 23–28. [Google Scholar] [CrossRef]
- Wahid, A.; Hamed, A.N.; Eltahir, H.M.; Abouzied, M.M. Hepatoprotective Activity of Ethanolic Extract of Salix subserrata against CCl4-Induced Chronic Hepatotoxicity in Rats. BMC Complement. Altern. Med. 2016, 16, 263. [Google Scholar] [CrossRef] [PubMed]
- Sobeh, M.; Mahmoud, M.F.; Rezq, S.; Alsemeh, A.E.; Sabry, O.M.; Mostafa, I.; Abdelfattah, M.A.O.; Ait El-Allem, K.; El-Shazly, A.M.; Yasri, A.; et al. Salix tetrasperma Roxb. Extract Alleviates Neuropathic Pain in Rats via Modulation of the NF-ΚB/TNF-α/NOX/INOS Pathway. Antioxidants 2019, 8, 482. [Google Scholar] [CrossRef] [PubMed]
- Mostafa, I.; Abbas, H.A.; Ashour, M.L.; Yasri, A.; El-Shazly, A.M.; Wink, M.; Sobeh, M. Polyphenols from Salix tetrasperma Impair Virulence and Inhibit Quorum Sensing of Pseudomonas aeruginosa. Molecules 2020, 25, 1341. [Google Scholar] [CrossRef] [PubMed]
- Bokern, M.; Witte, L.; Wray, V.; Nimtz, M.; Meurer-Grimes, B. Trisubstituted Hydroxycinnamic Acid Spermidines from Quercus dentata Pollen. Phytochemistry 1995, 39, 1371–1375. [Google Scholar] [CrossRef]
- Ryu, H.J.; Song, R.; Kim, H.W.; Kim, J.H.; Lee, E.Y.; Lee, Y.J.; Song, Y.W.; Lee, E.B. Clinical Risk Factors for Adverse Events in Allopurinol Users. J. Clin. Pharmacol. 2013, 53, 211–216. [Google Scholar] [CrossRef] [PubMed]
- Guzelmeric, E.; Ristivojević, P.; Trifković, J.; Dastan, T.; Yilmaz, O.; Cengiz, O.; Yesilada, E. Authentication of Turkish Propolis through HPTLC Fingerprints Combined with Multivariate Analysis and Palynological Data and Their Comparative Antioxidant Activity. LWT 2018, 87, 23–32. [Google Scholar] [CrossRef]
- Barth, O.M. Pollen Analysis of Brazilian Propolis. Grana 1998, 37, 97–101. [Google Scholar] [CrossRef]
- Uyar, G.; Çetin, B. The Moss Flora of Ankara-Kızılcahamam Soğuksu National Park. Turk. J. Botany 2001, 25, 261–273. [Google Scholar]
- Reich, E.; Schibli, A. High-Performance Thin-Layer Chromatography for the Analysis of Medicinal Plants; Thieme: New York, NY, USA, 2007. [Google Scholar]
- Jork, H.; Funk, W.; Fischer, W.R.; Wimmer, H. Thin-Layer Chromatography, Thin-Layer Chromatography: Reagents and Detection Methods: Volume 1a: Physical and Chemical Detection Methods: Fundamentals; Reagents I; Thin-Layer Chromatography; Wiley-VCH: Weinheim, Germany, 1989; ISBN 9783527278343. [Google Scholar]
- International Conference on Harmonisation ICH Harmonised Tripartite Guideline, Validation of Analytical Procedures: Text and Methodology Q2(R1) 2005. Available online: https://database.ich.org/sites/default/files/Q2%28R1%29%20Guideline.pdf (accessed on 25 January 2024).
- Berker, K.I.; Gülü, K.; Demirata, B.; Apak, R. A Novel Antioxidant Assay of Ferric Reducing Capacity Measurement Using Ferrozine as the Colour Forming Complexation Reagent. Anal. Methods 2010, 2, 1770–1778. [Google Scholar] [CrossRef]
- Apak, R.; Güçlü, K.; Özyürek, M.; Çelik, S.E. Mechanism of Antioxidant Capacity Assays and the CUPRAC (Cupric Ion Reducing Antioxidant Capacity) Assay. Microchim. Acta 2008, 160, 413–419. [Google Scholar] [CrossRef]
- Ockun, M.A.; Baranauskaite, J.; Uner, B.; Kan, Y.; Kırmızıbekmez, H. Preparation, Characterization and Evaluation of Liposomal-Freeze Dried Anthocyanin-Enriched Vaccinium arctostaphylos L. Fruit Extract Incorporated into Fast Dissolving Oral Films. J. Drug Deliv. Sci. Technol. 2022, 72, 103428. [Google Scholar] [CrossRef]
- Guzelmeric, E.; Ugurlu, P.; Celik, C.; Sen, N.B.; Helvacıoglu, S.; Charehsaz, M.; Erdogan, M.; Ockun, M.A.; Kırmızıbekmez, H.; Aydın, A.; et al. Myrtus communis L. (Myrtle) Plant Parts: Comparative Assessment of Their Chemical Compositions and Antioxidant, Anticancer, and Antimutagenic Activities. South Afr. J. Bot. 2022, 150, 711–720. [Google Scholar] [CrossRef]
- Bassard, J.-E.; Ullmann, P.; Bernier, F.; Werck-Reichhart, D. Phenolamides: Bridging Polyamines to the Phenolic Metabolism. Phytochemistry 2010, 71, 1808–1824. [Google Scholar] [CrossRef] [PubMed]
- Zhang, H.; Zhu, X.; Huang, Q.; Zhang, L.; Liu, X.; Liu, R.; Lu, Q. Antioxidant and Anti-Inflammatory Activities of Rape Bee Pollen after Fermentation and Their Correlation with Chemical Components by Ultra-Performance Liquid Chromatography-Quadrupole Time of Flight Mass Spectrometry-Based Untargeted Metabolomics. Food Chem. 2023, 409, 135342. [Google Scholar] [CrossRef]
- Glavnik, V.; Bensa, M.; Vovk, I.; Guzelmeric, E. High-Performance Thin-Layer Chromatography-multi-Stage Mass Spectrometry Methods for Analyses of Bee Pollen Botanically Originating from Sweet Chestnut (Castanea sativa Mill). JPC J. Planar Chromatogr. Mod. TLC 2023, 36, 471–482. [Google Scholar] [CrossRef]
- Kim, S.B.; Liu, Q.; Ahn, J.H.; Jo, Y.H.; Turk, A.; Hong, I.P.; Han, S.M.; Hwang, B.Y.; Lee, M.K. Polyamine Derivatives from the Bee Pollen of Quercus mongolica with Tyrosinase Inhibitory Activity. Bioorg. Chem. 2018, 81, 127–133. [Google Scholar] [CrossRef] [PubMed]
- Negri, G.; Barreto, L.M.R.C.; Sper, F.L.; de Carvalho, C.; Campos, M. das G.R. Phytochemical Analysis and Botanical Origin of Apis Mellifera Bee Pollen from the Municipality of Canavieiras, Bahia State, Brazil. Braz. J. Food Technol. 2018, 21, e2016176. [Google Scholar] [CrossRef]
- Keefover-Ring, K.; Carlson, C.H.; Hyden, B.; Azeem, M.; Smart, L.B. Genetic Mapping of Sexually Dimorphic Volatile and Nonvolatile Floral Secondary Chemistry of a Dioecious Willow. J. Exp. Bot. 2022, 73, 6352–6366. [Google Scholar] [CrossRef]
- Meurer-Grimes, B. New Evidence for the Systematic Significance of Acylated Spermidines and Flavonoids in Pollen of Higher Hamamelidae. Brittonia 1995, 47, 130–142. [Google Scholar] [CrossRef]
- Vovk, I.; Simonovska, B.; Vuorela, P.; Vuorela, H. Optimization of Separation of (+)-Catechin and (−)-Epicatechin on Cellulose TLC Plates. J. Planar Chromatogr. Mod. TLC 2002, 15, 433–436. [Google Scholar] [CrossRef]
- Ng, B.; Quinete, N.; Gardinali, P.R. Assessing Accuracy, Precision and Selectivity Using Quality Controls for Non-Targeted Analysis. Sci. Total Environ. 2020, 713, 136568. [Google Scholar] [CrossRef]
- Ilieva, D.; Surleva, A.; Murariu, M.; Drochioiu, G.; Abdullah, M.M.A.B. Evaluation of ICP-OES Method for Heavy Metal and Metalloids Determination in Sterile Dump Material. Solid State Phenom. 2018, 273, 159–166. [Google Scholar] [CrossRef]
- Nasti, R.; Orlandini, S.; Furlanetto, S.; Casale, M.; Daci, A.; Hajdari, A.; Meneghetti, F.; Villa, S.; Mori, M.; Beretta, G. An Analytical Investigation of Hydroxylated Cinnamoyl Polyamines as Biomarkers of Commercial Bee Pollen Botanical Origin. Int. J. Food Sci. Technol. 2022, 57, 7787–7796. [Google Scholar] [CrossRef]
- Rodríguez-Flores, M.S.; Escuredo, O.; Seijo, M.C.; Rojo, S.; Vilas-Boas, M.; Falcão, S.I. Phenolic Profile of Castanea Bee Pollen from the Northwest of the Iberian Peninsula. Separations 2023, 10, 270. [Google Scholar] [CrossRef]
- Sonmez, E.; Kekecoglu, M.; Sahin, H.; Bozdeveci, A.; Karaoglu, S.A. Comparing the Biological Properties and Chemical Profiling of Chestnut Bee Pollen and Bee Bread Collected from Anatolia. Braz. J. Microbiol. 2023, 54, 2307–2317. [Google Scholar] [CrossRef] [PubMed]
- Barros, L.; Alves, C.T.; Dueñas, M.; Silva, S.; Oliveira, R.; Carvalho, A.M.; Henriques, M.; Santos-Buelga, C.; Ferreira, I.C.F.R. Characterization of Phenolic Compounds in Wild Medicinal Flowers from Portugal by HPLC–DAD–ESI/MS and Evaluation of Antifungal Properties. Ind. Crops Prod. 2013, 44, 104–110. [Google Scholar] [CrossRef]
- Carocho, M.; Barros, L.; Bento, A.; Santos-Buelga, C.; Morales, P.; Ferreira, I.C.F.R. Castanea Sativa Mill. Flowers amongst the Most Powerful Antioxidant Matrices: A Phytochemical Approach in Decoctions and Infusions. Biomed. Res. Int. 2014, 2014, 232956. [Google Scholar] [CrossRef]
- Alimoglu, G.; Guzelmeric, E.; Yuksel, P.I.; Celik, C.; Deniz, I.; Yesilada, E. Monofloral and Polyfloral Bee Pollens: Comparative Evaluation of Their Phenolics and Bioactivity Profiles. LWT 2021, 142, 110973. [Google Scholar] [CrossRef]
- Karkar, B.; Şahin, S.; Güneş, M.E. Evaluation of Antioxidant Properties and Determination of Phenolic and Carotenoid Profiles of Chestnut Bee Pollen Collected from Turkey. J. Apic. Res. 2021, 60, 765–774. [Google Scholar] [CrossRef]
- Karkar, B.; Şahin, S.; Güneş, M.E. Antioxidative Effect of Turkish Chestnut Bee Pollen on Dna Oxidation System and Its Phenolic Compounds. Gida J. Food 2018, 43, 34–42. [Google Scholar] [CrossRef]
- Wang, R.; Su, G.; Wang, L.; Xia, Q.; Liu, R.; Lu, Q.; Zhang, J. Identification and Mechanism of Effective Components from Rape (Brassica napus L.) Bee Pollen on Serum Uric Acid Level and Xanthine Oxidase Activity. J. Funct. Foods 2018, 47, 241–251. [Google Scholar] [CrossRef]











| Bee Pollen Samples | Sample Codes | Botanical Sources (Dominant Pollen (%)) | Locations |
|---|---|---|---|
| C-bee pollen | C1 | Castanea sativa (85.8%) | İzmit (Türkiye) |
| C2 | Castanea sativa (97.0%) | Artvin (Türkiye) | |
| C3 | Castanea sativa (98.0%) | Ptuj (Slovenia) | |
| S-bee pollen | S1 | Salix spp. (52.8%) | Ordu (Türkiye) |
| S2 | Salix spp. (89.8%) | Giresun (Türkiye) | |
| S3 | Salix spp. (45.1%) | Çanakkale (Türkiye) | |
| S4 | Salix spp. (56.7%) | Begunje na Gorenjskem (Slovenia) | |
| S5 | Salix spp. (62.1%) | Žirovnica (Slovenia) | |
| S6 | Salix spp. (63.5%) | Kranj (Slovenia) | |
| S7 | Salix spp. (87.8%) | Ljubljana (Slovenia) | |
| Q-bee pollen | Q1 | Quercus spp. (53.8%) | Ankara (Türkiye) |
![]() | ||
| C34H37N3O9 | ||
| Mol. Wt.: 631.7 | ||
| Position | δC(ppm) | δH(ppm), J (Hz) |
| 2 | 36.7 | 3.47 m |
| 3 | 27.3 | 1.42–1.72 m |
| 4 | 45.9 | 3.19 ϯ |
| 6 | 47.5 | 3.19 ϯ |
| 7 | 27.0 ϯ | 1.42–1.72 m |
| 8 | 27.0 ϯ | 1.42–1.72 m |
| 9 | 37.0 | 3.36 m |
| Tricaffeoyl (N1,N5,N10) | ||
| α/α′/α″ | 116.1 | 6.33 d, (15.9) |
| β/β′/β″ | 146.5 | 7.24 d, (15.9) |
| 1′/1″/1‴ | 126.3 | - |
| 2′/2″/2‴ | 113.9 | 6.94 ϯ |
| 3′/3″/3‴ | 139.7 | - |
| 4′/4″/4‴ | 142.7 | - |
| 5′/5″/5‴ | 116.1 | 6.70–6.79 ϯ |
| 6′/6″/6‴ | 120.8 | 6.70–6.79 ϯ |
| 3-CO | 165.9 | - |
| Samples | |||||||||||||||
|---|---|---|---|---|---|---|---|---|---|---|---|---|---|---|---|
| Reagent | RF values/Color | C-a | C1 | C2 | C3 | S-a | S1 | S2 | S3 | S4 | S5 | S6 | S7 | Q-a | Q1 |
| NP/PEG (366 nm) | 0.07/Green | - | - | - | - | + | + | + | + | + | + | + | + | - | - |
| 0.11/Orange | - | + | - | - | - | + | + | + | + | + | + | + | + | + | |
| 0.16/Orange | - | + | - | - | - | + | - | + | - | + | + | + | + | + | |
| 0.19/Orange | - | - | - | - | + | + | - | + | - | + | + | + | + | + | |
| 0.22/Green | - | + | + | + | - | - | - | - | - | - | - | - | - | - | |
| 0.25/Green | - | + | + | + | + | + | - | + | - | + | + | + | + | + | |
| 0.35 /Light blue | - | - | - | - | + | + | + | + | + | + | + | + | - | - | |
| 0.38/Light blue | - | - | - | - | - | + | + | + | + | + | + | + | - | - | |
| 0.43/Light blue | - | - | - | - | + | + | + | + | + | + | + | + | - | - | |
| 0.6/Light blue | + | + | + | + | + | + | + | + | + | + | + | + | + | + | |
| 0.67/Light blue (N1,N5,N10-tricaffeoylspermidine) | + | + | + | + | + | + | + | + | + | + | + | + | + | + | |
| 0.70/Light blue | - | - | - | - | - | + | - | - | - | + | + | + | + | + | |
| 0.74/Light blue | + | + | + | + | + | + | + | + | + | + | + | + | + | + | |
| 0.81/Light blue | + | + | + | + | + | + | - | + | - | + | + | + | + | + | |
| ANIS (white light) | 0.07/Brown | + | + | + | + | + | + | + | + | + | + | + | + | + | + |
| 0.61/Violet | + | + | + | + | + | + | + | + | + | + | + | + | + | + | |
| 0.72/Yellow | + | + | + | + | - | - | - | - | - | - | - | - | + | + | |
| 0.77/Blue | + | + | + | + | - | - | - | - | - | - | - | - | + | + | |
| 0.84/Blue | - | - | - | - | - | + | - | - | - | + | + | - | + | + | |
| 0.89/Red-Brown | - | - | - | - | + | - | - | + | - | - | - | - | - | - | |
| 0.91/Violet | - | - | - | - | - | - | - | - | - | - | - | - | + | + | |
| ANIS (366 nm) | 0.07/Black-Brown | + | + | + | + | + | + | + | + | + | + | + | + | + | + |
| 0.11/Green | - | - | - | - | + | + | + | + | + | + | + | + | + | + | |
| 0.19/Green | - | + | + | + | + | + | - | + | - | + | + | + | + | + | |
| 0.22/Green | + | + | + | + | - | - | - | - | - | - | - | - | + | + | |
| 0.25/Green | - | + | + | + | + | + | - | + | - | + | + | + | + | + | |
| 0.52/Green-Blue | + | + | + | + | + | + | - | + | - | + | + | - | + | + | |
| 0.61/Blue | - | + | + | + | + | - | + | - | - | - | - | + | - | - | |
| 0.63/Red | - | + | + | + | + | + | + | + | + | + | + | + | - | + | |
| 0.67/Blue (N1,N5,N10-tricaffeoylspermidine) | + | + | + | + | + | + | + | + | + | + | + | + | + | + | |
| 0.74/Green | + | + | + | + | - | - | - | - | - | - | - | - | + | + | |
| 0.76/Blue | + | + | + | + | - | + | + | + | + | + | + | + | + | + | |
| 0.81/Blue | + | + | + | + | - | + | - | + | - | + | + | + | + | + | |
| 0.93/Green-Blue | - | - | - | - | - | - | - | - | - | - | - | - | + | + | |
| Standards | Linearity Range (µg/mL) | r2 | S * | Intercept | SD ** | LOD (µg/mL) | LOQ (µg/mL) |
|---|---|---|---|---|---|---|---|
| N1,N5,N10-tricaffeoylspermidine | 0.5–50 | 0.9986 | 17,251 | 15,374.333 | 331.482 | 0.058 | 0.192 |
| Rutin | 0.9996 | 7,345 | 427.920 | 126.484 | 0.052 | 0.172 | |
| Myricitrin | 0.9999 | 9,531 | 1,833.133 | 176.365 | 0.056 | 0.185 | |
| Hyperoside | 0.9997 | 11,143 | 3258.767 | 460.255 | 0.124 | 0.413 | |
| Isoquercitrin | 0.9989 | 9,942 | 825.153 | 342.088 | 0.103 | 0.344 | |
| Quercitrin | 0.9985 | 16,156 | 9,244.433 | 666.800 | 0.124 | 0.413 | |
| Quercetin | 0.9997 | 31,160 | 23,892.333 | 154.500 | 0.015 | 0.050 |
| Intraday Precision | Interday Precision | |||
|---|---|---|---|---|
| Standards (5 µg/mL) | Average Concentration (µg/mL ± SD) (n = 3) | RSD (%) (n = 3) | Average Concentration (µg/mL ± SD) (n = 3) | RSD (%) (n = 3) |
| N1,N5,N10-tricaffeoylspermidine | 4.914 ± 0.023 | 0.470 | 4.906 ± 0.025 | 0.512 |
| 4.862 ± 0.026 | 0.528 | 4.991 ± 0.012 | 0.239 | |
| 4.906 ± 0.025 | 0.512 | |||
| Rutin | 5.030 ± 0.045 | 0.891 | 5.104 ± 0.026 | 0.512 |
| 5.002 ± 0.041 | 0.825 | 5.091 ± 0.018 | 0.348 | |
| 4.983 ± 0.018 | 0.358 | |||
| Myricitrin | 4.822 ± 0.015 | 0.318 | 4.845 ± 0.033 | 0.678 |
| 4.855 ± 0.024 | 0.489 | 5.062 ± 0.001 | 0.015 | |
| 4.905 ± 0.034 | 0.684 | |||
| Hyperoside | 4.799 ± 0.027 | 0.573 | 4.929 ± 0.030 | 0.616 |
| 4.838 ± 0.028 | 0.585 | 5.025 ± 0.016 | 0.325 | |
| 4.823 ± 0.013 | 0.279 | |||
| Isoquercitrin | 5.191 ± 0.032 | 0.622 | 5.198 ± 0.032 | 0.615 |
| 5.211 ± 0.026 | 0.501 | 5.284 ± 0.015 | 0.281 | |
| 5.178 ± 0.045 | 0.877 | |||
| Quercitrin | 4.823 ± 0.012 | 0.245 | 4.813 ± 0.021 | 0.427 |
| 4.754 ± 0.029 | 0.614 | 4.877 ± 0.012 | 0.253 | |
| 4.834 ± 0.005 | 0.103 | |||
| Quercetin | 4.895 ± 0.003 | 0.069 | 4.904 ± 0.025 | 0.515 |
| 4.880 ± 0.021 | 0.429 | 4.895 ± 0.015 | 0.298 | |
| 4.928 ± 0.013 | 0.256 | |||
| Standards | Theoretical Value (µg/mL) (n = 3) | Amount Found (μg/mL ± SD) (n = 3) | Recovery (%) (n = 3) | RSD (%) (n = 3) |
|---|---|---|---|---|
| N1,N5,N10-tricaffeoylspermidine | 3 | 2.816 ± 0.005 | 93.9 | 0.189 |
| 6 | 5.786 ± 0.029 | 96.4 | 0.494 | |
| 12 | 11.814 ± 0.012 | 98.4 | 0.099 | |
| Rutin | 3 | 3.094 ± 0.014 | 103.1 | 0.447 |
| 6 | 5.902 ± 0.028 | 98.4 | 0.478 | |
| 12 | 12.404 ± 0.022 | 103.4 | 0.176 | |
| Myricitrin | 3 | 2.866 ± 0.003 | 95.5 | 0.114 |
| 6 | 5.821 ± 0.008 | 97.0 | 0.141 | |
| 12 | 11.879 ± 0.041 | 99.0 | 0.348 | |
| Hyperoside | 3 | 2.904 ± 0.013 | 96.8 | 0.464 |
| 6 | 6.075 ± 0.021 | 101.2 | 0.347 | |
| 12 | 12.351 ± 0.008 | 102.9 | 0.063 | |
| Isoquercitrin | 3 | 2.947 ± 0.019 | 98.2 | 0.648 |
| 6 | 6.067 ± 0.032 | 101.1 | 0.535 | |
| 12 | 12.139 ± 0.045 | 101.2 | 0.373 | |
| Quercitrin | 3 | 3.161 ± 0.017 | 105.4 | 0.546 |
| 6 | 6.191 ± 0.040 | 103.2 | 0.653 | |
| 12 | 12.242 ± 0.009 | 102.0 | 0.077 | |
| Quercetin | 3 | 2.962 ± 0.005 | 98.7 | 0.172 |
| 6 | 5.655 ± 0.008 | 94.2 | 0.142 | |
| 12 | 11.618 ± 0.015 | 96.8 | 0.126 |
| Samples | N1,N5,N10-tricaffeoylspermidine | Rutin | Myricitrin | Hyperoside | Isoquercitrin | Quercitrin | Quercetin |
|---|---|---|---|---|---|---|---|
| Bee Pollen | mg/g ± SD (n = 3) | ||||||
| C1 | 40.96 ± 0.22 a | N.d. | N.d. | N.d. | N.d. | N.d. | N.d. |
| C2 | 27.96 ± 0.14 b | N.d. | N.d. | N.d. | N.d. | N.d. | N.d. |
| C3 | 25.57 ± 0.16 c | N.d. | N.d. | N.d. | N.d. | N.d. | N.d. |
| S1 | 6.54 ± 0.02 g | N.d. | N.d. | N.d. | N.d. | N.d. | N.d. |
| S2 | 21.24 ± 0.07 d | N.d. | N.d. | N.d. | N.d. | N.d. | N.d. |
| S3 | 4.86 ± 0.01 k | N.d. | N.d. | N.d. | N.d. | N.d. | N.d. |
| S4 | 5.54 ± 0.04 i | N.d. | N.d. | N.d. | N.d. | N.d. | N.d. |
| S5 | 6.20 ± 0.03 h | N.d. | N.d. | N.d. | N.d. | N.d. | N.d. |
| S6 | 8.56 ± 0.11 f | N.d. | N.d. | N.d. | N.d. | N.d. | N.d. |
| S7 | 14.17 ± 0.09 e | N.d. | N.d. | N.d. | N.d. | N.d. | N.d. |
| Q1 | 3.15 ± 0.01 m | 0.95 ± 0.02 a | N.d. | N.d. | N.d. | N.d. | N.d. |
| Androecia | mg/g ± SD (n = 3) | ||||||
| Castanea sativa | 6.19 ± 0.05 h | N.d. | 16.14 ± 0.08 | 4.14 ± 0.07 b | 8.76 ± 0.13 b | 2.55 ± 0.02 | N.d. |
| Salix alba | 3.48 ± 0.01 l | 0.59 ± 0.01 b | N.d. | N.d. | 1.64 ± 0.03 c | N.d. | N.d. |
| Quercus pubescens | 5.19 ± 0.05 j | 0.47 ± 0.06 c | N.d. | 6.96 ± 0.06 a | 10.79 ± 0.04 a | N.d. | 2.46 ± 0.02 |
| Standard and Samples | DPPH | FRAP | ABTS | CUPRAC |
|---|---|---|---|---|
| mg TE/g (n = 3) | ||||
| N1,N5,N10-tricaffeoylspermidine | 966.28 ± 28.72 a | 768.97 ± 11.44 a | 1047.65 ± 35.65 a | 610.35 ± 15.69 a |
| mg TE/g extract (n = 3) | ||||
| Bee Pollen | ||||
| C1 | 42.04 ± 0.79 cde | 28.34 ± 1.33 d | 141.94 ± 1.08 cd | 47.94 ± 2.27 cd |
| C2 | 46.37 ± 0.55 cd | 38.75 ± 0.66 c | 154.65 ± 2.06 c | 45.09 ± 1.52 d |
| C3 | 41.76 ± 0.60 cde | 18.40 ± 0.28 e | 125.79 ± 1.15 d | 41.54 ± 1.28 d |
| S1 | 18.09 ± 0.68 f | 13.81 ± 0.12 ef | 69.39 ± 0.63 ef | 24.08 ± 0.33 e |
| S2 | 23.28 ± 0.37 ef | 14.90 ± 0.59 e | 77.33 ± 0.56 e | 24.67 ± 1.00 e |
| S3 | 16.44 ± 0.35 f | 12.05 ± 0.35 ef | 63.63 ± 1.27 ef | 25.46 ± 0.65 e |
| S4 | 8.88 ± 0.60 f | 5.35 ± 0.12 f | 47.66 ± 1.56 f | 21.33 ± 0.80 e |
| S5 | 12.46 ± 0.28 f | 10.01 ± 0.88 ef | 60.46 ± 0.34 ef | 23.50 ± 0.73 e |
| S6 | 16.69 ± 0.38 f | 11.76 ± 0.34 ef | 66.25 ± 0.95 ef | 24.10 ± 0.22 e |
| S7 | 24.59 ± 0.62 def | 12.18 ± 0.60 ef | 71.79 ± 0.58 ef | 26.03 ± 1.14 e |
| Q1 | 16.41 ± 1.03 f | 10.37 ± 0.21 ef | 63.53 ± 0.80 ef | 27.05 ± 0.38 e |
| Androecia | ||||
| Castanea sativa | 165.98 ± 3.14 b | 111.92 ± 1.52 b | 309.08 ± 3.91 b | 177.41 ± 2.54 b |
| Salix alba | 25.13 ± 0.20 def | 27.79 ± 0.75 d | 120.98 ± 1.01 d | 47.99 ± 1.21 cd |
| Quercus pubescens | 51.56 ± 1.21 c | 39.22 ± 0.67 c | 147.05 ± 1.14 cd | 60.47 ± 1.58 c |
| Standards and Samples | XO Inhibitory Activity |
|---|---|
| IC50 (µg/mL ± SD) (n = 3) | |
| Allopurinol (Positive Control) | 3.07 ± 0.05 a |
| N1,N5,N10-tricaffeoylspermidine | 2.98 ± 0.19 a |
| Bee Pollen | |
| C1 | 26.18 ± 0.99 de |
| C2 | 29.30 ± 1.94 ef |
| C3 | 31.52 ± 3.48 fg |
| S1 | 54.29 ± 0.70 j |
| S2 | 34.36 ± 1.72 g |
| S3 | 63.77 ± 2.39 kl |
| S4 | 62.79 ± 0.91 k |
| S5 | 49.60 ± 2.19 ij |
| S6 | 45.05 ± 0.41 hi |
| S7 | 40.78 ± 1.80 h |
| Q1 | 67.75 ± 2.44 l |
| Androecia | |
| Castanea sativa | 15.97 ± 0.21 b |
| Salix alba | 23.74 ± 0.93 cd |
| Quercus pubescens | 20.83 ± 0.68 bc |
Disclaimer/Publisher’s Note: The statements, opinions and data contained in all publications are solely those of the individual author(s) and contributor(s) and not of MDPI and/or the editor(s). MDPI and/or the editor(s) disclaim responsibility for any injury to people or property resulting from any ideas, methods, instructions or products referred to in the content. |
© 2024 by the authors. Licensee MDPI, Basel, Switzerland. This article is an open access article distributed under the terms and conditions of the Creative Commons Attribution (CC BY) license (https://creativecommons.org/licenses/by/4.0/).
Share and Cite
Sen, N.B.; Vovk, I.; Kırmızıbekmez, H.; Guzelmeric, E. Phytochemical and Bioactivity Evaluation of Bee Pollen and Androecia of Castanea, Salix, and Quercus Species. Antioxidants 2025, 14, 40. https://doi.org/10.3390/antiox14010040
Sen NB, Vovk I, Kırmızıbekmez H, Guzelmeric E. Phytochemical and Bioactivity Evaluation of Bee Pollen and Androecia of Castanea, Salix, and Quercus Species. Antioxidants. 2025; 14(1):40. https://doi.org/10.3390/antiox14010040
Chicago/Turabian StyleSen, Nisa Beril, Irena Vovk, Hasan Kırmızıbekmez, and Etil Guzelmeric. 2025. "Phytochemical and Bioactivity Evaluation of Bee Pollen and Androecia of Castanea, Salix, and Quercus Species" Antioxidants 14, no. 1: 40. https://doi.org/10.3390/antiox14010040
APA StyleSen, N. B., Vovk, I., Kırmızıbekmez, H., & Guzelmeric, E. (2025). Phytochemical and Bioactivity Evaluation of Bee Pollen and Androecia of Castanea, Salix, and Quercus Species. Antioxidants, 14(1), 40. https://doi.org/10.3390/antiox14010040


