Excessive Replacement of Fish Meal by Soy Protein Concentrate Resulted in Inhibition of Growth, Nutrient Metabolism, Antioxidant Capacity, Immune Capacity, and Intestinal Development in Juvenile Largemouth Bass (Micropterus salmoides)
Abstract
1. Introduction
2. Materials and Methods
2.1. Diets
2.2. Culture Experiment
2.3. Sample Collection
2.4. Experimental Determination Method
2.5. Data Analysis
3. Results
3.1. Growth Performance
3.2. Whole Fish Composition
3.3. The mRNA Expression of Protein Metabolism-Related Genes in the Liver
3.4. The mRNA Expression of Lipid and Glucose Metabolism-Related Genes in the Liver
3.5. Intestinal Antioxidant Parameters
3.6. The mRNA Expression of Antioxidant Genes in the Intestine
3.7. The mRNA Expression of Inflammatory Response-Related Genes in the Intestine
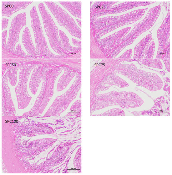
3.8. Intestinal Morphology
4. Discussion
5. Conclusions
Author Contributions
Funding
Institutional Review Board Statement
Informed Consent Statement
Data Availability Statement
Conflicts of Interest
References
- Boyd, C.E.; McNevin, A.A.; Davis, R.P. The contribution of fisheries and aquaculture to the global protein supply. Food Secur. 2022, 14, 805–827. [Google Scholar] [CrossRef] [PubMed]
- Salin, K.R.; Arun, V.V.; Mohanakumaran Nair, C.; Tidwell, J.H. Sustainable Aquafeed. In Sustainable Aquaculture. Applied Environmental Science and Engineering for a Sustainable Future; Hai, F., Visvanathan, C., Boopathy, R., Eds.; Springer: Cham, Switzerland, 2018. [Google Scholar] [CrossRef]
- Gasco, L.; Gai, F.; Maricchiolo, G.; Genovese, L.; Ragonese, S.; Bottari, T.; Caruso, G. Fishmeal Alternative Protein Sources for Aquaculture Feeds. In Feeds for the Aquaculture Sector; Springer Briefs in Molecular Science; Springer: Cham, Switzerland, 2018. [Google Scholar] [CrossRef]
- Tacon, A.G.J.; Metian, M. Global overview on the use of fish meal and fish oil in industrially compounded aquafeeds: Trends and future prospects. Aquaculture 2008, 285, 146–158. [Google Scholar] [CrossRef]
- Glencross, B.D.; Booth, M.; Allan, G.L. A feed is only as good as its ingredients—A review of ingredient evaluation strategies for aquaculture feeds. Aquac. Nutr. 2007, 13, 17–34. [Google Scholar] [CrossRef]
- Olsen, R.L.; Hasan, M.R. A limited supply of fishmeal: Impact on future increases in global aquaculture production. Trends Food Sci. Technol. 2012, 27, 120–128. [Google Scholar] [CrossRef]
- FAO. The State of World Fisheries and Aquaculture-Sustainability in Action in the State of World Fisheries and Aquaculture (SOFIA); FAO: Rome, Italy, 2020. [Google Scholar]
- Hardy, R.W. Utilization of plant proteins in fish diets: Effects of global demand and supplies of fishmeal. Aquac. Res. 2010, 41, 770–776. [Google Scholar] [CrossRef]
- Bauer, W.; Prentice-Hernandez, C.; Tesser, M.B.; Wasielesky, W., Jr.; Poersch, L.H.S. Substitution of fishmeal with microbial floc meal and soy protein concentrate in diets for the pacific white shrimp Litopenaeus vannamei. Aquaculture 2012, 342–343, 112–116. [Google Scholar] [CrossRef]
- Mambrini, M.; Roem, A.J.; Carvèdi, J.P.; Lallès, J.P.; Kaushik, S.J. Effects of replacing fish meal with soy protein concentrate and of DL-methionine supplementation in high-energy, extruded diets on the growth and nutrient utilization of rainbow trout, Oncorhynchus mykiss. J. Anim. Sci. 1999, 77, 2990–2999. [Google Scholar] [CrossRef]
- Lusas, E.W.; Riaz, M.N. Soy protein products: Processing and use. J. Nutr. 1995, 125 (Suppl. 3), 573S–580S. [Google Scholar] [PubMed]
- Zhang, J.Z.; Zhong, L.; Peng, M.; Chu, W.Y.; Liu, Z.P.; Dai, Z.Y.; Hu, Y. Replacement of fish meal with soy protein concentrate in diet of juvenile rice field eel Monopterus albus. Aquac. Rep. 2019, 15, 100235. [Google Scholar] [CrossRef]
- Zhu, R.; Li, L.; Li, M.; Yu, Z.; Wang, H.H.; Wu, L.F. The effects of substituting fish meal with soy protein concentrate on growth performance, antioxidant capacity and intestinal histology in juvenile golden crucian carp, Cyprinus carpio × Carassius auratus. Aquac. Rep. 2020, 18, 100435. [Google Scholar] [CrossRef]
- Yoo, G.; Choi, W.; Bae, J.; Yu, H.; Lee, S.; Bai, S.C. Effects on Growth and Body Composition to Soy Protein Concentrate as a Fishmeal Replacement in Coho Salmon Oncorhynchus kisutch. Korean J. Fish. Aquat. Sci. 2021, 54, 118–123. [Google Scholar] [CrossRef]
- Wu, Y.; Han, H.; Qin, J.; Wang, Y. Replacement of fishmeal by soy protein concentrate with taurine supplementation in diets for golden pompano (Trachinotus ovatus). Aquac. Nutr. 2015, 21, 214–222. [Google Scholar] [CrossRef]
- Hartviksen, M.; Bakke, A.M.; Vecino, J.G.; Ringø, E.; Krogdahl, Å. Evaluation of the effect of commercially available plant and animal protein sources in diets for Atlantic salmon (Salmo salar L.): Digestive and metabolic investigations. Fish Physiol. Biochem. 2014, 40, 1621–1637. [Google Scholar] [CrossRef]
- Trejo-Escamilla, I.; Galaviz, M.A.; Flores-Ibarra, M.; González, C.A.Á.; López, L.M. Replacement of fishmeal by soya protein concentrate in the diets of Totoaba macdonaldi (Gilbert, 1890) juveniles: Effect on the growth performance, in vitro digestibility, digestive enzymes and the haematological and biochemistry parameters. Aquac. Res. 2017, 48, 4038–4057. [Google Scholar] [CrossRef]
- Rossi, W.; Moxely, D.; Buentello, A.; Pohlenz, C.; Gatlin, D.M. Replacement of fishmeal with novel plant feedstuffs in the diet of red drum Sciaenops ocellatus: An assessment of nutritional value. Aquac. Nutr. 2013, 19, 72–81. [Google Scholar] [CrossRef]
- Quintero, H.E.; Davis, D.A.; Rhodes, M.A. Soy protein concentrate as an alternative ingredient in Florida pompano (Trachinotus carolinus) diets. J. Appl. Aquac. 2012, 24, 247–261. [Google Scholar] [CrossRef]
- Li, P.Y.; Wang, J.Y.; Song, Z.D.; Zhang, L.M.; Zhang, H.; Li, X.X.; Pan, Q. Evaluation of soy protein concentrate as a substitute for fishmeal in diets for juvenile starry flounder (Platichthys stellatus). Aquaculture 2015, 448, 578–585. [Google Scholar] [CrossRef]
- Hien, T.T.T.; Phu, T.M.; Tu, T.L.C.; Tien, N.V.; Duc, P.M.; Bengtson, D.A. Effects of replacing fish meal with soya protein concentrate on growth, feed efficiency and digestibility in diets for snakehead, Channa striata. Aquac. Res. 2017, 48, 3174–3181. [Google Scholar] [CrossRef]
- Freitas, L.E.L.; Nunes, A.J.P.; do Carmo Sá, M.V. Growth and feeding responses of the mutton snapper, Lutjanus analis (Cuvier 1828), fed on diets with soy protein concentrate in replacement of Anchovy fish meal. Aquac. Res. 2011, 42, 866–877. [Google Scholar] [CrossRef]
- Deng, J.M.; Mai, K.S.; Ai, Q.H.; Zhang, W.B.; Wang, X.J.; Xu, W.; Liufu, Z.G. Effects of replacing fish meal with soy protein concentrate on feed intake and growth of juvenile Japanese flounder, Paralichthys olivaceus. Aquaculture 2006, 258, 503–513. [Google Scholar] [CrossRef]
- Liu, X.; Chi, S.Y.; Li, S.; Cheng, X.L.; Gao, W.H.; Xu, Q.Q.; Zhang, W.B.; Zhou, X.Q. Substitution of fish meal with enzyme-treated soybean in diets for juvenile largemouth bass (Micropterus salmoides). Aquac. Nutr. 2021, 27, 1569–1577. [Google Scholar] [CrossRef]
- Mace, T.A.; Ware, M.B.; King, S.A.; Loftus, S.; Farren, M.R.; McMichael, E.; Scoville, S.; Geraghty, C.; Young, G.; Carson, W.E., 3rd; et al. Soy isoflavones and their metabolites modulate cytokine-induced natural killer cell function. Sci. Rep. 2019, 9, 5068. [Google Scholar] [CrossRef]
- Sakai, T.; Kogiso, M. Soy isoflavones and immunity. J. Med. Investig. 2008, 55, 167–173. [Google Scholar] [CrossRef] [PubMed]
- Nagata, C. Soy intake and chronic disease risk: Findings from prospective cohort studies in Japan. Eur. J. Clin. Nutr. 2021, 75, 890–901. [Google Scholar] [CrossRef]
- Bitzer, Z.T.; Wopperer, A.L.; Chrisfield, B.J.; Tao, L.; Cooper, T.K.; Vanamala, J.; Elias, R.J.; Hayes, J.E.; Lambert, J.D. Soy protein concentrate mitigates markers of colonic inflammation and loss of gut barrier function in vitro and in vivo. J. Nutr. Biochem. 2017, 40, 201–208. [Google Scholar] [CrossRef]
- Urán, P.A.; Gonçalves, A.A.; Taverne-Thiele, J.J.; Schrama, J.W.; Verreth, J.A.J.; Rombout, J.H.W.M. Soybean meal induces intestinal inflammation in common carp (Cyprinus carpio L.). Fish Shellfish Immunol. 2008, 25, 751–760. [Google Scholar] [CrossRef] [PubMed]
- Yin, B.; Liu, H.Y.; Tan, B.P.; Dong, X.H.; Chi, S.Y.; Yang, Q.H.; Zhang, S.; Chen, L.Q. Cottonseed protein concentrate (CPC) suppresses immune function in different intestinal segments of hybrid grouper ♀ Epinephelus fuscoguttatus × ♂ Epinephelus lanceolatu via TLR-2/MyD88 signaling pathways. Fish Shellfish Immunol. 2018, 81, 318–328. [Google Scholar] [CrossRef]
- Zhang, W.; Tan, B.P.; Deng, J.M.; Yang, Q.H.; Chi, S.Y.; Pang, A.B.; Xin, Y.; Liu, Y.; Zhang, H.T. Soybean protein concentrate causes enteritis in juvenile pearl gentian groupers (Epinephelus fuscoguttatus ♀ × Epinephelus lanceolatus ♂). Anim. Nutr. 2023, 12, 171–185. [Google Scholar] [CrossRef]
- Wang, J.X.; Liang, D.Z.; Yang, Q.H.; Tan, B.P.; Dong, X.H.; Chi, S.Y.; Liu, H.Y.; Zhang, S. The effect of partial replacement of fish meal by soy protein concentrate on growth performance, immune responses, gut morphology and intestinal inflammation for juvenile hybrid grouper (Epinephelus fuscoguttatus ♀ × Epinephelus lanceolatus ♂). Fish Shellfish Immunol. 2020, 98, 619–631. [Google Scholar] [CrossRef]
- Bai, J.J.; Lutz-Carrillo, D.J.; Quan, Y.C.; Liang, S.X. Taxonomic status and genetic diversity of cultured largemouth bass Micropterus salmoides in China. Aquaculture 2008, 278, 27–30. [Google Scholar] [CrossRef]
- Maezono, Y.; Miyashita, T. Community-level impacts induced by introduced largemouth bass and bluegill in farm ponds in Japan. Biol. Conserv. 2002, 109, 111–121. [Google Scholar] [CrossRef]
- Huang, D.; Wu, Y.B.; Lin, Y.Y.; Chen, J.M.; Karrow, N.; Ren, X.; Wang, Y. Dietary protein and lipid requirements for juvenile largemouth bass, Micropterus salmoides. J. World Aquac. Soc. 2017, 48, 782–790. [Google Scholar] [CrossRef]
- Gu, J.Z.; Liang, H.L.; Ge, X.P.; Xia, D.; Pan, L.K.; Mi, H.F.; Ren, M.C. A study of the potential effect of yellow mealworm (Tenebrio molitor) substitution for fish meal on growth, immune and antioxidant capacity in juvenile largemouth bass (Micropterus salmoides). Fish Shellfish Immunol. 2022, 120, 214–221. [Google Scholar] [CrossRef] [PubMed]
- Liang, H.L.; Xu, G.C.; Xu, P.; Zhu, J.; Li, S.L.; Ren, M.C. Dietary histidine supplementation maintained amino acid homeostasis and reduced hepatic fat accumulation of juvenile largemouth bass, Mieropterus salmoides. Aquac. Nutr. 2022, 2022, 4034922. [Google Scholar] [CrossRef]
- AOAC (Association of Official Analytical Chemists). Official Methods of Analysis of the Association of Official Analytical Chemists, 15th ed.; Association of Official Analytical Chemists: Washington, DC, USA, 2003. [Google Scholar]
- Ren, M.C.; Habte-Tsion, H.M.; Liu, B.; Miao, L.H.; Ge, X.P.; Xie, J.; Liang, H.L.; Zhou, Q.L.; Pan, L.K. Dietary leucine level affects growth performance, whole body composition, plasma parameters and relative expression of TOR and TNF-α in juvenile blunt snout bream, Megalobrama amblycephala. Aquaculture 2015, 448, 162–168. [Google Scholar] [CrossRef]
- Liang, H.L.; Xu, P.; Xu, G.C.; Zhang, L.; Huang, D.Y.; Ren, M.C.; Zhang, L. Histidine Deficiency Inhibits Intestinal Antioxidant Capacity and Induces Intestinal Endoplasmic-Reticulum Stress, Inflammatory Response, Apoptosis, and Necroptosis in Largemouth Bass (Micropterus salmoides). Antioxidants 2022, 11, 2399. [Google Scholar] [CrossRef] [PubMed]
- Li, M.Y.; Liang, H.L.; Xie, J.; Chao, W.; Zou, F.Q.; Ge, X.P.; Ren, M.C. Diet supplemented with a novel Clostridium autoethanogenum protein have a positive effect on the growth performance, antioxidant status and immunity in juvenile Jian carp (Cyprinus carpio var. Jian). Aquac. Rep. 2021, 19, 100572. [Google Scholar] [CrossRef]
- Stone, D.A.; Gaylord, T.G.; Johansen, K.A.; Overturf, K.; Sealey, W.M.; Hardy, R.W. Evaluation of the effects of repeated fecal collection by manual stripping on the plasma cortisol levels, TNF-α gene expression, and digestibility and availability of nutrients from hydrolyzed poultry and egg meal by rainbow trout, Oncorhynchus mykiss (Walbaum). Aquaculture 2008, 275, 250–259. [Google Scholar] [CrossRef]
- Zhao, F.; Xu, P.; Xu, G.; Huang, D.; Zhang, L.; Ren, M.; Liang, H. Dietary valine affects growth performance, intestinal immune and antioxidant capacity in juvenile largemouth bass (Micropterus salmoides). Anim. Feed Sci. Technol. 2023, 295, 115541. [Google Scholar] [CrossRef]
- Xv, Z.C.; He, G.L.; Wang, X.L.; Hao, S.; Chen, Y.J.; Lin, S.M. Mulberry leaf powder ameliorate high starch-induced hepatic oxidative stress and inflammation in fish model. Anim. Feed Sci. Technol. 2021, 278, 115012. [Google Scholar] [CrossRef]
- Cui, Z.H.; Zhang, J.Y.; Ren, X.; Wang, Y. Replacing dietary fish meal improves ecosystem services of largemouth bass (Micropterus salmoides) farming. Aquaculture 2022, 550, 737830. [Google Scholar] [CrossRef]
- Metochis, C.P.; Spanos, I.; Auchinachie, N.; Crampton, V.O.; Bell, J.G.; Adams, A.; Thompson, K.D. The effects of increasing dietary levels of soy protein concentrate (SPC) on the immune responses and disease resistance (furunculosis) of vaccinated and non-vaccinated Atlantic salmon (Salmo salar L.) parr. Fish Shellfish Immunol. 2016, 59, 83–94. [Google Scholar] [CrossRef] [PubMed]
- Mohd Faudzi, N.; Yong, A.S.K.; Shapawi, R.; Senoo, S.; Biswas, A.; Takii, K. Soy protein concentrate as an alternative in replacement of fish meal in the feeds of hybrid grouper, brown-marbled grouper (Epinephelus fuscoguttatus) × giant grouper (E. lanceolatus) juvenile. Aquac. Res. 2018, 49, 431–441. [Google Scholar] [CrossRef]
- Irm, M.; Taj, S.; Jin, M.; Luo, J.X.; Andriamialinirina, H.J.T.; Zhou, Q.C. Effects of replacement of fish meal by poultry by-product meal on growth performance and gene expression involved in protein metabolism for juvenile black sea bream (Acanthoparus schlegelii). Aquaculture 2020, 528, 735544. [Google Scholar] [CrossRef]
- Hay, N.; Sonenberg, N. Upstream and downstream of mTOR. Genes Dev. 2004, 18, 1926–1945. [Google Scholar] [CrossRef] [PubMed]
- Zhou, Q.L.; Habte-Tsion, H.M.; Ge, X.P.; Xie, J.; Ren, M.C.; Liu, B.; Miao, L.H.; Pan, L.K. Graded replacing fishmeal with canola meal in diets affects growth and target of rapamycin pathway gene expression of juvenile blunt snout bream, Megalobrama amblycephala. Aquac. Nutr. 2018, 24, 300–309. [Google Scholar] [CrossRef]
- Peng, K.; Mo, W.Y.; Xiao, H.F.; Wang, G.X.; Huang, Y.H. Effects of black soldier fly pulp on growth performance, histomorphology and lipid metabolism gene expression of Micropterus salmoides. Aquac. Rep. 2021, 20, 100737. [Google Scholar] [CrossRef]
- Zhang, Y.; Chen, P.; Liang, X.F.; Han, J.; Wu, X.F.; Yang, Y.H.; Xue, M. Metabolic disorder induces fatty liver in Japanese seabass, Lateolabrax japonicas fed a full plant protein diet and regulated by cAMP-JNK/NF-κB-caspase signal pathway. Fish Shellfish Immunol. 2019, 90, 223–234. [Google Scholar] [CrossRef]
- Tola, S.; Fukada, H.; Masumoto, T. Effects of feeding a fish meal-free soy protein concentrate-based diet on the growth performance and nutrient utilization of red sea bream (Pagrus major). Aquac. Res. 2019, 50, 1087–1095. [Google Scholar] [CrossRef]
- Kohen, R.; Nyska, A. Invited review: Oxidation of biological systems: Oxidative stress phenomena, antioxidants, redox reactions, and methods for their quantification. Toxicol. Pathol. 2002, 30, 620–650. [Google Scholar] [CrossRef]
- Chakravarthi, S.; Jessop, C.E.; Bulleid, N.J. The role of glutathione in disulphide bond formation and endoplasmic-reticulum-generated oxidative stress. EMBO Rep. 2006, 7, 271–275. [Google Scholar] [CrossRef]
- Parvez, S.; Raisuddin, S. Protein carbonyls: Novel biomarkers of exposure to oxidative stress-inducing pesticides in freshwater fish Channa punctata (Bloch). Environ. Toxicol. Pharmacol. 2005, 20, 112–117. [Google Scholar] [CrossRef] [PubMed]
- Fontagné-Dicharry, S.; Lataillade, E.; Surget, A.; Larroquet, L.; Cluzeaud, M.; Kaushik, S. Antioxidant defense system is altered by dietary oxidized lipid in first-feeding rainbow trout (Oncorhynchus mykiss). Aquaculture 2014, 424, 220–227. [Google Scholar] [CrossRef]
- Ma, Q. Role of nrf2 in oxidative stress and toxicity. Annu. Rev. Pharmacol. Toxicol. 2013, 53, 401–426. [Google Scholar] [CrossRef]
- Yang, B.; Jiang, W.D.; Wu, P.; Liu, Y.; Zeng, Y.Y.; Jiang, J.; Kuang, S.Y.; Tang, L.; Tang, W.N.; Wang, S.W. Soybean isoflavones improve the health benefits, flavour quality indicators and physical properties of grass carp (Ctenopharygodon idella). PLoS ONE 2019, 14, e0209570. [Google Scholar] [CrossRef] [PubMed]
- Zhou, C.P.; Lin, H.Z.; Ge, X.P.; Niu, J.; Wang, J.; Wang, Y.; Chen, L.X.; Huang, Z.; Yu, W.; Tan, X.H. The Effects of dietary soybean isoflavones on growth, innate immune responses, hepatic antioxidant abilities and disease resistance of juvenile golden pompano Trachinotus ovatus. Fish Shellfish Immunol. 2015, 47, 1043–1053. [Google Scholar] [CrossRef] [PubMed]
- Chen, Y.; Liu, W.K.; Ma, J.; Wang, Y.R.; Huang, H. Comprehensive physiological and transcriptomic analysis revealing the responses of hybrid grouper (Epinephelus fuscoguttatus ♀ × E. lanceolatus ♂) to the replacement of fish meal with soy protein concentrate. Fish Physiol. Biochem. 2020, 46, 2037–2053. [Google Scholar] [CrossRef]
- Gao, Y.; Han, F.; Huang, X.; Rong, Y.; Wang, Y. Changes in gut microbial populations, intestinal morphology, expression of tight junction proteins, and cytokine production between two pig breeds after challenge with Escherichia coli K88: A comparative study. J. Anim. Sci. 2013, 91, 5614–5625. [Google Scholar] [CrossRef]
- Fang, H.H.; Xie, J.J.; Liao, S.Y.; Guo, T.Y.; Xie, S.W.; Liu, Y.G.; Tian, S.Y.; Niu, J. Effects of dietary inclusion of shrimp paste on growth performance, digestive enzymes activities, antioxidant and immunological status and intestinal morphology of hybrid snakehead (Channa maculata ♀ × Channa argus ♂). Front. Physiol. 2019, 10, 472899. [Google Scholar] [CrossRef]
- Al-Fataftah, A.R.; Abdelqader, A. Effects of dietary Bacillus subtilis on heat-stressed broilers performance, intestinal morphology and microflora composition. Anim. Feed Sci. Technol. 2014, 198, 279–285. [Google Scholar] [CrossRef]
- Yang, P.X.; Li, X.Q.; Song, B.W.; He, M.; Wu, C.Y.; Leng, X.J. The potential of Clostridium autoethanogenum, a new single cell protein, in substituting fish meal in the diet of largemouth bass (Micropterus salmoides): Growth, feed utilization and intestinal histology. Aquac. Fish. 2023, 8, 67–75. [Google Scholar] [CrossRef]












| Ingredients | SPC0 | SPC25 | SPC50 | SPC75 | SPC100 |
|---|---|---|---|---|---|
| Soy protein concentrate 1 | 0 | 11.5 | 23.1 | 34.7 | 46.3 |
| Fish meal 1 | 45 | 33.75 | 22.5 | 11.25 | 0 |
| Soybean meal 1 | 12 | 12 | 12 | 12 | 12 |
| corn gluten meal 1 | 13 | 13 | 13 | 13 | 13 |
| Cassava starch | 5 | 5 | 5 | 5 | 5 |
| Wheat flour | 5 | 5 | 5 | 5 | 5 |
| Rice bran | 3.36 | 3.36 | 3.36 | 3.36 | 3.36 |
| Microcrystalline cellulose | 9.04 | 6.904 | 4.566 | 2.285 | 0 |
| Fish oil | 3.9 | 4.5 | 5.1 | 5.7 | 6.3 |
| Vitamins premix 2 | 1 | 1 | 1 | 1 | 1 |
| Mineral premix 2 | 1 | 1 | 1 | 1 | 1 |
| Calcium dihydrogen phosphate | 1.2 | 2.2 | 3.2 | 4.2 | 5.2 |
| Choline chloride | 0.5 | 0.5 | 0.5 | 0.5 | 0.5 |
| Lysine | 0 | 0.169 | 0.335 | 0.5 | 0.666 |
| Methionine | 0 | 0.117 | 0.234 | 0.35 | 0.467 |
| Threonine | 0 | 0 | 0.057 | 0.085 | 0.113 |
| Valine | 0 | 0 | 0.048 | 0.07 | 0.093 |
| Proximate analysis (dry basis) | |||||
| Crude protein (%) | 47.21 | 47.09 | 47.05 | 46.82 | 46.83 |
| Crude lipids (%) | 9.42 | 9.92 | 9.94 | 9.91 | 9.87 |
| Gross energy (kJ/g) | 17.13 | 16.98 | 17.01 | 17.08 | 16.99 |
| Genes | Forward (5′-3′) | Reverse (5′-3′) | Primer Source |
|---|---|---|---|
| tor 1 | TTTGGAACCAAACCCCGTCA | ATCAGCTCACGGCAGTATCG | XM_038723321.1 |
| rps6 2 | TCCAGAGACTCGTGACACCT | AGCTTGGCATACTCTGAGGC | XM_038713349.1 |
| 4ebp1 3 | CCAGGATCATCTATGACCGAAAG | TGCAGCGATATTGTTGTTGTTC | XM_038703879.1 |
| fas 4 | AGTTGAAGGCTGCTGATG | GCTGTGGATGATGTTGGT | XP_028423094.1 |
| acc 5 | TTACATCGCAGCCAACAG | CTCTCCACCTTCCTCTACA | XP_022609673.1 |
| scd 6 | CGATGCTGCTTCTTCACT | GACACGGTTCTGCCATTA | XM_038735580.1 |
| cpt 7 | TTACCGTATGGCTATGACTG | GGCTCCGATAACACCTCT | XP_027141042.1 |
| pparγ 8 | GAGTTCTCAGTCAAGTTCAAC | AATGTAGCACCGTCTCCT | MK614721.1 |
| gk 9 | CCCTTGTGGGCAGGAGAAAA | ACAACTGAGTCCTCCTTGCG | XP_023260296.1 |
| pk 10 | CACGCAACACTGGCATCATC | TCGAAGCTCTCACATGCCTC | MT431526.1 |
| pepck 11 | GGCAAAACCTGGAAGCAAGG | ATAATGGCGTCGATGGGGAC | MT431525.1 |
| nrf2 12 | CCACACGTGACTCTGATTTCTC | TCCTCCATGACCTTGAAGCAT | Transcriptome data |
| cat 13 | CTATGGCTCTCACACCTTC | TCCTCTACTGGCAGATTCT | MK614708.1 |
| sod 14 | CCCCACAACAAGAATCATGC | TCTCAGCCTTCTCGTGGA | MK614709.1 |
| gsh-px 15 | ATGGCTCTCATGACTGATCCAAA | GACCAACCAGGAACTTCTCAAA | MK614713.1 |
| keap1 16 | GCACCTAACCGTGGAACTCAA | CCAGTTTTAGCCAGTCATTGTTCC | [43] |
| nf-κb 17 | AGAAGACGACTCGGGGATGA | GCTTCTGCAGGTTCTGGTCT | [44] |
| il-8 18 | GAGGGTACATGTCTGGGGGA | CCTTGAAGGTTTGTTCTTCATCGT | XM_038713529.1 |
| tnf-α 19 | CTTCGTCTACAGCCAGGCATCG | TTTGGCACACCGACCTCACC | [36] |
| il-10 20 | CGGCACAGAAATCCCAGAGC | CAGCAGGCTCACAAAATAAACATCT | [36] |
| β-actin | ATGCAGAAGGAGATCACAGCCT | AGTATTTACGCTCAGGTGGGG | AF253319.1 |
| Groups | IW (g) 1 | FW (g) 2 | WGR (%) 3 | SGR (%/d) 4 | FCR 5 | FI (g fish−1d−1) 6 | SR (%) 7 |
|---|---|---|---|---|---|---|---|
| SPC0 | 17.07 ± 0.02 | 58.38 ± 0.13 c | 242.08 ± 0.91 c | 2.20 ± 0.00 c | 1.40 ± 0.03 a | 0.52 ± 0.00 c | 96.67 ± 1.67 c |
| SPC25 | 17.03 ± 0.02 | 57.96 ± 0.75 c | 240.25 ± 4.17 c | 2.19 ± 0.02 c | 1.41 ± 0.04 a | 0.51 ± 0.01 bc | 95.00 ± 2.89 bc |
| SPC50 | 17.02 ± 0.02 | 57.18 ± 1.95 c | 236.06 ± 11.71 c | 2.16 ± 0.06 c | 1.54 ± 0.04 a | 0.50 ± 0.01 bc | 88.33 ± 1.67 abc |
| SPC75 | 17.03 ± 0.02 | 51.07 ± 0.63 b | 199.84 ± 3.66 b | 1.96 ± 0.02 b | 1.76 ± 0.12 ab | 0.48 ± 0.00 ab | 85.00 ± 2.89 ab |
| SPC100 | 17.02 ± 0.02 | 40.78 ± 1.31 a | 139.65 ± 7.76 a | 1.56 ± 0.06 a | 1.99 ± 0.13 b | 0.45 ± 0.01 a | 83.33 ± 1.67 a |
| Groups | Moisture (%) | Ash (%) | Lipids (%) | Protein (%) |
|---|---|---|---|---|
| SPC0 | 71.72 ± 0.33 | 3.49 ± 0.12 | 6.94 ± 0.23 | 16.59 ± 0.35 |
| SPC25 | 71.08 ± 0.32 | 4.18 ± 0.31 | 6.45 ± 0.32 | 16.59 ± 0.37 |
| SPC50 | 71.64 ± 0.21 | 4.42 ± 0.36 | 6.47 ± 0.78 | 16.92 ± 2.22 |
| SPC75 | 71.81 ± 0.29 | 4.14 ± 0.42 | 5.69 ± 0.22 | 16.43 ± 2.11 |
| SPC100 | 72.42 ± 0.29 | 4.18 ± 0.30 | 5.05 ± 0.21 | 16.27 ± 1.62 |
Disclaimer/Publisher’s Note: The statements, opinions and data contained in all publications are solely those of the individual author(s) and contributor(s) and not of MDPI and/or the editor(s). MDPI and/or the editor(s) disclaim responsibility for any injury to people or property resulting from any ideas, methods, instructions or products referred to in the content. |
© 2024 by the authors. Licensee MDPI, Basel, Switzerland. This article is an open access article distributed under the terms and conditions of the Creative Commons Attribution (CC BY) license (https://creativecommons.org/licenses/by/4.0/).
Share and Cite
Liang, H.; Ren, M.; Zhang, L.; Mi, H.; Yu, H.; Huang, D.; Gu, J.; Teng, T. Excessive Replacement of Fish Meal by Soy Protein Concentrate Resulted in Inhibition of Growth, Nutrient Metabolism, Antioxidant Capacity, Immune Capacity, and Intestinal Development in Juvenile Largemouth Bass (Micropterus salmoides). Antioxidants 2024, 13, 809. https://doi.org/10.3390/antiox13070809
Liang H, Ren M, Zhang L, Mi H, Yu H, Huang D, Gu J, Teng T. Excessive Replacement of Fish Meal by Soy Protein Concentrate Resulted in Inhibition of Growth, Nutrient Metabolism, Antioxidant Capacity, Immune Capacity, and Intestinal Development in Juvenile Largemouth Bass (Micropterus salmoides). Antioxidants. 2024; 13(7):809. https://doi.org/10.3390/antiox13070809
Chicago/Turabian StyleLiang, Hualiang, Mingchun Ren, Lu Zhang, Haifeng Mi, Heng Yu, Dongyu Huang, Jiaze Gu, and Tao Teng. 2024. "Excessive Replacement of Fish Meal by Soy Protein Concentrate Resulted in Inhibition of Growth, Nutrient Metabolism, Antioxidant Capacity, Immune Capacity, and Intestinal Development in Juvenile Largemouth Bass (Micropterus salmoides)" Antioxidants 13, no. 7: 809. https://doi.org/10.3390/antiox13070809
APA StyleLiang, H., Ren, M., Zhang, L., Mi, H., Yu, H., Huang, D., Gu, J., & Teng, T. (2024). Excessive Replacement of Fish Meal by Soy Protein Concentrate Resulted in Inhibition of Growth, Nutrient Metabolism, Antioxidant Capacity, Immune Capacity, and Intestinal Development in Juvenile Largemouth Bass (Micropterus salmoides). Antioxidants, 13(7), 809. https://doi.org/10.3390/antiox13070809

