Impact of a Novel Valerian Extract on Sleep Quality, Relaxation, and GABA/Serotonin Receptor Activity in a Murine Model
Abstract
1. Introduction
2. Materials and Methods
2.1. Animals
2.2. Study Design
Experiment I
2.3. Laboratory Analyses
2.3.1. Serum Hormone Levels
2.3.2. Determination of Antioxidant Enzymes and Malondialdehyde (MDA)
2.3.3. Western Blotting
2.4. Experiment II
2.5. Statistical Analysis
3. Results
3.1. Brain Electrical Activity
3.2. Serum Levels of Serotonin, Dopamine, and Melatonin
3.3. Malondialdehyde (MDA) and Antioxidant Enzyme Activities
3.4. GABAergic and Serotonergic Receptor Levels
3.5. Ionotropic Glutamate Receptor Levels
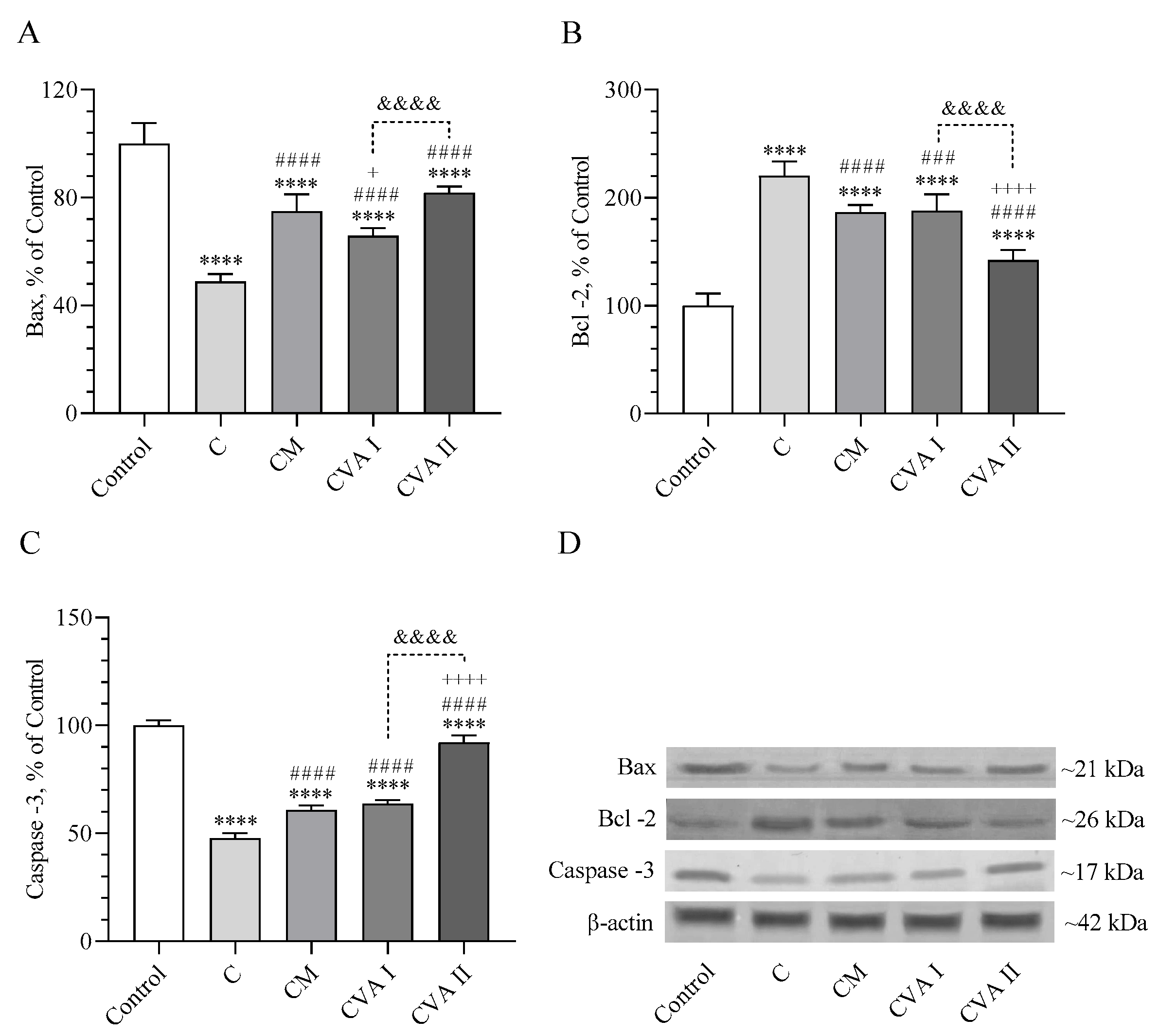
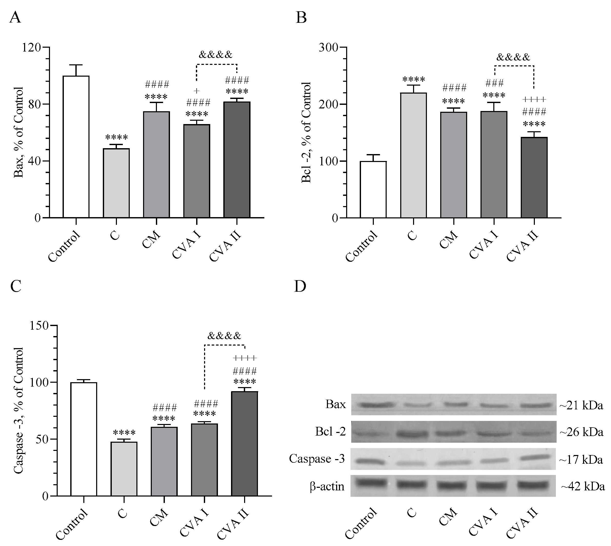
3.6. Apoptotic Marker Levels
3.7. Sleep Duration and Latency
4. Discussion
5. Conclusions
Supplementary Materials
Author Contributions
Funding
Institutional Review Board Statement
Informed Consent Statement
Data Availability Statement
Acknowledgments
Conflicts of Interest
References
- Roth, T. Insomnia: Definition, Prevalence, Etiology, and Consequences. J. Clin. Sleep Med. 2007, 3, S7–S10. [Google Scholar] [CrossRef] [PubMed]
- Bent, S.; Padula, A.; Moore, D.; Patterson, M.; Mehling, W. Valerian for Sleep: A Systematic Review and Meta-Analysis. Am. J. Med. 2006, 119, 1005–1012. [Google Scholar] [CrossRef] [PubMed]
- Bhaskar, S.; Hemavathy, D.; Prasad, S. Prevalence of Chronic Insomnia in Adult Patients and Its Correlation with Medical Comorbidities. J. Family Med. Prim. Care 2016, 5, 780–784. [Google Scholar] [CrossRef] [PubMed]
- Ancoli-Israel, S.; Roth, T. Characteristics of Insomnia in the United States: Results of the 1991 National Sleep Foundation Survey. I. Sleep 1999, 22 (Suppl. 2), S347–S353. [Google Scholar] [PubMed]
- Wilson, S.; Anderson, K.; Baldwin, D.; Dijk, D.-J.; Espie, A.; Espie, C.; Gringras, P.; Krystal, A.; Nutt, D.; Selsick, H.; et al. British Association for Psychopharmacology Consensus Statement on Evidence-Based Treatment of Insomnia, Parasomnias and Circadian Rhythm Disorders: An Update. J. Psychopharmacol. 2019, 33, 923–947. [Google Scholar] [CrossRef] [PubMed]
- Morin, C.M.; Culbert, J.P.; Schwartz, S.M. Nonpharmacological Interventions for Insomnia: A Meta-Analysis of Treatment Efficacy. Am. J. Psychiatry 1994, 151, 1172–1180. [Google Scholar] [CrossRef] [PubMed]
- Soyka, M.; Wild, I.; Caulet, B.; Leontiou, C.; Lugoboni, F.; Hajak, G. Long-Term Use of Benzodiazepines in Chronic Insomnia: A European Perspective. Front. Psychiatry 2023, 14, 1212028. [Google Scholar] [CrossRef] [PubMed]
- Bruni, O.; Ferini-Strambi, L.; Giacomoni, E.; Pellegrino, P. Herbal Remedies and Their Possible Effect on the GABAergic System and Sleep. Nutrients 2021, 13, 530. [Google Scholar] [CrossRef]
- Khom, S.; Baburin, I.; Timin, E.; Hohaus, A.; Trauner, G.; Kopp, B.; Hering, S. Valerenic Acid Potentiates and Inhibits GABA(A) Receptors: Molecular Mechanism and Subunit Specificity. Neuropharmacology 2007, 53, 178–187. [Google Scholar] [CrossRef]
- Trauner, G.; Khom, S.; Baburin, I.; Benedek, B.; Hering, S.; Kopp, B. Modulation of GABAA Receptors by Valerian Extracts Is Related to the Content of Valerenic Acid. Planta Med. 2008, 74, 19–24. [Google Scholar] [CrossRef]
- Tammadon, M.R.; Nobahar, M.; Hydarinia-Naieni, Z.; Ebrahimian, A.; Ghorbani, R.; Vafaei, A.A. The Effects of Valerian on Sleep Quality, Depression, and State Anxiety in Hemodialysis Patients: A Randomized, Double-Blind, Crossover Clinical Trial. Oman Med. J. 2021, 36, e255. [Google Scholar] [CrossRef] [PubMed]
- Shinjyo, N.; Waddell, G.; Green, J. Valerian Root in Treating Sleep Problems and Associated Disorders—A Systematic Review and Meta-Analysis. J. Evid. Based Integr. Med. 2020, 25, 2515690X20967323. [Google Scholar] [CrossRef] [PubMed]
- Yao, M.; Ritchie, H.E.; Brown-Woodman, P.D. A Developmental Toxicity-Screening Test of Valerian. J. Ethnopharmacol. 2007, 113, 204–209. [Google Scholar] [CrossRef] [PubMed]
- Choi, H.-S.; Hong, K.-B.; Han, S.H.; Suh, H.J. Valerian/Cascade Mixture Promotes Sleep by Increasing Non-Rapid Eye Movement (NREM) in Rodent Model. Biomed. Pharmacother. 2018, 99, 913–920. [Google Scholar] [CrossRef]
- Schroeck, J.L.; Ford, J.; Conway, E.L.; Kurtzhalts, K.E.; Gee, M.E.; Vollmer, K.A.; Mergenhagen, K.A. Review of Safety and Efficacy of Sleep Medicines in Older Adults. Clin. Ther. 2016, 38, 2340–2372. [Google Scholar] [CrossRef] [PubMed]
- Hattesohl, M.; Feistel, B.; Sievers, H.; Lehnfeld, R.; Hegger, M.; Winterhoff, H. Extracts of Valeriana officinalis L. s.l. Show Anxiolytic and Antidepressant Effects but Neither Sedative nor Myorelaxant Properties. Phytomedicine 2008, 15, 2–15. [Google Scholar] [CrossRef] [PubMed]
- Ziegler, G.; Ploch, M.; Miettinen-Baumann, A.; Collet, W. Efficacy and Tolerability of Valerian Extract LI 156 Compared with Oxazepam in the Treatment of Non-Organic Insomnia--a Randomized, Double-Blind, Comparative Clinical Study. Eur. J. Med. Res. 2002, 7, 480–486. [Google Scholar]
- Yamamoto, H.; Hagino, Y.; Kasai, S.; Ikeda, K. Specific Roles of NMDA Receptor Subunits in Mental Disorders. Curr. Mol. Med. 2015, 15, 193–205. [Google Scholar] [CrossRef]
- Del Valle-Mojica, L.M.; Ayala-Marín, Y.M.; Ortiz-Sanchez, C.M.; Torres-Hernández, B.A.; Abdalla-Mukhaimer, S.; Ortiz, J.G. Selective Interactions of Valeriana officinalis Extracts and Valerenic Acid with [H]Glutamate Binding to Rat Synaptic Membranes. Evid. Based Complement. Alternat Med. 2011, 2011, 403591. [Google Scholar] [CrossRef]
- Li, X.; Chen, T.; Lin, S.; Zhao, J.; Chen, P.; Ba, Q.; Guo, H.; Liu, Y.; Li, J.; Chu, R.; et al. Valeriana jatamansi Constituent IVHD-Valtrate as a Novel Therapeutic Agent to Human Ovarian Cancer: In Vitro and in Vivo Activities and Mechanisms. Curr. Cancer Drug Targets 2013, 13, 472–483. [Google Scholar] [CrossRef]
- Montes-Rodríguez, C.J.; Alavez, S.; Soria-Gómez, E.; Rueda-Orozco, P.E.; Guzman, K.; Morán, J.; Prospéro-García, O. BCL-2 and BAX Proteins Expression throughout the Light-Dark Cycle and Modifications Induced by Sleep Deprivation and Rebound in Adult Rat Brain. J. Neurosci. Res. 2009, 87, 1602–1609. [Google Scholar] [CrossRef] [PubMed]
- Hipólide, D.C.; D’Almeida, V.; Raymond, R.; Tufik, S.; Nobrega, J.N. Sleep Deprivation Does Not Affect Indices of Necrosis or Apoptosis in Rat Brain. Int. J. Neurosci. 2002, 112, 155–166. [Google Scholar] [CrossRef] [PubMed]
- Chandra Shekhar, H.; Joshua, L.; Thomas, J.V. Standardized Extract of Valeriana officinalis Improves Overall Sleep Quality in Human Subjects with Sleep Complaints: A Randomized, Double-Blind, Placebo-Controlled, Clinical Study. Adv. Ther. 2024, 41, 246–261. [Google Scholar] [CrossRef] [PubMed]
- Shahidi, S.; Bathaei, A.; Pahlevani, P. Antinociceptive Effects of Valeriana Extract in Mice: Involvement of the Dopaminergic and Serotonergic Systems. Neurophysiology 2013, 45, 448–452. [Google Scholar] [CrossRef]
- Gammoh, O.S.; Qnais, E.; Bseiso, Y.; Alrosan, K.; Alqudah, A. Evaluation of the Antinociceptive Effect of Valerian and Hops Combination in Experimental Animal Models: Involvement of the Opioid System. Heliyon 2023, 9, e14185. [Google Scholar] [CrossRef] [PubMed]
- Dasdelen, M.F.; Er, S.; Kaplan, B.; Celik, S.; Beker, M.C.; Orhan, C.; Tuzcu, M.; Sahin, N.; Mamedova, H.; Sylla, S.; et al. A Novel Theanine Complex, Mg-L-Theanine Improves Sleep Quality via Regulating Brain Electrochemical Activity. Front. Nutr. 2022, 9, 874254. [Google Scholar] [CrossRef] [PubMed]
- Shuai, J. Editorial: The Pathogenesis and Intervention of Sleep Disorders. Front. Neurosci. 2023, 17, 1176932. [Google Scholar] [CrossRef] [PubMed]
- Marcucci, C.; Rademacher, M.; Kamecki, F.; Pastore, V.; Bach, H.G.; Ricco, R.A.; Wagner, M.L.; Knez, D.; Gobec, S.; Colettis, N.; et al. Biological Evaluation of Valeriana Extracts from Argentina with Potent Cholinesterase Inhibition for the Treatment of Neurodegenerative Disorders and Their Comorbidities—The Case of Valeriana carnosa Sm. (Caprifoliaceae) Studied in Mice. Pharmaceuticals 2023, 16, 129. [Google Scholar] [CrossRef] [PubMed]
- Yan, D.-Q.; Zhang, X.-P.; Zhang, W.-H.; Deng, N.; Liang, Z.-T.; Liu, T.; Wang, G.-Y.; Yao, Q.-W.; Wang, K.-K.; Tong, Z.-P. Establishment of a Chronic Insomnia Rat Model of Sleep Fragmentation Using Unstable Platforms Surrounded by Water. Exp. Ther. Med. 2023, 25, 233. [Google Scholar] [CrossRef]
- Monti, J.M. Serotonin Control of Sleep-Wake Behavior. Sleep Med. Rev. 2011, 15, 269–281. [Google Scholar] [CrossRef]
- Fernandez-Chiappe, F.; Hermann-Luibl, C.; Peteranderl, A.; Reinhard, N.; Senthilan, P.R.; Hieke, M.; Selcho, M.; Yoshii, T.; Shafer, O.T.; Muraro, N.I.; et al. Dopamine Signaling in Wake-Promoting Clock Neurons Is Not Required for the Normal Regulation of Sleep in Drosophila. J. Neurosci. 2020, 40, 9617–9633. [Google Scholar] [CrossRef]
- Holst, S.C.; Valomon, A.; Landolt, H.-P. Sleep Pharmacogenetics: Personalized Sleep-Wake Therapy. Annu. Rev. Pharmacol. Toxicol. 2016, 56, 577–603. [Google Scholar] [CrossRef] [PubMed]
- Hirotsu, C.; Tufik, S.; Andersen, M.L. Interactions between Sleep, Stress, and Metabolism: From Physiological to Pathological Conditions. Sleep Sci. 2015, 8, 143–152. [Google Scholar] [CrossRef] [PubMed]
- Ayala, A.; Muñoz, M.F.; Argüelles, S. Lipid Peroxidation: Production, Metabolism, and Signaling Mechanisms of Malondialdehyde and 4-Hydroxy-2-Nonenal. Oxid. Med. Cell Longev. 2014, 2014, 360438. [Google Scholar] [CrossRef] [PubMed]
- Chen, P.; Ban, W.; Wang, W.; You, Y.; Yang, Z. The Devastating Effects of Sleep Deprivation on Memory: Lessons from Rodent Models. Clocks Sleep 2023, 5, 276–294. [Google Scholar] [CrossRef] [PubMed]
- Al-Majed, A.A.; Al-Yahya, A.A.; Al-Bekairi, A.M.; Al-Shabanah, O.A.; Qureshi, S. Studies on the Cytological and Biochemical Effects of Valerian in Somatic and Germ Cells of Swiss Albino Mice. Food Chem. Toxicol. 2006, 44, 1830–1837. [Google Scholar] [CrossRef] [PubMed]
- Dalla Corte, C.L.; Fachinetto, R.; Colle, D.; Pereira, R.P.; Ávila, D.S.; Villarinho, J.G.; Wagner, C.; Pereira, M.E.; Nogueira, C.W.; Soares, F.A.A.; et al. Potentially Adverse Interactions between Haloperidol and Valerian. Food Chem. Toxicol. 2008, 46, 2369–2375. [Google Scholar] [CrossRef] [PubMed]
- Das, S.; Chaudhari, A.K.; Singh, V.K.; Dwivedy, A.K.; Dubey, N.K. Chitosan Based Encapsulation of Valeriana Officinalis Essential Oil as Edible Coating for Inhibition of Fungi and Aflatoxin B1 Contamination, Nutritional Quality Improvement, and Shelf Life Extension of Citrus Sinensis Fruits. Int. J. Biol. Macromol. 2023, 233, 123565. [Google Scholar] [CrossRef]
- Möhler, H. The GABA System in Anxiety and Depression and Its Therapeutic Potential. Neuropharmacology 2012, 62, 42–53. [Google Scholar] [CrossRef]
- Wang, W.; Wang, Y.; Guo, Q.; Li, H.; Wang, Z.; Li, J.; Li, T.; Tang, T.; Wang, Y.; Jia, Y.; et al. Valerian Essential Oil for Treating Insomnia via the Serotonergic Synapse Pathway. Front. Nutr. 2022, 9, 927434. [Google Scholar] [CrossRef]
- Das, G.; Shin, H.-S.; Tundis, R.; Gonçalves, S.; Tantengco, O.A.G.; Campos, M.G.; Acquaviva, R.; Malfa, G.A.; Romano, A.; Robles, J.A.H.; et al. Plant Species of Sub-Family Valerianaceae—A Review on Its Effect on the Central Nervous System. Plants 2021, 10, 846. [Google Scholar] [CrossRef]
- Qian, S.; Wei, Z.; Yang, W.; Huang, J.; Yang, Y.; Wang, J. The Role of BCL-2 Family Proteins in Regulating Apoptosis and Cancer Therapy. Front. Oncol. 2022, 12, 985363. [Google Scholar] [CrossRef] [PubMed]
- Badshah, H.; Ikram, M.; Ali, W.; Ahmad, S.; Hahm, J.R.; Kim, M.O. Caffeine May Abrogate LPS-Induced Oxidative Stress and Neuroinflammation by Regulating Nrf2/TLR4 in Adult Mouse Brains. Biomolecules 2019, 9, 719. [Google Scholar] [CrossRef] [PubMed]
- Kasala, S.; Briyal, S.; Prazad, P.; Ranjan, A.K.; Stefanov, G.; Donovan, R.; Gulati, A. Exposure to Morphine and Caffeine Induces Apoptosis and Mitochondrial Dysfunction in a Neonatal Rat Brain. Front. Pediatr. 2020, 8, 593. [Google Scholar] [CrossRef]
- Xue, J.; Liu, Y.; Zhang, S.; Ding, L.; Shen, B.; Shao, Y.; Wei, Z. Caffeine Improves Bladder Function in Diabetic Rats via a Neuroprotective Effect. Exp. Ther. Med. 2021, 21, 501. [Google Scholar] [CrossRef]
- Kakehashi, A.; Kato, A.; Ishii, N.; Wei, M.; Morimura, K.; Fukushima, S.; Wanibuchi, H. Valerian Inhibits Rat Hepatocarcinogenesis by Activating GABA(A) Receptor-Mediated Signaling. PLoS ONE 2014, 9, e113610. [Google Scholar] [CrossRef]







Disclaimer/Publisher’s Note: The statements, opinions and data contained in all publications are solely those of the individual author(s) and contributor(s) and not of MDPI and/or the editor(s). MDPI and/or the editor(s) disclaim responsibility for any injury to people or property resulting from any ideas, methods, instructions or products referred to in the content. |
© 2024 by the authors. Licensee MDPI, Basel, Switzerland. This article is an open access article distributed under the terms and conditions of the Creative Commons Attribution (CC BY) license (https://creativecommons.org/licenses/by/4.0/).
Share and Cite
Sahin, K.; Gencoglu, H.; Korkusuz, A.K.; Orhan, C.; Aldatmaz, İ.E.; Erten, F.; Er, B.; Morde, A.; Padigaru, M.; Kilic, E. Impact of a Novel Valerian Extract on Sleep Quality, Relaxation, and GABA/Serotonin Receptor Activity in a Murine Model. Antioxidants 2024, 13, 657. https://doi.org/10.3390/antiox13060657
Sahin K, Gencoglu H, Korkusuz AK, Orhan C, Aldatmaz İE, Erten F, Er B, Morde A, Padigaru M, Kilic E. Impact of a Novel Valerian Extract on Sleep Quality, Relaxation, and GABA/Serotonin Receptor Activity in a Murine Model. Antioxidants. 2024; 13(6):657. https://doi.org/10.3390/antiox13060657
Chicago/Turabian StyleSahin, Kazim, Hasan Gencoglu, Ahmet Kayhan Korkusuz, Cemal Orhan, İsmail Ertuğ Aldatmaz, Fusun Erten, Besir Er, Abhijeet Morde, Muralidhara Padigaru, and Ertugrul Kilic. 2024. "Impact of a Novel Valerian Extract on Sleep Quality, Relaxation, and GABA/Serotonin Receptor Activity in a Murine Model" Antioxidants 13, no. 6: 657. https://doi.org/10.3390/antiox13060657
APA StyleSahin, K., Gencoglu, H., Korkusuz, A. K., Orhan, C., Aldatmaz, İ. E., Erten, F., Er, B., Morde, A., Padigaru, M., & Kilic, E. (2024). Impact of a Novel Valerian Extract on Sleep Quality, Relaxation, and GABA/Serotonin Receptor Activity in a Murine Model. Antioxidants, 13(6), 657. https://doi.org/10.3390/antiox13060657

