Extract of Wheatgrass and Aronia Mixture Ameliorates Atopic Dermatitis-Related Symptoms by Suppressing Inflammatory Response and Oxidative Stress In Vitro and In Vivo
Abstract
1. Introduction
2. Materials and Methods
2.1. Chemicals and Reagents
2.2. Preparation of TAAR Extract
2.3. High Performance Liquid Chromatography (HPLC)
2.4. Cell Culture
2.5. Cell Viability Assay
2.6. Real-Time Polymerase Chain Reaction (PCR)
2.7. Western Blotting Analysis
2.8. Animals
2.9. Induction of AD-like Skin Lesion in Mice
2.10. Measurement of AD Clinical Score, Dorsal Skin Thickness and Moisture Contents
2.11. Measurement of Serum IgE, IL-4, and Inflammatory Markers
2.12. Histological Analysis
2.13. Immunohistochemistry (IHC) Staining
2.14. Statistical Analysis
3. Results
3.1. HPLC Analysis of the TAAR Extract
3.2. TAAR Extract Attenuates LPS-Induced Pro-Inflammatory Cytokines and Inflammatory Mediators in RAW 264.7 Cells
3.3. TAAR Extract Suppresses the Expression of TNF-α/IFN-γ-Induced Pro-Inflammatory Cytokines and Chemokines in HaCaT Cells
3.4. TAAR Extract Inhibits Inflammation through the Regulation of NFκB and MAPKs Signaling Pathway in TNF-α/IFN-γ-Induced HaCaT Cells
3.5. TAAR Extract Activates Nrf2/HO-1/NQO1 Signaling Pathway in TNF-α/IFN-γ-Induced HaCaT Cells
3.6. TAAR Extract Alleviates AD-like Symptoms in DNCB-Induced Mice
3.7. TAAR Extract Decreases Epidermal Thickness and Mast Cell Infiltration in Mice with DNCB-Induced AD-like Skin Lesions
3.8. TAAR Extract Reduces the Expression of DNCB-Induced Pro-Inflammatory Cytokines and Chemokines in Mice
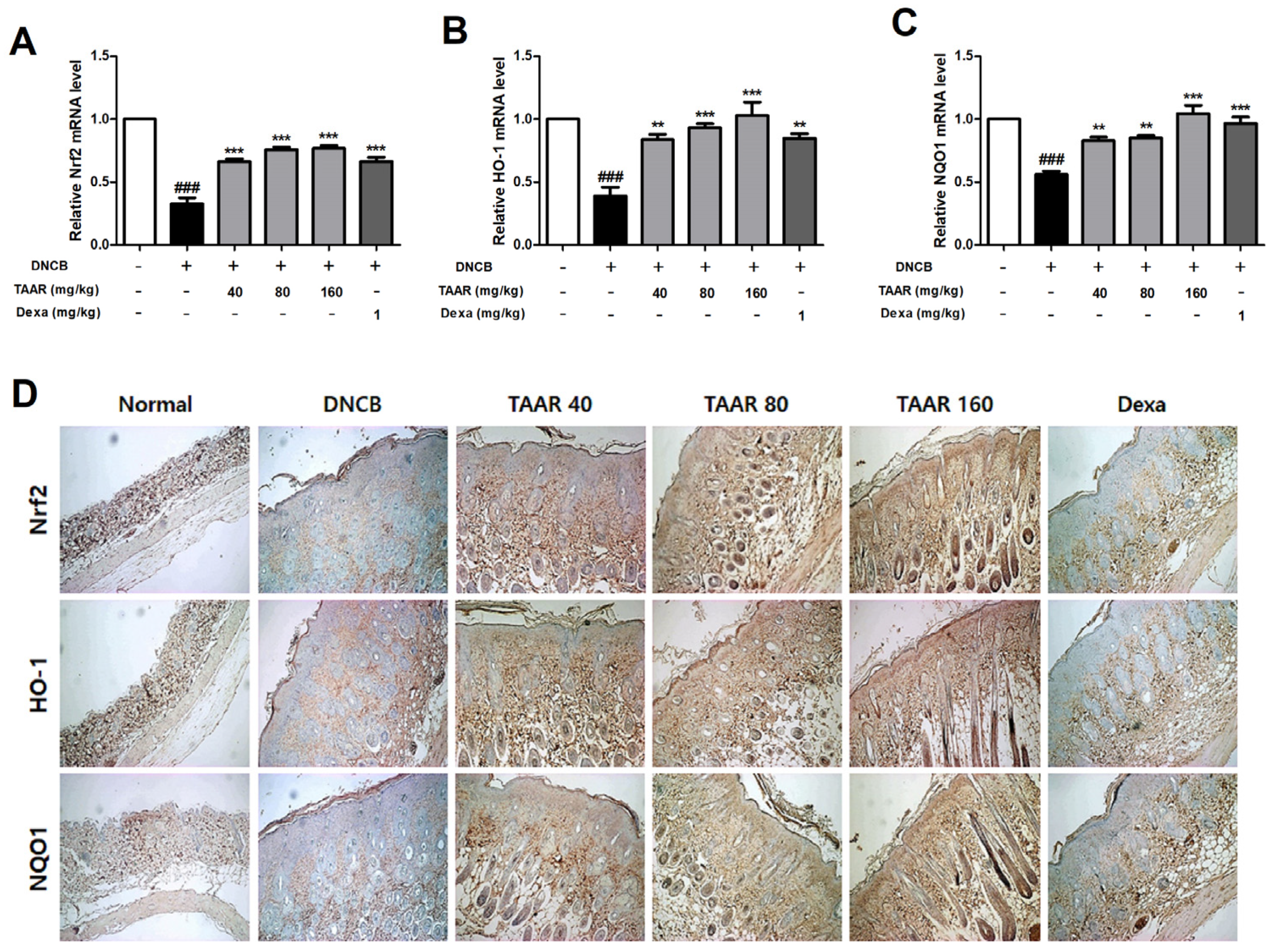
3.9. TAAR Extract Promoted Nrf2/HO-1/NQO1 Pathway Activation in Mice with DNCB-Induced AD-like Skin Lesions
4. Discussion
5. Conclusions
Supplementary Materials
Author Contributions
Funding
Institutional Review Board Statement
Informed Consent Statement
Data Availability Statement
Conflicts of Interest
References
- Leung, D.Y.; Boguniewicz, M.; Howell, M.D.; Nomura, I.; Hamid, Q.A. New insights into atopic dermatitis. J. Clin. Investig. 2004, 113, 651–657. [Google Scholar] [CrossRef] [PubMed]
- Bieber, T. Atopic dermatitis: An expanding therapeutic pipeline for a complex disease. Nat. Rev. Drug Discov. 2021, 21, 21–40. [Google Scholar] [CrossRef] [PubMed]
- Avena-Woods, C. Overview of Atopic Dermatitis. Am. J. Manag. Care 2017, 23, 115–123. [Google Scholar]
- Peng, W.; Novak, N. Pathogenesis of atopic dermatitis. Clin. Exp. Allergy 2015, 45, 566–574. [Google Scholar] [CrossRef] [PubMed]
- Wollenberg, A.; Oranje, A.; Deleuran, M.; Simon, D.; Szalai, Z.; Kunz, B.; Svensson, A.; Barbarot, S.; von Kobyletzki, L.; Taieb, A.; et al. ETFAD/EADV Eczema task force 2015 position paper on diagnosis and treatment of atopic dermatitis in adult and paediatric patients. J. Eur. Acad. Dermatol. Venereol. 2016, 30, 729–747. [Google Scholar] [CrossRef]
- Paller, A.S.; Tom, W.L.; Lebwohl, M.G.; Blumenthal, R.L.; Boguniewicz, M.; Call, R.S.; Eichenfield, L.F.; Forsha, D.W.; Rees, W.C.; Simpson, E.L.; et al. Efficacy and Safety of Crisaborole Ointment, a Novel, Nonsteroidal Phosphodiesterase 4 (PDE4) Inhibitor for the Topical Treatment of Atopic Dermatitis (AD) in Children and Adults. J. Am. Acad. Derm. 2016, 75, 494–503. [Google Scholar] [CrossRef]
- Hon, K.L.; Kung, J.S.C.; Ng, W.G.G.; Leung, T.F. Emollient treatment of atopic dermatitis: Latest evidence and clinical considerations. Drugs Context 2018, 7, 212530. [Google Scholar] [CrossRef]
- Tan, H.Y.; Zhang, A.L.; Chen, D.; Xue, C.C.; Lenon, G.B. Chinese herbal medicine for atopic dermatitis: A systematic review. J. Am. Acad. Dermatol. 2013, 69, 295–304. [Google Scholar] [CrossRef]
- Hendricks, A.J.; Yosipovitch, G.; Shi, V.Y. Dupilumab use in dermatologic conditions beyond atopic dermatitis—A systematic review. J. Dermatol. Treat. 2021, 32, 19–28. [Google Scholar] [CrossRef]
- Tirgar, P.R.; Thumber, B.L.; Desai, T.R. Isolation, characterization and biological evaluation of iron chelator from Triticum aestivum (wheat grass). Int. J. Pharma. BioSci. 2011, 2, 288–296. [Google Scholar]
- Das, A.; Raychaudhuri, U.; Chakraborty, R. Effect of freeze drying and oven drying on antioxidant properties of fresh wheatgrass. Int. J. Food. Sci. Nutr. 2012, 63, 718–721. [Google Scholar] [CrossRef] [PubMed]
- Gore, R.D.; Palaskar, S.J.; Bartake, A.R. Wheatgrass: Green blood can help to fight cancer. J. Clin. Diagn. Res. 2017, 11, ZC40–ZC42. [Google Scholar] [CrossRef] [PubMed]
- Ben Arye, E.; Goldin, E.; Wengrower, D.; Stamper, A.; Kohn, R.; Berry, E. Wheat grass juice in the treatment of active distal ulcerative colitis: A randomized double blind placebo controlled trial. Scand. J. Gastroenterol. 2002, 37, 444–449. [Google Scholar] [CrossRef]
- Nepali, S.; Ki, H.H.; Lee, J.H.; Cha, J.Y.; Lee, Y.M.; Kim, D.K. Triticum aestivum sprout derived polysaccharide exerts hepatoprotective effects against ethanol induced liver damage by enhancing the antioxidant system in mice. Int. J. Mol. Med. 2017, 40, 1243–1252. [Google Scholar] [CrossRef] [PubMed]
- Nepali, S.; Ki, H.H.; Lee, J.H.; Lee, H.Y.; Kim, D.K.; Lee, Y.M. Wheatgrass derived polysaccharide has anti-inflammatory, anti-oxidative and anti-apoptotic effects on LPS induced hepatic injury in mice. Phytother. Res. 2017, 31, 1107–1116. [Google Scholar] [CrossRef]
- Lee, J.H.; Ki, H.H.; Kim, D.K.; Lee, Y.M. Triticum aestivum sprout extract attenuates 2,4-dinitrochlorobenzene-induced atopic dermatitis-like skin lesions in mice and the expression of chemokines in human keratinocytes. Mol. Med. Rep. 2018, 18, 3461–3468. [Google Scholar] [CrossRef]
- Ki, H.H.; Hwang, S.W.; Lee, J.H.; Kim, Y.H.; Kim, D.K.; Lee, Y.M. A dichloromethane fraction of Triticum aestivum sprouts reduces allergic immune response through inhibiting Th2 differentiation in ovalbumin immunized mice. Mol. Med. Rep. 2017, 16, 3535–3541. [Google Scholar] [CrossRef]
- Ki, H.H.; Poudel, B.; Lee, J.H.; Lee, Y.M.; Kim, D.K. In vitro and in vivo anti-cancer activity of dichloromethane fraction of Triticum aestivum sprouts. Biomed. Pharmacother. 2017, 96, 120–128. [Google Scholar] [CrossRef]
- Jurikova, T.; Mlcek, J.; Skrovankova, S.; Sumczynski, D.; Sochor, J.; Hlavacova, I.; Snopek, L.; Orsavova, J. Fruits of black chokeberry Aronia melanocarpa in the prevention of chronic diseases. Molecules 2017, 22, 944. [Google Scholar] [CrossRef]
- Yu, W.; Gao, J.; Hao, R.; Yang, J.; Wei, J. Effects of simulated digestion on black chokeberry (Aronia melanocarpa (Michx.) Elliot) anthocyanins and intestinal flora. J. Food. Sci. Technol. 2021, 58, 1511–1523. [Google Scholar] [CrossRef]
- Kokotkiewicz, A.; Jaremicz, Z.; Luczkiewicz, M. Aronia plants: A review of traditional use, biological activities, and perspectives for modern medicine. J. Med. Food. 2010, 3, 255–269. [Google Scholar] [CrossRef]
- King, E.S.; Bolling, B.W. Composition, polyphenol bioavailability, and health benefits of aronia berry: A review. J. Food Bioact. 2020, 11, 13–30. [Google Scholar] [CrossRef]
- Banjari, I.; Misir, A.; Šavikin, K.; Jokić, S.; Molnar, M.; De Zoysa, H.K.S.; Waisundara, V.Y. Antidiabetic effects of Aronia melanocarpa and its other therapeutic properties. Front. Nutr. 2017, 4, 53. [Google Scholar] [CrossRef] [PubMed]
- Istas, G.; Wood, E.; Le Sayec, M.; Rawlings, C.; Yoon, J.; Dandavate, V.; Cera, D.; Rampelli, S.; Costabile, A.; Fromentin, E.; et al. Effects of aronia berry (poly)phenols on vascular function and gut microbiota: A double-blind randomized controlled trial in adult men. Am. J. Clin. Nutr. 2019, 110, 316–329. [Google Scholar] [CrossRef] [PubMed]
- Lee, J.H.; Jeon, Y.D.; Lee, Y.M.; Kim, D.K. The suppressive effect of puerarin on atopic dermatitis-like skin lesions through regulation of inflammatory mediators in vitro and in vivo. Biochem. Biophys. Res. Commun. 2018, 498, 707–714. [Google Scholar] [CrossRef] [PubMed]
- Jeon, Y.D.; Lee, J.H.; Lee, Y.M.; Kim, D.K. Puerarin inhibits inflammation and oxidative stress in dextran sulfate sodium-induced colitis mice model. Biomed. Pharmacother. 2020, 124, 109847. [Google Scholar] [CrossRef] [PubMed]
- Naveed, M.; Hejazi, V.; Abbas, M.; Kamboh, A.A.; Khan, G.J.; Shumzaid, M.; Ahmad, F.; Babazadeh, D.; Xia, F.; Modarresi-Ghazani, F.; et al. Chlorogenic acid (CGA): A pharmacological review and call for further research. Biomed. Pharmacother. 2018, 97, 67–74. [Google Scholar] [CrossRef] [PubMed]
- Huang, K.; Liang, X.C.; Zhong, Y.L.; He, W.Y.; Wang, Z. 5-Caffeoylquinic acid decreases diet-induced obesity in rats by modulating PPARα and LXRα transcription. J. Sci. Food Agric. 2015, 95, 1903–1910. [Google Scholar] [CrossRef]
- Luo, J.; He, W.; Li, X.; Ji, X.; Liu, J. Anti-acne vulgaris effects of chlorogenic acid by anti-inflammatory activity and lipogenesis inhibition. Exp. Dermatol. 2021, 30, 865–871. [Google Scholar] [CrossRef]
- Kasraie, S.; Werfel, T. Role of macrophages in the pathogenesis of atopic dermatitis. Mediat. Inflamm. 2013, 2013, 942375. [Google Scholar] [CrossRef]
- Albanesi, C. Keratinocytes in allergic skin diseases. Curr. Opin. Allergy Clin. Immunol. 2010, 10, 452–456. [Google Scholar] [CrossRef] [PubMed]
- Werner, Y.; Lindberg, M. Transepidermal water loss in dry and clinically normal skin in patients with atopic dermatitis. Acta Derm. Venereol. 1985, 65, 102–105. [Google Scholar]
- Liu, F.T.; Goodarzi, H.; Chen, H.Y. IgE, mast cells, and eosinophils in atopic dermatitis. Clin. Rev. Allergy Immunol. 2011, 41, 298–310. [Google Scholar] [CrossRef]
- Kayama, Y. Oxidative stress in allergic and inflammatory skin diseases. Curr. Drug Targets Inflamm. Allergy 2005, 4, 517–519. [Google Scholar]
- Zhang, J.M.; An, J. Cytokines, inflammation, and pain. Int. Anesth. Clin. 2007, 45, 27–37. [Google Scholar] [CrossRef] [PubMed]
- Abramovits, W.; Rivas Bejarano, J.J.; Valdecantos, W.C. Role of interleukin 1 in atopic dermatitis. Dermatol. Clin. 2013, 31, 437–444. [Google Scholar] [CrossRef]
- Qi, X.F.; Kim, D.H.; Yoon, Y.S.; Li, J.H.; Song, S.B.; Jin, D.; Huang, X.Z.; Teng, Y.C.; Lee, K.J. The adenylyl cyclase-cAMP system suppresses TARC/CCL17 and MDC/CCL22 production through p38 MAPK and NF-kappaB in HaCaT keratinocytes. Mol. Immunol. 2009, 46, 1925–1934. [Google Scholar] [CrossRef]
- Ahmed, S.M.; Luo, L.; Namani, A.; Wang, X.J.; Tanga, X. Nrf2 signaling pathway: Pivotal roles in inflammation. Biochim. Biophys. Acta Mol. Basis Dis. 2017, 1863, 585–597. [Google Scholar] [CrossRef]
- Bertino, L.; Guarneri, F.; Cannavò, S.P.; Casciaro, M.; Pioggia, G.; Gangemi, S. Oxidative Stress and Atopic Dermatitis. Antioxidants 2020, 9, 196. [Google Scholar] [CrossRef]
- Yu, Y.; He, J.; Li, S.; Song, L.; Guo, X.; Yao, W.; Zou, D.; Gao, X.; Liu, Y.; Bai, F. Fibroblast growth factor 21 (FGF21) inhibits macrophage-mediated inflammation by activating Nrf2 and suppressing the NF-κB signaling pathway. Int. Immunopharmacol. 2016, 38, 144–152. [Google Scholar] [CrossRef]
- Chiricozzi, A.; Maurelli, M.; Peris, K.; Girolomoni, G. Targeting IL-4 for the Treatment of Atopic Dermatitis. Immunotargets Ther. 2020, 9, 151–156. [Google Scholar] [CrossRef] [PubMed]










| Gene | Gene ID | Forward | Reverse |
|---|---|---|---|
| hTNF-α | 7124 | TTGGAGTGATCGGCCCCCAG | ACAGGCTTGTCACTCGGGGTT |
| hIL-1β | 3553 | CAGCTCTCTCCTTTCAGGGCCA | GGCCGTGGTTTCTGTCAGGC |
| hIL-5 | 3567 | GCTAGCTCTTGGAGCTGCCT | CTTCAGTGCACAGTTGGTGA |
| hIL-6 | 3569 | CTCCACAAGCGCCTTCGGTC | TGTGTGGGGCGGCTACATCT |
| hTSLP | 85480 | GCCATGAAAACTAAGGCTGC | CGCCACAATCCTTGTAATTG |
| hCCL2 | 6347 | CAA ACTGAAGCTCGCACTC | CATTTCCACAATAATATTTTAG |
| hCCL5 | 6352 | CGCTGTCATCCTCATTGCTA | GCACTTGCCACTGGTGTAGA |
| hCCL17 | 6361 | CCATTCCCCTTAGAA AGCTG | CTCTCAAGGCTTTGCAGGTA |
| hCCL22 | 6367 | TGCCGTGATTACGTCCGTTAC | AAGGCCACGGTCATCAGAGTAG |
| hCXCL8 | 3576 | ACCGGAGCACTCCATAAGGCA | AGGCTGCCAAGAGAGCCACG |
| hCXCL10 | 3627 | TTGCTGCCTTATCTTTCTGACTC | ATGGCCTTCGATTCTGGATT |
| miNOS | 18126 | CAGCTGGGCTGTACAAAC | CATTGGAAGTGAAGCGATTCG |
| mCOX-2 | 5912281 | GAAGTCTTTGGTCTGGTGCCTG | GTCTGCTGGTTTGGAATAGTTGC |
| mTNF-α | 21926 | TAGCCAGGAGGGAGAACAGA | TTTTCTGGAGGGAGATGTGG |
| mIL-1β | 16176 | CTCCATGAGCTTTGTACAAGG | TGCTGATGTACCAGTTGGGG |
| mIL-4 | 16189 | ATGGGTCTCAACCCCCAGCTA | TGCATGGCGTCCCTTCTCCT |
| mIL-6 | 16193 | GACAACCACGGCCTTCCCTA | GGTACTCCAGAAGACCAGAGGA |
| mCCL17 | 20295 | GGATGCCATCGTGTTTCTGA | GCCTTCTTCACATGTTTGTCTTTG |
| mCCL22 | 20299 | ATTCTGGGAGTTTCAGGC | ATTCTGAGCCTGCTCCTT |
| mCXCL9 | 17329 | GCAGTGTGGAGTTCGAGGAA | TCTAGGCAGGTTTGATCTCC |
| mCXCL10 | 15945 | CTGAGTGGGACTCAAGGGA | TCGTGGCAATGATCTCAACAC |
| mCXCL11 | 56066 | GGCAGAGATCGAGAAAGCT | ATTGCCTGCATTATGAGGCG |
| mNrf2 | 18024 | ACCAAGGGGCACCATATAAAAG | CTTCGCCGAGTTGCACTC |
| mHO-1 | 15368 | CAGAACCAGCCTGAACTAGC | TGGATGTGTACCTCCTTGGT |
| mNQO1 | 18104 | ACAGGTGAGCTGAAGGACTC | GTTGTCGTACATGGCAGCAT |
| GAPDH | 14433 | CATGGCCTTCCGTGTTC | CCTGGTCCTCAGTGTAGC |
Disclaimer/Publisher’s Note: The statements, opinions and data contained in all publications are solely those of the individual author(s) and contributor(s) and not of MDPI and/or the editor(s). MDPI and/or the editor(s) disclaim responsibility for any injury to people or property resulting from any ideas, methods, instructions or products referred to in the content. |
© 2022 by the authors. Licensee MDPI, Basel, Switzerland. This article is an open access article distributed under the terms and conditions of the Creative Commons Attribution (CC BY) license (https://creativecommons.org/licenses/by/4.0/).
Share and Cite
Lee, J.-H.; Lim, J.-Y.; Jeon, Y.-D.; Yun, D.-H.; Lee, Y.-M.; Kim, D.-K. Extract of Wheatgrass and Aronia Mixture Ameliorates Atopic Dermatitis-Related Symptoms by Suppressing Inflammatory Response and Oxidative Stress In Vitro and In Vivo. Antioxidants 2023, 12, 27. https://doi.org/10.3390/antiox12010027
Lee J-H, Lim J-Y, Jeon Y-D, Yun D-H, Lee Y-M, Kim D-K. Extract of Wheatgrass and Aronia Mixture Ameliorates Atopic Dermatitis-Related Symptoms by Suppressing Inflammatory Response and Oxidative Stress In Vitro and In Vivo. Antioxidants. 2023; 12(1):27. https://doi.org/10.3390/antiox12010027
Chicago/Turabian StyleLee, Ji-Hyun, Ji-Ye Lim, Yong-Deok Jeon, Dae-Ho Yun, Young-Mi Lee, and Dae-Ki Kim. 2023. "Extract of Wheatgrass and Aronia Mixture Ameliorates Atopic Dermatitis-Related Symptoms by Suppressing Inflammatory Response and Oxidative Stress In Vitro and In Vivo" Antioxidants 12, no. 1: 27. https://doi.org/10.3390/antiox12010027
APA StyleLee, J.-H., Lim, J.-Y., Jeon, Y.-D., Yun, D.-H., Lee, Y.-M., & Kim, D.-K. (2023). Extract of Wheatgrass and Aronia Mixture Ameliorates Atopic Dermatitis-Related Symptoms by Suppressing Inflammatory Response and Oxidative Stress In Vitro and In Vivo. Antioxidants, 12(1), 27. https://doi.org/10.3390/antiox12010027
