Long-Term Feeding with Curcumin Affects the Growth, Antioxidant Capacity, Immune Status, Tissue Histoarchitecture, Immune Expression of Proinflammatory Cytokines, and Apoptosis Indicators in Nile Tilapia, Oreochromis niloticus
Abstract
1. Introduction
2. Material and Methods
2.1. Curcumin Isolation and Identification
2.2. Fish and Experimental Design
2.3. Growth Performance Parameters
- Total weight gain (g/fish) = WT − WI, where WT is the final weight (FW, g/fish), and WI is the initial weight (g/fish).
- Average daily weight gain (ADWG) (g/fish/day) = total weight gain/experimental days.
- Feed conversion ratio (FCR) = total feed intake (g)/total weight gain (g).
- Specific growth rate (SGR) (%/day) = 100 × (ln WT − ln WI)/time in days, where ln is the natural logarithm.
- Protein productive efficiency (PPE) = protein gain (g)/protein intake (g).
- The protein efficiency ratio (PER) was calculated in accordance with Stuart and Hung [36] as PER = total gain (g)/protein intake (g).
2.4. Histology
2.5. Immunohistochemical Processing
2.6. Sample Collection
2.7. Clinico-Biochemical Analysis of the Blood
2.8. Immunological Indices
2.9. Serum Antioxidant Activity
2.10. Bacterial Challenge Test
2.11. Statistical Analysis
3. Results
3.1. HPLC Analysis
3.2. Growth Performance and Fish Whole-Body Composition
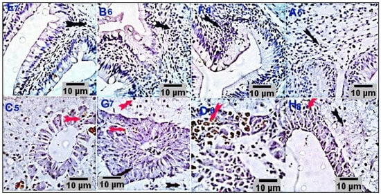
3.3. Histopathological Findings
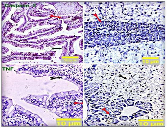
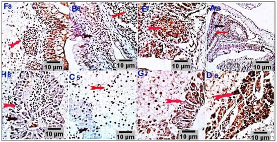
3.4. Immunohistochemical Analysis
3.5. Clinco-Biochemical Indices
3.6. Antioxidant Status
3.7. Immunological Parameters
3.8. Bacterial Challenge
4. Discussion
5. Conclusions
Author Contributions
Funding
Institutional Review Board Statement
Informed Consent Statement
Data Availability Statement
Acknowledgments
Conflicts of Interest
References
- FAO—Food and Agriculture Organisation. The State of World Fisheries and Aquaculture: Opportunities and Challenges; Agriculture Organization, Ed.; Food & Agriculture Org.: Rome, Italy, 2014. [Google Scholar]
- Ibrahim, R.E.; Amer, S.A.; Farroh, K.Y.; Al-Gabri, N.A.; Ahmed, A.I.; El-Araby, D.A.; Ahmed, S.A. The effects of chitosan-vitamin C nanocomposite supplementation on the growth performance, antioxidant status, immune response, and disease resistance of Nile tilapia (Oreochromis niloticus) fingerlings. Aquaculture 2020, 534, 736269. [Google Scholar] [CrossRef]
- Ibrahim, R.E.; Ahmed, S.A.; Amer, S.A.; Al-Gabri, N.A.; Ahmed, A.I.; Abdel-Warith, A.-W.A.; Younis, E.-S.M.; Metwally, A.E. Influence of vitamin C feed supplementation on the growth, antioxidant activity, immune status, tissue histomorphology, and disease resistance in Nile tilapia, Oreochromis niloticus. Aquac. Rep. 2020, 18, 100545. [Google Scholar] [CrossRef]
- El-Araby, D.A.; Amer, S.A.; Khalil, A.A. Effect of different feeding regimes on the growth performance, antioxidant activity, and health of Nile tilapia, Oreochromis niloticus. Aquaculture 2020, 528, 735572. [Google Scholar] [CrossRef]
- Amer, S.A.; Osman, A.; Al-Gabri, N.A.; Elsayed, S.A.; El-Rahman, A.; Ghada, I.; Elabbasy, M.T.; Ahmed, S.A.; Ibrahim, R.E. The Effect of Dietary Replacement of Fish Meal with Whey Protein Concentrate on the Growth Performance, Fish Health, and Immune Status of Nile Tilapia Fingerlings, Oreochromis niloticus. Animals 2019, 9, 1003. [Google Scholar] [CrossRef]
- Zhou, X. An overview of recently published global aquaculture statistics. FAO Aquac. Newsl. 2017, 56, 6. [Google Scholar]
- Amer, S.A.; Metwally, A.E.; Ahmed, S.A. The influence of dietary supplementation of cinnamaldehyde and thymol on the growth performance, immunity and antioxidant status of monosex Nile tilapia fingerlings (Oreochromis niloticus). Egypt. J. Aquat. Res. 2018, 44, 251–256. [Google Scholar] [CrossRef]
- Elumalai, P.; Kurian, A.; Lakshmi, S.; Faggio, C.; Esteban, M.A.; Ringø, E. Herbal immunomodulators in aquaculture. Rev. Fish. Sci. Aquac. 2020, 29, 33–57. [Google Scholar] [CrossRef]
- Pu, H.; Li, X.; Du, Q.; Cui, H.; Xu, Y. Research progress in the application of Chinese herbal medicines in aquaculture: A review. Engineering 2017, 3, 731–737. [Google Scholar] [CrossRef]
- Montaser, M.M.; El-sharnouby, M.E.; EL-Noubi, G.; El-Shaer, H.M.; Khalil, A.A.; Hassanin, M.; Amer, S.A.; El-Araby, D.A. Boswellia serrata Resin Extract in Diets of Nile Tilapia, Oreochromis niloticus: Effects on the Growth, Health, Immune Response, and Disease Resistance to Staphylococcus aureus. Animals 2021, 11, 446. [Google Scholar] [CrossRef]
- Amer, S.A.; Ahmed, S.A.; Ibrahim, R.E.; Al-Gabri, N.A.; Osman, A.; Sitohy, M. Impact of partial substitution of fish meal by methylated soy protein isolates on the nutritional, immunological, and health aspects of Nile tilapia, Oreochromis niloticus fingerlings. Aquaculture 2020, 518, 734871. [Google Scholar] [CrossRef]
- Al-Khalaifah, H.; Khalil, A.A.; Amer, S.A.; Shalaby, S.I.; Badr, H.A.; Farag, M.F.; Altohamy, D.E.; Abdel Rahman, A.N. Effects of dietary doum palm fruit powder on growth, antioxidant capacity, immune response, and disease resistance of African catfish, Clarias gariepinus (B.). Animals 2020, 10, 1407. [Google Scholar] [CrossRef] [PubMed]
- Austin, B.; Austin, D.A.; Austin, B.; Austin, D.A. Bacterial Fish Pathogens; Springer: Berlin/Heidelberg, Germany, 2012; Volume 481. [Google Scholar]
- Esiobu, N.; Armenta, L.; Ike, J. Antibiotic resistance in soil and water environments. Int. J. Environ. Health Res. 2002, 12, 133–144. [Google Scholar] [CrossRef] [PubMed]
- Mirzaei, H.; Shakeri, A.; Rashidi, B.; Jalili, A.; Banikazemi, Z.; Sahebkar, A. Phytosomal curcumin: A review of pharmacokinetic, experimental and clinical studies. Biomed. Pharmacother. 2017, 85, 102–112. [Google Scholar] [CrossRef] [PubMed]
- Sruthi, M.; Nair, A.B.; Arun, D.; Thushara, V.; Sheeja, C.; Vijayasree, A.S.; Oommen, O.V.; Divya, L. Dietary curcumin influences leptin, growth hormone and hepatic growth factors in Tilapia (Oreochromis mossambicus). Aquaculture 2018, 496, 105–111. [Google Scholar] [CrossRef]
- Cao, L.; Ding, W.; Du, J.; Jia, R.; Liu, Y.; Zhao, C.; Shen, Y.; Yin, G. Effects of curcumin on antioxidative activities and cytokine production in Jian carp (Cyprinus carpio var. Jian) with CCl4-induced liver damage. Fish Shellfish Immunol. 2015, 43, 150–157. [Google Scholar] [CrossRef]
- El-Barbary, I.M. Impact of garlic and curcumin on the hepatic histology and cytochrome P450 gene expression of aflatoxicosis Oreochromis niloticus using RT-PCR. Turk. J. Fish. Aquat. Sci. 2018, 18, 405–415. [Google Scholar] [CrossRef]
- Mahmoud, H.K.; Al-Sagheer, A.A.; Reda, F.M.; Mahgoub, S.A.; Ayyat, M.S. Dietary curcumin supplement influence on growth, immunity, antioxidant status, and resistance to Aeromonas hydrophila in Oreochromis niloticus. Aquaculture 2017, 475, 16–23. [Google Scholar] [CrossRef]
- Elgendy, M.; Hakim, A.; Ibrahim, T.; Soliman, W.; Ali, S. Immunomodulatory effects of curcumin on nile tilapia, Oreochromis niloticus and its antimicrobial properties against Vibrio alginolyticus. J. Fish. Aquat. Sci. 2016, 11, 206–215. [Google Scholar] [CrossRef][Green Version]
- Liu, Y.-M.; Zhang, Q.-Z.; Xu, D.-H.; Fu, Y.-W.; Lin, D.-J.; Zhou, S.-Y.; Li, J.-P. Antiparasitic efficacy of curcumin from Curcuma longa against Ichthyophthirius multifiliis in grass carp. Vet. Parasitol. 2017, 236, 128–136. [Google Scholar] [CrossRef]
- Manju, M.; Akbarsha, M.A.; Oommen, O.V. In vivo protective effect of dietary curcumin in fish Anabas testudineus (Bloch). Fish Physiol. Biochem. 2012, 38, 309–318. [Google Scholar] [CrossRef]
- Mahfouz, M. Ameliorative effect of curcumin on aflatoxin B1-induced changes in liver gene expression of Oreochromis niloticus. Mol. Biol. 2015, 49, 275–286. [Google Scholar] [CrossRef]
- Sharma, O. Antioxidant activity of curcumin and related compounds. Biochem. Pharmacol. 1976, 25, 1811–1812. [Google Scholar] [CrossRef]
- Kulkarni, S.K.; Bhutani, M.K.; Bishnoi, M. Antidepressant activity of curcumin: Involvement of serotonin and dopamine system. Psychopharmacology 2008, 201, 435–442. [Google Scholar] [CrossRef] [PubMed]
- PARK, E.J.; Jeon, C.H.; Ko, G.; Kim, J.; SOHN, D.H. Protective effect of curcumin in rat liver injury induced by carbon tetrachloride. J. Pharm. Pharmacol. 2000, 52, 437–440. [Google Scholar] [CrossRef] [PubMed]
- Rukkumani, R.; Aruna, K.; Varma, P.S.; Rajasekaran, K.N.; Menon, V.P. Comparative effects of curcumin and an analog of curcumin on alcohol and PUFA induced oxidative stress. J. Pharm. Pharm. Sci. 2004, 7, 274–283. [Google Scholar] [PubMed]
- Nanji, A.A.; Jokelainen, K.; Tipoe, G.L.; Rahemtulla, A.; Thomas, P.; Dannenberg, A.J. Curcumin prevents alcohol-induced liver disease in rats by inhibiting the expression of NF-κB-dependent genes. Am. J. Physiol.-Gastrointest. Liver Physiol. 2003, 284, G321–G327. [Google Scholar] [CrossRef]
- Nurjanah, N.; Saepudin, E. Curcumin isolation, synthesis and characterization of curcumin isoxazole derivative compound. AIP Conf. Proc. 2019, 2168, 020065. [Google Scholar]
- Naidu, M.M.; Shyamala, B.; Manjunatha, J.; Sulochanamma, G.; Srinivas, P. Simple HPLC method for resolution of curcuminoids with antioxidant potential. J. Food Sci. 2009, 74, C312–C318. [Google Scholar] [CrossRef]
- CCAC. Canadian Council on Animal Care Guidelines on: The Care and Use of Fish in Research, Teaching and Testing; Canadian Council on Animal Care: Ottawa, ON, Canada, 2005. [Google Scholar]
- APHA—American Public Health Association; AWWA—American Water Works Association; WPCF—American Water Works Association. Standard Methods for the Examination of Water and Wastewater, 17th ed.; American Public Health Association (APHA); American Water Works Association (AWWA); Water Pollution Control Federation (WPCF): Washington DC, USA, 1992; p. 1193. [Google Scholar]
- National Research Council (NRC). Nutrient Requirements of Fish and Shrimp; National Academies Press: Washington, DC, USA, 2011. [Google Scholar]
- Association of Official Agricultural Chemists (AOAC). Official Methods of Analysis; AOAC: Rockville, MD, USA, 2000. [Google Scholar]
- Castell, J.; Tiews, K. Report of the EIFAC, IUNS and ICES Working Group on Standardization of Methodology in Fish Nutrition Research, Documents Techniques de la CECPI (FAO); FAO: Hamburg, Germany, 21–23 March 1980. [Google Scholar]
- Stuart, J.S.; Hung, S.S. Growth of juvenile white sturgeon (Acipenser transmontanus) fed different proteins. Aquaculture 1989, 76, 303–316. [Google Scholar] [CrossRef]
- El-Araby, D.A.; Amer, S.A.; Attia, G.A.; Osman, A.; Fahmy, E.M.; Altohamy, D.E.; Alkafafy, M.; Elakkad, H.A.; Tolba, S.A. Dietary Spirulina platensis phycocyanin improves growth, tissue histoarchitecture, and immune responses, with modulating immunoexpression of CD3 and CD20 in Nile tilapia, Oreochromis niloticus. Aquaculture 2022, 546, 737413. [Google Scholar] [CrossRef]
- Allain, C.C.; Poon, L.S.; Chan, C.S.; Richmond, W.; Fu, P.C. Enzymatic determination of total serum cholesterol. Clin. Chem. 1974, 20, 470–475. [Google Scholar] [CrossRef] [PubMed]
- McGowan, M.; Artiss, J.D.; Strandbergh, D.R.; Zak, B. A peroxidase-coupled method for the colorimetric determination of serum triglycerides. Clin. Chem. 1983, 29, 538–542. [Google Scholar] [CrossRef] [PubMed]
- Vassault, A.; Grafmeyer, D.; Naudin, C.; Dumont, G.; Bailly, M.; Henny, J.; Gerhardt, M.; Georges, P. Protocole de validation de techniques. Ann. Biol. Clin. 1986, 44, 45. [Google Scholar]
- Ahmadi, S.A.; Boroumand, M.-A.; Gouhari, M.K.; Tajik, P.; Dibaj, S.-M. The impact of low serum triglyceride on LDL-cholesterol estimation. Arch. Iran. Med. 2008, 11, 318–321. [Google Scholar]
- Murray, R. Aspartate aminotransferase. In Clinical Chemistry; Kaplan, A., Glucose, K., Eds.; The CV Mosby Co.: St. Louis, MO, USA; Toronto, ON, Canada; Princeton, NJ, USA, 1984; pp. 1112–1116. [Google Scholar]
- Burtis, C.A.; Ashwood, E.R. Tietz Textbook of Clinical Chemistry, 2nd ed.; American Association for Clinical Chemistry: Washington, DC, USA; W. B. Saunders Co.: Philadelphia, PA, USA, 1994; p. 674. [Google Scholar]
- Ellis, A.E. Lysozyme assays. Tech. Fish Immunol. 1990, 1, 101–103. [Google Scholar]
- Abdel-Tawwab, M.; El-Araby, D.A. Immune and antioxidative effects of dietary licorice (Glycyrrhiza glabra L.) on performance of Nile tilapia, Oreochromis niloticus (L.) and its susceptibility to Aeromonas hydrophila infection. Aquaculture 2021, 530, 735828. [Google Scholar] [CrossRef]
- Lucky, Z. Methods for the Diagnosis of Fish Diseases; Amerind Publishing Co., PVT. Ltd.: New Delhi, India, 1977. [Google Scholar]
- Jiang, J.; Wu, X.-Y.; Zhou, X.-Q.; Feng, L.; Liu, Y.; Jiang, W.-D.; Wu, P.; Zhao, Y. Effects of dietary curcumin supplementation on growth performance, intestinal digestive enzyme activities and antioxidant capacity of crucian carp Carassius carassius. Aquaculture 2016, 463, 174–180. [Google Scholar] [CrossRef]
- Wen, Z.P.; Zhou, X.Q.; Feng, L.; Jiang, J.; Liu, Y. Effect of dietary pantothenic acid supplement on growth, body composition and intestinal enzyme activities of juvenile Jian carp (Cyprinus carpio var. Jian). Aquac. Nutr. 2009, 15, 470–476. [Google Scholar] [CrossRef]
- Abd El-Hakim, Y.M.; El-Houseiny, W.; Abd Elhakeem, E.-M.; Ebraheim, L.L.; Moustafa, A.A.; Mohamed, A.A.R. Melamine and curcumin enriched diets modulate the haemato-immune response, growth performance, oxidative stress, disease resistance, and cytokine production in Oreochromis niloticus. Aquat. Toxicol. 2020, 220, 105406. [Google Scholar] [CrossRef]
- Midhun, S.J.; Arun, D.; Edatt, L.; Sruthi, M.; Thushara, V.; Oommen, O.V.; Kumar, V.S.; Divya, L. Modulation of digestive enzymes, GH, IGF-1 and IGF-2 genes in the teleost, Tilapia (Oreochromis mossambicus) by dietary curcumin. Aquac. Int. 2016, 24, 1277–1286. [Google Scholar] [CrossRef]
- Hixson, S.M. Fish nutrition and current issues in aquaculture: The balance in providing safe and nutritious seafood, in an environmentally sustainable manner. J. Aquac. Res. Dev. 2014, 5, 8247. [Google Scholar] [CrossRef]
- Mahmoud, M.M.; El-Lamie, M.M.; Dessouki, A.A.; Yusuf, M.S. Effect of turmeric (Curcuma longa) supplementation on growth performance, feed utilization, and resistance of Nile tilapia (Oreochromis niloticus) to Pseudomonas fluorescens challenge. Glob. Res. J. Fish. Sci. Aquac. 2014, 1, 26–33. [Google Scholar]
- Zhongze, H.; Jiufeng, Y.; Zhijing, T. Effect of Curcumin on the Growth and Activity of Digestive Enzyme in Grass Carps (ctenopharyngodon idells). Cereal Feed. Ind. 2003, 51, 75–84. [Google Scholar]
- Akdemir, F.; Orhan, C.; Tuzcu, M.; Sahin, N.; Juturu, V.; Sahin, K. The efficacy of dietary curcumin on growth performance, lipid peroxidation and hepatic transcription factors in rainbow trout Oncorhynchus mykiss (Walbaum) reared under different stocking densities. Aquac. Res. 2017, 48, 4012–4021. [Google Scholar] [CrossRef]
- Yonar, M.E.; Yonar, S.M.; İspir, Ü.; Ural, M.Ş. Effects of curcumin on haematological values, immunity, antioxidant status and resistance of rainbow trout (Oncorhynchus mykiss) against Aeromonas salmonicida subsp. achromogenes. Fish Shellfish Immunol. 2019, 89, 83–90. [Google Scholar] [CrossRef]
- El-Barbary, I.M. Detoxification and antioxidant effects of garlic and curcumin in Oreochromis niloticus injected with aflatoxin B 1 with reference to gene expression of glutathione peroxidase (GPx) by RT-PCR. Fish Physiol. Biochem. 2016, 42, 617–629. [Google Scholar] [CrossRef]
- Recknagel, R.O.; Glende, E.A., Jr.; Dolak, J.A.; Waller, R.L. Mechanisms of carbon tetrachloride toxicity. Pharmacol. Ther. 1989, 43, 139–154. [Google Scholar] [CrossRef]
- Kong, Y.; Li, M.; Guo, G.; Yu, L.; Sun, L.; Yin, Z.; Li, R.; Chen, X.; Wang, G. Effects of dietary curcumin inhibit deltamethrin-induced oxidative stress, inflammation and cell apoptosis in Channa argus via Nrf2 and NF-κB signaling pathways. Aquaculture 2021, 540, 736744. [Google Scholar] [CrossRef]
- Dinarello, C.A. Overview of the IL-1 family in innate inflammation and acquired immunity. Immunol. Rev. 2018, 281, 8–27. [Google Scholar] [CrossRef]
- Porter, A.G.; Jänicke, R.U. Emerging roles of caspase-3 in apoptosis. Cell Death Differ. 1999, 6, 99–104. [Google Scholar] [CrossRef]
- Cho, J.-W.; Lee, K.-S.; Kim, C.-W. Curcumin attenuates the expression of IL-1β, IL-6, and TNF-α as well as cyclin E in TNF-α-treated HaCaT cells; NF-κB and MAPKs as potential upstream targets. Int. J. Mol. Med. 2007, 19, 469–474. [Google Scholar] [CrossRef] [PubMed]
- Anthwal, A.; Thakur, B.K.; Rawat, M.; Rawat, D.; Tyagi, A.K.; Aggarwal, B.B. Synthesis, characterization and in vitro anticancer activity of C-5 curcumin analogues with potential to inhibit TNF-α-induced NF-κB activation. BioMed Res. Int. 2014, 2014, 524161. [Google Scholar] [CrossRef] [PubMed]
- Kohli, K.; Ali, J.; Ansari, M.; Raheman, Z. Curcumin: A natural antiinflammatory agent. Indian J. Pharmacol. 2005, 37, 141. [Google Scholar] [CrossRef]
- Kwak, M.-K.; Wakabayashi, N.; Kensler, T.W. Chemoprevention through the Keap1–Nrf2 signaling pathway by phase 2 enzyme inducers. Mutat. Res. /Fundam. Mol. Mech. Mutagenesis 2004, 555, 133–148. [Google Scholar] [CrossRef] [PubMed]
- Saurabh, S.; Sahoo, P. Lysozyme: An important defence molecule of fish innate immune system. Aquac. Res. 2008, 39, 223–239. [Google Scholar] [CrossRef]
- Magnadóttir, B. Innate immunity of fish (overview). Fish Shellfish Immunol. 2006, 20, 137–151. [Google Scholar] [CrossRef]
- Mohamed, A.A.-R.; El-Houseiny, W.; Abd Elhakeem, E.-M.; Ebraheim, L.L.; Ahmed, A.I.; Abd El-Hakim, Y.M. Effect of hexavalent chromium exposure on the liver and kidney tissues related to the expression of CYP450 and GST genes of Oreochromis niloticus fish: Role of curcumin supplemented diet. Ecotoxicol. Environ. Saf. 2020, 188, 109890. [Google Scholar] [CrossRef]
- Situmorang, M.L.; Dierckens, K.; Mlingi, F.T.; Van Delsen, B.; Bossier, P. Development of a bacterial challenge test for gnotobiotic Nile tilapia Oreochromis niloticus larvae. Dis. Aquat. Org. 2014, 109, 23–33. [Google Scholar] [CrossRef]
- Wang, E.; Chen, X.; Wang, K.; Wang, J.; Chen, D.; Geng, Y.; Lai, W.; Wei, X. Plant polysaccharides used as immunostimulants enhance innate immune response and disease resistance against Aeromonas hydrophila infection in fish. Fish Shellfish Immunol. 2016, 59, 196–202. [Google Scholar] [CrossRef]
- Sahu, S.; Das, B.K.; Mishra, B.K.; Pradhan, J.; Samal, S.K.; Sarangi, N. Effect of dietary Curcuma longa on enzymatic and immunological profiles of rohu, Labeo rohita (Ham.), infected with Aeromonas hydrophila. Aquac. Res. 2008, 39, 1720–1730. [Google Scholar] [CrossRef]
- Baldissera, M.D.; Souza, C.F.; Zeppenfeld, C.C.; Descovi, S.; Machado, V.S.; Santos, R.C.; Baldisserotto, B. Efficacy of dietary curcumin supplementation as bactericidal for silver catfish against Streptococcus agalactiae. Microb. Pathog. 2018, 116, 237–240. [Google Scholar] [CrossRef] [PubMed]







| Ingredients | g·kg−1 |
|---|---|
| Fish meal 70.7% CP | 180 |
| Yellow corn | 216.5 |
| Soybean meal 49% CP | 275 |
| Corn gluten 67% CP | 70 |
| Wheat flour | 100 |
| Wheat bran | 60 |
| Fish oil | 65 |
| Methionine | 3.5 |
| Vitamins and minerals mixture | 30 |
| Proximate composition (g·kg−1) | |
| CP | 355.43 |
| Fat | 102.80 |
| NFE 1 | 441.16 |
| Crude fiber | 36.62 |
| Ash | 63.97 |
| Lysine | 20.20 |
| Methionine | 10.72 |
| GE MJ/kg 2 | 20.72 |
| IBW (g/fish) | FBW (g/fish) | ADWG (g/fish) | TWG (g/fish) | TFI (g/fish) | FCR | PER | PPE | SGR | |
|---|---|---|---|---|---|---|---|---|---|
| CUR0 | 41.8 | 81.2 b | 0.56 b | 39 b | 51 | 1.30 ab | 2.2 | 1.2 | 0.95 b |
| CUR200 | 41.8 | 93.4 a | 0.74 a | 51.5 a | 64.7 | 1.26 ab | 2.2 | 1.2 | 1.15 a |
| CUR400 | 41.3 | 96 a | 0.78 a | 54.7 a | 60 | 1.10 b | 2.3 | 1.3 | 1.20 a |
| CUR600 | 41.4 | 81.7 b | 0.58 b | 40 b | 51.5 | 1.28 ab | 2.2 | 1.2 | 0.97 b |
| CUR800 | 41.4 | 83 b | 0.59 b | 41.5 b | 58.7 | 1.41 a | 2 | 1.1 | 0.99 b |
| SEM | 1.46 | 2.18 | 0.03 | 2.18 | 1.95 | 0.03 | 0.04 | 0.02 | 0.03 |
| Linear Reg. # | 0.14 | 0.18 | 0.22 | 0.22 | 0.80 | 0.16 | 0.31 | 0.53 | 0.32 |
| Quadratic Reg. # | 0.51 | ≤0.01 | ≤0.01 | ≤0.01 | 0.14 | ≤0.01 | 0.13 | 0.12 | ≤0.01 |
| DM % * | Crude Protein % ** | Crude Lipids % ** | Ash % ** | |
|---|---|---|---|---|
| CUR0 | 25.6 | 54.5 bc | 20 a | 21.4 b |
| CUR200 | 23.5 | 53.9 c | 16.5 ab | 27.3 a |
| CUR400 | 26.2 | 55.3 abc | 15 bc | 25.7 a |
| CUR600 | 23.8 | 56.1 a | 13.00 bc | 28.8 a |
| CUR800 | 22.7 | 55.9 ab | 11.50 c | 28.8 a |
| SEM | 0.49 | 0.25 | 0.96 | 0.94 |
| Linear Reg. # | 0.04 | ≤0.01 | ≤0.01 | ≤0.01 |
| Quadratic Reg. # | 0.26 | 0.73 | 0.55 | 0.02 |
| Villous Height | Villous Width | Crypt Depth | MT | |
|---|---|---|---|---|
| CUR0 | 868 b | 97 d | 146 d | 162 b |
| CUR200 | 1034 ab | 145 b | 223 b | 131 c |
| CUR400 | 1178 a | 146.50 b | 129 e | 66 d |
| CUR600 | 1203 a | 214 a | 313 a | 164 b |
| CUR800 | 1062 ab | 124 c | 184 c | 198 a |
| SEM | 26.70 | 8.83 | 17.38 | 12.85 |
| Linear Reg. # | ≤0.01 | ≤0.01 | ≤0.01 | ≤0.01 |
| Quadratic Reg. # | ≤0.01 | ≤0.01 | ≤0.01 | ≤0.01 |
| TC (mg/dL) | TG (mg/dL) | HDL-C (mg/dL) | LDL-C (mg/dL) | VLDL-C (mg/dL) | AST (u/L) | ALT (u/L) | |
|---|---|---|---|---|---|---|---|
| CUR0 | 184 | 171 | 50.8 | 99.5 | 34 | 66 | 4.8 |
| CUR200 | 107 | 99 | 51.6 | 70 | 19.7 | 27.7 | 16 |
| CUR400 | 189 | 137 | 51.9 | 109. | 27 | 78 | 25 |
| CUR600 | 204 | 186 | 50 | 116 | 37 | 48.8 | 34 |
| CUR800 | 229 | 205 | 47 | 141 | 41 | 32.5 | 18.8 |
| SEM | 7.23 | 4.34 | 16.7 | 14.5 | 0.70 | 10.4 | 2.8 |
| Linear Reg. # | 0.09 | 0.07 | 0.06 | 0.11 | 0.07 | 0.20 | 0.14 |
| Quadratic Reg. # | 0.25 | 0.06 | 0.08 | 0.39 | 0.06 | 0.39 | 0.15 |
| Antioxidant Activity | Immunological Indices | |||||||
|---|---|---|---|---|---|---|---|---|
| CAT (ng/mL) | GSH (ng/mL) | MDA (ng/mL) | SOD (ng/mL) | IL10 (pg/mL) | IgM (ng/mL) | Lysozymes (ng/mL) | C3 (mg/mL) | |
| CUR0 | 1.3 c | 7 c | 20 a | 105 b | 157 b | 213 b | 5 b | 92.3 b |
| CUR200 | 33.4 a | 24.6 ab | 7 b | 253 a | 238 a | 1835 a | 19.8 a | 127 ab |
| CUR400 | 34.6 a | 25.9 a | 3.5 b | 270 a | 240 a | 2075 a | 20.4 a | 178 a |
| CUR600 | 16.9 b | 16.2 b | 4.8 b | 229 a | 188 ab | 913 b | 20 a | 126 ab |
| CUR800 | 16.7 b | 15.8 bc | 2.7 b | 219 a | 167 b | 386 b | 17.6 ab | 124.18 b |
| SEM | 4.17 | 2.29 | 2.17 | 20 | 12.29 | 254 | 2.2 | 9.7 |
| Linear Reg. # | 0.14 | 0.12 | ≤0.01 | ≤0.01 | 0.44 | 0.21 | 0.02 | 0.08 |
| Quadratic Reg. # | ≤0.01 | ≤0.01 | ≤0.01 | ≤0.01 | ≤0.01 | ≤0.01 | ≤0.01 | ≤0.01 |
Publisher’s Note: MDPI stays neutral with regard to jurisdictional claims in published maps and institutional affiliations. |
© 2022 by the authors. Licensee MDPI, Basel, Switzerland. This article is an open access article distributed under the terms and conditions of the Creative Commons Attribution (CC BY) license (https://creativecommons.org/licenses/by/4.0/).
Share and Cite
Amer, S.A.; El-Araby, D.A.; Tartor, H.; Farahat, M.; Goda, N.I.A.; Farag, M.F.M.; Fahmy, E.M.; Hassan, A.M.; Abo El-Maati, M.F.; Osman, A. Long-Term Feeding with Curcumin Affects the Growth, Antioxidant Capacity, Immune Status, Tissue Histoarchitecture, Immune Expression of Proinflammatory Cytokines, and Apoptosis Indicators in Nile Tilapia, Oreochromis niloticus. Antioxidants 2022, 11, 937. https://doi.org/10.3390/antiox11050937
Amer SA, El-Araby DA, Tartor H, Farahat M, Goda NIA, Farag MFM, Fahmy EM, Hassan AM, Abo El-Maati MF, Osman A. Long-Term Feeding with Curcumin Affects the Growth, Antioxidant Capacity, Immune Status, Tissue Histoarchitecture, Immune Expression of Proinflammatory Cytokines, and Apoptosis Indicators in Nile Tilapia, Oreochromis niloticus. Antioxidants. 2022; 11(5):937. https://doi.org/10.3390/antiox11050937
Chicago/Turabian StyleAmer, Shimaa A., Doaa A. El-Araby, Haitham Tartor, Mahmoud Farahat, Nehal I. A. Goda, Mohamed F. M. Farag, Esraa M. Fahmy, Aziza M. Hassan, Mohamed F. Abo El-Maati, and Ali Osman. 2022. "Long-Term Feeding with Curcumin Affects the Growth, Antioxidant Capacity, Immune Status, Tissue Histoarchitecture, Immune Expression of Proinflammatory Cytokines, and Apoptosis Indicators in Nile Tilapia, Oreochromis niloticus" Antioxidants 11, no. 5: 937. https://doi.org/10.3390/antiox11050937
APA StyleAmer, S. A., El-Araby, D. A., Tartor, H., Farahat, M., Goda, N. I. A., Farag, M. F. M., Fahmy, E. M., Hassan, A. M., Abo El-Maati, M. F., & Osman, A. (2022). Long-Term Feeding with Curcumin Affects the Growth, Antioxidant Capacity, Immune Status, Tissue Histoarchitecture, Immune Expression of Proinflammatory Cytokines, and Apoptosis Indicators in Nile Tilapia, Oreochromis niloticus. Antioxidants, 11(5), 937. https://doi.org/10.3390/antiox11050937

