Operative Corridors in Endoscopic Skull Base Tumor Surgery
Abstract
1. Introduction
2. Materials and Methods
3. Results and Discussion
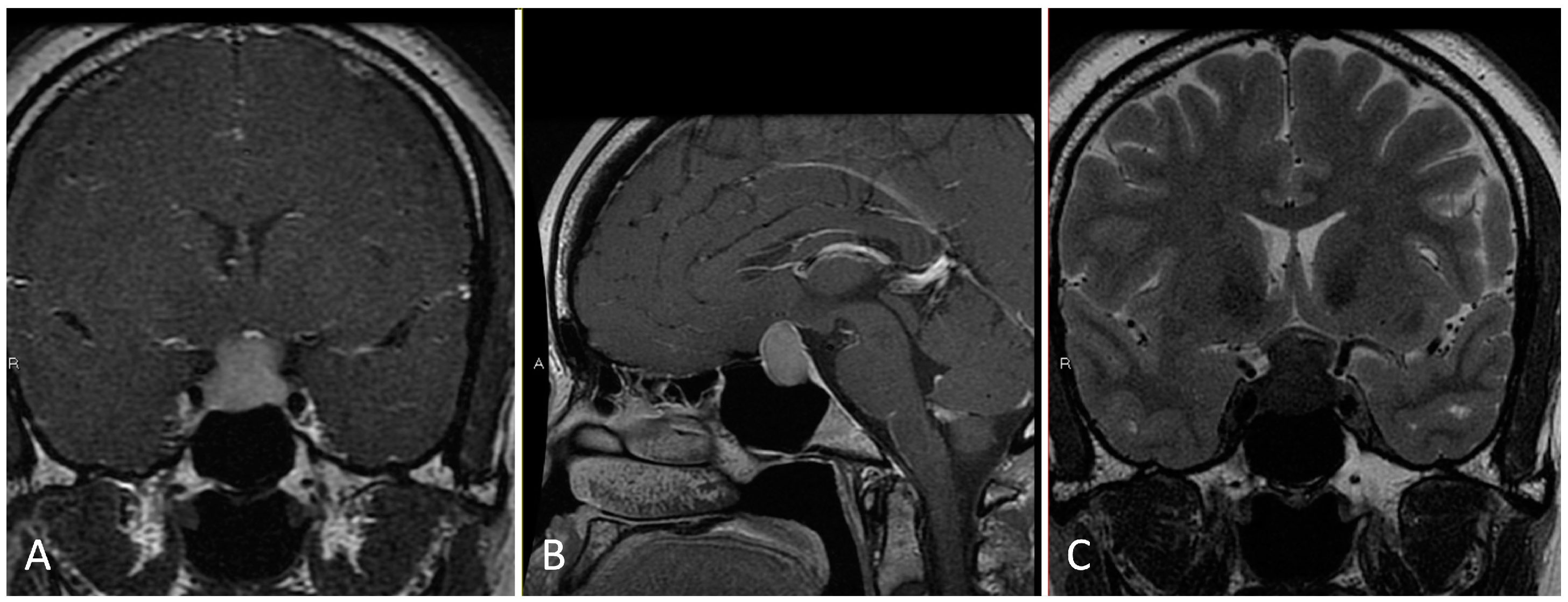
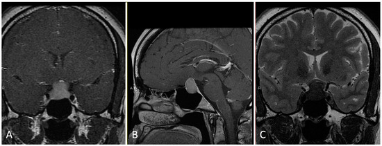
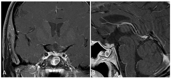
3.1. Sellar/Suprasellar
3.1.1. Anatomic Considerations
3.1.2. Illustrative Case
3.1.3. Practical Pearls
- An understanding of the osseous anatomy of the nasal corridor, paranasal sinuses, septum, intersinus septations, and relevant vascular structures are of paramount importance in the approach to sellar lesions.
- A pedicled nasoseptal rescue flap may be useful to obtain during the approach to the sellar lesions, particularly in cases of possible CSF leak, and should take into account the horizontal orientation of the posterior septal branch of the sphenopalatine artery.
- Dural opening of Rathke’s cleft cysts, one should begin anteriorly and inferiorly to minimize the risk of inadvertent CSF leak and iatrogenic injury to the pituitary gland.
- One must be mindful of diaphragm downward migration and identification during cyst resection to avoid a CSF leak.
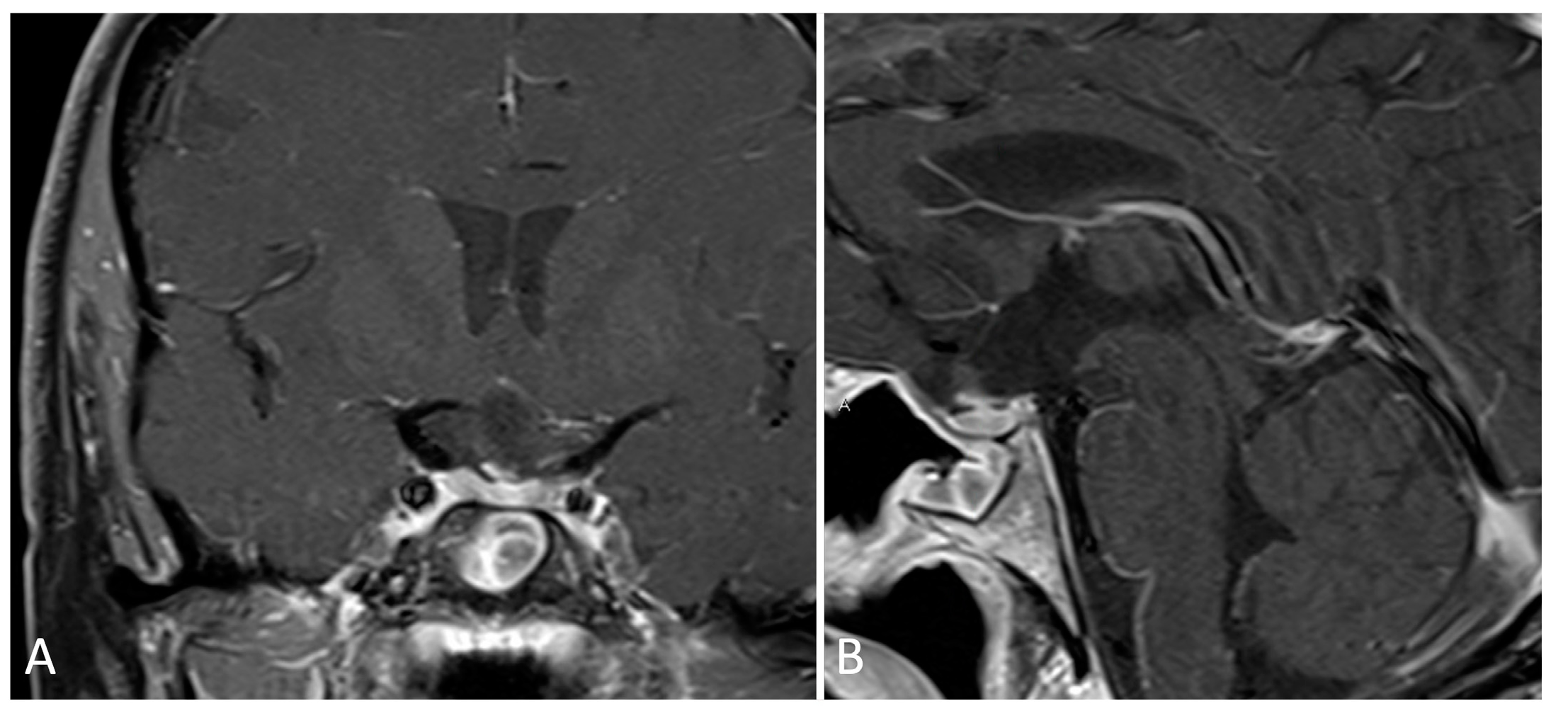
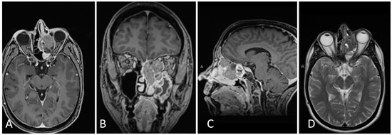
3.1.4. Illustrative Case
3.1.5. Practical Pearls
- Placement of a lumbar drain is advised at the start of surgery, or preoperatively, in cases where a high-flow CSF leak is anticipated, in order to reduce immediate postoperative intracerebral pressure (ICP) and offload excessive pressure on the skull base graft.
- Upfront harvest of a nasal septal flap may be useful for skull base reconstruction in cases of anticipated high flow CSF leak.
- The sphenoid limbus serves as an important landmark for the location of the optic nerves, bridging medial to the optic canal and forming the anterior border of the prechiasmatic sulcus.
- When approaching lesions within the suprasellar region, one should be mindful of the location of the optic apparatus (i.e., pre-fixed/post-fixed chiasm) as well as relevant neurovascular structures in the chiasmatic, lamina terminalis, interpeduncular, and prepontine cisterns.
- Craniopharyngiomas may be fenestrated into a natural CSF space, such as the basal cisterns and third ventricle, to reduce long-term cystic reaccumulation/recurrence.
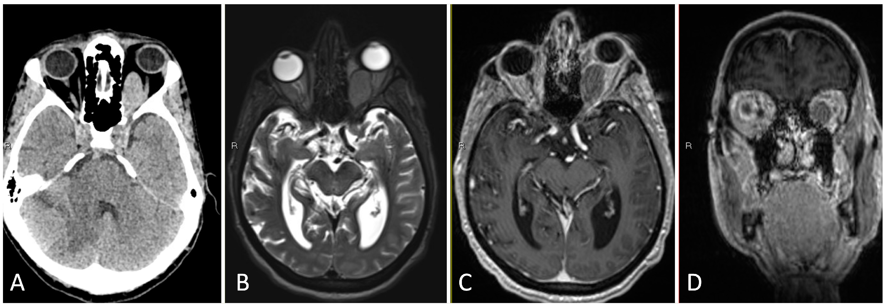
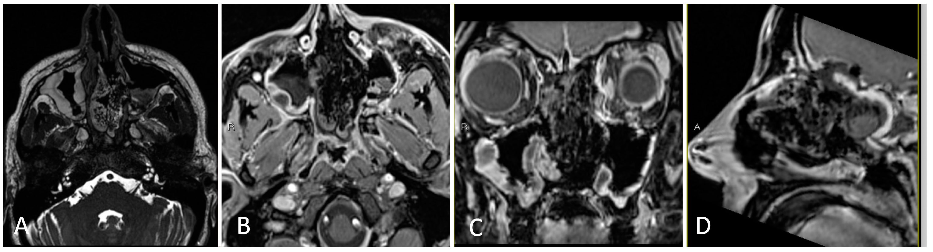
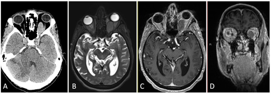
3.2. Orbital Apex
3.2.1. Anatomic Considerations
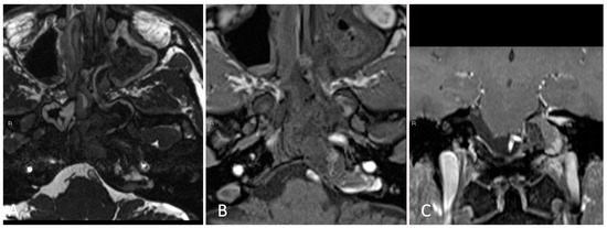
3.2.2. Illustrative Case
3.2.3. Practical Pearls
- The goals of surgical resection for metastatic lesions to the orbit are to obtain decompression of the optic apparatus and to obtain a diagnosis.
- The periorbita should be opened parallel to the medial rectus muscle to minimize inadvertent injury.
- In the medial endonasal approach, the two corridors include between the superior oblique and medial rectus muscles, as well as between the medial rectus and the inferior rectus muscles.
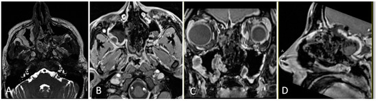
3.3. Anterior Cranial Base
3.3.1. Anatomic Considerations
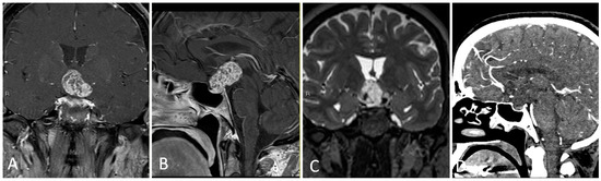
3.3.2. Illustrative Case
3.3.3. Practical Pearls
- Anterior and posterior ethmoidal arteries should be ligated and cut close to midline in order to avoid retraction of these vessels into the orbit.
- The inlay dural substitute should be oversized as part of the multi-layered closure.
- Reconstruction with a nasoseptal flap should take into account sites of involved disease, which cannot be used in the flap.
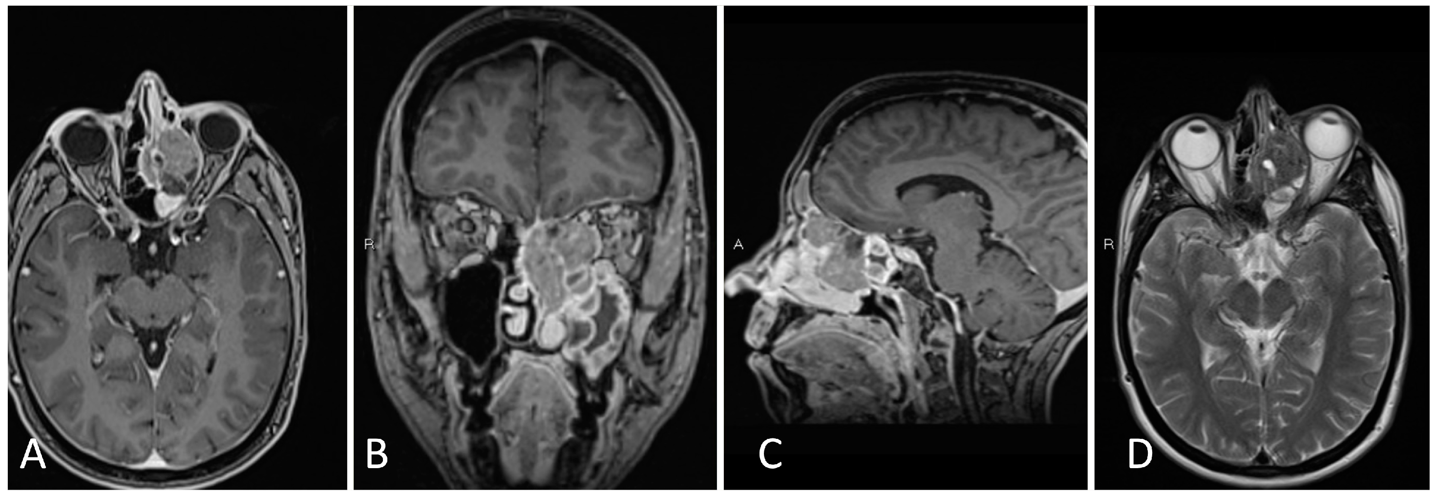
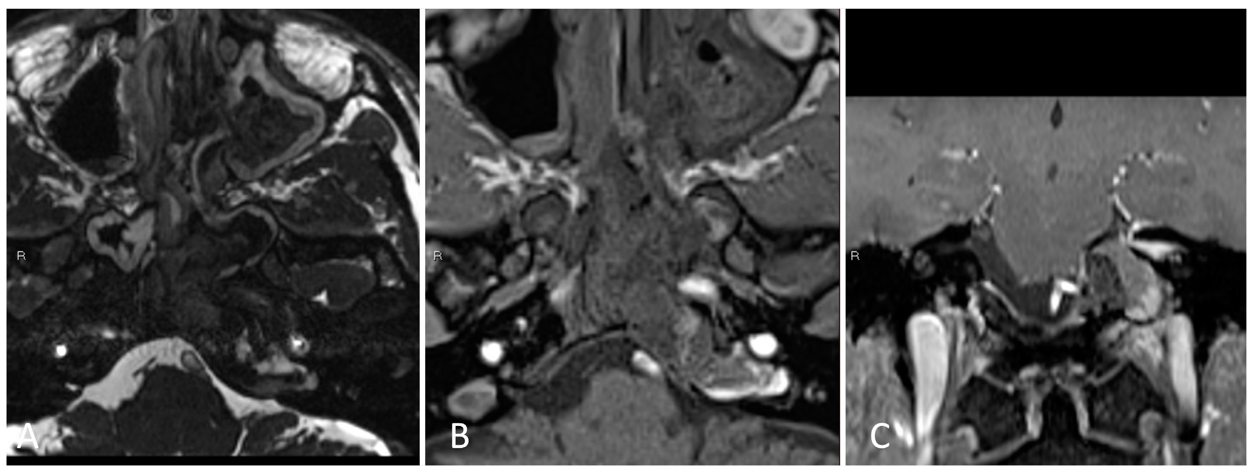
3.4. Transpterygoid
3.4.1. Anatomic Considerations
| Authors | Approach | Study Inclusion | Outcomes |
|---|---|---|---|
| Fong et al. [49] | Sellar | Meta-analysis including eleven studies comprised of 3941 patients undergoing expanded endoscopic endonasal resection for pituitary tumors were evaluated. | Progression-free survival was significantly higher in patients who underwent gross-total resection compared to subtotal resection. Postoperative radiotherapy was associated with improved progression-free survival in patients with residual disease. |
| Lee et al. [50] | Suprasellar | 25 articles comprising 554 pediatric patients undergoing endoscopic endonasal resection for suprasellar pathologies were included. Most common pathologies included craniopharyngiomas, adenomas, and Rathke’s cleft cysts. | No significant difference in primary tumor etiology with rates of CSF leak postoperatively (8.6% overall), including craniopharyngiomas (10.6%), adenomas (6.5%), and Rathke’s cleft cysts (7.2%). |
| Dubal et al. [51] | Orbital Apex | 39 studies comprising 71 patients who underwent endoscopic endonasal resection of orbital apex pathologies were included. | Exclusively intraconal and extraconal pathologies included 51% and 30.6% of the cohort, respectively. Tumor etiology was most commonly cavernous hemangioma (45.1%), with 76.2% of complications as transient and no difference in rates of complication between intraconal or extraconal pathologies. There was only a 4.2% rate of recurrence in the pooled cohort. |
| Nicolai et al. [52] | Anterior Fossa | Exclusive EEA for anterior fossa sinonasal malignancies was performed in 134 patients with the remaining 50 undergoing a cranioendosopic combined approach. Malignancies included adenocarcinoma, squamous cell carcinoma, olfactory neuroblastoma, mucosal melanoma, and adenoid cystic carcinoma. | 5-year disease-specific survival was 91.4% and 58.8% for EEA and CEA groups, respectively. |
| Hanna et al. [53] | 120 patients were included with esthesioneuroblastoma, sarcoma, adenocarcinoma, melanoma, and squamous cell carcinoma. 93 select patients underwent exclusively expanded EEA and 27 underwent cranioendoscopic approach with combined open craniotomy. | No significant differences between combined nor exclusive EEA groups, with 5- and 10-year survival rates of 87% and 80%, respectively. | |
| Battaglia et al. [46] | Transpterygoid | 37 consecutive patients with who underwent transmaxillary transpterygoid approach for skull base tumor resection of the nasopharynx, middle fossa, or infratemporal fossa were included. Primary pathologies included juvenile nasopharyngeal angiofibroma, trigeminal schwannoma, cavernous hemangioma, adenoid cystic carcinoma, mucoepidermoid carcinoma, squamous cell carcinoma, adenocarcinoma, chondrosarcoma, and undifferentiated nasopharyngeal carcinoma. | One patient suffered internal carotid artery injury, and eight patients received adjuvant treatment. At most recent follow-up (30 months for malignant tumors and 60 months for benign tumors) all patients had stable disease without recurrence. Two patients of the cohort had stable intracranial disease, including one with a meningioma and one with adenoid cystic carcinoma. |
3.4.2. Illustrative Case
3.4.3. Practical Pearls
- Sacrifice of the sphenopalatine artery in the transpterygoid approach precludes an ipsilateral nasoseptal flap.
- Skeletonization of the maxillary nerve leads to the ‘quadrangular space’ and Meckel’s cave.
- Skeletonization of the vidian nerve leads to the lacerum segment of the ICA.
- The contralateral transmaxillary approach may be a useful back up option for lateral petrous pathologies approaching the IAC.
Author Contributions
Funding
Institutional Review Board Statement
Informed Consent Statement
Data Availability Statement
Conflicts of Interest
References
- Doglietto, F.; Prevedello, D.M.; Jane, J.A., Jr.; Han, J.; Laws, E.R., Jr. Brief history of endoscopic transsphenoidal surgery–From Philipp Bozzini to the First World Congress of Endoscopic Skull Base Surgery. Neurosurg. Focus 2005, 19, 1–6. [Google Scholar] [CrossRef]
- Porras, J.L.; Rowan, N.R.; Mukherjee, D. Endoscopic Endonasal Skull Base Surgery Complication Avoidance: A Contemporary Review. Brain Sci. 2022, 12, 1685. [Google Scholar] [CrossRef]
- Chakravarthi, S.; Gonen, L.; Monroy-Sosa, A.; Khalili, S.; Kassam, A. Endoscopic Endonasal Reconstructive Methods to the Anterior Skull Base. Semin. Plast. Surg. 2017, 31, 203–213. [Google Scholar] [CrossRef] [PubMed]
- Roxbury, C.R.; Ishii, M.; Richmon, J.D.; Blitz, A.M.; Reh, D.D.; Gallia, G.L. Endonasal Endoscopic Surgery in the Management of Sinonasal and Anterior Skull Base Malignancies. Head Neck Pathol. 2016, 10, 13–22, Erratum in Head Neck Pathol. 2017, 11, 268. [Google Scholar] [CrossRef] [PubMed]
- Castelnuovo, P.; Dallan, I.; Battaglia, P.; Bignami, M. Endoscopic endonasal skull base surgery: Past, present and future. Eur. Arch. Otorhinolaryngol. 2010, 267, 649–663. [Google Scholar] [CrossRef] [PubMed]
- Verillaud, B.; Bresson, D.; Sauvaget, E.; Mandonnet, E.; Georges, B.; Kania, R.; Herman, P. Endoscopic endonasal skull base surgery. Eur. Ann. Otorhinolaryngol. Head Neck Dis. 2012, 129, 190–196. [Google Scholar] [CrossRef] [PubMed]
- Patel, C.R.; Fernandez-Miranda, J.C.; Wang, W.H.; Wang, E.W. Skull Base Anatomy. Otolaryngol. Clin. N. Am. 2016, 49, 9–20. [Google Scholar] [CrossRef] [PubMed]
- Kanjanawasee, D.; Campbell, R.G.; Rimmer, J.; Alvarado, R.; Kanjanaumporn, J.; Snidvongs, K.; Kalish, L.; Harvey, R.J.; Sacks, R. Empty Nose Syndrome Pathophysiology: A Systematic Review. Otolaryngol. Head Neck Surg. 2022, 167, 434–451. [Google Scholar] [CrossRef] [PubMed]
- Rohr, A.S.; Spector, S.L. Paranasal sinus anatomy and pathophysiology. Clin. Rev. Allergy 1984, 2, 387–395. [Google Scholar] [PubMed]
- Baroody, F.M. Nasal and paranasal sinus anatomy and physiology. Clin. Allergy Immunol. 2007, 19, 1–21. [Google Scholar]
- Ferrari, M.; Mattavelli, D.; Schreiber, A.; Nicolai, P. Macroscopic and Endoscopic Anatomy of the Anterior Skull Base and Adjacent Structures. In Anterior Skull Base Tumors; Advances in Oto-Rhino-Laryngology; Karger Publishers: Basel, Switzerland, 2020; Volume 84, pp. 1–12. [Google Scholar] [CrossRef]
- Jankowski, R.; Nguyen, D.T.; Poussel, M.; Chenuel, B.; Gallet, P.; Rumeau, C. Sinusology. Eur. Ann. Otorhinolaryngol. Head Neck Dis. 2016, 133, 263–268. [Google Scholar] [CrossRef]
- Kubal, W.S. Sinonasal anatomy. Neuroimaging Clin. N. Am. 1998, 8, 143–156. [Google Scholar]
- Campero, A.; Emmerich, J.; Socolovsky, M.; Martins, C.; Yasuda, A.; Agustín Campero, A.; Rhoton, A., Jr. Microsurgical anatomy of the sphenoid ostia. J. Clin. Neurosci. 2010, 17, 1298–1300. [Google Scholar] [CrossRef]
- Rhoton, A.L., Jr. The sellar region. Neurosurgery 2002, 51 (Suppl. 4), S335–S374. [Google Scholar] [CrossRef]
- Patel, R.G. Nasal Anatomy and Function. Facial Plast. Surg. 2017, 33, 3–8. [Google Scholar] [CrossRef]
- Fernandez-Miranda, J.C.; Prevedello, D.M.; Madhok, R.; Morera, V.; Barges-Coll, J.; Reineman, K.; Snyderman, C.H.; Gardner, P.; Carrau, R.; Kassam, A.B. Sphenoid septations and their relationship with internal carotid arteries: Anatomical and radiological study. Laryngoscope 2009, 119, 1893–1896. [Google Scholar] [CrossRef]
- Ceylan, S.; Koc, K.; Anik, I. Extended endoscopic approaches for midline skull-base lesions. Neurosurg. Rev. 2009, 32, 309–319, discussion 318–319. [Google Scholar] [CrossRef] [PubMed]
- Rejane-Heim, T.C.; Silveira-Bertazzo, G.; Carrau, R.L.; Prevedello, D.M. Surgical anatomy and nuances of the expanded endonasal transdorsum sellae and posterior clinoidectomy approach to the interpeduncular and prepontine cisterns: A stepwise cadaveric dissection of various pituitary gland transpositions. Acta Neurochir. 2021, 163, 407–413. [Google Scholar] [CrossRef] [PubMed]
- Cironi, K.A.; Decater, T.; Iwanaga, J.; Dumont, A.S.; Tubbs, R.S. Arterial Supply to the Pituitary Gland: A Comprehensive Review. World Neurosurg. 2020, 142, 206–211. [Google Scholar] [CrossRef] [PubMed]
- Truong, H.Q.; Lieber, S.; Najera, E.; Alves-Belo, J.T.; Gardner, P.A.; Fernandez-Miranda, J.C. The medial wall of the cavernous sinus. Part 1: Surgical anatomy, ligaments, and surgical technique for its mobilization and/or resection. J. Neurosurg. 2018, 131, 122–130. [Google Scholar] [CrossRef] [PubMed]
- Romano, N.; Federici, M.; Castaldi, A. Imaging of cranial nerves: A pictorial overview. Insights Imaging 2019, 10, 33. [Google Scholar] [CrossRef]
- Gentry, L.R. Anatomy of the orbit. Neuroimaging Clin. N. Am. 1998, 8, 171–194. [Google Scholar]
- Banks, C.; Husain, Q.; Bleier, B.S. Endoscopic endonasal intraconal orbit surgery. World J. Otorhinolaryngol. Head Neck Surg. 2019, 6, 100–105. [Google Scholar] [CrossRef] [PubMed]
- Castelnuovo, P.; Turri-Zanoni, M.; Battaglia, P.; Locatelli, D.; Dallan, I. Endoscopic Endonasal Management of Orbital Pathologies. Neurosurg. Clin. N. Am. 2015, 26, 463–472. [Google Scholar] [CrossRef] [PubMed]
- Hayek, G.; Mercier, P.; Fournier, H.D. Anatomy of the orbit and its surgical approach. Adv. Tech. Stand. Neurosurg. 2006, 31, 35–71. [Google Scholar] [CrossRef] [PubMed]
- Chastain, J.B.; Sindwani, R. Anatomy of the orbit, lacrimal apparatus, and lateral nasal wall. Otolaryngol. Clin. N. Am. 2006, 39, 855–864. [Google Scholar] [CrossRef]
- Weisman, R.A. Surgical anatomy of the orbit. Otolaryngol. Clin. N. Am. 1988, 21, 1–12. [Google Scholar] [CrossRef]
- Hayreh, S.S. Orbital vascular anatomy. Eye 2006, 20, 1130–1144. [Google Scholar] [CrossRef] [PubMed]
- Omura, K.; Nomura, K.; Mori, R.; Ishii, Y.; Tanaka, Y.; Otori, N.; Kojima, H. Advanced Endoscopic Endonasal Approach to the Pterygopalatine Fossa and Orbit: The Endoscopic Tri-port Approach. J. Neurol. Surg. B Skull Base 2020, 82, 437–442. [Google Scholar] [CrossRef] [PubMed]
- Chiou, C.A.; Vickery, T.W.; Reshef, E.R.; Bleier, B.S.; Freitag, S.K. Endonasal Endoscopic Approach to Orbital Tumors. Int. Ophthalmol. Clin. 2023, 63, 249–262. [Google Scholar] [CrossRef]
- Almeida, J.P.; DE Andrade, E.J.; Vescan, A.; Zadeh, G.; Recinos, P.F.; Kshettry, V.R.; Gentili, F. Surgical anatomy and technical nuances of the endoscopic endonasal approach to the anterior cranial fossa. J. Neurosurg. Sci. 2021, 65, 103–117. [Google Scholar] [CrossRef] [PubMed]
- Plou, P.; Serioli, S.; Leonel, L.C.P.C.; Alexander, A.Y.; Agosti, E.; Vilany, L.; Graepel, S.; Choby, G.; Pinheiro-Neto, C.D.; Peris-Celda, M. Surgical Anatomy and Approaches of the Anterior Cranial Fossa from a Transcranial and Endonasal Perspective. Cancers 2023, 15, 2587. [Google Scholar] [CrossRef]
- Silveira-Bertazzo, G.; Li, R.; Rejane-Heim, T.C.; Martinez-Perez, R.; Albonette-Felicio, T.; Sholkamy Diab, A.G.; Mahmoud Mady, M.S.; Hardesty, D.A.; Carrau, R.L.; Prevedello, D.M. Endoscopic approaches to skull base malignancies affecting the anterior fossa. J. Neurosurg. Sci. 2021, 65, 169–180. [Google Scholar] [CrossRef] [PubMed]
- Santosh, B. A Study of Clinical Significance of the Depth of Olfactory Fossa in Patients Undergoing Endoscopic Sinus Surgery. Indian J. Otolaryngol. Head Neck Surg. 2017, 69, 514–522. [Google Scholar] [CrossRef]
- Srivastava, M.; Tyagi, S. Role of Anatomic variations of Uncinate Process in Frontal Sinusitis. Indian. J. Otolaryngol. Head Neck Surg. 2016, 68, 441–444. [Google Scholar] [CrossRef]
- Zhang, L.; Han, D.; Ge, W.; Xian, J.; Zhou, B.; Fan, E.; Liu, Z.; He, F. Anatomical and computed tomographic analysis of the interaction between the uncinate process and the agger nasi cell. Acta Otolaryngol. 2006, 126, 845–852. [Google Scholar] [CrossRef]
- Finger, G.; Gun, R.; Wu, K.C.; Carrau, R.L.; Prevedello, D.M. Endoscopic Endonasal Transpterygoid Approach: Technical Lessons. Oper. Neurosurg. 2023, 25, e272. [Google Scholar] [CrossRef]
- Mehta, G.U.; Raza, S.M. Endoscopic endonasal transpterygoid approach to petrous pathologies: Technique, limitations and alternative approaches. J. Neurosurg. Sci. 2018, 62, 339–346. [Google Scholar] [CrossRef]
- Hardesty, D.A.; Montaser, A.S.; Carrau, R.L.; Prevedello, D.M. Limits of endoscopic endonasal transpterygoid approach to cavernous sinus and Meckel’s cave. J. Neurosurg. Sci. 2018, 62, 332–338. [Google Scholar] [CrossRef]
- Oakley, G.M.; Harvey, R.J. Endoscopic Resection of Pterygopalatine Fossa and Infratemporal Fossa Malignancies. Otolaryngol. Clin. N. Am. 2017, 50, 301–313. [Google Scholar] [CrossRef]
- Tashi, S.; Purohit, B.S.; Becker, M.; Mundada, P. The pterygopalatine fossa: Imaging anatomy, communications, and pathology revisited. Insights Imaging 2016, 7, 589–599. [Google Scholar] [CrossRef]
- Ozawa, H.; Sekimizu, M.; Saito, S.; Nakamura, S.; Mikoshiba, T.; Toda, M.; Ogawa, K. Endoscopic Endonasal Management of Pterygopalatine Fossa Tumors. J. Craniofac Surg. 2021, 32, e454–e457. [Google Scholar] [CrossRef]
- Vuksanovic-Bozaric, A.; Vukcevic, B.; Abramovic, M.; Vukcevic, N.; Popovic, N.; Radunovic, M. The pterygopalatine fossa: Morphometric, C.T. study with clinical implications. Surg. Radiol. Anat. 2019, 41, 161–168. [Google Scholar] [CrossRef]
- Hosseini, S.M.; Razfar, A.; Carrau, R.L.; Prevedello, D.M.; Fernandez-Miranda, J.; Zanation, A.; Kassam, A.B. Endonasal transpterygoid approach to the infratemporal fossa: Correlation of endoscopic and multiplanar, C.T. anatomy. Head Neck 2012, 34, 313–320. [Google Scholar] [CrossRef]
- Battaglia, P.; Turri-Zanoni, M.; Dallan, I.; Gallo, S.; Sica, E.; Padoan, G.; Castelnuovo, P. Endoscopic endonasal transpterygoid transmaxillary approach to the infratemporal and upper parapharyngeal tumors. Otolaryngol. Head Neck Surg. 2014, 150, 696–702. [Google Scholar] [CrossRef] [PubMed]
- Cárdenas Ruiz-Valdepeñas, E.; Simal Julián, J.A.; Pérez Prat, G.; Arraez, M.A.; Ambrosiani, J.; Martin Schrader, I.; Soto Moreno, A.; Kaen, A. The Quadrangular Space, Endonasal Access to the Meckel Cave: Technical Considerations and Clinical Series. World Neurosurg. 2022, 163, e124–e136. [Google Scholar] [CrossRef] [PubMed]
- Mangussi-Gomes, J.; Alves-Belo, J.T.; Truong, H.Q.; Nogueira, G.F.; Wang, E.W.; Fernandez-Miranda, J.C.; Gardner, P.A.; Snyderman, C.H. Anatomical Limits of the Endoscopic Contralateral Transmaxillary Approach to the Petrous Apex and Petroclival Region. J. Neurol. Surg. B Skull Base 2020, 83, 44–52. [Google Scholar] [CrossRef] [PubMed]
- Fong, K.Y.; Lim, M.J.R.; Fu, S.; Low, C.E.; Chan, Y.H.; Deepak, D.S.; Xu, X.; Thong, M.; Jain, S.; Teo, K.; et al. Postsurgical outcomes of nonfunctioning pituitary adenomas: A patient-level meta-analysis. Pituitary 2023, 26, 461–473. [Google Scholar] [CrossRef] [PubMed]
- Lee, J.A.; Cooper, R.L.; Nguyen, S.A.; Schlosser, R.J.; Gudis, D.A. Endonasal Endoscopic Surgery for Pediatric Sellar and Suprasellar Lesions: A Systematic Review and Meta-analysis. Otolaryngol. Head Neck Surg. 2020, 163, 284–292. [Google Scholar] [CrossRef]
- Dubal, P.M.; Svider, P.F.; Denis, D.; Folbe, A.J.; Eloy, J.A. Short-term outcomes of purely endoscopic endonasal resection of orbital tumors: A systematic review. Int. Forum Allergy Rhinol. 2014, 4, 1008–1015. [Google Scholar] [CrossRef] [PubMed]
- Nicolai, P.; Battaglia, P.; Bignami, M.; Villaret, A.B.; Delù, G.; Khrais, T.; Lombardi, D.; Castelnuovo, P. Endoscopic surgery for tumors of the sinonasal tract and adjacent skull base: A 10 year experience. Am. J. Rhinol. 2008, 22, 308–316. [Google Scholar] [CrossRef] [PubMed]
- Hanna, E.; DeMonte, F.; Ibrahim, S.; Roberts, D.; Levine, N.; Kupferman, M. Endoscopic resection of sinonasal cancers with and without craniotomy: Oncologic results. Arch. Otolaryngol. Head Neck Surg. 2009, 135, 1219–1234. [Google Scholar] [CrossRef] [PubMed]














Disclaimer/Publisher’s Note: The statements, opinions and data contained in all publications are solely those of the individual author(s) and contributor(s) and not of MDPI and/or the editor(s). MDPI and/or the editor(s) disclaim responsibility for any injury to people or property resulting from any ideas, methods, instructions or products referred to in the content. |
© 2024 by the authors. Licensee MDPI, Basel, Switzerland. This article is an open access article distributed under the terms and conditions of the Creative Commons Attribution (CC BY) license (https://creativecommons.org/licenses/by/4.0/).
Share and Cite
Ahmed, A.K.; Rowan, N.R.; Mukherjee, D. Operative Corridors in Endoscopic Skull Base Tumor Surgery. Brain Sci. 2024, 14, 207. https://doi.org/10.3390/brainsci14030207
Ahmed AK, Rowan NR, Mukherjee D. Operative Corridors in Endoscopic Skull Base Tumor Surgery. Brain Sciences. 2024; 14(3):207. https://doi.org/10.3390/brainsci14030207
Chicago/Turabian StyleAhmed, A. Karim, Nicholas R. Rowan, and Debraj Mukherjee. 2024. "Operative Corridors in Endoscopic Skull Base Tumor Surgery" Brain Sciences 14, no. 3: 207. https://doi.org/10.3390/brainsci14030207
APA StyleAhmed, A. K., Rowan, N. R., & Mukherjee, D. (2024). Operative Corridors in Endoscopic Skull Base Tumor Surgery. Brain Sciences, 14(3), 207. https://doi.org/10.3390/brainsci14030207

