Transnasal Endoscopic Approach for Osteoid Osteoma of the Odontoid Process in a Child: Technical Note and Systematic Review of the Literature
Abstract
1. Introduction
2. Materials and Methods
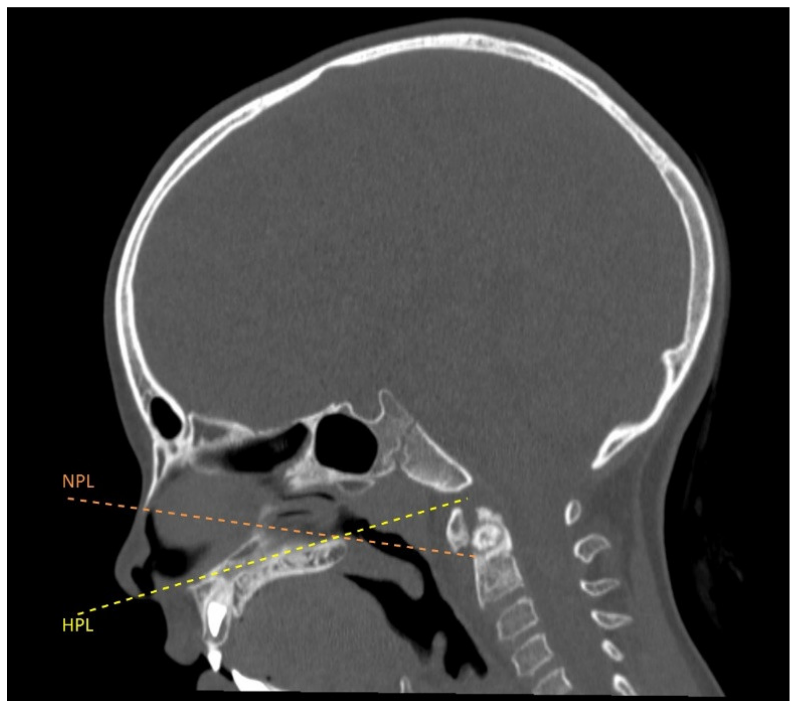
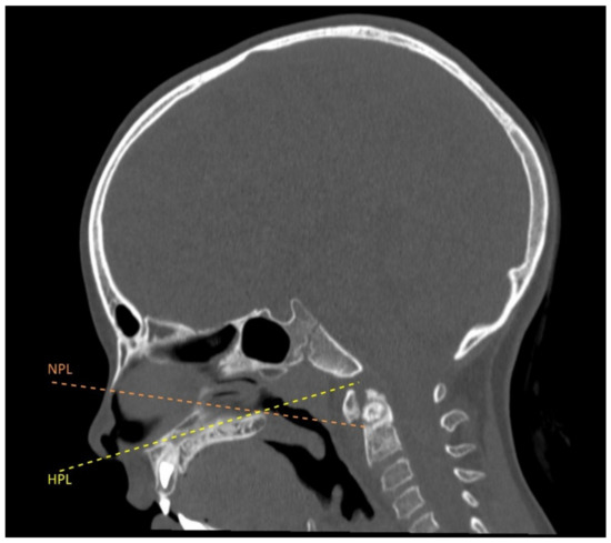
2.1. Technical Note
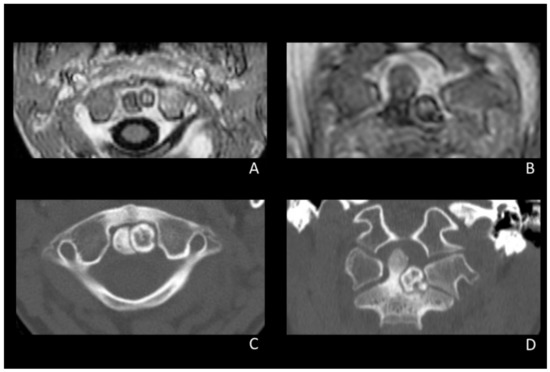
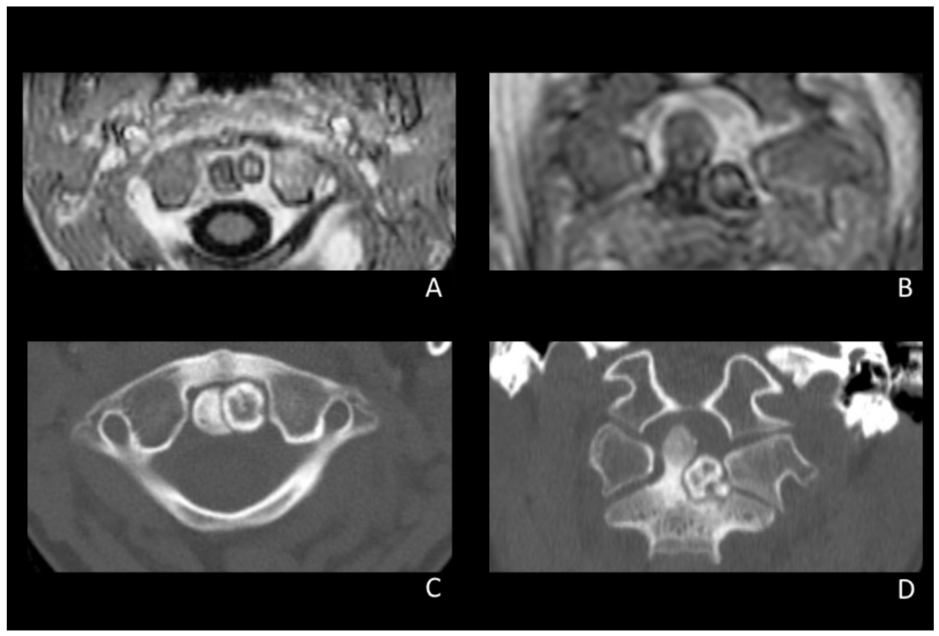
2.1.1. Clinical Presentation, Diagnosis, and Initial Conservative Therapy
2.1.2. Surgical Procedure
2.1.3. Post-Operative Course and Follow-Up
2.2. Systematic Review of Literature
3. Results
4. Discussion
5. Conclusions
Supplementary Materials
Author Contributions
Funding
Institutional Review Board Statement
Informed Consent Statement
Data Availability Statement
Conflicts of Interest
References
- Eysel, P.; Rompe, J.D. Osteoid Osteoma of the Axis. Eur. Spine J. 1994, 3, 231–232. [Google Scholar] [CrossRef] [PubMed]
- Neumann, D.; Dorn, U. Osteoid Osteoma of the Dens Axis. Eur. Spine J. 2007, 16, 271–274. [Google Scholar] [CrossRef] [PubMed]
- Kaner, T.; Sasani, M.; Oktenoglu, T.; Aydin, S.; Ozer, A.F. Osteoid Osteoma and Osteoblastoma of the Cervical Spine: The Cause of Unusual Persistent Neck Pain. Pain Physician 2010, 13, 549–554. [Google Scholar] [CrossRef] [PubMed]
- Denaro, L.; Pallini, R.; Lauriola, L.; Di Muro, L.; Maira, G. Osteosarcoma of Craniovertebral Junction. Lancet Oncol. 2005, 6, 1000. [Google Scholar] [CrossRef]
- Qiao, J.; Zhu, F.; Zhu, Z.; Liu, Z.; Qian, B.; Qiu, Y. Conservative Treatment for Osteoid Osteoma of the Odontoid Process of the Axis: A Case Report. World J. Surg. Oncol. 2014, 12, 4–7. [Google Scholar] [CrossRef]
- Page, M.J.; McKenzie, J.E.; Bossuyt, P.M.; Boutron, I.; Hoffmann, T.C.; Mulrow, C.D.; Shamseer, L.; Tetzlaff, J.M.; Akl, E.A.; Brennan, S.E.; et al. The PRISMA 2020 Statement: An Updated Guideline for Reporting Systematic Reviews. BMJ 2021, 372, n160. [Google Scholar] [CrossRef]
- Coulier, B.; Mailleux, P.; Munting, E. Spontaneous Remission of an Osteoid Osteoma of the Axis. J. Belg. de Radiol. 2005, 88, 43. [Google Scholar]
- Raskas, D.S.; Graziano, G.P.; Herzenberg, J.E.; Heidelberger, K.P.; Hensinger, R.N. Osteoid Osteoma and Osteoblastoma of the Spine. J. Spinal Disord. 1992, 5, 204–211. [Google Scholar] [CrossRef]
- Bucci, M.N.; Feldenzer, J.A.; Phillips, W.A.; Gebarski, S.S.; Dauser, R.C. Atlanto-Axial Rotational Limitation Secondary to Osteoid Osteoma of the Axis. Case Report. J. Neurosurg. 1989, 70, 129–131. [Google Scholar] [CrossRef]
- Kulkarni, A.G.; Dhruv, A.N.; Bassi, A.J. Microendoscopic Excision of C2 Osteoid Osteoma: A Technical Report. Spine 2013, 38, E1231–E1234. [Google Scholar] [CrossRef]
- Nagashima, H.; Nishi, T.; Yamane, K.; Tanida, A. Case Report: Osteoid Osteoma of the C2 Pedicle: Surgical Technique Using a Navigation System. Clin. Orthop. Relat. Res. 2010, 468, 283–288. [Google Scholar] [CrossRef]
- Molloy, S.; Saifuddin, A.; Allibone, J.; Taylor, B.A. Excision of an Osteoid Osteoma from the Body of the Axis through an Anterior Approach. Eur. Spine J. 2002, 11, 599–601. [Google Scholar] [CrossRef] [PubMed]
- Al-Balas, H.; Omari, H.; Mustafa, Z.; Matalka, I. Osteoid Osteoma of the Odontoid Process of the Axis Associated with Atlanto-Axial Fusion. Br. J. Radiol. 2009, 82, e126–e128. [Google Scholar] [CrossRef] [PubMed]
- Amirjamshidi, A.; Roozbeh, H.; Sharifi, G.; Abdoli, A.; Abbassioun, K. Osteoid Osteoma of the First 2 Cervical Vertebrae. Report of 4 Cases. J. Neurosurg. Spine 2010, 13, 707–714. [Google Scholar] [CrossRef] [PubMed]
- Aslan, S.; Bekci, T.; Gunbey, H.P.; Aslan, K.; Aslan, C. Osteoid Osteoma of the Dens Axis. Spine J. 2015, 15, 1912. [Google Scholar] [CrossRef] [PubMed]
- Ameri, E.; Nikouei, F.; Ghandhari, H.; Sabbaghan, S.; Givehchian, B. Osteoid Osteoma of Odontoid: Case Report and Literature Review. Arch. Bone Jt. Surg. 2019, 7, 566–570. [Google Scholar] [CrossRef] [PubMed]
- Amendola, L.; Cappuccio, M.; Boriani, L.; Gasbarrini, A. Endoscopic Excision of C2 Osteoid Osteoma: A Technical Case Report. Eur. Spine J. 2013, 22, 357–362. [Google Scholar] [CrossRef]
- Gasbarrini, A.; Cappuccio, M.; Bandiera, S.; Amendola, L.; Van Urk, P.; Boriani, S. Osteoid Osteoma of the Mobile Spine: Surgical Outcomes in 81 Patients. Spine 2011, 36, 2089–2093. [Google Scholar] [CrossRef]
- Arvin, B.; Panchmatia, J.R.; Casey, A.T.H. Cervical C2 Osteoma, Unusual Presentation and Transoral Approach for Complete Excision. Spine J. 2009, 9, e9–e11. [Google Scholar] [CrossRef]
- Tepelenis, K.; Skandalakis, G.P.; Papathanakos, G.; Kefala, M.A.; Kitsouli, A.; Barbouti, A.; Tepelenis, N.; Varvarousis, D.; Vlachos, K.; Kanavaros, P.; et al. Osteoid Osteoma: An Updated Review of Epidemiology, Pathogenesis, Clinical Presentation, Radiological Features, and Treatment Option. In Vivo 2021, 35, 1929–1938. [Google Scholar] [CrossRef]
- Noordin, S.; Allana, S.; Hilal, K.; Nadeem, N.; Lakdawala, R.; Sadruddin, A.; Uddin, N. Osteoid Osteoma: Contemporary Management. Orthop. Rev. 2018, 10, 7496. [Google Scholar] [CrossRef] [PubMed]
- Giammalva, G.R.; Iacopino, D.G.; Graziano, F.; Giugno, A.; Gulì, C.; Basile, L.; Visocchi, M.; Maugeri, R. Surgical Highways to the Craniovertebral Junction: Is It Time for a Reappraisal? In Acta Neurochirurgica; Supplementum: Basel, Switzerland, 2019; Volume 125. [Google Scholar]
- Iacoangeli, M.; Di Rienzo, A.; Colasanti, R.; Re, M.; Nasi, D.; Nocchi, N.; Alvaro, L.; Di Somma, L.; Dobran, M.; Specchia, N.; et al. Endoscopic Transnasal Odontoidectomy with Anterior C1 Arch Preservation and Anterior Vertebral Column Reconstruction in Patients with Irreducible Bulbomedullary Compression by Complex Craniovertebral Junction Abnormalities: Operative Nuance. Oper. Neurosurg. 2016, 12, 222–230. [Google Scholar] [CrossRef] [PubMed]
- Shriver, M.F.; Kshettry, V.R.; Sindwani, R.; Woodard, T.; Benzel, E.C.; Recinos, P.F. Transoral and Transnasal Odontoidectomy Complications: A Systematic Review and Meta-Analysis. Clin. Neurol. Neurosurg. 2016, 148, 121–129. [Google Scholar] [CrossRef] [PubMed]
- Dickman, C.A.; Locantro, J.; Fessler, R.G. The Influence of Transoral Odontoid Resection on Stability of the Craniovertebral Junction. J. Neurosurg. 1992, 77, 525–530. [Google Scholar] [CrossRef]
- Tisherman, R.; Vaudreuil, N.; Ramanathan, R.; Hartman, R.; Lee, J.; Bell, K. Biomechanical Contributions of Upper Cervical Ligamentous Structures in Type II Odontoid Fractures. J. Biomech. 2019, 83, 28–33. [Google Scholar] [CrossRef]
- Boughton, O.R.; Bernard, J.; Szarko, M. Odontoid Process Fractures: The Role of the Ligaments in Maintaining Stability. A Biomechanical, Cadaveric Study. SICOT-J. 2015, 1, 11. [Google Scholar] [CrossRef][Green Version]





| Authors, Year | Pt. Sex, Age | Tumor Localization | Imaging | Symptoms | Treatment |
|---|---|---|---|---|---|
| Children (<18-Year-Old) | |||||
| Neumann, 2007 [2] | F, 14 | Right postero-lateral aspect of odontoid process | XR, CT, MRI, bone scintigraphy | Neck pain, occasional tenderness | Medical treatment |
| Coulier, 2005 [7] | F, 17 | Juxta-pedicular, C2 right lateral mass | XR, CT | Neck pain, stiffness, torticollis | Medical treatment |
| Raskas, 1992 [8] | M, 6 | Body of C2 | N/A | N/A | Excision (surgical approach not specified) |
| Bucci, 1989 [9] | M, 7 | Left side of odontoid process | XR, CT, scintigraphy | Neck pain, forced position of the head | Transoral macroscopic excision |
| Kulkarni, 2013 [10] | M, 12 | Left C2 lateral mass | CT, MRI | Neck pain | Posterior cervical endoscope-assisted excision |
| Nagashima, 2010 [11] | F, 12 | Left C2 pedicle | XR, CT | Neck pain, reduced ROM | Navigated posterior cervical excision |
| Eysel, 1994 [1] | M, 15 | C2 right lamina | XR, CT | Neck pain, torticollis, reduced ROM | En bloc resection and laminoplasty |
| Molloy, 2002 [12] | M, 15 | Posterior aspect of C2 body | XR, CT, MRI, bone scintigraphy | Neck pain, stiffness, torticollis | Antero-lateral cervical macroscopic excision |
| Al-Balas, 2009 [13] | M, 16 | Odontoid process | XR, CT, MRI, bone scintigraphy | Neck pain, occipital headache, tenderness, reduced ROM | Anterior resection of odontoid process and part of C1 anterior arch, C1–C2 anterior fusion |
| Amirjamshidi, 2010 [14] | M, 17 | Left C2 lateral facet | XR, CT, MRI, bone scintigraphy | Neck pain | Hemilaminectomy and en bloc excision |
| Adults (>=18-year-old) | |||||
| Qiao, 2014 [5] | M, 18 | Left lateral aspect of odontoid process | XR, CT | Neck pain, reduced ROM, mild kyphosis | Medical treatment |
| Aslan, 2015 [15] | F, 47 | Odontoid process | CT, MRI | Neck pain | Medical treatment |
| Ameri, 2019 [16] | M, 20 | Right side base of odontoid process | XR, CT, MRI, bone scintigraphy | Neck pain | Transoral endoscopic excision, C1–C2 transpedicle posterior fixation |
| Amendola, 2013 [17] | M, 23 | Lower C2 endplate | XR, bone scintigraphy, CT | Neck pain, reduced ROM | Cervical antero-lateral endoscope-assisted biopsy and excision |
| Kaner, 2010 [3] | M,25 | Left C2 lamina | CT, MRI | Neck pain | Laminectomy |
| Amirjamshidi, 2010 [14] | F, 32 | Left aspect of the base of odontoid process | CT, MRI, bone scintigraphy | Neck pain, torticollis | Antero-lateral pre-vascular retropharyngeal approach and piecemeal resection; transoral approach and piecemeal resection |
| M, 46 | Odontoid process and left aspect of C2 body | CT, MRI, bone scintigraphy | Neck pain, torticollis | Anterior retropharyngeal approach and piecemeal resection | |
| Arvin, 2009 [10] | F, 70 | Left side of the C2 body | CT, MRI | Dysphagia, ear pressure | Transoral macroscopic excision |
| Gasbarrini, 2011 [18] | N/A | Body of C2 | N/A | N/A | Anterior cervical endoscope-assisted excision, C2–C3 plating |
Publisher’s Note: MDPI stays neutral with regard to jurisdictional claims in published maps and institutional affiliations. |
© 2022 by the authors. Licensee MDPI, Basel, Switzerland. This article is an open access article distributed under the terms and conditions of the Creative Commons Attribution (CC BY) license (https://creativecommons.org/licenses/by/4.0/).
Share and Cite
Giammalva, G.R.; Dell’Aglio, L.; Guarrera, B.; Baro, V.; Calvanese, L.; Schiavo, G.; Mantovani, G.; Rinaldi, V.; Iacopino, D.G.; Causin, F.; et al. Transnasal Endoscopic Approach for Osteoid Osteoma of the Odontoid Process in a Child: Technical Note and Systematic Review of the Literature. Brain Sci. 2022, 12, 916. https://doi.org/10.3390/brainsci12070916
Giammalva GR, Dell’Aglio L, Guarrera B, Baro V, Calvanese L, Schiavo G, Mantovani G, Rinaldi V, Iacopino DG, Causin F, et al. Transnasal Endoscopic Approach for Osteoid Osteoma of the Odontoid Process in a Child: Technical Note and Systematic Review of the Literature. Brain Sciences. 2022; 12(7):916. https://doi.org/10.3390/brainsci12070916
Chicago/Turabian StyleGiammalva, Giuseppe Roberto, Letizia Dell’Aglio, Brando Guarrera, Valentina Baro, Leonardo Calvanese, Gloria Schiavo, Giulia Mantovani, Valentina Rinaldi, Domenico Gerardo Iacopino, Francesco Causin, and et al. 2022. "Transnasal Endoscopic Approach for Osteoid Osteoma of the Odontoid Process in a Child: Technical Note and Systematic Review of the Literature" Brain Sciences 12, no. 7: 916. https://doi.org/10.3390/brainsci12070916
APA StyleGiammalva, G. R., Dell’Aglio, L., Guarrera, B., Baro, V., Calvanese, L., Schiavo, G., Mantovani, G., Rinaldi, V., Iacopino, D. G., Causin, F., Nicolai, P., Ferrari, M., & Denaro, L. (2022). Transnasal Endoscopic Approach for Osteoid Osteoma of the Odontoid Process in a Child: Technical Note and Systematic Review of the Literature. Brain Sciences, 12(7), 916. https://doi.org/10.3390/brainsci12070916

