Endoscopic Treatment of Rathke’s Cleft Cysts: The Case for Simple Fenestration
Abstract
1. Introduction
2. Methods
2.1. Patient Recruitment
2.2. Data Collection
2.3. Imaging
2.4. Visual and Endocrinological Examination
2.5. Follow-Up and Recurrence
3. Result
3.1. Descriptive Data
3.2. Clinical Presentation and Indication for Surgical Treatment
3.3. Preoperative Work-Up
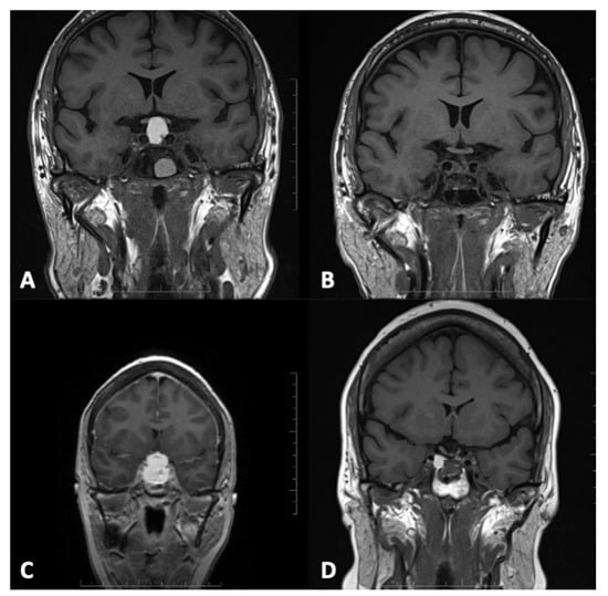
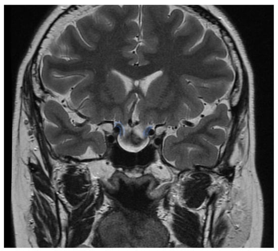
3.4. Radiological Examinations
3.5. Endonasal Endoscopic Procedures and Perioperative Complications
3.6. Postoperative Outcome, Changes in Visual Function and Endocrinological Outcome
3.7. Follow-Up and Recurrence
4. Discussion
4.1. Epidemiology and Presentation
4.2. Surgical Strategy: Simple Fenestration vs GTR
4.3. Clinical and Endocrinological Outcome
4.4. Reconstruction
4.5. Recurrence
5. Limitations
6. Conclusions
Author Contributions
Funding
Institutional Review Board Statement
Informed Consent Statement
Data Availability Statement
Conflicts of Interest
References
- Wang, S.; Nie, Q.; Wu, Z.; Zhang, J.; Wei, L. MRI and pathological features of Rathke cleft cysts in the sellar region. Exp. Ther. Med. 2019, 19, 611–618. [Google Scholar] [CrossRef] [PubMed]
- Ratha, V.; Patil, S.; Karmarkar, V.S.; Shah, N.J.; Deopujari, C.E. Surgical Management of Rathke Cleft Cysts. World Neurosurg. 2017, 107, 276–284. [Google Scholar] [CrossRef] [PubMed]
- Larkin, S.; Karavitaki, N.; Ansorge, O. Rathke’s cleft cyst. Handb. Clin. Neurol. 2014, 124, 255–269. [Google Scholar] [PubMed]
- Na Jung, H.; Kim, S.T.; Kong, D.-S.; Suh, S.-I.; Ryoo, I. Rathke Cleft Cysts with Apoplexy-Like Symptoms: Clinicoradiologic Comparisons with Pituitary Adenomas with Apoplexy. World Neurosurg. 2020, 142, e1–e9. [Google Scholar] [CrossRef] [PubMed]
- Duan, K.; Asa, S.L.; Winer, D.; Gelareh, Z.; Gentili, F.; Mete, O. Xanthomatous Hypophysitis Is Associated with Ruptured Rathke’s Cleft Cyst. Endocr. Pathol. 2017, 28, 83–90. [Google Scholar] [CrossRef]
- Ross, D.A.; Norman, D.; Wilson, C.B. Radiologic Characteristics and Results of Surgical Management of Rathke’s Cysts in 43 Patients. Neurosurgery 1992, 30, 173–179. [Google Scholar] [CrossRef]
- Kalyvas, A.; Milesi, M.; Leite, M.; Yang, K.; Jacques, L.S.; Vescan, A.; Mete, O.; Ezzat, S.; Zadeh, G.; Gentili, F. Endoscopic Treatment of Sellar Arachnoid Cysts via a Simple Cyst-Opening Technique: Long-Term Outcomes From a Single Center. World Neurosurg. 2022, 161, e625–e634. [Google Scholar] [CrossRef]
- El-Ghandour, N.M.F. Endoscopic treatment of intracranial cysts in infants: Personal experience and review of literature. Child’s Nerv. Syst. 2021, 37, 3447–3453. [Google Scholar] [CrossRef]
- Teramoto, A.; Hirakawa, K.; Sanno, N.; Osamura, Y. Incidental pituitary lesions in 1,000 unselected autopsy specimens. Radiology 1994, 193, 161–164. [Google Scholar] [CrossRef]
- Kim, J.H.; Kim, O.L.; Paek, S.H.; Kim, D.G.; Chi, J.-G.; Jung, H.-W. Surgical treatment of symptomatic Rathke cleft cysts: Clinical features and results with special attention to recurrence. J. Neurosurg. 2004, 100, 33–40. [Google Scholar] [CrossRef]
- Isono, M.; Kamida, T.; Kobayashi, H.; Shimomura, T.; Matsuyama, J. Clinical features of symptomatic Rathke’s cleft cyst. Clin. Neurol. Neurosurg. 2001, 103, 96–100. [Google Scholar] [CrossRef]
- Nishioka, H.; Haraoka, J.; Izawa, H.; Ikeda, Y. Headaches associated with Rathke’s cleft cyst. Headache. 2006, 46, 1580–1586. [Google Scholar] [CrossRef] [PubMed]
- Trifanescu, R.; Stavrinides, V.; Plaha, P.; Cudlip, S.; Byrne, J.V.; Ansorge, O.; Wass, J.A.H.; Karavitaki, N. Outcome in surgically treated Rathke’s cleft cysts: Long-term monitoring needed. Eur. J. Endocrinol. 2011, 165, 33–37. [Google Scholar] [CrossRef] [PubMed]
- Chaiban, J.T.; Abdelmannan, D.; Cohen, M.; Selman, W.R.; Arafah, B.M. Rathke cleft cyst apoplexy: A newly characterized distinct clinical entity. J. Neurosurg. 2011, 114, 318–324. [Google Scholar] [CrossRef] [PubMed]
- Wen, L.; Hu, L.B.; Feng, X.Y.; Desai, G.; Zou, L.G.; Wang, W.X.; Zhang, D. Rathke’s cleft cyst: Clinicopathological and MRI findings in 22 patients. Clin. Radiol. 2010, 65, 47–55. [Google Scholar] [CrossRef] [PubMed]
- Mendelson, Z.S.; Husain, Q.; Kanumuri, V.V.; Eloy, J.A.; Liu, J.K. Endoscopic transsphenoidal surgery of Rathke’s cleft cyst. J. Clin. Neurosci. 2015, 22, 149–154. [Google Scholar] [CrossRef] [PubMed]
- Maniaci, A.; Merlino, F.; Cocuzza, S.; Iannella, G.; Vicini, C.; Cammaroto, G.; Lechien, J.R.; Calvo-Henriquez, C.; La Mantia, I. Endoscopic surgical treatment for rhinogenic contact point headache: Systematic review and meta-analysis. Eur. Arch. Otorhinolaryngol. 2021, 278, 1743–1753. [Google Scholar] [CrossRef]
- Koutourousiou, M.; Grotenhuis, A.; Kontogeorgos, G.; Seretis, A. Treatment of Rathke’s cleft cysts: Experience at a single centre. J. Clin. Neurosci. 2009, 16, 900–903. [Google Scholar] [CrossRef]
- Mendelson, Z.S.; Husain, Q.; Elmoursi, S.; Svider, P.F.; Eloy, J.A.; Liu, J.K. Rathke’s cleft cyst recurrence after transsphenoidal surgery: A meta-analysis of 1151 cases. J. Clin. Neurosci. 2014, 21, 378–385. [Google Scholar] [CrossRef]
- Lu, V.M.; Ravindran, K.; Perry, A.; Graffeo, C.S.; Dawood, H.Y.; Van Gompel, J.J.; Mekary, R.A.; Smith, T.R. Recurrence of Rathke’s cleft cysts based on gross total resection of cyst wall: A meta-analysis. Neurosurg. Rev. 2019, 43, 957–966. [Google Scholar] [CrossRef]
- Kuan, E.C.; Trent, M.S.; Luu, N.N.; Kohanski, M.A.; Tong, C.C.; O’Malley, B.W.; Adappa, N.D.; Palmer, J.N. Preventing Restenosis of Marsupialized Rathke Cleft Cysts Using a Nasoseptal Flap Lining. Laryngoscope 2018, 129, 2258–2261. [Google Scholar] [CrossRef] [PubMed]
- Xie, T.; Hu, F.; Yu, Y.; Gu, Y.; Wang, X.; Zhang, X. Endoscopic endonasal resection of symptomatic Rathke cleft cysts. J. Clin. Neurosci. 2011, 18, 760–762. [Google Scholar] [CrossRef] [PubMed]
- Jiang, Z.; Yu, M.; Jiang, Y.; Peng, Y. Endoscopic endonasal resection of symptomatic Rathke cleft cysts: Clinical outcomes and prognosis. Neurosurg. Rev. 2018, 42, 699–704. [Google Scholar] [CrossRef] [PubMed]
- Fan, J.; Peng, Y.; Qi, S.; Zhang, X.-A.; Qiu, B.; Pan, J. Individualized surgical strategies for Rathke cleft cyst based on cyst location. J. Neurosurg. 2013, 119, 1437–1446. [Google Scholar] [CrossRef]
- Barkhoudarian, G.; Zada, G.; Laws, E.R. Endoscopic Endonasal Surgery for Nonadenomatous Sellar/Parasellar Lesions. World Neurosurg. 2014, 82, S138–S146. [Google Scholar] [CrossRef]
- Gadelha, M.R.; Wildemberg, L.E.; Lamback, E.B.; Barbosa, M.A.; Kasuki, L.; Ventura, N. Approach to the Patient: Differential Diagnosis of Cystic Sellar Lesions. J. Clin. Endocrinol. Metab. 2022, 107, 1751–1758. [Google Scholar] [CrossRef]
- Zada, G.; Lin, N.; Ojerholm, E.; Ramkissoon, S.; Laws, E.R. Craniopharyngioma and other cystic epithelial lesions of the sellar region: A review of clinical, imaging, and histopathological relationships. Neurosurg. Focus 2010, 28, E4. [Google Scholar] [CrossRef]
- Lin, M.; Wedemeyer, M.; Bradley, D.; Donoho, D.A.; Fredrickson, V.L.; Weiss, M.H.; Carmichael, J.D.; Zada, G. Long-term surgical outcomes following transsphenoidal surgery in patients with Rathke’s cleft cysts. J. Neurosurg. 2019, 130, 831–837. [Google Scholar] [CrossRef]
- Aho, C.J.; Liu, C.; Zelman, V.; Couldwell, W.T.; Weiss, M.H. Surgical outcomes in 118 patients with Rathke cleft cysts. J. Neurosurg. 2005, 102, 189–193. [Google Scholar] [CrossRef]
- Arko, L., 4th; Lee, J.C.M.; Godil, S.; Hanz, S.Z.; Anand, V.K.; Schwartz, T.H. Endonasal Endoscopic Fenestration of Rathke’s Cleft Cysts: Whether to Leave the Fenestration Open or Closed? J. Neurol. Surg. B Skull Base. 2021, 82 (Suppl. 3), e101–e104. [Google Scholar] [CrossRef]
- Yamada, H.; Ueda, R.; Ozawa, H.; Toda, M. Long-Term Outcomes of Endoscopic Cyst Fenestration for Rathke Cleft Cyst. World Neurosurg. 2022, 161, e282–e288. [Google Scholar] [CrossRef] [PubMed]
- Madhok, R.; Prevedello, D.M.; Gardner, P.; Carrau, R.L.; Snyderman, C.H.; Kassam, A.B. Endoscopic endonasal resection of Rathke cleft cysts: Clinical outcomes and surgical nuances. J. Neurosurg. 2010, 112, 1333–1339. [Google Scholar] [CrossRef] [PubMed]
- Barkhoudarian, G.; Palejwala, S.K.; Ansari, S.; Eisenberg, A.A.; Huang, X.; Griffiths, C.F.; Cohan, P.; Rettinger, S.; Lavin, N.; Kelly, D.F. Rathke’s cleft cysts: A 6-year experience of surgery vs. observation with comparative volumetric analysis. Pituitary. 2019, 22, 362–371. [Google Scholar] [CrossRef] [PubMed]
- Zada, G. Rathke cleft cysts: A review of clinical and surgical management. Neurosurg. Focus 2011, 31, E1. [Google Scholar] [CrossRef]
- Frank, G.; Sciarretta, V.; Mazzatenta, D.; Farneti, G.; Modugno, G.C.; Pasquini, E. Transsphenoidal endoscopic approach in the treatment of Rathke’s cleft cyst. Neurosurgery. 2005, 56, 124–128. [Google Scholar] [CrossRef]
- Potts, M.B.; Jahangiri, A.; Lamborn, K.R.; Blevins, L.S.; Kunwar, S.; Aghi, M.K. Suprasellar Rathke cleft cysts: Clinical presentation and treatment outcomes. Neurosurgery. 2011, 69, 1058–1068. [Google Scholar] [CrossRef]
- Benveniste, R.J.; King, W.A.; Walsh, J.; Lee, J.S.; Naidich, T.P.; Post, K.D. Surgery for Rathke cleft cysts: Technical considerations and outcomes. J. Neurosurg. 2004, 101, 577–584. [Google Scholar] [CrossRef]
- Wait, S.D.; Garrett, M.P.; Little, A.S.; Killory, B.D.; White, W.L. Endocrinopathy, Vision, Headache, and Recurrence After Transsphenoidal Surgery for Rathke Cleft Cysts. Neurosurgery 2010, 67, 837–843. [Google Scholar] [CrossRef]
- Higgins, D.M.; Van Gompel, J.J.; Nippoldt, T.B.; Meyer, F.B. Symptomatic Rathke cleft cysts: Extent of resection and surgical complications. Neurosurg. Focus 2011, 31, E2. [Google Scholar] [CrossRef]
- Wong, A.K.; Raviv, J.; Ciric, I.; Wong, R.H. Novel Use of Biodissolvable Stent in Treatment of Recurrent Rathke Cleft Cyst. World Neurosurg. 2019, 131, 186–190. [Google Scholar] [CrossRef]
- Han, S.J.; Rolston, J.D.; Jahangiri, A.; Aghi, M.K. Rathke’s cleft cysts: Review of natural history and surgical outcomes. J. Neuro-Oncology 2013, 117, 197–203. [Google Scholar] [CrossRef] [PubMed]
- Wedemeyer, M.A.; Lin, M.; Fredrickson, V.L.; Arakelyan, A.; Bradley, D.; Donoho, D.A.; Hurth, K.M.; Weiss, M.H.; Carmichael, J.D.; Zada, C. Recurrent Rathke’s Cleft Cysts: Incidence and Surgical Management in a Tertiary Pituitary Center over 2 Decades. Oper Neurosurg (Hagerstown). 2019, 16, 675–684. [Google Scholar] [CrossRef] [PubMed]
- Manzoni, A.; Leocata, F.; Picano, M.; Arienti, V.M.; Mainardi, H.S.; Cenzato, M.; Stefini, R.; La Camera, A. Stereotactic Radiosurgery with Gamma Knife in Recurrent Rathke’s Cleft Cyst: Case Report and Literature Analysis. Neurol. India. 2022, 70, 1260–1262. [Google Scholar]
- Agarwalla, P.K.; Koch, M.J.; Royce, T.J.; Redjal, N.; Bussière, M.R.; Loeffler, J.S.; Swearingen, B. Stereotactic Radiation as Salvage Therapy for Recurrent Rathke Cleft Cysts. Neurosurgery 2020, 87, 754–760. [Google Scholar] [CrossRef] [PubMed]


| n | % | |
|---|---|---|
| mean age at diagnosis (range) | 48 years (17–76 years) | |
| female to male ratio | 2.1/1 | |
| newly diagnosed Rathke’s cleft cyst (RCC) | 33 | 85 |
| recurrent RCC | 6 | 15 |
| symptoms in newly diagnosed patients | ||
| headache | 16 | 48 |
| visual disturbances | 13 | 39 |
| symptoms of pituitary dysfunction | 6 | 18 |
| rupture of the RCC | 4 | 12 |
| diabetes insipidus | 1 | 3 |
| incidental finding | 1 | 3 |
| indication for surgery in patients with recurrent RCCs | ||
| growth of RCC | 3 | 50 |
| visual disturbances | 2 | 33 |
| pituitary apoplexy | 1 | 17 |
| visual field examination | ||
| normal | 18 | 46 |
| peripheral scotomas | 5 | 13 |
| quadrantanopia | 5 | 13 |
| bitemporal hemianopia | 10 | 25 |
| missing | 1 | 3 |
| visual acuity assessment | ||
| normal | 20 | 51 |
| reduced | 19 | 49 |
| preoperative status of the pituitary gland | ||
| normal | 22 | 56 |
| partial hypopituitarism | 7 | 18 |
| panhypopituitarism | 10 | 26 |
| neuroimaging | ||
| mean diameter of RCC (range) | 21 mm (10–39 mm) | |
| mean volume (range) | 3.17 mL (0.45–13.00 mL) | |
| cystic appearance | ||
| cystic | 33 | 89 |
| mixed cystic/solid | 4 | 11 |
| radiologic signs of hemorrhage | 5 | 14 |
| radiologic signs of sinusitis | 5 | 14 |
| Postoperative Outcome | ||||
|---|---|---|---|---|
| Improved (%) | Stable (%) | Worse (%) | Missing (%) | |
| preoperative visual fields | ||||
| normal | 0 | 17 | 1 | 0 |
| peripheral scotomas | 3 | 1 | 0 | 1 |
| quadrantanopia | 4 | 1 | 0 | 0 |
| bitemporal hemianopia | 7 | 2 | 0 | 1 |
| missing | 1 | |||
| preoperative visual acuity | ||||
| normal | 0 | 20 | 0 | 0 |
| reduced | 11 | 4 | 0 | 4 |
| preoperative pituitary function | ||||
| normal | 0 | 18 | 4 | 0 |
| partial hypopituitarism | 0 | 7 | 0 | 0 |
| panhypopituitarism | 0 | 10 | 0 | 0 |
| permanent diabetes insipidus (DI) | ||||
| no deficit preoperatively | 0 | 36 | 4 | 0 |
| preoperative DI | 0 | 3 | 0 | 0 |
| Type of Surgical Intervention | |||
|---|---|---|---|
| Simple Fenestration | Cyst Wall Resection | p Value | |
| worsening of pituitary function | 3% | 50% | p = 0.008 |
| new postoperative diabetes insipidus | 6% | 33% | p = 0.104 |
| postoperative complications | 6% | 33% | p = 0.104 |
| Postoperative cerebrospinal fluid leak | 3% | 17% | p = 0.287 |
| re-accumulation of Rathke’s cleft cyst | 18% | 0% | p = 0.564 |
Publisher’s Note: MDPI stays neutral with regard to jurisdictional claims in published maps and institutional affiliations. |
© 2022 by the authors. Licensee MDPI, Basel, Switzerland. This article is an open access article distributed under the terms and conditions of the Creative Commons Attribution (CC BY) license (https://creativecommons.org/licenses/by/4.0/).
Share and Cite
Millesi, M.; Lai, C.; Lau, R.; Ye, V.C.; Yang, K.; Leite, M.; Mohan, N.; Mete, O.; Ezzat, S.; Gentili, F.; et al. Endoscopic Treatment of Rathke’s Cleft Cysts: The Case for Simple Fenestration. Brain Sci. 2022, 12, 1482. https://doi.org/10.3390/brainsci12111482
Millesi M, Lai C, Lau R, Ye VC, Yang K, Leite M, Mohan N, Mete O, Ezzat S, Gentili F, et al. Endoscopic Treatment of Rathke’s Cleft Cysts: The Case for Simple Fenestration. Brain Sciences. 2022; 12(11):1482. https://doi.org/10.3390/brainsci12111482
Chicago/Turabian StyleMillesi, Matthias, Carolyn Lai, Ruth Lau, Vincent Chen Ye, Kaiyun Yang, Matheus Leite, Nilesh Mohan, Ozgur Mete, Shereen Ezzat, Fred Gentili, and et al. 2022. "Endoscopic Treatment of Rathke’s Cleft Cysts: The Case for Simple Fenestration" Brain Sciences 12, no. 11: 1482. https://doi.org/10.3390/brainsci12111482
APA StyleMillesi, M., Lai, C., Lau, R., Ye, V. C., Yang, K., Leite, M., Mohan, N., Mete, O., Ezzat, S., Gentili, F., Zadeh, G., & Kalyvas, A. (2022). Endoscopic Treatment of Rathke’s Cleft Cysts: The Case for Simple Fenestration. Brain Sciences, 12(11), 1482. https://doi.org/10.3390/brainsci12111482

