Cerebral Microstructure Analysis by Diffusion-Based MRI in Systemic Lupus Erythematosus: Lessons Learned and Research Directions
Abstract
1. Introduction
2. SLE and NPSLE: The Role of Neuroimaging
3. DWI and DTI: Physics and Clinical Application
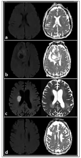
4. DWI Studies in SLE and NPSLE
5. DTI studies in SLE and NPSLE
6. Advanced DTI Applications in SLE and NPSLE: Multimodal MRI, DKI, Connectivity Matrices
7. Research Perspectives for Diffusion-Based Studies in SLE
8. Conclusions
Author Contributions
Funding
Institutional Review Board Statement
Informed Consent Statement
Data Availability Statement
Conflicts of Interest
References
- Hanly, J.G.; Urowitz, M.B.; Su, L.; Bae, S.C.; Gordon, C.; Wallace, D.J.; Clarke, A.; Bernatsky, S.; Isenberg, D.; Rahman, A.; et al. Prospective Analysis of Neuropsychiatric Events in an International Disease Inception Cohort of Patients with Systemic Lupus Erythematosus. Ann. Rheum. Dis. 2010, 69, 529–535. [Google Scholar] [CrossRef]
- Zirkzee, E.; Huizinga, T.; Bollen, E.; van Buchem, M.; Middelkoop, H.; van der Wee, N.; le Cessie, S.; Steup-Beekman, G. Mortality in Neuropsychiatric Systemic Lupus Erythematosus (NPSLE). Lupus 2014, 23, 31–38. [Google Scholar] [CrossRef]
- Monahan, R.C.; Fronczek, R.; Eikenboom, J.; Middelkoop, H.A.M.; Beaart-van de Voorde, L.J.J.; Terwindt, G.M.; van der Wee, N.J.A.; Rosendaal, F.R.; Huizinga, T.W.J.; Kloppenburg, M.; et al. Mortality in Patients with Systemic Lupus Erythematosus and Neuropsychiatric Involvement: A Retrospective Analysis from a Tertiary Referral Center in the Netherlands. Lupus 2020, 29, 1892–1901. [Google Scholar] [CrossRef]
- Unterman, A.; Nolte, J.E.S.; Boaz, M.; Abady, M.; Shoenfeld, Y.; Zandman-Goddard, G. Neuropsychiatric Syndromes in Systemic Lupus Erythematosus: A Meta-Analysis. Semin. Arthritis Rheum. 2011, 41, 1–11. [Google Scholar] [CrossRef]
- Govoni, M.; Bortoluzzi, A.; Padovan, M.; Silvagni, E.; Borrelli, M.; Donelli, F.; Ceruti, S.; Trotta, F. The Diagnosis and Clinical Management of the Neuropsychiatric Manifestations of Lupus. J. Autoimmun. 2016, 74, 41–72. [Google Scholar] [CrossRef]
- Bortoluzzi, A.; Silvagni, E.; Furini, F.; Piga, M.; Govoni, M. Peripheral Nervous System Involvement in Systemic Lupus Erythematosus: A Review of the Evidence. Clin. Exp. Rheumatol. 2018, 37, 146–155. [Google Scholar]
- Hanly, J.G.; Kozora, E.; Beyea, S.; Birnbaum, J. Nervous System Disease in Systemic Lupus Erythematosus: Current Status and Future Directions. Arthritis Rheumatol. 2018, 71, 33–42. [Google Scholar] [CrossRef]
- Jeltsch-David, H.; Muller, S. Neuropsychiatric Systemic Lupus Erythematosus: Pathogenesis and Biomarkers. Nat. Rev. Neurol. 2014, 10, 579–596. [Google Scholar] [CrossRef]
- Schwartz, N.; Stock, A.D.; Putterman, C. Neuropsychiatric Lupus: New Mechanistic Insights and Future Treatment Directions. Nat. Rev. Rheumatol. 2019, 15, 137. [Google Scholar] [CrossRef]
- Moore, E.; Huang, M.W.; Putterman, C. Advances in the Diagnosis, Pathogenesis and Treatment of Neuropsychiatric Systemic Lupus Erythematosus. Curr. Opin. Rheumatol. 2020, 32, 152–158. [Google Scholar] [CrossRef]
- Liang, M.H.; Corzillius, M.; Bae, S.C.; Lew, R.A.; Fortin, P.R.; Gordon, C.; Isenberg, D.; Alarcón, G.S.; Straaton, K.V.; Denburg, J.; et al. The American College of Rheumatology Nomenclature and Case Definitions for Neuropsychiatric Lupus Syndromes. Arthritis Rheum. 1999, 42, 599–608. [Google Scholar] [CrossRef]
- Bortoluzzi, A.; Scirè, C.A.; Govoni, M. Attribution of Neuropsychiatric Manifestations to Systemic Lupus Erythematosus. Front. Med. 2018, 5, 68. [Google Scholar] [CrossRef]
- Govoni, M.; Hanly, J.G. The Management of Neuropsychiatric Lupus in the 21st Century: Still so Many Unmet Needs? Rheumatology 2020, 59, v52–v62. [Google Scholar] [CrossRef]
- Silvagni, E.; Chessa, E.; Bergossi, F.; D’Amico, M.E.; Furini, F.; Guerrini, G.; Cauli, A.; Scirè, C.A.; Bertsias, G.; Govoni, M.; et al. Relevant Domains and Outcome Measurement Instruments in Neuropsychiatric Systemic Lupus Erythematosus: A Systematic Literature Review. Rheumatology 2021, 31, keab324. [Google Scholar] [CrossRef]
- Magro-Checa, C.; Beaart-van de Voorde, L.J.J.; Middelkoop, H.A.M.; Dane, M.L.; van der Wee, N.J.; van Buchem, M.A.; Huizinga, T.W.J.; Steup-Beekman, G.M. Outcomes of Neuropsychiatric Events in Systemic Lupus Erythematosus Based on Clinical Phenotypes; Prospective Data from the Leiden NP SLE Cohort. Lupus 2017, 26, 543–551. [Google Scholar] [CrossRef]
- Magro-Checa, C.; Zirkzee, E.J.; Beaart-van de Voorde, L.J.J.; Middelkoop, H.A.; van der Wee, N.J.; Huisman, M.V.; Eikenboom, J.; Kruyt, N.D.; van Buchem, M.A.; Huizinga, T.W.J.; et al. Value of Multidisciplinary Reassessment in Attribution of Neuropsychiatric Events to Systemic Lupus Erythematosus: Prospective Data from the Leiden NPSLE Cohort. Rheumatology 2017, 56, 1676–1683. [Google Scholar] [CrossRef]
- Bertsias, G.K.; Ioannidis, J.P.A.; Aringer, M.; Bollen, E.; Bombardieri, S.; Bruce, I.N.; Cervera, R.; Dalakas, M.; Doria, A.; Hanly, J.G.; et al. EULAR Recommendations for the Management of Systemic Lupus Erythematosus with Neuropsychiatric Manifestations: Report of a Task Force of the EULAR Standing Committee for Clinical Affairs. Ann. Rheum. Dis. 2010, 69, 2074–2082. [Google Scholar] [CrossRef]
- Luyendijk, J.; Steens, S.C.A.; Ouwendijk, W.J.N.; Steup-Beekman, G.M.; Bollen, E.L.E.M.; van der Grond, J.; Huizinga, T.W.J.; Emmer, B.J.; van Buchem, M.A. Neuropsychiatric Systemic Lupus Erythematosus: Lessons Learned from Magnetic Resonance Imaging. Arthritis Rheum. 2011, 63, 722–732. [Google Scholar] [CrossRef]
- Postal, M.; Lapa, A.T.; Reis, F.; Rittner, L.; Appenzeller, S. Magnetic Resonance Imaging in Neuropsychiatric Systemic Lupus Erythematosus: Current State of the Art and Novel Approaches. Lupus 2017, 26, 517–521. [Google Scholar] [CrossRef]
- Lu, X.Y.; Zhu, C.Q.; Qian, J.; Chen, X.X.; Ye, S.; Gu, Y.Y. Intrathecal Cytokine and Chemokine Profiling in Neuropsychiatric Lupus or Lupus Complicated with Central Nervous System Infection. Lupus 2010, 19, 689–695. [Google Scholar] [CrossRef]
- Wang, J.-B.; Li, H.; Wang, L.-L.; Liang, H.-D.; Zhao, L.; Dong, J. Role of IL-1β, IL-6, IL-8 and IFN-γ in Pathogenesis of Central Nervous System Neuropsychiatric Systemic Lupus Erythematous. Int. J. Clin. Exp. Med. 2015, 8, 16658–16663. [Google Scholar]
- Sibbitt, W.L.; Sibbitt, R.R.; Brooks, W.M. Neuroimaging in Neuropsychiatric Systemic Lupus Erythematosus. Arthritis Rheum. 1999, 42, 2026–2038. [Google Scholar] [CrossRef]
- Frittoli, R.B.; Pereira, D.R.; Rittner, L.; Appenzeller, S. Proton Magnetic Resonance Spectroscopy (1H-MRS) in Rheumatic Autoimmune Diseases: A Systematic Review. Lupus 2020, 29, 1873–1884. [Google Scholar] [CrossRef]
- Agarwal, N.; Renshaw, P.F. Proton MR Spectroscopy-Detectable Major Neurotransmitters of the Brain: Biology and Possible Clinical Applications. AJNR Am. J. Neuroradiol. 2012, 33, 595–602. [Google Scholar] [CrossRef]
- Gallagher, T.A.; Alexander, A.L.; Field, A.S. Diffusion Tensor Magnetic Resonance Imaging: Physical Principles. In Functional Neuroradiology: Principles and Clinical Applications; Faro, S.H., Mohamed, F.B., Law, M., Ulmer, J.T., Eds.; Springer: Boston, MA, USA, 2012; pp. 709–729. ISBN 978-1-4419-0345-7. [Google Scholar]
- O’Donnell, L.J.; Westin, C.-F. An Introduction to Diffusion Tensor Image Analysis. Neurosurg. Clin. N. Am. 2011, 22, 185–196. [Google Scholar] [CrossRef]
- Grossman, R.I.; Gomori, J.M.; Ramer, K.N.; Lexa, F.J.; Schnall, M.D. Magnetization Transfer: Theory and Clinical Applications in Neuroradiology. Radiographics 1994, 14, 279–290. [Google Scholar] [CrossRef]
- Kucharczyk, W.; Macdonald, P.M.; Stanisz, G.J.; Henkelman, R.M. Relaxivity and Magnetization Transfer of White Matter Lipids at MR Imaging: Importance of Cerebrosides and PH. Radiology 1994, 192, 521–529. [Google Scholar] [CrossRef]
- Price, S.J.; Tozer, D.J.; Gillard, J.H. Methodology of Diffusion-Weighted, Diffusion Tensor and Magnetisation Transfer Imaging. Br. J. Radiol. 2011, 84, S121–S126. [Google Scholar] [CrossRef]
- Zaharchuk, G. Theoretical Basis of Hemodynamic MR Imaging Techniques to Measure Cerebral Blood Volume, Cerebral Blood Flow, and Permeability. Am. J. Neuroradiol. 2007, 28, 1850–1858. [Google Scholar] [CrossRef]
- Sopich, N.; Holodny, A.I. Introduction to Functional MR Imaging. Neuroimaging Clin. N. Am. 2021, 31, 1–10. [Google Scholar] [CrossRef]
- Nystedt, J.; Mannfolk, P.; Jönsen, A.; Bengtsson, A.; Nilsson, P.; Sundgren, P.C.; Strandberg, T.O. Functional Connectivity Changes in Systemic Lupus Erythematosus: A Resting-State Study. Brain Connect. 2018, 8, 220–234. [Google Scholar] [CrossRef]
- Weiner, S.M.; Otte, A.; Schumacher, M.; Klein, R.; Gutfleisch, J.; Brink, I.; Otto, P.; Nitzsche, E.U.; Moser, E.; Peter, H.H. Diagnosis and Monitoring of Central Nervous System Involvement in Systemic Lupus Erythematosus: Value of F-18 Fluorodeoxyglucose PET. Ann. Rheum. Dis. 2000, 59, 377–385. [Google Scholar] [CrossRef]
- Curiel, R.; Akin, E.A.; Beaulieu, G.; Depalma, L.; Hashefi, M. PET/CT Imaging in Systemic Lupus Erythematosus. Ann. N. Y. Acad. Sci. 2011, 1228, 71–80. [Google Scholar] [CrossRef]
- Lee, S.-W.; Park, M.; Lee, S.-K.; Park, Y.-B. The Efficacy of Brain F-Fluorodeoxyglucose Positron Emission Tomography in Neuropsychiatric Lupus Patients with Normal Brain Magnetic Resonance Imaging Findings, The Efficacy of Brain F-Fluorodeoxyglucose Positron Emission Tomography in Neuropsychiatric Lupus Patients with Normal Brain Magnetic Resonance Imaging Findings. Lupus 2012, 21, 1531–1537. [Google Scholar] [CrossRef]
- Castellino, G.; Padovan, M.; Bortoluzzi, A.; Borrelli, M.; Feggi, L.; Caniatti, M.L.; Trotta, F.; Govoni, M. Single Photon Emission Computed Tomography and Magnetic Resonance Imaging Evaluation in SLE Patients with and without Neuropsychiatric Involvement. Rheumatology 2008, 47, 319–323. [Google Scholar] [CrossRef] [PubMed]
- Castellino, G.; Govoni, M.; Giacuzzo, S.; Trotta, F. Optimizing Clinical Monitoring of Central Nervous System Involvement in SLE. Autoimmun. Rev. 2008, 7, 297–304. [Google Scholar] [CrossRef]
- Mackay, M.; Tang, C.C.; Vo, A. Advanced Neuroimaging in Neuropsychiatric Systemic Lupus Erythematosus. Curr. Opin. Neurol. 2020, 33, 353–361. [Google Scholar] [CrossRef]
- Baliyan, V.; Das, C.J.; Sharma, R.; Gupta, A.K. Diffusion Weighted Imaging: Technique and Applications. World J. Radiol. 2016, 8, 785–798. [Google Scholar] [CrossRef]
- Drake-Pérez, M.; Boto, J.; Fitsiori, A.; Lovblad, K.; Vargas, M.I. Clinical Applications of Diffusion Weighted Imaging in Neuroradiology. Insights Imaging 2018, 9, 535–547. [Google Scholar] [CrossRef]
- Alexander, A.L.; Lee, J.E.; Lazar, M.; Field, A.S. Diffusion Tensor Imaging of the Brain. Neurotherapeutics 2007, 4, 316–329. [Google Scholar] [CrossRef]
- Tae, W.-S.; Ham, B.-J.; Pyun, S.-B.; Kang, S.-H.; Kim, B.-J. Current Clinical Applications of Diffusion-Tensor Imaging in Neurological Disorders. J. Clin. Neurol. 2018, 14, 129–140. [Google Scholar] [CrossRef]
- Assaf, Y.; Pasternak, O. Diffusion Tensor Imaging (DTI)-Based White Matter Mapping in Brain Research: A Review. J. Mol. Neurosci. 2008, 34, 51–61. [Google Scholar] [CrossRef]
- Walecki, J.; Sierakowski, S.; Lewszuk, A.; Sulik, A.; Tarasów, E.; ŁEbkowska, U. MR in Neurological Syndromes of Connective Tissue Diseases. Med. Sci. Monit. 2002, 8, MT105–MT111. [Google Scholar]
- Jeong, H.W.; Her, M.; Bae, J.S.; Kim, S.-K.; Lee, S.W.; Kim, H.K.; Kim, D.; Park, N.; Chung, W.T.; Lee, S.Y.; et al. Brain MRI in Neuropsychiatric Lupus: Associations with the 1999 ACR Case Definitions. Rheumatol. Int. 2015, 35, 861–869. [Google Scholar] [CrossRef]
- Abda, E.A.; Selim, Z.I.; Radwan, M.E.M.; Mahmoud, N.M.; Herdan, O.M.; Mohamad, K.A.; Hamed, S.A. Markers of Acute Neuropsychiatric Systemic Lupus Erythematosus: A Multidisciplinary Evaluation. Rheumatol. Int. 2013, 33, 1243–1253. [Google Scholar] [CrossRef]
- Jennings, J.E.; Sundgren, P.C.; Attwood, J.; McCune, J.; Maly, P. Value of MRI of the Brain in Patients with Systemic Lupus Erythematosus and Neurologic Disturbance. Neuroradiology 2004, 46, 15–21. [Google Scholar] [CrossRef]
- Moritani, T.; Shrier, D.A.; Numaguchi, Y.; Takahashi, C.; Yano, T.; Nakai, K.; Zhong, J.; Wang, H.Z.; Shibata, D.K.; Naselli, S.M. Diffusion-Weighted Echo-Planar MR Imaging of CNS Involvement in Systemic Lupus Erythematosus. Acad. Radiol. 2001, 8, 741–753. [Google Scholar] [CrossRef]
- Welsh, R.C.; Rahbar, H.; Foerster, B.; Thurnher, M.; Sundgren, P.C. Brain Diffusivity in Patients with Neuropsychiatric Systemic Lupus Erythematosus with New Acute Neurological Symptoms. J. Magn. Reson. Imaging 2007, 26, 541–551. [Google Scholar] [CrossRef]
- Valdez-López, M.; Aguirre-Aguilar, E.; Valdés-Ferrer, S.I.; Martínez-Carrillo, F.M.; Arauz, A.; Barrera-Vargas, A.; Merayo-Chalico, J. Posterior Reversible Encephalopathy Syndrome: A Neuropsychiatric Manifestation of Systemic Lupus Erythematosus. Autoimmun. Rev. 2021, 20, 102739. [Google Scholar] [CrossRef]
- Bosma, G.P.; Van Buchem, M.A.; Rood, M.J.; Mooijaart, S.P.; Huizinga, T.W. Huizinga Comparison of ADC Histograms of Patients with Neuropsychiatric Systemic Lupus Erythematosus and Healthy Volunteers. Proc. Int. Sot. Mag. Reson. Med. 2000, 8, 1244. [Google Scholar]
- Bosma, G.P.T.; Huizinga, T.W.J.; Mooijaart, S.P.; van Buchem, M.A. Abnormal Brain Diffusivity in Patients with Neuropsychiatric Systemic Lupus Erythematosus. Am. J. Neuroradiol. 2003, 24, 850–854. [Google Scholar]
- Bosma, G.P.T.; Steens, S.C.A.; Petropoulos, H.; Admiraal-Behloul, F.; van den Haak, A.; Doornbos, J.; Huizinga, T.W.J.; Brooks, W.M.; Harville, A.; Sibbitt, W.L.; et al. Multisequence Magnetic Resonance Imaging Study of Neuropsychiatric Systemic Lupus Erythematosus. Arthritis Rheum. 2004, 50, 3195–3202. [Google Scholar] [CrossRef]
- Emmer, B.J.; van der Grond, J.; Steup-Beekman, G.M.; Huizinga, T.W.J.; van Buchem, M.A. Selective Involvement of the Amygdala in Systemic Lupus Erythematosus. PLoS Med. 2006, 3, e499. [Google Scholar] [CrossRef]
- Hughes, M.; Sundgren, P.C.; Fan, X.; Foerster, B.; Nan, B.; Welsh, R.C.; Williamson, J.A.; Attwood, J.; Maly, P.V.; Chenevert, T.L.; et al. Diffusion Tensor Imaging in Patients with Acute Onset of Neuropsychiatric Systemic Lupus Erythematosus: A Prospective Study of Apparent Diffusion Coefficient, Fractional Anisotropy Values, and Eigenvalues in Different Regions of the Brain. Acta Radiol. 2007, 48, 213–222. [Google Scholar] [CrossRef] [PubMed]
- Zimny, A.; Szmyrka-Kaczmarek, M.; Szewczyk, P.; Bladowska, J.; Pokryszko-Dragan, A.; Gruszka, E.; Wiland, P.; Sasiadek, M. In Vivo Evaluation of Brain Damage in the Course of Systemic Lupus Erythematosus Using Magnetic Resonance Spectroscopy, Perfusion-Weighted and Diffusion-Tensor Imaging. Lupus 2014, 23, 10–19. [Google Scholar] [CrossRef] [PubMed]
- Nystedt, J.; Nilsson, M.; Jönsen, A.; Nilsson, P.; Bengtsson, A.; Lilja, Å.; Lätt, J.; Mannfolk, P.; Sundgren, P.C. Altered White Matter Microstructure in Lupus Patients: A Diffusion Tensor Imaging Study. Arthritis Res. Ther. 2018, 20, 21. [Google Scholar] [CrossRef]
- Sarbu, N.; Toledano, P.; Calvo, A.; Roura, E.; Sarbu, M.I.; Espinosa, G.; Lladó, X.; Cervera, R.; Bargalló, N. Advanced MRI Techniques: Biomarkers in Neuropsychiatric Lupus. Lupus 2017, 26, 510–516. [Google Scholar] [CrossRef]
- Ercan, E.; Ingo, C.; Tritanon, O.; Magro-Checa, C.; Smith, A.; Smith, S.; Huizinga, T.; van Buchem, M.A.; Ronen, I. A Multimodal MRI Approach to Identify and Characterize Microstructural Brain Changes in Neuropsychiatric Systemic Lupus Erythematosus. Neuroimage Clin. 2015, 8, 337–344. [Google Scholar] [CrossRef]
- Wiseman, S.J.; Bastin, M.E.; Hamilton, I.F.; Hunt, D.; Ritchie, S.J.; Amft, E.N.; Thomson, S.; Belch, J.F.F.; Ralston, S.H.; Wardlaw, J.M. Fatigue and Cognitive Function in Systemic Lupus Erythematosus: Associations with White Matter Microstructural Damage. A Diffusion Tensor MRI Study and Meta-Analysis. Lupus 2017, 26, 588–597. [Google Scholar] [CrossRef]
- Costallat, B.L.; Ferreira, D.M.; Lapa, A.T.; Rittner, L.; Costallat, L.T.L.; Appenzeller, S. Brain Diffusion Tensor MRI in Systematic Lupus Erythematosus: A Systematic Review. Autoimmun. Rev. 2018, 17, 36–43. [Google Scholar] [CrossRef]
- Zhou, C.; Dong, M.; Duan, W.; Lin, H.; Wang, S.; Wang, Y.; Zhang, Y.; Shi, J.; Liu, S.; Cheng, Y.; et al. White Matter Microstructure Alterations in Systemic Lupus Erythematosus: A Preliminary Coordinate-Based Meta-Analysis of Diffusion Tensor Imaging Studies. Lupus 2021, 30, 1973–1982. [Google Scholar] [CrossRef]
- Jung, R.E.; Caprihan, A.; Chavez, R.S.; Flores, R.A.; Sharrar, J.; Qualls, C.R.; Sibbitt, W.; Roldan, C.A. Diffusion Tensor Imaging in Neuropsychiatric Systemic Lupus Erythematosus. BMC Neurol. 2010, 10, 65. [Google Scholar] [CrossRef]
- Schmidt-Wilcke, T.; Cagnoli, P.; Wang, P.; Schultz, T.; Lotz, A.; Mccune, W.J.; Sundgren, P.C. Diminished White Matter Integrity in Patients with Systemic Lupus Erythematosus. Neuroimage Clin. 2014, 5, 291–297. [Google Scholar] [CrossRef] [PubMed]
- Kozora, E.; Filley, C.M.; Erkan, D.; Uluğ, A.M.; Vo, A.; Ramon, G.; Burleson, A.; Zimmerman, R.D.; Lockshin, M.D. Longitudinal Evaluation of Diffusion Tensor Imaging and Cognition in Systemic Lupus Erythematosus. Lupus 2018, 27, 1810–1818. [Google Scholar] [CrossRef] [PubMed]
- Mackay, M.; Vo, A.; Tang, C.C.; Small, M.; Anderson, E.W.; Ploran, E.J.; Storbeck, J.; Bascetta, B.; Kang, S.; Aranow, C.; et al. Metabolic and Microstructural Alterations in the SLE Brain Correlate with Cognitive Impairment. JCI Insight 2019, 4, e124002. [Google Scholar] [CrossRef]
- Silvagni, E.; Inglese, F.; Bortoluzzi, A.; Borrelli, M.; Goeman, J.J.; Revenaz, A.; Groppo, E.; Steup-Beekman, G.M.; Huizinga, T.W.J.; Ronen, I.; et al. Longitudinal Changes in Cerebral White Matter Microstructure in Newly Diagnosed Systemic Lupus Erythematosus Patients. Rheumatology 2021, 60, 2678–2687. [Google Scholar] [CrossRef]
- Zivadinov, R.; Shucard, J.L.; Hussein, S.; Durfee, J.; Cox, J.L.; Bergsland, N.; Dwyer, M.G.; Benedict, R.H.B.; Ambrus, J.; Shucard, D.W. Multimodal Imaging in Systemic Lupus Erythematosus Patients with Diffuse Neuropsychiatric Involvement. Lupus 2013, 22, 675–683. [Google Scholar] [CrossRef]
- Lee, S.-P.; Wu, C.-S.; Cheng, J.-Z.; Chen, C.-M.; Chen, Y.-C.; Chou, M.-C. Automatic Segmentation of the Corpus Callosum Using a Cell-Competition Algorithm: Diffusion Tensor Imaging-Based Evaluation of Callosal Atrophy and Tissue Alterations in Patients With Systemic Lupus Erythematosus. J. Comput. Assist. Tomogr. 2015, 39, 781–786. [Google Scholar] [CrossRef]
- Zhang, Z.; Wang, Y.; Shen, Z.; Yang, Z.; Li, L.; Chen, D.; Yan, G.; Cheng, X.; Shen, Y.; Tang, X.; et al. The Neurochemical and Microstructural Changes in the Brain of Systemic Lupus Erythematosus Patients: A Multimodal MRI Study. Sci. Rep. 2016, 6, 19026. [Google Scholar] [CrossRef]
- Qian, X.; Ji, F.; Ng, K.K.; Koh, A.J.; Loo, B.R.Y.; Townsend, M.C.; Pasternak, O.; Tay, S.H.; Zhou, J.H.; Mak, A. Brain White Matter Extracellular Free-Water Increases Are Related to Reduced Neurocognitive Function in Systemic Lupus Erythematosus. Rheumatology 2021, keab511. [Google Scholar] [CrossRef]
- Ercan, E.; Magro-Checa, C.; Valabregue, R.; Branzoli, F.; Wood, E.T.; Steup-Beekman, G.M.; Webb, A.G.; Huizinga, T.W.J.; van Buchem, M.A.; Ronen, I. Glial and Axonal Changes in Systemic Lupus Erythematosus Measured with Diffusion of Intracellular Metabolites. Brain 2016, 139, 1447–1457. [Google Scholar] [CrossRef]
- Wiseman, S.J.; Bastin, M.E.; Amft, E.N.; Belch, J.F.F.; Ralston, S.H.; Wardlaw, J.M. Cognitive Function, Disease Burden and the Structural Connectome in Systemic Lupus Erythematosus. Lupus 2018, 27, 1329–1337. [Google Scholar] [CrossRef] [PubMed]
- del Valdés Hernández, M.C.; Smith, K.; Bastin, M.E.; Nicole Amft, E.; Ralston, S.H.; Wardlaw, J.M.; Wiseman, S.J. Brain Network Reorganisation and Spatial Lesion Distribution in Systemic Lupus Erythematosus. Lupus 2021, 30, 285–298. [Google Scholar] [CrossRef]
- Zhao, L.; Tan, X.; Wang, J.; Han, K.; Niu, M.; Xu, J.; Liu, X.; Zhao, X.; Zhong, M.; Huang, Q.; et al. Brain White Matter Structural Networks in Patients with Non-Neuropsychiatric Systemic Lupus Erythematosus. Brain Imaging Behav. 2018, 12, 142–155. [Google Scholar] [CrossRef]
- Preziosa, P.; Rocca, M.A.; Ramirez, G.A.; Bozzolo, E.P.; Canti, V.; Pagani, E.; Valsasina, P.; Moiola, L.; Rovere-Querini, P.; Manfredi, A.A.; et al. Structural and Functional Brain Connectomes in Patients with Systemic Lupus Erythematosus. Eur. J. Neurol. 2019, 27, 113.e2. [Google Scholar] [CrossRef]
- Wedeen, V.J.; Wang, R.P.; Schmahmann, J.D.; Benner, T.; Tseng, W.Y.I.; Dai, G.; Pandya, D.N.; Hagmann, P.; D’Arceuil, H.; de Crespigny, A.J. Diffusion Spectrum Magnetic Resonance Imaging (DSI) Tractography of Crossing Fibers. Neuroimage 2008, 41, 1267–1277. [Google Scholar] [CrossRef]
- Tuch, D.S. Q-Ball Imaging. Magn. Reson. Med. 2004, 52, 1358–1372. [Google Scholar] [CrossRef]
- Farrher, E.; Grinberg, F.; Kuo, L.-W.; Cho, K.-H.; Buschbeck, R.P.; Chen, M.-J.; Chiang, H.-H.; Choi, C.-H.; Shah, N.J. Dedicated Diffusion Phantoms for the Investigation of Free Water Elimination and Mapping: Insights into the Influence of T2 Relaxation Properties. NMR Biomed. 2020, 33, e4210. [Google Scholar] [CrossRef]
- Borkowski, K.; Krzyżak, A.T. Analysis and Correction of Errors in DTI-Based Tractography Due to Diffusion Gradient Inhomogeneity. J. Magn. Reson. 2018, 296, 5–11. [Google Scholar] [CrossRef]
- Krzyzak, A.; Borkowski, K. Theoretical Analysis of Phantom Rotations in BSD-DTI. In Proceedings of the 2015 37th Annual International Conference of the IEEE Engineering in Medicine and Biology Society (EMBC), Milano, Italy, 25–29 August 2015; pp. 410–413. [Google Scholar] [CrossRef]
- Magro-Checa, C.; Steup-Beekman, G.M.; Huizinga, T.W.; van Buchem, M.A.; Ronen, I. Laboratory and Neuroimaging Biomarkers in Neuropsychiatric Systemic Lupus Erythematosus: Where Do We Stand, Where To Go? Front. Med. 2018, 5, 340. [Google Scholar] [CrossRef]
- Bortoluzzi, A.; Fanouriakis, A.; Appenzeller, S.; Costallat, L.; Scirè, C.A.; Murphy, E.; Bertsias, G.; Hanly, J.; Govoni, M. Validity of the Italian Algorithm for the Attribution of Neuropsychiatric Events in Systemic Lupus Erythematosus: A Retrospective Multicentre International Diagnostic Cohort Study. BMJ Open 2017, 7, e015546. [Google Scholar] [CrossRef]
- Hanly, J.G.; McCurdy, G.; Fougere, L.; Douglas, J.-A.; Thompson, K. Neuropsychiatric Events in Systemic Lupus Erythematosus: Attribution and Clinical Significance. J. Rheumatol. 2004, 31, 2156–2162. [Google Scholar]
- Fanouriakis, A.; Kostopoulou, M.; Alunno, A.; Aringer, M.; Bajema, I.; Boletis, J.N.; Cervera, R.; Doria, A.; Gordon, C.; Govoni, M.; et al. 2019 Update of the EULAR Recommendations for the Management of Systemic Lupus Erythematosus. Ann. Rheum. Dis. 2019, 78, 736–745. [Google Scholar] [CrossRef]
- Papadaki, E.; Fanouriakis, A.; Kavroulakis, E.; Karageorgou, D.; Sidiropoulos, P.; Bertsias, G.; Simos, P.; Boumpas, D.T. Neuropsychiatric Lupus or Not? Cerebral Hypoperfusion by Perfusion-Weighted MRI in Normal-Appearing White Matter in Primary Neuropsychiatric Lupus Erythematosus. Ann. Rheum. Dis. 2018, 77, 441–448. [Google Scholar] [CrossRef] [PubMed]
- Appenzeller, S.; Li, L.M.; Costallat, L.T.L.; Cendes, F. Evidence of Reversible Axonal Dysfunction in Systemic Lupus Erythematosus: A Proton MRS Study. Brain 2005, 128, 2933–2940. [Google Scholar] [CrossRef]
- Appenzeller, S.; Li, L.M.; Costallat, L.T.L.; Cendes, F. Neurometabolic Changes in Normal White Matter May Predict Appearance of Hyperintense Lesions in Systemic Lupus Erythematosus. Lupus 2007, 16, 963–971. [Google Scholar] [CrossRef]
- Cagnoli, P.; Harris, R.E.; Frechtling, D.; Berkis, G.; Gracley, R.H.; Graft, C.C.; Lowe, S.E.; Chenevert, T.L.; McCune, W.J.; Gebarski, S.; et al. Reduced Insular Glutamine and N-Acetylaspartate in Systemic Lupus Erythematosus: A Single-Voxel (1)H-MR Spectroscopy Study. Acad. Radiol. 2013, 20, 1286–1296. [Google Scholar] [CrossRef][Green Version]
- Sundgren, P.C.; Jennings, J.; Attwood, J.T.; Nan, B.; Gebarski, S.; McCune, W.J.; Pang, Y.; Maly, P. MRI and 2D-CSI MR Spectroscopy of the Brain in the Evaluation of Patients with Acute Onset of Neuropsychiatric Systemic Lupus Erythematosus. Neuroradiology 2005, 47, 576–585. [Google Scholar] [CrossRef]
- Wang, P.I.; Harris, R.E.; Chenevert, T.L.; McCune, W.J.; Sundgren, P.C. Multi-Voxel Proton Magnetic Resonance Spectroscopy Changes in Neuropsychiatric Lupus Patients. SA J. Radiol. 2016, 20, a974. [Google Scholar] [CrossRef]
- Magro-Checa, C.; Ercan, E.; Wolterbeek, R.; Emmer, B.; van der Wee, N.J.; Middelkoop, H.A.; Kruyt, N.D.; Ronen, I.; van Buchem, M.A.; Huizinga, T.W.; et al. Changes in White Matter Microstructure Suggest an Inflammatory Origin of Neuropsychiatric Systemic Lupus Erythematosus. Arthritis Rheumatol. 2016, 68, 1945–1954. [Google Scholar] [CrossRef]
- Bendorius, M.; Po, C.; Muller, S.; Jeltsch-David, H. From Systemic Inflammation to Neuroinflammation: The Case of Neurolupus. Int. J. Mol. Sci. 2018, 19, 3588. [Google Scholar] [CrossRef]
- Duarte-Delgado, N.P.; Vásquez, G.; Ortiz-Reyes, B.L. Blood-Brain Barrier Disruption and Neuroinflammation as Pathophysiological Mechanisms of the Diffuse Manifestations of Neuropsychiatric Systemic Lupus Erythematosus. Autoimmun. Rev. 2019, 18, 426–432. [Google Scholar] [CrossRef]


| MR Imaging | Abbreviation | Explored Aspects of Nervous Tissue | Technique |
|---|---|---|---|
| Conventional brain magnetic resonance imaging | MRI | Morphology and macro-architecture |
|
| |||
| |||
| |||
| Proton magnetic resonance spectroscopy | H1-MRS | Biochemical profile |
|
| |||
| Perfusion-Weighted Imaging | PWI | Brain perfusion |
|
| |||
| |||
| Magnetisation Transfer Imaging | MTI | Brain tissue integrity of macromolecules (e.g., myelin) | |
| Diffusion Tensor Imaging | DTI | White matter tissue microstructure | |
| Functional MRI | fMRI | Neuronal connectivity and functional engagement of different brain regions |
|
|
| DTI Parameter | Interpretation |
|---|---|
| MD | Average motion of water molecules within the tissue. It does not vary in relation to direction of the diffusion movement. |
| FA | Coherence of preferred water molecules movement direction along the WM fibres. It tends to negatively correlate with the degree of tissue damage. FA value approximates 0 in isotropic tissues (motion of water is equal in all directions—e.g., vasogenic oedema) and it approaches 1 in highly anisotropic environments where water is constrained to move along a primary direction (e.g., cytotoxic oedema). |
| AD | Rate of diffusion parallel to primary diffusion direction. It evaluates axonal integrity. |
| RD | Rate of diffusion perpendicular to the primary diffusion direction. It tends to increase in presence of demyelination. |
| Author, Year | Patients | Brain MRI Techniques | Main Findings |
|---|---|---|---|
| Bosma et al., 2003 [52] | 11 NPSLE (past NP involvement), 10 HCs. | DWI | NPSLE vs. HCs: lower peak height and higher mean ADC values (whole brain). |
| Bosma et al., 2004 [53] | 24 NPSLE (past NP involvement). | DWI, MTI, MRS | Correlation between reduced MTRp and increased mean ADC values (whole brain). |
| Emmer et al., 2006 [54] | 37 NPSLE (past NP involvement), 21 SLE, 12 HCs. | DWI | Lower mean ADC values at amygdala level in SLE and NPSLE compared to HCs, in particular for NMDAR-Ab positive patients. |
| Welsh et al., 2007 [49] | 17 acute NPSLE (within one week from symptoms onset), 21 HCs. | DWI | Higher ADC values at whole brain, GM and WM levels for acute NPSLE compared with HCs. |
| Hughes et al., 2007 [55] | 8 acute NPSLE (within one week from symptoms onset), 20 HCs. | DWI, DTI | NPSLE vs. HCs: increased ADC values and decreased FA at thalamus, parietal and frontal WM levels. |
| Type of Limitation | Explanation |
|---|---|
| Data acquisition | Heterogeneity in MRI scanners adopted. |
| Heterogeneity in DTI data acquisition. | |
| Data analysis | Heterogeneity in DTI data analysis methods. |
| Exclusion of lesions masks not always reported. | |
| Generalisability of results | Small sample sizes. |
| Lack of multicentre studies. | |
| Patients’ selection | Heterogeneity in types on NP events or syndromes included. |
| NP events not always attributed to SLE. | |
| Study design | Paucity of longitudinal studies. |
| Clinical utility | Actual lack of translation into a patient-centred perspective of DTI studies. |
Publisher’s Note: MDPI stays neutral with regard to jurisdictional claims in published maps and institutional affiliations. |
© 2021 by the authors. Licensee MDPI, Basel, Switzerland. This article is an open access article distributed under the terms and conditions of the Creative Commons Attribution (CC BY) license (https://creativecommons.org/licenses/by/4.0/).
Share and Cite
Silvagni, E.; Bortoluzzi, A.; Borrelli, M.; Bianchi, A.; Fainardi, E.; Govoni, M. Cerebral Microstructure Analysis by Diffusion-Based MRI in Systemic Lupus Erythematosus: Lessons Learned and Research Directions. Brain Sci. 2022, 12, 70. https://doi.org/10.3390/brainsci12010070
Silvagni E, Bortoluzzi A, Borrelli M, Bianchi A, Fainardi E, Govoni M. Cerebral Microstructure Analysis by Diffusion-Based MRI in Systemic Lupus Erythematosus: Lessons Learned and Research Directions. Brain Sciences. 2022; 12(1):70. https://doi.org/10.3390/brainsci12010070
Chicago/Turabian StyleSilvagni, Ettore, Alessandra Bortoluzzi, Massimo Borrelli, Andrea Bianchi, Enrico Fainardi, and Marcello Govoni. 2022. "Cerebral Microstructure Analysis by Diffusion-Based MRI in Systemic Lupus Erythematosus: Lessons Learned and Research Directions" Brain Sciences 12, no. 1: 70. https://doi.org/10.3390/brainsci12010070
APA StyleSilvagni, E., Bortoluzzi, A., Borrelli, M., Bianchi, A., Fainardi, E., & Govoni, M. (2022). Cerebral Microstructure Analysis by Diffusion-Based MRI in Systemic Lupus Erythematosus: Lessons Learned and Research Directions. Brain Sciences, 12(1), 70. https://doi.org/10.3390/brainsci12010070

