Abstract
Entropy-based thresholding is a widely used technique for medical image segmentation. Its principle is to determine the optimal threshold by maximizing or minimizing the image’s entropy, dividing the image into different regions or categories. The intensity distributions of objects and backgrounds often overlap and contain many outliers, making segmentation extremely difficult. In this paper, we introduce a novel thresholding method that incorporates the Cauchy distribution into the Tsallis entropy framework based on Bayesian estimation. By introducing Bayesian prior probability estimation to address the overlap in intensity distributions between the two classes, we enhance the estimation of the probability that a pixel belongs to either class. Additionally, we utilize the Cauchy distribution, known for its heavy-tailed characteristics, to fit grayscale pixel distributions with outliers, enhancing tolerance to extreme values. The optimal threshold is derived through the optimization of an information measure formulated using updated Tsallis entropy. Experimental results demonstrate that the proposed method, called Cauchy-TB, achieves significant superiority to existing approaches on two public medical brain image datasets.
1. Introduction
In the past decade, medical image segmentation technologies have become increasingly critical for clinical applications. The compilation of medical images enables intuitive and objective patient assessments. In addition to thresholding, various other image segmentation methods are widely used in the field. These include region-based segmentation, contour-detection-based segmentation, graph-based segmentation pixel clustering algorithms, watershed algorithms, machine learning-based approaches, and deep learning techniques. Each method’s suitability depends on the requirements and characteristics of the specific medical image segmentation task.
Region-based segmentation [1,2] directly finds regions in images by using methods such as region growing and global cutting. Edge-based methods [3,4], which detect edges using operators such as Roberts, Sobel, and Laplace, are often combined with other algorithms. Popular clustering methods for segmentation include K-Means and Fuzzy C-Means, as noted in [5,6]. Graph-based methods [7,8] leverage graph theory for segmentation, while watershed segmentation [9] separates overlapping objects based on pixel similarities.
Classical machine learning methods such as PCA [10], LDA [11], LBP [12], HOG [13], GLCM [14], and frequency domain analysis [15] are employed to extract shape, texture, and structural features from images. These features are utilized with classifiers such as SVM [16] and K-means [14] in tasks such as classification or clustering. Deep learning methods, especially CNNs [17] such as U-Net [18], are highly effective in medical image segmentation. U-Net uses data augmentation to expand datasets and improve the model’s generalization capability. However, CNNs encounter difficulties in capturing global dependencies. To address this, researchers apply Transformer architectures [19], known for their self-attention mechanism, to various image processing tasks. Recently, SAM [20], a universal model for image segmentation, has shown promising results spanning various image types.
Due to significant grayscale differences among various biological tissues and organs in medical images, thresholding has therefore become a popular technique for object segmentation that balances efficiency and accuracy. The key difficulty is to find the optimal threshold that distinguishes the foreground from the background in the image. Entropy measures the amount of information in images. The higher the entropy is, the more information the image has. Essentially, the goal of the maximum entropy algorithm is to find an optimal threshold that maximizes the sum of entropy between the background and foreground regions.
Kapur’s maximum entropy method [21] can achieve good results even when the image histogram is not bimodal. However, similar to the Otsu method [22], it does not consider spatial information and is susceptible to noises. Saha [23] developed a class-uncertainty-based framework called minimum homogeneity- and uncertainty-based energy (MHUE) for optimum threshold selection. Liu [24] further improved the MHUE algorithm by integrating the histogram-based feature with the spatial contextual feature, which demonstrates excellent performance in medical image segmentation. In 2004, Albuquerque [25] first proposed a method based on Tsallis entropy. Subsequently, Sarkar [26] employed 2D Tsallis entropy for a multi-thresholding algorithm. More recently, methods such as Masi entropy [27] have been continuously introduced.
Entropy-based thresholding methods are widely used due to their simplicity and applicability in various scenarios. However, they face challenges when dealing with pixel intensity distributions that contain overlapping components and outliers, as illustrated in Figure 1. This study introduces a novel method, called Cauchy-TB, to address these challenges. By integrating Bayesian prior probability estimation and the Cauchy distribution into the classical Tsallis entropy framework (Figure 2), we aim at improving the robustness and accuracy of segmentation results. Experimental results demonstrate the significant advantages of Cauchy-TB on two publicly available medical brain image datasets.
Figure 1.
The histogram of medical images consists of histograms of different components, whose distributions overlap and contain many outliers.
Figure 2.
The major steps of the proposed method, Cauchy-TB. The green arrow indicates the direction of flow in the recursive process.
The contributions of this paper to the literature can be summarized as follows:
- We introduce a novel Tsallis-entropy-based thresholding method for medical image segmentation by incorporating Bayesian prior probability estimation to effectively handle overlaps in intensity distributions between two classes;
- We integrate the Cauchy distribution, recognized for its heavy-tailed properties, to improve the framework’s robustness to outliers;
- We further develop this approach for multi-class segmentation and determine the optimal threshold by optimizing the information measure function.
The structure of this paper is outlined as follows: Section 2 provides a review of related work, and Section 3 explains the principles of our method in detail. Experimental results are presented in Section 4. Section 5 discusses them in depth. Finally, Section 6 concludes the study with remarks summarizing the key findings.
2. Related Work
Many thresholding methods have been proposed, including global methods based on intensity histograms, global methods based on local properties, and adaptive thresholding.
2.1. Global Thresholding Based on Intensity Histograms
Otsu’s method [22] is a classic non-parametric unsupervised algorithm for automatic image thresholding, calculating the optimal threshold by maximizing the between-class variance of the image. Several improvements have been proposed to enhance its performance. Abutaleb [28] introduced a two-dimensional histogram to consider pixel neighborhood information, improving the Otsu method’s performance in noise handling. Bindu [29] improved the algorithm by using image histograms and global thresholding techniques, reducing computation time and improving segmentation quality. Yuan [30] weighted cumulative probability parameters to improve segmentation for single-peaked histograms. Feng [31] proposed a method combining 3D Otsu and multi-scale image representation, demonstrating stable results and robustness to noise.
The entropy-based algorithm is also widely utilized, finding the optimal threshold through entropy. Kapur [21] proposed the maximum entropy method, achieving good results even for non-ideal bimodal histograms. However, it lacks consideration of spatial information, leading to poor noise robustness. Li [32] used the Cuckoo Search Algorithm to enhance the Maximum Entropy method, improving both its accuracy and its efficiency. The MHUE method [23] integrates grayscale class uncertainty and spatial uniformity into an energy function. It shows excellent performance in segmenting fuzzy images and medical images. Liu [33] proposed a segmentation method based on fuzzy entropy that considered inter-class and intra-class differences, and in 2012, they improved the method with a new energy function [24]. Albuquerque [25] introduced a Tsallis entropy-based method, while Sarkar [26] applied 2D Tsallis entropy to multi-threshold problems. Zou [34] developed a Tsallis-entropy-based threshold segmentation method that utilizes multi-scale and multi-directional Gabor transformations. Recently, new methods such as Masi entropy [27] have been utilized. Prabaharan [35] compared the performance of eight thresholding methods on microscopic medical images and found that Kapur’s entropy threshold performed the best. Naik [36] introduced a multilevel thresholding method based on non-entropy maximization, utilizing threshold scores. They used the AO-PSO optimizer to reduce computational costs for multi-class segmentation. Li [37] proposed an enhanced version of the Barnacle Mating Optimizer, which made substantial advancements in both precision and efficiency.
Recently, Venugopal [38] proposed a deep learning model called the Deep Threshold Prediction Network (DTP-Net) for threshold prediction. The model takes grayscale images as input, with the goal of determining the optimal grayscale threshold by maximizing the Dice similarity index (DSI) between the segmented image and the ground truth.
2.2. Global Methods Based on Local Attributes
Johnson [39] proposed a semi-automatic boundary detection algorithm for 3D MRI images that calculates thresholds by analyzing the pixel intensity distribution in circular regions surrounding the selected object pixels and background pixels, enabling accurate and efficient measurement of ventricular volume. Yadav [40] introduced a novel algorithm that combines thresholding and morphological techniques to enhance image features and reduce noise. It has been validated on brain MRI and CT angiography images. Kalyani [41] proposed an algorithm based on robust Teaching–Learning-Based Optimization (TLBO) to address the issue of increased computation time in multilevel thresholding. The algorithm achieves precise segmentation of medical images, such as images of irises, psoriasis, and cancer cells. They also introduced the concept of the Exchange Market Algorithm (EMA) [42] to balance exploration and exploitation, with the Otsu-based EMA technique demonstrating superior segmentation accuracy and computation time compared to other methods. Chandra De [5] applied Particle Swarm Optimization (PSO) with the Kapur entropy criterion for segmenting MRI brain tumor images. Nyo [43] employed multiple Otsu thresholds and morphological operations for accurate brain tumor segmentation. Both methods showed promising results in segmenting brain tumors from MRI images. A hybrid fitness function was developed by Ibrahim [44] through the combination of Otsu’s method and Kapur’s entropy method, which was integrated with the Electric Eel Foraging Optimization (EEFO) method for multilevel thresholding to identify optimal thresholds. Sowmiya [45] proposed a multilevel thresholding hybrid Leader Coronavirus Optimization method combined with a kernel-based Bayesian Fuzzy Clustering (kernel-BFC) method for foreground and background image segmentation.
2.3. Adaptive Thresholding
An adaptive method usually assigns different threshold values to different regions or pixels based on local pixel statistics, which is useful for extracting small and sparse regions. Common methods include local-statistics-based, local-variance-based, and local-mean-based methods, but they require more computational resources. Classical methods include the Niblack method [46], which calculates the local threshold using the pixel mean and variance in a neighborhood. This method has good robustness against noise, but the choice of processing template window size has a significant impact on the results. The Sauvola method [47] uses the local grayscale mean of the template window as a reference, divides the image into different categories based on the standard deviation, and calculates multiple thresholds based on image categories. These methods adaptively select thresholds based on local image characteristics, leading to more accurate segmentation results. Hemachander [48] proposed an algorithm for local adaptive thresholds that maintains segmentation result continuity. Chaira [49] introduced a local method based on intuitionistic fuzzy set theory, achieving good segmentation results in low-contrast samples. Tarkhaneh [50] introduced a Differential Evolution-based algorithm that balances local and global search for improved efficiency. Recently, Khalid [51] employed a grid search method to segment Regions of Interest (ROIs) in ultrasound medical images, improving segmentation results by calculating overlapping regions between automatically and manually extracted ROIs. Ariyanfar [52] developed an adaptive thresholding technique with boundary curvature and tortuosity control. Li [53] introduced a center point selection method to address foreground deviation and used continuity detection to improve segmentation accuracy and the method’s capacity for generalization. Gharehchopogh [54] proposed an enhanced version of the African Vulture Optimization Algorithm (AVOA), which integrates three binarization thresholding algorithms—Kapur entropy, Tsallis entropy, and the Otsu method—for multi-threshold image segmentation. Li [55] combined the Arithmetic Optimization Algorithm (AOA) with the Harris Hawks Optimizer (HHO) to improve the AOA’s exploitation phase, thereby achieving an optimal threshold vector for multilevel thresholding image segmentation.
3. Theory and Methodology
In this section, we first prove that the optimal segmentation boundary can always be found near the ground truth boundary. Then, we describe the proposed Cauchy-TB method and its extension to multilevel segmentation.
3.1. The Optimal Segmentation Boundary
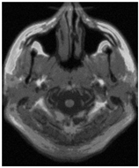
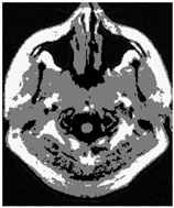
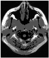
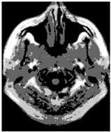
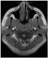
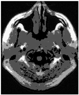
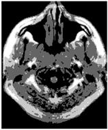
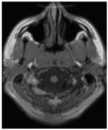
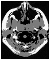
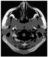
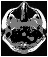
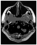
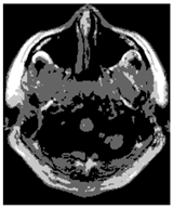
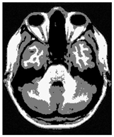
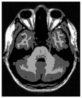
In Figure 3, we can see that the boundary in the bottom right around the white matter stays stable when threshold changes from 100 to 105, but those around the gray matter (GM, shown in the cyan bounding box) change significantly. Furthermore, when the threshold changes from 105 to 110, the boundaries inside the GM change significantly. Both the situations show that those boundaries near the truth of tissue boundaries may possess higher stability as the thresholds change.
Figure 3.
Edges of the thresholding result. (a) Top left: 100; top middle: 105; top right: 100 (blue), 105 (red); bottom: local thresholding result of the region in the cyan box with 100–105 and the heatmap at the rightmost; (b) top left: 105; top middle: 110; top right: 105 (blue), 110 (red); bottom: local thresholding result of the region in cyan box with 105–110 and the heatmap at the rightmost. (The heatmap was generated as follows: As the threshold varies, superimpose the boundary pixels and increase the pixel count by one each time. The pixel with the highest count is set to the darkest blue. Thus, the darker a boundary pixel is, the more stable it is).
We designed an experiment to test for a significant difference in stability between pixels around the true boundaries and the rest. In our experiment, we randomly selected 3000 samples from the image to form a set S and filtered out those in the background. The samples were labeled as positive if their distance to the edge was less than 1 or labeled as negative if was greater than 1. As Figure 4 shows, for each pixel , we recorded the lower segmentation threshold bound and the upper segmentation threshold bound when it appeared near the edges. By measuring the range of the two thresholds, we could compare the distributions of in the positive and negative groups to see if there existed a certain tendency.
Figure 4.
Definitions of and .
Figure 5 illustrates the distribution statistics for positive samples (blue dots) and negative samples (red dots) across two slices used in the experiment, highlighting that positive samples exhibit a larger average than negative samples. To assess the difference in central tendency between these two populations, we conducted a Mann–Whitney test. The null hypothesis () is that the population X and Y have the same distribution; the alternative hypothesis () is that they have different distributions.
Figure 5.
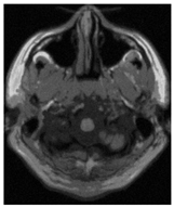
Threshold range distribution statistics, the blue and red lines represent the fittings of the positive and negative distributions, respectively. (a) displays the original experimental image; the ground truth segmentation of gray matter, white matter, and cerebrospinal fluid; and the selected points for positive and negative samples. (b) shows the distribution statistics of the positive and negative samples from (a), where the horizontal axis represents delta and the vertical axis indicates its frequency. (c,d) are the results from a different slice.
The Mann–Whitney U statistic is defined as
where
The statistics for some slices in the BrainWeb dataset are calculated. As shown in Table 1, if we select a confidence level of , we can conclude that the values from these two groups are from different distributions.
Table 1.
Mann–Whitney test results.
To the best of our knowledge, there are few intensity-based methods that consider pixel-wise edge stability. Li [56] evaluated shape stability with the region expanding rate (RER) and selected a threshold with a low RER; Serena [57] considered the area-stable elongation to find the stable region. All of the above methods measured an overall stability pattern between boundaries. In fact, pixels on the edge possess different stability values, as Figure 3 shows. Therefore, we can conclude that pixels on the edge possess stronger stability.
As the threshold varies continuously, a stable boundary remains consistent and is typically closer to the ground truth boundary. As previously mentioned, Tsallis entropy introduces an adjustable parameter q, giving it an advantage when processing images with complex structures and noise. By leveraging the characteristics of Tsallis entropy, we can calculate the entropy values of the image at different thresholds and find the one with as many stable boundaries as possible corresponding to flat regions or special inflection points on the entropy curve. By adjusting the parameter q, the sensitivity of Tsallis entropy to probability distributions can be modulated, thereby highlighting the features of stable boundaries. Consequently, exploring the representation of Tsallis entropy based on a certain probability distribution model will help to determine the optimum threshold for segmentation, therefore improving the accuracy and robustness of image segmentation.
3.2. The Proposed Tsallis-Entropy-Based Method
Our previous work [58] incorporates Bayesian posterior probability estimation into the traditional Tsallis entropy framework and dramatically improves the estimation of the optimal threshold. Unfortunately, the intensity distributions of the pixels from objects and the background are assumed to be Gaussian, which is not quite accurate and is susceptible to noise in most cases. To address this problem, we introduce the Cauchy distribution as a replacement; this distribution has a higher tolerance for outliers. In addition, we further extend the segmentation method to multiple classes to achieve effective multilevel thresholding.
3.2.1. Definition of Classical Tsallis Entropy
The mathematical form of classical Tsallis entropy in image thresholding was initially introduced in [25]. For an image I with L gray levels, the entropy can be defined as follows:
where q in the formula represents the entropy exponent, which indicates the degree of non-additivity. When q > 1, it represents stronger interdependence or collective behavior among the system’s components. represents the probability of intensity i.
The pseudo-additivity principle applies to Tsallis entropy in independent statistical models:
For a given threshold t, the image is segmented into object and background regions, corresponding to the gray-level intervals 0, 1, 2, 3, …, t and t + 1, t + 2, …, L − 2, L − 1, respectively. Assuming that = , ,…, represents the gray-level probability distribution, the background and object distributions can be expressed as
where = and = . The Tsallis entropy can be formulated as
The objective function for determining the optimal threshold seeks to maximize the information measure between the two classes of gray levels:
3.2.2. The Proposed Cauchy-TB Method
The classical Tsallis entropy is defined under the assumption that the intensity distributions of the object and background classes are independent of each other. For each intensity i, after being classified as object or background, it is represented by a single probability in its corresponding class distribution. This probability is then used in the calculation of Tsallis entropy, as illustrated in Equations (8)–(10).
In classical information theory, entropy measures the level of uncertainty in a system [59]. However, Figure 6a illustrates that the intensity distributions of objects and the background often overlap. This means that pixels classified as part of the background may actually belong to objects, and vice versa. Essentially, the intensity distributions of objects and backgrounds influence each other. As a result, independently calculating the probabilities of pixels belonging to either the object or background, as shown in Equations (8) and (9), is suboptimal. A better approach is to compute these probabilities using the combined intensity distributions over the entire intensity space. Considering that the intensity distributions of background and objects in medical images often contain many outliers, fitting the intensity distribution with a Gaussian distribution may not be suitable.
Figure 6.
(a) The histogram shows two alternating Gaussian distribution curves, with a vertical line indicating a partition at a threshold of t = 50. (b) In the tail (orange) of the distribution, the red points represent outliers, which are typically not handled well by a Gaussian distribution (green line).
Therefore, we propose replacing the Gaussian distribution with a long-tailed distribution, for example, the Cauchy distribution, as shown in Figure 6b. A long-tailed distribution in statistics is typically characterized by a highly imbalanced distribution, where the majority of observations are concentrated in the front (i.e., the short tail) of the distribution, while the tail part (the long tail) contains relatively few but highly significant observations.
The tail of a long-tailed distribution decays more gradually than that of the Gaussian distribution. A defining feature of any long-tailed distribution is that its tail is significantly longer than that of a Gaussian distribution, and the total volume of the tail data may be quite substantial. As a result, outliers in the tail of the distribution can have a significant impact on the overall distribution. This characteristic allows a long-tailed distribution to better accommodate outliers, providing a more robust fit to the intensity of both objects and background.
Long-tailed distributions have been widely utilized in previous studies, with one notable application being the t-SNE algorithm proposed by Hinton [60]. t-SNE employs Student’s t-distribution, which is referred to as the Cauchy distribution when having 1 degree of freedom, to measure the similarity between data points, as opposed to the traditional Gaussian distribution. This choice enables t-SNE to effectively handle rare points or outliers in a long-tailed distribution, thereby preserving the clustering structure of the dataset while appropriately distributing the rare points in the tail. t-SNE performs particularly well in datasets containing a large number of common patterns and a few rare events, making it highly suitable for handling data with long-tailed distributions.
Based on the above observation, we propose a new method that combines Tsallis entropy, Bayesian prior probability, and the long-tailed Cauchy distribution; this proposed method is called Cauchy–Tsallis Bayesian Estimation (Cauchy-TB).
Let and describe the probability density functions of pixels classified as part of objects or the background, with intensity i at threshold t, as given by
where S represents the total set of pixels within the image, while denotes the gray-level intensity of a pixel s belonging to S. The sets and represent the sets of object and background pixels defined by threshold t.
Assume that the object and background pixel distributions follow Cauchy distributions, denoted by C() and C(), respectively, where , , , and are the scale and location parameters for object and background pixels, respectively, formulated as
At threshold t, the prior probability of a pixel being part of the object is , with indicating the probability of belonging to the background. is estimated as follows:
where |X| represents the number of elements in the set X. Therefore, applying Bayes’ rule, we can formulate the posterior probability for a pixel of intensity i being part of the object or background:
where is calculated by
Therefore, the Tsallis entropy expressions for both object and background classes presented in Equations (8) and (9) are reformulated
The information measure function is then updated and expressed as
and the optimal threshold can be estimated using common optimization algorithms.
3.2.3. The Multilevel Thresholding Method
The histograms of real medical images often exhibit complex distributions with more than two distinct peaks, reflecting the diverse nature of tissues and structures in the images. To achieve accurate segmentation in such cases, it is essential to employ advanced methods that can handle multilevel thresholding.
Cauchy-TB can accurately identify one of the valleys in the histogram, segmenting the image into category 1, representing one type of tissue or structure, and a region to be further segmented, containing categories 2 and 3, which represent other types of tissues or structures. Within this region, the method can be applied recursively for binary segmentation to separate categories 2 and 3 as shown in Figure 7.
Figure 7.
(a) The threshold obtained using Cauchy-TB based on the entire histogram. (b) The threshold obtained using Cauchy-TB based on the remaining histogram after removing one category from the original histogram.
By applying this recursive method, it is possible to extend the segmentation to four or more levels, enabling the identification and extraction of multiple regions of interest within the image. This approach enhances the segmentation effectiveness, particularly in complex medical images with diverse tissue types and structures. The pseudocode Algorithm 1 of our algorithm is as follows.
| Algorithm 1 Cauchy-TB for Multi-Thresholding Image Segmentation |
|
4. Experimental Results and Analysis
4.1. Datasets
- BrainWeb: BrainWeb is a well-known benchmark dataset that simulates a brain database and offers phantom images accompanied by ground truth labels [61]. In our experiments, we utilized phantom brain MRI images generated with the following parameters: modality (pulse sequences) = T1, slice thickness (in-plane pixel size is always 1 × 1 mm) = 1 mm, noise (calculated relative to the brightest tissue) = 3%, intensity non-uniformity (“RF”) = 20%. We obtained two sets of data from the dataset for our experiments. The first set consists of 120 slices numbered from 30 to 119, and the second set consists of eight Z-plane-cut brain slices (Z1, Z2, Z5, Z10, Z36, Z72, Z108, and Z144).
- MRBrainS13: MRBrainS13 [62] is another well-recognized benchmark dataset that primarily provides three types of multi-modal MRI brain images for segmenting gray matter, white matter, and cerebrospinal fluid: T1-weighted images, T1-weighted inversion recovery images, and FLAIR images. The sequence we used is a 3D T1-weighted scan registered to T2 FLAIR (voxel size: 0.958 mm × 0.958 mm × 3.0 mm).
4.2. Parameter Selection
The parameter q, which reflects the degree of non-extension in the system, plays a significant role in image segmentation and warrants discussion. Typically, the selection of q depends on the characteristics of the image being segmented. However, there is no explicit relationship between the value of q and specific image categories. When q > 1, it represents stronger interdependence or collective behavior among the system’s components. Consequently, in the following experiments, q is treated as a manually tuned hyperparameter, with a value of 4 assigned for the BrainWeb dataset and 5 for the MRBrainS13 dataset. After experimental validation Figure A1, these values yielded the best results.
4.3. System Environment
We conducted all experiments using Python (v.3.9) on a setup equipped with a standard CPU. The essential libraries installed included opencv-python (v.4.10.0), matplotlib (v.3.8.4), numpy (v.1.23.5), and scipy (v.1.13.1), along with parallel processing libraries such as numba (v.0.60.0) and scikit-learn (v.1.5.1). Additionally, we utilized the SimpleITK (v.2.4.1) library for medical image processing and functools for advanced functional programming.
4.4. Evaluation Metrics
To quantitatively assess the performance of the proposed Cauchy-TB algorithm, we utilized statistical metrics such as sensitivity, specificity, precision, and accuracy to study the relationship between the segmentation outcomes and the ground truth. The Jaccard coefficient (JC) and the Dice similarity coefficient (DSC) are utilized to measure the overlap of the segmented region with ground truth. The formulas for calculating these metrics are as follows:
In the formulas, represents the ground truth. , , , and denote true negative, true positive, false negative, and false positive, respectively. Higher values of , , , and indicate better performance.
We also introduced three new metrics for algorithm performance evaluation. The Peak Signal-to-Noise Ratio (PSNR) is employed to evaluate the quality of reconstructed or compressed images, with higher values indicating better quality. The Structural Similarity Index (SSIM) compares the similarity in structure between two images, ranging from −1 to 1, where 1 indicates perfect similarity. The Feature Similarity Index (FSIM) assesses image similarity, ranging from 0 to 1, where 1 indicates perfect similarity. The original image and the segmented image are used as inputs. The formulas are defined as follows:
where MSE is the Mean Squared Error and represents the maximum pixel intensity of image I.
Let and represent the two input images, where and represent the average and standard deviation of pixel intensities in the images, respectively. denotes the covariance between and , with and being constants used to stabilize the denominator.
represents the overall similarity between two images, and . denotes the phase consistency between images, and represents the full spatial domain of the images.
4.5. Comparative Experiments and Analysis
4.5.1. General Assessment
- (A)
- Binary segmentation
Two coommonly performed binary segmentation methods (the Otsu and Tsallis-BE methods) were selected to be compared with the proposed Cauchy-TB to demonstrate its advantages. We selected 90 slice images numbered 30–119 from the BrainWeb dataset and grouped them into nine groups, with each group containing 10 images in sequential order. Additionally, we selected 15 images from the MRBrainS13 dataset and divided them evenly into three groups.
Table 2 and Table 3 show the comparative experimental results for 13 groups of slices. We present the average results for each group of images. Obviously, Cauchy-TB outperformed all other methods in terms of the metrics JC, DSC, SSIM. On the BrainWeb dataset, our average accuracy, JC, and DSC reached 98.62%, 98.36%, and 98.17%, respectively. Compared to the Tsallis-BE method, our method performed better by 0.3%, 0.4%, and 0.2%, respectively. On the MRBrainS13 dataset, our average accuracy, JC, and DSC reached 91.71%, 88.30%, and 93.69%, respectively. Compared to the Tsallis-BE method, our method performed better by 0.6%, 0.96%, and 0.55%, respectively. In the MRBrainS13-3 group alone, there was a very small difference in accuracy compared to the Tsallis-BE method, with a reduction of only 0.03%. Similar superiority was also reflected in the PSNR, FSIM, and SSIM metrics, where our method showed an average performance improvement across both datasets. Only in the Group BrainWeb-3 and MRBrainS13-2 groups did our PSNR and FSIM scores slightly lag behind those of Tsallis-BE. Overall, across the six proposed metrics, our method demonstrated outstanding overall performance.
Table 2.
Accuracy, JC, and DSC in comparative experiments for binary segmentation.
Table 3.
PSNR, FSIM, and SSIM of comparative experiments for binary segmentation.
Table 4 presents the average runtime of the three methods across the two datasets. The Otsu method was implemented using the existing cv2 library, and due to issues with code development and optimization, its average runtime is relatively short. Both Tsallis-BE and Cauchy-TB are self-implemented methods, and it can be observed that their average runtimes were similar, both within the order of seconds. This runtime is acceptable for the segmentation of a relatively small number of brain MRI images.
Table 4.
Average time performance comparison.
As shown in Figure 8, Cauchy-TB also demonstrated superior performance on the metrics of sensitivity and precision, with average values reaching over 97%, slightly better than the Tsallis-BE method. However, our method lagged slightly behind in specificity, although the results were still satisfactory. The Tsallis-BE method performed well in all three metrics. Otsu’s performance in sensitivity was the most unstable, showing significant fluctuations in values. Overall, our method performed the best, showing significantly improved results in all metrics except specificity.
Figure 8.
The sensitivity, specificity and precision curves of image thresholding results obtained by using the Cauchy-TB, Tsallis-BE, and Otsu method on nine groups from the BrainWeb dataset.
Figure 9 shows a magnified view of the segmentation results of slice 90 of the BrainWeb dataset, compared with the ground truth image. It can be observed that for complex edge areas, both Cauchy-TB and the Tsallis-BE method outperformed the Otsu method. They could clearly and accurately delineate the target region with fewer misclassifications. However, the Tsallis-BE method showed over-segmentation in edge details, where some background pixels were erroneously classified as foreground, leading to differences from the ground truth in the edge contours. Cauchy-TB represented an obvious improvement in this aspect.
Figure 9.
Enlarged images of the segmentation results of slice 90 in BrainWeb with three methods.
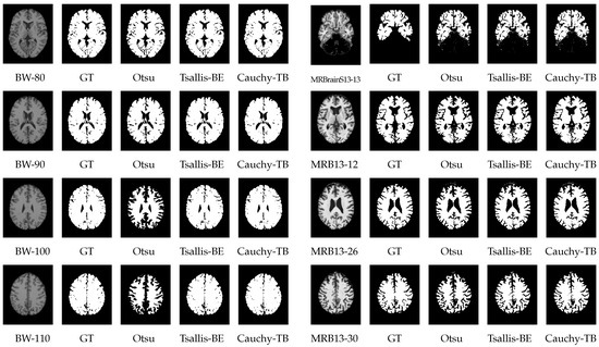
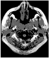
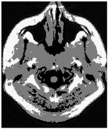
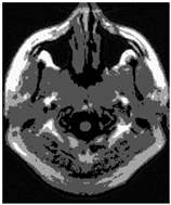
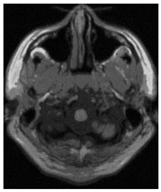
Figure 10 demonstrates the results of image thresholding on some slices taken from the BrainWeb and MRBrainS13 datasets. A comparison revealed that the segmentation achieved by the Otsu method was the worst, showing poor stability in the results. Cauchy-TB and Tsallis-BE were more similar to the ground truth, with the Tsallis-BE method performing well but being slightly inferior to ours in some perceptible details.
Figure 10.
The results of image thresholding by the Cauchy-TB, Otsu, and Tsallis-BE methods. For both the left (BrainWeb) and right (MRBrainS13) groups, the columns from left to right represent the original slice; the ground truth (GT); and the results of Otsu, Cauchy-TB and Tsallis-BE, respectively.
- (B)
- Ternary segmentation
We compared the results of three-class thresholding between the Tsallis-BE and Cauchy-TB methods on nine groups of images from the BrainWeb dataset. Table 5 shows the comparative experimental results, with average results presented for each group of images. Our method outperformed Tsallis-BE significantly on the metrics of JC and DSC for all groups of images except the first group. On the BrainWeb dataset, our method achieved average accuracy, JC, and DSC of 97.09%, 95.08%, and 97.44%, respectively. Compared to the Tsallis-BE method, these metrics were improved by 0.5%, 0.8%, and 0.4%, respectively. The possible reason why Tsallis-BE performed slightly better in the first group of images is that the pixels of each part of the brain in the low-index slices were relatively few, and the fit obtained using the Cauchy distribution is slightly less appropriate than that obtained using the Gaussian distribution.
Table 5.
Results of comparative experiments for ternary segmentation.
4.5.2. Comparison with State-of-the-Art Methods
The performance of Cauchy-TB was evaluated against nine recently proposed methods using various popular optimization algorithms that were selected as standards for comparison in this domain, namely, HHO (Harris Hawks Optimization) [63], LSHADE (Large-Scale Differential Evolution) [64], DE (Differential Evolution) [50], PSO (Particle Swarm Optimization) [65], GWO (Gray Wolf Optimizer) [66], SCA (Sine–Cosine Algorithm) [67], WOA(Whale Optimization Algorithm) [68], ALO (Ant Lion Optimizer) [69], and CSA (Cuckoo Search Algorithm) [70]. All experiments were conducted on a small subset consisting of eight Z-plane-cut brain slices (Z1, Z2, Z5, Z10, Z36, Z72, Z108, and Z144) in BrainWeb.
Table 6 shows the PSNR, SSIM, and FSIM metrics of Cauchy-TB applied to weight images using one, two, and three thresholds for segmentation. Our method achieved excellent results on all three metrics for the eight images, with the highest PSNR reaching 31.63 and the highest FSIM reaching 0.992. Typically, a PSNR value of 30 is considered a good quality level, and an FSIM value of 1 is considered completely similar. Although the SSIM value was slightly smaller, the results were still within an acceptable range.
Table 6.
Segmentation results of Cauchy-TB on a small subset of the BrainWeb database where the number of the image slice indicates the Z-plane of the analyzed image.
The results of a comparative experiment with these 10 algorithms are presented in Table 7. The values obtained with the proposed Cauchy-TB are shown in the last two rows of the table. Considering that all nine standard algorithms have stochasticity, the results in Table 7 reveal a consistent trend across different threshold numbers and all optimization algorithms: the performance of Cauchy-TB surpassed the other algorithms on the metrics of PSNR and FSIM, while its slight disadvantage in SSIM stayed within acceptable limits.
Table 7.
The proposed method is compared with other state-of-the-art metaheuristic methods on the BrainWeb dataset; these values represent the mean on eight brain slices.
For eight brain MRI images, Table 8 demonstrates the segmentation results for two threshold selections (two and three). The corresponding intensity histograms for the original images and two results are shown below, with the threshold positions marked on the histogram.
Table 8.
Segmented images obtained by applying Cauchy-TB with various numbers of thresholds on the BrainWeb dataset.
5. Discussion
Compared to previous binary segmentation methods, our proposed Cauchy-TB demonstrates comprehensive superiority on the metrics of accuracy, JC, and DSC, while performing comparably in sensitivity and specificity. When extended to solve the multilevel image segmentation problem, similar superiority can be observed. Overall, our method exhibits the best performance. We selected eight popular methods in the field as a standard and compared their performance on eight images from the BrainWeb dataset. Our method showed significant improvements on PSNR and FSIM metrics. The advantages of Tsallis entropy mainly lie in its flexibility and adaptability. By adjusting the parameter q, Tsallis entropy can handle more complex, nonlinear images that are significantly affected by noise, providing more accurate segmentation results. The strength of Bayesian posterior probability lies in its ability to address the issue of two distributions becoming isolated during thresholding. By offering a more accurate probability distribution, it enhances the overall segmentation performance. The Cauchy distribution we introduced has better tolerance for outliers, which becomes more pronounced as image noise increases. Additionally, by extending our method to multilevel segmentation tasks based on a recursive approach, we greatly reduce the computational resources and time required.
In the case of multi-class problems with complex tissue structures, as the number of required categories increases, our method may show certain limitations. This is due to the higher uncertainty in estimating parameters when the pixel count for certain categories is low in the ground truth distribution, which could lead to significant estimation errors. To address this issue, non-parametric methods, such as kernel density estimation, can be used to avoid making strong assumptions about the distribution, thereby providing more robust and accurate results in such situations. In practical medical applications, automated brain imaging segmentation tools can significantly reduce the time and effort required by doctors. With automated segmentation, doctors can focus more on analysis and decision-making, rather than spending extensive time manually segmenting images. Although our method does not show a clear advantage in terms of time efficiency, we have achieved improvements in segmentation accuracy. Furthermore, it is evident that there is a limit to the effectiveness of global thresholds for image segmentation. In future research, our focus will be on improving time efficiency and finding local thresholds for regions prone to misclassification.
6. Conclusions
This paper integrates the advantage of entropy-based image thresholding methods with the properties of MRI image intensity probability distributions, proposing a new method for image thresholding based on the Cauchy distribution and Tsallis entropy. We introduce Bayesian posterior probability within the traditional Tsallis entropy framework and use the Cauchy distribution to fit the grayscale distribution. Furthermore, we generalize the method to solve the problem of multilevel thresholding. Comparative experiments on the BrainWeb and MRBrainS13 datasets demonstrate that Cauchy-TB achieves superior performance compared to other existing methods. Future work will include extending the idea to improve the estimation of local optimum thresholds and enhancing time efficiency.
Author Contributions
X.W.: methodology, software, validation, formal analysis, investigation, resources, data curation, writing—original draft preparation, writing—review and editing. Y.Y.: methodology, software, validation, formal analysis, investigation, resources. M.N.: investigation, resources, data curation. G.B.: methodology, writing—review and editing. G.L.: conceptualization, methodology, formal analysis, investigation, writing—original draft preparation, writing—review and editing. All authors have read and agreed to the published version of the manuscript.
Funding
This work is supported in part by the Huangpu Special Program of the Science and Technology Service Network Initiative of the Chinese Academy of Sciences under grant No. STS-HP-202201 and in part by the Fundamental and Applied Fundamental Research Fund of Guangdong Province under grant No. 2023B1515250007.
Institutional Review Board Statement
Ethical review and approval were waived for this study due to reason that both datasets we used are simulated and do not contain any real personal information.
Informed Consent Statement
Not applicable.
Data Availability Statement
[BrainWeb: Simulated Brain Database] [http://www.bic.mni.mcgill.ca/brainweb/ (accessed on 19 May 2024)]; [MR Brain Segmentation Challenge 2013 Data] [https://mrbrains13.isi.uu.nl/ (accessed on 19 May 2024)].
Acknowledgments
The authors would like to thank Sijin Luo and Yuqi Yan for their contributions to the early version of this paper.
Conflicts of Interest
The authors declare no conflicts of interest. The funders had no role in the design of the study; in the collection, analyses, or interpretation of data; in the writing of the manuscript; or in the decision to publish the results.
Abbreviations
| Cauchy-TB | Cauchy–Tsallis Bayesian Estimation Method |
| MHUE | Minimum Homogeneity- and Uncertainty-Based Energy |
| MRI | Magnetic Resonance Imaging |
| GM | Grey Matter |
| t-SNE | t-Distributed Stochastic Neighbor Embedding |
| JC | Jaccard Coefficient |
| DSC | Dice Similarity Coefficient |
| PSNR | Peak Signal-to-Noise Ratio |
| SSIM | Structural Similarity Index |
| FSIM | Feature Similarity Index |
| Tsallis-BE | Tsallis–Bayesian Estimation Method |
| BW | BrainWeb Dataset |
| MRB | MRBrainS13 Dataset |
| GT | Ground Truth |
Appendix A. Justification for the Choice of the Parameter q
Figure A1.
We started with q = 1 and incremented the value by 0.5, traversing up to 8.5, while recording the changes in the ACC, JC, and DSC metrics on the BrainWeb and MRBrainS13 datasets as q varied. It can be observed that the best overall performance occurs at q = 4 for the BrainWeb dataset and q = 5 for the MRBrainS13 dataset. (Left) Performance on the BrainWeb dataset. (Right) Performance on the MRBrainS13 dataset.
References
- Nock, R.; Nielsen, F. Statistical region merging. IEEE Trans. Pattern Anal. Mach. Intell. 2004, 26, 1452–1458. [Google Scholar] [CrossRef]
- Kashyap, R.; Gautam, P. Modified region based segmentation of medical images. In Proceedings of the 2015 International Conference on Communication Networks (ICCN), Gwalior, India, 19–21 November 2015; pp. 209–216. [Google Scholar]
- Canny, J. A computational approach to edge detection. IEEE Trans. Pattern Anal. Mach. Intell. 1986, 6, 679–698. [Google Scholar] [CrossRef]
- Gupta, D.; Anand, R.S. A hybrid edge-based segmentation approach for ultrasound medical images. Biomed. Signal Process. Control 2017, 31, 116–126. [Google Scholar] [CrossRef]
- Dhanachandra, N.; Manglem, K.; Chanu, Y.J. Image segmentation using K-means clustering algorithm and subtractive clustering algorithm. Procedia Comput. Sci. 2015, 54, 764–771. [Google Scholar] [CrossRef]
- Abdel-Maksoud, E.; Elmogy, M.; Al-Awadi, R. Brain tumor segmentation based on a hybrid clustering technique. Egypt. Inform. J. 2015, 16, 71–81. [Google Scholar] [CrossRef]
- Boykov, Y.; Kolmogorov, V. An experimental comparison of min-cut/max-flow algorithms for energy minimization in vision. IEEE Trans. Pattern Anal. Mach. Intell. 2004, 26, 1124–1137. [Google Scholar] [CrossRef] [PubMed]
- Chen, X.; Pan, L. A survey of graph cuts/graph search based medical image segmentation. IEEE Rev. Biomed. Eng. 2018, 11, 112–124. [Google Scholar] [CrossRef]
- Vincent, L.; Soille, P. Watersheds in digital spaces: An efficient algorithm based on immersion simulations. IEEE Trans. Pattern Anal. Mach. Intell. 1991, 13, 583–598. [Google Scholar] [CrossRef]
- Nandi, D.; Ashour, A.S.; Samanta, S.; Chakraborty, S.; Salem, M.A.; Dey, N. Principal component analysis in medical image processing: A study. Int. J. Image Min. 2015, 1, 65–86. [Google Scholar] [CrossRef]
- Rathi, V.P.; Palani, S. Brain tumor MRI image classification with feature selection and extraction using linear discriminant analysis. arXiv 2012, arXiv:1208.2128. [Google Scholar]
- Nanni, L.; Lumini, A.; Brahnam, S. Local binary patterns variants as texture descriptors for medical image analysis. Artif. Intell. Med. 2010, 49, 117–125. [Google Scholar] [CrossRef]
- Abbasi, S.; Tajeripour, F. Detection of brain tumor in 3D MRI images using local binary patterns and histogram orientation gradient. Neurocomputing 2017, 219, 526–535. [Google Scholar] [CrossRef]
- Ramamurthy, B.; Chandran, K. Content based medical image retrieval with texture content using gray level co-occurrence matrix and k-means clustering algorithms. J. Comput. Sci. 2012, 8, 1070. [Google Scholar]
- Vasilache, S.; Ward, K.; Cockrell, C.; Ha, J.; Najarian, K. Unified wavelet and gaussian filtering for segmentation of CT images; application in segmentation of bone in pelvic CT images. BMC Med. Inform. Decis. Mak. 2009, 9, S8. [Google Scholar] [CrossRef]
- Ayachi, R.; Ben Amor, N. Brain tumor segmentation using support vector machines. In Proceedings of the European Conference on Symbolic and Quantitative Approaches to Reasoning and Uncertainty (ECSQARU), Verona, Italy, 1–3 July 2009; pp. 736–747. [Google Scholar]
- Kayalibay, B.; Jensen, G.; van der Smagt, P. CNN-based segmentation of medical imaging data. arXiv 2017, arXiv:1701.03056. [Google Scholar]
- Ronneberger, O.; Fischer, P.; Brox, T. U-net: Convolutional networks for biomedical image segmentation. In Proceedings of the Medical Image Computing and Computer-Assisted Intervention–MICCAI 2015: 18th International Conference, Munich, Germany, 5–9 October 2015, Proceedings, Part III 18; Springer: Berlin/Heidelberg, Germany, 2015; pp. 234–241. [Google Scholar]
- Qian, Z.; Li, K.; Lai, M.; Chang, E.I.C.; Wei, B.; Fan, Y.; Xu, Y. Transformer based multiple instance learning for weakly supervised histopathology image segmentation. In Proceedings of the International Conference on Medical Image Computing and Computer-Assisted Intervention (MICCAI), Singapore, 18–22 September 2022; pp. 160–170. [Google Scholar]
- Kirillov, A.; Mintun, E.; Ravi, N.; Mao, H.; Rolland, C.; Gustafson, L.; Xiao, T.; Whitehead, S.; Berg, A.C.; Lo, W.; et al. Segment anything. In Proceedings of the IEEE/CVF International Conference on Computer Vision(ICCV), Paris, France, 2–3 October 2023; pp. 4015–4026. [Google Scholar]
- Kapur, J.N.; Sahoo, P.K.; Wong, A.K. A new method for gray-level picture thresholding using the entropy of the histogram. Comput. Vis. Graph. Image Process. 1985, 29, 273–285. [Google Scholar] [CrossRef]
- Otsu, N. A threshold selection method from gray-level histograms. Automatica 1975, 11, 23–27. [Google Scholar] [CrossRef]
- Saha, P.; Udupa, J. Optimum image thresholding via class uncertainty and region homogeneity. IEEE Trans. Pattern Anal. Mach. Intell. 2001, 23, 689–706. [Google Scholar] [CrossRef]
- Liu, Y.; Liang, G.; Saha, P.K. A new multi-object image thresholding method based on correlation between object class uncertainty and intensity gradient. Med. Phys. 2012, 39, 514–532. [Google Scholar] [CrossRef]
- De Albuquerque, M.P.; Esquef, I.A.; Mello, A.G. Image thresholding using Tsallis entropy. Pattern Recognit. Lett. 2004, 25, 1059–1065. [Google Scholar] [CrossRef]
- Sarkar, S.; Das, S. Multilevel image thresholding based on 2D histogram and maximum Tsallis entropy—A differential evolution approach. IEEE Trans. Image Process. 2013, 22, 4788–4797. [Google Scholar] [CrossRef] [PubMed]
- Shubham, S.; Bhandari, A.K. A generalized Masi entropy based efficient multilevel thresholding method for color image segmentation. Multimed. Tools Appl. 2019, 78, 17197–17238. [Google Scholar] [CrossRef]
- Abutaleb, A.S. Automatic thresholding of gray-level pictures using two-dimensional entropy. Comput. Vis. Graph. Image Process. 1989, 47, 22–32. [Google Scholar] [CrossRef]
- Bindu, C.H.; Prasad, K.S. An efficient medical image segmentation using conventional OTSU method. Int. J. Adv. Sci. Technol. 2012, 38, 67–74. [Google Scholar]
- Yuan, X.c.; Wu, L.s.; Peng, Q. An improved Otsu method using the weighted object variance for defect detection. Appl. Surf. Sci. 2015, 349, 472–484. [Google Scholar] [CrossRef]
- Feng, Y.; Zhao, H.; Li, X.; Zhang, X.; Li, H. A multi-scale 3D Otsu thresholding algorithm for medical image segmentation. Digit. Signal Process. 2017, 60, 186–199. [Google Scholar] [CrossRef]
- Li, A.; Li, Y.; Wang, T.; Niu, W. Medical image segmentation based on maximum entropy multi-threshold segmentation optimized by improved cuckoo search algorithm. In Proceedings of the 2015 8th International Congress on Image and Signal Processing (CISP), Shenyang, China, 14–16 October 2015; pp. 470–475. [Google Scholar]
- Liu, D.; Jiang, Z.; Feng, H. A novel fuzzy classification entropy approach to image thresholding. Pattern Recognit. Lett. 2006, 27, 1968–1975. [Google Scholar] [CrossRef]
- Zou, Y.; Zhang, J.; Zhou, H.; Sun, S.; Xia, P. Tsallis Entropy Thresholding Based on Multi-scale and Multi-direction Gabor Transform. J. Electron. Inf. Technol. 2023, 45, 707–717. [Google Scholar]
- Prabaharan, L.; Raghunathan, A. Segmentation of human spermatozoa using improved Havrda-Chavrat entropy-based thresholding method. J. Intell. Fuzzy Syst. 2022, 43, 5279–5292. [Google Scholar] [CrossRef]
- Naik, M.K.; Panda, R.; Samantaray, L.; Abraham, A. A novel threshold score based multiclass segmentation technique for brain magnetic resonance images using adaptive opposition slime mold algorithm. Int. J. Imaging Syst. Technol. 2022, 32, 1397–1413. [Google Scholar] [CrossRef]
- Li, H.; Zheng, G.; Sun, K.; Jiang, Z.; Li, Y.; Jia, H. A logistic chaotic barnacles mating optimizer with Masi entropy for color image multilevel thresholding segmentation. IEEE Access 2020, 8, 213130–213153. [Google Scholar] [CrossRef]
- Venugopal, V.; Joseph, J.; Das, M.V.; Nath, M.K. DTP-Net: A convolutional neural network model to predict threshold for localizing the lesions on dermatological macro-images. Comput. Biol. Med. 2022, 148, 105852. [Google Scholar] [CrossRef] [PubMed]
- Johnson, L.; Pearlman, J.; Miller, C.; Young, T.I.; Thulborn, K.R. MR quantification of cerebral ventricular volume using a semiautomated algorithm. Am. J. Neuroradiol. 1993, 14, 1373–1378. [Google Scholar]
- Yadav, A.K.; Roy, R.; Somwanshi, D. Thresholding and morphological based segmentation techniques for medical images. In Proceedings of the 2016 International Conference on Recent Advances and Innovations in Engineering (ICRAIE), Jaipur, India, 23–25 December 2016; pp. 1–5. [Google Scholar]
- Kalyani, R.; Sathya, P.D.; Sakthivel, V.P. Multilevel thresholding for medical image segmentation using teaching-learning based optimization algorithm. Int. J. Intell. Eng. Syst. 2021, 14, 11–21. [Google Scholar]
- Ghorbani, N.; Babaei, E. Exchange market algorithm. Appl. Soft Comput. 2014, 19, 177–187. [Google Scholar] [CrossRef]
- Nyo, M.T.; Mebarek-Oudina, F.; Hlaing, S.S.; Khan, N.A. Otsu’s thresholding technique for MRI image brain tumor segmentation. Multimed. Tools Appl. 2022, 81, 43837–43849. [Google Scholar] [CrossRef]
- Ibrahim, N.A.; Mohamed, E.R.; Hamza, H.M.; Alsahafi, Y.S.; Hosny, K.M. Masked face image segmentation using a multilevel threshold with a hybrid fitness function. Intell. Syst. Appl. 2024, 24, 200445. [Google Scholar] [CrossRef]
- Sowmiya, R. Hybrid leader corona virus herd optimizer with multilevel thresholding techniques for foreground and background image segmentation. Comput. Electr. Eng. 2024, 120, 109569. [Google Scholar]
- Niblack, W. An Introduction to Digital Image Processing; Strandberg Publishing Company: Copenhagen, Denmark, 1985. [Google Scholar]
- Sauvola, J.; Pietikäinen, M. Adaptive document image binarization. Pattern Recognit. 2000, 33, 225–236. [Google Scholar] [CrossRef]
- Hemachander, S.; Verma, A.; Arora, S.; Panigrahi, P.K. Locally adaptive block thresholding method with continuity constraint. Pattern Recognit. Lett. 2007, 28, 119–124. [Google Scholar] [CrossRef]
- Chaira, T. Intuitionistic fuzzy segmentation of medical images. IEEE Trans. Biomed. Eng. 2010, 57, 1430–1436. [Google Scholar] [CrossRef] [PubMed]
- Tarkhaneh, O.; Shen, H. An adaptive differential evolution algorithm to optimal multi-level thresholding for MRI brain image segmentation. Expert Syst. Appl. 2019, 138, 112820. [Google Scholar] [CrossRef]
- Khalid, S.; Zhu, H.; Yang, T. Improved adaptive threshold segmentation of ultrasound medical images. In Proceedings of the 2021 3rd International Conference on Intelligent Medicine and Image Processing (IMIP), Tianjin, China, 23–26 April 2021; pp. 1–6. [Google Scholar]
- Ariyanfar, A.; Klein, K.; von Rechenberg, B.; Darwiche, S.; Dailey, H.L. Adaptive image segmentation reveals substantial cortical bone remodelling during early fracture repair. Comput. Methods Biomech. Biomed. Eng. Imaging Vis. 2024, 12, 2345165. [Google Scholar] [CrossRef] [PubMed]
- Li, J.; Gui, X. Fully Automatic Grayscale Image Segmentation: Dynamic Thresholding for Background Adaptation, Improved Image Center Point Selection, and Noise-Resilient Start/End Point Determination. Appl. Sci. 2024, 14, 9303. [Google Scholar] [CrossRef]
- Gharehchopogh, F.S.; Ibrikci, T. An improved African vultures optimization algorithm using different fitness functions for multi-level thresholding image segmentation. Multimed. Tools Appl. 2024, 83, 16929–16975. [Google Scholar] [CrossRef]
- Qiao, L.; Liu, K.; Xue, Y.; Tang, W.; Salehnia, T. A multi-level thresholding image segmentation method using hybrid Arithmetic Optimization and Harris Hawks Optimizer algorithms. Expert Syst. Appl. 2024, 241, 122316. [Google Scholar] [CrossRef]
- Li, Z.; Najarian, K. Biomedical Image Segmentation Based on Shape Stability. In Proceedings of the 2007 IEEE International Conference on Image Processing, San Antonio, TX, USA, 16 September–19 October 2007; Volume 6, pp. VI-281–VI-284. [Google Scholar]
- Serna, A.; Marcotegui, B.; Decenciere, E.; Baldeweck, T.; Pena, A.M.; Brizion, S. Segmentation of elongated objects using attribute profiles and area stability: Application to melanocyte segmentation in engineered skin. Pattern Recognit. Lett. 2014, 47, 172–182. [Google Scholar] [CrossRef]
- Luo, S.; Luo, Z.; Zhan, Z.; Liang, G. Optimum Thresholding for Medical Brain Images Based on Tsallis Entropy and Bayesian Estimation. In Proceedings of the 2022 IEEE 35th International Symposium on Computer-Based Medical Systems (CBMS), Shenzhen, China, 21–22 July 2022; pp. 360–365. [Google Scholar]
- Shannon, C.E. A mathematical theory of communication. Bell Syst. Tech. J. 1948, 27, 379–423. [Google Scholar] [CrossRef]
- Van der Maaten, L.; Hinton, G. Visualizing data using t-SNE. J. Mach. Learn. Res. 2008, 9, 11. [Google Scholar]
- Cocosco, C.A.; Kollokian, V.; Remi, K.; Pike, G.; Evans, A. BrainWeb: Online Interface to a 3D MRI Simulated Brain Database. NeuroImage 1997, 5, 425. [Google Scholar]
- Mendrik, A.; Vincken, K.; Kuijf, H.; Breeuwer, M.; Bouvy, W.H.; Bresser, J.D.; Alansary, A.; de Bruijne, M.; Carass, A.; El-Baz, A.; et al. MRBrainS Challenge: Online Evaluation Framework for Brain Image Segmentation in 3T MRI Scans. Comput. Intell. Neurosci. 2015, 2015, 813696. [Google Scholar] [CrossRef]
- Bandyopadhyay, R.; Kundu, R.; Oliva, D.; Sarka, R. Segmentation of brain MRI using an altruistic Harris Hawks’ Optimization algorithm. Knowl.-Based Syst. 2021, 232, 107468. [Google Scholar] [CrossRef]
- Aranguren, I.; Valdivia, A.; Morales-Castañeda, B.; Oliva, D.; Elaziz, M.A.; Perez-Cisneros, M. Improving the segmentation of magnetic resonance brain images using the LSHADE optimization algorithm. Biomed. Signal Process. Control 2021, 64, 102259. [Google Scholar] [CrossRef]
- Mishra, D.; Bose, I.; De, U.C.; Das, M. Medical image thresholding using particle swarm optimization. In Proceedings of the Intelligent Computing, Communication and Devices: Proceedings of ICCD 2014, Seoul, Republic of Korea, 19–22 October 2014; Volume 1, pp. 379–383. [Google Scholar]
- Mirjalili, S.; Mirjalili, S.M.; Lewis, A. Grey wolf optimizer. Adv. Eng. Softw. 2014, 69, 46–61. [Google Scholar] [CrossRef]
- Erukala Mahender, D.C.R.B.; Kumar, K.S. Multi-level thresholding for image segmentation on medical images using multi otsu and sine cosine optimization algorithm. Ann. Rom. Soc. Cell Biol. 2021, 25, 12305–12316. [Google Scholar]
- Anitha, J.; Pandian, S.I.A.; Agnes, S.A. An efficient multilevel color image thresholding based on modified whale optimization algorithm. Expert Syst. Appl. 2021, 178, 115003. [Google Scholar] [CrossRef]
- Wang, S.; Sun, K.; Zhang, W.; Jia, H. Multilevel thresholding using a modified ant lion optimizer with opposition-based learning for color image segmentation. Math. Biosci. Eng. 2021, 18, 3092–3143. [Google Scholar] [CrossRef] [PubMed]
- WangNo, N.; Chiewchanwattana, S.; Sunat, K. An efficient adaptive thresholding function optimized by a cuckoo search algorithm for a despeckling filter of medical ultrasound images. J. Ambient. Intell. Humaniz. Comput. 2023, 14, 15429–15454. [Google Scholar] [CrossRef]
Disclaimer/Publisher’s Note: The statements, opinions and data contained in all publications are solely those of the individual author(s) and contributor(s) and not of MDPI and/or the editor(s). MDPI and/or the editor(s) disclaim responsibility for any injury to people or property resulting from any ideas, methods, instructions or products referred to in the content. |
© 2025 by the authors. Licensee MDPI, Basel, Switzerland. This article is an open access article distributed under the terms and conditions of the Creative Commons Attribution (CC BY) license (https://creativecommons.org/licenses/by/4.0/).















































