Next Article in Journal
Optimum Geometries for Wireless Power Transfer Between an Oblong Coil and a Rectangular Coil
Previous Article in Journal
The Hydrodynamic Simulation of Karst Water Under Deep Coal Mining and Fault Conditions: A Case Study of the Zhuxianzhuang Mine in Northern Anhui
 
 
Font Type:
Arial Georgia Verdana
Font Size:
Aa Aa Aa
Line Spacing:
Column Width:
Background:
Article

DRDA-Net: Deep Residual Dual-Attention Network with Multi-Scale Approach for Enhancing Liver and Tumor Segmentation from CT Images

1
School of Automation, Central South University, Changsha 410083, China
2
Department of Electrical and Electronic Engineering, Omdurman Islamic University, Omdurman 14415, Sudan
3
Electrical Engineering Department, Faculty of Engineering, Al-Zaiem Al-Azhari University, Khartoum North 13311, Sudan
4
Research and Training Management & Information Technology Division, Guangdong Provincial Center for Disease Control and Prevention, Guangzhou 511430, China
*
Authors to whom correspondence should be addressed.
Appl. Sci. 2025, 15(5), 2311; https://doi.org/10.3390/app15052311
Submission received: 11 January 2025 / Revised: 12 February 2025 / Accepted: 19 February 2025 / Published: 21 February 2025

Abstract

Liver cancer is a major global health challenge, significantly contributing to mortality rates. The accurate segmentation of liver and tumors from clinical CT images plays a crucial role in selecting therapeutic strategies for liver disease and treatment monitoring but remains challenging due to liver shape variability, proximity to other organs, low contrast between tumors and healthy tissues, and unclear lesion boundaries. To address these challenges, we propose the Deep Residual Dual-Attention Network (DRDA-Net), a novel model for end-to-end liver and tumor segmentation. DRDA-Net integrates a Residual UNet architecture with dual-attention mechanisms, multi-scale tile and patch extraction, and an Ensemble method. The dual-attention mechanisms enhance focus on key regions, addressing variations in size, shape, and intensity, while the multi-scale approach captures fine details and broader contexts. Additionally, we introduce a unique pre-processing pipeline employing a two-channel denoising technique using convolutional neural networks (CNNs) and stationary wavelet transforms (SWTs) to reduce noise while preserving structural details. Evaluated on the 3DIRCADb dataset, DRDA-Net achieved Dice scores of 97.03% and 75.4% for liver and tumor segmentation, respectively, outperforming state-of-the-art methods. These results demonstrate the model’s effectiveness in overcoming segmentation challenges and highlight its potential to improve liver cancer diagnostics and treatment planning.

1. Introduction

Liver cancer caused 830,200 deaths globally in 2020, ranking among the top three causes of cancer mortality in 46 countries, and is projected to increase by more than 55% by 2040, highlighting its significant global health threat [1]. One of the most common types of malignant liver tumors is hepatocellular carcinoma, the leading cause of liver cancer-related deaths. These tumors often appear as irregular nodules with hard surfaces and uneven edges, providing essential information for medical diagnosis and treatment planning [2]. Medical professionals widely use radiological imaging techniques such as CT, MRI, and ultrasound to detect liver abnormalities and guide therapeutic decisions. Among these methods, computed tomography (CT) is preferred due to its higher spatial resolution, rapid acquisition process, wide availability, and durability, making it the primary imaging modality for liver analysis [3]. Segmenting the liver and liver tumors from CT images accurately is crucial for therapeutic applications. However, the variability in tumor size, shape, and location makes the accurate, semi-automatic segmentation of hepatic tumors a highly challenging task [4]. Computer-aided image interpretation powered by artificial intelligence offers greater objectivity, speed, and accuracy compared to human analysis [5,6]. Manual segmentation methods remain widely used by clinicians; however, they are time-consuming and susceptible to errors due to human interpretation and differences in radiologists’ expertise. This highlights the urgent need for automated and highly efficient segmentation techniques [7].
Extensive research has led to the development of various machine learning algorithms for liver and tumor segmentation, which can be broadly classified into traditional and deep learning-based approaches [8]. Traditional methods include region-growing [9,10], thresholding [11], active contour [12,13], and graph cutting [14,15]. However, these methods have certain limitations. For instance, the region-growing model requires the human selection of an initial growth point, which can lead to uneven pixel distribution and over-segmentation. Additionally, traditional methods rely on manually designed features, often limited in representation capability and heavily influenced by prior knowledge. Methods like thresholding struggle with blurry lesions, resulting in low segmentation efficiency. Consequently, traditional approaches exhibit low accuracy and perform poorly on irregular targets, such as liver tumors.
In recent years, deep learning-based segmentation methods, particularly those utilizing deep neural networks, have emerged as dominant approaches in medical image analysis. However, these approaches depend on accurate pixel-wise annotation, which is difficult to acquire due to the high cost of annotation and the need for deep expertise [16]. Accurate tumor segmentation is crucial for generating volume-based quantitative data, such as textural features essential for hepatic tumor classification, treatment response evaluation, and patient survival prediction [17]. Despite the benefits of automatic liver and tumor segmentation methods in delivering consistent and objective outcomes, their practical implementation remains hindered by many challenges. One major issue is the low-intensity contrast between the liver and surrounding organs, such as the lungs, pancreas, or stomach, which complicates accurate segmentation [18]. Additionally, contrast injection protocols, commonly used by radiologists to enhance tumor visibility, often introduce noise and blur liver boundaries, further complicating the process. Also, the segmentation of the tumor is more challenging, given that the number, location, size, and shape of liver tumors differ considerably between patients [19]. Moreover, the indistinct boundaries of tumors and the poor contrast between tumors and surrounding tissues present additional hurdles for computer-assisted segmentation methods [20].
To confront the above challenges, we propose DRDA-Net, a novel framework that integrates deep residual learning and dual-attention mechanisms to extract both local and global contextual features. The multi-scale approach of DRDA-Net enables the accurate modeling of the complex interrelations and distinctions between the liver, adjacent organs, and tumor lesions, leading to better accuracy and robustness in the segmentation process.

2. Related Works

This section reviews previous liver and tumor segmentation work from abdominal CT images, identifying major research gaps. Several studies have proposed diverse deep-learning models, achieving promising results using UNet and its variations, fully convolutional networks, attention mechanisms, graph-based techniques, and generative adversarial networks.
The authors in [21] introduced the fully convolutional neural network (FCN), revolutionizing image segmentation by enabling end-to-end pixel-level output. Building on this approach, Ronneberger et al. [22] developed the UNet architecture, which incorporates an encoder–decoder structure, a U-shaped network, and skip connections for improved feature fusion. Several enhancements to the UNet architecture have since been made. Sabir et al. [23] developed an automated liver and tumor segmentation system using ResUNet on CT scans, combining UNet with residual connections and pre-processing techniques to enhance feature extraction. Schlemper et al. [24] introduced attention UNet, incorporating a spatial attention mechanism to focus on regions of interest. Zhou et al. [25] redesigned UNet with skip connections, creating UNet++, a multi-scale network with dense connections at the exact resolution, to address the semantic gap in feature fusion. Li et al. [26] used UNet++ for liver and tumor segmentation in CT images, improving accuracy with deep supervision and hybrid loss functions. Huang et al. [27] further enhanced UNet++ with full-scale skip connections and deep supervision, resulting in UNet3+, which improves accuracy and reduces the number of parameters. However, the complexity of these networks, with their numerous skip connections and deep supervision, may lead to overfitting.
Chen et al. [28] proposed DRAUNet, incorporating deep residual blocks and a dual-attention module to enhance feature representation and correlation modeling. Other notable approaches include PADLLS [29], a cascaded method combining V-net and H-DenseUNet for accurate liver segmentation on SLIVER07 and 3DIRCADb datasets. ResCEAttUNet [30] integrates Attention UNet, a context encoder, and a residual block with a hybrid loss function for liver and tumor segmentation. A cascaded classifier framework [31] based on deep convolutional neural networks formulates segmentation as a classification problem. The study in [32] investigated the impact of various MRI images on hepatocellular carcinoma segmentation using data augmentation, a random sampling technique, and a deep fusion network. Tumor Attention Networks (TA-Nets) [33] were introduced for liver tumor segmentation, integrating multi-functional modules and tumor attention layers. Finally, Residual Multi-Scale Attention UNet (RMAU-Net) [34] incorporates Res-SE-Block and a Multi-scale Attention Block for precise liver and tumor segmentation. In [35], Residual-Atrous UNet (RA-Net) was proposed for liver tumor segmentation, incorporating an Atrous Convolution Block to address tumor heterogeneity and the Mish Activation Function for improved learning. The framework in [36] uses UNet, Atrous Spatial Pyramid Pooling (ASPP), and SE block techniques for liver CT segmentation.
Jin et al. [37] proposed RA-UNet, a hybrid deep attention-aware network for 3D liver and tumor segmentation from CT scans. RA-UNet improves decoder performance by utilizing a deep residual attention mechanism within a 3D UNet model, though it is computationally demanding and memory-intensive. Kushnure and Talbar [38] presented MS-UNet, a multi-scale UNet with feature recalibration for 2D liver and tumor segmentation. Incorporating Res2Net and SENet modules, this method captures multi-scale features effectively but at a high computational cost. Xie et al. [39] developed DAR-net, a Dynamic Adaptive Residual Network for 2D liver segmentation from CT images. The network enhances performance using interpolation-based pooling, skip connections, and conditional random fields. However, the adaptive mechanisms add complexity and require extensive tuning. Kushnure and Talbar [40] proposed M2UNet++, an enhanced multi-scale UNet++ architecture specifically designed for 2D liver segmentation. By incorporating SENet (Squeeze-and-Excitation Network) into the dense skip connections, the model improves feature refinement. However, this addition also increases the overall complexity and extends the architecture training time.
The above studies show different methods used in medical imaging for liver and tumor segmentation. Each approach contributes to improved accuracy. However, many of these methods still fail to accurately segment the exact outer boundaries of the tumor, which remains a significant challenge. The proposed method to solve these issues is introduced in the next section.

2.1. Research Gap

The reliance on 2D image analysis due to computational constraints results in the loss of valuable 3D spatial information from CT scans, potentially limiting tumor detection accuracy. Improved feature extraction enhances better representation and, consequently, more accurate segmentation, particularly for small tumor areas and their borders. Enhancing the feature extraction process remains an exploration step.

2.2. Research Contribution

This paper presents significant contributions to liver and tumor segmentation to address the challenges mentioned above and advance medical image analysis. The key contributions are as follows:
  • A novel Residual UNet architecture with a dual-attention mechanism to extract prominent features and improve segmentation accuracy.
  • A unique data pre-processing method, including a two-channel denoising technique using convolutional neural networks with original and stationary wavelet transformed (SWT) images.
  • Patch-wise and tile-wise dual-attention strategies are embedded in the architecture, extracting relevant features from the region of interest to enhance the model’s liver and tumor segmentation capability.
Extensive experimental analysis demonstrates the efficacy of the proposed methodology, evaluated through various segmentation performance metrics.

3. Materials and Methods

3.1. Preprocessing

The pre-processing stage is crucial for improving image quality during network training. This stage involves several steps designed to enhance image quality and feature extraction for the segmentation task. First, windowing is applied within a specified Hounsfield Unit (HU) range of −200 to 200. This technique eliminates irrelevant tissues by focusing on the HU values typically associated with liver tissue. Furthermore, voxel values are normalized by scaling them from −1 to 1, enhancing the network’s training. Moreover, data augmentation techniques, including random flips and rotations, enhance the dataset size. The raw image provides intricate spatial information, whereas the SWT-processed image presents a multi-resolution viewpoint, as illustrated in Figure 1.
The lightweight CNN model enhances liver images through five layers. The first two layers, each with 32 filters, capture basic details such as edges and textures, which help improve the overall structure and appearance of the liver in the image. The middle two layers, with 64 filters, refine these details, making the textures and shapes clearer and more defined. Finally, the last layer, with 128 filters, sharpens finer details, ensuring that the enhanced image clearly shows the liver and tumor’s important features and boundaries. This step-by-step enhancement improves the quality of the liver image. The CNN model is represented in Figure 2.
A second pre-processing method is applied to the liver area to remove noise. This method incorporates a two-channel denoising approach using convolutional neural networks (CNNs) with the original and stationary wavelet transformed (SWT) images, which is well suited for noise removal and enhancement. This paper presents an image-denoising approach integrating a CNN with raw images and SWT representations. The input image is fed into the lightweight CNN to obtain a denoised image. The CNN preserves fine and sharp details in the time domain and retains spatial details free of noise. The same input image is then processed in the frequency domain using the same network, where the noise is removed. Finally, both results are combined to produce an image with fine details without noise distortion. Therefore, the method can enhance the image quality by considering noise information in spatial and frequency domains.

3.2. Proposed Method

As illustrated in Figure 3, the proposed architecture is based on the UNet model, known for its effectiveness in medical image segmentation tasks. We enhance the segmentation performance for liver and tumor images by incorporating residual connections and a dual- attention mechanism into the UNet architecture. Adding residual connections in both the encoder and between the encoder and decoder addresses the vanishing gradient problem. This is achieved by allowing the model to skip connections in each encoder section and the RDAM block, promoting smoother gradient flow and improving convergence during training. For the attention mechanism, our approach introduces a novel dual-attention mechanism that focuses on critical areas within the feature map, enabling the model to prioritize relevant information for segmentation. The attention process operates over multiple input scales. It begins by converting input feature maps into patches and tiles, creating a structured representation. Attention functions are applied independently to each channel, enabling the model to assign weights to spatial locations and channels based on their importance. The model employs a two-stage attention strategy: the first stage feeds feature map information into extra layers, while the second directly processes the feature maps. This ensures comprehensive attention across all relevant regions. Finally, the attention weights from both channels are fused, creating a consolidated representation that captures the most crucial features. Additionally, the residual connection in the RDAM block further ensures smooth gradient flow during the dual-attention process. This combination of residual connections and dual-attention mechanisms addresses the challenges of missing pixels in the outer regions of the liver and border pixel misclassification by efficiently extracting the features, even in small regions. Residual connections promote efficient learning through improved gradient flow, while the dual-attention mechanism selectively focuses on salient features, enhancing the model’s accuracy in identifying liver areas. These elements collectively improve the segmentation process.

3.2.1. Residual Connected UNet

The standard UNet architecture utilizes an encoder–decoder structure. The encoder captures high-level features through successive convolutional layers and max pooling, providing a condensed input representation. The bottleneck layer bridges the encoder and decoder, capturing essential features. The decoder then uses up-sampling and convolutional layers to reconstruct the output, incorporating skip connections to retain fine-grained details. The final 1 × 1 convolutional layer maps the feature channels to the desired output, typically used for generating segmentation masks in medical imaging tasks. Figure 4 displays the base UNet model as referenced in [22].
Incorporating residual connections [41] within the UNet model, both inside the encoder and between the encoder and decoder (i.e., skipping the RDAM block), addresses the vanishing gradient problem. The architecture of the Residual UNet ensures smoother gradient flow and preserves essential details, making it a robust foundation for further enhancements with attention mechanisms.
The following equation mathematically expresses the residual connection:
R ( x ) = F ( x ) + x
Figure 5 illustrates the application of residual connections within the encoder and between the encoder and decoder at the attention mechanism stage of the proposed Residual UNet architecture. These residual connections ensure that the model can learn even complex features from liver and tumor images.

3.2.2. Proposed Residual Dual-Attention Mechanism

The core idea of the proposed dual-attention mechanism is to apply two types of attention to the same feature map, achieving a more comprehensive representation. Instead of relying on one kind of attention, the feature map is processed in parallel: one path employs layered attention, processing the feature map through multiple layers, while the other path applies direct attention without additional layers. The dual-attention mechanism aims to extract the most relevant features by leveraging layered and direct attention. This mechanism balances potential under- or over-attention by combining these two sets of attention weights, creating a more stable and robust feature representation. This fusion process enhances the model’s ability to accurately segment tumors in liver CT images by ensuring that attention is neither too sparse nor too concentrated.
The dual-attention mechanism is applied to tiles and patches of the feature maps at different scales. Each tile and patch undergo layered and direct attention, fusing the resulting weights. This ensures that attention is effectively distributed across various regions and scales, improving overall segmentation accuracy. The model benefits from this balance of layered and direct attention, leading to robust and accurate feature representations for tumors in liver CT images.
To identify small segmentation areas accurately, the model divides images into patches and tiles. In the patch-based mode, the mechanism performs local-level feature extraction on finer-grained details in different image regions. On the other hand, the tile-based mode operates in the middle level, extracting higher-level information covering many patches. Figure 6 illustrates the integration of local details and global context-based implications of the hierarchical feature extraction approach. It takes the outputs from the patch-based and tile-based mechanisms and combines and feeds them to the decoder for further processing. For instance, the decoder uses the tile-derived features and the broader context and leverages the detailed local analysis from patch-derived features. In addition, the original features are incorporated to provide a global perspective.
To reduce the impact of vanishing gradients, a skip connection between the encoder and decoder is used within the RDAM block. Stabilizing the attention components with this connection also increases the feature extraction process, which ultimately improves the segmentation accuracy. The model comprehensively understands the input image by combining local and global information for precise pixel-level classification. The model then uses a SoftMax classifier to perform a proper classification. The refined features from attention mechanisms are used to assign probabilities to each pixel by this classifier to differentiate tumor and non-tumor pixels with high fidelity.
The working method of the residual dual-attention mechanism is as follows:
  • Separation into Different Scales
    The residual dual-attention mechanism starts by segmenting the input feature map into distinct and non-overlapping scales. This allows the model to capture information at different levels of granularity, enhancing its ability to identify patterns and features within the data.
  • ReLU Activation and Batch Normalization
    After the separation, Rectified Linear Unit (ReLU) activation and Batch Normalization are applied. ReLU introduces non-linearity to the model, enabling it to learn complex data relationships. Batch Normalization helps stabilize and speed up the training by normalizing the input for each layer.
  • Softmax for Attention Weights
    The processed features are passed through a softmax function to derive attention weights. Softmax converts the output into a probability distribution, emphasizing the importance of various regions within the input feature map by assigning weights based on their significance.
  • Residual Connection and Attention Weight Reduction
    Simultaneously, a residual connection is established directly from the initial input feature map to preserve the original information. Softmax is applied again to this residual connection to prevent attention weight degradation, maintaining the relevance of the original information while incorporating new features.
  • Combination of Attention Weights
    The attention weights derived from the original feature map and the residual connection are combined. This integration enables the model to leverage both refined features and preserve original information.
  • Operation on Patch-Wise and Tile-Wise Channels
    The attention mechanism operates on both patch-wise and tile-wise channels. Patch-wise processing focuses on capturing local information within specific regions, while tile-wise processing considers broader contexts. This dual approach ensures a comprehensive understanding of the input feature map.
  • Fusion of Attention Weights from Patches and Tiles
    Finally, the attention weights obtained from both patch-wise and tile-wise operations are fused. This fusion synthesizes the strengths of both local and global attention mechanisms, resulting in more robust and effective attention weights.
X = X + X r , Y = Y + Y r
Z = X + Y
The residual dual-attention mechanism employs a multi-scale approach, integrating original and refined features through residual connections while combining local and global attention. This method enhances the model’s ability to capture intricate patterns and relationships in the input data.

3.2.3. Ensemble

The dual-attention mechanism provides a robust focus on the feature maps. At the same time, the multi-scale approach generates detailed versions of the encoded feature maps at varying sizes, ensuring precise feature extraction. The Ensemble technique significantly improves the system’s resilience to fluctuations in size and intensity. Tiles and patches are handled at varying scales, as shown in Figure 7. The feature maps obtained by the encoder are segmented into tiles and patches of differing dimensions across different scales. Larger tiles and patches provide a broader view of the image, while smaller ones focus on finer details, enabling feature extraction at multiple resolutions. Each collection of tiles and patches thereafter passes a dual-attention mechanism that analyzes features within these segmentations to determine areas pertinent to tumor segmentation and allocates suitable weights to various features.
The outputs from the attention mechanisms for each scale represent regions of interest within the feature maps. The outputs of these attention functions are then combined (or ensembled), taking the weight from each scale and merging all of them into a single representation. The integration of local and global information reduces the reliance on local information and improves the model’s ability to segment tumors in liver CT images.
For these patch and tile sizes, we use 32 × 32 and 64 × 64 for the patch and 32 × 48 and 64 × 96 for the tile. These dimensions ensure comprehensive feature extraction across multiple scales through excellent feature extraction in terms of different levels of detail and context at the input image level.
Adaptive Ensembling
Adaptive ensembling can enhance the integration of attention outputs obtained from processing tiles and patches at different scales. This method enables the model to selectively integrate information from scales that most significantly enhance correct segmentation. An adaptive weighting approach exerts an increased effect on attention outputs from higher-performing or more pertinent scales in the final ensemble. Conversely, less informative scales are diminished in importance or omitted. This technique allows the model to utilize the advantages of varied perspectives obtained at different scales, especially at the intricate interfaces of the liver and liver cancers.
The formula for adaptive ensembling is expressed as follows:
E = i = 1 n w i × A i
where E represents the ensembled attention output, n is the number of scales, A i is the attention output at scale i , and w i is the adaptive weight assigned to each attention output.
Dynamically, the amount of contribution of each scale to the final ensembled output is changed based on a threshold calculated from the average weights, based on which the adaptive weights w i are determined. This equation captures the heart of the adaptive ensembling process, which is to combine the attention outputs from each of the scales in a weighted fashion to end up with a unified representation of the regions of interest across all scales.

3.2.4. Combined Loss

During training, a combined loss function integrates the loss terms from tile-based, patch-based, and full-feature representations. Each component uses Dice Loss [42]. Combining these loss functions ensures proper gradient flow during backpropagation, enabling the model to learn its parameters effectively. The loss function is defined as follows:
Dice Loss = 1 − (2 × intersection)/(union + intersection)

3.2.5. Optimizer Selection

The Adam optimizer has demonstrated efficacy in liver tumor segmentation within deep learning networks. Its adaptive learning rate mechanism facilitates the dynamic modification of learning rates for each parameter, accommodating fluctuations in picture attributes. Incorporating momentum guarantees stable convergence, reduces the likelihood of entrapment in local minima, and directs the model toward optimal solutions. This versatility renders Adam an advantageous choice for optimizing deep neural networks and improving model accuracy and robustness.

4. Results

4.1. Dataset

The 3DIRCADb database consists of 3D CT scans from 20 individuals, with hepatic tumors observed in 75% of the cases. The dataset is evenly distributed between ten women and ten men. Each folder represents a unique patient and can be downloaded individually or as a complete set. The CT scans are provided in DICOM format, with an original resolution of 512 × 512 pixels and slice thickness varying from 1 mm to 4 mm. The number of slices per patient ranges from 74 to 260, depending on the patient’s scan. The ground truth annotations for the liver and tumors were performed by medical experts, ensuring high-quality manual delineations for training and evaluation. The database exhibits significant differences in liver and tumor structure and size [43].
The raw medical images and their corresponding ground truth annotations were converted to PNG format, a lossless format that preserves image quality during processing. These images were resized to 256 × 256 pixels for input into the network. While down-sampling reduces the computational burden, it can also result in some loss of information. The chosen size of 256 × 256 pixels offers a balance between computational efficiency and the preservation of relevant anatomical details, which are crucial for precise segmentation. To prevent overfitting during training, the dataset was randomly split into training, validation, and testing sets with 80%, 10%, and 10%, respectively.

4.2. Evaluation Metrics

In this subsection, we define and discuss some of the metrics currently used to evaluate the segmentation algorithm performance. In particular, we analyze the effectiveness, robustness, and accuracy of the segmentation method by means of confusion matrix-based metrics.
  • True Positive (TP): This metric represents the number of pixels that are correctly identified as belonging to the tumor region.
  • False Positive (FP): This refers to the number of pixels that are incorrectly classified as tumors when they actually belong to the background.
  • True Negative (TN): Refers to the number of background pixels correctly identified as background.
  • False Negative (FN): Represents the number of tumor pixels incorrectly classified as background.
The proposed method is evaluated against various quantitative metrics. These metrics include Accuracy, Sensitivity, Specificity, Dice Coefficient (DC), Volumetric Overlap Error (VOE), Relative Volume Difference (RVD), and Average Symmetric Surface Distance (ASSD).

4.2.1. Dice Score (DICE)

The dice similarity coefficient (DSC), or the F1 score, is a statistical metric that measures the similarity between two datasets. Medical image segmentation quantifies the overlap between the predicted segmentation (SR) and the ground truth (GT). It is calculated as follows:
D I C E G T , S R = 2 × G T S R G T | + | S R = 2 × T P 2 × T P + F P + F N
The DICE ranges from 0 to 1, where 1 indicates perfect segmentation, and 0 signifies no overlap between the ground truth and the segmented result.

4.2.2. Volumetric Overlap Error (VOE)

The Volumetric Overlap Error (VOE) is used to evaluate segmentation accuracy by measuring the discrepancy between the predicted segmentation and the ground truth. It is defined as the complement of the Jaccard Index (JI), which quantifies the overlap between two sets. The VOE is calculated as follows:
V O E G T , M S = 1 G T S R G T S R = 1 T P T P + F P + F N

4.2.3. Relative Volume Difference (RVD)

RVD measures the difference in volume between the segmented result and the ground truth. It is a non-symmetric calculation as follows:
R V D G T , M S = 1 S R | | G T G T = 1 F P T P + F N

4.2.4. Average Symmetric Surface Distance (ASSD)

The ASSD calculates the average distance between the surfaces of the segmented result and the ground truth. Let S (GT) represent the set of slice voxels in GT. The closest distance between voxel v and S (GT) is computed as follows:
d ( v , S ( G T ) ) = min S GT S ( GT ) d ( v , S G T )
where d ( v , S G T ) is the voxels’ Euclidean distance considering the actual spatial resolution of slices. The average symmetric surface distance in this instance is determined as follows:
A S S D G T , S R = 1 S G T + S S R S G T S G T d S G T , S S R + S M S S S R d S S R , S G T

4.2.5. Accuracy

Accuracy (ACC) is a performance metric that measures the overall correctness of a system’s predictions. It is calculated as the ratio of correctly classified pixels to the total number of pixels:
Accuracy = T p + T n / ( T p + T n + F p + F n )

4.2.6. Sensitivity

Sensitivity measures the proportion of actual positive cases (tumor pixels) correctly identified by the model. It is calculated as follows:
Sensitivity = T p / ( T p + F n )

4.2.7. Specificity

Specificity measures the proportion of actual negative cases (background pixels) correctly identified by the model. It is defined as follows:
Specificity = T n / ( T n + F p )

4.3. Experimental Results

This section analyzes the ability of the proposed model to segment tumor regions from the background and foreground, offering insights into the effectiveness of the attention mechanism. Furthermore, the benefits and implications of the proposed model are discussed in relation to the existing literature and state-of-the-art methods. This paper highlights instances where the model outperforms baseline models or demonstrates superior performance compared to other approaches.

4.3.1. Pre-Processing Evaluation

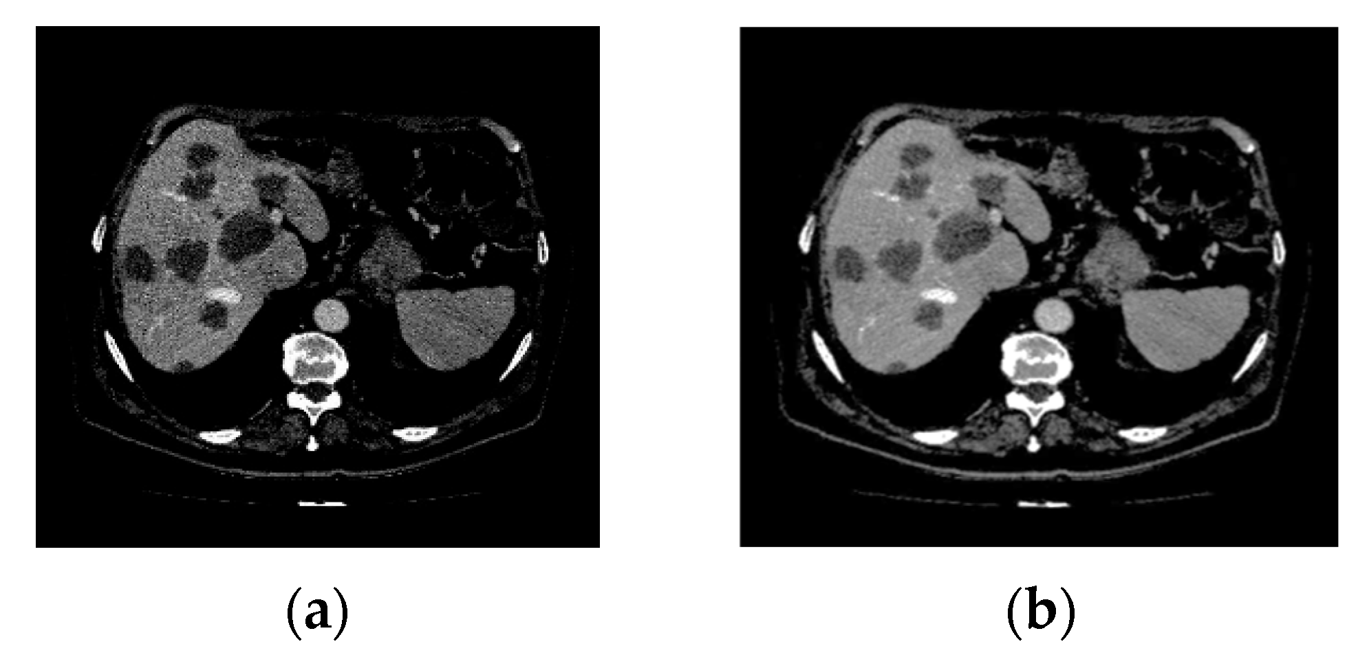
Figure 8 shows the original and pre-processed images. The experimental results demonstrate the effectiveness of the image enhancement methodology, as presented in Table 1. The metrics used for evaluation are the Structural Similarity Index (SSIM) [44] and Peak Signal-to-Noise Ratio (PSNR) [45], which are widely regarded as reliable indicators of image quality in enhancement tasks. Higher values of both the SSIM and PSNR indicate the better preservation of structural information and improved image clarity after pre-processing.
A comprehensive analysis of the model’s performance is provided both quantitatively and qualitatively. The quantitative evaluation uses performance metrics such as accuracy, sensitivity, the Dice coefficient, and the Jaccard coefficient. The attention mechanism is also evaluated qualitatively, focusing on its impact on tumor detection.

4.3.2. Qualitative Evaluation

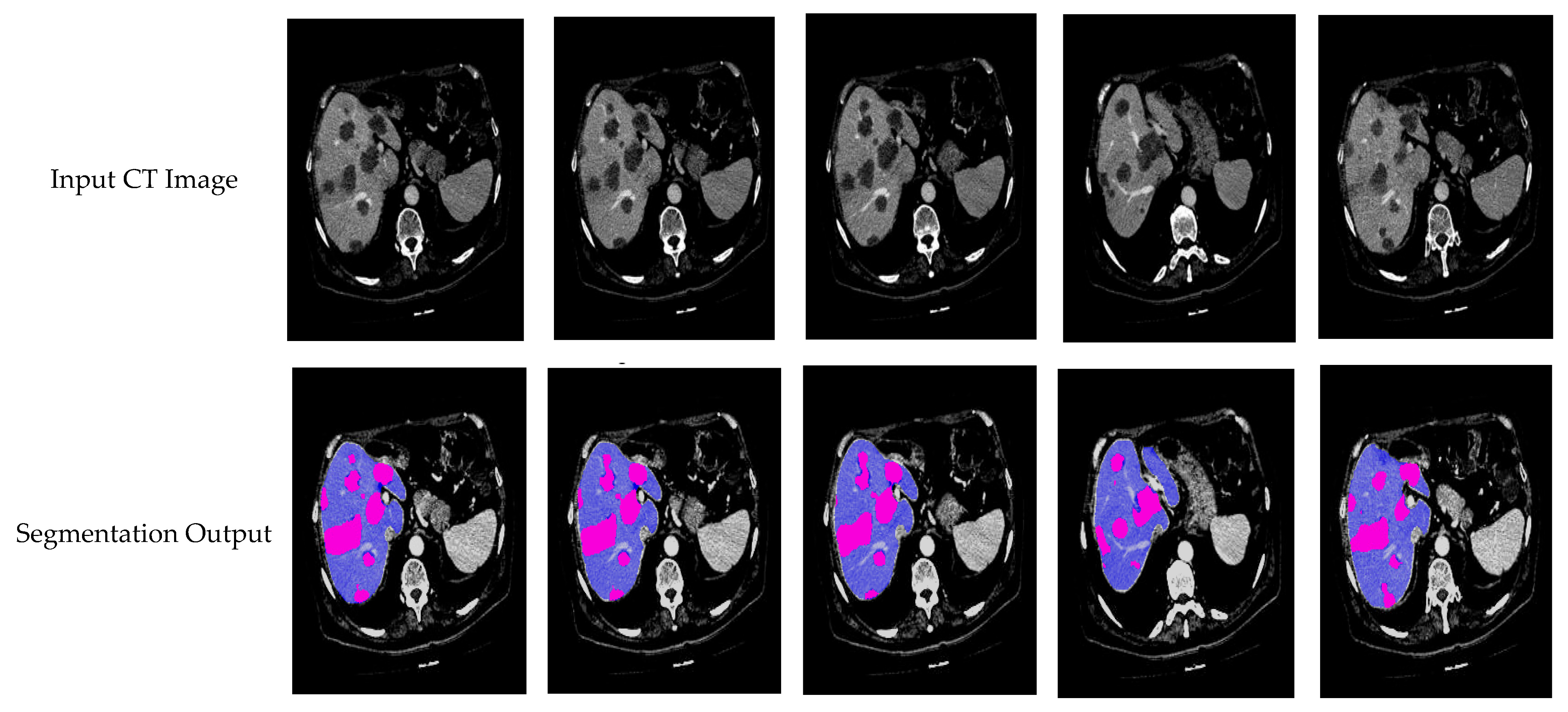
The segmentation results accurately depict the edges of the liver and tumor regions, which is crucial for defining the shape and size of these structures. The segmented areas closely align with the ground truth images, ensuring that the boundaries of the liver and tumor are well defined. This precise outlining indicates that the segmentation process was performed accurately, with no significant deviations from anatomical features. In Figure 9, the liver is shown in red, while the tumor is highlighted in yellow. Both regions are detected smoothly, without abrupt changes, demonstrating the effectiveness of the proposed system in identifying and segmenting the liver and tumor.
In Figure 10, a comparison is presented between the input images and their corresponding segmentation results. The liver is visually represented in purple, while the tumor is highlighted in pink. The segmentation results demonstrate the algorithm’s effectiveness in accurately identifying and distinguishing between the liver and tumor regions within the CT images. This visual analysis underscores the robustness of the proposed method in handling complex anatomical structures.
Performance metrics for the liver and tumor segmentation of Patch-Attn-UNet, Tiles-Attn-UNet, and the proposed method are presented in Table 2. Patch-Attn-UNet achieves liver segmentation accuracies of 95.4%, with sensitivity and specificity at 95.6% each. The accuracy values for tumor segmentation are 95.1%, and sensitivity and specificity are 88.4 and 90.1, respectively. The Tiles-Attn-UNet does better on all metrics than Patch-Attn-UNet, achieving liver and tumor segmentation accuracies of 96.1% and 95.8%, respectively, while maintaining both higher sensitivity and specificity. With the highest liver and tumor segmentation accuracies of 98.5% and 97.2%, respectively, the proposed method outperforms both in terms of segmentation performance.
Figure 11 illustrates the training plot, showing a rapid increase in accuracy that reaches a peak within fewer iterations. The simultaneous decrease in loss indicates that the network efficiently learns and extracts relevant features from the data.
The proposed model outperforms existing segmentation methods, including UNet, ResUNet, UNetAttn, Patch Attention, and Tile Attention. By applying the attention mechanism across multiple scales, the model effectively prioritizes important regions for segmentation. The qualitative results demonstrate that models utilizing dual-attention mechanisms can achieve superior performance in liver tumor segmentation. Figure 12 shows the qualitative results from the data.
As shown in Figure 13, the UNet, ResUNet, and UNetAttn models demonstrate varying degrees of accuracy in segmenting liver tumors. However, notable discrepancies are observed, particularly in the outer tumor regions, where segmentation errors occur. Specifically, portions of the tumor are incorrectly classified as background (red), leading to incomplete tumor representation. Among the baseline models, UNetAttn shows improvements in capturing tumor structures but still exhibits misclassifications along the tumor boundaries. In contrast, the proposed model achieves more precise and comprehensive segmentation, closely aligning with the ground truth. This enhancement results in a more accurate delineation of tumor boundaries, reducing misclassifications and improving segmentation quality.

5. Discussion

In this section, attention-based systems are discussed separately from the proposed system. By combining attention mechanisms at the patch and tile levels, the proposed method effectively focuses on relevant regions within the input data, leading to more precise feature extraction and improved boundary delineation.

5.1. Impact of Multi-Scale Attention

This study evaluates the impact of different input scales—patch and tile—on the attention mechanisms within a Residual UNet architecture for liver and tumor segmentation as measured by the Dice score, a critical metric for comparing predicted and actually segmented segmentation.
Patch Attention provides a Dice score of 96.5% and concentrates on the small and localized regions of the image. As a result, this approach facilitates fine-grained feature extraction, leading to a high Dice score between segmented areas and the ground truth, and provides a powerful method for capturing the intricate boundaries of liver and tumor structures.
By performing on larger image regions, however, the Tile Attention mechanism achieves a slightly better Dice score of 96.8%. This procedure provides for a better segmentation quality without sacrificing a richer contextual understanding of the spatial relations in the image and balances the attributes of detailed feature extraction.
The proposed mechanism, which integrates both patch and tile strategies, achieves the best Dice score of 97.03%. However, the dual-scale approach enhances segmentation performance by leveraging magnitude by exploiting strengths both in localized and broader contextual feature extraction. In liver and tumor images, the superior Dice score reports the best overlap as well as the best segmentation quality, taking into account the complex spatial relationships and intensity variations between liver and tumor. The results demonstrate that while each Patch and Tile Attention mechanism improves the Dice score independently, the proposed mechanism yields the largest resulting improvement, resulting in a better segmentation performance.
Table 3 and Table 4 present a comprehensive performance comparison of various methods for liver and tumor segmentation evaluated on the 3DIRCADb dataset. Table 3 evaluates three methods: proposed, Patch Attention, and Tile Attention. The proposed method yields the highest accuracy, sensitivity, specificity, Dice coefficient and VOE when applied to liver segmentation, exhibiting superior performance to achieve better liver segmentation. Similarly, in Table 4, we also evaluate the same three methods for tumor segmentation, and the proposed method again obtains the highest accuracy, sensitivity, specificity, Dice coefficient, and VOE. Attention mechanisms efficiently improve tumor segmentation, as this demonstrates. The results of the proposed method outperform the Patch Attention and Tile Attention methods consistently, which suggests the possibility of attention mechanisms in improving liver CT image analysis.
Combining the patch- and tile-based approaches improves the segmentation by incorporating local details and global context. On the other hand, tile-wise processing accounts for large features in the image, while patch-wise processing captures the small-scale detail. The model combines localized and global information by integrating both methods to achieve more accurate segmentation results. The fusion of this model improves the model’s robustness against image content and image size variations and gives a more complete view of the data. Figure 14 shows the ROC performance and demonstrates the effectiveness of this improved segmentation.

5.2. Effects of Ensemble

The Ensemble method achieves a better accuracy of 98.5% than Fixed Patch Attention with 94.2% and Fixed Tile Attention with 95.1. This improvement hints that the Ensemble method is more suitable for precise liver and tumor region segmentation. The Ensemble method is able to utilize multi-scale feature extraction and attention mechanisms, extracting information from diverse perspectives and finer feature distinctions. Further, the Ensemble method demonstrates superior performance in Dice scores of 97.03. Fixed Tile Attention scores a Dice of 94.8%, and Fixed Patch Attention achieves 94.1%. This higher Dice score signifies that the Ensemble method produces segmentations that closely align with actual anatomical boundaries, herein reflecting greater accuracy in delineating the liver regions. The liver results for Fixed vs. Ensemble methods are shown in Table 5.
The Fixed Patch Attention and Fixed Tile Attention methods are greatly outperformed by the Ensemble method in tumor segmentation. It achieves a higher accuracy of 97.2% and a Dice score of 75.4% compared to 94.3% and 70.3% for Fixed Patch Attention and 95.7% and 71.1% for Fixed Tile Attention. This enhancement is due to the Ensemble method’s capacity to amalgamate multi-scale feature extraction and dual-attention mechanisms, allowing it to discern intricate tumor characteristics and extensive spatial context. The liver tumor results for Fixed vs. Ensemble methods are presented in Table 6.
The Ensemble method’s ability to fuse Patch and Tile Attention mechanism outputs at multiple scales generates fine-grained local features and context patterns that aid in improving segmentation quality. The method shows a considerably better performance due to the integration of multi-scale features and the effective employment of dual-attention mechanisms that make the best of fixed-size methods. These fixed approaches may miss subtle details or fail to adapt to the varying complexities of medical images.

5.3. Effects of Dual Attention

Table 7 compares the performance of single-attention and dual-attention mechanisms for liver and tumor segmentation using Dice scores. Single attention achieves Dice scores of 92.7% for the liver and 70.1% for the tumor, while dual attention achieves 96.22% for the liver and 74.4% for the tumor. The dual-attention mechanisms significantly enhance segmentation accuracy by incorporating attention at multiple scales, capturing both fine-grained local features and broader spatial relationships within the images. This multi-scale approach reduces segmentation errors and improves result consistency. The empirical evidence demonstrates the effectiveness of dual attention in enhancing the accuracy of liver and tumor segmentation.

5.4. Experimental Setup

The experimental analysis was conducted on a high-performance server equipped with PyTorch 1.12.0, CUDA 11.3, and four NVIDIA RTX 2080 Ti GPUs (16 GB each), supported by 126 GB of RAM to optimize training and evaluation processes. The input resolution for all experiments was set to 256 × 256 pixels, striking a balance between computational efficiency and the preservation of anatomical details critical for accurate segmentation.
The proposed multi-scale dual-attention network is designed to enhance segmentation performance while maintaining reasonable computational complexity and inference time. The network achieves an average segmentation time of approximately 5.7 s per image, making it suitable for real-time clinical applications. This efficiency is achieved through the integration of advanced techniques, including residual connections and a dual-attention mechanism, which significantly improve segmentation accuracy without imposing excessive computational overhead. During inference, the network requires approximately 65 MB of GPU memory, which is well within the capacity of modern GPUs.

5.5. Performance of Existing System

In this section, we evaluate the performance of the proposed segmentation method against existing state-of-the-art systems for liver and tumor segmentation. Many existing methods have improved medical image segmentation by applying innovations like residual connection, attention mechanism, and nested skip pathways like UNet [22], Res-UNet [46], UNet++ [25], UNetAttn [47], RA-UNet [37], etc. Such improvements have helped the accuracy and robustness of segmentation, making them more reliable for challenging medical imaging tasks. For the performance assessment, we compared quantitative metrics such as the Dice coefficient, Volume Overlap Error (VOE), and Relative Volume Difference (RVD), which are essential for evaluating the segmentation accuracy.
Table 8 provides empirical evidence supporting the effectiveness of the proposed method, demonstrating its superior performance in liver and tumor segmentation compared to existing state-of-the-art systems.
Several methods were compared for liver segmentation on the 3DIRCADb dataset; UNet [22] achieves a Dice coefficient of 0.871 with some variability, while Res-UNet [46] improves upon this with a score of 0.932. UNet++ [25] and UNetAttn [47] further enhance the performance, achieving Dice coefficients of 0.943 and 0.9552, respectively. RA-UNet [37] achieves a high Dice coefficient of 0.9619, Budak et al. [31] also report a score of 0.9522, and Xie et al. [39] achieve a Dice coefficient of 0.9613. X-Net [48] demonstrates strong performance with a Dice coefficient of 0.967, indicating high accuracy and consistency. However, the proposed method in this study outperforms all others, achieving a Dice coefficient of 0.9703 ± 0.012, further solidifying its superior performance in liver segmentation.
For tumor segmentation, the performance varies significantly across methods. The lowest performing method (UNet) achieves a Dice coefficient of 0.53 ± 0.11, while the highest performing method (RA-UNet) attains 0.7047 ± 0.113. The proposed method achieves a Dice coefficient of 0.754 ± 0.07, demonstrating superior performance to other approaches.

6. Conclusions

In this study, we propose DRDA-Net, a novel end-to-end network for the automated segmentation of liver and tumor lesions in CT images, designed to enhance clinical diagnostics and support computer-aided systems. The framework integrates a Residual UNet architecture with dual-attention mechanisms, significantly improving segmentation accuracy. By incorporating multi-scale tile and patch extraction, the model effectively identifies and focuses on critical regions, enabling the precise delineation of liver structures and tumor boundaries. The methodology addresses key challenges, such as intensity variations and spatial relationships, which are critical for robust segmentation in medical imaging. Additionally, we introduce a unique pre-processing pipeline that employs a two-channel denoising technique using convolutional neural networks (CNNs) and stationary wavelet transforms (SWTs) to reduce noise while preserving structural details. The Ensemble approach further enhances the model’s robustness, ensuring consistent performance across diverse scenarios. Evaluations on the 3DIRCADb dataset demonstrate the framework’s effectiveness, achieving Dice scores of 97.03% for liver segmentation and 75.4% for tumor segmentation, indicating strong alignment with ground truth annotations.
Despite these advancements, the proposed method has certain limitations. Due to the high computational demands and memory requirements of 3D networks, the model was trained and tested on 2D images, which excluded inter-slice contextual information. Additionally, the limited size of the dataset may restrict the model’s generalizability. To address these limitations, future work will focus on developing hybrid networks that combine shallow 3D architectures with 2D components to efficiently capture both intra- and inter-slice features from 3D CT scans. Lightweight network designs will also be explored to handle high-resolution images effectively. Expanding the dataset to include multi-center collections with diverse imaging protocols and patient populations will further enhance the model’s applicability and clinical relevance. Beyond liver cancer, the framework will be extended to other medical imaging tasks, such as segmenting lesions in the lungs and kidneys, highlighting its versatility and broad clinical utility. These advancements aim to refine clinical decision-making processes and improve the efficiency of computer-aided diagnostic systems across various medical domains.

Author Contributions

Conceptualization, W.M.I.; methodology, W.M.I.; software, W.M.I. and K.A.A.; formal analysis, W.M.I. and S.Y.; investigation, Y.Z. and S.Y.; writing—original draft preparation, W.M.I. and S.Y.; writing—review and editing, S.Y., K.A.A., W.M.I. and Y.Z.; supervision, Y.Z. and S.Y.; project administration, Y.Z. All authors have read and agreed to the published version of the manuscript.

Funding

This work was supported by the Joint Funds of the National Natural Science Foundation of China (Grant No. U23B2063) and the National Natural Science Foundation of China (Grant No. 62076256).

Institutional Review Board Statement

Not applicable.

Informed Consent Statement

Not applicable.

Data Availability Statement

The dataset used in this study, “Liver Segmentation 3D IRCADb-01,” is publicly available at https://www.ircad.fr/research/data-sets/liver-segmentation-3d-ircadb-01 (accessed on 21 May 2024)

Conflicts of Interest

The authors declare no conflicts of interest.

References

  1. Rumgay, H.; Arnold, M.; Ferlay, J.; Lesi, O.; Cabasag, C.J.; Vignat, J.; Laversanne, M.; McGlynn, K.A.; Soerjomataram, I. Global Burden of Primary Liver Cancer in 2020 and Predictions to 2040. J. Hepatol. 2022, 77, 1598–1606. [Google Scholar] [CrossRef]
  2. Manjunath, R.V.; Kwadiki, K. Modified U-NET on CT Images for Automatic Segmentation of Liver and Its Tumor. Biomed. Eng. Adv. 2022, 4, 100043. [Google Scholar] [CrossRef]
  3. Kumar, S.S.; Vinod Kumar, R.S. Literature Survey on Deep Learning Methods for Liver Segmentation from CT Images: A Comprehensive Review. Multimed. Tools Appl. 2024, 83, 71833–71862. [Google Scholar] [CrossRef]
  4. Ren, W.; Li, B.; Peng, H.; Wang, J. Lgma-Net: Liver and Tumor Segmentation Methods Based on Local–Global Feature Mergence and Attention Mechanisms. Signal Image Video Process 2025, 19, 43. [Google Scholar] [CrossRef]
  5. Idress, W.M.; Abouda, K.A.; Javed, R.; Aoun, M.; Yasin Ghadi, Y.; Shahzad, T.; Mazhar, T.; Ibrahim, A.M.A. Hybrid Segmentation and 3D Imaging: Comprehensive Framework for Breast Cancer Patient Segmentation and Classification Based on Digital Breast Tomosynthesis. Biomed. Signal Process Control 2025, 100, 106992. [Google Scholar] [CrossRef]
  6. Yuan, R.; Janzen, I.; Devnath, L.; Khattra, S.; Myers, R.; Lam, S.; Macaulay, C.; Xie, H.; Wu, C.; Hospital, S.P.; et al. MA19.11 Predicting Future Lung Cancer Risk with Low-Dose Screening CT Using an Artificial Intelligence Model The Value of Lepidic and Invasion Pattern NEW Diagnostic Criteria for the Differential Diagnosis of in AIS, MIA from Invasive Adenocarcinoma. J. Thorac. Oncol. 2023, 18, S174. [Google Scholar] [CrossRef]
  7. Ghobadi, V.; Ismail, L.I.; Wan Hasan, W.Z.; Ahmad, H.; Ramli, H.R.; Norsahperi, N.M.H.; Tharek, A.; Hanapiah, F.A. Challenges and Solutions of Deep Learning-Based Automated Liver Segmentation: A Systematic Review. Comput. Biol. Med. 2025, 185, 109459. [Google Scholar] [CrossRef]
  8. Di, S.; Zhao, Y.; Liao, M.; Yang, Z.; Zeng, Y. Automatic Liver Tumor Segmentation from CT Images Using Hierarchical Iterative Superpixels and Local Statistical Features. Expert. Syst. Appl. 2022, 203, 117347. [Google Scholar] [CrossRef]
  9. Kumar, S.S.; Moni, R.S.; Rajeesh, J. Automatic Liver and Lesion Segmentation: A Primary Step in Diagnosis of Liver Diseases. Signal Image Video Process 2013, 7, 163–172. [Google Scholar] [CrossRef]
  10. Baâzaoui, A.; Barhoumi, W.; Ahmed, A.; Zagrouba, E. Semi-Automated Segmentation of Single and Multiple Tumors in Liver CT Images Using Entropy-Based Fuzzy Region Growing. IRBM 2017, 38, 98–108. [Google Scholar] [CrossRef]
  11. Foruzan, A.H.; Aghaeizadeh Zoroofi, R.; Hori, M.; Sato, Y. Liver Segmentation by Intensity Analysis and Anatomical Information in Multi-Slice CT Images. Int. J. Comput. Assist. Radiol. Surg. 2009, 4, 287–297. [Google Scholar] [CrossRef]
  12. Min, H.; Jia, W.; Wang, X.F.; Zhao, Y.; Hu, R.X.; Luo, Y.T.; Xue, F.; Lu, J.T. An Intensity-Texture Model Based Level Set Method for Image Segmentation. Pattern Recognit. 2015, 48, 1547–1562. [Google Scholar] [CrossRef]
  13. Abdelsamea, M.M.; Gnecco, G.; Gaber, M.M. An Efficient Self-Organizing Active Contour Model for Image Segmentation. Neurocomputing 2015, 149, 820–835. [Google Scholar] [CrossRef]
  14. Chen, X.; Pan, L. A Survey of Graph Cuts/Graph Search Based Medical Image Segmentation. IEEE Rev. Biomed. Eng. 2018, 11, 112–124. [Google Scholar] [CrossRef]
  15. Chen, Y.; Zhao, W.; Wu, Q.; Wang, Z.; Hu, J. Liver Segmentation in CT Images for Intervention Using a Graph-Cut Based Model. In Proceedings of the Abdominal Imaging. Computational and Clinical Applications. ABD-MICCAI 2011, Toronto, ON, Canada, 18 September 2011; Lecture Notes in Computer Science (Including Subseries Lecture Notes in Artificial Intelligence and Lecture Notes in Bioinformatics). Springer: Berlin/Heidelberg, Germany, 2012; Volume 7029, pp. 157–164. [Google Scholar] [CrossRef]
  16. Lyu, F.; Ma, A.J.; Yip, T.C.F.; Wong, G.L.H.; Yuen, P.C. Weakly Supervised Liver Tumor Segmentation Using Couinaud Segment Annotation. IEEE Trans. Med. Imaging 2022, 41, 1138–1149. [Google Scholar] [CrossRef]
  17. Zheng, R.; Wang, Q.; Lv, S.; Li, C.; Wang, C.; Chen, W.; Wang, H. Automatic Liver Tumor Segmentation on Dynamic Contrast Enhanced MRI Using 4D Information: Deep Learning Model Based on 3D Convolution and Convolutional LSTM. IEEE Trans. Med. Imaging 2022, 41, 2965–2976. [Google Scholar] [CrossRef]
  18. Tinglan, L.; Jun, Q.; Guihe, Q.; Weili, S.; Wentao, Z. Liver Segmentation Network Based on Detail Enhancement and Multi-Scale Feature Fusion. Sci. Rep. 2025, 15, 683. [Google Scholar] [CrossRef]
  19. Caruso, D.; De Santis, D.; Del Gaudio, A.; Valanzuolo, D.; Pugliese, D.; Zerunian, M.; Polici, M.; Tremamunno, G.; Masci, B.; Laghi, A. Lean Body Weight-Based Contrast Injection Protocol in Liver CT: Optimization of Contrast Medium Dose. La Radiol. Medica 2024, 1–7. [Google Scholar] [CrossRef]
  20. Lin, H.; Zhao, M.; Zhu, L.; Pei, X.; Wu, H.; Zhang, L.; Li, Y. Gaussian Filter Facilitated Deep Learning-Based Architecture for Accurate and Efficient Liver Tumor Segmentation for Radiation Therapy. Front. Oncol. 2024, 14, 1423774. [Google Scholar] [CrossRef]
  21. Long, J.; Shelhamer, E.; Darrell, T. Fully Convolutional Networks for Semantic Segmentation. In Proceedings of the IEEE Conference on Computer Vision and Pattern Recognition, Boston, MA, USA, 7–12 June 2015; pp. 3431–3440. [Google Scholar]
  22. Ronneberger, O.; Fischer, P.; Brox, T. U-Net: Convolutional Networks for Biomedical Image Segmentation. In Proceedings of the Medical Image Computing and Computer-Assisted Intervention–MICCAI 2015, Munich, Germany, 5–9 October 2015; Lecture Notes in Computer Science (Including Subseries Lecture Notes in Artificial Intelligence and Lecture Notes in Bioinformatics). Springer: Berlin/Heidelberg, Germany, 2015; Volume 9351, pp. 234–241. [Google Scholar] [CrossRef]
  23. Sabir, M.W.; Khan, Z.; Saad, N.M.; Khan, D.M.; Al-Khasawneh, M.A.; Perveen, K.; Qayyum, A.; Azhar Ali, S.S. Segmentation of Liver Tumor in CT Scan Using ResU-Net. Appl. Sci. 2022, 12, 8650. [Google Scholar] [CrossRef]
  24. Schlemper, J.; Oktay, O.; Schaap, M.; Heinrich, M.; Kainz, B.; Glocker, B.; Rueckert, D. Attention Gated Networks: Learning to Leverage Salient Regions in Medical Images. Med. Image Anal. 2019, 53, 197–207. [Google Scholar] [CrossRef] [PubMed]
  25. Zhou, Z.; Rahman Siddiquee, M.M.; Tajbakhsh, N.; Liang, J. Unet++: A Nested u-Net Architecture for Medical Image Segmentation. In Proceedings of the Deep Learning in Medical Image Analysis and Multimodal Learning for Clinical Decision Support: 4th International Workshop, DLMIA 2018, and 8th International Workshop, ML-CDS 2018, Granada, Spain, 20 September 2018; Lecture Notes in Computer Science (including subseries Lecture Notes in Artificial Intelligence and Lecture Notes in Bioinformatics). Springer: Berlin/Heidelberg, Germany, 2018; Volume 11045, pp. 3–11. [Google Scholar] [CrossRef]
  26. Li, C.; Tan, Y.; Chen, W.; Luo, X.; He, Y.; Gao, Y.; Li, F. ANU-Net: Attention-Based Nested U-Net to Exploit Full Resolution Features for Medical Image Segmentation. Comput. Graph. 2020, 90, 11–20. [Google Scholar] [CrossRef]
  27. Huang, H.; Lin, L.; Tong, R.; Hu, H.; Zhang, Q.; Iwamoto, Y.; Han, X.; Chen, Y.W.; Wu, J. UNet 3+: A Full-Scale Connected UNet for Medical Image Segmentation. In Proceedings of the IEEE International Conference on Acoustics, Speech and Signal Processing (ICASSP), Barcelona, Spain, 4–8 May 2020; pp. 1055–1059. [Google Scholar] [CrossRef]
  28. Chen, Y.; Zheng, C.; Zhou, T.; Feng, L.; Liu, L.; Zeng, Q.; Wang, G. A Deep Residual Attention-Based U-Net with a Biplane Joint Method for Liver Segmentation from CT Scans. Comput. Biol. Med. 2023, 152, 106421. [Google Scholar] [CrossRef]
  29. Senthilvelan, J.; Jamshidi, N. A Pipeline for Automated Deep Learning Liver Segmentation (PADLLS) from Contrast Enhanced CT Exams. Sci. Rep. 2022, 12, 15794. [Google Scholar] [CrossRef] [PubMed]
  30. Bi, R.; Ji, C.; Yang, Z.; Qiao, M.; Lv, P.; Wang, H. Residual Based Attention-Unet Combing DAC and RMP Modules for Automatic Liver Tumor Segmentation in CT. Math. Biosci. Eng. 2022, 19, 4703–4718. [Google Scholar] [CrossRef]
  31. Budak, Ü.; Guo, Y.; Tanyildizi, E.; Şengür, A. Cascaded Deep Convolutional Encoder-Decoder Neural Networks for Efficient Liver Tumor Segmentation. Med. Hypotheses 2020, 134, 109431. [Google Scholar] [CrossRef]
  32. Zhang, J.; Yang, J.; Zhao, M. Automatic Segmentation Algorithm of Magnetic Resonance Image in Diagnosis of Liver Cancer Patients under Deep Convolutional Neural Network. Sci. Program. 2021, 2021, 1–13. [Google Scholar] [CrossRef]
  33. Pang, S.; Du, A.; Orgun, M.A.; Wang, Y.; Yu, Z. Tumor Attention Networks: Better Feature Selection, Better Tumor Segmentation. Neural. Netw. 2021, 140, 203–222. [Google Scholar] [CrossRef]
  34. Jiang, L.; Ou, J.; Liu, R.; Zou, Y.; Xie, T.; Xiao, H.; Bai, T. RMAU-Net: Residual Multi-Scale Attention U-Net For Liver and Tumor Segmentation in CT Images. Comput. Biol. Med. 2023, 158, 106838. [Google Scholar] [CrossRef]
  35. Kalsoom, A.; Maqsood, M.; Yasmin, S.; Bukhari, M.; Shin, Z.; Rho, S. A Computer-Aided Diagnostic System for Liver Tumor Detection Using Modified U-Net Architecture. J. Supercomput. 2022, 78, 9668–9690. [Google Scholar] [CrossRef]
  36. Wang, J.; Lv, P.; Wang, H.; Shi, C. SAR-U-Net: Squeeze-and-Excitation Block and Atrous Spatial Pyramid Pooling Based Residual U-Net for Automatic Liver Segmentation in Computed Tomography. Comput. Methods Programs Biomed. 2021, 208, 106268. [Google Scholar] [CrossRef] [PubMed]
  37. Jin, Q.; Meng, Z.; Sun, C.; Cui, H.; Su, R. RA-UNet: A Hybrid Deep Attention-Aware Network to Extract Liver and Tumor in CT Scans. Front. Bioeng. Biotechnol. 2020, 8, 605132. [Google Scholar] [CrossRef] [PubMed]
  38. Kushnure, D.T.; Talbar, S.N. MS-UNet: A Multi-Scale UNet with Feature Recalibration Approach for Automatic Liver and Tumor Segmentation in CT Images. Comput. Med. Imaging Graph. 2021, 89, 101885. [Google Scholar] [CrossRef] [PubMed]
  39. Xie, X.; Zhang, W.; Wang, H.; Li, L.; Feng, Z.; Wang, Z.; Wang, Z.; Pan, X. Dynamic Adaptive Residual Network for Liver CT Image Segmentation. Comput. Electr. Eng. 2021, 91, 107024. [Google Scholar] [CrossRef]
  40. Kushnure, D.T.; Talbar, S.N. M2UNet++: A Modified Multi-Scale UNet++ Architecture for Automatic Liver Segmentation From Computed Tomography Images. In Research Anthology on Improving Medical Imaging Techniques for Analysis and Intervention; IGI Global: Hershey, PA, USA, 2023; pp. 805–822. Available online: https://services.igi-global.com/resolvedoi/resolve.aspx?doi=10.4018/978-1-6684-7544-7.ch041 (accessed on 6 April 2024). [CrossRef]
  41. He, K.; Zhang, X.; Ren, S.; Sun, J. Deep Residual Learning for Image Recognition. In Proceedings of the IEEE Conference on Computer Vision and Pattern Recognition, Las Vegas, NV, USA, 27–30 June 2016; pp. 770–778. [Google Scholar]
  42. Luan, S.; Xue, X.; Ding, Y.; Wei, W.; Zhu, B. Adaptive Attention Convolutional Neural Network for Liver Tumor Segmentation. Front. Oncol. 2021, 11, 680807. [Google Scholar] [CrossRef]
  43. Soler, L.; Hostettler, A.; Agnus, V.; Charnoz, A.; Fasquel, J.-B.; Moreau, J.; Osswald, A.-B.; Bouhadjar, M.; Marescaux, J. 3D Image Reconstruction for Comparison of Algorithm Database. 2010. Available online: https://www.Ircad.Fr/Research/Data-Sets/Liver-Segmentation-3d-Ircadb-01 (accessed on 21 May 2024).
  44. Mudeng, V.; Kim, M.; Choe, S.W. Prospects of Structural Similarity Index for Medical Image Analysis. Appl. Sci. 2022, 12, 3754. [Google Scholar] [CrossRef]
  45. Mondal, M.; Devnath, L.; Mazumder, M.; Islam, R. Comparison of Wavelets for Medical Image Compression Using MATLAB. Int. J. Innov. Appl. Stud. 2016, 18, 1023–1031. [Google Scholar]
  46. Han, X. Automatic liver lesion segmentation using a deep convolutional neural network method. arXiv 2017, arXiv:1704.07239. [Google Scholar]
  47. Oktay, O.; Schlemper, J.; Folgoc, L.L.; Lee, M.; Heinrich, M.; Misawa, K.; Mori, K.; McDonagh, S.; Hammerla, N.Y.; Kainz, B.; et al. Attention U-Net: Learning Where to Look for the Pancreas. arXiv 2018, arXiv:1804.03999. [Google Scholar]
  48. Chi, J.; Han, X.; Wu, C.; Wang, H.; Ji, P. X-Net: Multi-Branch UNet-like Network for Liver and Tumor Segmentation from 3D Abdominal CT Scans. Neurocomputing 2021, 459, 81–96. [Google Scholar] [CrossRef]
Figure 1. The pipeline of the pre-processing stage.
Figure 1. The pipeline of the pre-processing stage.
Applsci 15 02311 g001
Figure 2. The structure of the lightweight CNN.
Figure 2. The structure of the lightweight CNN.
Applsci 15 02311 g002
Figure 3. Illustration of liver and tumor segmentation pipeline for Residual UNet–RDAM.
Figure 3. Illustration of liver and tumor segmentation pipeline for Residual UNet–RDAM.
Applsci 15 02311 g003
Figure 4. The structure of the UNet model.
Figure 4. The structure of the UNet model.
Applsci 15 02311 g004
Figure 5. Residual UNet Model with attention.
Figure 5. Residual UNet Model with attention.
Applsci 15 02311 g005
Figure 6. The structure of the residual dual-attention mechanism.
Figure 6. The structure of the residual dual-attention mechanism.
Applsci 15 02311 g006
Figure 7. Ensemble mechanism of tiles and patches.
Figure 7. Ensemble mechanism of tiles and patches.
Applsci 15 02311 g007
Figure 8. 3DIRCADb dataset. (a) Original CT scan; (b) pre-processed image.
Figure 8. 3DIRCADb dataset. (a) Original CT scan; (b) pre-processed image.
Applsci 15 02311 g008
Figure 9. Segmentation output of proposed model for 3DIRCADb dataset.
Figure 9. Segmentation output of proposed model for 3DIRCADb dataset.
Applsci 15 02311 g009
Figure 10. Visual segmentation results of proposed model.
Figure 10. Visual segmentation results of proposed model.
Applsci 15 02311 g010
Figure 11. Training progress plot for 3DIRCADb dataset.
Figure 11. Training progress plot for 3DIRCADb dataset.
Applsci 15 02311 g011
Figure 12. A qualitative comparison of the output of different models. The first column (a) is ground truth, whose segmentation results by UNet, ResUNet, UNetAttn, Patch Attn + ResUNet, Tile Attn + ResUNet, and the proposed model are, respectively, displayed in columns (bg).
Figure 12. A qualitative comparison of the output of different models. The first column (a) is ground truth, whose segmentation results by UNet, ResUNet, UNetAttn, Patch Attn + ResUNet, Tile Attn + ResUNet, and the proposed model are, respectively, displayed in columns (bg).
Applsci 15 02311 g012
Figure 13. Comparative analysis of tumor segmentation accuracy.
Figure 13. Comparative analysis of tumor segmentation accuracy.
Applsci 15 02311 g013
Figure 14. Performance analysis of ROC between patch, tile, and proposed for (a) liver segmentation; (b) tumor segmentation.
Figure 14. Performance analysis of ROC between patch, tile, and proposed for (a) liver segmentation; (b) tumor segmentation.
Applsci 15 02311 g014
Table 1. Performance of image enhancements.
Table 1. Performance of image enhancements.
MethodSSIMPSNR
Spatial CNN0.9336.2
SWT-CNN0.9437.1
Combined0.9638.2
Table 2. Performance evaluation of integrated models on the 3DIRCADb dataset.
Table 2. Performance evaluation of integrated models on the 3DIRCADb dataset.
MethodLiverTumor
AccuracySensitivitySpecificityAccuracySensitivitySpecificity
Patch-Attn-UNet95.495.695.695.188.490.1
Tiles-Attn-UNet96.195.296.495.889.790.1
Proposed98.596.497.597.291.192.9
Table 3. Performance comparison of attention-based methods for liver segmentation.
Table 3. Performance comparison of attention-based methods for liver segmentation.
MethodAccuracy %Sensitivity %Dice %VOE %RVD %ASSD (mm)
Patch Attention95.495.696.58.20.823.3
Tile Attention96.195.296.87.60.653.1
Proposed98.596.497.036.20.422.32
Table 4. Performance comparison of attention-based methods for tumor segmentation.
Table 4. Performance comparison of attention-based methods for tumor segmentation.
MethodAccuracy %Sensitivity %Dice %VOE %RVD %ASSD (mm)
Patch Attention95.188.471.129.938.51.72
Tile Attention96.889.772.926.232.51.66
Proposed97.291.175.422.670.2881.50
Table 5. Performance comparison of the Ensemble impact of the 3DIRCADb dataset on the liver.
Table 5. Performance comparison of the Ensemble impact of the 3DIRCADb dataset on the liver.
MethodAccuracy %Sensitivity %Dice %VOE %RVD %ASSD (mm)
Single-Scale Patch Attention94.294.794.18.90.903.6
Single-Scale Tile Attention95.194.294.88.10.723.3
Ensemble98.596.497.036.20.422.32
Table 6. Performance comparison of the Ensemble impact of the 3DIRCADb dataset for the tumor.
Table 6. Performance comparison of the Ensemble impact of the 3DIRCADb dataset for the tumor.
MethodAccuracy %Sensitivity %Dice %VOE %RVD %ASSD (mm)
Single-Scale Patch Attention94.387.370.332.941.31.74
Single-Scale Tile Attention95.787.971.128.435.31.68
Ensemble97.291.175.422.670.2881.50
Table 7. Performance comparison single vs. dual attention.
Table 7. Performance comparison single vs. dual attention.
MethodLiver (Dice)Tumor (Dice)
Single Attention92.770.1
Dual Attention96.2274.4
Table 8. Performance comparison of existing systems using 3DIRCADb dataset.
Table 8. Performance comparison of existing systems using 3DIRCADb dataset.
MethodLiverTumor
DiceVOERVDDiceVOERVD
UNet [22]0.871 ± 0.0110.195 ± 0.0220.084 ± 0.0230.53 ± 0.110.66 ± 0.11−0.09 ± 0.34
Res-UNet [46]0.932 ± 0.0130.1145 ± 0.0230.030 ± 0.0280.622 ± 0.1320.595 ± 0.1320.405 ± 0.179
UNet++ [25]0.943 ± 0.0190.0627 ± 0.0390.0102 ± 0.0520.636 ± 0.1400.5165 ± 0.1531.0961 ± 0.764
UNetAttn [47]0.9552 ± 0.0160.0814 ± 0.0280.0293 ± 0.0350.6782 ± 0.1490.595 ± 0.1690.104 ± 0.875
RA-UNet [37]0.9619 ± 0.0110.0384 ± 0.0250.0056 ± 0.0310.7047 ± 0.1130.5013 ± 0.149−0.0421 ± 0.102
Budak et al. [31]0.95220.09050.07030.643 ± 0.346--
Xie et al. [39]0.96130.05.30.0038---
X-Net [48]0.967 ± 0.0040.065 ± 0.0210.003 ± 0.0020.691 ± 0.0580.361 ± 0.1260.680 ± 0.330
Proposed0.9703 ± 0.0120.062 ± 0.0610.0042 ± 0.0220.754 ± 0.070.2267 ± 0.120.00288 ± 0.13
Disclaimer/Publisher’s Note: The statements, opinions and data contained in all publications are solely those of the individual author(s) and contributor(s) and not of MDPI and/or the editor(s). MDPI and/or the editor(s) disclaim responsibility for any injury to people or property resulting from any ideas, methods, instructions or products referred to in the content.

Share and Cite

MDPI and ACS Style

Idress, W.M.; Zhao, Y.; Abouda, K.A.; Yang, S. DRDA-Net: Deep Residual Dual-Attention Network with Multi-Scale Approach for Enhancing Liver and Tumor Segmentation from CT Images. Appl. Sci. 2025, 15, 2311. https://doi.org/10.3390/app15052311

AMA Style

Idress WM, Zhao Y, Abouda KA, Yang S. DRDA-Net: Deep Residual Dual-Attention Network with Multi-Scale Approach for Enhancing Liver and Tumor Segmentation from CT Images. Applied Sciences. 2025; 15(5):2311. https://doi.org/10.3390/app15052311

Chicago/Turabian Style

Idress, Wail M., Yuqian Zhao, Khalid A. Abouda, and Shaodi Yang. 2025. "DRDA-Net: Deep Residual Dual-Attention Network with Multi-Scale Approach for Enhancing Liver and Tumor Segmentation from CT Images" Applied Sciences 15, no. 5: 2311. https://doi.org/10.3390/app15052311

APA Style

Idress, W. M., Zhao, Y., Abouda, K. A., & Yang, S. (2025). DRDA-Net: Deep Residual Dual-Attention Network with Multi-Scale Approach for Enhancing Liver and Tumor Segmentation from CT Images. Applied Sciences, 15(5), 2311. https://doi.org/10.3390/app15052311

Note that from the first issue of 2016, this journal uses article numbers instead of page numbers. See further details here.

Article Metrics

Back to TopTop