Abstract
In this study, the effects of high hydrostatic pressure treatment on the quality characteristics and the protein structure of vacuum-packed fresh pork and wild boar meats were investigated. Based on the results, an optimal pressure value was determined that would not cause the sensory properties of the treated flesh to differ from that of the untreated fresh meats but would effectively contribute to the extension of shelf life. The conclusion was made that high hydrostatic pressure treatment performed at 200 MPa did not lead to the denaturation of meat proteins and had no significant effect on the pH value or the color parameters. However, the shelf life of the meat could be extended by a week due to the two-orders-of-magnitude germicidal effect of the treatment.
1. Introduction
Nowadays, large-scale red meat consumption by modern society has contributed to many diseases [,]. However, meat supplies nutrients and plays a vital role in human life, with its high biological value protein, mineral and vitamin contents being a crucial component of a well-balanced diet []. Due to increased consumer awareness with respect to the eating quality and nutritional aspects of meat, qualitative research on meat is becoming more important []. Meat quality describes the attractiveness of meat to consumers, which includes color, tenderness, water holding capacity, marbling and flavor []. The most beneficial characteristic of wild boar meat, which can be used in promotion strategies, is its low intramuscular fat content. However, compared to pork, it is a darker and less tender meat [,].
Pork meat and wild boar meat should become an integral part of our daily diet. However, the microbiological risk of eating game meat is higher than from eating domestic animals [,]. To avoid this, two types of packaging are used nowadays, vacuum and modified atmosphere packaging (MAP) []. Both types aim to achieve microbiologically stable products by inhibiting and suppressing the growth of microorganisms []. The shelf life of products packaged using one of these methods can be a maximum 2–3 weeks under refrigerated conditions (0–2 °C) [,,]. However, traders expect the products to retain an excellent quality and freshness for as long as possible, and consumer trends have moved towards a healthy lifestyle []. In addition, it is now necessary to take into account that the products meet the expectations of an environmentally conscious society []. Consumers’ perceptions and evaluations of meat quality attributes such as color influence purchasing decisions, so these are very important factors too [,,,]. Based on all these factors, it was necessary to develop a process that would not affect the sensory properties of the treated products, while ensuring microbiological stability. As a result, high hydrostatic pressure treatment (HHP) was developed. This technology can preserve the original, natural appearance of the products and ensure appropriate microbiological safety, therefore increasing the shelf life of processed foods [,]. The effectiveness of HHP treatment depends primarily on the pressure applied. To treat meat and meat products, pressure levels of 400–600 MPa must be used. In most cases, these treatments have led to an inactivation of more than four log units for the most common vegetative pathogenic and spoilage microorganisms, resulting in improved safety and an increased shelf-life []. However, the application of higher pressure levels (400–600 MPa) can induce color changes in fresh red meat due to myoglobin denaturation and oxidation [], which are more pronounced compared to white or cured meats. For instance, beef may fade to a brownish tint after HHP treatment. This brown discoloration is due to the formation of metmyoglobin, which is a consequence of the oxidation of Fe2+ ions to Fe3+ ions in the HEME component of myoglobin (Figure 1) [,].

Figure 1.
Myoglobin redox in fresh meats [].
In addition to the oxidative modification of myoglobin, the oxidation of other proteins that can be found in meat can also take place due to the application of HHP treatment. The process can be induced directly by reactive oxygen and nitrogen species, or indirectly by many species including radicals or reactive aldehydes and ketones [,]. Thus, a high complexity of pathways and a large variety of oxidation products have been described []. Protein oxidation involves both the carbonylation and oxidation of thiols with the formation of disulfide bridges and the formation of compounds involving irreversible bonds resulting from a protein rearrangement (polymerization, aggregation, and scission) and a modification of amino acid chains. The formation or dissociation of disulfide bridges and the formation of carbonyl groups can be described as indicators of protein oxidation. Therefore, the influence of HHP treatment on proteins can also be evaluated by measuring their content [,,,].
High hydrostatic pressure significantly impacts the structural and functional properties of muscle proteins; aside from denaturation a change in solubility and gel formation can commonly occur [,,,]. Under pressure, sarcoplasm proteins are highly susceptible to denaturation [], and these changes can be tracked through the application of gel electrophoretic methods (SDS-PAGE and native-PAGE) [].
Myofibrillar proteins, which account for approximately 55% of all muscle proteins, can also be affected by HHP treatment. Differential scanning calorimetry (DSC) is the most straightforward procedure and effective method to register the process of myofibrillar protein denaturation [].
HHP can be responsible for the dissociation of non-covalent, ionic, hydrophobic, and hydrogen bonds to change the secondary, tertiary, and quaternary structures of myofibrillar proteins. The pressure level induces either local or global changes in protein, and eventually leads to denaturation by altering the balance of the interactions that stabilize the conformation of native proteins [].
The aim of this study was to investigate the effects of high hydrostatic pressure (HHP) treatment on the quality characteristics and the protein structure of vacuum-packed fresh pork and wild boar meats. It was also intended to determine an optimal pressure level at which the sensory properties of pork and wild boar meats (e.g., color) are not changed to a remarkable extent compared to fresh meat but have a longer shelf life.
2. Materials and Methods
2.1. Ethical Statement
During the experiment, the meat of wild boars was used. Wild boars were hunted in an ethical way which means that hunters knew and respected the game being hunted. The hunting was continuously supervised by an Animal Welfare Officer and all animal welfare requirements, particularly Regulation (EC) No 1099/2009 on the protection of animals at the time of killing, were complied with.
2.2. Preparation of Samples
During the experiment, ham from Large White swine (Sus scrofa domesticus) and wild boar (Sus scrofa) was investigated. Only the flesh of females was used. Both the farmed pigs and the wild ones, which were hunted in Northern Hungary, were aged within the range of 6–8 years. Meat from the bred species was obtained from Borotai Sertéshús Zrt, which is a Hungarian breeder and processing company specialized in pork. The wild boar was also sourced from a Hungarian enterprise called Matusz-Vad Zrt. The fresh deboned meat samples were transported to our center for the experiment in vacuum packed form under chilled conditions (3 °C) and were immediately processed after the delivery. Semimembranosus muscles were dissected from the total of 40 hams; all of them were derived from different individuals, 20 from Large White swine and 20 from wild boar, and were cut into 4 equal-sized pieces (approximately 6 × 4 × 1.5 cm, weighed between 80 and 85 g). The 80 samples thus produced, 40 from Large White swine and 40 from wild boar, were individually placed into polyethylene (PE) vacuum packs and were packed with a Multivac C100 vacuum packaging machine (Multivac Sepp Haggenmüller SE & Co.KG, Wolfertschwenden, Germany). Then, the samples were randomly allocated into 5 equal-sized groups. The experimental groups are shown in Table 1.

Table 1.
The experimental groups.
2.3. Execution of Treatment
The prepared samples—except the control ones—were subjected to high hydrostatic pressure. The treatment was executed using a Resato FPU-100-2010 high hydrostatic pressure machine (Resato International BV., Assen, The Netherlands). The pressure build-up rate was 100 MPa/min. The duration of the treatment was 5 min and the temperature in the chamber of the machine was 5 °C in each case. After the treatment was complete, the samples were stored under chilled conditions at 3 °C for 3 weeks. During this time, 4 measurements were taken. The schedule of measurements is shown in Table 2.

Table 2.
The schedule of measurements.
2.4. Color Measurement
The color was measured using a Minolta CR 400 (Konica Minolta Inc., Tokyo, Japan) portable chromameter with D65 illuminant and an aperture size of 8 mm with a closed cone at 90° to the sample surface. Data were evaluated in the CIELab color space where L* is lightness, a* is redness, and b* is yellowness. The color measurements were carried out on three different points of the samples (top, middle, and bottom) without opening the packs. Therefore, colorimeter calibration was performed just before the measurements using the same PE vacuum pack in which the samples were packed. The same measurement method was used as other researchers [,].
The color differences (ΔE*) between samples from different experimental groups were calculated after each measurement using Equation (1).
Color differences visible in human perception were evaluated based on the method in Reference [] and the human perception test was described by the authors of Reference [] (Table 3).

Table 3.
Perceived color difference (ΔE*) by human perception [,].
2.5. pH Measurement
After opening the packs, the pH was measured on three different points on the samples (top, middle, and bottom) using a Testo 206 pH2 digital pH meter (Testo SE & Co. KGaA, Baden-Württemberg, Germany). The instrument was previously calibrated to pH 4.01 and pH 7.01 buffer solutions.
2.6. Texture Analysis
Texture analysis was carried out using SMS TA. XT Plus Texture Analyzer (Stable Micro System Ltd., Godalming, UK) with Texture Exponent 32 software. Swine and wild boar samples for texture profile analysis (TPA) were formed into cylinders with a height and a diameter of 15 mm. The samples were cut off along the axis of the muscle. The prepared samples were placed under a cylindrical probe, the diameter of which was 35 mm. The velocity of the probe during the measurement is shown in Table 4.

Table 4.
The velocity of the probe during the measurement.
The penetration of the probe was 75% of the sample height. After the retraction, there was a 2 s pause and then a second compression was performed. The temperature of the samples was 5 °C. They were placed in a way that the muscle fibers were at a 90 degree angle to surface. Resistance (N) was recorded every 0.01 s and plotted on a force–time plot [].
2.7. Microbiological Measurments
The total viable anaerobic microbial count was determined, and each sample was tested for Enterobacteriaceae. In the case of the previous one, MSZ EN ISO 4833-2:2014 standard [] was followed, and the latter one was executed by applying MSZ ISO 21528-2 standard [].
Sampling was performed in a Cruma Biosafety Cabinet Class II A2 (Diantech Solutions S.L., Andorra, Spain) using previously sterilized tools. A 10 g sample was cut off from the surface and put into a sterile test tube. Then, decimal dilution was applied with a sterile distilled water solution containing 1% (m/m) peptone and 8.5% (m/m) NaCl. The samples were homogenized for 3 min at 13.500 rpm with an Ultra-Turrax T25 homogenizer (Ika Werke, Staufen im Breisgau, Germany). Then, further decimal dilution was carried out using the homogenized samples. The double-diluted samples were homogenized with an iSwix Vortex Mixer (Accumax LabDevices Pvt. Ltd., Gandhinagar, India) for 1 min at 2.500 rpm. This step was repeated once again so a dilution to a thousandth was obtained from each sample. Finally, for the determination of total viable anaerobic microbial count, a 0.1 mL inoculum of each diluted solution—decimal, hundredth, thousandth—of each sample was dispersed on Nutrient agar with a sterile glass spreader. In the case of Enterobacteriaceae, the same steps and conditions were applied but Violet Red Bile Glucose (VRBG) agar was used. The temperature and time of incubation are shown in Table 5.

Table 5.
The temperature and time of incubation.
The isolated colonies developed during the incubation were counted with a WTW BZG 30 colony counter (WTW PLC, London, UK) to determine the total number of colony-forming units per gram of meat (CFU/g).
2.8. Protein Analysis Using Differential Scanning Calorimetry (DSC)
During the thermodynamic analysis of the control and the pressure-treated samples, a Micro DSC III microcalorimeter (Setaram Inc., Caluire, France) was used. The reference sample was distilled water. The samples were measured in the temperature range of 20–95 °C. In the case of animal-derived products, a heating rate of 3 °C/minis usually chosen, but during this measurement it was selected to be 1.5 °C/min in order to obtain more accurate results []. The weight of the samples was 760 ± 10 mg in each case. The evaluation of the obtained heat flow curves was performed with the Calisto Processing thermal analysis software (Version: 1.08, Setaram Inc., Caluire, France).
2.9. Analysis of Sarcoplasmic Proteins Using Sodium Dodecyl Sulfate–Polyacrylamide Gel Electrophoresis (SDS-PAGE)
To perform the SDS-PAGE analysis of sarcoplasmic proteins, extracts were taken from each sample. The process was carried out using the method described by [,]: 5 g of minced sample was homogenized with 10 mL of 0.05 M NaCl solution for 3 min at 13.500 rpm with Ultra-Turrax T25 homogenizer (Ika Werke, Staufen im Breisgau, Germany). In order to prevent an increase in the temperature of the samples during the homogenization, the tube was placed into ice pellet. Then, it was centrifuged for 10 min at 15.000 rpm using a Beckman J2-21 centrifuge (Beckman Coulter, Inc., Brea, CA, USA). The supernatant containing the solution was filtered. To determine the resolution of the sarcoplasmic fractions, Precision Plus Protein™ All Blue Prestained Protein Standard was used (Bio-Rad, Hercules, CA, USA). The separating gel contained 15% and the stacking gel 6% acrylamide. Each sample was mixed with an equal volume of a sample buffer containing 2% of SDS, 5% of β-mercaptoethanol, 10% of glycerol, and 0.05% (w/v) of bromophenol blue (as a front marker) in 0.5 mmol l−1 Tris-HCl pH 6.8 and it was placed in a 100 °C water bath for 2 min []. Electrophoresis was executed in a Mini-PROTEAN Tetra Cell (Bio-Rad, Hercules, CA, USA) at 200 V until the bromophenol blue marker reached the bottom of the gel (45 min). Then, the gels were stained for 20 min in a 0.2% (w/v) Coomassie Brilliant Blue solution (0.2 g Coomassie Brilliant Blue R-250, 50 mL distilled water, 10 mL acetic acid, 40 mL ethanol) and washed 3 times for 10 min with 10% acetic acid solution. Finally, the gels were scanned using the Bio-rad Gel Doc XR gel imaging system and then evaluated with the Image Lab analysis program (ver. 6.1).
2.10. Statistical Analysis
The data obtained were evaluated with statistical software (IBM Corp. Released 2019. IBM SPSS Statistics for Windows, Version 26.0.; IBM Corp., Armonk, NY, USA). Three parallel measurements were performed on all samples for each parameter and the average value of the results was compared. The results of color measurement were evaluated using a two-way multivariate analysis of variance (two-way MANOVA). The MANOVA test was performed with Bonferroni correction instead of repeated measures analysis of variance (RMANOVA) because the assumption test of sphericity was violated. In the case of pH and texture, a one-way analysis of variance (two-way ANOVA) was applied. The ANOVA test was performed instead of multivariate analysis of variance (MANOVA) because the dependent variables (pH and texture) were independent of each other based on Pearson’s correlation test. In all cases, the normality of the residuals was proved by Shapiro–Wilk test and the homogeneity of variance was proved by Levene’s test. The significance level was chosen to be p ≤ 0.05 in each case. Finally, Dunnett’s post hoc test was performed.
3. Results
3.1. Color
The effect of high hydrostatic pressure treatment on perceptual lightness (L*) is shown in Figure 2.


Figure 2.
The effect of high hydrostatic pressure treatment on perceptual lightness (L*). Different superscript letters on the bars indicate significant differences. (A) Large White swine. (B) Wild boar.
The statistical analysis showed that only samples treated at 300 MPa differed significantly (p < 0.05) from the control, untreated meats in terms of their perceptual lightness (L*). The same trend was observed in both Large White swine and wild boar meats. The significant difference first appeared just after the preservative process and lasted until the end of the experiment. The length of storage did not have a significant impact (p = 0.141) on the L* parameter of the pork samples, nor did it significantly (p = 0.175) influence the same color component of wild boar meat. The interaction effect between the independent factors was not significant in either case (Large White swine: p = 0.217, wild boar: p = 0.249).
The effect of high hydrostatic pressure treatment on the red/green opponent color (a*) is shown in Figure 3.


Figure 3.
The effect of high hydrostatic pressure treatment on red/green opponent colors (a*). Different superscript letters on the bars indicate significant differences. (A) Large White swine. (B) Wild boar.
High hydrostatic pressure treatment proved to have a significant effect on the red/green component, but only above a certain pressure. In the case of Large White swine, samples treated at 250 and 300 MPa were found to differ significantly (p < 0.05) from the not treated ones. In the case of wild boar meat, a significant difference (p < 0.05) was only experienced at 300 MPa. The results showed that the storage time did not affect significantly the a* values (Large White swine: p = 0.237, wild boar: p = 0.194). The interaction effect between the treatment and time was also not significant in either the case of pork (p = 0.174) or in the case of wild boar (p = 0.152).
The effect of high hydrostatic pressure treatment on the yellow/blue component (b*) is shown in Figure 4.


Figure 4.
The effect of high hydrostatic pressure treatment on yellow/blue component (b*). Different superscript letters on the bars indicate significant differences. (A) Large White swine. (B) Wild boar.
According to the results, the high hydrostatic pressure had a significant effect on the yellow/blue component (b*). A significant difference (p < 0.05) was detected when applying hydrostatic pressures of 250 and 300 MPa in the case of pork. The length of storage also had a significant impact. On Day 7 and Day 14, the b* color parameter of Large White swine samples treated at 200 MPa was significantly different (p < 0.05) from the control samples. The interaction effect between the independent factors was also found to be significant (p < 0.05). In the case of wild boar meat, the treatments performed at 250 and 300 MPa were proven to cause a significant difference (p < 0.05) compared to the control samples. However, unlike the pork samples the time factor did not have a significant influence (p = 0.219) on the b* color coordinate. The interaction between the preservative treatment and the period of time was not significant either (p = 0.162).
The color difference (ΔE*) between the untreated and treated samples calculated at each measurement time is shown in Table 6.

Table 6.
Color difference (ΔE*) between untreated and treated samples.
The color difference (ΔE*) between the untreated and treated samples was only visible to experienced observers in the case of pressures of 150 and 200 MPa. However, the application of 250 and 300 MPa pressures resulted in a color difference (ΔE*) which could be noticed by even unexperienced evaluators. Studies have shown that after HHP treatment, the lightness (L*) value increases while the redness (a*) value decreases. For instance, the treated pork exhibited a higher L* value and a lower a* value over time compared to untreated samples [,]
The color changes can also be influenced by the storage conditions post-treatment. For example, HHP-treated meat may continue to show changes in color during cold storage due to ongoing biochemical reactions [,]
3.2. pH
The effect of high hydrostatic pressure treatment on the pH of the Large White swine and wild boar samples is shown in Figure 5.

Figure 5.
The effect of high hydrostatic pressure treatment on the pH of the Large White swine and wild boar samples. Different superscript letters on the bars indicate significant differences. (A) Large White swine. (B) Wild boar.
Neither the preservative treatment (p = 0.246) nor the storage time (p = 0.297) had a significant impact on the pH of the Large White swine samples. The interaction between the independent variables was also not significant (p = 0.179). In the case of wild boar, the same conclusion was drawn. Applying the high hydrostatic pressure did not result in any significant change (p = 0.164) regarding the pH values of the samples. No significant change was observed during storage (p = 0.143). The interaction effect between the treatment and the storage time was also not significant (p = 0.211). However, a continuous decrease was visible in the case of samples not subjected to the preservative treatment.
3.3. Texture
The effect of high hydrostatic pressure treatment on the texture of the Large White swine samples is shown in Table 7.

Table 7.
Results of TPA measurement of Large White swine.
The effect of high hydrostatic pressure treatment on the texture of the wild boar samples is shown in Table 8.

Table 8.
Results of TPA measurement of wild boar.
During the texture analysis, hardness (N), cohesiveness (-), springiness (mm), and chewiness (mJ) were measured. A significant difference (p < 0.05) was detected in all parameters compared to the untreated samples [,]. Wild boar was found to be harder than domestic pork and was also more chewy. Both meats were tenderized by the 200 MPa hydrostatic pressure but the effect was not long term. The refrigerated storage did not have a significant effect (p = 0.325) on the parameters. The interaction effect between the independent factors was proven not to be significant (p = 0.237).
3.4. Microbiology
The effect of high hydrostatic pressure treatment on the total viable anaerobic microbial count of the Large White swine and wild boar samples is shown in Figure 6.


Figure 6.
The effect of high hydrostatic pressure treatment on the total viable anaerobic microbial count of the Large White swine and wild boar samples. (a) Large White swine. (b) Wild boar.
The preservative treatment performed at 200 MPa was able to reduce the total number of anaerobic microorganisms by two orders of magnitude, while the 300 MPa treatment resulted in a reduction of three orders of magnitude. The number of colony-forming units reached a 109 magnitude at the end of the experiment in the case of pork and a 108 magnitude in the game meat.
The effect of high hydrostatic pressure treatment on the Enterobacteriaceae count of the Large White swine and wild boar samples is shown in Table 9 and Table 10.

Table 9.
The effect of high hydrostatic pressure treatment on the Enterobacteriaceae count of the Large White swine samples.

Table 10.
The effect of high hydrostatic pressure treatment on the Enterobacteriaceae count of wild boar samples.
The 200 MPa hydrostatic pressure could reduce the count by an order of magnitude in the case of both samples. Meats not treated with HHP resulted in a 103-magnitude reduction regarding Enterobacteriaceae. The number of colony-forming units in the case of the preserved samples did not exceed 50/g.
3.5. Protein Analysis
The results of the protein analysis of Large White swine samples using Differential Scanning Calorimetry are shown in Figure 7.

Figure 7.
(a) DSC termogram of Large White swine samples after the preservative treatment on Day 0. (b) DSC termogram of Large White swine samples after the preservative treatment on Day 21.
In the case of sarcoplasmic proteins, a continuous broadening of the peak could be observed under increasing pressure values, which separated at 300 MPa. As the pressure increased, the peaks marking actin shifted in a negative direction. In the samples treated at 250 MPa, myosin completely disappeared during the 21-day-long storage; sarcoplasmic proteins separated at 200 MPa (indicating the appearance of decomposition products), while actin was present in the samples throughout the entire storage period. Another study has shown full denaturation of myosin at 200 MPa for turbot [,].
The results of the protein analysis of Large White swine samples using Differential Scanning Calorimetry are shown in Figure 8.

Figure 8.
(a) DSC termogram of wild boar samples after the preservative treatment on Day 0. (b) DSC termogram of wild boar samples after the preservative treatment on Day 21.
Figure 8 shows that at the initial values of wild boar meat samples, an overlap between the myosin and sarcoplasmic proteins was experienced, but with increasing hydrostatic pressure a separation could be observed. Then, the peak in myosin flattened out, while sarcoplasmic proteins were still present under the applied parameters. Due to the increase in pressure, a continuous decrease in actin was visible. Of the proteins examined, sarcoplasmic proteins were proven to be the most resistant [], as only this protein could be detected in samples treated at 300 MPa.
3.6. Analysis of Sarcoplasmic Proteins)
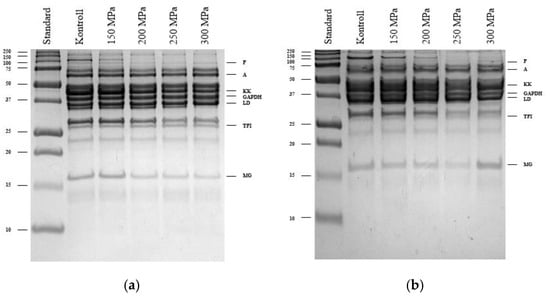
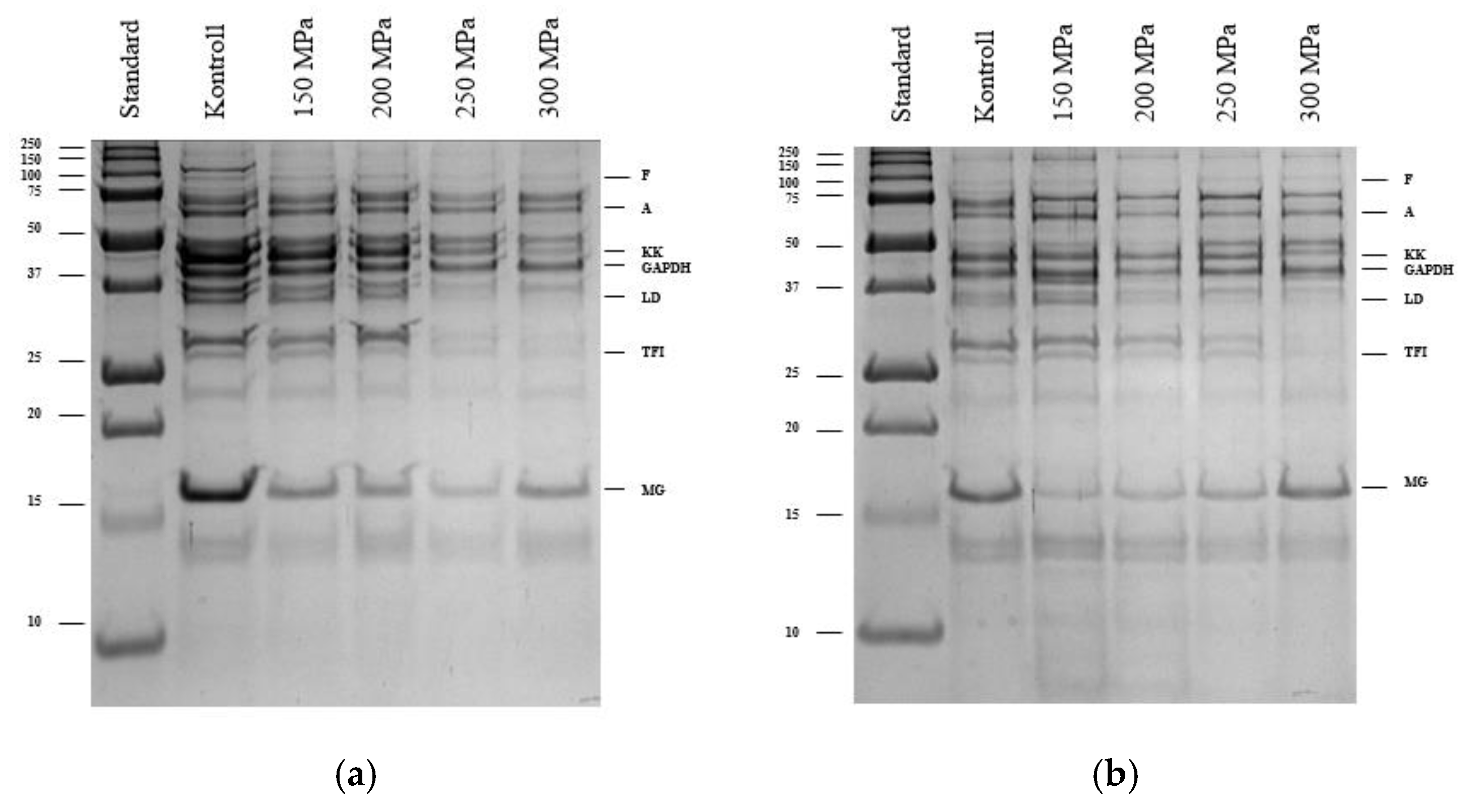
The results of the sarcoplasmic protein analysis of Large White swine samples using Sodium Dodecyl Sulfate–Polyacrylamide Gel Electrophoresis are shown in Figure 9.

Figure 9.
(a) SDS-PAGE pattern of Large White swine samples after the preservative treatment on Day 0. (b) SDS-PAGE pattern of Large White swine samples after the preservative treatment on Day 21.
Protein is a fundamental component of meat, playing a crucial role in determining its structure, nutritional value, and texture. Additionally, proteins present during the post-mortem process influence meat quality, particularly its tenderness. Therefore, their examination during treatment is essential to draw the appropriate conclusions.
A protein standard was applied to the first pocket of each gel, which contained proteins of different known molecular weights within the range of 250 and 10 kDa. Using these standards, the unknown sarcoplasmic proteins that appeared on the gels were identified. The control sample was represented in the second pocket, while the protein patterns of meat samples treated at different pressure values were shown in the other pockets in ascending order based on pressure values.
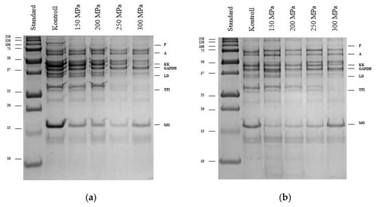
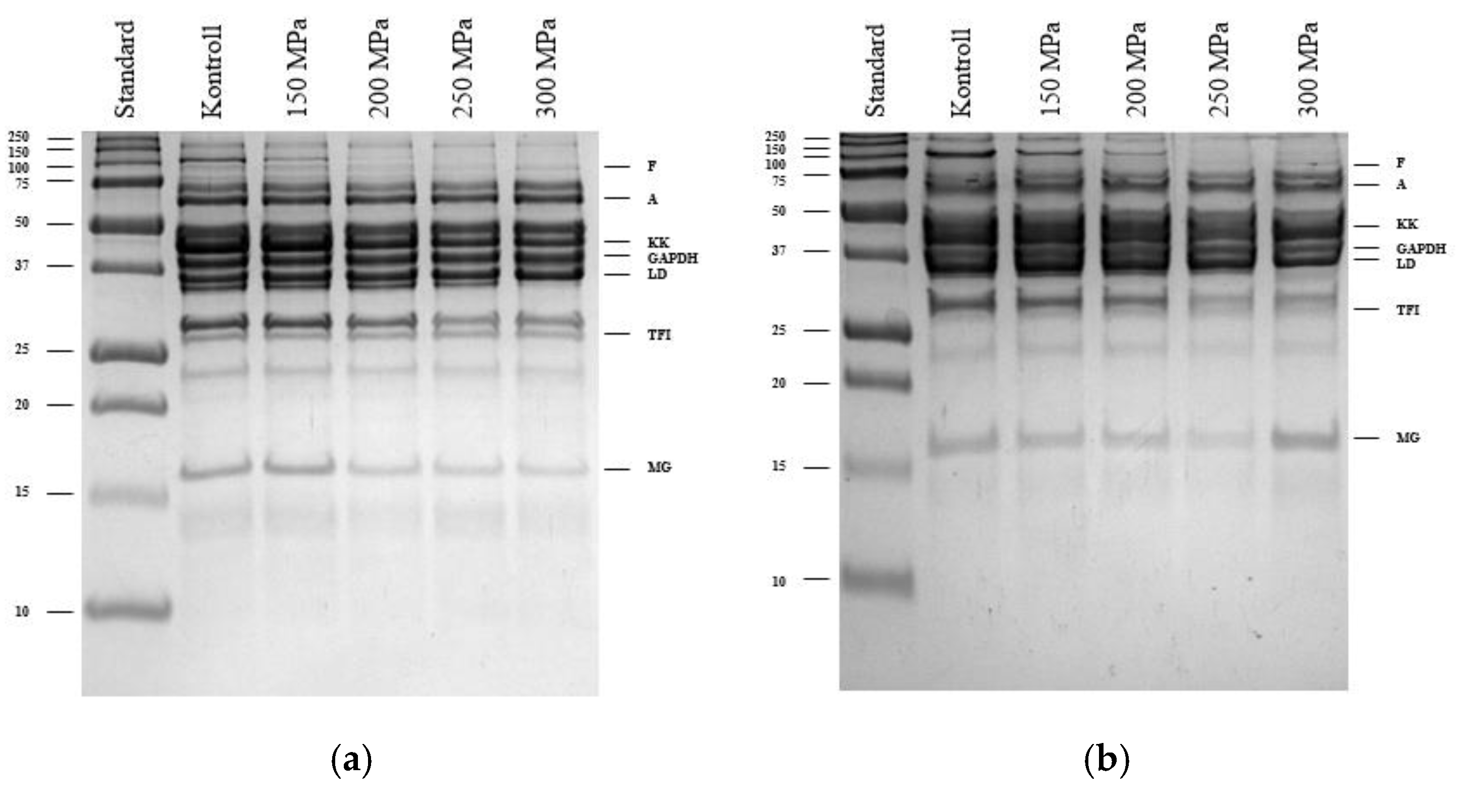
The results of the sarcoplasmic protein analysis of wild boar samples using Sodium Dodecyl Sulfate–Polyacrylamide Gel Electrophoresis are shown in Figure 10.

Figure 10.
(a) SDS-PAGE pattern of wild boar samples after the preservative treatment on Day 0. (b) SDS-PAGE pattern of wild boar samples after the preservative treatment on Day 21.
A decrease in the intensity of the bands of proteins from wild boar meat samples, or even their disappearance in some cases, could be observed. In many cases, the changes in protein solubility as a result of HHP treatment were visible on the gel. []. However, the sarcoplasmic proteins were present throughout the experiment.
4. Discussion
4.1. Color
Based on the results of instrumental color measurements, it can be stated that the game meat was darker than the meat of domestic pigs []. The value of perceptual lightness (L*) was lower and the value of red/green components was higher in the case of wild boar samples. This phenomenon can be attributed to several explanations. Animals in the wild, unlike domesticated ones, typically move a lot and travel long distances searching for food [,]. During motion, much more oxygen is required for the body than when they are just kept in pens. So wild boars, like other wild animals, need more oxygen to bind and supply their muscles. This function is performed by the sarcoplasmic protein called myoglobin. It can primarily be found in muscle cells in large quantities. Myoglobin consists of a polypeptide chain with a heme group attached to it. The heme macromolecule is built up of four pyrrole rings, the nitrogen atoms of which form a complex with divalent iron ions []. Iron is the central element, so the redder the meat, the higher its iron content [,]. Overall, it can be stated that wild boar meat is darker due to its higher myoglobin, and therefore higher iron content [,].
By analyzing the perceptual lightness (L*) values of Large White swine, it can be concluded that the pork samples were affected by a defect called PSE. Pale, soft, and exudative meats predominantly occur in the case of pork but also common in the case of poultry. These defective types of meats are characterized by a high initial carbohydrate concentration, rapid glycolysis, and the production of large amounts of lactic acid which causes the pH to drop to around 5.2–5.3. Its characteristics include a light color, loose texture, and poor water binding capacity [].
Based on the results of the color measurement, it can be stated that no significant changes occurred during the three-week long storage period in either the Large White swine samples or the wild boar. This means that the time elapsed after treatment only minimally affected the color of the samples subjected to high hydrostatic pressure. The change in tone was therefore determined by the magnitude of the applied pressure, which can be traced back to the alteration in the spatial structure of myoglobin. HHP treatment often results in a decrease in redness in fresh red meats such as beef, lamb, and pork. This is largely attributed to the oxidation of oxymyoglobin (which gives meat its bright red color) to metmyoglobin, which appears brownish [,]
4.2. pH
A gradual decrease in terms of pH could be observed during the storage in the case of control samples not subjected to the preservative treatment. This phenomenon can be attributed to the metabolism of lactic acid-producing microorganisms. These microbes produce lactic acid as an end product during the fermentation of carbohydrates under anaerobic conditions [,]. In the case of homofermentative fermentation, 95% of the product metabolized is lactic acid, but in heterofermentative fermentation, additional products such as carbon dioxide, acetic acid, ethanol, formic acid, and glycerol are also produced [,].
When applying hydrostatic pressures of 200, 250, and 300 MPa, only a minimal decrease in the pH value was observed. The reason for this is the lethal effect of hydrostatic pressure on microorganisms.
The difference in pH between wild boar and domestic pig samples can be attributed to the PSE meat defect of pork [].
A significant difference (p = 0.235) was not observed in the case of pH regarding either the pork samples or the wild boar meats. However, a decrease was visible in the case of samples not subjected to the preservative treatment []. HPP treatments at lower pressures (e.g., 100–150 MPa) can lead to a decrease in pH by about 0.6 to 0.8 units in red meats like bovine and ovine muscles []. Conversely, higher pressures (e.g., 400 MPa) can increase pH levels, with reported increases from 5.6 to 5.8 in porcine muscles after treatment Some studies had shown that, after HHP treatment, the pH of fresh red meat typically increases compared to unpressurized samples. This increase can be attributed to the denaturation of proteins, which leads to a loss of acidic groups in the meat [,]
4.3. Texture
The treatment performed at 200 MPa hydrostatic pressure had a tenderizing effect on both the game meat and pork samples []. Although the difference in hardness gradually decreased during storage compared to other pressure values, it remained significant throughout the entire experiment.
Significant hardening was not observed under 300 MPa pressure. It can therefore be stated that treatment at this pressure value did not result in large-scale denaturation of proteins, which would have led to the hardening of the texture [].
In general, differences in the parameters of texture can also be caused by the age of the animals. Domestic pigs are usually slaughtered at the age of 6–8 months. Due to the optimized feeding and housing conditions, their weight gain is excessively swift and no more time is needed to reach the final weight of 100–120 kg. In contrast, wild boars can live much longer, up to 10 years, before being shot by hunters, and the meat of older animals is harder and more chewy.
The intramuscular fat content of meat can also influence the results of texture analysis. Since wild boars, like other wild animals, move a lot, their meat is typically leaner than that of domestic pigs.
4.4. Microbiology
The lethal effect of high hydrostatic pressure treatment on microbes is the result of a combination of several factors [,]. The detachment of the cell wall from the cytoplasmic membrane, the increase in cell wall permeability, and the reversible and irreversible denaturation of the protein structure also contribute to the destruction of pathogenic cells. It can be stated that cell morphology, the stage of proliferation, and the temperature applied during the treatment also influence the inactivation [,]. Spores are extremely resistant to hydrostatic pressure. Even the application of 1000 MPa pressure is not sufficient for complete inactivation, while treatment at a low pressure stimulates germination, which is a phase in which there is greater sensitivity to heat and pressure [,].
The 200 MPa hydrostatic pressure treatment resulted in a two-orders-of-magnitude reduction in total anaerobic germ count. When applying 250 and 300 MPa, a reduction of three orders of magnitude was observed. The total number of colony-forming units in the samples treated with 300 MPa pressure did not exceed 106/g at the end of storage, in either the case of Large White swine or wild boar. No slime was observed on the surface of the samples preserved applying this parameter and they did not have an unpleasant, inappropriate odor.
The initial total anaerobic microbial count in the wild boar meat did not exceed the 105 magnitude, and was lower than the same value for the Large White swine.
High hydrostatic pressure treatment had a clear germicidal effect on the representatives of the Enterobacteriaceae family; however, at the end of the experiment there was no difference regarding the total count between the applied pressure values. It has to be mentioned that microorganisms of the Enterobacteriaceae family are Gram-negative bacteria, and Gram-negative vegetative cells are more sensitive to hydrostatic pressure treatment than Gram-positive ones [].
4.5. Protein Analysis
According to the results of the DSC analysis of swine meat, it can be stated that myosin, which is the most abundant myofibrillar protein, is sensitive to high hydrostatic treatment even in lower pressure ranges [,].
The results showed that the proteins present in the samples were fragmented under the effect of a lower pressure treatment, and during the storage they were broken down as a consequence of the activity of proteolytic enzymes. This clearly indicated the maturation of the meat, as a result of which the amount of denaturable proteins decreased.
To quantify the denaturation of proteins, the values of the denaturation enthalpy were determined. This thermodynamic property allowed the quantitative characterization of proteins by determining the areas under the denaturation peaks. In the case of swine, the heat flow values did not show any large change either due to changes in pressure values or storage time []. In contrast, a remarkable decrease could be observed in the wild boar meat at the end of storage. This indicated that the cohesive force between proteins was weakened by the proteolytic enzymes released, which meant that less energy would be sufficient to denature the proteins. However, the effect of enzymes appeared to decrease at 250 MPa, thanks to which a notable difference was not visible between the fresh and aged samples, which indicated partial or complete denaturation of the enzyme system [].
Overall, it can be stated that the observed meat proteins were affected even by low hydrostatic pressure values (150–300 MPa) []. Actin and myosin were found to be more sensitive to HHP treatment than collagen and sarcoplasmic proteins.
4.6. Analysis of Sarcoplasmic Proteins
Since the changes in sarcoplasmic proteins could not be clearly tracked during the DSC measurement, these proteins were also analyzed by SDS-PAGE for more accurate monitoring. Most of the sarcoplasmic proteins are made up of enzymes involved in energy-producing processes []. Of these, the following were identified: phosphorylase (F—approx. 92 kDa), albumin (A—approx. 64 kDa), creatine kinase (KK—approx. 44 kDa), glyceraldehyde phosphate dehydrogenase (GAPDH—approx. 39kDa), lactate dehydrogenase (LD—approx. 35 kDa), and triphosphate isomerase (TFI—approx. 27.5 kDa). In addition to the enzymes, myoglobin (MG—approx. 16 kDa), which is responsible for meat color and is particularly important for the food industry, was also detected.
A slight change in the sarcoplasmic proteins of swine meats was observed with increasing pressure values within the range of 150 to 300 MPa. However, at the end of storage, the bands became blurred due to enzyme activity. A decrease in the intensity of the protein bands in wild boar meat samples, and in some cases their disappearance, was observed. This phenomenon indicated the denaturation or aggregation of the proteins []. Other authors have also reported similar results in their studies of sarcoplasmic proteins after HHP treatment [,].
5. Conclusions
Based on the results, it can be concluded that the application of hydrostatic pressure of 200 MPa did not significantly affect the pH value of vacuum-packed Large White swine and wild boar meats. Under the effect of the chosen pressure value, a significant amount of the meat proteins were not denatured and there was no visible difference regarding the color between the treated and untreated samples according to unexperienced observers. This is of crucial importance since either the denaturation or the oxidation of myoglobin can result in a change in color, which plays an important role in consumer decision-making process.
As a result of the two-orders-of-magnitude germicidal effect, the processed samples could be kept for up to 2 weeks under refrigerated conditions. With the application of vacuum packaging, the possibility of post-contamination can also be excluded, which could negatively affect the microbiological state of the products.
By increasing the shelf life, it is possible to create a kind of buffer capacity not only for catering units but also for average households. This makes the use of raw meats more plannable, and the amount of food waste can be reduced.
Author Contributions
Conceptualization, I.C.N.-Z. and B.C.; methodology, K.M. and G.H.; validation, K.M. and B.A.; formal analysis, B.K.-B. and Z.H.-M.; investigation, I.C.N.-Z., B.C., and K.M.; resources, E.P. and G.H.; data curation, B.K.-B., and E.P.; writing—original draft preparation, K.M. and I.C.N.-Z.; writing—review and editing, K.M. and G.H.; visualization, B.K.-B.; supervision, I.C.N.-Z.; project administration, E.P. and B.C.; funding acquisition, G.H. All authors have read and agreed to the published version of the manuscript.
Funding
This research received no external funding.
Institutional Review Board Statement
Not applicable.
Informed Consent Statement
Not applicable.
Data Availability Statement
The data presented in this study are available upon request from the corresponding author.
Conflicts of Interest
The authors declare no conflicts of interest.
References
- Alisson-Silva, F.; Kawanishi, K.; Varki, A. Human Risk of Diseases Associated with Red Meat Intake: Analysis of Current Theories and Proposed Role for Metabolic Incorporation of a Non-Human Sialic Acid. Mol. Aspects Med. 2016, 51, 16–30. [Google Scholar] [CrossRef] [PubMed]
- Conner, T.S.; Gillies, N.A.; Worthington, A.; Bermingham, E.N.; Haszard, J.J.; Knowles, S.O.; Bernstein, D.R.; Cameron-Smith, D.; Braakhuis, A.J. Effect of Moderate Red Meat Intake Compared With Plant-Based Meat Alternative on Psychological Well-Being: A 10-Wk Cluster Randomized Intervention in Healthy Young Adults. Curr. Dev. Nutr. 2025, 9, 104507. [Google Scholar] [CrossRef] [PubMed]
- Pereira, P.M.d.C.C.; Vicente, A.F.d.R.B. Meat Nutritional Composition and Nutritive Role in the Human Diet. Meat Sci. 2013, 93, 586–592. [Google Scholar] [CrossRef] [PubMed]
- Verbeke, W.; Van Oeckel, M.J.; Warnants, N.; Viaene, J.; Boucqué, C.V. Consumer Perception, Facts and Possibilities to Improve Acceptability of Health and Sensory Characteristics of Pork. Meat Sci. 1999, 53, 77–99. [Google Scholar] [CrossRef]
- Shi-Zheng, G.; Su-Mei, Z. Physiology, Affecting Factors and Strategies for Control of Pig Meat Intramuscular Fat. Recent Pat. Food Nutr. Agric. 2009, 1, 59–74. [Google Scholar] [CrossRef]
- Sales, J.; Kotrba, R. Meat from Wild Boar (Sus scrofa L.): A Review. Meat Sci. 2013, 94, 187–201. [Google Scholar] [CrossRef]
- Guzek, D.; Głąbska, D.; Plewa, P.; Kozań, K.; Pietras, J.; Plewa, R.; Pogorzelska, E.; Pogorzelski, G.; Trajer, J.; Wierzbicka, A. Wild Boar Meat Sensory Attributes Contributing General Meat Quality. J. Vet. Res. 2013, 57, 357–363. [Google Scholar] [CrossRef]
- Nassu, R.T.; Juárez, M.; Uttaro, B.; Aalhus, J.L. Fresh Meat Packaging: Trends for Retail and Food Service. CABI Rev. 2010, 2010, 1–9. [Google Scholar] [CrossRef]
- Boers, R.H.; Dijkmann, K.E.; Wijngaards, G. Shelf-Life of Vacuum-Packaged Wild Boar Meat in Relation to That of Vacuum-Packaged Pork: Relevance of Intrinsic Factors. Meat Sci. 1994, 37, 91–102. [Google Scholar] [CrossRef]
- Schumann, B.; Schmid, M. Packaging Concepts for Fresh and Processed Meat—Recent Progresses. Innov. Food Sci. Emerg. Technol. 2018, 47, 88–100. [Google Scholar] [CrossRef]
- Daniloski, D.; Petkoska, A.T.; Galić, K.; Ščetar, M.; Kurek, M.; Vaskoska, R.; Kalevska, T.; Nedelkoska, D.N. The Effect of Barrier Properties of Polymeric Films on the Shelf-Life of Vacuum Packaged Fresh Pork Meat. Meat Sci. 2019, 158, 107880. [Google Scholar] [CrossRef]
- Yang, J.; Zhang, Y.; Shi, H.; Zhang, X.; Dong, P.; Luo, X.; Qin, H.; Zhang, Y.; Mao, Y.; Holman, B.W.B. Influence of Low-Energy Electron Beam Irradiation on the Quality and Shelf-Life of Vacuum-Packaged Pork Stored under Chilled and Superchilled Conditions. Meat Sci. 2023, 195, 109019. [Google Scholar] [CrossRef] [PubMed]
- Nethra, P.V.; Sunooj, K.V.; Aaliya, B.; Navaf, M.; Akhila, P.P.; Sudheesh, C.; Mir, S.A.; Shijin, A.; George, J. Critical Factors Affecting the Shelf Life of Packaged Fresh Red Meat—A Review. Meas. Food 2023, 10, 100086. [Google Scholar] [CrossRef]
- Cam, L.N.T. A Rising Trend in Eco-Friendly Products: A Health-Conscious Approach to Green Buying. Heliyon 2023, 9, e19845. [Google Scholar] [CrossRef]
- Grebitus, C.; Jensen, H.H.; Roosen, J.; Sebranek, J.G. Fresh Meat Packaging: Consumer Acceptance of Modified Atmosphere Packaging Including Carbon Monoxide. J. Food Prot. 2013, 76, 99–107. [Google Scholar] [CrossRef]
- Hugas, M.; Garriga, M.; Monfort, J.M. New Mild Technologies in Meat Processing: High Pressure as a Model Technology. Meat Sci. 2002, 62, 359–371. [Google Scholar] [CrossRef]
- Simunović, S.; Tomasevic, I.; Djordjevic, V.Ž.; Baltić, T.; Simunovic, S.; Ćirić, J.; Djekic, I. Meat Color, Marbling, and the Evaluation of Defects in Beef and Pork at the Point of Purchase. Appl. Sci. 2024, 14, 6797. [Google Scholar] [CrossRef]
- Ikeuchi, Y. Recent Advances in the Application of High Pressure Technology to Processed Meat Products; Elsevier: Amsterdam, The Netherlands, 2011; pp. 590–616. [Google Scholar]
- Martín, M.F.S.; Barbosa-Cánovas, G.V.; Swanson, B.G. Food Processing by High Hydrostatic Pressure. Crit. Rev. Food Sci. Nutr. 2002, 42, 627–645. [Google Scholar] [CrossRef]
- Considine, K.M.; Kelly, A.L.; Fitzgerald, G.F.; Hill, C.; Sleator, R.D. High-Pressure Processing--Effects on Microbial Food Safety and Food Quality. FEMS Microbiol. Lett. 2008, 281, 1–9. [Google Scholar] [CrossRef]
- Gracia, M.J.; Lázaro, R.; Pérez-Arquillué, C.; Pagán, R.; Ramos, S.; Garcia, J.L.; Bayarri, S. High-Pressure Processing (HPP) of Raw and Dry-Cured Ham from Experimentally Infected Pigs as a Potential Tool for the Risk Control of Toxoplasma Gondii. Innov. Food Sci. Emerg. Technol. 2020, 61, 102315. [Google Scholar] [CrossRef]
- Bolumar, T.; Orlien, V.; Sikes, A.; Aganovic, K.; Bak, K.H.; Guyon, C.; Stübler, A.-S.; de Lamballerie, M.; Hertel, C.; Brüggemann, D.A. High-Pressure Processing of Meat: Molecular Impacts and Industrial Applications. Compr. Rev. Food Sci. Food Saf. 2021, 20, 332–368. [Google Scholar] [CrossRef] [PubMed]
- Duma-Kocan, P.; Rudy, M.; Gil, M.; Żurek, J.; Stanisławczyk, R.; Krajewska, A.; Dziki, D. The Influence of High Hydrostatic Pressure on Selected Quality Features of Cold-Storage Pork Semimembranosus Muscle. Foods 2024, 13, 2089. [Google Scholar] [CrossRef] [PubMed]
- Hamed, H.; Ma, M.; Jin, G.; He, L. Nitroso-Hemoglobin Preparation and Meat Product Colorant Development. J. Food Process. Technol. 2017, 8, 1000658. [Google Scholar] [CrossRef]
- Mora, L.; Gallego, M.; Aristoy, M.-C.; Toldrá, F. Protein Oxidation. In Encyclopedia of Food Chemistry; Melton, L., Shahidi, F., Varelis, P., Eds.; Academic Press: Oxford, UK, 2019; pp. 41–47. ISBN 978-0-12-814045-1. [Google Scholar]
- Lund, M.N.; Heinonen, M.; Baron, C.P.; Estévez, M. Protein Oxidation in Muscle Foods: A Review. Mol. Nutr. Food Res. 2011, 55, 83–95. [Google Scholar] [CrossRef]
- Soladoye, O.P.; Juárez, M.L.; Aalhus, J.l.; Shand, P.; Estévez, M. Protein Oxidation in Processed Meat: Mechanisms and Potential Implications on Human Health. Compr. Rev. Food Sci. Food Saf. 2015, 14, 106–122. [Google Scholar] [CrossRef]
- Nagy, P.; Winterbourn, C.C. Chapter 6—Redox Chemistry of Biological Thiols. In Advances in Molecular Toxicology; Fishbein, J.C., Ed.; Elsevier: Amsterdam, The Netherlands, 2010; Volume 4, pp. 183–222. [Google Scholar]
- Liu, H.; Xu, Y.; Zu, S.; Wu, X.; Shi, A.; Zhang, J.; Wang, Q.; He, N. Effects of High Hydrostatic Pressure on the Conformational Structure and Gel Properties of Myofibrillar Protein and Meat Quality: A Review. Foods 2021, 10, 1872. [Google Scholar] [CrossRef]
- Kim, T.-K.; Yong, H.I.; Kang, M.-C.; Jung, S.; Jang, H.W.; Choi, Y.-S. Effects of High Hydrostatic Pressure on Technical Functional Properties of Edible Insect Protein. Food Sci. Anim. Resour. 2021, 41, 185–195. [Google Scholar] [CrossRef]
- Sun, X.D.; Holley, R.A. High Hydrostatic Pressure Effects on the Texture of Meat and Meat Products. J. Food Sci. 2010, 75, R17–R23. [Google Scholar] [CrossRef]
- Csehi, B.; Szerdahelyi, E.; Pásztor-Huszár, K.; Salamon, B.; Tóth, A.; Zeke, I.; Jónás, G.; Friedrich, L. Changes of Protein Profiles in Pork and Beef Meat Caused by High Hydrostatic Pressure Treatment. Acta Aliment. 2016, 45, 565–571. [Google Scholar] [CrossRef]
- Agafonkina, I.; Korolev, I.; Sarantsev, T. The study of thermal denaturation of beef, pork, chicken and turkey muscle proteins using differential scanning calorimetry. Theory Pract. Meat Process. 2019, 4, 19–23. [Google Scholar] [CrossRef]
- Park, S.; Marsh, K.S.; Dawson, P. Application of Chitosan-Incorporated LDPE Film to Sliced Fresh Red Meats for Shelf Life Extension. Meat Sci. 2010, 85, 493–499. [Google Scholar] [CrossRef] [PubMed]
- Enkhbold, M.; Lőrincz, A.; Elayan, M.; Friedrich, L.; Barkó, A.; Csurka, T.; Boros, A.; Hitka, G.; Varga-Tóth, A. Effects of Lactic Acid and Ascorbic Acid Mixture on Quality Properties of Wild Red Deer (Cervus Elaphus) Meat. Appl. Sci. 2024, 14, 8915. [Google Scholar] [CrossRef]
- Mokrzycki, W.; Tatol, M. Color Difference Delta E—A Survey. Mach. Graph. Vis. 2011, 20, 383–411. [Google Scholar]
- Wright, W.D. Color Vision. Opt. Acta Int. J. Opt. 1982, 29, 250–251. [Google Scholar] [CrossRef]
- de Huidobro, F.R.; Miguel, E.; Blázquez, B.; Onega, E. A Comparison between Two Methods (Warner–Bratzler and Texture Profile Analysis) for Testing Either Raw Meat or Cooked Meat. Meat Sci. 2005, 69, 527–536. [Google Scholar] [CrossRef]
- MSZ EN ISO 4833-2:2014; Determination of Total Anaerobic Microbial Count. Hungarian Standards Institute: Budapest, Hungary, 2014.
- MSZ ISO 21528-2:2017; Determination of Total Enterobacteriaceae Count. Hungarian Standards Institute: Budapest, Hungary, 2017.
- Dàvila, E.; Parés, D.; Howell, N.K. Studies on Plasma Protein Interactions in Heat-Induced Gels by Differential Scanning Calorimetry and FT-Raman Spectroscopy. Food Hydrocoll. 2007, 21, 1144–1152. [Google Scholar] [CrossRef]
- Szerdahelyi, E.; Csehi, B.; Takács, K.; Korompai, E.; Nagy, A.; Gelencsér, É.; Friedrich, L. Monitoring of Imidazole Dipeptides in Meat Products by Capillary Zone Electrophoresis. Czech J. Food Sci. 2020, 38, 36–42. [Google Scholar] [CrossRef]
- Nath, A.; Kailo, G.G.; Mednyánszky, Z.; Kiskó, G.; Csehi, B.; Pásztorné-Huszár, K.; Gerencsér-Berta, R.; Galambos, I.; Pozsgai, E.; Bánvölgyi, S.; et al. Antioxidant and Antibacterial Peptides from Soybean Milk through Enzymatic- and Membrane-Based Technologies. Bioengineering 2020, 7, 5. [Google Scholar] [CrossRef]
- Bak, K.H.; Bolumar, T.; Karlsson, A.H.; Lindahl, G.; Orlien, V. Effect of High Pressure Treatment on the Color of Fresh and Processed Meats: A Review. Crit. Rev. Food Sci. Nutr. 2019, 59, 228–252. [Google Scholar] [CrossRef]
- Reesman, C.; Sullivan, G.; Danao, M.-G.; Mafi, G.G.; Pfeiffer, M.; Ramanathan, R. Effects of High-Pressure Processing on Cooked Color and Eating Qualities of Dark-Cutting Beef. Appl. Food Res. 2023, 3, 100260. [Google Scholar] [CrossRef]
- Garcia-Gimeno, R.M.; Posada, G. High Hydrostatic Pressure Treatment of Meat Products. In Food Processing; IntechOpen: Rijeka, Croatia, 2020; ISBN 978-1-78985-893-8. [Google Scholar]
- Chevalier, D.; Le Bail, A.; Ghoul, M. Effects of High Pressure Treatment (100–200 MPa) at Low Temperature on Turbot (Scophthalmus maximus) Muscle. Food Res. Int. 2001, 34, 425–429. [Google Scholar] [CrossRef]
- Needham, T.; Bureš, D.; Černý, J.; Hoffman, L.C. Overview of Game Meat Utilisation Challenges and Opportunities: A European Perspective. Meat Sci. 2023, 204, 109284. [Google Scholar] [CrossRef] [PubMed]
- Groot Bruinderink, G.W.T.A.; Hazebroek, E.; Van Der Voot, H. Diet and Condition of Wild Boar, Sus Scrofu Scrofu, without Supplementary Feeding. J. Zool. 1994, 233, 631–648. [Google Scholar] [CrossRef]
- Orkusz, A.; Rampanti, G.; Michalczuk, M.; Orkusz, M.; Foligni, R. Impact of Refrigerated Storage on Microbial Growth, Color Stability, and pH of Turkey Thigh Muscles. Microorganisms 2024, 12, 1114. [Google Scholar] [CrossRef]
- Pretorius, B.; Schönfeldt, H.C.; Hall, N. Total and Haem Iron Content Lean Meat Cuts and the Contribution to the Diet. Food Chem. 2016, 193, 97–101. [Google Scholar] [CrossRef]
- Buzała, M.; Słomka, A.; Janicki, B. Heme Iron in Meat as the Main Source of Iron in the Human Diet. J. Elem. 2016, 21, 303–314. [Google Scholar] [CrossRef]
- Sampels, S.; Jonsson, M.; Sandgren, M.; Karlsson, A.; Segerkvist, K.A. Sustainable Delicacy: Variation in Quality and Sensory Aspects in Wild Boar (Sus Scrofa) Meat and Comparison to Pork Meat—A Case Study. Foods 2023, 12, 1644. [Google Scholar] [CrossRef]
- Warriss, P.D. The Slaughter of Animals. In Meat Science: An Introductory Text; CABI Books: Wallingford, UK, 2000; pp. 68–92. [Google Scholar]
- Marzoque, H.; Lima, C.; Pagnossa, J.; Cunha, R.; Silva, D.; Ramos, A.; Ramos, E. Evaluation of pH in Swine Carcasses Regarding on the Trasport Distance of the Animals: A Case Study. Res. Soc. Dev. 2020, 9, 10. [Google Scholar] [CrossRef]
- Charmpi, C.; Van Reckem, E.; Sameli, N.; Van der Veken, D.; De Vuyst, L.; Leroy, F. The Use of Less Conventional Meats or Meat with High pH Can Lead to the Growth of Undesirable Microorganisms during Natural Meat Fermentation. Foods 2020, 9, 1386. [Google Scholar] [CrossRef]
- Hammes, W.P.; Bantleon, A.; Min, S. Lactic Acid Bacteria in Meat Fermentation. FEMS Microbiol. Lett. 1990, 87, 165–174. [Google Scholar] [CrossRef]
- Puolanne, E.; Petäjä-Kanninen, E. Principles of Meat Fermentation. In Handbook of Fermented Meat and Poultry; John Wiley & Sons, Ltd.: Hoboken, NJ, USA, 2014; pp. 13–17. ISBN 978-1-118-52265-3. [Google Scholar]
- Sukmanov, V.; Hanjun, M.; Li, Y. Effect of High Pressure Processing on Meat and Meat Products. A Review. Ukr. Food J. 2019, 8, 448–469. [Google Scholar] [CrossRef]
- Csurka, T.; Fekete, Z.; Visy, A.; Hidas, K.I.; Dalmadi, I.; Horváth, F.; Friedrich, L.F.; Jónás, G. Combination of a Natural Bioactive Compound and High-Hydrostatic-Pressure Treatment to Increase the Shelf-Life and Quality of Pork Meat. Appl. Sci. 2024, 14, 8212. [Google Scholar] [CrossRef]
- Şayin Sert, T.; Coşkun, F. The Effects of High-Pressure Processing on pH, Thiobarbituric Acid Value, Color and Texture Properties of Frozen and Unfrozen Beef Mince. Molecules 2022, 27, 3974. [Google Scholar] [CrossRef] [PubMed]
- Kenesei, G.; Kiskó, G.; Dalmadi, I. Combined Sous-Vide and High Hydrostatic Pressure Treatment of Pork: Is the Order of Application Decisive When Using Minimal Processing Technologies? Appl. Sci. 2024, 14, 3583. [Google Scholar] [CrossRef]
- Kim, H.; Ramachandraiah, K.; Yun, Y.C.; Kwon, I.S.; Park, H.N.; Kim, H.-Y.; Lee, E.-J.; Hong, G.-P. Advanced Tenderization of Brine Injected Pork Loin as Affected by Ionic Strength and High Pressure. Food Sci. Anim. Resour. 2020, 40, 1055–1065. [Google Scholar] [CrossRef]
- Sehrawat, R.; Kaur, B.P.; Nema, P.K.; Tewari, S.; Kumar, L. Microbial Inactivation by High Pressure Processing: Principle, Mechanism and Factors Responsible. Food Sci. Biotechnol. 2020, 30, 19–35. [Google Scholar] [CrossRef]
- Daher, D.; Le Gourrierec, S.; Pérez-Lamela, C. Effect of High Pressure Processing on the Microbial Inactivation in Fruit Preparations and Other Vegetable Based Beverages. Agriculture 2017, 7, 72. [Google Scholar] [CrossRef]
- Mañas, P.; Pagán, R. Microbial Inactivation by New Technologies of Food Preservation. J. Appl. Microbiol. 2005, 98, 1387–1399. [Google Scholar] [CrossRef]
- Margosch, D.; Gänzle, M.G.; Ehrmann, M.A.; Vogel, R.F. Pressure Inactivation of Bacillus Endospores. Appl. Environ. Microbiol. 2004, 70, 7321–7328. [Google Scholar] [CrossRef]
- Sarker, M.R.; Akhtar, S.; Torres, J.A.; Paredes-Sabja, D. High Hydrostatic Pressure-Induced Inactivation of Bacterial Spores. Crit. Rev. Microbiol. 2015, 41, 18–26. [Google Scholar] [CrossRef]
- Shymialevich, D.; Wójcicki, M.; Sokołowska, B. The Novel Concept of Synergically Combining: High Hydrostatic Pressure and Lytic Bacteriophages to Eliminate Vegetative and Spore-Forming Bacteria in Food Products. Foods 2024, 13, 2519. [Google Scholar] [CrossRef] [PubMed]
- Larrea-Wachtendorff, D.; Tabilo-Munizaga, G.; Moreno-Osorio, L.; Villalobos-Carvajal, R.; Pérez-Won, M. Protein Changes Caused by High Hydrostatic Pressure (HHP): A Study Using Differential Scanning Calorimetry (DSC) and Fourier Transform Infrared (FTIR) Spectroscopy. Food Eng. Rev. 2015, 7, 222–230. [Google Scholar] [CrossRef]
- Lopez-Enriquez, R.L.; Ocano-Higuera, V.M.; Torres-Arreola, W.; Ezquerra-Brauer, J.M.; Marquez-Rios, E. Chemical and Functional Characterization of Sarcoplasmic Proteins from Giant Squid (Dosidicus Gigas) Mantle. J. Chem. 2015, 2015, 538721. [Google Scholar] [CrossRef][Green Version]
- Lee, E.-J.; Kim, Y.-H.; Lee, N.-H.; Hong, S.-I.; Yamamoto, K.; Kim, Y.-J. The Role of Sarcoplasmic Protein in Hydrostatic Pressure-Induced Myofibrillar Protein Denaturation. Meat Sci. 2011, 87, 219–222. [Google Scholar] [CrossRef]
- Suzuki, A.; Suzuki, N.; Ikeuchi, Y.; Saito, M. Effects of High Pressure Treatment on the Ultrastructure and Solubilization of Isolated Myofibrils. Agric. Biol. Chem. 1991, 55, 2467–2473. [Google Scholar] [CrossRef]
Disclaimer/Publisher’s Note: The statements, opinions and data contained in all publications are solely those of the individual author(s) and contributor(s) and not of MDPI and/or the editor(s). MDPI and/or the editor(s) disclaim responsibility for any injury to people or property resulting from any ideas, methods, instructions or products referred to in the content. |
© 2025 by the authors. Licensee MDPI, Basel, Switzerland. This article is an open access article distributed under the terms and conditions of the Creative Commons Attribution (CC BY) license (https://creativecommons.org/licenses/by/4.0/).