Additive Manufacturing for Surgical Planning and Education: A Review
Abstract
1. Introduction
2. Workflow
- Medical imaging data acquisition
- Data processing and segmentation
- Meshing and conversion to 3D-printable file format,
- Printing the final part.
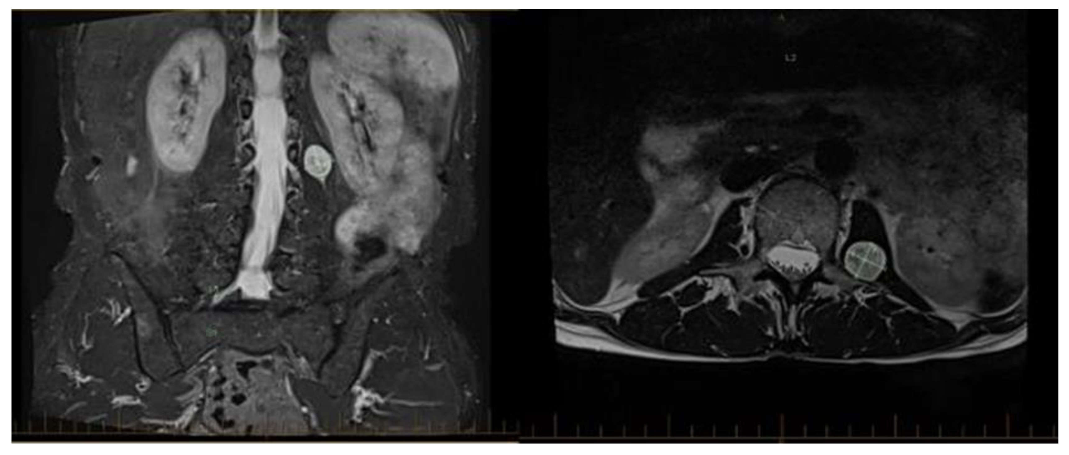
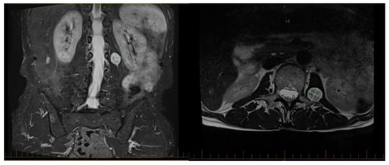
2.1. Imaging
2.2. Data Segmentation and Mesh Generation
2.3. 3D Printing and Post-Processing
3. Educational Applications
3.1. Models of Human Organs
3.2. Human Body and Anatomy
3.3. Bone-Drilling Practice
4. Applications of 3D Printing in the Medical Field
- Utilized for personalized presurgical and treatment planning. Numerous studies have showcased the potential benefits of patient-specific presurgical planning [61,62,63,64,65,66]. Additionally, it allows the customization of prosthetics or surgical tools based on individual patient anatomy, enhancing the understanding of unique and complex anatomical structures in each case [64,65,66,67]. Moreover, 3D printing permits the accurate selection of prosthetic component sizes before implantation [68,69,70].
- Tailored surgical instruments and implants: This customization not only ensures precision but also reduces costs, attributed to the efficiency of additive-manufacturing techniques [71].
- Researching osteoporotic conditions enables a precise assessment of the patient’s bone condition, leading to informed decisions regarding surgical interventions [72].
- 3D printing facilitates the rapid prototyping of new design concepts or enhancements for existing medical devices, allowing for swift development and testing.
- 3D-printed patient-specific models have proven to enhance performance and accelerate learning, leading to improved knowledge, management, and confidence among trainees across various specialties [8,73]. The advantages of 3D printing in education include the reproducibility and safety of the 3D-printed models compared to cadaver dissection, the ability to model diverse physiological and pathological anatomy from extensive image datasets, and the potential to share 3D models among institutions, especially those with limited resources [74,75,76].
- Patient education is a crucial aspect of patient-centered care, and healthcare providers prioritize effective communication. Presenting imaging reports verbally or displaying CT and MRI scans to patients often falls short, as these 2D representations may not fully convey the complexities of 3D anatomy. In contrast, 3D printing offers a promising solution, enhancing doctor-patient communication by directly showcasing anatomical models [77,78].
- Enhancing Forensic Practices: Within legal proceedings, 3D models serve as invaluable tools to explain complex anatomical irregularities, bridging comprehension gaps that often arise with conventional cross-sectional imaging, especially for jury members [79].
- Bioprinting, an innovative application of 3D printing, facilitates the creation of implantable tissues. For instance, synthetic skin can be 3D printed and transplanted onto burn-injury patients, offering a groundbreaking solution for skin grafts [80]. Additionally, bioprinting finds utility in evaluating cosmetic, chemical, and pharmaceutical products through tissue testing [81].
- Personalized drug 3D printing involves layering powdered drugs to enhance their dissolution rate compared to conventional pills, ensuring faster absorption in the body [82]. This innovative approach not only accelerates drug delivery but also enables the customization of the required quantity according to individual patient needs, marking a significant advancement in pharmaceutical manufacturing [83]. We examine will further examine some case studies of these areas related to surgical planning in more detail below.
4.1. Surgical Practice and Implants
4.2. Surgical Planning

4.3. Surgical Plates and Pins
4.4. Drilling and Cutting Guides and Jigs
5. Discussion
6. Conclusions
Author Contributions
Funding
Institutional Review Board Statement
Informed Consent Statement
Data Availability Statement
Conflicts of Interest
References
- Berman, B. 3-D printing: The new industrial revolution. Bus. Horiz. 2012, 55, 155–162. [Google Scholar] [CrossRef]
- Hull, C.W. Apparatus for Production of Three-Dimensional Objects by Stereolithography. U.S. Patent Appl. Filed 638905, 8 August 1984. [Google Scholar]
- Wohlers, T.T.; Campbell, I.; Diegel, O.; Huff, R.; Kowen, J. Wohlers Report 2023: 3D Printing and Additive Manufacturing Global State of the Industry; Wohlers Associates: Fort Collins, CO, USA, 2023; ISBN 9781622049660. [Google Scholar]
- Shi, S.; Jiang, Y.; Ren, H.; Deng, S.; Sun, J.; Cheng, F.; Jing, J.; Chen, Y. 3D-Printed Carbon-Based Conformal Electromagnetic Interference Shielding Module for Integrated Electronics. Nanomicro Lett. 2024, 16, 85. [Google Scholar] [CrossRef]
- Jiang, Y.; Xu, Y.; Deng, S.; Ren, H.; Tao, X.; Liao, M.; Sun, J.; Shi, S. 3D Printing of Ultralight MWCNT@OCNF Porous Scaffolds for High-Efficiency Electromagnetic Interference Shielding. Carbohydr. Polym. 2023, 314, 120945. [Google Scholar] [CrossRef]
- Shi, S.; Zhou, D.; Jiang, Y.; Cheng, F.; Sun, J.; Guo, Q.; Luo, Y.; Chen, Y.; Liu, W. Lightweight Zn-Philic 3D-Cu Scaffold for Customizable Zinc Ion Batteries. Adv. Funct. Mater. 2024, 2312664. [Google Scholar] [CrossRef]
- Petrescu, R.V.V.; Petrescu, F.I.T. The Current Stage in Aerospace at the End of 2020. Indep. J. Manag. Prod. 2022, 13, 405–478. [Google Scholar] [CrossRef]
- Wurm, G.; Tomancok, B.; Pogady, P.; Holl, K.; Trenkler, J. Cerebrovascular stereolithographic biomodeling for aneurysm surgery. J. Neurosurg. 2004, 100, 139–145. [Google Scholar] [CrossRef] [PubMed]
- Ghomi, E.R.; Khosravi, F.; Neisiany, R.E.; Singh, S.; Ramakrishna, S. Future of additive manufacturing in healthcare. Curr. Opin. Biomed. Eng. 2021, 17, 100255. [Google Scholar] [CrossRef]
- D’Urso, P.S.; Thompson, R.G.; Atkinson, R.; Weidmann, M.J.; Redmond, M.J.; I Hall, B.; Jeavons, S.J.; Benson, M.D.; Earwaker, W.S. Cerebrovascular biomodelling: A technical note. Surg. Neurol. 1999, 52, 490–500. [Google Scholar] [CrossRef]
- Reiss, S.; Thielmann, J.; Fischer, J.; Lottner, T.; Maier, A.; Westermann, D.; Mühlen, C.V.Z.; Heidt, T.; Bock, M. Combination of High Resolution MRI with 3D-Printed Needle Guides for Ex Vivo Myocardial Biopsies. Sci. Rep. 2024, 14, 606. [Google Scholar] [CrossRef]
- Seoane-Viaño, I.; Pérez-Ramos, T.; Liu, J.; Januskaite, P.; Guerra-Baamonde, E.; González-Ramírez, J.; Vázquez-Caruncho, M.; Basit, A.W.; Goyanes, A. Visualizing Disintegration of 3D Printed Tablets in Humans Using MRI and Comparison with in Vitro Data. J. Control. Release 2024, 365, 348–357. [Google Scholar] [CrossRef] [PubMed]
- File:Example-of-3D-Whole-Heart-Models-Manufactured-by-Means-of-3D-Printing-Showing-a-Normal-Heart-from-a-Healthy-Control-for.Jpg. Available online: https://commons.wikimedia.org/wiki/File:Example-of-3D-whole-heart-models-manufactured-by-means-of-3D-printing-showing-a-normal-heart-from-a-healthy-control-for.jpg (accessed on 4 March 2024).
- Valls-Esteve, A.; Tejo-Otero, A.; Lustig-Gainza, P.; Buj-Corral, I.; Fenollosa-Artés, F.; Rubio-Palau, J.; de la Torre, I.B.-M.; Munuera, J.; Fondevila, C.; Krauel, L. Patient-Specific 3D Printed Soft Models for Liver Surgical Planning and Hands-On Training. Gels 2023, 9, 339. [Google Scholar] [CrossRef]
- Krauel, L.; Valls-Esteve, A.; Tejo-Otero, A.; Fenollosa-Artés, F. 3D-Printing in Surgery: Beyond Bone Structures. A Review. Ann. 3D Print. Med. 2021, 4, 100039. [Google Scholar] [CrossRef]
- Kantaros, A.; Ganetsos, T. From Static to Dynamic: Smart Materials Pioneering Additive Manufacturing in Regenerative Medicine. Int. J. Mol. Sci. 2023, 24, 15748. [Google Scholar] [CrossRef]
- Petsiuk, A.; Lavu, B.; Dick, R.; Pearce, J.M. Waste Plastic Direct Extrusion Hangprinter. Inventions 2022, 7, 70. [Google Scholar] [CrossRef]
- Seoane-Viaño, I.; Otero-Espinar, F.J.; Goyanes, Á. 3D Printing of Pharmaceutical Products. In Additive Manufacturing; Elsevier: Amsterdam, The Netherlands, 2021; pp. 569–597. [Google Scholar]
- Boretti, A. A Perspective on 3D Printing in the Medical Field. Ann. 3D Print. Med. 2024, 13, 100138. [Google Scholar] [CrossRef]
- Betancourt, M.C.; Araújo, C.; Marín, S.; Buriticá, W. The Quantitative Impact of Using 3D Printed Anatomical Models for Surgical Planning Optimization: Literature Review. 3D Print. Addit. Manuf. 2023, 10, 1130–1139. [Google Scholar] [CrossRef]
- Langdon, C.; Hinojosa-Bernal, J.; Munuera, J.; Gomez-Chiari, M.; Haag, O.; Veneri, A.; Valldeperes, A.; Valls, A.; Adell, N.; Santamaria, V.; et al. 3D Printing as Surgical Planning and Training in Pediatric Endoscopic Skull Base Surgery—Systematic Review and Practical Example. Int. J. Pediatr. Otorhinolaryngol. 2023, 168, 111543. [Google Scholar] [CrossRef]
- Kantaros, A.; Ganetsos, T.; Piromalis, D. 3D and 4D Printing as Integrated Manufacturing Methods of Industry 4.0. Am. J. Eng. Appl. Sci. 2023, 16, 12–22. [Google Scholar] [CrossRef]
- Rath, S.N.; Sankar, S. 3D Printers for Surgical Practice. In 3D Printing in Medicine; Elsevier: Amsterdam, The Netherlands, 2023; pp. 127–147. ISBN 9780323898317. [Google Scholar]
- Kantaros, A.; Ganetsos, T. Integration of Cyber-Physical Systems, Digital Twins and 3D Printing in Advanced Manufacturing: A Synergistic Approach. Am. J. Eng. Appl. Sci. 2024, 17, 1–22. [Google Scholar] [CrossRef]
- Assink, N.; Oldhoff, M.G.E.; ten Duis, K.; Kraeima, J.; Doornberg, J.N.; Witjes, M.J.H.; de Vries, J.-P.P.M.; Meesters, A.M.L.; IJpma, F.F.A. Development of Patient-Specific Osteosynthesis Including 3D-Printed Drilling Guides for Medial Tibial Plateau Fracture Surgery. Eur. J. Trauma Emerg. Surg. 2023, 50, 11–19. [Google Scholar] [CrossRef] [PubMed]
- Chytas, D.; Salmas, M.; Demesticha, T.; Troupis, T. Three-dimensional Printing in Anatomy Education: Is It Similarly Useful for Teaching of All Anatomical Regions and Structures? Anat. Sci. Educ. 2023, 16, 5–6. [Google Scholar] [CrossRef]
- Nguyen, P.; Stanislaus, I.; McGahon, C.; Pattabathula, K.; Bryant, S.; Pinto, N.; Jenkins, J.; Meinert, C. Quality Assurance in 3D-Printing: A Dimensional Accuracy Study of Patient-Specific 3D-Printed Vascular Anatomical Models. Front. Med. Technol. 2023, 5, 1097850. [Google Scholar] [CrossRef] [PubMed]
- Antreas, K.; Piromalis, D. Employing a Low-Cost Desktop 3D Printer: Challenges, and How to Overcome Them by Tuning Key Process Parameters. Int. J. Mech. Appl. 2021, 10, 11–19. [Google Scholar] [CrossRef]
- Antonowicz, A.; Wojtas, K.; Makowski, Ł.; Orciuch, W.; Kozłowski, M. Particle Image Velocimetry of 3D-Printed Anatomical Blood Vascular Models Affected by Atherosclerosis. Materials 2023, 16, 1055. [Google Scholar] [CrossRef]
- Ramirez, M.E.; Pena, I.R.; Castillo, R.E.B.; Sufianov, A.; Goncharov, E.; Sanchez, J.A.S.; Colome-Hidalgo, M.; Nurmukhametov, R.; Céspedes, J.R.C.; Montemurro, N. Development of a 3D Printed Brain Model with Vasculature for Neurosurgical Procedure Visualisation and Training. Biomedicines 2023, 11, 330. [Google Scholar] [CrossRef]
- Miao, H.; Ding, J.; Gong, X.; Zhao, J.; Li, H.; Xiong, K.; Zhou, X.; Liu, W.; Wu, F. Application of 3D-Printed Pulmonary Segment Specimens in Experimental Teaching of Sectional Anatomy. BMC Surg. 2023, 23, 109. [Google Scholar] [CrossRef]
- Moiduddin, K.; Mian, S.H.; Umer, U.; Alkhalefah, H.; Ahmed, F.; Hashmi, F.H. Design, Analysis, and 3D Printing of a Patient-Specific Polyetheretherketone Implant for the Reconstruction of Zygomatic Deformities. Polymers 2023, 15, 886. [Google Scholar] [CrossRef]
- Patel, P.; Dhal, K.; Gupta, R.; Tappa, K.; Rybicki, F.J.; Ravi, P. Medical 3D Printing Using Desktop Inverted Vat Photopolymerization: Background, Clinical Applications, and Challenges. Bioengineering 2023, 10, 782. [Google Scholar] [CrossRef]
- Kantaros, A.; Soulis, E.; Petrescu, F.I.T.; Ganetsos, T. Advanced Composite Materials Utilized in FDM/FFF 3D Printing Manufacturing Processes: The Case of Filled Filaments. Materials 2023, 16, 6210. [Google Scholar] [CrossRef] [PubMed]
- Kantaros, A.; Giannatsis, J.; Karalekas, D. A novel strategy for the incorporation of optical sensors in Fused Deposition Modeling parts. In Proceedings of the International Conference on Advanced Manufacturing Engineering and Technologies, Stockholm, Sweden, 27–30 October 2013; Universitets Service US AB, KTH Royal Institite of Technology: Stockholm, Sweden, 2013. ISBN 978-91-7501-893-5. Available online: https://www.researchgate.net/publication/269631461_A_novel_strategy_for_the_incorporation_of_optical_sensors_in_FDM_parts (accessed on 15 February 2023).
- Paxton, N.C.; Luposchainsky, S.; Reizabal, A.; Saiz, P.G.; Bade, S.; Woodruff, M.A.; Dalton, P.D. Manufacture of Biomimetic Auricular Surgical Implants Using 3D Printed High Density Polyethylene Microfibers. Adv. Mater. Technol. 2024, 9, 2301190. [Google Scholar] [CrossRef]
- Negrescu, A.-M.; Mocanu, A.-C.; Miculescu, F.; Mitran, V.; Constantinescu, A.-E.; Cimpean, A. In Vitro Studies on 3D-Printed PLA/HA/GNP Structures for Bone Tissue Regeneration. Biomimetics 2024, 9, 55. [Google Scholar] [CrossRef]
- Gabriel, E.; Olejnik, A.; Sztorch, B.; Frydrych, M.; Czerwińska, O.; Pietrzak, R.; Przekop, R.E. Application of L-FDM Technology to the Printing of Tablets That Release Active Substances—Preliminary Research. C 2024, 10, 23. [Google Scholar] [CrossRef]
- Kantaros, A.; Ganetsos, T.; Piromalis, D. 4D Printing: Technology Overview and Smart Materials Utilized. J. Mechatron. Robot. 2023, 7, 1–14. [Google Scholar] [CrossRef]
- Aversa, R.; Petrescu, F.I.T.; Petrescu, R.V.V.; Apicella, A. Biofidel FEA Modeling of Customized Hybrid Biological Hip Joint Prostheses, Part I: Biomechanical Behavior of Implanted Femur. Am. J. Biochem. Biotechnol. 2016, 12, 270–276. [Google Scholar] [CrossRef]
- Syed, J.; Dharrab, A.A.; Zafa, M.S.; Khand, E.; Aversa, R.; Petrescu, R.V.V.; Apicella, A.; Petrescu, F.I.T. Influence of Curing Light Type and Staining Medium on the Discoloring Stability of Dental Restorative Composite. Am. J. Biochem. Biotechnol. 2017, 13, 42–50. [Google Scholar] [CrossRef][Green Version]
- Lunguţ, E.F.; Matei, L.; Roşu, M.M.; Iliescu, M.; Radu, C. Biomechanical Hand Prosthesis Design. Machines 2023, 11, 964. [Google Scholar] [CrossRef]
- Lunguţ, E.F.; Radu Frenț, C.; Roşu, M.M.; Vlădăreanu, L.; Iliescu, M.; Matei, L. Rapid Prototyping Techniques for Innovative Hand Prosthesis. In Mechanisms and Machine Science; Springer Nature Switzerland: Cham, Switzerland, 2023; pp. 386–393. ISBN 9783031324451. [Google Scholar]
- Zhou, Y.; Riding, P.; Eccleston, K.; Tan, A.; Anton, E.; Platt, I.; Bateman, C.J.; Nelson, J.; Diegel, O. Additive Manufacturing of Human Torso Phantom for Microwave Imaging. In Proceedings of the 2022 IEEE Conference on Antenna Measurements and Applications (CAMA), Guangzhou, China, 14–17 December 2022; IEEE: Piscataway, NJ, USA, 2022; pp. 1–3. [Google Scholar]
- Sztorch, B.; Głowacka, J.; Romanczuk-Ruszuk, E.; Brząkalski, D.; Marciniec, B.; Przekop, R.E. High Flexural Modulus of PLA Composites for FDM 3D Printing Using Multifunctional Octaspherosilicates. Res. Sq. 2023. [Google Scholar] [CrossRef]
- Kurenov, S.N.; Ionita, C.; Sammons, D.; Demmy, T.L. Three-dimensional printing to facilitate anatomic study, device development, simulation, and planning in thoracic surgery. J. Thorac. Cardiovasc. Surg. 2015, 149, 973–979. [Google Scholar] [CrossRef] [PubMed]
- Vukicevic, M.; Mosadegh, B.; Min, J.K.; Little, S.H. Cardiac 3D printing and its future directions. JACC Cardiovasc. Imaging 2017, 10, 171–184. [Google Scholar] [CrossRef]
- Jeon, H.; Kang, K.; Park, S.A.; Kim, W.D.; Paik, S.S.; Lee, S.-H.; Jeong, J.; Choi, D. Generation of multilayered 3D structures of HepG2 cells using a bio-printing technique. Gut Liver 2017, 11, 121. [Google Scholar] [CrossRef] [PubMed]
- Zhang, X.; Yang, Y.; Yang, Z.; Ma, R.; Aimaijiang, M.; Xu, J.; Zhang, Y.; Zhou, Y. Four-Dimensional Printing and Shape Memory Materials in Bone Tissue Engineering. Int. J. Mol. Sci. 2023, 24, 814. [Google Scholar] [CrossRef] [PubMed]
- Huang, W.; Zhang, X. 3D printing: Print the future of ophthalmology. Invest. Ophthalmol. Vis. Sci. 2014, 55, 5380–5381. [Google Scholar] [CrossRef] [PubMed]
- Crafts, T.D.; Ellsperman, S.E.; Wannemuehler, T.J.; Bellicchi, T.D.; Shipchandler, T.Z.; Mantravadi, A.V. Three-dimensional printing and its applications in otorhinolaryngology–head and neck surgery. Otolaryngol. Neck Surg. 2017, 156, 999–1010. [Google Scholar] [CrossRef] [PubMed]
- Auricchio, F.; Marconi, S. 3D printing: Clinical applications in orthopaedics and traumatology. EFORT Open Rev. 2016, 1, 121. [Google Scholar] [CrossRef] [PubMed]
- Chae, M.P.; Rozen, W.M.; McMenamin, P.G.; Findlay, M.W.; Spychal, R.T.; Hunter-Smith, D.J. Emerging applications of bedside 3D printing in plastic surgery. Front. Surg. 2015, 2, 25. [Google Scholar] [CrossRef] [PubMed]
- Williams, C.; James, A.; Chae, M.P.; Hunter-Smith, D.J. 3D printing in clinical podiatry: A pilot study and review. J. Foot Ankle Res. 2015, 8, 1. [Google Scholar] [CrossRef]
- Guibert, N.; Mhanna, L.; Didier, A.; Moreno, B.; Leyx, P.; Plat, G.; Mazieres, J.; Hermant, C. Integration of 3D printing and additive manufacturing in the interventional pulmonologist’s toolbox. Respir. Med. 2018, 134, 139–142. [Google Scholar] [CrossRef]
- Su, S.; Moran, K.; Robar, J.L. Design and production of 3D printed bolus for electron radiation therapy. J. Appl. Clin. Med. Phys. 2014, 15, 194–211. [Google Scholar] [CrossRef]
- Zein, N.N.; Hanouneh, I.A.; Bishop, P.D.; Samaan, M.; Eghtesad, B.; Quintini, C.; Miller, C.; Yerian, L.; Klatte, R. Three-dimensional print of a liver for preoperative planning in living donor liver transplantation. Liver Transplant. 2013, 19, 1304–1310. [Google Scholar] [CrossRef]
- Soliman, Y.; Feibus, A.H.; Baum, N. 3D printing and its urologic applications. Rev. Urol. 2015, 17, 20. [Google Scholar]
- Hangge, P.; Pershad, Y.; Witting, A.A.; Albadawi, H.; Oklu, R. Three-dimensional (3D) printing and its applications for aortic diseases. Cardiovasc. Diagn. Ther. 2018, 8 (Suppl. S1), S19. [Google Scholar] [CrossRef]
- Ballard, D.H.; Trace, A.P.; Ali, S.; Hodgdon, T.; Zygmont, M.E.; DeBenedectis, C.M.; Smith, S.E.; Richardson, M.L.; Patel, M.J.; Decker, S.J.; et al. Clinical applications of 3D printing: Primer for radiologists. Acad. Radiol. 2018, 25, 52–65. [Google Scholar] [CrossRef]
- Perica, E.; Sun, Z. Patient-specific three-dimensional printing for pre-surgical planning in hepatocellular carcinoma treatment. Quant. Imaging Med. Surg. 2017, 7, 668. [Google Scholar] [CrossRef]
- Wong, K.C. 3D-printed patient-specific applications in orthopedics. Orthop. Res. Rev. 2016, 8, 57–66. [Google Scholar] [CrossRef]
- Costello, J.P.; Olivieri, L.J.; Su, L.; Krieger, A.; Alfares, F.; Thabit, O.; Marshall, M.B.; Yoo, S.-J.; Kim, P.C.; Jonas, R.A.; et al. Incorporating three-dimensional printing into a simulation-based congenital heart disease and critical care training curriculum for resident physicians. Congenit. Heart Dis. 2015, 10, 185–190. [Google Scholar] [CrossRef]
- Frame, M.; Huntley, J.S. Rapid prototyping in orthopaedic surgery: A user’s guide. Sci. World J. 2012, 2012, 838575. [Google Scholar] [CrossRef] [PubMed]
- Mahaisavariya, B.; Sitthiseripratip, K.; Oris, P.; Tongdee, T. Rapid prototyping model for surgical planning of corrective osteotomy for cubitus varus: Report of two cases. Inj. Extra 2006, 37, 176–180. [Google Scholar] [CrossRef]
- Sheth, U.; Theodoropoulos, J.; Abouali, J. Use of 3-dimensional printing for preoperative planning in the treatment of recurrent anterior shoulder instability. Arthrosc. Tech. 2015, 4, e311–e316. [Google Scholar] [CrossRef] [PubMed]
- Wang, Y.-T.; Yang, X.-J.; Yan, B.; Zeng, T.-H.; Qiu, Y.-Y.; Chen, S.-J. Clinical application of three-dimensional printing in the personalized treatment of complex spinal disorders. Chin. J. Traumatol. 2016, 19, 31–34. [Google Scholar] [CrossRef] [PubMed]
- Hosny, A.; Dilley, J.D.; Kelil, T.; Mathur, M.; Dean, M.N.; Weaver, J.C.; Ripley, B. Pre-procedural fit-testing of TAVR valves using parametric modeling and 3D printing. J. Cardiovasc. Comput. Tomogr. 2019, 13, 21–30. [Google Scholar] [CrossRef]
- Vaishya, R.; Vijay, V.; Vaish, A.; Agarwal, A.K. Computed tomography based 3D printed patient specific blocks for total knee replacement. J. Clin. Orthop. Trauma 2018, 9, 254–259. [Google Scholar] [CrossRef]
- Chen, X.; Possel, J.K.; Wacongne, C.; Van Ham, A.F.; Klink, P.C.; Roelfsema, P.R. 3D printing and modelling of customized implants and surgical guides for non-human primates. J. Neurosci. Methods 2017, 286, 38–55. [Google Scholar] [CrossRef]
- De La Peña, A.; De La Peña-Brambila, J.; La Torre, J.P.-D.; Ochoa, M.; Gallardo, G.J. Low-cost customized cranioplasty using a 3D digital printing model: A case report. 3D Print. Med. 2018, 4, 4. [Google Scholar] [CrossRef]
- Dodziuk, H. Applications of 3D printing in healthcare. Kardiochirurgia I Torakochirurgia Pol. J. Thorac. Cardiovasc. Surg. 2016, 13, 283–293. [Google Scholar] [CrossRef]
- Khaled, S.A.; Burley, J.C.; Alexander, M.R.; Roberts, C.J. Desktop 3D printing of controlled release pharmaceutical bilayer tablets. Int. J. Pharm. 2014, 461, 105–111. [Google Scholar] [CrossRef]
- Walker, V. Implementing a 3D printing service in a biomedical library. J. Med. Libr. Assoc. JMLA 2017, 105, 55. [Google Scholar] [CrossRef] [PubMed]
- Lim, K.H.A.; Loo, Z.Y.; Goldie, S.J.; Adams, J.W.; McMenamin, P.G. Use of 3D printed models in medical education: A randomized control trial comparing 3D prints versus cadaveric materials for learning external cardiac anatomy. Anat. Sci. Educ. 2016, 9, 213–221. [Google Scholar] [CrossRef] [PubMed]
- Barbon, S.; Biccari, A.; Stocco, E.; Capovilla, G.; D’angelo, E.; Todesco, M.; Sandrin, D.; Bagno, A.; Romanato, F.; Macchi, V.; et al. Bio-Engineered Scaffolds Derived from Decellularized Human Esophagus for Functional Organ Reconstruction. Cells 2022, 11, 2945. [Google Scholar] [CrossRef] [PubMed]
- Andolfi, C.; Plana, A.; Kania, P.; Banerjee, P.P.; Small, S. Usefulness of three-dimensional modeling in surgical planning, resident training, and patient education. J. Laparoendosc. Adv. Surg. Tech. 2017, 27, 512–515. [Google Scholar] [CrossRef] [PubMed]
- Bernhard, J.-C.; Isotani, S.; Matsugasumi, T.; Duddalwar, V.; Hung, A.J.; Suer, E.; Baco, E.; Satkunasivam, R.; Djaladat, H.; Metcalfe, C.; et al. Personalized 3D printed model of kidney and tumor anatomy: A useful tool for patient education. World J. Urol. 2016, 34, 337–345. [Google Scholar] [CrossRef]
- Baier, W.; Warnett, J.M.; Payne, M.; Williams, M.A. Introducing 3D printed models as demonstrative evidence at criminal trials. J. Forensic Sci. 2018, 63, 1298–1302. [Google Scholar] [CrossRef]
- He, P.; Zhao, J.; Zhang, J.; Li, B.; Gou, Z.; Gou, M.; Li, X. Bioprinting of skin constructs for wound healing. Burn. Trauma 2018, 6, 5. [Google Scholar] [CrossRef] [PubMed]
- Zhou, G.; Jiang, H.; Yin, Z.; Liu, Y.; Zhang, Q.; Zhang, C.; Pan, B.; Zhou, J.; Zhou, X.; Sun, H.; et al. In vitro regeneration of patient-specific ear-shaped cartilage and its first clinical application for auricular reconstruction. EBioMedicine 2018, 28, 287–302. [Google Scholar] [CrossRef]
- Konta, A.A.; García-Piña, M.; Serrano, D.R. Personalised 3D printed medicines: Which techniques and polymers are more successful? Bioengineering 2017, 4, 79. [Google Scholar] [CrossRef]
- Kantaros, A.; Ganetsos, T.; Petrescu, F.I.T. Transforming Object Design and Creation: Biomaterials and Contemporary Manufacturing Leading the Way. Biomimetics 2024, 9, 48. [Google Scholar] [CrossRef]
- Munoz-Guijosa, J.M.; Martínez, R.Z.; Cendrero, A.M.; Lantada, A.D. Rapid Prototyping of Personalized Articular Orthoses by Lamination of Composite Fibers upon 3D-Printed Molds. Materials 2020, 13, 939. [Google Scholar] [CrossRef]
- Li, Z.; Lu, M.; Zhang, Y.; Wang, J.; Wang, Y.; Gong, T.; He, X.; Luo, Y.; Zhou, Y.; Min, L.; et al. Intercalary Prosthetic Reconstruction with Three-dimensional-printed Custom-made Porous Component for Defects of Long Bones with Short Residual Bone Segments after Tumor Resection. Orthop. Surg. 2024, 16, 374–382. [Google Scholar] [CrossRef]
- Meyer-Szary, J.; Luis, M.S.; Mikulski, S.; Patel, A.; Schulz, F.; Tretiakow, D.; Fercho, J.; Jaguszewska, K.; Frankiewicz, M.; Pawłowska, E.; et al. The Role of 3D Printing in Planning Complex Medical Procedures and Training of Medical Professionals—Cross-Sectional Multispecialty Review. Int. J. Environ. Res. Public Health 2022, 19, 3331. [Google Scholar] [CrossRef] [PubMed]
- Rynio, P.; Wojtuń, M.; Wójcik, Ł.; Kawa, M.; Falkowski, A.; Gutowski, P.; Kazimierczak, A. The Accuracy and Reliability of 3D Printed Aortic Templates: A Comprehensive Three-Dimensional Analysis. Quant. Imaging Med. Surg. 2022, 12, 1385–1396. [Google Scholar] [CrossRef] [PubMed]
- Kim, M.S.; Hansgen, A.R.; Wink, O.; Quaife, R.A.; Carroll, J.D. Rapid prototyping: A new tool in understanding and treating structural heart disease. Circulation 2008, 117, 2388–2394. [Google Scholar] [CrossRef]
- Suzuki, M.; Ogawa, Y.; Kawano, A.; Hagiwara, A.; Yamaguchi, H.; Ono, H. Rapid prototyping of temporal bone for surgical training and medical education. Acta Otolaryngol. 2004, 124, 400–402. [Google Scholar] [CrossRef]
- Knox, K.; Kerber, C.W.; Singel, S.A.; Bailey, M.J.; Imbesi, S.G. Rapid prototyping to create vascular replicas from CT scan data: Making tools to teach, rehearse, and choose treatment strategies. Catheter. Cardiovasc. Interv. 2005, 65, 47–53. [Google Scholar] [CrossRef]
- Malik, H.H.; Darwood, A.R.; Shaunak, S.; Kulatilake, P.; El-Hilly, A.A.; Mulki, O.; Baskaradas, A. Three-dimensional printing in surgery: A review of current surgical applications. J. Surg. Res. 2015, 199, 512–522. [Google Scholar] [CrossRef]
- Martelli, N.; Serrano, C.; van den Brink, H.; Pineau, J.; Prognon, P.; Borget, I.; El Batti, S. Advantages and disadvantages of 3-dimensional printing in surgery: A systematic review. Surgery 2016, 159, 1485–1500. [Google Scholar] [CrossRef]
- Hughes, B.; Wilson, G. 3D/additive printing manufacturing: A brief history and purchasing guide. Technol. Eng. Teach. 2015, 75, 18. [Google Scholar]
- Kantaros, A. Bio-Inspired Materials: Exhibited Characteristics and Integration Degree in Bio-Printing Operations. Am. J. Eng. Appl. Sci. 2022, 15, 255–263. [Google Scholar] [CrossRef]
- Liu, K.; Fang, K.; Chen, W.; Zhang, C.; Sun, L.; Zhu, J. Hydroxyethyl methyl cellulose controls the diffusion behavior of pico-liter scale ink droplets on silk to improve inkjet printing performance. Int. J. Biol. Macromol. 2023, 224, 1252–1265. [Google Scholar] [CrossRef] [PubMed]
- Banks, J. Adding value in additive manufacturing: Researchers in the United Kingdom and Europe look to 3D printing for customization. IEEE Pulse 2013, 4, 22–26. [Google Scholar] [CrossRef] [PubMed]
- Klein, G.T.; Lu, Y.; Wang, M.Y. 3D printing and neurosurgery--ready for prime time? World Neurosurg. 2013, 80, 233–235. [Google Scholar] [CrossRef] [PubMed]
- Singare, S.; Dichen, L.; Bingheng, L.; Zhenyu, G.; Yaxiong, L. Customized design and manufacturing of chin implant based on rapid prototyping. Rapid Prototyp. J. 2005, 11, 113–118. [Google Scholar] [CrossRef]
- Kalejs, M.; von Segesser, L.K. Rapid prototyping of compliant human aortic roots for assessment of valved stents. Interact. Cardiovasc. Thorac. Surg. 2009, 8, 182–186. [Google Scholar] [CrossRef] [PubMed]
- Bruyere, F.; Leroux, C.; Brunereau, L.; Lermusiaux, P. Rapid prototyping model for percutaneous nephrolithotomy training. J. Endourol. 2008, 22, 91–96. [Google Scholar] [CrossRef] [PubMed]
- Sulaiman, A.; Boussel, L.; Taconnet, F.; Serfaty, J.M.; Alsaid, H.; Attia, C.; Huet, L.; Douek, P. In vitro non-rigid life-size model of aortic arch aneurysm for endovascular prosthesis assessment. Eur. J. Cardio-Thorac. Surg. 2008, 33, 53–57. [Google Scholar] [CrossRef] [PubMed]
- Armillotta, A.; Bonhoeffer, P.; Dubini, G.; Ferragina, S.; Migliavacca, F.; Sala, G.; Schievano, S. Use of rapid prototyping models in the planning of percutaneous pulmonary valved stent implantation. Proc. Inst. Mech. Eng. Part H J. Eng. Med. 2007, 221, 407–416. [Google Scholar] [CrossRef] [PubMed]
- Rahmaniar, W.; Wang, W.-J. Real-Time Automated Segmentation and Classification of Calcaneal Fractures in CT Images. Appl. Sci. 2019, 9, 3011. [Google Scholar] [CrossRef]
- Song, Q.; Li, T.; Xia, H.; Li, Y.; Feng, C.; Lin, Y.; Wang, H.; Hu, J.; Jiang, Q. Three-Dimensional Printed Cast Assisted Screw Fixation of Calcaneal Fractures: A Prospective Study. BMC Musculoskelet. Disord. 2023, 24, 802. [Google Scholar] [CrossRef]
- Sakong, S.-Y.; Cho, J.-W.; Kim, B.-S.; Park, S.-J.; Lim, E.-J.; Oh, J.-K. The Clinical Efficacy of Contouring Periarticular Plates on a 3D Printed Bone Model. J. Pers. Med. 2023, 13, 1145. [Google Scholar] [CrossRef]
- Panjabi, M.M.; O’holleran, J.D.; Crisco, J.J.; Kothe, R. Complexity of the thoracic spine pedicle anatomy. Eur. Spine J. 1997, 6, 19–24. [Google Scholar] [CrossRef]
- Vaccaro, A.R.; Rizzolo, S.J.; Balderston, R.A.; Allardyce, T.J.; Garfin, S.R.; Dolinskas, C.; An, H.S. Placement of pedicle screws in the thoracic spine. Part II: An anatomical and radiographic assessment. JBJS 1995, 77, 1200–1206. [Google Scholar] [CrossRef]
- Wang, D.; Wang, Y.; Wang, J.; Song, C.; Yang, Y.; Zhang, Z.; Lin, H.; Zhen, Y.; Liao, S. Design and Fabrication of a Precision Template for Spine Surgery Using Selective Laser Melting (SLM). Materials 2016, 9, 608. [Google Scholar] [CrossRef] [PubMed]
- Lu, S.; Zhang, Y.Z.; Wang, Z.; Shi, J.H.; Chen, Y.B.; Xu, X.M.; Xu, Y.Q. Accuracy and efficacy of thoracic pedicle screws in scoliosis with patient-specific drill template. Med. Biol. Eng. Comput. 2012, 50, 751–758. [Google Scholar] [CrossRef] [PubMed]
- Lu, S.; Xu, Y.Q.; Chen, G.P.; Zhang, Y.Z.; Lu, D.; Chen, Y.B.; Shi, J.H.; Xu, X.M. Efficacy and accuracy of a novel rapid prototyping drill template for cervical pedicle screw placement. Comput. Aided Surg. 2011, 16, 240–248. [Google Scholar] [CrossRef] [PubMed]
















Disclaimer/Publisher’s Note: The statements, opinions and data contained in all publications are solely those of the individual author(s) and contributor(s) and not of MDPI and/or the editor(s). MDPI and/or the editor(s) disclaim responsibility for any injury to people or property resulting from any ideas, methods, instructions or products referred to in the content. |
© 2024 by the authors. Licensee MDPI, Basel, Switzerland. This article is an open access article distributed under the terms and conditions of the Creative Commons Attribution (CC BY) license (https://creativecommons.org/licenses/by/4.0/).
Share and Cite
Kantaros, A.; Petrescu, F.I.T.; Abdoli, H.; Diegel, O.; Chan, S.; Iliescu, M.; Ganetsos, T.; Munteanu, I.S.; Ungureanu, L.M. Additive Manufacturing for Surgical Planning and Education: A Review. Appl. Sci. 2024, 14, 2550. https://doi.org/10.3390/app14062550
Kantaros A, Petrescu FIT, Abdoli H, Diegel O, Chan S, Iliescu M, Ganetsos T, Munteanu IS, Ungureanu LM. Additive Manufacturing for Surgical Planning and Education: A Review. Applied Sciences. 2024; 14(6):2550. https://doi.org/10.3390/app14062550
Chicago/Turabian StyleKantaros, Antreas, Florian Ion Tiberiu Petrescu, Hamed Abdoli, Olaf Diegel, Simon Chan, Mihaiela Iliescu, Theodore Ganetsos, Iulian Sorin Munteanu, and Liviu Marian Ungureanu. 2024. "Additive Manufacturing for Surgical Planning and Education: A Review" Applied Sciences 14, no. 6: 2550. https://doi.org/10.3390/app14062550
APA StyleKantaros, A., Petrescu, F. I. T., Abdoli, H., Diegel, O., Chan, S., Iliescu, M., Ganetsos, T., Munteanu, I. S., & Ungureanu, L. M. (2024). Additive Manufacturing for Surgical Planning and Education: A Review. Applied Sciences, 14(6), 2550. https://doi.org/10.3390/app14062550

