Effects of Polyurethane Absorber for Improving the Contrast between Fascia and Muscle in Diagnostic Ultrasound Images
Abstract
1. Introduction
2. Materials and Methods
2.1. Participants
2.2. Experiments and Data Acquisition
2.3. Statistical Analysis
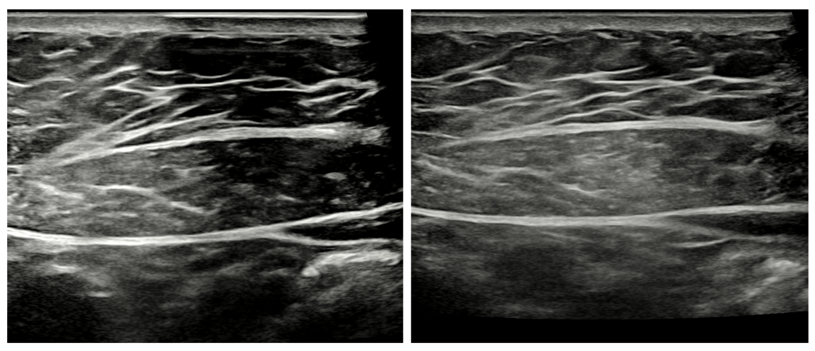
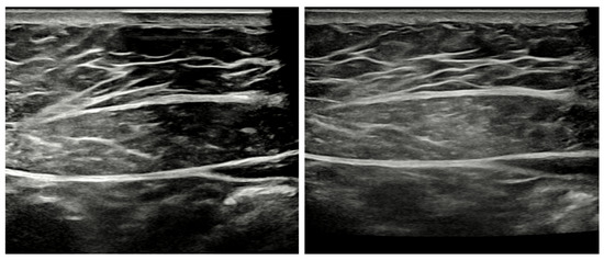
3. Results
4. Discussion
Author Contributions
Funding
Institutional Review Board Statement
Informed Consent Statement
Data Availability Statement
Acknowledgments
Conflicts of Interest
References
- Manbachi, A.; Cobbold, R.S.C. Development and Application of Piezoelectric Materials for Ultrasound Generation and Detection. Ultrasound 2011, 19, 187–196. [Google Scholar] [CrossRef]
- Madsen, E.L.; Frank, G.R.; Dong, F. Liquid or Solid Ultrasonically Tissue-Mimicking Materials with Very Low Scatter. Ultrasound Med. Biol. 1998, 24, 535–542. [Google Scholar] [CrossRef]
- Chan, V.; Perlas, A. Basics of Ultrasound Imaging. In Atlas of Ultrasound-Guided Procedures in Interventional Pain Management; Narouze, S.N., Ed.; Springer: New York, NY, USA, 2011; pp. 13–19. ISBN 978-1-4419-1681-5. [Google Scholar]
- Aldrich, J.E. Basic Physics of Ultrasound Imaging. Crit. Care Med. 2007, 35, S131–S137. [Google Scholar] [CrossRef]
- Chen, Q.; Zagzebski, J.A. Simulation Study of Effects of Speed of Sound and Attenuation on Ultrasound Lateral Resolution. Ultrasound Med. Biol. 2004, 30, 1297–1306. [Google Scholar] [CrossRef] [PubMed]
- Zhang, Z.; Liu, M.; Li, Q.; Png, M. Baseline-Free Defect Evaluation of Complex-Microstructure Composites Using Frequency-Dependent Ultrasound Reflections. Compos. Part A Appl. Sci. Manuf. 2020, 139, 106090. [Google Scholar] [CrossRef]
- Chapman, A.; ter Haar, G. Thermal Ablation of Uterine Fibroids Using MR-Guided Focused Ultrasound-a Truly Non-Invasive Treatment Modality. Eur. Radiol. 2007, 17, 2505–2511. [Google Scholar] [CrossRef] [PubMed]
- Scholz, A.M.; Bünger, L.; Kongsro, J.; Baulain, U.; Mitchell, A.D. Non-Invasive Methods for the Determination of Body and Carcass Composition in Livestock: Dual-Energy X-ray Absorptiometry, Computed Tomography, Magnetic Resonance Imaging and Ultrasound: Invited Review. Animal 2015, 9, 1250–1264. [Google Scholar] [CrossRef] [PubMed]
- Heckmatt, J.Z.; Pier, N.; Dubowitz, V. Real-Time Ultrasound Imaging of Muscles. Muscle Nerve 1988, 11, 56–65. [Google Scholar] [CrossRef] [PubMed]
- Whittaker, J.L.; Stokes, M. Ultrasound Imaging and Muscle Function. J. Orthop. Sports Phys. Ther. 2011, 41, 572–580. [Google Scholar] [CrossRef] [PubMed]
- Saul, T.; Siadecki, S.D.; Berkowitz, R.; Rose, G.; Matilsky, D.; Sauler, A. M-Mode Ultrasound Applications for the Emergency Medicine Physician. J. Emerg. Med. 2015, 49, 686–692. [Google Scholar] [CrossRef] [PubMed]
- Quiñones, M.A.; Otto, C.M.; Stoddard, M.; Waggoner, A.; Zoghbi, W.A. Recommendations for Quantification of Doppler Echocardiography: A Report from the Doppler Quantification Task Force of the Nomenclature and Standards Committee of the American Society of Echocardiography. J. Am. Soc. Echocardiogr. 2002, 15, 167–184. [Google Scholar] [CrossRef]
- Quistgaard, J.U. Signal Acquisition and Processing in Medical Diagnostic Ultrasound. IEEE Signal Process. Mag. 1997, 14, 67–74. [Google Scholar] [CrossRef]
- Park, R.; Nyland, T.; Lattimer, J.; Miller, C.; Lebel, J. B-Mode Gray-Scale Ultrasound: Imaging Artifacts and Interpretation Principles. Vet. Radiol. 1981, 22, 204–210. [Google Scholar] [CrossRef]
- Reusz, G.; Sarkany, P.; Gal, J.; Csomos, A. Needle-Related Ultrasound Artifacts and Their Importance in Anaesthetic Practice. Br. J. Anaesth. 2014, 112, 794–802. [Google Scholar] [CrossRef]
- Xiao, G.; Brady, M.; Noble, J.A.; Zhang, Y. Segmentation of Ultrasound B-Mode Images with Intensity Inhomogeneity Correction. IEEE Trans. Med. Imaging 2002, 21, 48–57. [Google Scholar] [CrossRef] [PubMed]
- Gunabushanam, G.; Scoutt, L.M. Ultrasound Image Optimization for the Interventional Radiologist. Tech. Vasc. Interv. Radiol. 2021, 24, 100766. [Google Scholar] [CrossRef] [PubMed]
- Klucinec, B. The Effectiveness of the Aquaflex Gel Pad in the Transmission of Acoustic Energy. J. Athl. Train. 1996, 31, 313–317. [Google Scholar] [PubMed]
- Jhu, J.-L.; Chai, H.-M.; Jan, M.-H.; Wang, C.-L.; Shau, Y.-W.; Wang, S.-F. Reliability and Relationship between 2 Measurements of Transversus Abdominis Dimension Taken during an Abdominal Drawing-in Maneuver Using a Novel Approach of Ultrasound Imaging. J. Orthop. Sports Phys. Ther. 2010, 40, 826–832. [Google Scholar] [CrossRef] [PubMed]
- Mohamed, A.S.A. Automated Speckle Tracking in Ultrasound Images of Tendon Movements; University of Salford: Salford, UK, 2014. [Google Scholar]
- Hicks, K.M.; Onambélé, G.L.; Winwood, K.; Morse, C.I. Muscle Damage Following Maximal Eccentric Knee Extensions in Males and Females. PLoS ONE 2016, 11, e0150848. [Google Scholar] [CrossRef] [PubMed]
- Park, C.; Cho, H.-Y.; Kang, C.-K. Investigation of Structural Changes in Rectus Abdominis Muscle According to Curl-Up Angle Using Ultrasound with an Extended Field of View. Int. J. Environ. Res. Public. Health 2022, 19, 14525. [Google Scholar] [CrossRef]
- Hatjipetrou, A.; Anyfantakis, D.; Kastanakis, M. Rectus Sheath Hematoma: A Review of the Literature. Int. J. Surg. 2015, 13, 267–271. [Google Scholar] [CrossRef]
- Gatt, A.; Agarwal, S.; Zito, P.M. Anatomy, Fascia Layers. In StatPearls; StatPearls Publishing: Treasure Island, FL, USA, 2024. [Google Scholar]
- Kubo, K.; Kanehisa, H.; Fukunaga, T. Comparison of Elasticity of Human Tendon and Aponeurosis in Knee Extensors and Ankle Plantar Flexors in Vivo. J. Appl. Biomech. 2005, 21, 129–142. [Google Scholar] [CrossRef]
- Malliaras, P.; Kamal, B.; Nowell, A.; Farley, T.; Dhamu, H.; Simpson, V.; Morrissey, D.; Langberg, H.; Maffulli, N.; Reeves, N. Patellar Tendon Adaptation in Relation to Load-Intensity and Contraction Type. J. Biomech. 2013, 46, 1893–1899. [Google Scholar] [CrossRef]
- Bohm, S.; Mersmann, F.; Schroll, A.; Mäkitalo, N.; Arampatzis, A. Insufficient Accuracy of the Ultrasound-Based Determination of Achilles Tendon Cross-Sectional Area. J. Biomech. 2016, 49, 2932–2937. [Google Scholar] [CrossRef]
- Selfridge, A.R. Approximate Material Properties in Isotropic Materials. IEEE Trans. Son. Ultrason. 1985, 32, 381–394. [Google Scholar] [CrossRef]
- Maganaris, C.N.; Paul, J.P. Hysteresis Measurements in Intact Human Tendon. J. Biomech. 2000, 33, 1723–1727. [Google Scholar] [CrossRef]
- Morsink, C.F.; Dam-Vervloet, A.J.; Krommendijk, M.E.; Kaya, M.; Cuartas-Vélez, C.; Knop, T.; Francis, K.J.; Bosschaart, N. Design and Characterization of Color Printed Polyurethane Films as Biomedical Phantom Layers. Biomed. Opt. Express 2023, 14, 4485. [Google Scholar] [CrossRef] [PubMed]
- Badiuk, S.R.; Sasaki, D.K.; Rickey, D.W. An Anthropomorphic Maxillofacial Phantom Using 3-Dimensional Printing, Polyurethane Rubber and Epoxy Resin for Dental Imaging and Dosimetry. Dentomaxillofac. Radiol. 2022, 51, 20200323. [Google Scholar] [CrossRef] [PubMed]
- Banks, V.; Bale, S.; Harding, K.; Harding, E.F. Evaluation of a New Polyurethane Foam Dressing. J. Wound Care 1997, 6, 266–269. [Google Scholar] [CrossRef] [PubMed]
- Morales-González, M.; Díaz, L.E.; Dominguez-Paz, C.; Valero, M.F. Insights into the Design of Polyurethane Dressings Suitable for the Stages of Skin Wound-Healing: A Systematic Review. Polymers 2022, 14, 2990. [Google Scholar] [CrossRef] [PubMed]
- Basseal, J.M.; Westerway, S.C.; Hyett, J.A. Analysis of the Integrity of Ultrasound Probe Covers Used for Transvaginal Examinations. Infect. Dis. Health 2020, 25, 77–81. [Google Scholar] [CrossRef]
- Gupta, M.; Taneja, H.; Chand, L. Performance Enhancement and Analysis of Filters in Ultrasound Image Denoising. Procedia Comput. Sci. 2018, 132, 643–652. [Google Scholar] [CrossRef]
- Vimala, B.B.; Srinivasan, S.; Mathivanan, S.K.; Muthukumaran, V.; Babu, J.C.; Herencsar, N.; Vilcekova, L. Image Noise Removal in Ultrasound Breast Images Based on Hybrid Deep Learning Technique. Sensors 2023, 23, 1167. [Google Scholar] [CrossRef]
- Ghali, S.; Katti, G.; Shahbaz, S.; Chitroda, P.K.; Anukriti, V.; Divakar, D.D.; Khan, A.A.; Naik, S.; Al-Kheraif, A.A.; Jhugroo, C. Fascial Space Odontogenic Infections: Ultrasonography as an Alternative to Magnetic Resonance Imaging. World J. Clin. Cases 2021, 9, 573–580. [Google Scholar] [CrossRef]
- Duitama, I.G.; Claramunt, A.A.; Gonzalez, P.G. Muscles and Fasciae. In Elastography of the Musculoskeletal System; Marsico, S., Solano, A., Eds.; Springer International Publishing: Cham, Switzerland, 2023; pp. 79–97. ISBN 978-3-031-31054-6. [Google Scholar]
- Mast, T.D.; Hinkelman, L.M.; Orr, M.J.; Sparrow, V.W.; Waag, R.C. Simulation of Ultrasonic Pulse Propagation through the Abdominal Wall. J. Acoust. Soc. Am. 1997, 102, 1177–1190. [Google Scholar] [CrossRef]
- Adstrum, S.; Hedley, G.; Schleip, R.; Stecco, C.; Yucesoy, C.A. Defining the Fascial System. J. Bodyw. Mov. Ther. 2017, 21, 173–177. [Google Scholar] [CrossRef] [PubMed]
- Niraj, G. Pathophysiology and Management of Abdominal Myofascial Pain Syndrome (AMPS): A Three-Year Prospective Audit of a Management Pathway in 120 Patients. Pain Med. 2018, 19, 2256–2266. [Google Scholar] [CrossRef] [PubMed]
- Mohseni-Bandpei, M.A.; Nakhaee, M.; Mousavi, M.E.; Shakourirad, A.; Safari, M.R.; Kashani, R.V. Application of Ultrasound in the Assessment of Plantar Fascia in Patients with Plantar Fasciitis: A Systematic Review. Ultrasound Med. Biol. 2014, 40, 1737–1754. [Google Scholar] [CrossRef]
- Wei, K.; Jayaweera, A.R.; Firoozan, S.; Linka, A.; Skyba, D.M.; Kaul, S. Quantification of Myocardial Blood Flow with Ultrasound-Induced Destruction of Microbubbles Administered as a Constant Venous Infusion. Circulation 1998, 97, 473–483. [Google Scholar] [CrossRef]
- Brannigan, M.; Burns, P.N.; Wilson, S.R. Blood Flow Patterns in Focal Liver Lesions at Microbubble-Enhanced US. RadioGraphics 2004, 24, 921–935. [Google Scholar] [CrossRef]
- Khumri, T.M.; Main, M.L. Safety and Risk–Benefit Profile of Microbubble Contrast Agents in Echocardiography. Asia Pacif Cardiol. 2008, 2, 47–49. [Google Scholar] [CrossRef]
- Ji, X.; Wei, M.; Wang, L.; Li, J.; Gao, D.; Geng, C. Application of Ultrasound-Guided Placement of Markers for Locating Axillary Lymph Nodes of Breast Cancer. Gland. Surg. 2021, 10, 3067–3074. [Google Scholar] [CrossRef] [PubMed]
- Kim, J.H.; Hong, S.S.; Kim, J.H.; Park, H.J.; Chang, Y.-W.; Chang, A.R.; Kwon, S.-B. Safety and Efficacy of Ultrasound-Guided Fiducial Marker Implantation for CyberKnife Radiation Therapy. Korean J. Radiol. 2012, 13, 307. [Google Scholar] [CrossRef] [PubMed]
- Tsoumakidou, G.; Saltiel, S.; Villard, N.; Duran, R.; Meuwly, J.-Y.; Denys, A. Image-Guided Marking Techniques in Interventional Radiology: A Review of Current Evidence. Diagn. Interv. Imaging 2021, 102, 699–707. [Google Scholar] [CrossRef] [PubMed]
- Edeiken, B.S.; Fornage, B.D.; Bedi, D.G.; Singletary, S.E.; Ibrahim, N.K.; Strom, E.A.; Holmes, F. US-Guided Implantation of Metallic Markers for Permanent Localization of the Tumor Bed in Patients with Breast Cancer Who Undergo Preoperative Chemotherapy. Radiology 1999, 213, 895–900. [Google Scholar] [CrossRef]



| Mean | SD | Mean Difference (No_PU–PU) | SE | t Statistic | p | |||
|---|---|---|---|---|---|---|---|---|
| Thickness (mm) | RA | No_PU | 12.15 | 2.73 | 0.511 | 0.442 | 1.16 | 0.260 |
| PU | 11.64 | 2.75 | ||||||
| SF | No_PU | 0.93 | 0.28 | 0.045 | 0.044 | 1.02 | 0.318 | |
| PU | 0.89 | 0.24 | ||||||
| DF | No_PU | 0.89 | 0.31 | 0.111 | 0.069 | 1.60 | 0.122 | |
| PU | 0.78 | 0.21 |
| Mean | SD | Mean Difference (No_PU–PU) | SE | t Statistic | p | |||
|---|---|---|---|---|---|---|---|---|
| Signal intensity | RA | No_PU | 76.15 | 30.91 | 63.7 | 6.17 | 10.33 | <0.001 * |
| PU | 12.41 | 10.67 | ||||||
| SF | No_PU | 180.02 | 28.35 | 73.8 | 5.21 | 14.15 | <0.001 * | |
| PU | 106.26 | 39.72 | ||||||
| DF | No_PU | 154.90 | 43.02 | 82.2 | 7.75 | 10.60 | <0.001 * | |
| PU | 72.72 | 35.74 | ||||||
| BG | No_PU | 53.40 | 33.08 | 46.6 | 6.43 | 7.25 | <0.001 * | |
| PU | 6.75 | 5.84 |
| Mean | SD | Mean Difference (No_PU–PU) | SE | t Statistic | p | |||
|---|---|---|---|---|---|---|---|---|
| SNR | RA | No_PU | 13.18 | 5.21 | −35.70 | 8.51 | −4.20 | <0.001 * |
| PU | 5.82 | 3.52 | ||||||
| SF | No_PU | 31.37 | 10.73 | 7.36 | 1.20 | 6.12 | <0.001 * | |
| PU | 67.07 | 43.87 | ||||||
| DF | No_PU | 25.64 | 6.67 | −11.91 | 4.33 | −2.75 | 0.013 * | |
| PU | 37.54 | 22.23 |
| Mean | SD | Mean Difference (No_PU–PU) | SE | t Statistic | p | |||
|---|---|---|---|---|---|---|---|---|
| CNR | SF-RA | No_PU | 16.70 | 6.92 | −33.40 | 5.38 | −6.20 | <0.001 * |
| PU | 50.10 | 26.38 | ||||||
| DF-RA | No_PU | 12.30 | 7.97 | −19.70 | 4.59 | −4.28 | <0.001 * | |
| PU | 32.00 | 22.53 |
Disclaimer/Publisher’s Note: The statements, opinions and data contained in all publications are solely those of the individual author(s) and contributor(s) and not of MDPI and/or the editor(s). MDPI and/or the editor(s) disclaim responsibility for any injury to people or property resulting from any ideas, methods, instructions or products referred to in the content. |
© 2024 by the authors. Licensee MDPI, Basel, Switzerland. This article is an open access article distributed under the terms and conditions of the Creative Commons Attribution (CC BY) license (https://creativecommons.org/licenses/by/4.0/).
Share and Cite
Park, C.-S.; Ahn, S.-J.; Lee, Y.-B.; Kang, C.-K. Effects of Polyurethane Absorber for Improving the Contrast between Fascia and Muscle in Diagnostic Ultrasound Images. Appl. Sci. 2024, 14, 2126. https://doi.org/10.3390/app14052126
Park C-S, Ahn S-J, Lee Y-B, Kang C-K. Effects of Polyurethane Absorber for Improving the Contrast between Fascia and Muscle in Diagnostic Ultrasound Images. Applied Sciences. 2024; 14(5):2126. https://doi.org/10.3390/app14052126
Chicago/Turabian StylePark, Chan-Sol, Soo-Jin Ahn, Yeong-Bae Lee, and Chang-Ki Kang. 2024. "Effects of Polyurethane Absorber for Improving the Contrast between Fascia and Muscle in Diagnostic Ultrasound Images" Applied Sciences 14, no. 5: 2126. https://doi.org/10.3390/app14052126
APA StylePark, C.-S., Ahn, S.-J., Lee, Y.-B., & Kang, C.-K. (2024). Effects of Polyurethane Absorber for Improving the Contrast between Fascia and Muscle in Diagnostic Ultrasound Images. Applied Sciences, 14(5), 2126. https://doi.org/10.3390/app14052126

