Next Article in Journal
Analysis of the Existing Air Emissions Detection Methods for Stationary Pollution Sources Monitoring
Next Article in Special Issue
Polyamine Content of Enteral Nutrition Formulas: Effect of Daily Intake on the Feeding Tolerance of Patients During the First Week in the Intensive Care Unit
Previous Article in Journal
Enhancing Mycotoxin Detection in Table Olives: The Role of Enzyme-Linked Immunosorbent Assay and Method Optimization
Previous Article in Special Issue
Omics-Integrated Approach (Metabolomics, Proteomics and Lipidomics) to Assess the Quality Control of Aquatic and Seafood Products
 
 
Font Type:
Arial Georgia Verdana
Font Size:
Aa Aa Aa
Line Spacing:
Column Width:
Background:
Article

In Vitro and In Vivo Digestibility of Putative Nutraceutical Common-Bean-Derived Alpha-Amylase Inhibitors

1
Department of Nutrition Science, Institute of Food Science and Technology, Hungarian University of Agriculture and Life Sciences, Somlói Road 14-16, H-1118 Budapest, Hungary
2
Department of Livestock Products and Food Preservation Technology, Institute of Food Science and Technology, Hungarian University of Agriculture and Life Sciences, Ménesi Str. 43-45, H-1118 Budapest, Hungary
3
National Food Chain Safety Office, Risk Communication Directorate, Kitaibel Pál Str. 4, H-1024 Budapest, Hungary
*
Author to whom correspondence should be addressed.
Appl. Sci. 2024, 14(23), 10935; https://doi.org/10.3390/app142310935
Submission received: 14 October 2024 / Revised: 17 November 2024 / Accepted: 18 November 2024 / Published: 25 November 2024
(This article belongs to the Special Issue Advances in Food Metabolomics)

Abstract

The inhibition of the alpha-amylase digestive enzyme impedes starch digestion by blocking access to the active site of the enzyme, thereby playing a role in the prevention of obesity and type 2 diabetes. Plant-derived alpha-amylase inhibitors (αAIs) are promising nonpharmacological alternatives for the prevention of these diseases. Alpha-amylase inhibitor-1 (αAI-1) present in common bean (Phaseolus vulgaris) is derived from a precursor protein. In this study, the effect of digestion on the digestibility, immune reactivity, and bioactivity of αAI-1 was assessed from four varieties of Hungarian common bean (Phaseolus vulgaris), with special regard to the precursor protein. For this purpose, αAI-1 was tested in both matrix (native flour and cooked flour) and purified forms under in vitro and acute rat in vivo digestion experiments. The effect of digestion on αAI-1s was monitored by lab-on-a-chip (LOC) electrophoresis, SDS-PAGE/immunoblot, and inhibitory activity analyses by native PAGE. After both in vitro and in vivo digestion, we established that αAI-1 was not degraded even after 60 min gastric digestion and showed immune-reactive properties as well. Although the activity of the purified αAI-1 was lost, that of αAI-1 in the flour matrix (noncooked and cooked) was retained in the stomach. Presumably, in the beans, αAI-1 polypeptides became active due to the pepsin digestion of the precursor protein. The latter samples were also tested in vivo in the small intestine and their resistance and immune reactivity were observed, but αAI-1 did not show activity, as αAI-1 polypeptides were probably complexed by pancreatic amylases. From these results, we can assume that the αAI-1-rich bean protein preparation can affect the carbohydrate metabolism; thus, it could be a promising ingredient for weight loss purposes.

1. Introduction

The incidence of obesity has doubled during the last three decades and it has become a public health problem worldwide. The increasing prevalence of obesity can lead to an increasing prevalence of type 2 diabetes as well. Diabetes affects more than 400 billion patients worldwide [1]. Most anti-obesity medications are pharmacological agents with undesirable side effects [2]. Applied strategies to reduce the glycemic index (GI), like increasing resistant starch or dietary fiber and reducing the proportion of refined carbohydrates, may also cause side effects, such as stomach flatulence [3]. Therefore, the development of plant-derived nutraceuticals and dietary supplements or bioactive food ingredients has become very important. These ingredients, besides polyphenols and dietary fibers, also include bioactive proteins, and these proteins have an important role in controlling human metabolism. More research is required to identify bioactive peptides from plant sources against metabolic disorders.
Recently, more attention has been given to legume-related research, as legumes accumulate large amounts of proteins during their development, and these proteins are termed as storage proteins and non-storage bioactive proteins. The non-storage bioactive proteins can be enzymes, enzyme inhibitors, hormones, transporter proteins, structural proteins, or allergens [4]. Natural alpha-amylase inhibitors (αAIs) are considered as promising new drugs in the treatment of metabolic diseases [5].
αAIs impede the activity of the alpha-amylase enzyme during digestion by blocking access to the active site of the enzyme. This inhibition in the starch breakdown process leads to the lowering of the glucose levels of the blood. This action of αAI-1 has been considered for potential application in the therapy of obesity and diabetes.
Two isoforms of αAIs and an αAI-like protein have been reported in common beans. Only the αAI-1 form inhibits the α-amylase enzymes of mammals and insects, the αAI-2 inhibits the α-amylase enzymes of several insects, and the αAI-like protein (also known as αAI-3) is completely inactive towards amylase enzymes and it represents an evolutionary intermediate between phytohemagglutinin (PHA), arcelin, and αAI [6]. Enzymatically inactive αAI-1 polypeptides are present in the embryonic axes and cotyledons of common beans (Phaseolus vulgaris). They are synthesized as a precursor—around 35 kDa—on the endoplasmic reticulum, modified in the Golgi apparatus, and, finally, transported to the protein storage vacuoles. The molecular weights of the proteolytically cleaved and active αAI-1 polypeptides are 15–18 kDa [7]. Our earlier mass spectrometric data showed that the processed forms of αAI-1s have high variability in their α- and β-chain peptides in Hungarian common bean cultivars, and antibodies against Tendergreen bean αAI-1 developed in rabbit recognized all the investigated forms [8].
In the 1980s, crude preparations of bean αAI-containing products were marketed in the United States, but clinical studies showed that these products had no inhibitory activity. Later, a research group at Mayo Clinic developed a common white bean protein extract containing αAI and tested it in clinical experiments as a possible alternative for obesity treatment and glycemic control. This partially purified bean product was found to cause body weight loss and reduce spikes in blood sugar due to its αAI activity [9].
Later, studies confirmed the preliminary hypothesis and results. They found that the bean αAI reduces the absorption of complex carbohydrates and lowers blood glucose concentration, C-peptide, and gastric inhibitory polypeptide (GIP) levels [10].
Zhang et al. (2020) found that a carbohydrate blocker product (Max Bloc bean protein) containing common bean protein can significantly reduce the digestion of starchy food (like white bread, rice, and pasta) by 69–93% [11].
A diet containing Phaseolus vulgaris extract αAIs given to healthy human subjects reduced postprandial blood glucose [12], and a diet containing white-kidney-bean-derived αAIs resulted in moderate postprandial glycemia [3].
Ghorbani et al. reported that αAI partially purified by ethanol fractionation from white bean can be considered as a raw material for pharmaceutical preparations of αAIs used to control the levels of glycemia [13].
A purified amylase inhibitor from Mucuna bean (Mucuna pruriens) was found to inhibit the activity of human salivary α-amylase, by which it could play an important role in the management of diabetes-related disorders [14].
A study concluded that an αAI-active peptide fraction can be found in lima bean (Phaseolus lunatus L.), which is also a promising ingredient for type 2 diabetes treatment [15].
Plant proteins have been found to present high resistance to proteolysis in the gastrointestinal tract due to their specific structural properties [16]. The α-helix and β-sheet secondary structures of proteins can influence their nutritive value, quality, and digestive behavior. A high percentage of β-sheets may result in low accessibility for gastrointestinal digestion enzymes [17]. The structure of legume seed proteins has been described by a high β-sheet and relatively low α-helix content. This prevalent β-sheet conformation was found to play a major role in decreasing protein digestibility in legume proteins [18]. Arnal et al. (2023) proved the antidiabetic potential of some legumes (green pea, chickpea, and navy bean), which increased after gastrointestinal digestion probably due to the generation of bioactive peptides after the hydrolysis of proteins [19].
Investigation of alpha-amylase inhibitors in beans could lead to several new findings and potential applications for science and industry, as these inhibitors have significant biological and health effects. They are new types of natural blood glucose regulators, new options in weight loss treatments, and they even have plant protection potential. Furthermore, they can be used for the development of a new food ingredient. Alpha-amylase inhibitors can be used in functional foods or “slow-carb” products that are more slowly digested and have a lower glycemic load. Such products can improve blood glucose control without the need for drug intervention, which may be beneficial in the dietetic food market. Structural and functional studies of the alpha-amylase inhibitor in beans may provide new insights into protein structure–function relationships. These give understanding of how this inhibitor can bind specifically to alpha-amylase, and this information may be important for the design of new synthetic inhibitors or drug molecules.
According to the above mentioned, our aim was primarily to assess the in vitro and in vivo digestibility of Hungarian common bean (Phaseolus vulgaris)-derived αAI-1s and common bean meals for their inhibitory activity and, secondly, to monitor the precursor protein of the αAI-1 during the digestion process. We wondered whether αAI-1 would remain in the small intestine and, if so, whether it would retain its activity.

2. Materials and Methods

2.1. Hungarian Common Bean (Phaseolus vulgaris L.) Varieties

2.1.1. Flours

Common bean (Phaseolus vulgaris) varieties (Pinto, Huanita Dry, Bush, and Red Kidney) were purchased from a local store in Budapest, while Tendergreen was provided by the Commonwealth Scientific and Industrial Research Organisation (CSIRO) (Canberra, Australia). The seeds were ground by GRINDOMIX GM200 (Retsch GmbH, Haan, Germany) grinder (15 s at 5000 rpm, following 60 s at 8000 rpm) to achieve 400 µm sized flour.

2.1.2. Pinto Bean Cooked Flour

In the case of Pinto variety, the bean was cooked (100 °C for 30 min), then lyophilized (constant pressure of 63 Pa and a shelf temperature of 40 °C), and then ground to 400 µm flour (named as Pinto bean cooked flour). It was used for an in vivo rat feeding experiment (see Section 2.4).

2.2. Purification of αAI-1 from Common Beans

2.2.1. αAI-1 Extract

A total of 5 g of seed flour (400 µm) of all bean varieties was extracted (with shaking for 60 min at 25 °C) in 50 mL distilled water (1:10). Extracts were then centrifuged (10,000× g for 10 min at 25 °C). Supernatant (~36 mL) was filtered through filter paper if it was cloudy and then used for further analyses, hereafter referred to as “αAI-1 extract” in the text.

2.2.2. Purified αAI-1 Protein

In the case of all bean varieties, from “αAI-1 extract”, the αAI-1 protein was purified (hereafter referred to as “purified αAI-1 protein” in the text) by using an inorganic adsorbent zinc hydroxide solution (2%). This means that 7.2 mL 1 M C4H6O4Zn2H2, 13.32 mL 1 M NaOH, and 15.48 mL distilled water were mixed and then centrifuged (4000× g for 5 min). After centrifugation, the supernatant was discarded and the retained sediment was added to the ~36 mL “αAI-1 extract”. All together, it was mixed, then centrifuged (10,000× g for 5 min), and the supernatant (~40 mL) was used for Fast Protein Liquid Chromatography (FPLC), according to the protocol of Szamos et al. [20].
Briefly, 20 mM K-phosphate buffer (pH 7.5) was used for protein separation; then, with 25 mM NaCl2 in 10 mM K-phosphate buffer, the aAI-1 was eluted (1 mL/min) from the Express IonD (EXID)-column of DEAE anion-exchange chromatography. The gained protein fraction was concentrated on a Centricon Plus-80 (10 kDa cut-off, Millipore brand, Merck, Darmstadt, Germany) and 200 μL concentrate was injected onto a Superose 12 FPLC column (PHARMACIA) equilibrated with phosphate-buffered saline (PBS). The αAI-1 peak at 30 min (Ve = 15 mL) was collected and the αAI-1 inhibitory activity was measured by the method described in Section 2.9. The peak at 30 min showed 91–94% inhibitor activity.
The protein content of the “purified αAI-1 protein” of all bean varieties was 5 mg/mL on average, measured by Qubit fluorimeter (Invitrogen brand, Thermo Fisher Scientific Inc., Waltham, MA, USA) according to the instruction of the manufacturer. The Qubit® Protein Assay Kits (Invitrogen) for use with the Qubit® 2.0 Fluorometer make protein quantitation easy and accurate. The kits provide concentrated assay reagent, dilution buffer, and pre-diluted BSA standards (0, 200, and 400 ng/mL). The assay is accurate for initial sample concentrations from 12.5 mg/mL to 5 mg/mL and exhibits low protein-to-protein variation.

2.3. Gastric In Vitro Digestibility of Bean αAI-1

The “purified αAI-1 protein” of all bean varieties were submitted under in vitro gastric digestion according to the protocol of Thomas et al. [21] and Kumar et al. [22] with some modifications. In brief, 90 µL of “purified αAI-1” (5 mg/mL) was dissolved in 1.5 mL simulating gastric fluid (SGF). The SGF consisted of 3.2 mg pepsin (from porcine pancreas, Sigma-Aldrich, St. Louis, MO, USA), 30 mM NaCl, and 2 μL 4 M CaCl2, adjusted to pH 2.0 and preincubated at 37 °C. After the addition of “purified αAI-1 protein” to SGF, the contents of the tube were mixed by mild vortexing, and it was immediately placed in a water bath at 37 °C. Digestion took 2, 10, 30, and 60 min.
After in vitro gastric digestion, 70 μL of 200 mM NaHCO3 (pH 11) and 70 μL of 4x Laemmli buffer (40% glycerol, 5% β-mercaptoethanol, 10% SDS, 0.5 M Tris, and 0.05% bromphenol blue, pH 6.8) were added to the digesta. Samples were then stored at −20 °C until further analyses.
BSA, as a good digestible protein, was used for a positive control and β-lactoglobulin (βLG), as a non-digestible protein, was applied as a negative control.

2.4. In Vivo Digestibility of Bean αAI-1

Wistar rats (Toxi-Coop KKT, Budapest, Hungary) were weaned at 21 days and given free access to commercial stock diet (Toxi-Coop KKT, Budapest) for 10 days. Water was freely available at all times. On the day of the experiment, rats (3 rats/group) were fasted for 3 h. Rats (3 rats/test group) were given 5 mg Pinto bean flour (see in Section 2.2.1) or Pinto bean cooked flour (see in Section 2.2.2), respectively, by intragastric intubations in 1 mL 0.9% NaCl (saline), while the rats in the control group (3 rats/control group) were fed 1 mL 0.9% NaCl (saline only) [23]. Samples eaten by rats are subsequently named as Pinto bean meal, Pinto bean cooked meal, and Control meal.
Animals were killed after 60 min, and the contents of the removed stomach and small intestine were clarified by the method of Le Gall et al. [24]. Briefly, stomach and small intestinal contents were washed out with washing solution (1 mL and 2 mL, respectively) containing preservatives (15 mM EDTA (Ethylenediaminetetraacetic acid), 1 mM sodium-azide, and 2 mM PMSF (phenylmethylsulfonyl fluoride)) and then lyophilized. The lyophilized digesta samples were stored at −20 °C.
Proteins from the lyophilized gastric digesta were extracted with 1 L 16 mM Tris-HCl buffer containing 140 mM SDS (pH 8.0) for 90 min at room temperature by stirring.
Proteins from the lyophilized small intestinal digesta were extracted with 1 L 100 mM H3BO3 and 150 mM NaCl (pH 8.0) for 90 min at room temperature by stirring.
The extracts were centrifuged at 10,000× g for 10 min at room temperature and then stored at −20 °C until further analyses.

2.5. Lab-on-a-Chip (LOC) Electrophoresis

Lab-on-a-chip electrophoresis was used in the case of in vivo digested samples. Lab-on-a-chip-based separation was performed on the Experion Pro260 Analysis Kit (Bio-Rad Laboratories, Inc., Hercules, CA, USA) system using the Experion Pro260 expert software (version 3.20). The detection was based on laser-induced fluorescence of the fluorescent dye, which interacted with the protein. The kit contains the chips and the reagents, such as filtered gel matrix, protein dye solution, marker proteins, and the sample buffer. The sample preparation and the electrophoresis were performed according to the instruction of the manufacturer. Briefly, 20 µL of dye solution was added to 520 µL of gel solution for preparing the stained gel. The filtered gel and stained gel solution (12 µL) were injected into the appropriate cells of the chip. During the sample preparation, 4 µL of protein solution was added to 2 µL of β-mercaptoethanol containing sample buffer and, after incubation, at 95 °C for 5 min, 84 µL of distilled water was added. The prepared samples were injected into the appropriate cells of the chip.

2.6. Sodium Dodecyl Sulphate Polyacrylamide Gel Electrophoresis (SDS-PAGE)

Electrophoresis was performed according to the Laemmli protocol [25] using 15% resolving gel and 6% stacking gel with Mini-PROTEAN 3Cell (Bio-Rad Laboratories Inc., Hercules, CA, USA). Samples in Laemmli sample buffer (2×, Bio-Rad) (boiled at 100 °C for 5 min) were loaded onto the gel. Separation was conducted at 200 V for 60 min at room temperature. After the separation, the proteins were fixed on gel with 20% trichloroacetic acid (TCA) for 20 min, and then the gel was soaked in 96% acetic acid/96%ethanol/distilled water (1:2:17) washing liquid. The separated proteins were detected with Coomassie Brilliant BlueR-250 (Reanal, Budapest, Hungary). The background staining was removed by 10% acetic acid.

2.7. Immunoblotting Procedure

After electrophoresis, the proteins were transferred onto a 0.45 µm polyvinylidene fluoride (PVDF) membrane (Millipore) for 1.5 h at 0.25 V, 0.08 mA/cm2 (Bio-Rad Trans Blott CD Semi-Dry Transfer Cell). The membrane was blocked with 1% Bovine Serum Albumin (BSA) for 40 min and incubated with anti-bean αAI-1-rabbit IgG antibody (dilution 1:40) overnight. Peroxidase conjugated anti-rabbit IgG (Sigma-Aldrich, St. Louis, Missouri, United States of America, dilution: 1:500) was used as a secondary antibody. The blots were developed with 4-chloro-1-naphthol solution (Sigma-Aldrich, St. Louis, MO, USA) containing 0.48 mM 4-chloro-1-naphthol, 50 mM Tris-HCl, 0.2 M NaCl, and 17% methanol.
For the implementation of the immunoblotting procedure, rabbit antibodies against the “purified αAI-1 protein” of Tendergreen common bean (Phaseoulus vulgaris) were developed by the method of Harboe and Inglid (1973) [26]. Two out-bred Hungarian Vadas rabbits weighing 2–2.5 kg were immunized by subcutaneous injection (s.c.) with purified αAI-1 (25 mg/kg of body weight) emulsified in Complete Freund’s Adjuvant (1:1). Subsequently, 4 booster injections (s.c.) with “the purified αAI-1 protein” (25 µg/kg of body weight) emulsified in incomplete Freund’s Adjuvant (1:1) were applied at 14-day intervals (days: 14, 28, 42, and 56). The immunization protocol was conducted in accordance with the national and international regulations (Council Directive EG 86/609/EECT, the council of the European Communities and 1998. XXVIII. Hungarian Law on the Protection of Animals/22.1/313/003/2008) where the 3Rs (Replace, Reduce, Refine) were convincingly addressed. Antibodies derived from hyperimmune sera (named as anti-bean αAI-1 rabbit IgG) were precipitated with ammonium sulphate, dialyzed, freeze-dried, and used for immune-blotting at a working dilution of 1:40.

2.8. Identification of the Activity of αAI-1 on Native PAGE Separation

The proteins were separated in native PAGE [25] using BIO-RAD Mini-Protean II cell system. The total acrylamide content of the running gel was 10%. Gels were incubated at room temperature for 20 min with α-amylase solution (0.14 U/mL α-amylase from porcine pancreas, Sigma-Aldrich, St. Louis, MO, USA) in 40 mL of 40 mM Tris buffer (pH 8.0) containing 1 mM CaCl2. Then, the gels were incubated for 30 min with 40 mL of 1% soluble starch in the same buffer and then washed in distilled water and stained with KI-I2 (1 mM I2 and 0.5 M KI) to detect the αAI active bands [27]. Blue spots on pale-yellow-colored gels showed the presence of alpha-amylase inhibitor in the samples.

2.9. Identification of the Activity of αAI-1 in Tubes

The αAI-1 activity was measured by the method of Murao [28]. Briefly, 0.15 mL porcine pancreatic alpha-amylase enzyme (0.18 U) was added to 50 μL protein solution (0.4 mg protein/mL). The control solution was distilled water with enzyme and the blind solution was distilled water (0.2 mL). These solutions were incubated at 37 °C for 5 min; then, 0.2 mL starch solution (15%) was added. These were incubated again at 37 °C for 10 min. The reaction was stopped by 0.5 mL acidic solution (0.5 M HCl and 0.5 M CH3COOH in 1:5 ratio); then, 0.005% iodin solution was added to the final solutions. Absorbance was measured at 660 nm after 20 min incubation at room temperature. The alpha-amylase inhibitor activity was calculated by:
Inhibitory activity (%) = ODsample − ODcontrol/ODblind − ODcontrol × 100

2.10. Investigation of the Effect of Heat Treatment on the Activity of αAI

The “αAI-1 extract” (see Section 2.2.1) was under heat treatment at 60 °C, 80 °C, and 100 °C to monitor the thermal stability of αAI-1.

3. Results and Discussion

During digestion, the structure of the alpha-amylase inhibitor in beans can undergo significant changes. Changes in structure can affect the effectiveness of the inhibitor during digestion. Hydrochloric acid and pepsin in the stomach start to break down the protein-based alpha-amylase inhibitor. The hydrochloric acid denatures the protein, i.e., changes its spatial structure, which means that the protein can lose its original shape and, thus, its biological activity. Pepsin further breaks down the protein chain into smaller peptides. This causes a significant structural change, and the inhibitor usually loses its ability to bind specifically to the alpha-amylase enzyme. In the small intestine, enzymes produced by the pancreas, such as trypsin and chymotrypsin, further break down the alpha-amylase inhibitor into smaller peptides and amino acids. These enzymes recognize and degrade specific amino acid sequences, thus eliminating the entire structural integrity of the inhibitor. At this point, the alpha-amylase inhibitor has been completely degraded into amino acids or very small peptides that are unable to inhibit alpha-amylase activity. aAI-1 can thus only inhibit the alpha-amylase enzyme for a limited short time. That is the reason for exceptions and alternative forms. Researchers are trying to use some alpha-amylase inhibitors in such forms that are resistant to digestive enzymes (e.g., coated or encapsulated forms). These may help the inhibitor to reach the part of the small intestine where the alpha-amylase enzyme breaks starch down in an active form.
Our aim was to gain information on the function of legume-derived αAI-1 in the digestive process in order to make it possible to use an alpha-amylase inhibitor from natural sources in future products with functional properties.

3.1. Purification and Characterization of αAI-1

For this study, “purified αAI-1 protein” of common bean varieties were successfully purified by FPLC technique. The enzyme inhibitor activities of the “purified αAI-1 protein” of the four bean varieties were measured and then calculated, which were between 91 and 94% in the final preparations. As we expected, it was much higher than that of the “αAI-1 extract” (38–53%). The effect of heat treatment on αAI-1 activity was also monitored in the case of Pinto bean cooked flour, where the αAI-1 activity was lost.
The presence and distribution of bean proteins were monitored by SDS-PAGE (not included). “αAI-1extract” of common beans had several bands between the molecular weight of 14 and 31 kDa (not only and exclusively αAI). However, in the case of the “purified αAI protein” sample, we could detect two bands: one band—corresponding to the active αAI-1—was observed at around 14–15 kDa and another band—corresponding to the unprocessed pre-protein (precursor) of αAI-1—was found at around 30–31 kDa (see in Section 3.2). LC-MS data have already proved the presence of α- and α-chains in these bands, which explained the detectability of the two protein bands [8]. Campbell et al. [29] found similar observations for common beans. Ghorbani et al. (2018) purified αAIs from Red, Pinto, White, and Cowpea beans by ethanol fractionation and they detected similar molecular weights at 14 and 18 kDa and two fractions around 27 to 32 kDa [13]. In contrast to the Phaseolus vulgaris varieties, αAI from Mucuna pruriens showed 25.6 kDa molecular weight [14].
In the case of the “purified αAI-1 protein” of four common bean varieties, Pinto bean “αAI-1 extract”, Pinto bean meal, and Pinto bean cooked meal samples, we made LOC separation analyses in order to obtain a more sensitive resolution (Table 1, Figure 1). The advantages of using LOC electrophoresis are it is automated, fast (usually 15–30 min), can test small volumes (up to 1 µL), and ensures low-concentration detection (sensitivity). For the analyses of the “purified αAI-1 protein” (and the in vivo stomach and intestinal samples, see Section 3.2), the LOC electrophoresis technique was particularly advantageous, as only a few of these samples were available.
In general, all samples contained protein peaks with tR values between 24.91 and 30.12 s. We assumed that the major peaks that probably corresponded to active αAI-1s were observed between 24.91 and 29. 23 and the peak found between 30.01 and 30.12 s corresponded to the pre-protein. As the purification of αAI-1 was based on the collection of those protein fractions that had αAI-1 activity, the preparations contained only traces of nonactive pre-protein (2.99–6.84%) in the total protein content.
According to the total protein LOC separation of Pinto bean meal, 12 out of 25 peaks were observed, while, in the case of Pinto bean cooked meal, 11 out of 23 peaks were detected in the tR area of αAI-1 (see in Section 3.2). The t (%) values of Pinto bean meal and Pinto bean cooked meal were increased (16.01% and 18.46%, respectively) compared to the t (%) values of Pinto bean “purified αAI-1 protein”. This was due to the fact that the t (%) values of bean meals included the corresponding pre-protein t values too.

3.2. The Effect of In Vitro Gastric Digestion on the Presence, Immune Reactivity, and Bioactivity of αAI-1

The structural configuration of α-AI significantly influences its functionality [3].
The Pinto-bean-derived “purified αAI-1 protein” sample was submitted under in vitro digestion process (duration time: 2, 10, 30, and 60 min) using simulated gastric fluid (SGF). The resistance of αAI-1 to the pepsin and acidic circumstances was investigated and monitored by SDS-PAGE (Figure 2). BSA (positive control) and β-lactoglobulin (βLG, negative control) was also submitted under digestion with the same conditions in order to verify the adequacy of the digestion process. BSA had already degraded after 2 min (as no any protein bands were detectable in the BSA molecular weight range (~66.4 kDa)).
The β-lactoglobulin still remained undigested even after 60 min, similarly to the 15 kDa protein (active αAI-1), while the 30 kDa protein band (precursor protein) had already been destroyed after 2-min pepsin digestion. So, these results indicated that the active αAI-1 inhibitor was resistant to pepsin. The explanation for this phenomenon is that legume proteins—similarly to β-lactoglobulin—have high β-sheet content that can be related to their resistance to gastrointestinal digestion [16].
As the active αAI-1 (15 kDa) of Pinto bean was still present after 60min digestion, the “purified αAI-1 protein” of the other common bean varieties (Huanita Dry, Bush, and Red Kidney) have already been submitted under 60-min digestion. The results on their protein profile showed the same as before in the case of Pinto bean, where all active αAI-1s at 15 kDa remained undigested, while the 30 kDa protein band (precursor protein) was destroyed (Figure 3A). It was a positive phenomenon that α AI-1 remained active in the gastric phase, but it still needed further analyses regarding whether it remained in active form in the small intestine or not (see later in the in vivo experiment).
Immunoblotting, i.e., the use of an antigen-specific antibody, can be used to determine the presence and molecular weight of the proteins of interest. In order to confirm our previous results, immunoblotting was performed. We wondered whether the remaining 15 kDa protein would retain its immune reactivity (antigenicity) or not. We observed that these proteins remained immune-reactive against anti-bean αAI-1 rabbit IgG antibodies (Figure 3B).
Besides monitoring the resistance and immune reactivity of αAI-1, we have investigated whether the digestion-resistant and antigenic αAI-1 protein (15 kDa) could retain its bioactivity towards α-amylase even after gastric digestion or not. For the analyses of the αAI-1 inhibitory activity of the “purified αAI-1 protein” of the four common bean varieties that had been gastric digested in vitro (for 60 min), native PAGE was conducted (Figure 4). Pinto-bean-derived αAI-1 extract and wheat-derived αAI-1 extract were used as positive controls (undigested). Native PAGE is preferable for enzyme activity testing because proteins retain their native, active form, which is essential for measuring their activity. Native PAGE separation is based not only on molecular weight but also on electrical charge and natural conformation, which can be useful for preserving and testing enzyme activity.
The pattern in Figure 4A shows that the active αAI-1 protein (15 kDa) of the “purified αAI-1 protein” extract of all bean varieties have lost their activity after the 60-min digestion, while the inhibitor activities were still detected in the bean flour samples after the 60-min digestion (Figure 4B). This can be explained by the fact that the bean flours still contain the pre-protein of the αAI-1 (30 kDa) after 60-min digestion, while, in the case of the “purified αAI-1 protein” sample, the 30 kDa precursor protein degraded after 60 min digestion (see Figure 1). We suppose that pepsin digestion helps the pre-protein degradation, which leads to the activation of the active form (15 kDa protein) function. Barrett et al. [9] published that a partially purified white bean product was active against salivary, intraduodenal, and intra-ileal amylase in vitro, while the crude preparation of the purified bean amylase inhibitors had insufficient enzyme-inhibiting activity, which corresponds to our finding as well. These results lead to the conclusion that it is better to consume αAI-1 in matrix (flour) because it retains its activity in this form (while purified αAI-1 loses its activity). Castaneda-Perez et al. [15] showed, in the case of protein hydrolysate from lima bean (Phaseolus lunatus L.), that the highest αAI activity was in a >10 kDa fraction, followed by a 3–5 kDa fraction. Peptide fraction <3 kDa from Pinto bean was found to have high αAI activity (62.1%) by Nogh et al. [30].

3.3. The Effect of In Vivo Acute Rat Digestion Model on the Presence, Immune Reactivity, and Bioactivity of αAI-1

Our previous studies have so far concluded that αAI-1 retained its biological activity in matrix (flour), while it was lost it in its purified form during gastric digestion (see Figure 3). We wanted to confirm the validity of these results in vivo in rats as well, furthermore, to study the effect of the intestinal digestive processes on the resistance, immune reactivity, and bioactivity of αAI-1. Therefore, it could be considered that the bioactive αAI-1 (in flour) could affect carbohydrate metabolism due to the inhibition of pancreatic amylase.
For this purpose, an acute rat digestion model was used, where the duration of digestion was 60 min (see Section 2.4). Pinto bean meal and a highly heat-treated sample, i.e., Pinto bean cooked meal, were given as feed for the rats. As regards the use of cooked sample, with heat treatment (cooking), we wanted to abolish the undesirable effects of the potential harmful components of beans such as lectin and trypsin inhibitors. On the other hand, we have taken into account the results obtained in Section 2.10, based on the investigation of the effect of heat treatment on the activity of αAI. αAI-1 lost its inhibitory activity at 100 °C (Table 2); however, during in vitro pepsin digestion in simulated gastric fluid, we concluded that the pre-protein in the bean “αAI-1 extract”, which was present in a higher proportion in the simulated gastric fluid, could be activated during digestion. Therefore, we chose to perform the feeding experiment with Pinto bean cooked meal (treated at 100 °C) too, as we wanted to find out whether or not the pre-protein could be activated in the heated form. There is need to characterize the temperature-inactivation profile of the inhibitor further, since many potential products in which it can be incorporated would require heat treatment during processing [31].
The fate of αAI-1 released during digestion was assessed by LOC electrophoresis (Figure 5 and Figure 6).
In Figure 6A, according to the LOC electrophoresis profiles of Pinto bean “purified αAI-1 protein”, electrophoretic peaks were detected at 24.92; 26.22; 26.79; 27.52; 28.51; 29.23; and 30.12 s retention times. The peaks of the pepsin were detected at 32.76 and 33.76 s retention times. The stomach sample of the control rat contained no peaks at retention times corresponding to the bean αAI-1.
In Figure 6B, in the case of Pinto bean meal stomach digesta, four peaks were detected at retention times of 24.36; 26,54; 27.81; and 29.54, which presumably correspond to the bean αAI-1.
In Figure 6C, Pinto bean cooked meal stomach digesta contained five peaks at tR 24.87; 25.91; 26.55; 27.93; and 29.75 s in the region of the αAI-1 peaks.
The detected peaks indicate the presence of αAI-1 in the stomach (resistant to pepsin digestion). However, the retention times of the in vivo small intestinal digestive enzymes were very close to the retention time of the bean αAI-1; we could not identify the αAI-1 from the small intestinal digesta by LOC electrophoresis.
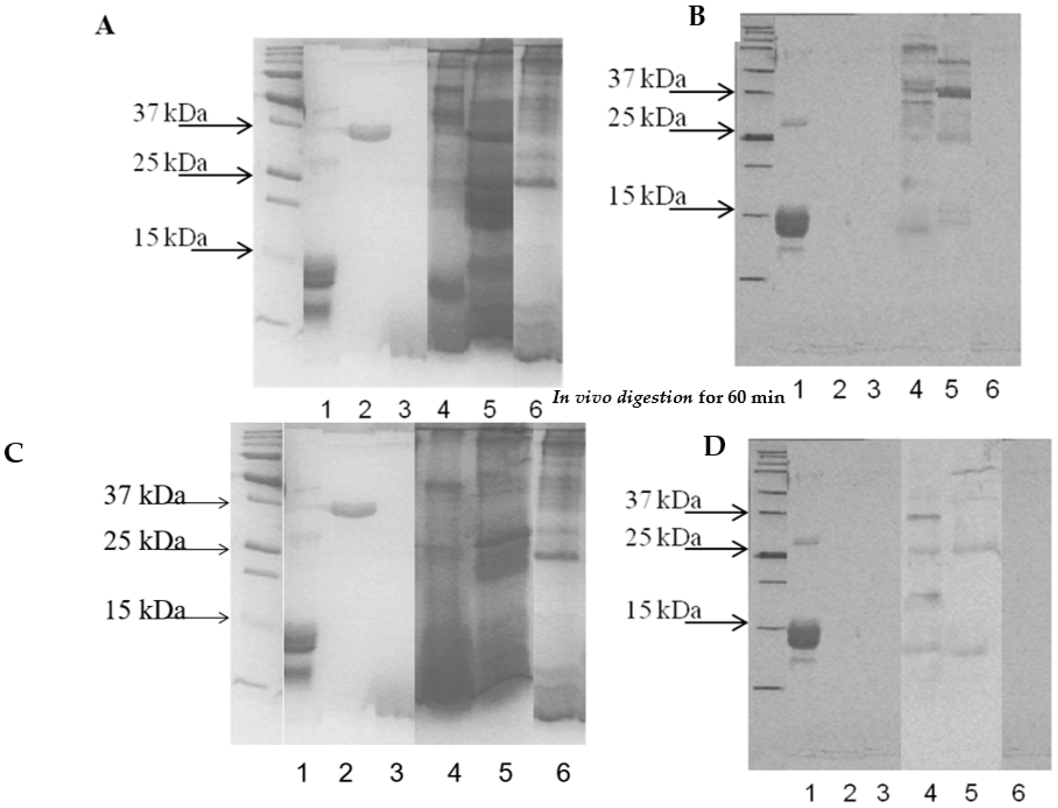
Therefore, we carried out the identification of αAI-1 bands that were resistant to digestion by SDS-PAGE separation (Figure 7A,C) followed by immunoblot using anti-bean αAI-1 rabbit IgG antibodies (Figure 7C,D).
Results showed that αAI-1 released from Pinto bean meal stomach and small intestinal digesta (Figure 7B, lane 4, 5) and that released from Pinto bean cooked meal stomach and small intestinal digesta (Figure 7D, lane 4, 5) survived digestion in the immune-reactive form (see at 15 kDa).
Besides the identification of the presence and the immune-reactive properties of αAI-1 after in vivo digestion, we analyzed whether it retained its activity not only in the stomach but also in the small intestine. On native PAGE, the αAI-1 activity in in vivo digested Pinto bean meal and Pinto bean cooked meal samples was analyzed (Figure 8).
Similarly to gastric in vitro digestion, the αAI-1 was still inhibitory-active in both stomach digesta samples. We assumed that both in vitro and in vivo gastric digestion circumstances probably led to the activation of the inactive pre-protein form of bean αAI-1. Similarly to our results, Arnal et al. (2023) demonstrated that peptides of legume αAI were active against α-amylase after cooking and gastrointestinal digestion. They found that a <3 kDa peptide fraction was responsible for the main activity [19].
Nevertheless, that activity was not observed in small intestine samples; we suppose that the αAI-1 might interact with the pancreatic alpha-amylase enzyme, forming enzyme–inhibitor complex. Houghton et al. published that, after digestion, bean alpha-amylase inhibitors are either broken down by proteolytic enzymes in the gut or pass through the gastrointestinal tract intact. Residual active inhibitors may reach the colon, where they could interact with gut microbiota. These interactions might influence the microbial composition and metabolic activity, potentially benefiting gut health. However, most of their activity ceases after passing through the small intestine, as their primary role is to inhibit carbohydrate digestion in the earlier phases of the digestive process [32]. Yoshikawa et al. also studied the effects of proteolytic digestion on the amylase inhibitory activity. Their results showed that the inhibitor was slightly inactivated by pepsin digestion for 2 h. Although the inhibitor rapidly lost the inhibitory activity by chymotrypsin digestion within 2 h, it was quite resistant to proteolytic digestion by trypsin [33].

4. Conclusions

In vitro digestion experiments are widely used to assess the digestibility and structural changes of food components under simulated gastrointestinal conditions. In this study, we assessed the effect of in vitro and in vivo digestion on Hungarian putative nutraceutical common bean (Pinto, Huanita, Bush, and Red Kidney) derived αAI-1 tested in matrix (flour/native and cooked bean meal) and/or purified form. Purified αAI-1 proteins showed that, after 60-min in vitro gastric digestion, αAI-1s remained resistant, retained their immune reactivity, but lost their inhibitory activity. When the bean flour (bean meal) was studied and not the purified protein extract, the activity was detectable.
Our results were comparable with clinically controlled trials by Barrett et al. [9], where purified αAI did not inhibit effectively the carbohydrate digestion, only the partially purified preparation. Other studies [15,19,30] also revealed αAI activity in protein hydrolysates or peptide extracts instead of purified αAI.
Knowing this information, we used bean meal (native and cooked) in a next step in rat feeding experiments and tested in vivo the fate of αAI-1 in the stomach and then in the small intestine. Immune-reactive αAI-1 bands were detected but the activity was not detectable in the small intestine, in contrast to the stomach.
We could conclude from both gastric in vitro and in vivo experiments that bean flour and even the cooked bean flour containing αAI-1 precursor became active against the alpha-amylase digestive enzyme in the gastrointestinal tract, as the physiological circumstances during digestion in the stomach could activate the inactive protein form of the bean αAI-1.
The study of alpha-amylase inhibitors can, therefore, provide new opportunities and valuable data not only in nutrition science but also in drug development, the food industry, and biochemistry.

Author Contributions

Conceptualization, A.M.; methodology, A.J., A.N. and K.T.; software, A.J., A.N. and K.T.; validation, A.M., A.J., A.N. and K.T.; formal analysis, A.M., A.N. and K.T.; investigation, A.N., A.J. and K.T.; resources, A.M.; data curation, A.M.; writing—original draft preparation, A.M.; writing—review and editing, K.T. and I.D.; visualization, A.M.; supervision, A.M.; project administration, A.M. and I.D.; funding acquisition, A.M. All authors have read and agreed to the published version of the manuscript.

Funding

The research was supported with the GMSAFOOD EU7 (EU FP7/2007-13 SCP, no FP7 211820) “Biomarkers for post market monitoring of short and long-term effects of genetically modified organisms on animal and human health” Fund.

Institutional Review Board Statement

Not applicable.

Informed Consent Statement

Not applicable.

Data Availability Statement

The original contributions presented in the study are included in the article, further inquiries can be directed to the corresponding author.

Acknowledgments

This work was supported by the Research Excellence Program of the Hungarian University of Agriculture and Life Sciences. Furthermore, the authors are grateful to the COST FA1403 Action “Interindividual variation in response to consumption of plant food bioactives and determinants involved (POSITIVe)” for the support of the research.

Conflicts of Interest

The authors declare no conflicts of interest.

References

  1. Li, H.; Zhou, H.; Zhang, J.; Fu, X.; Ying, Z.; Liu, X. Proteinaceous α-amylase inhibitors: Purification, detection methods, types and mechanisms. Int. J. Food Prop. 2021, 24, 277–290. [Google Scholar] [CrossRef]
  2. Baboota, R.K.; Bishnoi, M.; Ambalam, P.; Kondepudi, K.K.; Sarma, S.M.; Boparai, R.K.; Podili, K. Functional food ingredients for the management of obesity and associated co-morbidities—A review. J. Funct. Foods 2013, 5, 997–1012. [Google Scholar] [CrossRef]
  3. Liu, T.; Gu, Y.; Waleed, A.A.; Wang, L.; Li, Y.; Qian, H. Challenges and opportunities in developing low glycemic index foods with white kidney bean α-amylase inhibitor. Trends Food Sci. Technol. 2024, 147, 104397. [Google Scholar] [CrossRef]
  4. Duranti, M. Grain legume proteins and nutraceutical properties. Fitoterapia 2006, 77, 67–82. [Google Scholar] [CrossRef]
  5. Kalinovskii, A.P.; Sintsova, O.V.; Gladkikh, I.N.; Leychenko, E.V. Natural inhibitors of mammalian—Amylases as promising drugs for the treatment of metabolic diseases. Int. J. Mol. Sci. 2023, 24, 16514. [Google Scholar] [CrossRef]
  6. Franco, O.L.; Rigden, D.J.; Melo, F.R.; Grossi-de-Sá, M.F. Plant α-amylase inhibitors and their interaction with insect α-amylases. Structure, function and potential for crop protection. Eur. J. Biochem. 2002, 269, 397–412. [Google Scholar] [CrossRef]
  7. Moreno, J.; Altabella, T.; Chrispeels, M.J. Characterization of alpha-amylase inhibitor, a lectin-like protein in the seeds of Phaseolus vulgaris. Plant Physiol. 1990, 92, 703–709. [Google Scholar] [CrossRef]
  8. Maczó, A.; Cucu, T.; De Meulenaer, B.; Gelencsér, É. Comparison of the alpha-amylase inhibitor-1 from common beans and transgenic pea expressing the bean alpha-amylase inhibitor-1 by means of LC–TOF–MS. Food Res. Int. 2014, 76, 86–91. [Google Scholar] [CrossRef]
  9. Barrett, M.L.; Udani, J.K. A proprietary alpha-amylase inhibitor from white bean (Phaseolus vulgaris): A review of clinical studies on weight loss and glycemic control. Nutr. J. 2011, 10, 24. [Google Scholar] [CrossRef]
  10. Peddio, S.; Alessandra Padiglia, A.; Faustina, B.; Cannea, F.B.; Roberto Crnjar, R.; Wissam Zam, W.; Javad Sharifi-Rad, J.; Antonio Rescigno, A.; Zucca, P. Common bean (Phaseolus vulgaris L.) α-amylase inhibitors as safe nutraceutical strategy against diabetes and obesity: An update review. Phytother. Res. 2022, 36, 2803–2823. [Google Scholar] [CrossRef]
  11. Zhang, S.; Cavender, G.A.; Allen, J.C. Max Bloc® Carb Blocker from Phaseolus Vulgaris with Ultra-high α-Aamylase inhibitory activity for glycemic control and weight management. J. Nutr. Food Sci. 2020, 2, 1–8. [Google Scholar]
  12. Spadafranca, A.; Rinelli, S.; Riva, A.; Morazzoni, P.; Magni, P.; Bertoli, S.; Battezzati, A. Phaseolus vulgaris extract affects glycometabolic and appetite control in healthy human subjects. Br. J. Nutr. 2013, 109, 1789–1795. [Google Scholar] [CrossRef] [PubMed]
  13. Ghorbani, F.; Sadeghi, M.; Aghaie, A.; Ghahghaei, A.; Jalili, C.; Khodarahmi, R. Study of α-Amylase Inhibitors among Different Bean Cultivars and Evaluation of their Effectiveness Compared with a Commercial Product using In Vitro/In Vivo Experimental Systems. J. Res. Med. Dent. Sci. 2018, 6, 381–391. [Google Scholar]
  14. Bharadwaj, R.P.; Raju, N.G.; Chandrashekharaiah, K.S. Purification and characterization of alpha-amylase inhibitor from the seeds of underutilized legume, Mucuna pruriens. J. Food Biochem. 2018, 42, e12686. [Google Scholar] [CrossRef]
  15. Castaneda-Perez, E.; Jimenez-Morales, K.; Castellanos-Ruelas, A.; Chel-Guerrero, L.; Betancur-Ancona, D. Antidiabetic Potential of Protein Hydrolysates and Peptide Fractions from Lima Bean (Phaseolus lunatus L): An In Vitro Study. Int. J. Pept. Res. Ther. 2021, 27, 1979–1988. [Google Scholar] [CrossRef]
  16. Carbonaro, M.; Maselli, P.; Nucara, A. Structural aspects of legume proteins and nutraceutical properties. Food Res. Int. 2014, 76, 19–30. [Google Scholar] [CrossRef]
  17. Yu, P. Protein secondary structures (a-helix and b-sheet) at a cellular level and protein fractions in relation to rumen degradation behaviours of protein: A new approach. Br. J. Nutr. 2005, 94, 655–665. [Google Scholar] [CrossRef]
  18. Carbonaro, M.; Maselli, P.; Nucara, A. Relationship between digestibility and secondary structure of raw and thermally treated legume proteins: A Fourier transform infrared (FT-IR) spectroscopic study. Amino Acids 2012, 43, 911–921. [Google Scholar] [CrossRef]
  19. Arnal, M.; Gallego, M.; Talens, P.; Mora, L. Impact of thermal treatments and simulated gastrointestinal digestion on the α-amylase inhibitory activity of different legumes. Food Chem. 2023, 418, 135884. [Google Scholar] [CrossRef]
  20. Szamos, J.; Maczó, A.; Gelencsér, É. Application of zinc-hydroxide in the purification of bean alpha-amylase inhibitor. Acta Aliment. 2012, 41, 272–276. [Google Scholar] [CrossRef]
  21. Thomas, K.; Aalbers, M.; Bannon, G.A.; Bartels, M.; Dearman, R.J.; Esdaile, D.J.; Fu, T.J.; Glatt, C.M.; Hadfield, N.; Hatzos, C.; et al. A multi-laboratory evaluation of a common in vitro pepsin digestion assay protocol used in assessing the safety of novel proteins. Regul. Toxicol. Pharmacol. 2004, 39, 87–98. [Google Scholar] [CrossRef] [PubMed]
  22. Kumar, S.; Verma, A.K.; Misra, A.; Tripathi, A.; Chaudhari, B.P.; Prasad, R.; Jain, S.K.; Das, M.; Dwivedi, P.D. Allergenic responses of red kidney bean (Phaseolus vulgaris cv chitra) polypeptides in BALB/c mice recognized by bronchial asthma and allergic rhinitis patients. Food Res. Int. 2011, 44, 2868–2879. [Google Scholar] [CrossRef]
  23. Schroeder, H.E.; Gollasch, S.; Moore, A.E.; Tabe, L.M.; Carig, S.; Hardie, D.C.; Chrispeels, M.J.; Spencer, D.; Higgin, T.J.V. Bean alpha-amylase inhibitor confers resistance to pea weevil (Bruchus pisorum) in genetically modified peas (Pisum sativum L.). Plant Phisiol. 1995, 107, 1233–1239. [Google Scholar] [CrossRef] [PubMed]
  24. Le Gall, M.; Quillien, L.; Sève, B.; Guéguen, J.; Lallès, J.P. Weaned piglets display low gastrointestinal digestion of pea (Pisum sativum L.) lectin and pea albumin 2. J. Anim. Sci. 2007, 85, 2972–2981. [Google Scholar] [CrossRef] [PubMed]
  25. Laemmli, V.K. Cleavage of structural proteins during the head of bacteriophage T4. Nature 1970, 227, 680–685. [Google Scholar] [CrossRef]
  26. Harboe, N.; Inglid, A. A Manual of Quantitative Immunelectrophoresis, Methods and Applications. Scan. J. Immunol. 1973, 2, 161–164. [Google Scholar] [CrossRef]
  27. Nagy-Gasztonyi, M.; Nagy, A.; Nemeth-Szerdahelyi, E.; Pauk, J.; Gelencser, E. The activities of amylases and alpha-amylase anhibitor in wide-range herbicide resistant wheat lines. Czech J. Food Sci. 2010, 28, 217–224. [Google Scholar] [CrossRef]
  28. Murao, S.; Goto, A.; Matsui, Y.; Ohyama, K.; Arai, M. Isolation and identification of a hog pancreatic alpha-amylase inhibitor (haim) producing Straptomyces. Agric. Biol. Chem. 1981, 45, 2599–2604. [Google Scholar]
  29. Campbell, P.M.; Reiner, D.; Moore, A.E.; Lee, R.; Epstein, M.M.; Higgins, T.J.V. Comparison of the alpha-amylase inhibitor-1 from common bean, Phaseolus vulgaris, Varieties and transgenic expression in other legumes-post translational modifications and immunogenicity. J. Agric. Food Chem. 2011, 59, 6047–6054. [Google Scholar] [CrossRef]
  30. Ngoh, Y.Y.; Gan, C.Y. Enzyme-assisted extraction and identification of antioxidative and α-amylase inhibitory peptides from Pinto beans (Phaseolus vulgaris cv. Pinto). Food Chem. 2016, 190, 331–337. [Google Scholar] [CrossRef]
  31. Obriro, W.C.; Zhang, T.; Jiang, B. The nutraceutical role of the Phaseolus vulgaris a-amylase inhibitor. Br. J. Nutr. 2008, 100, 1–12. [Google Scholar] [CrossRef] [PubMed]
  32. Houghton, D.; Shannon, O.M.; Chater, P.I.; Wilcox, M.D.; Pearson, J.P.; Stanforth, K.; Jordan, C.; Avery, L.; Blain, A.P.; Joel, A.; et al. White kidney bean extract as a nutraceutical: Effects on gut microbiota, alpha-amylase inhibition, and user experiences. Gut Microbiome 2023, 4, e8. [Google Scholar] [CrossRef] [PubMed]
  33. Yoshikawa, H.; Kotaru, M.; Tanaka, C.; Ikeuchi, T.; Kawabata, M. Characterization of Kintoki bean (Phaseolus vulgaris) a-amylase inhibitor: Inhibitory activities against human salivary and porcine pancreatic a-amylases and activity changes by proteolytic digestion. J. Nutr. Sci. Vitaminol. 1999, 45, 797–802. [Google Scholar] [CrossRef] [PubMed][Green Version]
Figure 1. Protein pattern of LOC electrophoresis of “purified αAI-1 protein” samples of common beans. Lanes: L. molecular marker; 1. Huanita Dry bean “purified αAI-1 protein”; 2. Bush bean “purified αAI-1 protein”; 3. Red Kidney bean “purified αAI-1 protein”; 4. Pinto bean “purified αAI-1 protein”.
Figure 1. Protein pattern of LOC electrophoresis of “purified αAI-1 protein” samples of common beans. Lanes: L. molecular marker; 1. Huanita Dry bean “purified αAI-1 protein”; 2. Bush bean “purified αAI-1 protein”; 3. Red Kidney bean “purified αAI-1 protein”; 4. Pinto bean “purified αAI-1 protein”.
Applsci 14 10935 g001
Figure 2. Monitoring the effect of gastric in vitro digestion (for 2, 10, 30, and 60 min) on the resistance of the Pinto-bean-derived “purified αAI-1 protein” to digestion by 6/15% SDS-PAGE. Lanes: 1. pepsin; 2. Pinto bean “purified αAI-1 protein”; 3. BSA; 4. βLG; 5. Pinto bean “purified αAI-1 protein” after 2-min digestion; 6. BSA after 2-min digestion; 7. βLG after 2-min digestion; 8. Pinto bean “purified αAI-1 protein” after 10-min digestion; 9. BSA after 10-min digestion; 10. βLG after 10-min digestion; 11. Pinto bean “purified αAI-1 protein” after 30-min digestion; 12. BSA after 30-min digestion; 13. βLG after 30-min digestion; 14. Pinto bean “purified αAI-1 protein” after 60-min digestion; 15. BSA after 60-min digestion; 16. βLG after 60-min digestion.
Figure 2. Monitoring the effect of gastric in vitro digestion (for 2, 10, 30, and 60 min) on the resistance of the Pinto-bean-derived “purified αAI-1 protein” to digestion by 6/15% SDS-PAGE. Lanes: 1. pepsin; 2. Pinto bean “purified αAI-1 protein”; 3. BSA; 4. βLG; 5. Pinto bean “purified αAI-1 protein” after 2-min digestion; 6. BSA after 2-min digestion; 7. βLG after 2-min digestion; 8. Pinto bean “purified αAI-1 protein” after 10-min digestion; 9. BSA after 10-min digestion; 10. βLG after 10-min digestion; 11. Pinto bean “purified αAI-1 protein” after 30-min digestion; 12. BSA after 30-min digestion; 13. βLG after 30-min digestion; 14. Pinto bean “purified αAI-1 protein” after 60-min digestion; 15. BSA after 60-min digestion; 16. βLG after 60-min digestion.
Applsci 14 10935 g002
Figure 3. Monitoring the effect of gastric in vitro digestion (for 60 min) on the resistance to digestion of the “purified αAI-1 protein” of common beans by 6/15% SDS-PAGE (A) and on the immune reactivity of those by immunoblot using anti-bean αAI-1 rabbit IgG antibodies (B). Lanes (A,B): 1. Pinto bean “purified αAI-1 protein” (undigested); 2. Huanita Dry bean “purified αAI-1 protein” digested for 60 min; 3. Bush bean “purified αAI-1 protein” digested for 60 min; 4. Red Kidney bean “purified αAI-1 protein” digested for 60 min; 5. Pinto bean “purified αAI-1 protein” digested for 60 min.
Figure 3. Monitoring the effect of gastric in vitro digestion (for 60 min) on the resistance to digestion of the “purified αAI-1 protein” of common beans by 6/15% SDS-PAGE (A) and on the immune reactivity of those by immunoblot using anti-bean αAI-1 rabbit IgG antibodies (B). Lanes (A,B): 1. Pinto bean “purified αAI-1 protein” (undigested); 2. Huanita Dry bean “purified αAI-1 protein” digested for 60 min; 3. Bush bean “purified αAI-1 protein” digested for 60 min; 4. Red Kidney bean “purified αAI-1 protein” digested for 60 min; 5. Pinto bean “purified αAI-1 protein” digested for 60 min.
Applsci 14 10935 g003
Figure 4. Monitoring the effect of gastric in vitro digestion (for 60 min) on the bioactivity of the “purified αAI-1 protein” of common beans by native PAGE. Lanes (A) (“purified αAI-1 proteins”): 1. Pinto bean “purified αAI-1 protein” (undigested); 2. Huanita Dry bean “purified αAI-1 protein” digested for 60 min; 3. Bush bean “purified αAI-1 protein” digested for 60 min; 4. Red Kidney bean “purified αAI-1 protein” digested for 60 min; 5. Pinto bean “purified αAI-1 protein” digested for 60 min; 6. wheat “purified αAI-1 protein” (undigested). Lanes (B) (flours): 1. Huanita Dry bean flour digested for 60 min; 2. Bush bean flour digested for 60 min; 3. Red Kidney bean flour digested for 60 min; 4. Pinto bean flour digested for 60 min; 5. wheat flour (undigested).
Figure 4. Monitoring the effect of gastric in vitro digestion (for 60 min) on the bioactivity of the “purified αAI-1 protein” of common beans by native PAGE. Lanes (A) (“purified αAI-1 proteins”): 1. Pinto bean “purified αAI-1 protein” (undigested); 2. Huanita Dry bean “purified αAI-1 protein” digested for 60 min; 3. Bush bean “purified αAI-1 protein” digested for 60 min; 4. Red Kidney bean “purified αAI-1 protein” digested for 60 min; 5. Pinto bean “purified αAI-1 protein” digested for 60 min; 6. wheat “purified αAI-1 protein” (undigested). Lanes (B) (flours): 1. Huanita Dry bean flour digested for 60 min; 2. Bush bean flour digested for 60 min; 3. Red Kidney bean flour digested for 60 min; 4. Pinto bean flour digested for 60 min; 5. wheat flour (undigested).
Applsci 14 10935 g004
Figure 5. Protein pattern of LOC electrophoresis of stomach and small intestinal digesta samples obtained from the acute rat model. Lanes: L. Molecular marker; 1. Pinto bean meal; 2. Pinto bean cooked meal; 3. Pinto bean “purified αAI-1 protein”; 4. control stomach digesta; 5. Pinto bean meal stomach digesta; 6. Pinto bean meal small intestinal digesta; 7. Pinto bean cooked meal stomach digesta; 8. Pinto bean cooked meal small intestinal digesta; 9. control small intestinal digesta.
Figure 5. Protein pattern of LOC electrophoresis of stomach and small intestinal digesta samples obtained from the acute rat model. Lanes: L. Molecular marker; 1. Pinto bean meal; 2. Pinto bean cooked meal; 3. Pinto bean “purified αAI-1 protein”; 4. control stomach digesta; 5. Pinto bean meal stomach digesta; 6. Pinto bean meal small intestinal digesta; 7. Pinto bean cooked meal stomach digesta; 8. Pinto bean cooked meal small intestinal digesta; 9. control small intestinal digesta.
Applsci 14 10935 g005
Figure 6. LOC electrophoretograms of stomach digesta samples obtained from the acute rat model. (A) Electrophoretograms of Pinto bean “purified αAI-1 protein” (red), where the retention times of the αAI-1 are 24.92; 26.22; 26.79; 27.52; 28.51; 29.23; and 30.12 sec (see in Table 1), and proteins extracted from stomach of control rat (blue). The retention times of the pepsin are 32.76 and 33.76 s. (B) Electrophoretograms of Pinto bean “purified αAI-1 protein” (red) and Pinto bean meal stomach digesta (blue), where the retention times of the αAI-1 are 24.36; 26.54; 27.81; and 29.54 s. (C) Electrophoretograms of Pinto bean “purified αAI-1 protein” (red) and Pinto bean cooked meal stomach digesta (blue). The retention times of the αAI-1 are 24.87; 25.91; 26.55; 27.93; and 29.75 s.
Figure 6. LOC electrophoretograms of stomach digesta samples obtained from the acute rat model. (A) Electrophoretograms of Pinto bean “purified αAI-1 protein” (red), where the retention times of the αAI-1 are 24.92; 26.22; 26.79; 27.52; 28.51; 29.23; and 30.12 sec (see in Table 1), and proteins extracted from stomach of control rat (blue). The retention times of the pepsin are 32.76 and 33.76 s. (B) Electrophoretograms of Pinto bean “purified αAI-1 protein” (red) and Pinto bean meal stomach digesta (blue), where the retention times of the αAI-1 are 24.36; 26.54; 27.81; and 29.54 s. (C) Electrophoretograms of Pinto bean “purified αAI-1 protein” (red) and Pinto bean cooked meal stomach digesta (blue). The retention times of the αAI-1 are 24.87; 25.91; 26.55; 27.93; and 29.75 s.
Applsci 14 10935 g006
Figure 7. Monitoring the effect of gastric in vivo digestion (for 60 min) on the resistance to digestion of the bean meals by 6/15% SDS-PAGE (A,C) and on the immune reactivity of those by immunoblot using anti-bean αAI-1 rabbit IgG antibodies (B,D). Lanes (A,B): 1. Pinto bean “purified αAI-1 protein”; 2. pepsin from porcine; 3. control meal stomach digesta; 4. Pinto bean meal stomach digesta; 5. Pinto bean meal small intestinal digesta; 6. control meal small intestinal digesta. Lanes (C,D): 1. Pinto bean “purified αAI-1 protein”; 2. pepsin from porcine; 3. control meal stomach digesta; 4. Pinto bean cooked meal stomach digesta; 5. Pinto bean cooked meal small intestinal digesta; 6. control meal small intestinal digesta.
Figure 7. Monitoring the effect of gastric in vivo digestion (for 60 min) on the resistance to digestion of the bean meals by 6/15% SDS-PAGE (A,C) and on the immune reactivity of those by immunoblot using anti-bean αAI-1 rabbit IgG antibodies (B,D). Lanes (A,B): 1. Pinto bean “purified αAI-1 protein”; 2. pepsin from porcine; 3. control meal stomach digesta; 4. Pinto bean meal stomach digesta; 5. Pinto bean meal small intestinal digesta; 6. control meal small intestinal digesta. Lanes (C,D): 1. Pinto bean “purified αAI-1 protein”; 2. pepsin from porcine; 3. control meal stomach digesta; 4. Pinto bean cooked meal stomach digesta; 5. Pinto bean cooked meal small intestinal digesta; 6. control meal small intestinal digesta.
Applsci 14 10935 g007
Figure 8. Monitoring the effect of in vivo digestion (for 60 min) on the bioactivity of αAI-1 in bean meals by native-PAGE. Lanes: 1. Pinto bean “purified αAI-1 protein”; 2. Pinto bean meal stomach digesta; 3. Pinto bean meal small intestinal digesta; 4. Pinto bean cooked meal stomach digesta; 5. Pinto bean cooked meal small intestinal digesta; 6. wheat “purified αAI-1 protein”; 7. Pinto bean “purified αAI-1 protein”; 8. control meal stomach digesta; 9. control meal small intestinal digesta.
Figure 8. Monitoring the effect of in vivo digestion (for 60 min) on the bioactivity of αAI-1 in bean meals by native-PAGE. Lanes: 1. Pinto bean “purified αAI-1 protein”; 2. Pinto bean meal stomach digesta; 3. Pinto bean meal small intestinal digesta; 4. Pinto bean cooked meal stomach digesta; 5. Pinto bean cooked meal small intestinal digesta; 6. wheat “purified αAI-1 protein”; 7. Pinto bean “purified αAI-1 protein”; 8. control meal stomach digesta; 9. control meal small intestinal digesta.
Applsci 14 10935 g008
Table 1. Retention times (tR) and relative amounts of proteins in total protein (t, %) related to αAI-1 peaks of the bean-derived “purified αAI-1 protein” and bean meals detected by LOC electrophoresis.
Table 1. Retention times (tR) and relative amounts of proteins in total protein (t, %) related to αAI-1 peaks of the bean-derived “purified αAI-1 protein” and bean meals detected by LOC electrophoresis.
Huanita Dry Bean “Purified αAI-1 Protein”Bush Bean
“Purified αAI-1
Protein”
Red Kidney Bean “Purified αAI-1 Protein”Pinto Bean
“Purified αAI-1 Protein”
Pinto Bean
Meal
Pinto Bean
Cooked Meal
tR (s)t (%)tR (s)t (%)tR (s)t (%)tR (s)t (%)tR (s)t (%)tR (s)t (%)
24.973.5224.918.3425.041.4124.928.2824.101.6524.040.96
26.7428.3026.1339.9226.8525.4026.2240.6624.401.4224.370.91
27.4010.2026.6920.4027.4313.9826.7920.2525.222.1225.221.49
28.3550.5127.468.6228.3149.9327.528.0725.812.7625.792.22
30.073.9727.819.3730.122.9927.939.5526.253.9526.225.75
28.483.56 28.513.5626.592.6527.072.68
29.191.15 29.231.2027.032.2827.362.90
30.016.68 30.126.8427.222.6127.741.34
27.713.9428.314.43
28.394.7829.113.91
29.124.4330.2018.46
30.1016.01
Table 2. αAI-1 activity (%) of “αAI-1 extract” of common beans.
Table 2. αAI-1 activity (%) of “αAI-1 extract” of common beans.
αAI-1 Activity (%)
Heat-TreatmentTendergreen BeanPinto BeanHuanita Dry BeanBush BeanRed Kidney Bean
-52 ± 1.553 ± 2.642 ± 1.538 ± 1.249 ± 2.0
60 °C45 ± 4.5%45 ± 441 ± 4.116 ± 2.040 ± 1.0
80 °C12 ± 1.511 ± 4.57 ± 2.07 ± 0.54 ± 3.2
10 °C00000
Disclaimer/Publisher’s Note: The statements, opinions and data contained in all publications are solely those of the individual author(s) and contributor(s) and not of MDPI and/or the editor(s). MDPI and/or the editor(s) disclaim responsibility for any injury to people or property resulting from any ideas, methods, instructions or products referred to in the content.

Share and Cite

MDPI and ACS Style

Takács, K.; Nagy, A.; Jánosi, A.; Dalmadi, I.; Maczó, A. In Vitro and In Vivo Digestibility of Putative Nutraceutical Common-Bean-Derived Alpha-Amylase Inhibitors. Appl. Sci. 2024, 14, 10935. https://doi.org/10.3390/app142310935

AMA Style

Takács K, Nagy A, Jánosi A, Dalmadi I, Maczó A. In Vitro and In Vivo Digestibility of Putative Nutraceutical Common-Bean-Derived Alpha-Amylase Inhibitors. Applied Sciences. 2024; 14(23):10935. https://doi.org/10.3390/app142310935

Chicago/Turabian Style

Takács, Krisztina, András Nagy, Anna Jánosi, István Dalmadi, and Anita Maczó. 2024. "In Vitro and In Vivo Digestibility of Putative Nutraceutical Common-Bean-Derived Alpha-Amylase Inhibitors" Applied Sciences 14, no. 23: 10935. https://doi.org/10.3390/app142310935

APA Style

Takács, K., Nagy, A., Jánosi, A., Dalmadi, I., & Maczó, A. (2024). In Vitro and In Vivo Digestibility of Putative Nutraceutical Common-Bean-Derived Alpha-Amylase Inhibitors. Applied Sciences, 14(23), 10935. https://doi.org/10.3390/app142310935

Note that from the first issue of 2016, this journal uses article numbers instead of page numbers. See further details here.

Article Metrics

Back to TopTop