Seven-Year Retrospective Study on Conometric Retention for Complete Fixed Prosthesis
Abstract
1. Introduction
2. Materials and Methods
2.1. Patient Selection
- Patients with a complete denture fixed by four parallel implants
- Systemically healthy patients
- Patients with complete radiographical and clinical documentation
- Patients with an FU period of at least 7 years.
- Patients with systemic diseases
- History of intake of drugs that affect bone metabolism
- History of radiation therapy in the head and neck region
- Smoking habit (more than 10 cigarettes per day)
- Drug or alcohol abuse.
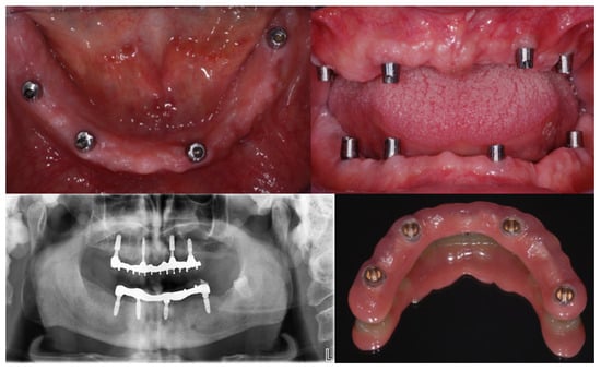
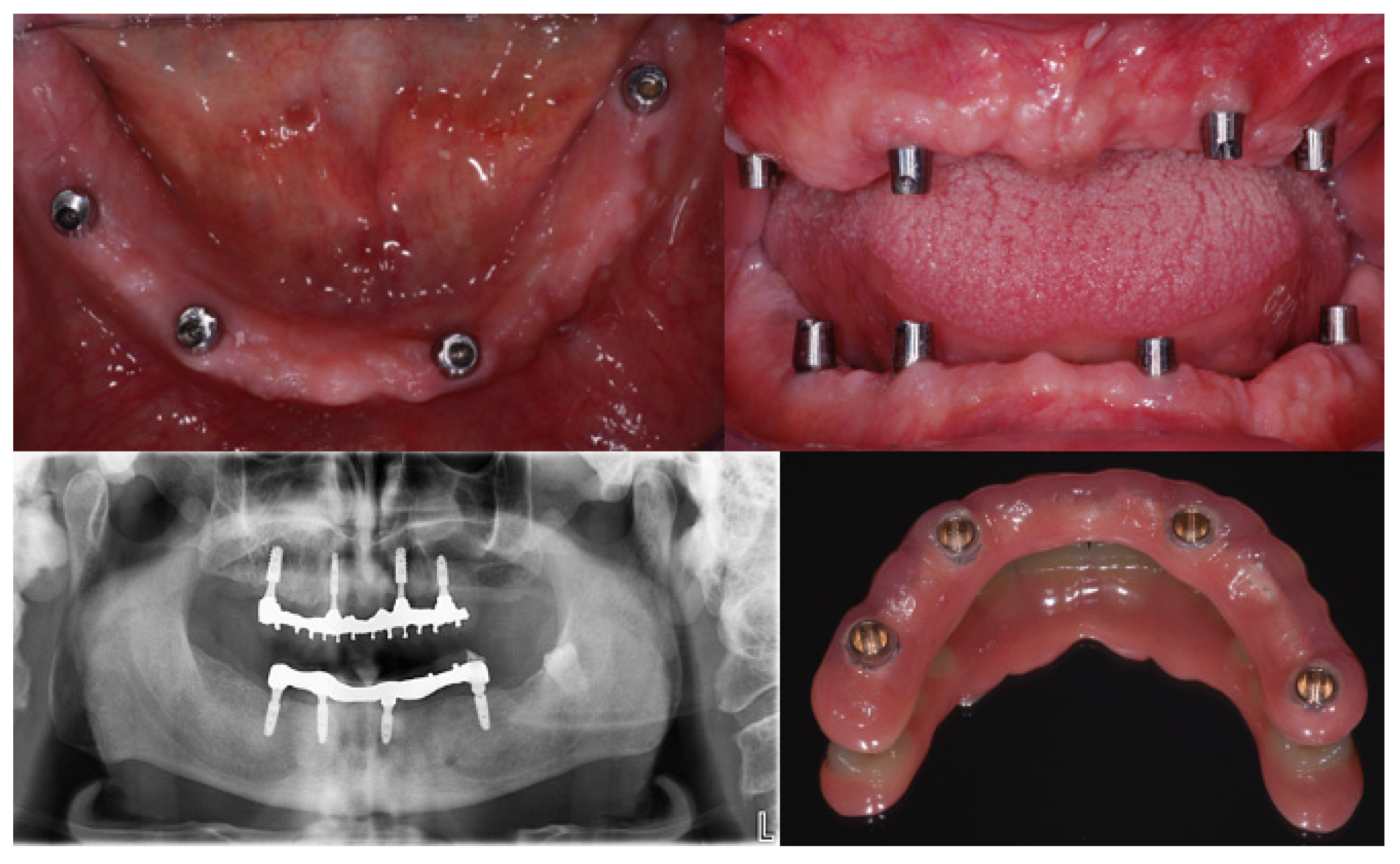
2.2. Surgical and Prosthetic Procedures
2.3. Clinical Evaluation
2.4. Statistical Analysis
3. Results
3.1. Prosthetic Evaluation
3.2. Biologic and Radiographical Evaluations
4. Discussion
5. Conclusions
Author Contributions
Funding
Institutional Review Board Statement
Informed Consent Statement
Data Availability Statement
Conflicts of Interest
References
- Redford, M.; Drury, T.F.; Kingman, A.; Brown, L.J. Denture use and the technical quality of dental prostheses among persons 18–74 years of age: United States, 1988–1991. J. Dent. Res. 1996, 75, 714–725. [Google Scholar] [CrossRef] [PubMed]
- Feine, J.S.; Carlsson, G.E.; Awad, M.A.; Chehade, A.; Duncan, W.J.; Gizani, S.; Head, T.; Heydecke, G.; Lund, J.P.; MacEntee, M.; et al. The McGill consensus statement on overdentures. Mandibular two-implant overdentures as first choice standard of care for edentulous patients. Gerodontology 2002, 19, 3–4. [Google Scholar] [PubMed]
- Tsigarida, A.; Chochlidakis, K. A Comparison Between Fixed and Removable Mandibular Implant-Supported Full-Arch Prostheses: An Overview of Systematic Reviews. Int. J. Prosthodont. 2021, 34, s85–s92. [Google Scholar] [CrossRef] [PubMed]
- Borges, G.A.; Barbin, T.; Dini, C.; Maia, L.C.; Magno, M.B.; Barão, V.A.R.; Mesquita, M.F. Patient-reported outcome measures and clinical assessment of implant-supported overdentures and fixed prostheses in mandibular edentulous patients: A systematic review and meta-analysis. J. Prosthet. Dent. 2022, 127, 565–577. [Google Scholar] [CrossRef]
- Daudt Polido, W.; Aghaloo, T.; Emmett, T.W.; Taylor, T.D.; Morton, D. Number of implants placed for complete-arch fixed prostheses: A systematic review and meta-analysis. Clin. Oral Implant. Res. 2018, 29 (Suppl. S16), 154–183. [Google Scholar] [CrossRef]
- Duong, H.; Roccuzzo, A.; Stähli, A.; Salvi, G.E.; Lang, N.P.; Sculean, A. Oral health-related quality of life of patients rehabilitated with fixed and removable implant-supported dental prostheses. Periodontol. 2000 2022, 88, 201–237. [Google Scholar] [CrossRef] [PubMed] [PubMed Central]
- Staubli, N.; Walter, C.; Schmidt, J.C.; Weiger, R.; Zitzmann, N.U. Excess cement and the risk of peri-implant disease—A systematic review. Clin. Oral Implant. Res. 2016, 28, 1278–1290. [Google Scholar] [CrossRef] [PubMed]
- Sailer, I.; Mühlemann, S.; Zwahlen, M.; Hämmerle, C.H.F.; Schneider, D. Cemented and screw-retained implant reconstructions: A systematic review of the survival and complication rates. Clin. Oral Implant. Res. 2012, 23 (Suppl. S6), 163–201. [Google Scholar] [CrossRef] [PubMed]
- Lupi, S.M.; Todaro, C.; De Martis, D.; Blasi, P.; Rodriguez y Baena, R.; Storelli, S. The Conometric Connection for the Implant-Supported Fixed Prosthesis: A Narrative Review. Prosthesis 2022, 4, 458–467. [Google Scholar] [CrossRef]
- Zhang, R.G.; Hannak, W.B.; Roggensack, M.; Freesmeyer, W.B. Retentive characteristics of Ankylos SynCone conical crown system over long-term use in vitro. Eur. J. Prosthodont. Restor. Dent. 2008, 16, 61–66. [Google Scholar]
- Eccellente, T.; Piombino, M.; Piattelli, A.; Perrotti, V.; Iezzi, G. A new treatment concept for immediate loading of implants inserted in the edentulous mandible. Quintessence Int. 2010, 41, 489–495. [Google Scholar] [PubMed]
- Bressan, E.; Lops, D. Conometric retention for complete fixed prosthesis supported by four implants: 2-years prospective study. Clin. Oral Implant. Res. 2014, 25, 546–552. [Google Scholar] [CrossRef]
- Degidi, M.; Nardi, D.; Sighinolfi, G.; Piattelli, A. Immediate rehabilitation of the edentulous mandible using Ankylos SynCone telescopic copings and intraoral welding: A pilot study. Int. J. Periodontics Restor. Dent. 2012, 32, e189–e194. [Google Scholar]
- Mombelli, A.; Lang, N.P. The diagnosis and treatment of peri-implantitis. Periodontol. 2000 1998, 17, 63–76. [Google Scholar] [CrossRef]
- Reddy, M.S.; Wang, I.C. Radiographic determinants of implant performance. Adv. Dent. Res. 1999, 13, 136–145. [Google Scholar] [CrossRef] [PubMed]
- Kutkut, A.; Bertoli, E.; Frazer, R.; Pinto-Sinai, G.; Fuentealba Hidalgo, R.; Studts, J. A systematic review of studies comparing conventional complete denture and implant retained overdenture. J. Prosthodont. Res. 2018, 62, 1–9. [Google Scholar] [CrossRef] [PubMed]
- Elboraey, A.N.; Dehis, W.M.; Eissa, S.M.; El-Hotieby, M.M.; Abdelkader, O.K. Occlusal equilibration and muscle activity in fixed versus removable mandibular implant supported overdenture. Clin. Oral Investig. 2024, 28, 160. [Google Scholar] [CrossRef] [PubMed]
- Degidi, M.; Nardi, D.; Sighinolfi, G.; Piattelli, A. The Conometric Concept: Definitive Fixed Lithium Disilicate Restorations Supported by Conical Abutments. J. Prosthodont. 2018, 27, 605–610. [Google Scholar] [CrossRef]
- Degidi, M.; Nardi, D.; Piattelli, A. The Conometric Concept: Coupling Connection for Immediately Loaded Titanium-Reinforced Provisional Fixed Partial Dentures-A Case Series. Int. J. Periodontics Restor. Dent. 2016, 36, 347–354. [Google Scholar] [CrossRef]
- Sailer, I.; Karasan, D.; Todorovic, A.; Ligoutsikou, M.; Pjetursson, B.E. Prosthetic failures in dental implant therapy. Periodontol. 2000 2022, 88, 130–144. [Google Scholar] [CrossRef]
- Windael, S.; Vervaeke, S.; Wijnen, L.; Jacquet, W.; De Bruyn, H.; Collaert, B. Ten-year follow-up of dental implants used for immediate loading in the edentulous mandible: A prospective clinical study. Clin. Implant. Dent. Relat. Res. 2018, 20, 515–521. [Google Scholar] [CrossRef] [PubMed]
- Cercadillo-Ibarguren, I.; Sánchez-Torres, A.; Figueiredo, R.; Schwarz, F.; Gay-Escoda, C.; Valmaseda-Castellón, E. Immediately loaded implant-supported full-arches: Peri-implant status after 1–9 years in a private practice. J. Dent. 2017, 67, 72–76. [Google Scholar] [CrossRef] [PubMed]
- Van Assche, N.; Michels, S.; Quirynen, M.; Naert, I. Extra short dental implants supporting an overdenture in the edentulous maxilla: A proof of concept. Clin. Oral Implant. Res. 2012, 23, 567–576. [Google Scholar] [CrossRef]
- Zou, D.; Wu, Y.; Huang, W.; Zhang, Z.; Zhang, Z. A 5- to 8-year retrospective study comparing the clinical results of implant-supported telescopic crown versus bar overdentures in patients with edentulous maxillae. Int. J. Oral Maxillofac. Implant. 2013, 28, 1322–1330. [Google Scholar] [CrossRef][Green Version]
- Albrektsson, T.; Zarb, G.; Worthington, P.; Eriksson, A.R. The long-term efficacy of currently used dental implants: A review and proposed criteria of success. Int. J. Oral Maxillofac. Implant. 1986, 1, 11–25. [Google Scholar]
- Coli, P.; Jemt, T. On marginal bone level changes around dental implants. Clin. Implant. Dent. Relat. Res. 2021, 23, 159–169. [Google Scholar] [CrossRef]
- Stacchi, C.; Lamazza, L.; Rapani, A.; Troiano, G.; Messina, M.; Antonelli, A.; Giudice, A.; Lombardi, T. Marginal bone changes around platform-switched conical connection implants placed 1 or 2 mm subcrestally: A multicenter crossover randomized controlled trial. Clin. Implant. Dent. Relat. Res. 2023, 25, 398–408. [Google Scholar] [CrossRef]
- Sanz-Sánchez, I.; Sanz-Martín, I.; Figuero, E.; Sanz, M. Clinical efficacy of immediate implant loading protocols compared to conventional loading depending on the type of the restoration: A systematic review. Clin. Oral Implant. Res. 2015, 26, 964–982. [Google Scholar] [CrossRef]
- Bressan, E.; Grusovin, M.G.; D’Avenia, F.; Neumann, K.; Sbricoli, L.; Luongo, G.; Esposito, M. The influence of repeated abutment changes on peri-implant tissue stability: 3-year post-loading results from a multicentre randomised controlled trial. Eur. J. Oral Implantol. 2017, 10, 373–390. [Google Scholar]
- Gallucci, G.O.; Hamilton, A.; Zhou, W.; Buser, D.; Chen, S. Implant placement and loading protocols in partially edentulous patients: A systematic review. Clin. Oral Implant. Res. 2018, 29 (Suppl. S16), 106–134. [Google Scholar] [CrossRef]
- Park, J.Y.; Strauss, F.J.; Schiavon, L.; Patrizi, A.; Cha, J.K.; Lee, J.S.; Jung, R.; Jung, U.W.; Thoma, D. Immediate loading on two adjacent single dental implants with definitive nonsplinted restorations: A proof of concept in the posterior zone. J. Esthet. Restor. Dent. 2024, 36, 1249–1257. [Google Scholar] [CrossRef]
- De Bruyn, H.; Raes, S.; Ostman, P.O.; Cosyn, J. Immediate loading in partially and completely edentulous jaws: A review of the literature with clinical guidelines. Periodontol. 2000 2014, 66, 153–187. [Google Scholar] [CrossRef] [PubMed]
- Ramanauskaite, A.; Becker, K.; Wolfart, S.; Lukman, F.; Schwarz, F. Efficacy of rehabilitation with different approaches of implant-supported full-arch prosthetic designs: A systematic review. J. Clin. Periodontol. 2022, 49 (Suppl. S24), 272–290. [Google Scholar] [CrossRef] [PubMed]
- Kern, J.S.; Kern, T.; Wolfart, S.; Heussen, N. A systematic review and meta-analysis of removable and fixed implant-supported prostheses in edentulous jaws: Post-loading implant loss. Clin. Oral Implant. Res. 2016, 27, 174–195. [Google Scholar] [CrossRef] [PubMed]
- Goodacre, C.J.; Bernal, G.; Rungcharassaeng, K.; Kan, J.Y. Clinical complications with implants and implant prostheses. J. Prosthet. Dent. 2003, 90, 121–132. [Google Scholar] [CrossRef] [PubMed]



| Implants | |||||||||
| Length (mm) | Diameter (mm) | ||||||||
| 3.5 | 4.5 | Total | |||||||
| intra | extra | intra | extra | intra | extra | ||||
| 8 | 4 | 28 | 2 | 9 | 6 | 37 | 43 | ||
| 9.5 | 23 | 5 | 7 | 3 | 30 | 8 | 38 | ||
| 11 | 10 | 0 | 0 | 1 | 10 | 1 | 11 | ||
| Total | 37 | 33 | 9 | 13 | 46 | 46 | 92 | ||
| SynCone abutments | |||||||||
| Sulcus height of the abutments (mm) | |||||||||
| degree | 1.5 | 3.0 | 4.5 | Total | |||||
| Intra | extra | Intra | extra | intra | extra | intra | extra | Total | |
| 0° | 9 | 11 | 23 | 15 | 1 | 1 | 33 | 27 | 60 |
| 7.5° | 4 | 7 | 6 | 7 | 0 | 1 | 10 | 15 | 25 |
| 15° | 0 | 0 | 2 | 4 | 0 | 0 | 2 | 4 | 6 |
| 22.5° | 1 | 0 | 0 | 0 | 0 | 0 | 1 | 0 | 1 |
| Total | 14 | 18 | 31 | 26 | 1 | 2 | 46 | 46 | 92 |
| Parameter | Baseline Mean (±SD) | 2 y of Function Mean (±SD) | 5 y of Function Mean (±SD) | 7 y of Function Mean (±SD) | 0–2 y Mean Difference (p-Value) | 0–5 y Mean Difference (p-Value) | 0–7 y Mean Difference (p-Value) |
|---|---|---|---|---|---|---|---|
| PPD | 1.18 (±0.39) | 1.21 (±0.41) | 1.36 (±0.48) | 1.74 (±0.88) | 0.02 (p = 0.67) | 0.17 (p = 0.001) | 0.55 (p < 0.001) |
| MBL | 1.22 (±0.91) | 0.81 (±0.89) | 0.71 (±0.89) | 0.49 (0.86) | 0.41 (p < 0.001) | 0.51 (p < 0.001) | 0.74 (p < 0.001) |
Disclaimer/Publisher’s Note: The statements, opinions and data contained in all publications are solely those of the individual author(s) and contributor(s) and not of MDPI and/or the editor(s). MDPI and/or the editor(s) disclaim responsibility for any injury to people or property resulting from any ideas, methods, instructions or products referred to in the content. |
© 2024 by the authors. Licensee MDPI, Basel, Switzerland. This article is an open access article distributed under the terms and conditions of the Creative Commons Attribution (CC BY) license (https://creativecommons.org/licenses/by/4.0/).
Share and Cite
Bressan, E.; Guazzo, R.; Favero, R.; Sbricoli, L.; Schiavon, L. Seven-Year Retrospective Study on Conometric Retention for Complete Fixed Prosthesis. Appl. Sci. 2024, 14, 8084. https://doi.org/10.3390/app14178084
Bressan E, Guazzo R, Favero R, Sbricoli L, Schiavon L. Seven-Year Retrospective Study on Conometric Retention for Complete Fixed Prosthesis. Applied Sciences. 2024; 14(17):8084. https://doi.org/10.3390/app14178084
Chicago/Turabian StyleBressan, Eriberto, Riccardo Guazzo, Riccardo Favero, Luca Sbricoli, and Lucia Schiavon. 2024. "Seven-Year Retrospective Study on Conometric Retention for Complete Fixed Prosthesis" Applied Sciences 14, no. 17: 8084. https://doi.org/10.3390/app14178084
APA StyleBressan, E., Guazzo, R., Favero, R., Sbricoli, L., & Schiavon, L. (2024). Seven-Year Retrospective Study on Conometric Retention for Complete Fixed Prosthesis. Applied Sciences, 14(17), 8084. https://doi.org/10.3390/app14178084

