Jaw Morphology and Factors Associated with Upper Impacted Canines: Case-Controlled Trial
Abstract
Featured Application
Abstract
1. Introduction
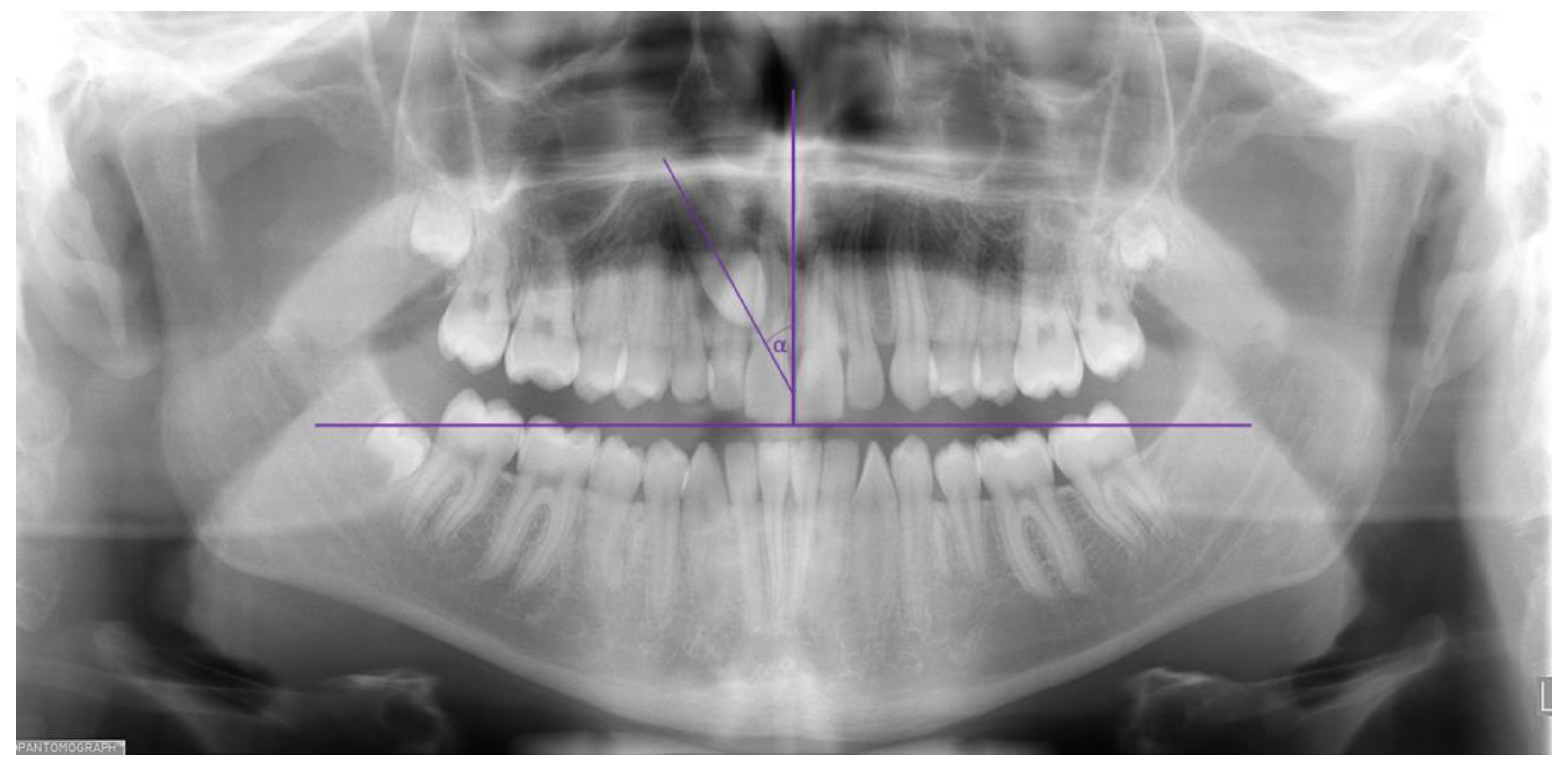
2. Materials and Methods
Statistical Analysis
3. Results
3.1. Morphological Features of Maxilla
3.2. Relationship between Local Factors and Canine Impaction
3.3. Association between Local Impaction Risk Factor and Need for Surgical Exposure
4. Discussion
5. Conclusions
Author Contributions
Funding
Institutional Review Board Statement
Informed Consent Statement
Data Availability Statement
Acknowledgments
Conflicts of Interest
References
- Broadbent, B.H. Ontogenic Development of Occlusion. Angle Orthod. 1941, 11, 223–241. [Google Scholar]
 - Fekonja, A. Evaluation of the eruption of permanent teeth and their association with malocclusion. Clin. Exp. Dent. Res. 2022, 8, 836–842. [Google Scholar] [CrossRef] [PubMed]
 - Sacerdoti, R.; Baccetti, T. Dentoskeletal features associated with unilateral or bilateral palatal displacement of maxillary canines. Angle Orthod. 2004, 74, 725–732. [Google Scholar] [PubMed]
 - Fekonja, A. Comparisons of Two Different Treatment Methods for Impacted Maxillary Canines: A Retrospective Study. J. Clin. Med. 2024, 13, 2374. [Google Scholar] [CrossRef]
 - Bjerklin, K. Malposition of Single Teeth. Essential Orthodontics; Thilander, B., Bjerklin, K., Bondemark, L., Eds.; John Wiley & Sons: Hoboken, NJ, USA, 2018; p. 104. [Google Scholar]
 - Bishara, S.E. Clinical management of impacted maxillary canines. Semin. Orthod. 1998, 4, 87–98. [Google Scholar] [CrossRef]
 - Bishara, S.E. Impacted maxillary canines: A review. Am. J. Orthod. Dentofac. Orthop. 1992, 101, 159–171. [Google Scholar] [CrossRef]
 - Becker, A.; Chaushu, S. Etiology of maxillary canine impaction: A review. Am. J. Orthod. Dentofac. Orthop. 2015, 148, 557–567. [Google Scholar] [CrossRef]
 - Naoumova, J.; Kjellberg, H. The use of panoramic radiographs to decide when interceptive extraction is beneficial in children with palatally displaced canines based on a randomized clinical trial. Eur. J. Orthod. 2018, 40, 565–574. [Google Scholar] [CrossRef]
 - Alqerban, A.; Jacobs, R.; Fieuws, S.; Willems, G. Radiographic predictors for maxillary canine impaction. Am. J. Orthod. Dentofac. Orthop. 2015, 147, 345–354. [Google Scholar] [CrossRef]
 - Alqerban, A.; Storms, A.S.; Voet, M.; Fieuws, S.; Willems, G. Early prediction of maxillary canine impaction. Dentomaxillofac. Radiol. 2016, 45, 20150232. [Google Scholar] [CrossRef]
 - Volchansky, A.; Cleaton-Jones, P.; Drummond, S.; Bonecker, M. Technique for linear measurement on panoramic and periapical radiographs: A pilot study. Quintessence Int. 2006, 37, 191–197. [Google Scholar]
 - Margot, R.; Maria, C.L.; Ali, A.; Annouschka, L.; Anna, V.; Guy, W. Prediction of maxillary canine impaction based on panoramic radiographs. Clin. Exp. Dent. Res. 2020, 6, 44–50. [Google Scholar] [CrossRef] [PubMed]
 - Ericson, S.; Kurol, J. Early treatment of palatally erupting maxillary canines by extraction of the primary canines. Eur. J. Orthod. 1988, 10, 283–295. [Google Scholar] [CrossRef] [PubMed]
 - Baccetti, T. A controlled study of associated dental anomalies. Angle Orthod. 1998, 68, 267–274. [Google Scholar] [PubMed]
 - Naser, D.H.; Abu Alhaija, E.S.; Al-Khateeb, S.N. Dental age assessment in patients with maxillary canine displacement. Am. J. Orthod. Dentofac. Orthop. 2011, 140, 848–855. [Google Scholar] [CrossRef]
 - Yan, B.; Sun, Z.; Fields, H.; Wang, L.; Luo, L. Etiologic factors for buccal and palatal maxillary canine impaction: A perspective based on cone-beam computed tomography analyses. Am. J. Orthod. Dentofac. Orthop. 2013, 143, 527–534. [Google Scholar] [CrossRef]
 - Abdulraheem, S.; Alqabandi, F.; Abdulreheim, M.; Bjerklin, K. Palatally displaced Canines: Diagnosis and interceptive treatment. J. Orthod. Craniofac. Res. 2019, 1, 106. [Google Scholar]
 - Aktı, A.; Dolunay, U.; Kaya, D.I.; Gürses, G.; Yeşil, D. Evaluation of the Relationship between Impacted Maxillary Canine Teeth and Root Resorption in Adjacent Teeth: A Cross-Sectional Cone Beam Computed Tomography Study. Diagnostics 2024, 14, 1470. [Google Scholar] [CrossRef]
 - Bianco, E.; Mirabelli, L.; Basilicata, M.; Bruno, G.; De Stefani, A.; Du, L.; Maddalone, M. Cone Beam Computed Tomography (CBCT) Aid in the Management of Apical Root Resorption of Impacted Maxillary Canines and Physiologically Erupted Maxillary Canines after Orthodontic Treatment. Appl. Sci. 2024, 14, 886. [Google Scholar] [CrossRef]
 - Ovsenik, M.; Primozic, J. Evaluation of 3 occlusal indexes: Eismann index, Eismann-Farcnik index, and index of orthodontic treatment need. Am. J. Orthod. Dentofac. Orthop. 2007, 131, 496–503. [Google Scholar] [CrossRef]
 - Baccetti, T.; Franchi, L.; McNamara, J.A., Jr. An improved version of the cervical vertebral maturation (CVM) method for the assessment of mandibular growth. Angle Orthod. 2002, 72, 316–323. [Google Scholar]
 - Baccetti, T.; Franchi, L.; McNamara, J.A., Jr. The cervical vertebral maturation method: Some need for clarification. Am. J. Orthod. Dentofac. Orthop. 2003, 123, 19A–20A. [Google Scholar] [CrossRef]
 - Lamparski, D.G. Skeletal age assessment utilizing cervical vertebrae. Am. J. Orthod. 1975, 67, 458–459. [Google Scholar] [CrossRef]
 - Danz, J.C.; Greuter, C.; Sifakakis, I.; Fayed, M.; Pandis, N.; Katsaros, C. Stability and relapse after orthodontic treatment of deep bite cases-a long-term follow-up study. Eur. J. Orthod. 2014, 36, 522–530. [Google Scholar] [CrossRef] [PubMed]
 - De Ridder, L.; Aleksieva, A.; Willems, G.; Declerck, D.; Cadenas de Llano-Perula, M. Prevalence of Orthodontic Malocclusions in Healthy Children and Adolescents: A Systematic Review. Int. J. Environ. Res. Public Health 2022, 19, 7446. [Google Scholar] [CrossRef] [PubMed]
 - Primozic, J.; Richmond, S.; Kau, C.H.; Zhurov, A.; Ovsenik, M. Three-dimensional evaluation of early crossbite correction: A longitudinal study. Eur. J. Orthod. 2013, 35, 7–13. [Google Scholar] [CrossRef] [PubMed]
 - Generali, C.; Primozic, J.; Richmond, S.; Bizzarro, M.; Flores-Mir, C.; Ovsenik, M.; Perillo, L. Three-dimensional evaluation of the maxillary arch and palate in unilateral cleft lip and palate subjects using digital dental casts. Eur. J. Orthod. 2017, 39, 641–645. [Google Scholar] [CrossRef]
 - Krneta, B.; Primozic, J.; Zhurov, A.; Richmond, S.; Ovsenik, M. Three-dimensional evaluation of facial morphology in children aged 5–6 years with a Class III malocclusion. Eur. J. Orthod. 2014, 36, 133–139. [Google Scholar] [CrossRef]
 - Malmvind, D.; Golez, A.; Magnuson, A.; Ovsenik, M.; Bazargani, F. Three-dimensional assessment of palatal area changes after posterior crossbite correction with tooth-borne and tooth bone-borne rapid maxillary expansion. Angle Orthod. 2022, 92, 589–597. [Google Scholar] [CrossRef]
 - Sollenius, O.; Golez, A.; Primozic, J.; Ovsenik, M.; Bondemark, L.; Petren, S. Three-dimensional evaluation of forced unilateral posterior crossbite correction in the mixed dentition: A randomized controlled trial. Eur. J. Orthod. 2020, 42, 415–425. [Google Scholar] [CrossRef]
 - Becker, A.; Smith, P.; Behar, R. The incidence of anomalous maxillary lateral incisors in relation to palatally-displaced cuspids. Angle Orthod 1981, 51, 24–29. [Google Scholar]
 - Stabryla, J.; Zadurska, M.; Plakwicz, P.; Kukula, K.T.; Czochrowska, E.M. Comparisons of Dental Anomalies in Orthodontic Patients with Impacted Maxillary and Mandibular Canines. Diagnostics 2023, 13, 2766. [Google Scholar] [CrossRef]
 - Al-Nimri, K.; Gharaibeh, T. Space conditions and dental and occlusal features in patients with palatally impacted maxillary canines: An aetiological study. Eur. J. Orthod. 2005, 27, 461–465. [Google Scholar] [CrossRef]
 - Basdra, E.K.; Kiokpasoglou, M.; Stellzig, A. The Class II Division 2 craniofacial type is associated with numerous congenital tooth anomalies. Eur. J. Orthod. 2000, 22, 529–535. [Google Scholar] [CrossRef] [PubMed]
 - Pereira, P.M.; Ferreira, A.P.; Tavares, P.; Braga, A.C. Different manifestations of class II division 2 incisor retroclination and their association with dental anomalies. J. Orthod. 2013, 40, 299–306. [Google Scholar] [CrossRef]
 - Hua, F.; He, H.; Ngan, P.; Bouzid, W. Prevalence of peg-shaped maxillary permanent lateral incisors: A meta-analysis. Am. J. Orthod. Dentofac. Orthop. 2013, 144, 97–109. [Google Scholar] [CrossRef]
 - Peck, S.; Peck, L.; Kataja, M. Prevalence of tooth agenesis and peg-shaped maxillary lateral incisor associated with palatally displaced canine (PDC) anomaly. Am. J. Orthod. Dentofac. Orthop. 1996, 110, 441–443. [Google Scholar] [CrossRef] [PubMed]
 - Aktan, A.M.; Kara, S.; Akgunlu, F.; Malkoc, S. The incidence of canine transmigration and tooth impaction in a Turkish subpopulation. Eur. J. Orthod. 2010, 32, 575–581. [Google Scholar] [CrossRef]
 - Cacciatore, G.; Poletti, L.; Sforza, C. Early diagnosed impacted maxillary canines and the morphology of the maxilla: A three-dimensional study. Prog. Orthod. 2018, 19, 20. [Google Scholar] [CrossRef] [PubMed]
 - Shahin, S.Y.; Tabassum, A.; Fairozekhan, A.T.; Tuwaylib, A.A.; Al-Sheyoukh, S.; Alzaher, S.; Siddiqui, I.A.; Alhareky, M. The Relationship between Unilateral Palatal Maxillary Canine Impaction and the Morphology of the Maxilla: A CBCT Study in Eastern Province of Saudi Arabia. Eur. J. Dent. 2023, 17, 1043–1050. [Google Scholar] [CrossRef]
 - Yassaei, S.; Safi, Y.; Valian, F.; Mohammadi, A. Evaluation of maxillary arch width and palatal volume and depth in patients with maxillary impacted canine by CBCT. Heliyon 2022, 8, e10854. [Google Scholar] [CrossRef] [PubMed]
 - Leifert, S.; Jonas, I.E. Dental anomalies as a microsymptom of palatal canine displacement. J. Orofac. Orthop. Fortschritte der Kieferorthopadie 2003, 64, 108–120. [Google Scholar] [CrossRef]
 - Bazargani, F.; Magnuson, A.; Dolati, A.; Lennartsson, B. Palatally displaced maxillary canines: Factors influencing duration and cost of treatment. Eur. J. Orthod. 2013, 35, 310–316. [Google Scholar] [CrossRef]
 - Power, S.M.; Short, M.B. An investigation into the response of palatally displaced canines to the removal of deciduous canines and an assessment of factors contributing to favourable eruption. Br. J. Orthod. 1993, 20, 215–223. [Google Scholar] [CrossRef] [PubMed]
 - Cicek, O.; Gurel, T.; Demir Cicek, B. Investigation of the Relationship of Impacted Maxillary Canines with Orthodontic Malocclusion: A Retrospective Study. Children 2023, 10, 950. [Google Scholar] [CrossRef] [PubMed]
 - Bjorksved, M.; Ryen, L.; Lindsten, R.; Bazargani, F. Open and closed surgical exposure of palatally displaced canines: A cost-minimization analysis of a multicentre, randomized controlled trial. Eur. J. Orthod. 2021, 43, 498–505. [Google Scholar] [CrossRef]
 - Grisar, K.; Luyten, J.; Preda, F.; Martin, C.; Hoppenreijs, T.; Politis, C.; Jacobs, R. Interventions for impacted maxillary canines: A systematic review of the relationship between initial canine position and treatment outcome. Orthod. Craniofac. Res. 2021, 24, 180–193. [Google Scholar] [CrossRef]
 - Bjorksved, M.; Arnrup, K.; Bazargani, S.M.; Lund, H.; Magnusson, A.; Magnuson, A.; Lindsten, R.; Bazargani, F. Open vs. closed surgical exposure of palatally displaced canines: A comparison of clinical and patient-reported outcomes-a multicentre, randomized controlled trial. Eur. J. Orthod. 2021, 43, 487–497. [Google Scholar] [CrossRef]
 




| Impacted Canine | Control Group | ||
|---|---|---|---|
| Frequency (N) | 32 | 43 | |
| Age (years) | 13.845 ± 1.678 | 13.085 ± 1.782 | p = 0.0653 (t-test) | 
| Gender | 13 m 19 f | 19 m 24 f | p = 0.942 (Chi-square test) | 
| Skeletal maturity (CS) | 4.241 ± 1.347 | 3.645 ± 1.518 | p = 0.114 (t-test) | 
| Impacted Canine Group | Control Group | |||
|---|---|---|---|---|
| Deep bite | Present (N) | 17 | 8 | * p = 0.004 (chi-square test) OR = 5.01 95% CI: 1.76–14.28  | 
| expected (N) | 10.76 | 14.23 | ||
| Not present (N) | 14 | 33 | ||
| expected (N) | 20.23 | 26.76 | ||
| Hypoplastic lateral incisor | Present (N) | 15 | 6 | * p = 0.004 (chi-square test) OR = 5.47 95% CI: 1.79–16.70  | 
| expected (N) | 9.04 | 11.95 | ||
| Not present (N) | 16 | 35 | ||
| expected (N) | 21.95 | 29.04 | ||
| Rotation of adjacent tooth | Present (N) | 21 | 15 | * p = 0.017 (chi-square test) OR = 3.56 95% CI: 1.36–9.35  | 
| expected (N) | 15.50 | 20.50 | ||
| Not present (N) | 10 | 26 | ||
| expected (N) | 15.50 | 20.50 | ||
| Infraocclusion/Ankylosis of deciduous tooth | Present (N) | 3 | 1 | p = 0.304 (Fisher exact test) OR = 4.44 95% CI: 0.44–45.04  | 
| expected (N) | 1.69 | 2.31 | ||
| Not present (N) | 27 | 40 | ||
| expected (N) | 28.31 | 38.69 | 
| Impacted | Non-Impacted | |||
|---|---|---|---|---|
| Deciduous canine | Present (N) | 33 | 4 | * p < 0.001 (chi-square test) OR: 47.44 95% CI: 10.75–209.36  | 
| expected (N) | 21.39 | 15.61 | ||
| Not present (N) | 4 | 23 | ||
| expected (N) | 15.61 | 11.39 | ||
| Canine axis angle | Median | 40° | 0° | * p < 0.001 (Mann-Whitney test)  | 
| Interquartile range (25–75%) | 32.5–49° | 0–5° | 
| Need for Surgical Exposure | No Need for Surgical Exposure | |||
|---|---|---|---|---|
| Deciduous canine | Present (N) | 24 | 14 | * p < 0.001 (chi-square test) OR: 10.15 95% CI: 2.988–35.84  | 
| expected (N) | 16.44 | 20.55 | ||
| Not present (N) | 4 | 22 | ||
| expected (N) | 11.55 | 14.44 | ||
| Location of impacted canine | Palatal (N) | 21 | 10 | * p < 0.001 (chi-square test) OR: 7.5 95% 2.43–23.14  | 
| expected (N) | 13.78 | 17.22 | ||
| Buccal (N) | 7 | 25 | ||
| expected (N) | 14.22 | 17.78 | ||
| Canine axis angle | Median | 39° | 5° | * p < 0.001 (Mann-Whitney test)  | 
| Interquartile range (25–75%) | 30.5–49° | 0–31° | 
Disclaimer/Publisher’s Note: The statements, opinions and data contained in all publications are solely those of the individual author(s) and contributor(s) and not of MDPI and/or the editor(s). MDPI and/or the editor(s) disclaim responsibility for any injury to people or property resulting from any ideas, methods, instructions or products referred to in the content.  | 
© 2024 by the authors. Licensee MDPI, Basel, Switzerland. This article is an open access article distributed under the terms and conditions of the Creative Commons Attribution (CC BY) license (https://creativecommons.org/licenses/by/4.0/).
Share and Cite
Golez, A.; Vrcon, C.; Ovsenik, M. Jaw Morphology and Factors Associated with Upper Impacted Canines: Case-Controlled Trial. Appl. Sci. 2024, 14, 7700. https://doi.org/10.3390/app14177700
Golez A, Vrcon C, Ovsenik M. Jaw Morphology and Factors Associated with Upper Impacted Canines: Case-Controlled Trial. Applied Sciences. 2024; 14(17):7700. https://doi.org/10.3390/app14177700
Chicago/Turabian StyleGolez, Aljaz, Chris Vrcon, and Maja Ovsenik. 2024. "Jaw Morphology and Factors Associated with Upper Impacted Canines: Case-Controlled Trial" Applied Sciences 14, no. 17: 7700. https://doi.org/10.3390/app14177700
APA StyleGolez, A., Vrcon, C., & Ovsenik, M. (2024). Jaw Morphology and Factors Associated with Upper Impacted Canines: Case-Controlled Trial. Applied Sciences, 14(17), 7700. https://doi.org/10.3390/app14177700
        
