From Reverse Engineering Software to CAD-CAM Systems: How Digital Environment Has Influenced the Clinical Applications in Modern Dentistry and Orthodontics
Abstract
1. Introduction
2. Start from the Basics: Simple Example of Reverse Engineering from Intra-Oral (IOS) and Facial Scans (FS)
2.1. Data Detection and Import
2.2. Data Refining and Redundancy
2.3. Triangulation, Description, and Classification
2.4. Segmentation, Surface Fitting, and Creation of a Solid Model
2.5. Model Printing
3. RE Process as “Game Changer”: Clinical Applications
3.1. Diagnosis
3.1.1. 3D Analysis from CBCT
3.1.2. 3D Analysis from IOS and FS
3.1.3. Skeletal and Soft-Tissue Facial Asymmetry
3.2. Treatment Plan
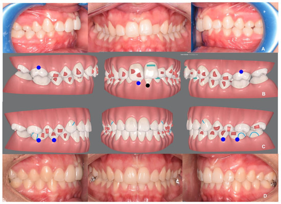
3.2.1. Orthodontic Setup
3.2.2. Monitoring Systems
3.2.3. Digital Plan
4. CAD-CAM Devices Production
4.1. Indirect Bonding Tray
4.2. Occlusal Splint
4.3. Surgical Splint
4.4. Clear Aligners
4.5. Customized Orthodontic Appliances
4.6. 3D Printable Resin Materials
5. Discussion
6. Conclusions
Author Contributions
Funding
Institutional Review Board Statement
Informed Consent Statement
Data Availability Statement
Conflicts of Interest
References
- Bradley, C.; Currie, B. Advances in the Field of Reverse Engineering. Comput.-Aided Des. Appl. 2005, 2, 697–706. [Google Scholar] [CrossRef]
- Germani, M.; Raffaeli, R.; Mazzoli, A. A method for performance evaluation of RE/RP systems in dentistry. Rapid Prototyp. J. 2010, 16, 345–355. [Google Scholar] [CrossRef]
- Hajeer, M.Y.; Millett, D.T.; Ayoub, A.F.; Siebert, J.P. Current Products and Practices. J. Orthod. 2004, 31, 62–70. [Google Scholar] [CrossRef] [PubMed]
- Rathore, N.; Jain, P. Reverse Engineering Applications in Manufacturing Industries: An Overview; DAAAM International: Vienna, Austria, 2014; pp. 567–576. [Google Scholar]
- D’Apuzzo, N. Overview of 3D surface digitization technologies in Europe. Proc. SPIE 2006, 6056, 42–54. [Google Scholar] [CrossRef]
- Joda, T.; Brägger, U.; Gallucci, G. Systematic literature review of digital three-dimensional superimposition techniques to create virtual dental patients. Int. J. Oral Maxillofac. Implant. 2015, 30, 330–337. [Google Scholar] [CrossRef] [PubMed]
- Tian, S.; Dai, N.; Zhang, B.; Yuan, F.; Yu, Q.; Cheng, X. Automatic classification and segmentation of teeth on 3D dental model using hierarchical deep learning networks. IEEE Access 2019, 7, 84817–84828. [Google Scholar] [CrossRef]
- Jaju, P.P.; Jaju, S.P. Cone-beam computed tomography: Time to move from ALARA to ALADA. Imaging Sci. Dent. 2015, 45, 263–265. [Google Scholar] [CrossRef]
- Mangano, F.; Gandolfi, A.; Luongo, G.; Logozzo, S. Intraoral scanners in dentistry: A review of the current literature. BMC Oral Health 2017, 17, 149. [Google Scholar] [CrossRef]
- Berlin, N.F.; Berssenbrügge, P.; Runte, C.; Wermker, K.; Jung, S.; Kleinheinz, J.; Dirksen, D. Quantification of facial asymmetry by 2D analysis—A comparison of recent approaches. J. Cranio-Maxillo-Facial Surg. Off. Publ. Eur. Assoc. Cranio-Maxillo-Facial Surg. 2014, 42, 265–271. [Google Scholar] [CrossRef] [PubMed]
- Toma, A.M.; Zhurov, A.; Playle, R.; Ong, E.; Richmond, S. Reproducibility of facial soft tissue landmarks on 3D laser-scanned facial images. Orthod. Craniofacial Res. 2009, 12, 33–42. [Google Scholar] [CrossRef]
- Conejo, J.; Dayo, A.F.; Syed, A.Z.; Mupparapu, M. The Digital Clone: Intraoral Scanning, Face Scans and Cone Beam Computed Tomography Integration for Diagnosis and Treatment Planning. Dent. Clin. N. Am. 2021, 65, 529–553. [Google Scholar] [CrossRef] [PubMed]
- Joda, T.; Gallucci, G.O. The virtual patient in dental medicine. Clin. Oral Implant. Res. 2015, 26, 725–726. [Google Scholar] [CrossRef]
- Revilla-León, M.; Zandinejad, A.; Nair, M.K.; Barmak, B.A.; Feilzer, A.J.; Özcan, M. Accuracy of a patient 3-dimensional virtual representation obtained from the superimposition of facial and intraoral scans guided by extraoral and intraoral scan body systems. J. Prosthet. Dent. 2021, 128, 984–993. [Google Scholar] [CrossRef] [PubMed]
- Lo Giudice, A.; Ortensi, L.; Farronato, M.; Lucchese, A.; Lo Castro, E.; Isola, G. The step further smile virtual planning: Milled versus prototyped mock-ups for the evaluation of the designed smile characteristics. BMC Oral Health 2020, 20, 165. [Google Scholar] [CrossRef] [PubMed]
- Mohammed, A.A.; Dina, E.M.; Fengyuan, Z. The Role of Intraoral Scanners in the Shade Matching Process: A Systematic Review. J. Prosthodont. 2023, 32, 196–203. [Google Scholar]
- Ackerman, J.L.; Proffit, W.R. Soft tissue limitations in orthodontics: Treatment planning guidelines. Angle Orthod. 1997, 67, 327–336. [Google Scholar] [PubMed]
- Cocconi, R.; Raffaini, M.; Amat, P. De l’orthodontie à la chirurgie ortho-faciale. Entretien avec Renato Cocconi et Mirco Raffaini. L’Orthod. Française 2016, 87, 247–271. [Google Scholar] [CrossRef]
- Macchi, A.; Carrafiello, G.; Cacciafesta, V.; Norcini, A. Three-dimensional digital modeling and setup. Am. J. Orthod. Dentofac. Orthop. 2006, 129, 605–610. [Google Scholar] [CrossRef]
- Stauber, I.; Vairaktaris, E.; Holst, A.; Schuster, M.; Hirschfelder, U.; Neukam, F.W.; Nkenke, E. Three-dimensional analysis of facial symmetry in cleft lip and palate patients using optical surface data. J. Orofac. Orthop. 2008, 69, 268–282. [Google Scholar] [CrossRef] [PubMed]
- Djordjevic, J.; Toma, A.M.; Zhurov, A.I.; Richmond, S. Three-dimensional quantification of facial symmetry in adolescents using laser surface scanning. Eur. J. Orthod. 2014, 36, 125–132. [Google Scholar] [CrossRef] [PubMed]
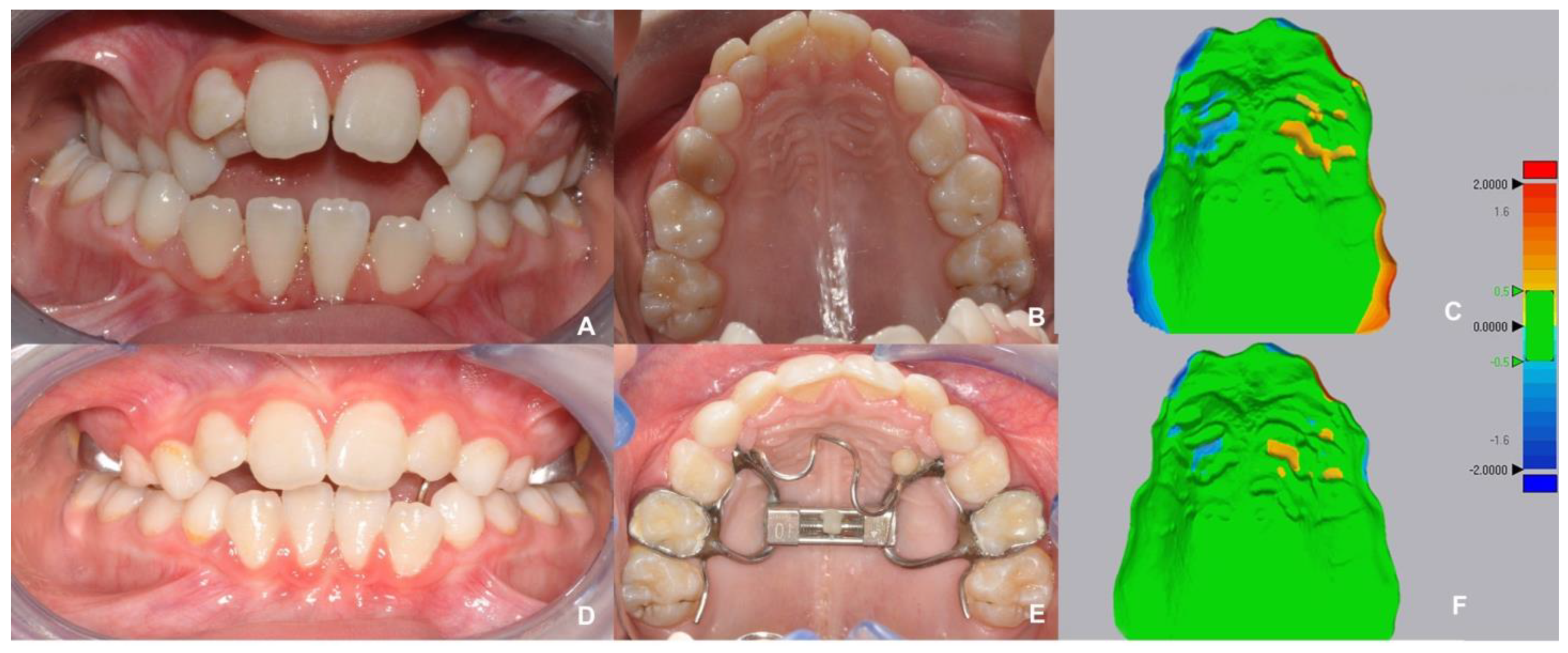
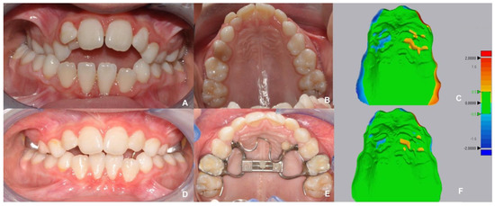
- Lo Giudice, A.; Ronsivalle, V.; Conforte, C.; Marzo, G.; Lucchese, A.; Leonardi, R.; Isola, G. Palatal changes after treatment of functional posterior cross-bite using elastodontic appliances: A 3D imaging study using deviation analysis and surface-to-surface matching technique. BMC Oral Health 2023, 23, 68. [Google Scholar] [CrossRef] [PubMed]
- Kesling, H.D. The diagnostic setup with consideration of the third dimension. Am. J. Orthod. Dentofac. Orthop. 1956, 42, 740–748. [Google Scholar] [CrossRef]
- de Waard, O.; Baan, F.; Bruggink, R.; Bronkhorst, E.M.; Kuijpers-Jagtman, A.M.; Ongkosuwito, E.M. The Prediction Accuracy of Digital Orthodontic Setups for the Orthodontic Phase before Orthognathic Surgery. J. Clin. Med. 2022, 11, 6141. [Google Scholar] [CrossRef]
- Hou, D.; Capote, R.; Bayirli, B.; Chan, D.C.N.; Huang, G. The effect of digital diagnostic setups on orthodontic treatment planning. Am. J. Orthod. Dentofac. Orthop. 2020, 157, 542–549. [Google Scholar] [CrossRef]
- Blundell, H.L.; Weir, T.; Kerr, B.; Freer, E. Predictability of overbite control with the Invisalign appliance. Am. J. Orthod. Dentofac. Orthop. 2021, 160, 725–731. [Google Scholar] [CrossRef]
- Moylan, H.B.; Carrico, C.K.; Lindauer, S.J.; Tüfekçi, E. Accuracy of a smartphone-based orthodontic treatment-monitoring application: A pilot study. Angle Orthod. 2019, 89, 727–733. [Google Scholar] [CrossRef] [PubMed]
- Hansa, I.; Semaan, S.J.; Vaid, N.R. Clinical outcomes and patient perspectives of Dental Monitoring® GoLive® with Invisalign®-a retrospective cohort study. Prog. Orthododontics 2020, 15, 16. [Google Scholar] [CrossRef] [PubMed]
- Pithon, M.M.; Baião, F.C.S.; Sant Anna, L.; Paranhos, L.R.; Cople, M.L. Assessment of the effectiveness of invisible aligners compared with conventional appliance in aesthetic and functional orthodontic treatment: A systematic review. J. Investig. Clin. Dent. 2019, 10, e12455. [Google Scholar] [CrossRef]
- Malik, O.H.; McMullin, A.; Waring, D.T. Invisible orthodontics part 1: Invisalign. Dent. Update 2013, 40, 203–204, 207–210, 213–215. [Google Scholar] [CrossRef] [PubMed]
- Nucera, R.; Lo Giudice, A.; Bellocchio, A.M.; Spinuzza, P.; Caprioglio, A.; Perillo, L.; Matarese, G.; Cordasco, G. Bone and cortical bone thickness of mandibular buccal shelf for mini-screw insertion in adults. Angle Orthod. 2017, 87, 745–751. [Google Scholar] [CrossRef]
- Jones, J.P.; Elnagar, M.H.; Perez, D.E. Temporary Skeletal Anchorage Techniques. Oral Maxil-Lofacial Surg. Clin. N. Am. 2020, 32, 27–37. [Google Scholar] [CrossRef] [PubMed]
- Liu, H.; Wu, X.; Tan, J.; Li, X. Safe regions of miniscrew implantation for distalization of mandibular dentition with CBCT. Prog. Orthod. 2019, 20, 45. [Google Scholar] [CrossRef]
- Maino, G.; Paoletto, E.; Lombardo, L.; Siciliani, G. A Three-Dimensional Digital Insertion Guide for Palatal Miniscrew Placement. J. Clin. Orthod. 2016, 50, 12–22. [Google Scholar]
- Tartaglia, G.M.; Mapelli, A.; Maspero, C.; Santaniello, T.; Serafin, M.; Farronato, M.; Caprioglio, A. Direct 3D Printing of Clear Orthodontic Aligners: Current State and Future Possibilities. Materials 2021, 14, 1799. [Google Scholar] [CrossRef]
- Nawrocka, A.; Lukomska-Szymanska, M. The Indirect Bonding Technique in Orthodontics—A Narrative Literature Review. Materials 2020, 13, 986. [Google Scholar] [CrossRef]
- de Cássia Costa Ribeiro de Almeida, R.; de Oliveira da Rosa, W.L.; Boscato, N. The Effect of Occlusal Splint Pretreatment on Mandibular Movements and Vertical Dimension of Occlusion in Long-Term Complete Denture Wearers. Int. J. Prosthodont. 2016, 29, 287–289. [Google Scholar] [CrossRef] [PubMed]
- Gateno, J.; Xia, J.; Teichgraeber, J.F.; Rosen, A.; Hultgren, B.; Vadnais, T. The precision of computer-generated surgical splints. J. Oral Maxillofac. Surg. 2003, 61, 814–817. [Google Scholar] [CrossRef]
- Veasey, S.C.; Rosen, I.M. Obstructive Sleep Apnea in Adults. N. Engl. J. Med. 2019, 380, 1442–1449. [Google Scholar] [CrossRef] [PubMed]
- Olthoff, L.W.; van der Glas, H.W.; van der Bilt, A. Influence of occlusal vertical dimension on the masticatory performance during chewing with maxillary splints. J. Oral Rehabil. 2007, 34, 560–565. [Google Scholar] [CrossRef] [PubMed]
- Robertson, C.; Herbison, P.; Harkness, M. Dental and occlusal changes during mandibular advancement splint therapy in sleep disordered patients. Eur. J. Orthod. 2003, 25, 371–376. [Google Scholar] [CrossRef] [PubMed]
- Ye, N.; Wu, T.; Dong, T.; Yuan, L.; Fang, B.; Xia, L. Precision of 3D-printed splints with different dental model offsets. Am. J. Orthod. Dentofac. Orthop. 2019, 155, 733–738. [Google Scholar] [CrossRef] [PubMed]
- Metzger, M.C.; Hohlweg-Majert, B.; Schwarz, U.; Teschner, M.; Hammer, B.; Schmelzeisen, R. Manufacturing splints for orthognathic surgery using a three-dimensional printer. Oral Surg. Oral Med. Oral Pathol. Oral Radiol. Endodontol. 2008, 105, e1–e7. [Google Scholar] [CrossRef]
- Swennen, G.R.; Mommaerts, M.Y.; Abeloos, J.; De Clercq, C.; Lamoral, P.; Neyt, N. A cone-beam CT based technique to augment the 3D virtual skull model with a detailed dental surface. Int. J. Oral Maxillofac. Surg. 2009, 38, 48–57. [Google Scholar] [CrossRef]
- Zinser, M.J.; Mischkowski, R.A.; Sailer, H.F.; Zoller, J.E. Computer-assisted orthognathic surgery: Feasibility study using multiple CAD/CAM surgical splints. Oral Surg. Oral Med. Oral Pathol. Oral Radiol. 2012, 113, 673–687. [Google Scholar] [CrossRef] [PubMed]
- Adolphs, N.; Liu, W.; Keeve, E.; Hoffmeister, B. RapidSplint: Virtual splint generation for orthognathic surgery—Results of a pilot series. Comput. Aided Surg. 2014, 19, 20–28. [Google Scholar] [CrossRef] [PubMed]
- Palazzo, G.; Ronsivalle, V.; Oteri, G.; Lo Giudice, A.; Toro, C.; Campagna, P.; Patini, R.; Bocchieri, S.; Bianchi, A.; Isola, G. Comparison between Additive and Subtractive CAD-CAM Technique to Produce Orthognathic Surgical Splints: A Personalized Approach. J. Pers. Med. 2020, 10, 273. [Google Scholar] [CrossRef] [PubMed]
- Kim, S.Y.; Shin, Y.S.; Jung, H.D.; Hwang, C.J.; Baik, H.S.; Cha, J.Y. Precision and trueness of dental models manufactured with different 3-dimensional printing techniques. Am. J. Orthod. Dentofac. Orthop. 2018, 153, 144–153. [Google Scholar] [CrossRef]
- Wesemann, C.; Muallah, J.; Mah, J.; Bumann, A. Accuracy and efficiency of full-arch digitalization and 3d printing: A comparison between desktop model scanners, an intraoral scanner, a cbct model scan, and stereolithographic 3d printing. Quintessence Int. 2017, 48, 41–50. [Google Scholar]
- Venezia, P.; Ronsivalle, V.; Rustico, L.; Barbato, E.; Leonardi, R.; Lo Giudice, A. Accuracy of orthodontic models prototyped for clear aligners therapy: A 3d imaging analysis comparing different market segments 3d printing protocols. J. Dent. 2022, 124, 104212. [Google Scholar] [CrossRef]
- Short, M.M.; Favero, C.S.; English, J.D.; Kasper, F.K. Impact of orientation on dimensional accuracy of 3d-printed orthodontic models. J. Clin. Orthod. 2018, 52, 13–20. [Google Scholar] [PubMed]
- Zhang, Z.C.; Li, P.L.; Chu, F.T.; Shen, G. Influence of the three-dimensional printing technique and printing layer thickness on model accuracy. J. Orofac. Orthop. 2019, 80, 194–204. [Google Scholar] [CrossRef] [PubMed]
- Kim, J.; Lee, D.H. Influence of the postcuring process on dimensional accuracy and seating of 3d-printed polymeric fixed prostheses. BioMed Res. Int. 2020, 2020, 2150182. [Google Scholar] [CrossRef] [PubMed]
- Ryu, J.H.; Kwon, J.S.; Jiang, H.B.; Cha, J.Y.; Kim, K.M. Effects of thermoforming on the physical and mechanical properties of thermoplastic materials for transparent orthodontic aligners. Korean J. Orthod. 2018, 48, 316–325. [Google Scholar] [CrossRef]
- Papageorgiou, S.N.; Polychronis, G.; Panayi, N.; Zinelis, S.; Eliades, T. New aesthetic in-house 3D-printed brackets: Proof of concept and fundamental mechanical properties. Prog. Orthod. 2022, 23, 6. [Google Scholar] [CrossRef]
- Tsolakis, I.A.; Gizani, S.; Panayi, N.; Antonopoulos, G.; Tsolakis, A.I. Three-Dimensional Printing Technology in Orthodontics for Dental Models: A Systematic Review. Children 2022, 9, 1106. [Google Scholar] [CrossRef] [PubMed]
- Wuersching, S.N.; Hickel, R.; Edelhoff, D.; Kollmuss, M. Initial biocompatibility of novel resins for 3D printed fixed dental prostheses. Dent. Mater. 2022, 38, 1587–1597. [Google Scholar] [CrossRef] [PubMed]
- Manosudprasit, A.; Haghi, A.; Allareddy, V.; Masoud, M. Diagnosis and treatment planning of orthodontic patients with 3-dimensional dentofacial records. Am. J. Orthod. Dentofac. Orthop. 2017, 151, 1083–1091. [Google Scholar] [CrossRef] [PubMed]
- Teerakanok, S.; Charoemratrote, C.; Chanmanee, P. The Accuracy of Lateral Cephalogram in Representing the Anterior Maxillary Dentoalveolar Position. Diagnostics 2022, 12, 1840. [Google Scholar] [CrossRef] [PubMed]
- Christopoulou, I.; Kaklamanos, E.G.; Makrygiannakis, M.A.; Bitsanis, I.; Perlea, P.; Tsolakis, A.I. Intraoral Scanners in Orthodontics: A Critical Review. Int. J. Environ. Res. Public Health 2022, 19, 1407. [Google Scholar] [CrossRef] [PubMed]
- D’Ettorre, G.; Farronato, M.; Candida, E.; Quinzi, V.; Grippaudo, C. A comparison between stereophotogrammetry and smartphone structured light technology for three-dimensional face scanning. Angle Orthod. 2022, 92, 358–363. [Google Scholar] [CrossRef] [PubMed]
- Gkantidis, N.; Christou, P.; Topouzelis, N. The orthodontic-periodontic interrelationship in integrated treatment challenges: A systematic review. J. Oral Rehabil. 2010, 37, 377–390. [Google Scholar] [CrossRef] [PubMed]
- Graf, S.; Hansa, I. Clinical guidelines to integrate temporary anchorage devices for bone-borne orthodontic appliances in the digital workflow. APOS Trends Orthod. 2019, 9, 182–189. [Google Scholar] [CrossRef]





















Disclaimer/Publisher’s Note: The statements, opinions and data contained in all publications are solely those of the individual author(s) and contributor(s) and not of MDPI and/or the editor(s). MDPI and/or the editor(s) disclaim responsibility for any injury to people or property resulting from any ideas, methods, instructions or products referred to in the content. |
© 2023 by the authors. Licensee MDPI, Basel, Switzerland. This article is an open access article distributed under the terms and conditions of the Creative Commons Attribution (CC BY) license (https://creativecommons.org/licenses/by/4.0/).
Share and Cite
Ronsivalle, V.; Ruiz, F.; Lo Giudice, A.; Carli, E.; Venezia, P.; Isola, G.; Leonardi, R.; Mummolo, S. From Reverse Engineering Software to CAD-CAM Systems: How Digital Environment Has Influenced the Clinical Applications in Modern Dentistry and Orthodontics. Appl. Sci. 2023, 13, 4986. https://doi.org/10.3390/app13084986
Ronsivalle V, Ruiz F, Lo Giudice A, Carli E, Venezia P, Isola G, Leonardi R, Mummolo S. From Reverse Engineering Software to CAD-CAM Systems: How Digital Environment Has Influenced the Clinical Applications in Modern Dentistry and Orthodontics. Applied Sciences. 2023; 13(8):4986. https://doi.org/10.3390/app13084986
Chicago/Turabian StyleRonsivalle, Vincenzo, Ferdinando Ruiz, Antonino Lo Giudice, Elisabetta Carli, Pietro Venezia, Gaetano Isola, Rosalia Leonardi, and Stefano Mummolo. 2023. "From Reverse Engineering Software to CAD-CAM Systems: How Digital Environment Has Influenced the Clinical Applications in Modern Dentistry and Orthodontics" Applied Sciences 13, no. 8: 4986. https://doi.org/10.3390/app13084986
APA StyleRonsivalle, V., Ruiz, F., Lo Giudice, A., Carli, E., Venezia, P., Isola, G., Leonardi, R., & Mummolo, S. (2023). From Reverse Engineering Software to CAD-CAM Systems: How Digital Environment Has Influenced the Clinical Applications in Modern Dentistry and Orthodontics. Applied Sciences, 13(8), 4986. https://doi.org/10.3390/app13084986

