MIU-Net: MIX-Attention and Inception U-Net for Histopathology Image Nuclei Segmentation
Abstract
1. Introduction
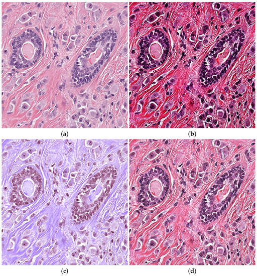
- The pre-processing part combined the advantages of various data enhancement to make the histopathology images clearer and higher contrast.
- A new network architecture is proposed, which has a certain robustness and efficiency while reducing parameters and maintaining good segmentation performance.
- The modules of the proposed architecture address challenges, focusing on a robust modified inception block and attention block that segment touching nuclei and accurately detecting nuclei with variable shapes.
2. Related Work
3. Methodology
3.1. Network Design
3.2. Convolution Stage
3.3. Modified Inception Stage
3.4. Attention Stage
4. Experimental Setup
4.1. Datasets
4.2. Implementation Details
4.3. Evaluation Metrics
5. Experimental Results and Discussion
6. Conclusions
Author Contributions
Funding
Institutional Review Board Statement
Informed Consent Statement
Data Availability Statement
Conflicts of Interest
References
- Wan, T.; Zhao, L.; Feng, H.; Li, D.; Tong, C.; Qin, Z. Robust nuclei segmentation in histopathology using ASPPU-Net and boundary refinement. Neurocomputing 2020, 408, 144–156. [Google Scholar] [CrossRef]
- Valanarasu, J.M.J.; Patel, V.M. UNeXt: MLP-based Rapid Medical Image Segmentation Network. arXiv 2022, arXiv:2203.04967. [Google Scholar]
- Szegedy, C.; Ioffe, S.; Vanhoucke, V.; Alemi, A.A. Inception-v4, inception-resnet and the impact of residual connections on learning. In Proceedings of the Thirty-First AAAI Conference on Artificial Intelligence, San Francisco, CA, USA, 4–9 February 2017. [Google Scholar]
- Li, X.; Jiang, Y.; Li, M.; Yin, S. Lightweight attention convolutional neural network for retinal vessel image segmentation. IEEE Trans. Ind. Inform. 2020, 17, 1958–1967. [Google Scholar] [CrossRef]
- Salvi, M.; Molinari, F. Multi-tissue and multi-scale approach for nuclei segmentation in H&E stained images. Biomed. Eng. Online 2018, 17, 1–13. [Google Scholar]
- Nguyen, L.; Tosun, A.B.; Fine, J.L.; Lee, A.V.; Taylor, D.L.; Chennubhotla, S.C. Spatial statistics for segmenting histological structures in H&E stained tissue images. IEEE Trans. Med. Imaging 2017, 36, 1522–1532. [Google Scholar]
- Mouelhi, A.; Rmili, H.; Ali, J.B.; Sayadi, M.; Doghri, R.; Mrad, K. Fast unsupervised nuclear segmentation and classification scheme for automatic allred cancer scoring in immunohistochemical breast tissue images. Comput. Methods Programs Biomed. 2018, 165, 37–51. [Google Scholar] [CrossRef]
- Taheri, S.; Fevens, T.; Bui, T.D. Robust nuclei segmentation in cyto-histopathological images using statistical level set approach with topology preserving constraint. In Medical Imaging 2017: Image Processing; SPIE: Bellingham, WA, USA, 2017; Volume 10133, pp. 353–361. [Google Scholar]
- Petushi, S.; Garcia, F.U.; Haber, M.M.; Katsinis, C.; Tozeren, A. Large-scale computations on histology images reveal grade-differentiating parameters for breast cancer. BMC Med. Imaging 2006, 6, 14. [Google Scholar] [CrossRef]
- Veta, M.; Van Diest, P.J.; Kornegoor, R.; Huisman, A.; Viergever, M.A.; Pluim, J.P. Automatic nuclei segmentation in H&E stained breast cancer histopathology images. PLoS ONE 2013, 8, e70221. [Google Scholar]
- Naik, S.; Doyle, S.; Agner, S.; Madabhushi, A.; Feldman, M.; Tomaszewski, J. Automated gland and nuclei segmentation for grading of prostate and breast cancer histopathology. In Proceedings of the 2008 5th IEEE International Symposium on Biomedical Imaging: From Nano to Macro, Paris, France, 14–17 May 2008; pp. 284–287. [Google Scholar]
- Bai, X.; Sun, C.; Sun, C. Cell segmentation based on FOPSO combined with shape information improved intuitionistic FCM. IEEE J. Biomed. Health Inform. 2018, 23, 449–459. [Google Scholar] [CrossRef]
- Kost, H.; Homeyer, A.; Molin, J.; Lundström, C.; Hahn, H.K. Training nuclei detection algorithms with simple annotations. J. Pathol. Inform. 2017, 8, 21. [Google Scholar] [CrossRef]
- Ronneberger, O.; Fischer, P.; Brox, T. U-net: Convolutional networks for biomedical image segmentation. In Proceedings of the International Conference on Medical Image Computing and Computer-Assisted Intervention, Munich, Germany, 5–9 October 2015; pp. 234–241. [Google Scholar]
- Zhou, Z.; Rahman Siddiquee, M.M.; Tajbakhsh, N.; Liang, J. Unet++: A nested u-net architecture for medical image segmentation. In Deep Learning In Medical Image Analysis and Multimodal Learning for Clinical Decision Support; Springer: Berlin/Heidelberg, Germany, 2018; pp. 3–11. [Google Scholar]
- Hu, J.; Shen, L.; Sun, G. Squeeze-and-excitation networks. In Proceedings of the IEEE Conference on Computer Vision and Pattern Recognition, Salt Lake City, UT, USA, 18–23 June 2018; pp. 7132–7141. [Google Scholar]
- Jaderberg, M.; Simonyan, K.; Zisserman, A.; Kavukcuoglu, K. Spatial transformer networks. Adv. Neural Inf. Process. Syst. 2015, 28. [Google Scholar] [CrossRef]
- Oktay, O.; Schlemper, J.; Folgoc, L.L.; Lee, M.; Heinrich, M.; Misawa, K.; Mori, K.; McDonagh, S.; Hammerla, N.Y.; Kainz, B.; et al. Attention u-net: Learning where to look for the pancreas. arXiv 2018, arXiv:1804.03999. [Google Scholar]
- Alom, M.Z.; Hasan, M.; Yakopcic, C.; Taha, T.M.; Asari, V.K. Recurrent residual convolutional neural network based on u-net (r2u-net) for medical image segmentation. arXiv 2018, arXiv:1802.06955. [Google Scholar]
- Qin, X.; Zhang, Z.; Huang, C.; Dehghan, M.; Zaiane, O.R.; Jagersand, M. U2-Net: Going deeper with nested U-structure for salient object detection. Pattern Recognit. 2020, 106, 107404. [Google Scholar] [CrossRef]
- Gu, Z.; Cheng, J.; Fu, H.; Zhou, K.; Hao, H.; Zhao, Y.; Zhang, T.; Gao, S.; Liu, J. Ce-net: Context encoder network for 2d medical image segmentation. IEEE Trans. Med. Imaging 2019, 38, 2281–2292. [Google Scholar] [CrossRef] [PubMed]
- Graham, S.; Vu, Q.D.; Raza, S.E.A.; Azam, A.; Tsang, Y.W.; Kwak, J.T.; Rajpoot, N. Hover-net: Simultaneous segmentation and classification of nuclei in multi-tissue histology images. Med. Image Anal. 2019, 58, 101563. [Google Scholar] [CrossRef] [PubMed]
- Chen, H.; Qi, X.; Yu, L.; Dou, Q.; Qin, J.; Heng, P.A. DCAN: Deep contour-aware networks for object instance segmentation from histology images. Med. Image Anal. 2017, 36, 135–146. [Google Scholar] [CrossRef]
- Li, X.; Jiang, Y.; Liu, Y.; Zhang, J.; Yin, S.; Luo, H. RAGCN: Region Aggregation Graph Convolutional Network for Bone Age Assessment From X-Ray Images. IEEE Trans. Instrum. Meas. 2022, 71, 4006412. [Google Scholar] [CrossRef]
- Li, X.; Jiang, Y.; Zhang, J.; Li, M.; Luo, H.; Yin, S. Lesion-attention pyramid network for diabetic retinopathy grading. Artif. Intell. Med. 2022, 126, 102259. [Google Scholar] [CrossRef]
- Li, X.; Jiang, Y.; Li, M.; Zhang, J.; Yin, S.; Luo, H. MSFR-Net: Multi-modality and single-modality feature recalibration network for brain tumor segmentation. Med. Phys. 2022. [Google Scholar] [CrossRef]
- Kumar, N.; Verma, R.; Sharma, S.; Bhargava, S.; Vahadane, A.; Sethi, A. A dataset and a technique for generalized nuclear segmentation for computational pathology. IEEE Trans. Med. Imaging 2017, 36, 1550–1560. [Google Scholar] [CrossRef] [PubMed]
- Azzuni, H.; Ridzuan, M.; Xu, M.; Yaqub, M. Color Space-based HoVer-Net for Nuclei Instance Segmentation and Classification. arXiv 2022, arXiv:2203.01940. [Google Scholar]
- Yıldırım, Z.; Hançer, E.; Samet, R.; Mali, M.T.; Nemati, N. Effect of Color Normalization on Nuclei Segmentation Problem in H&E Stained Histopathology Images. In Proceedings of the 2022 30th Signal Processing and Communications Applications Conference (SIU), Safranbolu, Turkey, 15–18 May 2022; pp. 1–4. [Google Scholar]
- Wang, H.; Xie, S.; Lin, L.; Iwamoto, Y.; Han, X.H.; Chen, Y.W.; Tong, R. Mixed transformer u-net for medical image segmentation. In Proceedings of the ICASSP 2022–2022 IEEE International Conference on Acoustics, Speech and Signal Processing (ICASSP), Singapore, 23–27 May 2022; pp. 2390–2394. [Google Scholar]
- Bu, Z. Multi-structure segmentation for renal cancer treatment with modified nn-UNet. arXiv 2022, arXiv:2208.05241. [Google Scholar]
- Chen, J.; Lu, Y.; Yu, Q.; Luo, X.; Adeli, E.; Wang, Y.; Lu, L.; Yuille, A.L.; Zhou, Y. Transunet: Transformers make strong encoders for medical image segmentation. arXiv 2021, arXiv:2102.04306. [Google Scholar]
- Valanarasu, J.M.J.; Oza, P.; Hacihaliloglu, I.; Patel, V.M. Medical transformer: Gated axial-attention for medical image segmentation. In Proceedings of the International Conference on Medical Image Computing and Computer-Assisted Intervention, Strasbourg, France, 27 September–1 October 2021; pp. 36–46. [Google Scholar]
- Wang, W.; Chen, C.; Ding, M.; Yu, H.; Zha, S.; Li, J. Transbts: Multimodal brain tumor segmentation using transformer. In Proceedings of the International Conference on Medical Image Computing and Computer-Assisted Intervention, Strasbourg, France, 27 September–1 October 2021; pp. 109–119. [Google Scholar]








| Parameters | Threshold | Learning Rate | Momentum | Batch Size | Epochs |
|---|---|---|---|---|---|
| 0.5 | 1 × | 0.9 | 3 | 120 |
| Network | DSC | HD | Params | AUC |
|---|---|---|---|---|
| Ronneberger [14] | 0.758 | 47.8 | 32.95 | 0.78 |
| Zhou [15] | 0.767 | 48.0 | 34.96 | 0.87 |
| Oktay [18] | 0.812 | 50.1 | 33.29 | 0.87 |
| Alom [19] | 0.787 | 49.1 | 97.28 | 0.89 |
| Proposed | 0.821 | 51.0 | 45.26 | 0.92 |
| Network | DSC | HD | AUC |
|---|---|---|---|
| Baseline | 0.757 | 47.8 | 0.78 |
| U-net + MIS | 0.801 | 49.1 | 0.89 |
| U-net + AS | 0.812 | 50.3 | 0.88 |
| MIU-net | 0.821 | 51.0 | 0.92 |
Disclaimer/Publisher’s Note: The statements, opinions and data contained in all publications are solely those of the individual author(s) and contributor(s) and not of MDPI and/or the editor(s). MDPI and/or the editor(s) disclaim responsibility for any injury to people or property resulting from any ideas, methods, instructions or products referred to in the content. |
© 2023 by the authors. Licensee MDPI, Basel, Switzerland. This article is an open access article distributed under the terms and conditions of the Creative Commons Attribution (CC BY) license (https://creativecommons.org/licenses/by/4.0/).
Share and Cite
Li, J.; Li, X. MIU-Net: MIX-Attention and Inception U-Net for Histopathology Image Nuclei Segmentation. Appl. Sci. 2023, 13, 4842. https://doi.org/10.3390/app13084842
Li J, Li X. MIU-Net: MIX-Attention and Inception U-Net for Histopathology Image Nuclei Segmentation. Applied Sciences. 2023; 13(8):4842. https://doi.org/10.3390/app13084842
Chicago/Turabian StyleLi, Jiangqi, and Xiang Li. 2023. "MIU-Net: MIX-Attention and Inception U-Net for Histopathology Image Nuclei Segmentation" Applied Sciences 13, no. 8: 4842. https://doi.org/10.3390/app13084842
APA StyleLi, J., & Li, X. (2023). MIU-Net: MIX-Attention and Inception U-Net for Histopathology Image Nuclei Segmentation. Applied Sciences, 13(8), 4842. https://doi.org/10.3390/app13084842
