Bone Cut Accuracy in Total Knee Arthroplasty: Do Conventional Cutting Guides Stay True to the Planned Coronal Orientation of the Components?
Abstract
Featured Application
Abstract
1. Introduction
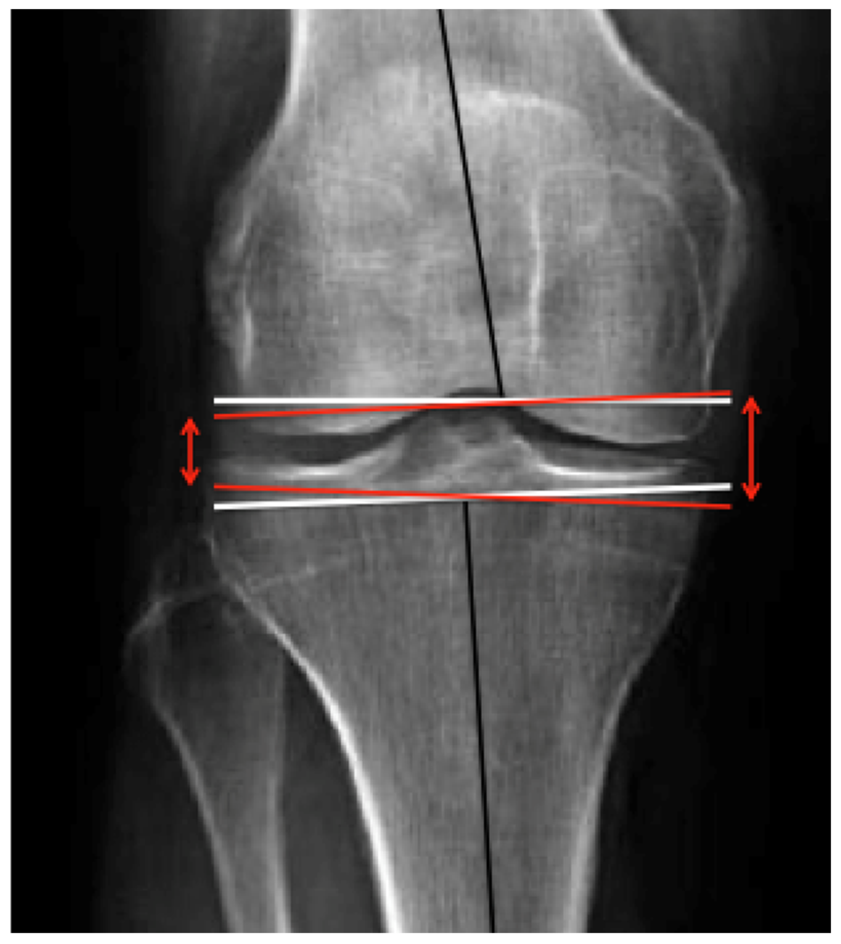
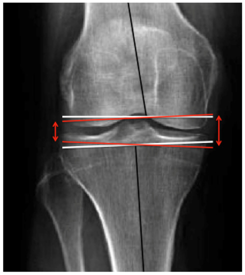
2. Materials and Methods
3. Results
4. Discussion
5. Conclusions
Author Contributions
Funding
Institutional Review Board Statement
Informed Consent Statement
Data Availability Statement
Acknowledgments
Conflicts of Interest
References
- Mellion, K.M.; Grover, B.T. Obesity, Bariatric Surgery, and Hip/Knee Arthroplasty Outcomes. Surg. Clin. N. Am. 2021, 101, 295–305. [Google Scholar] [CrossRef]
- Maccagnano, G.; Pesce, V.; Noia, G.; Coviello, M.; Vicenti, G.; Vitiello, R.; Ziranu, A.; Spinarelli, A.; Moretti, B. The Effects of a New Protocol on Blood Loss in Total Knee Arthroplasty. Orthop. Rev. 2022, 14, 37625. [Google Scholar] [CrossRef]
- Dunbar, M.J.; Gross, M. Critical Steps in Total Knee Arthroplasty. A Method of Analyzing Operative Procedures. Int. Orthop. 1995, 19, 265–268. [Google Scholar] [CrossRef]
- Benazzo, F.; Jannelli, E.; Ivone, A.; Formagnana, M.; Rossi, S.M.; Ghiara, M.; Danesino, G.; Mosconi, M. Knee Arthroplasty System with Medialized Keel: Seven-Year Follow-up of a Pioneer Cohort. Knee 2020, 27, 624–632. [Google Scholar] [CrossRef]
- Thiele, K.; Perka, C.; Matziolis, G.; Mayr, H.O.; Sostheim, M.; Hube, R. Current Failure Mechanisms after Knee Arthroplasty Have Changed: Polyethylene Wear Is Less Common in Revision Surgery. J. Bone Jt. Surg. Am. 2015, 97, 715–720. [Google Scholar] [CrossRef]
- Sparmann, M.; Wolke, B.; Czupalla, H.; Banzer, D.; Zink, A. Positioning of Total Knee Arthroplasty with and without Navigation Support. A Prospective, Randomised Study. J. Bone Jt. Surg. Br. 2003, 85, 830–835. [Google Scholar] [CrossRef]
- Ritter, M.A.; Davis, K.E.; Meding, J.B.; Pierson, J.L.; Berend, M.E.; Malinzak, R.A. The Effect of Alignment and BMI on Failure of Total Knee Replacement. J. Bone Jt. Surg. Am. 2011, 93, 1588–1596. [Google Scholar] [CrossRef]
- Hohmann, E.; Tetsworth, K. Do Manual Cutting Guides for Total Knee Arthroplasty Introduce Systematic Error? Int. Orthop. 2016, 40, 277–284. [Google Scholar] [CrossRef]
- Rosenberger, R.E.; Hoser, C.; Quirbach, S.; Attal, R.; Hennerbichler, A.; Fink, C. Improved Accuracy of Component Alignment with the Implementation of Image-Free Navigation in Total Knee Arthroplasty. Knee Surg. Sport Traumatol. Arthrosc. 2008, 16, 249–257. [Google Scholar] [CrossRef]
- Bolognesi, M.; Hofmann, A. Computer Navigation versus Standard Instrumentation for TKA: A Single-Surgeon Experience. Clin. Orthop. Relat. Res. 2005, 440, 162–169. [Google Scholar] [CrossRef]
- Leeuwen, J.A.M.J.; van Grøgaard, B.; Nordsletten, L.; Röhrl, S.M. Comparison of Planned and Achieved Implant Position in Total Knee Arthroplasty with Patient-Specific Positioning Guides. Acta Orthop. 2015, 86, 201–207. [Google Scholar] [CrossRef]
- Mullaji, A.; Sharma, A.; Marawar, S.; Kanna, R. Quantification of Effect of Sequential Posteromedial Release on Flexion and Extension Gaps: A Computer-Assisted Study in Cadaveric Knees. J. Arthroplast. 2009, 24, 795–805. [Google Scholar] [CrossRef]
- Haaker, R.G.; Stockheim, M.; Kamp, M.; Proff, G.; Breitenfelder, J.; Ottersbach, A. Computer-Assisted Navigation Increases Precision of Component Placement in Total Knee Arthroplasty. Clin. Orthop. Relat. Res. 2005, 433, 152–159. [Google Scholar] [CrossRef]
- Abane, L.; Anract, P.; Boisgard, S.; Descamps, S.; Courpied, J.P.; Hamadouche, M. A Comparison of Patient-Specific and Conventional Instrumentation for Total Knee Arthroplasty: A Multicentre Randomised Controlled Trial. Bone Jt. J. 2015, 97, 56–63. [Google Scholar] [CrossRef]
- Davis, J.A.; Hogan, C.; Dayton, M. Postoperative Coronal Alignment after Total Knee Arthroplasty: Does Tailoring the Femoral Valgus Cut Angle Really Matter? J. Arthroplast. 2015, 30, 1444–1448. [Google Scholar] [CrossRef]
- Kellgren, J.H.; Lawrence, J.S. Radiological Assessment of Osteo-Arthrosis. Ann. Rheum. Dis. 1957, 16, 494–502. [Google Scholar] [CrossRef]
- Marques Luís, N.; Varatojo, R. Radiological Assessment of Lower Limb Alignment. EFORT Open Rev. 2021, 6, 487–494. [Google Scholar] [CrossRef]
- Bonner, T.J.; Eardley, W.G.P.; Patterson, P.; Gregg, P.J. The Effect of Post-Operative Mechanical Axis Alignment on the Survival of Primary Total Knee Replacements after a Follow-up of 15 Years. J. Bone Jt. Surg. Br. 2011, 93, 1217–1222. [Google Scholar] [CrossRef]
- Parratte, S.; Pagnano, M.W.; Trousdale, R.T.; Berry, D.J. Effect of Postoperative Mechanical Axis Alignment on the Fifteen-Year Survival of Modern, Cemented Total Knee Replacements. J. Bone Jt. Surg. Am. 2010, 92, 2143–2149. [Google Scholar] [CrossRef]
- Pornrattanamaneewong, C.; Ruangsomboon, P.; Wingprawat, K.; Chareancholvanich, K.; Narkbunnam, R. Accuracy of Empirical Distal Femoral Valgus Cut Angle of 4° to 6° in Total Knee Arthroplasty: A Randomized Controlled Trial. Eur. J. Orthop. Surg. Traumatol. 2022, 32, 175–181. [Google Scholar] [CrossRef]
- Kim, J.-M.; Hong, S.-H.; Kim, J.-M.; Lee, B.-S.; Kim, D.-E.; Kim, K.-A.; Bin, S.-I. Femoral Shaft Bowing in the Coronal Plane Has More Significant Effect on the Coronal Alignment of TKA than Proximal or Distal Variations of Femoral Shape. Knee Surg. Sport Traumatol. Arthrosc. 2015, 23, 1936–1942. [Google Scholar] [CrossRef]
- Ko, D.O.; Lee, S.; Kim, K.T.; Lee, J.I.; Kim, J.W.; Yi, S.M. Cement Mantle Thickness at the Bone Cement Interface in Total Knee Arthroplasty: Comparison of PS150 RP and LPS-Flex Knee Implants. Knee Surg. Relat. Res. 2017, 29, 115–121. [Google Scholar] [CrossRef] [PubMed]
- Li, G.; Passias, P.; Kozanek, M.; Shannon, B.D.; Li, G.; Villamil, F.; Bono, C.M.; Harris, M.; Wood, K.B. Interobserver Reliability and Intraobserver Reproducibility of Powers Ratio for Assessment of Atlanto-Occipital Junction: Comparison of Plain Radiography and Computed Tomography. Eur. Spine J. 2009, 18, 577–582. [Google Scholar] [CrossRef]
- Bowman, A.; Shunmugam, M.; Watts, A.R.; Bramwell, D.C.; Wilson, C.; Krishnan, J. Inter-Observer and Intra-Observer Reliability of Mechanical Axis Alignment before and after Total Knee Arthroplasty Using Long Leg Radiographs. Knee 2016, 23, 203–208. [Google Scholar] [CrossRef] [PubMed]
- Boonen, B.; Schotanus, M.G.M.; Kerens, B.; Hulsmans, F.-J.; Tuinebreijer, W.E.; Kort, N.P. Patient-Specific Positioning Guides for Total Knee Arthroplasty: No Significant Difference between Final Component Alignment and Pre-Operative Digital Plan except for Tibial Rotation. Knee Surg. Sports Traumatol. Arthrosc. 2017, 25, 2809–2817. [Google Scholar] [CrossRef]
- Cooke, T.D.V.; Sled, E.A. Optimizing Limb Position for Measuring Knee Anatomical Axis Alignment from Standing Knee Radiographs. J. Rheumatol. 2009, 36, 472–477. [Google Scholar] [CrossRef] [PubMed]
- Jamali, A.A.; Meehan, J.P.; Moroski, N.M.; Anderson, M.J.; Lamba, R.; Parise, C. Do Small Changes in Rotation Affect Measurements of Lower Extremity Limb Alignment? J. Orthop. Surg. Res. 2017, 12, 77. [Google Scholar] [CrossRef]
- Yoo, J.-H.; Oh, H.-C.; Park, S.-H.; Kim, J.-K.; Kim, S.-H. Does Obesity Affect Clinical and Radiological Outcomes in Minimally Invasive Total Knee Arthroplasty? Minimum 5-Year Follow-up of Minimally Invasive TKA in Obese Patients. Clin. Orthop. Surg. 2018, 10, 315–321. [Google Scholar] [CrossRef]
- Shetty, G.M.; Mullaji, A.B.; Bhayde, S.; Lingaraju, A.P. No Effect of Obesity on Limb and Component Alignment after Computer-Assisted Total Knee Arthroplasty. Knee 2014, 21, 862–865. [Google Scholar] [CrossRef]
- León-Muñoz, V.J.; López-López, M.; Lisón-Almagro, A.J.; Martínez-Martínez, F.; Santonja-Medina, F. Computed Tomography-Based Patient-Specific Instrumentation Loses Accuracy with Significant Varus Preoperative Misalignment. J. Knee Surg. 2020, 35, 574–582. [Google Scholar] [CrossRef] [PubMed]
- Seon, J.-K.; Park, H.-W.; Yoo, S.-H.; Song, E.-K. Assessing the Accuracy of Patient-Specific Guides for Total Knee Arthroplasty. Knee Surg. Sports Traumatol. Arthrosc. 2016, 24, 3678–3683. [Google Scholar] [CrossRef]
- Levy, Y.D.; An, V.V.G.; Shean, C.J.W.; Groen, F.R.; Walker, P.M.; Bruce, W.J.M. The Accuracy of Bony Resection from Patient-Specific Guides during Total Knee Arthroplasty. Knee Surg. Sports Traumatol. Arthrosc. 2017, 25, 1678–1685. [Google Scholar] [CrossRef] [PubMed]
- Chareancholvanich, K.; Narkbunnam, R.; Pornrattanamaneewong, C. A Prospective Randomised Controlled Study of Patient-Specific Cutting Guides Compared with Conventional Instrumentation in Total Knee Replacement. Bone Jt. J. 2013, 95, 354–359. [Google Scholar] [CrossRef] [PubMed]
- Ulivi, M.; Orlandini, L.C.; Meroni, V.; Castoldi, D.; Lombardo, M.D.M.; Peretti, G.M. Intraoperative Validation of Bone Cut Accuracy of a Pinless Smart Touch-Screen Navigation System Device in Total Knee Arthroplasty. Int. J. Med. Robot. 2019, 15, e2030. [Google Scholar] [CrossRef] [PubMed]
- Goh, G.S.-H.; Liow, M.H.L.; Tay, D.K.-J.; Lo, N.-N.; Yeo, S.-J.; Tan, M.-H. Accelerometer-Based and Computer-Assisted Navigation in Total Knee Arthroplasty: A Reduction in Mechanical Axis Outliers Does Not Lead to Improvement in Functional Outcomes or Quality of Life When Compared to Conventional Total Knee Arthroplasty. J. Arthroplast. 2018, 33, 379–385. [Google Scholar] [CrossRef]
- Parratte, S.; Price, A.J.; Jeys, L.M.; Jackson, W.F.; Clarke, H.D. Accuracy of a New Robotically Assisted Technique for Total Knee Arthroplasty: A Cadaveric Study. J. Arthroplast. 2019, 34, 2799–2803. [Google Scholar] [CrossRef] [PubMed]
- Hampp, E.L.; Chughtai, M.; Scholl, L.Y.; Sodhi, N.; Bhowmik-Stoker, M.; Jacofsky, D.J.; Mont, M.A. Robotic-Arm Assisted Total Knee Arthroplasty Demonstrated Greater Accuracy and Precision to Plan Compared with Manual Techniques. J. Knee Surg. 2019, 32, 239–250. [Google Scholar] [CrossRef]
- Sires, J.D.; Craik, J.D.; Wilson, C.J. Accuracy of Bone Resection in MAKO Total Knee Robotic-Assisted Surgery. J. Knee Surg. 2021, 34, 745–748. [Google Scholar] [CrossRef]
- Bouché, P.-A.; Corsia, S.; Dechartres, A.; Resche-Rigon, M.; Nizard, R. Are There Differences in Accuracy or Outcomes Scores Among Navigated, Robotic, Patient-Specific Instruments or Standard Cutting Guides in TKA? A Network Meta-Analysis. Clin. Orthop. Relat. Res. 2020, 478, 2105–2116. [Google Scholar] [CrossRef]

| Femoral Cut | Tibial Cut | |||||||||
|---|---|---|---|---|---|---|---|---|---|---|
| Group | n | Mean | SD | p-Value | Group | n | Mean | SD | p-Value | |
| Age | <65 | 34 | 1.96 | 1.55 | 0.76 | <65 | 34 | 0.60 | 2.91 | 0.18 |
| 65–79 | 194 | 1.83 | 1.53 | 65–79 | 194 | 1.38 | 2.15 | |||
| >79 | 112 | 1.98 | 1.62 | >79 | 112 | 1.34 | 2.11 | |||
| Laterality | Left | 167 | 1.92 | 1.42 | 0.36 | Left | 167 | 1.10 | 2.18 | 0.09 |
| Right | 173 | 1.86 | 1.68 | Right | 173 | 1.51 | 2.28 | |||
| Gender | Male | 76 | 1.77 | 1.40 | 0.61 | Male | 76 | 1.27 | 2.70 | 0.84 |
| Female | 264 | 1.93 | 1.60 | Female | 264 | 1.32 | 2.10 | |||
| Constraint | PS | 322 | 1.90 | 1.55 | 0.65 | PS | 322 | 1.31 | 2.25 | 0.81 |
| CR | 18 | 1.76 | 1.64 | CR | 18 | 1.44 | 2.09 | |||
| Prosthesis | NexGen | 60 | 2 | 1.42 | 0.71 | NexGen | 60 | 1.33 | 2.24 | 0.48 |
| Triathlon | 134 | 1.82 | 1.57 | Triathlon | 134 | 1.30 | 2.15 | |||
| U2 | 42 | 1.80 | 1.54 | U2 | 42 | 1.78 | 2.20 | |||
| Genutech | 104 | 1.97 | 1.62 | Genutech | 104 | 1.13 | 2.37 | |||
| Surgeon | 1 | 85 | 1.77 | 1.31 | 0.45 | 1 | 85 | 1.27 | 2.09 | 0.08 |
| 2 | 122 | 1.89 | 1.40 | 2 | 122 | 1.76 | 2.04 | |||
| 3 | 56 | 1.86 | 1.59 | 3 | 56 | 1.08 | 1.99 | |||
| 4 | 77 | 1.63 | 1.33 | 4 | 77 | 1.03 | 2.36 | |||
| Femoral Cut | Tibial Cut | |||||||||
|---|---|---|---|---|---|---|---|---|---|---|
| Group | n | Mean | SD | p-Value | Group | n | Mean | SD | p-Value | |
| BMI | <25 | 29 | 1.58 | 1.45 | 0.21 | <25 | 29 | 0.96 | 2.11 | 0.12 |
| >25–<30 | 114 | 1.75 | 1.56 | >25–<30 | 114 | 1.33 | 1.93 | |||
| >30–<35 | 111 | 1.92 | 1.49 | >30–<35 | 111 | 1.37 | 2.39 | |||
| >35 | 86 | 2.15 | 1.65 | >35 | 86 | 1.93 | 2.38 | |||
| Preoperative alignment | <160° | 7 | 1.14 | 0.89 | 0.22 | <160° | 7 | 2 | 1.33 | 0.18 |
| 160–165° | 16 | 2.56 | 2.63 | 160–165° | 16 | 0.86 | 2.55 | |||
| 165–170° | 57 | 2 | 1.30 | 165–170° | 57 | 1.05 | 2.20 | |||
| 170–175° | 151 | 1.74 | 1.56 | 170–175° | 151 | 1.26 | 2.17 | |||
| 175–180° | 109 | 2 | 1.48 | 175–180° | 109 | 1.48 | 2.33 | |||
Disclaimer/Publisher’s Note: The statements, opinions and data contained in all publications are solely those of the individual author(s) and contributor(s) and not of MDPI and/or the editor(s). MDPI and/or the editor(s) disclaim responsibility for any injury to people or property resulting from any ideas, methods, instructions or products referred to in the content. |
© 2023 by the authors. Licensee MDPI, Basel, Switzerland. This article is an open access article distributed under the terms and conditions of the Creative Commons Attribution (CC BY) license (https://creativecommons.org/licenses/by/4.0/).
Share and Cite
Leal-Blanquet, J.; Hinarejos, P.; Gimenez-Valero, E.; Torres-Claramunt, R.; Sánchez-Soler, J.; Erquicia, J.; Gil-González, S.; Zumel-Marne, A.; Monllau, J.C. Bone Cut Accuracy in Total Knee Arthroplasty: Do Conventional Cutting Guides Stay True to the Planned Coronal Orientation of the Components? Appl. Sci. 2023, 13, 4000. https://doi.org/10.3390/app13064000
Leal-Blanquet J, Hinarejos P, Gimenez-Valero E, Torres-Claramunt R, Sánchez-Soler J, Erquicia J, Gil-González S, Zumel-Marne A, Monllau JC. Bone Cut Accuracy in Total Knee Arthroplasty: Do Conventional Cutting Guides Stay True to the Planned Coronal Orientation of the Components? Applied Sciences. 2023; 13(6):4000. https://doi.org/10.3390/app13064000
Chicago/Turabian StyleLeal-Blanquet, Joan, Pedro Hinarejos, Elisenda Gimenez-Valero, Raul Torres-Claramunt, Juan Sánchez-Soler, Juan Erquicia, Sergi Gil-González, Angela Zumel-Marne, and Juan Carlos Monllau. 2023. "Bone Cut Accuracy in Total Knee Arthroplasty: Do Conventional Cutting Guides Stay True to the Planned Coronal Orientation of the Components?" Applied Sciences 13, no. 6: 4000. https://doi.org/10.3390/app13064000
APA StyleLeal-Blanquet, J., Hinarejos, P., Gimenez-Valero, E., Torres-Claramunt, R., Sánchez-Soler, J., Erquicia, J., Gil-González, S., Zumel-Marne, A., & Monllau, J. C. (2023). Bone Cut Accuracy in Total Knee Arthroplasty: Do Conventional Cutting Guides Stay True to the Planned Coronal Orientation of the Components? Applied Sciences, 13(6), 4000. https://doi.org/10.3390/app13064000

