Next Article in Journal
Design of K-Band Power Amplifier with 180-Degree Phase- Shift Function Using Low-Power CMOS Process
Previous Article in Journal
Automatic Configuration of an Order as an Integral Part of a Cyber-Physical System in a Manufacturing Operating According to Mass-Customisation Strategy
Previous Article in Special Issue
Bone Modifications Induced by Rapid Maxillary Expander: A Three-Dimensional Cephalometric Pilot Study Comparing Two Different Cephalometric Software Programs
 
 
Font Type:
Arial Georgia Verdana
Font Size:
Aa Aa Aa
Line Spacing:
Column Width:
Background:
Article

The Loop-Mediated Isothermal Amplification for the Rapid Detection of Porphyromonas Gingivalis

by
Marcin Lenkowski
1,*,†,
Kacper Nijakowski
1,*,†,
Patryk Woś
2,
Mariusz Kaczmarek
3,‡ and
Anna Surdacka
1,‡
1
Department of Conservative Dentistry and Endodontics, Poznan University of Medical Sciences, 60-812 Poznan, Poland
2
Student’s Scientific Group in Department of Conservative Dentistry and Endodontics, Poznan University of Medical Sciences, 60-812 Poznan, Poland
3
Department of Cancer Immunology, Poznan University of Medical Sciences, 61-866 Poznan, Poland
*
Authors to whom correspondence should be addressed.
These authors contributed equally to this work.
These authors contributed equally to this work as senior authors.
Appl. Sci. 2023, 13(4), 2500; https://doi.org/10.3390/app13042500
Submission received: 4 December 2022 / Revised: 10 February 2023 / Accepted: 14 February 2023 / Published: 15 February 2023
(This article belongs to the Special Issue Oral Medicine, Theory, Methods and Applications)

Abstract

Periodontitis is a highly prevalent oral disease occurring across the globe, resulting from an interaction of many predisposing factors. Our study aimed to determine some chosen periopathogens (Porphyromonas gingivalis, Fusobacterium nucleatum, Tannarella forsythia) using three different methods: loop-mediated isothermal amplification (LAMP), polymerase chain reaction (PCR) and real-time PCR (qPCR), and to compare their sensitivity and specificity. The study included 62 patients with diagnosed periodontitis. Gingival crevicular fluid was collected from all patients to take samples of bacterial DNA for the further laboratory molecular analyses. In comparison to the gold standard (qPCR), the best diagnostic quality parameters were achieved for LAMP using the TE buffer for the P. gingivalis determination. Therefore, the LAMP is an analytical technique that could be used to quickly assess the presence of periopathogens in an outpatient setting.

1. Introduction

Periodontitis is a widely spread disease across all of the population. It is considered to be the consequence of many factors affecting the periodontium. However, the most important factor is the influence of bacteria [1,2]. The progression of the disease is strictly determined by the host’s immune response to bacteria’s antigens. The response can vary depending on the individual and is associated with genetic and environmental factors [3]. The possible consequences of generalised periodontitis include loss of teeth or increased risk of cardiovascular diseases [4]. Multiple studies indicate that only several out of a few hundred known bacteria species that can be found in the oral cavity have the ability to influence clinical attachment loss [3,5]. Based on three transcriptomic studies, Nihil et al. concluded that germs previously not considered to be pathogenic can contribute to the development and intensity of periodontitis [3].
In everyday practice, dentists face the after-effects of periodontitis. Empirical antibiotic therapy is very often used, but it causes many unwanted side effects. Alternative therapies have been recently proposed. The use of probiotics and natural compounds have been tested in periodontal patients showing promising results [6,7]. However, antibiotic therapy is still considered the golden standard. In order to limit the potential danger resulting from antibiotics overuse, new diagnostic techniques are being developed [8,9,10]. These would allow us to detect various periopathogens on an outpatient basis. In recently conducted studies, the loop mediated isothermal amplification (LAMP) was used. It was pointed out as a technique allowing for fast, sensitive, and reliable detection of main pathogens responsible for acute and chronic periodontitis [11]. In order to verify the usefulness of the LAMP technique in periodontium studies, polymerase chain reaction (PCR) and Real-Time PCR (qPCR) was used. The latter is considered to be the golden standard in the diagnostics of periopathogens [12,13]. Recently, isothermal methods such as LAMP are constantly gaining popularity. LAMP, similarly to qPCR, is known to be highly sensitive and specific but stands out as a method with a much shorter execution time and much simpler equipment used to conduct the reaction. Therefore, it is less expensive [14,15,16].
Both types of polymerase chain reaction—PCR and qPCR—have been the main diagnostic tools for many years. PCR is a sensitive test, but it is prone to errors, which mainly result from the presence of inhibitors in the reaction environment [17]. Moreover, the necessity of owning highly advanced equipment often disqualifies it from being used on an outpatient basis [18]. QPCR is nowadays considered to be the basic method allowing for monitoring the reaction in a relatively short period of time by quantitative analysis of amplification products. Considering the diversity of qPCR reaction variants, this method can have different features. Using the nucleotide probes significantly increases the reaction’s sensitivity, whereas the availability, affordability, and easy access to the non-specific fluorescent dyes aids researchers in speeding up the overall process. This also applies in outdoor settings. The variant of qPCR that uses the fluorescent dye SYBR carries a risk of non-specific products—a result of starters’ dimerization appearing in higher quantities that can potentially decrease the credibility of the test [19]. Significant restrictions of the PCR and qPCR methods cause many scientific groups to seek alternative techniques.
Our study aimed to determine and compare the sensitivity and specificity of some chosen periopathogens (Porphyromonas gingivalis, Fusobacterium nucleatum, Tannarella forsythia) using three different methods: LAMP, PCR, and qPCR.

2. Materials and Methods

2.1. Patients Selection

The study included 62 adult patients from the Department of Conservative Dentistry and Endodontics with diagnosed periodontitis—24 males (38.71%) and 38 females (61.29%). Three patients were younger than 30 years (4.84%), 25 patients were 30–40 years (40.32%), and 34 patients were older than 40 years (54.84%). Fifty patients (80.65%) were diagnosed with a chronic disease, and 12 patients developed an aggressive form (19.35%). 23 patients were smokers (37.10%).
In the first phase, a clinical dental examination (May 2017 to September 2018) was conducted to qualify patients for periodontitis. The main criterion for the admission of patients to the study group was the diagnosis of chronic and aggressive periodontitis—the studies were initiated before the introduction of the new periodontal nomenclature, which is why the manuscript refers to periodontitis according to the old nomenclature.
The exclusion criteria for participants were as follows:
(1)
pregnancy—due to possible changes in the microbiological profile;
(2)
systemic disease—due to its effects on the immune response;
(3)
antibiotic therapy in the previous six months—due to altered microbiological profiles and effects on immune response.

2.2. Acquisition of Gingival Crevicular Fluid

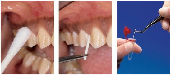
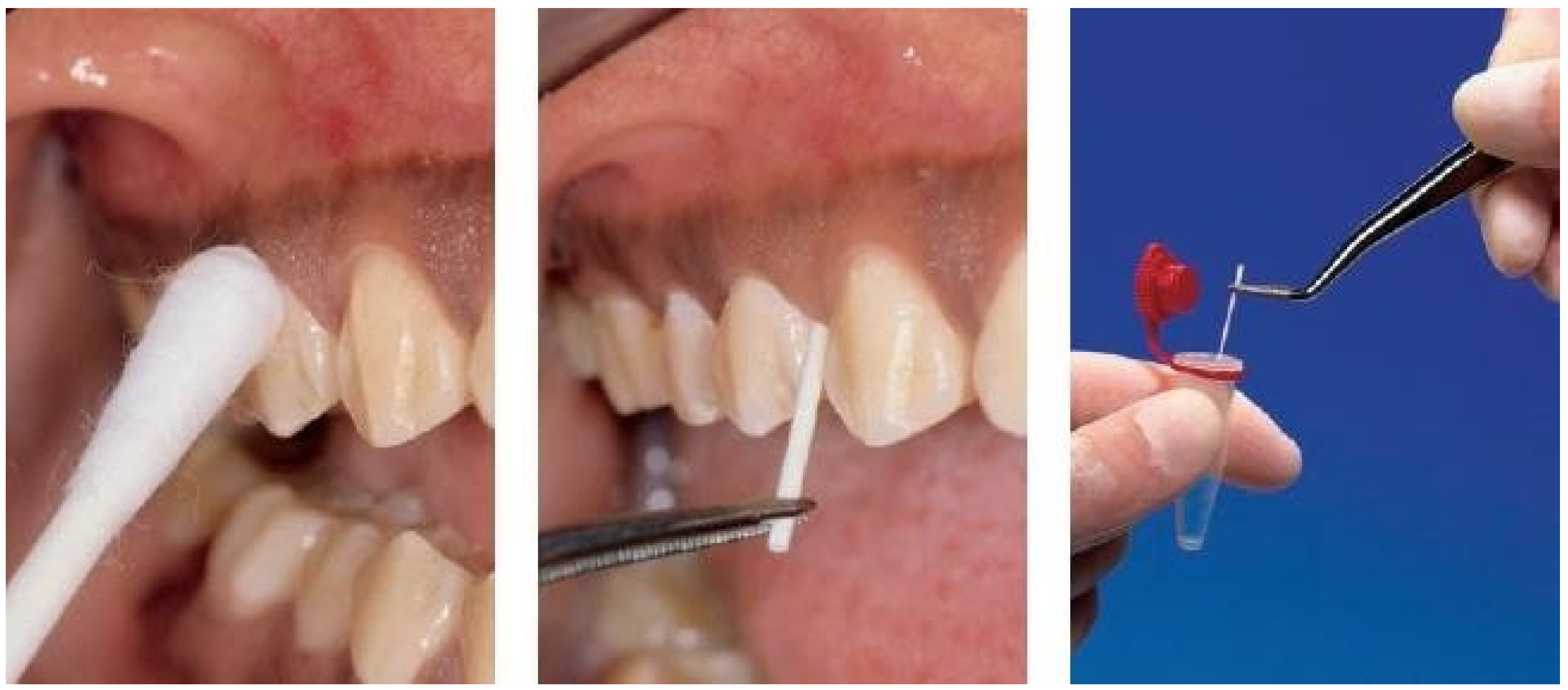
Gingival crevicular fluid was collected from all patients in the study to take samples of bacterial DNA. Sterile endodontic paper points (Caulk-Dentsply, Milford, CT, USA) were used to sample the appropriate amount. After isolating the recording site and removing the plaque for 10 s, they were inserted into the gingival fissure at 180° to the tooth surface (Figure 1) [20].
Samples were collected from an area of the periodontal pocket of 4 mm or more at four non-adjacent proximal sites after removal of supragingival deposits approximately 7 days prior to collection. If there was an acute inflammation (increased bleeding or purulent effusion), the sampling of the biological material was postponed.
Absorbent paper cones containing the extracted biological material were immediately placed in sterile Eppendorf tubes (1.5 mL) with 500 μL sterile saline solution or 250 μL Difast buffer (APA buffer) (Novazym, Poznan, Poland). Protected samples were stored at −20 °C until determination.

2.3. Isolation of Bacterial DNA in Saline

The isolation of genomic DNA from Gram (+) and Gram (−) bacteria, stored in saline solution, was performed using the Novabeads Bacterial DNA Preparation KIT (Novazym, Poznan, Poland). This method utilised synthetic composite magnetic beds that enabled selective detection of DNA and RNA. In the isolation process, specific buffers were also used to obtain a high-quality product. The buffer set included the STEL Buffer (a buffer for suspending bacterial cells), Lysis Buffer (lysis buffer), Binding Buffer (nucleic acid binding buffer), Pre-wash Buffer (pre-rinse buffer), Wash Buffer (proper rinse buffer), and TE Buffer (DNA elution buffer).
The DNA Isolation procedure was performed according to the protocol attached by the manufacturer to the kit. In the preliminary stage, before starting the isolation process, the magnetic bead particles were thoroughly mixed and left on the laboratory bench until it reached room temperature (RT). After thawing, test samples obtained from gingival crevices and gingival pockets containing bacteria (500 µL of saline solution) were added to 300 µL of lysis buffer, vigorously mixed for about 10 s at 10,000–12,000 rpm at RT, and incubated for 5 min at RT. After this time, 200 µL of Binding Buffer was added to the samples, and the mixture was vigorously mixed. Then, 25 μL of buffer containing magnetic bed particles was added, thoroughly mixed, and incubated for 5 min at RT. The mixtures prepared in this way, contained in 1.5 mL Eppendorf tubes, were placed in a magnetic stand. After separating the magnetic bed with the bound DNA from the mixture of particles by means of a magnet, the liquid fraction was discarded. DNA bound to the magnetic bed particles was purified with Pre-wash Buffer, Wash Buffer, and 80% ethanol, sequentially.
Finally, magnetic bed particles with bound DNA were resuspended in 50 µL of elution buffer (TE buffer) and incubated twice at 65 °C for 5 min with agitation at 800 rpm. The second incubation was in an open tube. After incubation was completed, the tubes were placed in a magnetic stand to separate the magnetic bed particles, and the bacterial DNA present in the liquid fraction was transferred to clean tubes. After the concentration was determined using a NanoDrop NP1000 spectrophotometer, DNA samples were stored at −20 °C for further analyses.

2.4. Isolation of Bacterial DNA in Difast Buffer

An alternative method of securing samples for the isolation of bacterial DNA from the tested material during the analyses was the use of the Difast (APA) buffer. This buffer was used to improve the DNA isolation process. Obtaining the optimal quality of the isolated DNA protected with the Difast buffer requires compliance with strictly defined isolation conditions, such as continuous mixing of the buffer during sampling and transfer of the genetic material to 2 mL rubber tubes, which are then transferred to a heating block maintaining the temperature of 95 °C.
In accordance with the procedure provided by the manufacturer, the isolation of bacterial DNA from samples secured with the Difast buffer consisted of transferring paper points (ISO 30) taken from gingival fissures or pockets of various depths to tubes containing 250 µL of buffer. Gram (+) bacteria were homogenised using glass beads with a diameter of 0.1 mm. The tubes were then placed in a heating block at 95–100 °C and incubated for 15 min while stirring at 1500 rpm. After incubation, the samples were allowed to cool for 15 min at RT, then mixed vigorously and centrifuged for 5 min at 10,000–12,000 rpm. Finally, the obtained supernatants were transferred to new tubes.
DNA isolated using this procedure can be used directly as templates for PCR reactions or stored temporarily at 2–8 °C. For long-term storage, samples are recommended to be stored at −20 °C; however, re-use requires a short incubation at 95 °C.

2.5. Detection of Tested Periodontal Pathogens

2.5.1. LAMP (Loop Mediated Isothermal Amplification)

The isothermal LAMP DNA amplification technique requires a set of four specially designed primers (F3, B3, an internal forward primer (FIP), and an internal reverse primer (BIP)) that recognise a total of six different template DNA sequences (F1, F2, F3, B1, B2, and B3).
During the determinations carried out with the LAMP technique, the following template sequences, characteristic of the tested periodontopathogens, were used:
(1)
P. gingivalis—chromosome, complete genome;
(2)
F. nucleatum—transcription termination/anti-termination protein (NusG);
(3)
T. forsythia—peptidylarginine deiminase.
The sequences of the primers used in the analysis were designed using the software Primer Explorer version 2.0 (Fujitsu Co., Ltd., Tokyo, Japan)—Table S1. Their specificity was initially verified using the BLAST software on the National Center for Biotechnology Information’s server (http://www.ncbi.nlm.nih.gov/) and then confirmed by an internal LAMP test. Reagents were manufactured at OptiGene Ltd. (Unit 5 Blatchford Road, Horsham, West Sussex, RH13 5QR, UK).
The LAMP isothermal amplification reactions were carried out in a volume of 10 μL with the use of the Isothermal Master Mix reagent kit (Novazym, Poznan, Poland) dedicated especially for this type of analysis. The reaction mixture contained GspSSD polymerase allowing rapid amplification, reaction buffer, thermostable inorganic pyrophosphatase, MgSO4, a mixture of nucleotides (dNTPs), a fluorescent dye (derivative of 6-carboxyfluorescein), and appropriate primers and tested DNA templates.
The amplification process was performed using a Rotor Gene thermal cycler (Qiagen, Hilden, Germany). The following cycle scheme was carried out: holding at 63 °C for 2 min, cycling at 63 °C for 10 s (cycle was repeated 90 times), and melting ramping from 65 to 98 °C, rising by 0.5 °C at each step. The bacterial DNA templates were subjected to a melting point ranging from 70 to 95 °C. The fluorescence measurement was performed with a temperature change in the range of 1.0 °C per minute. In order to verify the results, the detection of the relative fluorescence intensity and melting point values for individual strains was performed using the FAM Green fluorescence channel in the range of 470 nm (Figure S1).

2.5.2. PCR (Polymerase Chain Reaction)

PCR determinations were performed against template sequences characteristic of the tested periodontopathogens, such as in LAMP assay. The designing of the primers used in the PCR reactions was entrusted to the Novazym Poland Laboratory (http://novazym.pl/). The primers were designed based on reference sequences publicly available in the bioinformatics databases of NCBI (www.ncbi.nlm.nih.gov/) and GENATLAS (http://genatlas.medecine.univ-paris5.fr/)—Table S2. The following software was used for this purpose: Primer 3 (http://bioinfo.ut.ee/primer3-0.4.0/), NetPrimer (http://www.premierbiosoft.com/netprimer/), BLAST (https://blast.ncbi.nlm.nih.gov/Blast.cgi), and Oligo 7.0 (https://www.oligo.net/).
In order to optimise the thermal conditions of the reaction, temperature gradient PCR was performed. Annealing temperatures for individual primers were optimised using a Mastercycler Eppendorf Gradient thermal cycler (Eppendorf, Hamburg, Germany), which is equipped with a heating block to generate an appropriate temperature distribution. The gradient was made in the temperature range from 62 to 70 °C. As a control template, a mixture of the genomic DNA of bacteria from gingival fluids collected from patients with a previously confirmed presence of the tested pathogens was used.
DNA amplification reactions by PCR were carried out in a volume of 20 µL using the Allegro Taq DNA Polymerase reagent kit (Novazym, Poznan, Poland). The process was initiated by maintaining the samples at 95 °C for 5 min, the second stage consisted of 3 cycles, which was repeated 40 times. Cycle 1–95 °C for 30 s, cycle 2–60 °C for 30 s, and cycle 3–72 °C for 30 s. The reaction products were evaluated by electrophoresis in a 2% agarose gel containing ethidium bromide at a concentration of 0.5 µg/mL. The electrophoresis process was carried out at constant voltage (200 V) and current (500 mA) for about 20 min in a 1×TBE (10%) buffer. Control and verification of the products was carried out after the end of electrophoresis on a transilluminator in UV light against the mass marker Nova 100 bp DNA Ladder (Novazym, Poznan, Poland), and the obtained images were archived using an integrated image acquisition system

2.5.3. QPCR (Real-Time PCR)

QPCR reactions were performed using the QuantiFast SYBR Green PCR kit (Novazym, Poznan, Poland), designed for use in a two-step protocol in which the process of annealing primers and product synthesis (elongation) are linked together. The reaction used Hot Start Taq Plus DNA polymerase, the activation of which lasted 5 min at a temperature of 95 °C. The process of denaturing the template DNA lasted 10 s at a temperature of 95 °C, and then for 30 s. The DNA sequence was elongated at 60 °C. At this stage, fluorescence detection was performed, which made it possible to measure the value of the relative fluorescence intensity and the melting point of the reaction products for individual bacterial strains. The process of verifying positive results was performed using the FAM Green fluorescence channel (Figure S2). Depending on the original concentration of the bacterial DNA template, the number of reaction cycles was between 35 and 40. The specially designed buffer contains the addition of the PCR Q-Bond, which significantly accelerates the course of the reaction by shortening the time of denaturation, renaturation, and elongation. Denaturation was carried out at 95 °C followed immediately by an extension step at 60 °C. This protocol was used for primers with a melting point below 60 °C. In order to obtain the maximum efficiency of the reaction, the amplicon lengths were in the range of 60–200 bp.
The reaction mixtures for LAMP, PCR, and qPCR are presented in Tables S3–S5. The amount of DNA samples used for the analyses was below 1 ng/µL.

2.6. Statistical Analysis

The comparisons of the periopathogen detection with three diagnostic methods (depending on the selected medium) were shown in the contingency tables. The following statistical parameters were defined to compare the diagnostic values of both methods (LAMP and PCR) with the gold standard (qPCR): positive predictive value (PPV), negative predictive value (NPV), accuracy (ACC), sensitivity, specificity, positive likelihood ratio (LR+), negative likelihood ratio (LR−), and J Youden index. The periopathogen detection by LAMP depending on the medium (TE or Difast buffer) was compared with the two-sided Fisher’s exact test. The data were analysed using Statistica version 13.3 (Statsoft, Cracow, Poland).

3. Results

The periopathogen detection by LAMP and PCR compared with qPCR (as the gold standard) depending on the medium (TE or Difast buffer) is presented in Table 1. Table 2 shows the statistical parameters comparing the diagnostic values of LAMP and PCR with qPCR. The best diagnostic quality parameters were achieved for LAMP using the TE buffer for the P. gingivalis determination. For the remaining periopathogens, a comparable high diagnostic usefulness was not observed. For LAMP, it was found that the Difast buffer detected periopathogens less frequently in the samples compared to the TE buffer (Table 3).

4. Discussion

The primary aim of this study was to demonstrate the usefulness of the LAMP method in detecting periopathogens responsible for acute and chronic periodontitis and the potential possibility of using it for fast diagnostics in an outpatient basis. We decided to undertake our studies after learning about data that suggested LAMP is a method comparable to qPCR, and some of its variants are even much faster. It was noted that LAMP is specifically useful in dental practice, as naked-eye inspection allows for an extremely fast result without expensive equipment needed for PCR and qPCR, while maintaining high sensitivity and specificity [15,16,21,22,23,24]. After conducting the molecular analysis, the DNA of three pathogens was discovered: Porphyromonas gingivalis, Fusobacterium nucleatum, and Tannerella forsythia. The samples were taken from gingival fluid of patients who suffered from periodontitis. The results obtained by using the LAMP method were verified by using PCR and qPCR not only to compare their effectiveness but also their sensitivity and specificity. In contrast to the previous studies (e.g., by Maeda et al. [23] or Huang et al. [25]), our study included more than one periopathogen when testing the LAMP method. In addition, we not only compared the LAMP method to conventional PCR, similar to some other authors (such as Yoshida et al. [15]), but we also added qPCR, which allowed for a thorough evaluation of all three techniques being used for detecting three different periopathogens.
The examined pathogens were potentially genetically heterogenic. LAMP and qPCR tests were using the fluorescent, non-specific intercalating dye as a detecting factor and not the hydrolytic hybridising probe with a specific target sequence. Considering this information, the structure of the primers used in our study was based on highly conservative gene sequences. Additionally, the selectivity of the primer/probe sets used in the LAMP reactions was tested in silico using the proper bioinformatic tools, such as the BLAST program. This was performed to minimise the risk of cross-reactivity of the related bacteria species. In contrast to PCR, the LAMP method does not require expensive specialised equipment, which, apart from its high cost, allows usage outside of well-controlled laboratory conditions. In addition to some difficulties of the LAMP technique itself (e.g., the risk of a false positive result associated with the affinity of the primer-primer sequence overlap), the study limitations include the sample size and selection of the participants. The study group consisted of patients routinely admitting for follow-up visits with an unbalanced gender and age structure, which could also affect the detection of selected periopathogens. As this was the first such study, the sample size calculation had not been performed. The smoking that may affect the periodontal condition was also not considered as an exclusion criterion.
Meada et al. compared the LAMP method with qPCR. The authors studied the presence of A. actinomycetemcomitans, P. gingivalis and P. intermedia in plaque samples. The results showed a higher or similar sensitivity of LAMP compared to qPCR [16]. The sensitivity and specificity comparison of the used methods indicated there was no significant difference in them in all of the evaluated pathogens. However, when detecting the P. gingivalis bacteria, LAMP turned out to be, statistically, a better method than the classic PCR test and had a much shorter analysis time. A better detectability of the pathogen when using LAMP results from using a much more complex set of primers, which allows to obtain the reaction product even from a small template quantity [26]. The comparison of the specificity and sensitivity of LAMP and qPCR methods showed no significant differences between the results, regardless of the buffer (TE or Difast), in which the analysis material was secured. The LAMP method turned out to be better when detecting P. gingivalis from the material secured for isolation by TE buffer. Therefore, the results presented in this work confirm the significant usefulness of LAMP for an easy and quick microbiological diagnostic of periodontitis. The high sensitivity and specificity of the isothermal method in conjunction with the easy preparation of the analysis sample thanks to the Difast buffer allows for skipping the bacterial DNA extraction. This makes the LAMP method can be a serious alternative for qPCR reaction on an outpatient basis. Huang et al. compared LAMP to PCR in detection of F. nucleatum. The presented results suggest that LAMP has a 10-fold higher sensitivity than conventional PCR when used for the detection of this particular pathogen [25].
The specificity and sensitivity of the LAMP, PCR, and qPCR methods conducted using samples of patients from whom the bacterial DNA was extracted, secured with TE buffer (buffer Tris 10 mM pH 8.0, 1 mM EDTA) or Difast buffer, was also compared. The TE buffer is a very durable medium, securing the bacterial DNA thanks to an EDTA that deactivates the nucleases by chelating the divalent ions, whereas the Tris buffer present in the solution allows for sustaining the stable form of DNA. On the other hand, the Difast buffer allows for streamlining the process of acquiring the DNA in a much shorter detection time. This buffer has been used before among others, such as Pieczul and Wąsowska, in order to extract the DNA genome of the Zymoseptoria tritici fungus in a 15 min procedure [27]. In comparison to the method based on using the Difast buffer, the standard DNA isolation procedure lasts for around 60–70 min. Due to the presence of solid particles, the Difast buffer requires continuous stirring during the acquisition process of the examined material. Not following the procedure can negatively influence the effectiveness of the DNA isolation process. The comparison of LAMP, PCR, and qPCR techniques used in the analysis of the samples secured by TE and Difast buffers showed a statistically significant difference in detecting P. gingivalis in favour of the TE buffer. Moreover, not following the procedure of using the Difast buffer strictly can lead to disturbance of the bacterial DNA isolation process. This is associated with an insufficient amount of the bacterial DNA, which may cause a false-negative reaction result.
P. gingivalis is the main microbiological etiological factor of the parietal periodontitis [28]. A quantitative real-time analysis of P. gingivalis using the LAMP method with a fluorescent dye SYBR Green I with a linearity of 102–106 cells was conducted by Meada et al. Using this technique, the scientists obtained almost identical results to those of qPCR. However, the comparison of both methods showed LAMP to be superior in terms of reaction speed [23].
A study of 58 patients showed that T. forsythia was detected in 48 samples (82.75%) when using a PCR test on a DNA template isolated from material secured with TE buffer. Moreover, the advancement stage showed an upward trend as periodontitis progressed. The studies conducted by Yost et al. confirmed that T. forsythia contributes to the disease’s progression by activating many mechanisms such as the gelatine and collagen type I and III degradation process with the activity of serine protease [29].
The processes of periodontium destruction and progression of periodontitis include the activity of Gram-negative bacteria Fusobacterium. These pathogens have developed the ability to aggregate with early and late colonisers such as P. gingivalis. The presented results of a study conducted on a group of 35 patients tested with using the LAMP method with the DNA isolated with the use of Difast buffer showed that F. nucleatum was detected in only 5 samples (14.29%). An additional interesting aspect of the study is the fact that all of the patients (5 people) were active smokers. Therefore, the results are consistent with previous observations of Kumar et al. They used a sequence of 165 rRNA gene for the quantification of 27 immunologic mediators’ levels, potentially influencing the composition of the subgingival microbiota. Smokers featured a very diversified and unstable colonisation of parietal and subgingival biofilms with a smaller bacterial niche than non-smokers. The Fusobacterium bacteria colonised the early biofilms of smokers and were present for the whole observation period. These data suggest that an early acquisition and colonisation of this pathogen happens in the biofilms of smokers [30].
Similar results were presented in a study published by Shchipkova et al. They conducted a sequential analysis of a gene coding the 16S RNA subunit. The samples were extracted from smokers with moderate and severe periodontitis. Based on the evaluation of sequences, including the constant and variable places in the studied gene, the authors stated that Parvimonas, Fusobacterium, Campylobacter, Bacteroides, and Treponema were more common and Veilonella, Neisseria, and Streptococcus were less common [31]. On the other hand, studies conducted by Yu et al., who also sequenced the gene coding the 16S subunit on a group of smokers with no periodontitis symptoms, showed that smoking had no influence on the microbial composition [32].

5. Conclusions

The accuracy of the LAMP method in detecting periopathogens may be comparable to the methods recognised as diagnostic standards: PCR and qPCR. The LAMP was characterised by the highest sensitivity and specificity for the detection of P. gingivalis using the TE buffer in comparison to the gold standard, i.e., qPCR. Therefore, the LAMP method is an analytical technique that could be used to quickly assess the presence of periopathogens in an outpatient setting. The clinical significance of our research should be emphasised, and the multi-centre studies are necessary to validate these findings.

Supplementary Materials

The following supporting information can be downloaded at: https://www.mdpi.com/article/10.3390/app13042500/s1, Table S1: The sequences of LAMP primers; Table S2: The sequences of PCR primers; Table S3: The detailed reagents for LAMP; Table S4: The detailed reagents for PCR; Table S5: The detailed reagents for qPCR; Figure S1: Fluorescent curves of LAMP; Figure S2: Fluorescent curves of qPCR.

Author Contributions

Conceptualisation, M.L., M.K. and A.S.; methodology, M.L. and K.N.; formal analysis, K.N.; investigation, resources and data curation, M.L.; writing—original draft preparation, M.L., K.N. and P.W.; writing—review and editing, K.N., M.K. and A.S.; visualisation, K.N.; supervision, M.K. and A.S. All authors have read and agreed to the published version of the manuscript.

Funding

This research received no external funding.

Institutional Review Board Statement

The study was conducted in accordance with the Declaration of Helsinki and approved by the Bioethics Committee of the Poznan University of Medical Sciences (912/17).

Informed Consent Statement

Informed consent was obtained from all subjects involved in the study.

Data Availability Statement

Data are available on request from the corresponding author.

Conflicts of Interest

The authors declare no conflict of interest.

References

  1. Ramazzotti, M.; Bacci, G. Chapter 5—16S RRNA-Based Taxonomy Profiling in the Metagenomics Era. In Metagenomics; Nagarajan, M., Ed.; Academic Press: London, UK, 2018; ISBN 978-0-08-102268-9. [Google Scholar]
  2. Dahlen, G.; Basic, A.; Bylund, J. Importance of Virulence Factors for the Persistence of Oral Bacteria in the Inflamed Gingival Crevice and in the Pathogenesis of Periodontal Disease. J. Clin. Med. 2019, 8, 1339. [Google Scholar] [CrossRef] [PubMed]
  3. Zhang, S.; Yu, N.; Arce, R.M. Periodontal Inflammation: Integrating Genes and Dysbiosis. Periodontol. 2000 2020, 82, 129–142. [Google Scholar] [CrossRef] [PubMed]
  4. Díaz, C.M.; Bullon, B.; Ruiz-Salmerón, R.J.; Fernández-Riejos, P.; Fernández-Palacín, A.; Battino, M.; Cordero, M.D.; Quiles, J.L.; Varela-López, A.; Bullón, P. Molecular Inflammation and Oxidative Stress Are Shared Mechanisms Involved in Both Myocardial Infarction and Periodontitis. J. Periodontal Res. 2020, 55, 519–528. [Google Scholar] [CrossRef]
  5. Lamont, R.J.; Koo, H.; Hajishengallis, G. The Oral Microbiota: Dynamic Communities and Host Interactions. Nat. Rev. Microbiol. 2018, 16, 745–759. [Google Scholar] [CrossRef] [PubMed]
  6. Butera, A.; Gallo, S.; Maiorani, C.; Preda, C.; Chiesa, A.; Esposito, F.; Pascadopoli, M.; Scribante, A. Management of Gingival Bleeding in Periodontal Patients with Domiciliary Use of Toothpastes Containing Hyaluronic Acid, Lactoferrin, or Paraprobiotics: A Randomized Controlled Clinical Trial. Appl. Sci. 2021, 11, 8586. [Google Scholar] [CrossRef]
  7. Costa-Pinto, A.R.; Lemos, A.L.; Tavaria, F.K.; Pintado, M. Chitosan and Hydroxyapatite Based Biomaterials to Circumvent Periprosthetic Joint Infections. Materials 2021, 14, 804. [Google Scholar] [CrossRef]
  8. Wolf, D.L.; Lamster, I.B. Contemporary Concepts in the Diagnosis of Periodontal Disease. Dent. Clin. N. Am. 2011, 55, 47–61. [Google Scholar] [CrossRef]
  9. Isola, G. Advances in Biomarkers and Diagnostics in Periodontitis and Oral Diseases. Int. J. Environ. Res. Public Health 2021, 18, 1886. [Google Scholar] [CrossRef]
  10. Santigli, E.; Leitner, E.; Wimmer, G.; Kessler, H.H.; Feierl, G.; Grube, M.; Eberhard, K.; Klug, B. Accuracy of Commercial Kits and Published Primer Pairs for the Detection of Periodontopathogens. Clin. Oral Investig. 2016, 20, 2515–2528. [Google Scholar] [CrossRef]
  11. Lenkowski, M.; Nijakowski, K.; Kaczmarek, M.; Surdacka, A. The Loop-Mediated Isothermal Amplification Technique in Periodontal Diagnostics: A Systematic Review. J. Clin. Med. 2021, 10, 1189. [Google Scholar] [CrossRef]
  12. Eick, S.; Pfister, W. Comparison of Microbial Cultivation and a Commercial PCR Based Method for Detection of Periodontopathogenic Species in Subgingival Plaque Samples. J. Clin. Periodontol. 2002, 29, 638–644. [Google Scholar] [CrossRef] [PubMed]
  13. Kumawat, R.M.; Ganvir, S.M.; Hazarey, V.K.; Qureshi, A.; Purohit, H.J. Detection of Porphyromonas Gingivalis and Treponema Denticola in Chronic and Aggressive Periodontitis Patients: A Comparative Polymerase Chain Reaction Study. Contemp. Clin. Dent. 2016, 7, 481–486. [Google Scholar] [CrossRef]
  14. Choi, H.; Kim, E.; Kang, J.; Kim, H.-J.; Lee, J.-Y.; Choi, J.; Joo, J.-Y. Real-Time PCR Quantification of 9 Periodontal Pathogens in Saliva Samples from Periodontally Healthy Korean Young Adults. J. Periodontal Implant. Sci. 2018, 48, 261–271. [Google Scholar] [CrossRef] [PubMed]
  15. Yoshida, A.; Nagashima, S.; Ansai, T.; Tachibana, M.; Kato, H.; Watari, H.; Notomi, T.; Takehara, T. Loop-Mediated Isothermal Amplification Method for Rapid Detection of the Periodontopathic Bacteria Porphyromonas Gingivalis, Tannerella Forsythia, and Treponema Denticola. J. Clin. Microbiol. 2005, 43, 2418–2424. [Google Scholar] [CrossRef] [PubMed]
  16. Miyagawa, J.; Maeda, H.; Murauchi, T.; Kokeguchi, S.; Yamabe, K.; Tanimoto, I.; Nishimura, F.; Fukui, K.; Takashiba, S. Rapid and Simple Detection of Eight Major Periodontal Pathogens by the Loop-Mediated Isothermal Amplification Method. FEMS Immunol. Med. Microbiol. 2008, 53, 314–321. [Google Scholar] [CrossRef]
  17. Waller, J.V.; Kaur, P.; Tucker, A.; Lin, K.K.; Diaz, M.J.; Henry, T.S.; Hope, M. Diagnostic Tools for Coronavirus Disease (COVID-19): Comparing CT and RT-PCR Viral Nucleic Acid Testing. AJR Am. J. Roentgenol. 2020, 215, 834–838. [Google Scholar] [CrossRef]
  18. Al-Soud, W.A.; Rådström, P. Purification and Characterization of PCR-Inhibitory Components in Blood Cells. J. Clin. Microbiol. 2001, 39, 485–493. [Google Scholar] [CrossRef]
  19. Sidstedt, M.; Rådström, P.; Hedman, J. PCR Inhibition in QPCR, DPCR and MPS-Mechanisms and Solutions. Anal. Bioanal. Chem. 2020, 412, 2009–2023. [Google Scholar] [CrossRef]
  20. Nijakowski, K.; Ortarzewska, M.; Morawska, A.; Brożek, A.; Nowicki, M.; Formanowicz, D.; Surdacka, A. Bruxism Influence on Volume and Interleukin-1β Concentration of Gingival Crevicular Fluid: A Preliminary Study. Appl. Sci. 2022, 12, 2089. [Google Scholar] [CrossRef]
  21. Wong, Y.-P.; Othman, S.; Lau, Y.-L.; Radu, S.; Chee, H.-Y. Loop-Mediated Isothermal Amplification (LAMP): A Versatile Technique for Detection of Micro-Organisms. J. Appl. Microbiol. 2018, 124, 626–643. [Google Scholar] [CrossRef]
  22. Dhama, K.; Karthik, K.; Chakraborty, S.; Tiwari, R.; Kapoor, S.; Kumar, A.; Thomas, P. Loop-Mediated Isothermal Amplification of DNA (LAMP): A New Diagnostic Tool Lights the World of Diagnosis of Animal and Human Pathogens: A Review. Pak. J. Biol. Sci. PJBS 2014, 17, 151–166. [Google Scholar] [CrossRef] [PubMed]
  23. Maeda, H.; Kokeguchi, S.; Fujimoto, C.; Tanimoto, I.; Yoshizumi, W.; Nishimura, F.; Takashiba, S. Detection of Periodontal Pathogen Porphyromonas Gingivalis by Loop-Mediated Isothermal Amplification Method. FEMS Immunol. Med. Microbiol. 2005, 43, 233–239. [Google Scholar] [CrossRef]
  24. Al-Hamdoni, S.A.S.M.; Al-Rawi, A.M.M. Colorimetric LAMP Molecular Method for Immediate Detection of Three Periodontal Pathogens. Res. Sq. 2020. [Google Scholar] [CrossRef]
  25. Huang, S.; Yang, Z.; Zou, D.; Dong, D.; Liu, A.; Liu, W.; Huang, L. Rapid Detection of NusG and FadA in Fusobacterium Nucleatum by Loop-Mediated Isothermal Amplification. J. Med. Microbiol. 2016, 65, 760–769. [Google Scholar] [CrossRef] [PubMed]
  26. Hyvärinen, K.; Laitinen, S.; Paju, S.; Hakala, A.; Suominen-Taipale, L.; Skurnik, M.; Könönen, E.; Pussinen, P.J. Detection and Quantification of Five Major Periodontal Pathogens by Single Copy Gene-Based Real-Time PCR. Innate Immun. 2009, 15, 195–204. [Google Scholar] [CrossRef]
  27. Pieczul, K.; Wąsowska, A. The Application of Next-Generation Sequencing (NGS) for Monitoring of Zymoseptoria Tritici QoI Resistance. Crop. Prot. 2017, 92, 143–147. [Google Scholar] [CrossRef]
  28. Jia, L.; Han, N.; Du, J.; Guo, L.; Luo, Z.; Liu, Y. Pathogenesis of Important Virulence Factors of Porphyromonas Gingivalis via Toll-Like Receptors. Front. Cell. Infect. Microbiol. 2019, 9, 262. [Google Scholar] [CrossRef]
  29. Yost, S.; Duran-Pinedo, A.E. The Contribution of Tannerella Forsythia Dipeptidyl Aminopeptidase IV in the Breakdown of Collagen. Mol. Oral Microbiol. 2018, 33, 407–419. [Google Scholar] [CrossRef]
  30. Kumar, P.S.; Matthews, C.R.; Joshi, V.; de Jager, M.; Aspiras, M. Tobacco Smoking Affects Bacterial Acquisition and Colonization in Oral Biofilms. Infect. Immun. 2011, 79, 4730–4738. [Google Scholar] [CrossRef]
  31. Shchipkova, A.Y.; Nagaraja, H.N.; Kumar, P.S. Subgingival Microbial Profiles of Smokers with Periodontitis. J. Dent. Res. 2010, 89, 1247–1253. [Google Scholar] [CrossRef]
  32. Signat, B.; Roques, C.; Poulet, P.; Duffaut, D. Fusobacterium Nucleatum in Periodontal Health and Disease. Curr. Issues Mol. Biol. 2011, 13, 25–36. [Google Scholar] [PubMed]
Figure 1. Protocol of gingival crevicular fluid acquisition.
Figure 1. Protocol of gingival crevicular fluid acquisition.
Applsci 13 02500 g001
Table 1. The periopathogen detection by LAMP and PCR with qPCR (as gold standard) depending on the medium (TE or Difast buffer).
Table 1. The periopathogen detection by LAMP and PCR with qPCR (as gold standard) depending on the medium (TE or Difast buffer).
Porphyromonas gingivalisFusobacterium nucleatumTannerella forsythia
LAMPPCRLAMPPCRLAMPPCR
qPCR ++++++
TE+18 (34.62)3 (5.77)8 (16.00)11 (22.00)1 (1.92)11 (21.15)1 (1.92)11 (21.15)5 (10.87)24 (52.17)4 (8.70)25 (54.35)
-4 (7.69)27 (51.92)-31 (62.00)11 (21.15)29 (55.77)9 (17.31)31 (59.62)4 (8.70)13 (28.26)6 (13.04)11 (23.91)
Difast+1 (3.23)3 (9.68)1 (3.23)3 (9.68)1 (3.03)12 (36.36)1 (3.03)12 (36.36)-14 (63.64)2 (9.09)12 (54.55)
--27 (87.1)-27 (87.10)4 (12.12)16 (48.48)5 (15.15)15 (45.45)2 (9.09)6 (27.27)1 (4.55)7 (31.82)
Table 2. Statistical parameters for the periopathogen detection by LAMP and PCR compared with qPCR (as gold standard) depending on the medium (TE or Difast buffer).
Table 2. Statistical parameters for the periopathogen detection by LAMP and PCR compared with qPCR (as gold standard) depending on the medium (TE or Difast buffer).
Porphyromonas gingivalisFusobacterium nucleatumTannerella forsythia
LAMPPCRLAMPPCRLAMPPCR
TEDifastTEDifastTEDifastTEDifastTEDifastTEDifast
PPV0.8181.0001.0001.0000.0830.4000.1000.1670.5560.0000.4000.667
NPV0.9000.9000.7380.9000.7250.2940.7380.5560.3510.3000.3060.368
ACC0.8650.9030.7800.9030.5770.3180.6150.4850.3910.2730.3260.409
Sensitivity0.8570.2500.4210.2500.0830.1430.0830.0770.1720.0000.1380.143
Specificity0.8711.0001.0001.0000.7250.6250.7750.7500.7650.7500.6470.875
LR+6.643---0.3030.3810.3700.3080.7330.0000.3911.143
LR-0.1640.7500.5790.7501.2641.3711.1831.2311.0821.3331.3320.980
J Youden index0.7280.2500.4210.250−0.192−0.232−0.142−0.173−0.063−0.250−0.2150.018
Table 3. Comparison of the periopathogen detection by LAMP depending on the medium (TE or Difast buffer).
Table 3. Comparison of the periopathogen detection by LAMP depending on the medium (TE or Difast buffer).
TE
Porphyromonas gingivalisFusobacterium nucleatumTannerella forsythia
+++
Difast+-2 (6.06)-3 (9.09)-1 (3.03)
-13 (39.39)18 (54.55)7 (21.21)23 (69.70)6 (18.18)26 (78.79)
p-value *0.507>0.999>0.999
* p-value for the two-sided Fisher’s exact test.
Disclaimer/Publisher’s Note: The statements, opinions and data contained in all publications are solely those of the individual author(s) and contributor(s) and not of MDPI and/or the editor(s). MDPI and/or the editor(s) disclaim responsibility for any injury to people or property resulting from any ideas, methods, instructions or products referred to in the content.

Share and Cite

MDPI and ACS Style

Lenkowski, M.; Nijakowski, K.; Woś, P.; Kaczmarek, M.; Surdacka, A. The Loop-Mediated Isothermal Amplification for the Rapid Detection of Porphyromonas Gingivalis. Appl. Sci. 2023, 13, 2500. https://doi.org/10.3390/app13042500

AMA Style

Lenkowski M, Nijakowski K, Woś P, Kaczmarek M, Surdacka A. The Loop-Mediated Isothermal Amplification for the Rapid Detection of Porphyromonas Gingivalis. Applied Sciences. 2023; 13(4):2500. https://doi.org/10.3390/app13042500

Chicago/Turabian Style

Lenkowski, Marcin, Kacper Nijakowski, Patryk Woś, Mariusz Kaczmarek, and Anna Surdacka. 2023. "The Loop-Mediated Isothermal Amplification for the Rapid Detection of Porphyromonas Gingivalis" Applied Sciences 13, no. 4: 2500. https://doi.org/10.3390/app13042500

APA Style

Lenkowski, M., Nijakowski, K., Woś, P., Kaczmarek, M., & Surdacka, A. (2023). The Loop-Mediated Isothermal Amplification for the Rapid Detection of Porphyromonas Gingivalis. Applied Sciences, 13(4), 2500. https://doi.org/10.3390/app13042500

Note that from the first issue of 2016, this journal uses article numbers instead of page numbers. See further details here.

Article Metrics

Back to TopTop