Abstract
Stevia rebaudiana, as a plant with favorable technological features, and, above all, with potential health-promoting properties, seems to be an ideal sugar substitute. The aim of this study was to compare the effect of adding pure steviol glycosides or Stevia leaves to a hypercholesterolemic diet on selected growth and biochemical parameters of experimental (non-diabetes) rats. The research material consisted of dried leaves of Stevia (Stevia rebaudiana Bertoni, Polish, Brazilian and Paraguayan origin) and steviol glycosides (GS). In the animal experiment, young male Wistar rats were used. The animals were divided into six experimental groups, six rats per group, and placed in individual metabolic cages, provided with drinking bowls and feeders. The animals from particular groups received a semi-synthetic AIN-93G diet for growing rats or its modification (group I—AIN-93G diet; group II—hypercholesterolemic diet; group III—hypercholesterolemic diet with 0.28 g of GS/kg of diet; group IV; V; VI—hypercholesterolemic diet with dried Stevia leaves addition from Polish (PL), Brazilian (BR) and Paraguayan (PR) cultivation) in amounts providing GS as in group III, i.e., 10, 17 and 18%, respectively. The addition of GS to the hypercholesterolemic diet resulted only in a tendency to lower the weight of the kidneys, heart and liver compared to animals fed with the hypercholesterolemic diet. The lowest glucose concentration was found in animals receiving the 17%BR diet. In general, all lipid profile parameters were similar or increased in rats fed the hypercholesterolemic diet with the addition of steviol glycosides and Stevia leaves, respectively. The highest antioxidant activity was recorded in the blood serum of rats fed the hypercholesterolemic diet with 10%PL dried Stevia leaves addition.
1. Introduction
The development of nutritional science has resulted in the search for food that, apart from its nutritional value, will also have health-promoting properties. Studies of the relationship between diet and human health have shown that, apart from valuable nutrients, food, especially of plant origin, also contains many valuable non-nutritive substances [1].
Stevia rebaudiana has gained great importance among nutritionists and consumers thanks to two compounds: stevioside and rebaudioside A. These glycosides have strong sweetening properties many times stronger than sucrose. Currently, nine sweet steviol glycosides listed below have been identified, which account for 4–20% of the weight of dried leaves, depending on the growing and cultivation conditions [2,3]. In the total mass of steviol glycosides extracted from Stevia rebaudiana leaves, about 65% is stevioside, 25% rebaudioside A, and the rest are rebaudioside B, C, D, E, F, dulcoside A and steviolbioside [2,4].
Stevioside is about 300 times sweeter than sucrose. It occurs in the form of a white, crystalline and odorless powder, which is extracted from the leaves of Stevia rebaudiana, in an amount of 4–13% [5,6,7,8]. Stevioside consists of three glucose molecules and steviol [9]. It is responsible for the bitter aftertaste of Stevia rebaudiana Bert., remains stable over a wide temperature and pH range, and is non-fermentable. It is characterized by aroma-enhancing properties.
Rebaudioside A is the most stable of the aforementioned glycosides; its content in fresh leaves oscillates at the level of 2–4% [5]. This compound has a better flavor profile than stevioside and is sweeter [10]. It is characterized by high solubility in water and a longer shelf life [11]. Studies conducted over the last years indicate that steviol glycosides derived from Stevia rebaudiana Bertoni leaves have hypoglycemic, hypotensive, anti-inflammatory, antiviral, anti-caries and immune-modulating properties [12,13,14,15]. Among others, Stevia is the carrier of many antioxidant substances, e.g., the above-mentioned steviol glycosides, which can regulate pro-/antioxidant properties of the body [16,17,18].
It must be emphasized that most of the available studies related to steviol glycosides and Stevia leaves were carried out using diabetic rats, while there is lack of research on healthy rats with induced aberrations, mainly oxidative stress and changes in lipid profile [19,20,21].
The aim of this study was to compare the effect of adding pure steviol glycosides or Stevia leaves to the hypercholesterolemic diet (to cause the above-mentioned changes in the body) on selected growth and biochemical parameters of experimental (non-diabetes) rats.
2. Materials and Methods
2.1. Research Materials
The research material consisted of dried leaves of Stevia (Stevia rebaudiana Bertoni), from domestic and foreign cultivation, i.e., Polish, Brazilian and Paraguayan, available for direct sale. Polish dried leaves were bought directly from the producer via the Internet, but dried Paraguayan and Brazilian Stevia were purchased through an online store. Steviol glycosides were purchased from Planta Dulce, Krakow, Poland (Certificate No.: Non-EU Agrikulture CN-BIO-615).
2.2. Animal Experiment and Experimental Procedures
In the animal (non-diabetes) experiment, young, 4-week old, male Wistar albino rats were used. The animals (n = 36), with an initial average body weight of 110 g, came from a laboratory in an animal farm entered in the list of the National Ethical Committee for Animal Experiments (Animal Husbandry in Brwinów, Warsaw, Poland). The experiments were carried out at the Department of Human Nutrition of the University of Agriculture in Krakow, after obtaining the consent of the 1st Local Ethical Committee in Krakow (no. 97/VI/2010).
During the adaptation period (7 days) the animals were fed pellets for rodents (Lab Diet; Warsaw, Poland) and had constant access to water. The cages were placed in a room with a 12-h light and dark cycle and with controlled temperature (23 ± 2 °C) and air humidity (50–65%).
In the experiment, the animals were divided into six experimental groups, 6 rats per group, and placed in individual metabolic cages, provided with drinking bowls and feeders (Animalab, Warsaw, Poland). A limited supply of food was assumed, i.e., 10% of the rodent’s body weight. The weight gain of the animals was monitored once a week. During the experiment, animals had free access to water. The animals from particular groups received a semi-synthetic AIN-93G diet for growing rats (Table 1) [22] or its modification, according to the following scheme:
- Group I—Control–AIN-93G diet,
- Group II—Hypercholesterolemic diet,
- Group III—Hypercholesterolemic diet with 0.28 g of steviol glycosides/kg of diet (3.36 mg of steviol glycosides/kg of b.w./day),
- Group IV—Hypercholesterolemic diet with 10% of dried leaves of Stevia rebaudiana Bertoni *, from Polish cultivation (3.36 mg of steviol glycosides/kg b.w./day),
- Group V—Hypercholesterolemic diet with 17% of dried leaves of Stevia rebaudiana Bertoni * from Brazilian cultivation (3.36 mg of steviol glycosides/kg b.w./day),
- Group VI—Hypercholesterolemic diet with 18% of dried leaves of Stevia rebaudiana Bertoni *, from Paraguayan cultivation (3.36 mg of steviol glycosides/kg b.w./day).
Table 1.
Composition of the AIN-93G semi-synthetic diet (g/kg diet) and diets modified with the addition of steviol glycosides or dried leaves of Stevia rebaudiana Bertoni.
Table 1.
Composition of the AIN-93G semi-synthetic diet (g/kg diet) and diets modified with the addition of steviol glycosides or dried leaves of Stevia rebaudiana Bertoni.
| Control | Group II | Group III | Group IV | Group V | Group VI | |
|---|---|---|---|---|---|---|
| Ingredient [g/kg Diet] | AIN-93G Diet (AIN-93G) | CHOL Diet (CHOL) | CHOL + Steviol Glycosides Diet (GS) | CHOL + 10% PL Diet (10%PL) | CHOL + 17% BR Diet (17%BR) | CHOL + 18% PR Diet (18%PR) |
| Corn starch | 532.486 | 522.486 | 522.486 | 449.190 | 399.490 | 397.886 |
| Casein | 200.000 | 200.000 | 200.000 | 189.000 | 174.000 | 170.000 |
| Sucrose | 100.000 | 100.000 | 100.000 | 100.000 | 100.000 | 100.000 |
| Soybean oil | 70.000 | |||||
| Butter | - | 70.000 | 70.000 | 70.000 | 70.000 | 70.000 |
| Fiber | 50.000 | 50.000 | 50.000 | 34.300 | 29.000 | 24.600 |
| Mineral mix | 35.000 | 35.000 | 35.000 | 35.000 | 35.000 | 35.000 |
| Vitamin mix | 10.000 | 10.000 | 10.000 | 10.000 | 10.000 | 10.000 |
| Choline | 2.500 | 2.500 | 2.500 | 2.500 | 2.500 | 2.500 |
| Tert-Butylhydroquinone | 0.014 | 0.014 | 0.014 | 0.014 | 0.014 | 0.014 |
| Cholesterol | - | 10.000 | 10.000 | 10.000 | 10.000 | 10.000 |
| Steviol glycosides | - | 0.280 | - | - | - | |
| Stevia rebaudiana grown in Poland | - | - | - | 100.000 | - | - |
| Stevia rebaudiana grown in Brasil | - | - | - | - | 170.000 | - |
| Stevia rebaudiana grown in Paraguay | - | - | - | - | - | 180.00 |
AIN-93G—semi-synthetic diet; CHOL—Hypercholesterolemic diet; GS—Hypercholesterolemic diet with steviol glycosides; 10%PL—Hypercholesterolemic diet with 10% of dried leaves of Stevia rebaudiana Bertoni from Polish cultivation; 17%BR—Hypercholesterolemic diet with 17% of dried leaves of Stevia rebaudiana Bertoni from Brazilian cultivation; 18%PR—Hypercholesterolemic diet with 18% of dried leaves of Stevia rebaudiana Bertoni from Paraguayan cultivation.
The hypercholesterolemic diet was used in order to induce oxidative stress, to check whether the whole plant and steviol glycosides affect the regulation of the pro-/antioxidant balance.
* The addition of pure steviol glycosides was equal to literature data, and the same content was present in 10, 17 and 18% additions to the experimental diet of Polish, Brazilian and Paraguayan Stevia leaves, respectively, which was determined by analyzing the content of these compounds in the plant by liquid chromatography [3,23,24].
Experimental diets with the addition of dried leaves of Stevia rebaudiana Bert. were balanced taking into account the basic composition determined in these products [3].
The experiment lasted 6 weeks; the diet was administered after mixing with water—in a mushy form.
At the end of the experiment, the rats were euthanized by dislocating the cervical vertebrae and then weighed. Blood from the heart was taken and collected into plastic tubes (Equimed, Krakow, Poland), centrifuged at 1500× g for 5 min to obtain serum, and then stored at −80 °C until analysis.
2.3. Growth Parameters
The weight gains of the rats were measured as the difference between the body weight at the end of the experiment and the weight on the start day.
The hearts, livers and kidneys were excised and weighed.
2.4. Biochemical Parameters
The following analyses were performed:
- Determination of blood glucose (using a glucometer and ACCU-CHEK ACTIVE test strips; Roche Diagnostic, Bazylea, Switzerland);
- Determination of the lipid profile in the blood serum, i.e.,:
- Total cholesterol (TCh) (Liquick Cor-TG kit by PZ CORMAY S.A., Lublin, Poland (catalogue no. 2-211)),
- HDL cholesterol concentration (Liquick Cor-TG kit by PZ CORMAY S.A., Lublin, Poland (catalogue no. 2-053)),
- LDL + VLDL cholesterol was calculated as the difference between total cholesterol and HDL cholesterol,
- Concentration of triacylglycerols (TG) (Liquick Cor-TG kit by PZ CORMAY S.A., Lublin, Poland (catalogue no. 2-253)),
- Determination of the activity of selected liver enzymes in the blood serum, i.e.,:
- Activity of alanine aminotransferase (ALT) (reagent from ALPHA DIAGNOSTICS Ltd., Reinach, Switzerland, catalogue number A6624-050),
- Activity of aspartate aminotransferase (AST) (reagent from ALPHA DIAGNOSTICS Ltd. Reinach, Switzerland, catalogue number A6661-050),
- Determination of antioxidant stress markers, i.e.,:
- Superoxide dismutase (SOD) activity in the hemolysate (RANSOD reagent; Randox Laboratories Ltd., Crumlin, UK/catalogue number SD 125 5 × 11t),
- Glutathione reductase (GR) activity in blood serum (Glutathione Reductase Activity Assy Kit by BioVision (Immuniq distributor, Żory, Poland, catalog number #K761-200),
- Glutathione peroxidase (GPx) activity in blood serum (Glutathione Peroxidase Activity Assy Kit by BioVision (Immuniq distributor, Żory, Poland, catalog number #K762-100),
- Total antioxidant status in blood serum (ImAnOx reagent set by Immuniq Diagnostk, Żory, Poland (catalogue number KC 5200),
- Determination of the lipid peroxidation process index, i.e.,:
- Serum malondialdehyde (MDA) concentration (OXI-TEK TBARS Assay Kit, catalogue number #850-287-KI01, ALEXIS BIOCHEMICAL, San Diego, CA, USA),
- The concentration of malondialdehyde (MDA) in the liver (the method is based on the reaction of thiobarbituric acid with malondialdehyde; Sigma-Aldrich, St. Louis, MO, USA),
- Histological evaluation of the liver—0.5 × 1 × 1 cm fragments of the liver fixed in 4% buffered formalin (Chempur, Piekary Slaskie, Poland) were excised and then prepared with the paraffin method. The paraffin blocks obtained in this way were cut on a microtome into 5–7 µm sections and stained with hematoxylin and eosin (H-E) (Sigma-Aldrich, St. Louis, MO, USA). Changes were assessed under a light microscope (Nicon Eclipse E400, Nikon, Tokyo, Japan) at 20× magnification [25].
2.5. Statistical Analysis
Statistical analysis of the results of the experiment involving animals included the calculation of arithmetic means, standard error of the mean (SEM) and the significance of differences between the study groups. A one-way analysis of variance was used, the significance of differences between the mean values was determined by Tukey’s post-hoc test, with a critical significance level of p ≤ 0.05. Compatibility of the distribution of variables with the normal distribution was checked with the Szapiro-Wilk test.
All calculations were performed using the PQStat program, version 1.4.2.324.
3. Results
The obtained results are presented in the Table 2.
Table 2.
Comparison of chosen parameters in experimental rats fed with the addition of Stevia leaves or steviol glycosides to the diet.
3.1. Weight Gain
The average weight gain of rats fed the AIN-93G diet was 125.0 ± 11.73 g and was significantly lower (p ≤ 0.05) compared to the animals fed the hypercholesterolemic diet (CHOL), in which the parameter under study was 181.0 ± 7.24 g. Addition of steviol glycosides to the hypercholesterolemic diet (GS) resulted in a significant reduction (p ≤ 0.05) in weight gain of rats compared to animals receiving the CHOL diet. Statistical analysis of the results showed a significant decrease (p ≤ 0.05) in the weight gain of animals fed the hypercholesterolemic diet with the addition of dried leaves of Stevia rebaudiana Bert. (10%PL, 17%BR, 18%PR) in relation to the value of the assessed parameter for the group of animals fed the CHOL diet.
3.2. Kidney Weight
The lowest organ weight was found in animals fed the AIN-93G diet (2.05 ± 0.18 g), and the highest in animals receiving the hypercholesterolemic diet (2.47 ± 0.11 g). The differences between the above values were statistically significant (p ≤ 0.05). Kidney weight tended to decrease (p > 0.05) in rats fed the hypercholesterolemic diet, modified by the addition of steviol glycosides (GS) or dried leaves of Stevia rebaudiana Bert. (10%PL, 17%BR, 18%PR) in relation to those fed the CHOL diet.
3.3. Heart Weight
The average heart weight of the animals fed the AIN-93G diet was 1.06 ± 0.08 g and was significantly lower than the weight of the organ of the animals fed the CHOL diet. Significantly lower (p ≤ 0.05) heart weight was found in rats fed the hypercholesterolemic diet with the addition of dried leaves of the tested plant (10%PL, 17%BR, 18%PR) in relation to rats receiving a CHOL diet. The animals fed the hypercholesterolemic diet with the addition of steviol glycosides (GS) showed a tendency to have lower (p > 0.05) heart weight as compared to the rats fed the CHOL diet. Statistical analysis showed significant differences in the weight of this organ between the groups of animals fed the hypercholesterolemic diet with steviol glycosides (GS) addition and those receiving the hypercholesterolemic diet with dried leaves of Stevia rebaudiana Bert. of Polish and Paraguay (10%PL, 18%PR) origin.
3.4. Liver Weight
The lowest liver weight, 4.15 ± 0.17 g, was found in animals fed the AIN-93G diet. This value did not differ significantly (p > 0.05) from the weight of the examined organ in animals fed the CHOL diet. In the conducted study, no reduction in liver weight was observed in rats fed the GS diet compared to rats receiving the CHOL diet. Statistical analysis showed a significant increase (p ≤ 0.05) in liver weight in animals fed a hypercholesterolemic diet with the addition of dried leaves of Stevia rebaudiana Bert. from Polish and Paraguayan cultivation (10%PR and 18%PR) compared to animals receiving the CHOL diet and the hypercholesterolemic diet with the addition of steviol glycosides (GS).
3.5. Blood Glucose Concentration
The average blood glucose concentration of animals fed the AIN-93G diet was 119.0 ± 4.84 mg/dL and did not differ significantly (p > 0.05) from the concentration of the examined parameter in animals receiving the CHOL diet. The highest glucose concentration was determined in the blood of animals fed the GS diet (132.5 ± 8.62 mg/dL) and 18%PR (132.7 ± 2.66 mg/dL), while the lowest (116.8 ± 1.90 mg/dL) was found in animals receiving the 17%BR diet.
3.6. Total Cholesterol (TCh) Concentration in the Blood Serum
The lowest concentration of total cholesterol, 1.63 ± 0.12 mmol/L, was found in the blood serum of rats fed the AIN-93G diet. In this experiment, a tendency to increase the concentration of the examined parameter was observed in animals receiving the CHOL diet. The concentration of TCh in rats fed the hypercholesterolemic diet with the addition of steviol glycosides (GS) was 2.76 ± 0.26 mmol/L and did not differ significantly (p > 0.05) from the concentration in rats fed the CHOL diet. However, a significant increase (p ≤ 0.05) in the blood serum of animals fed the hypercholesterolemic diet with the addition of dried Stevia rebaudiana Bert leaves (10%PR, 17%BR, 18%PR) was found in comparison to animals fed the CHOL diet, and in in the case of animals receiving the 17%BR, and 18%PR diet, also in relation to rats fed the hypercholesterolemic diet modified by the addition of steviol glycosides (GS).
3.7. Concentration of HDL Cholesterol in the Blood Serum
In the study, the average concentration of HDL cholesterol in the blood serum of rats fed the AIN-93G diet was 1.36 ± 0.10 mmol/L and did not differ significantly from the concentration of this parameter in the blood serum of animals fed the CHOL diet. Rats fed the GS diet showed similar HDL cholesterol levels compared to rats fed the CHOL diet. A significant increase (p ≤ 0.05) in the value of the parameter was found in the blood serum of animals receiving the hypercholesterolemic diet with the addition of 17% and 18% of dried leaves of Stevia rebaudiana Bert., from Brazilian and Paraguayan cultivation (17%BR, 18%PR), compared to animals fed the CHOL diet and the GS diet.
3.8. LDL + VLDL Cholesterol Concentration in the Blood Serum
The lowest concentration of LDL + VLDL cholesterol, 0.27 ± 0.08 mmol/L, was recorded in the blood serum of rats fed the AIN-93G diet. In the blood serum of animals receiving a hypercholesterolemic diet (CHOL), a tendency to increase the concentration of the examined parameter was shown (p > 0.05). There was also a tendency to increase the concentration of LDL + VLDL cholesterol in the blood serum of animals fed a hypercholesterolemic diet with the addition of steviol glycosides (GS) compared to those fed the CHOL diet. A significant increase (p ≤ 0.05) in the concentration of the examined parameter was noted in the blood serum of rats fed the hypercholesterolemic diet with the addition of dried leaves of Stevia rebaudiana Bert. (10%PL, 17%BR, 18%PR), compared to rats receiving the CHOL and GS diet. A significant increase (p ≤ 0.05) in the blood serum of rats fed with a diet of 18%PR was also demonstrated (p ≤ 0.05) compared to those fed the diet with the addition of 10%PL and 17%BR.
3.9. Serum Triacylglycerols Concentration
The mean serum triacylglycerol concentration of animals receiving the AIN-93G diet and the hypercholesterolemic (CHOL) diet was 0.81 ± 0.09 mmol/L and 1.36 ± 0.16 mmol/L, respectively. These differences were statistically significant (p ≤ 0.05). In rats fed the GS diet and the 17% BR diet, a tendency to lower serum TG levels was observed compared to those receiving the CHOL diet. Statistical analysis showed a significant increase (p ≤ 0.05) in the blood serum of animals fed the hypercholesterolemic diet with the addition of dried leaves of Stevia rebaudiana Bert. from the Paraguayan cultivation (18%PR) in relation to animals receiving the CHOL and GS diet.
3.10. Alanine Aminotransferase (ALT) Activity in the Blood Serum
In the study, the alanine aminotransferase (ALT) activity in the blood serum of the animals receiving the AIN-93G diet and the CHOL diet did not differ significantly (p > 0.05) and amounted to 33.90 ± 1.43 U/L and 27.50 ± 4.63 U/L. In the animals fed the hypercholesterolemic diet, modified with the addition of steviol glycosides (GS), only a tendency (p > 0.05) to decrease the activity of the examined parameter (20.81 ± 1.92 U/L) was noted, compared to animals receiving the CHOL diet. The highest (48.02 ± 10.87 U/L) and significantly different value was recorded only in rats fed the hypercholesterolemic diet with the addition of 18% of dried leaves of a plant from Paraguayan cultivation (18%PR) as compared to rats receiving the CHOL and GS diets.
3.11. Aspartate Aminotransferase (AST) Activity in the Blood Serum
The activity of aspartate aminotransferase (AST) in the blood serum of animals fed the AIN-93G and hypercholesterolemic (CHOL) diets was similar (p > 0.05). In rats receiving the hypercholesterolemic diet, modified by the addition of steviol glycosides or dried leaves of Stevia rebaudiana Bert., the activity of this parameter tended to change only slightly (p > 0.05) compared to those receiving the CHOL diet. A tendency to decrease the AST activity (76.82 ± 10.13 U/L and 74.64 ± 9.29 U/L) was observed in the blood serum of animals fed the GS diet and 18%PR, respectively.
3.12. Blood Superoxide Dismutase (SOD) Activity
The average blood superoxide dismutase (SOD) activity of rats fed the AIN-93G diet was 187.0 ± 5.18 U/mL and was not significantly different from the value obtained for rats fed the CHOL diet. In the conducted experiment, no significant differences (p > 0.05) were observed in the activity of the examined parameter in the blood of rats receiving both the GS diet and the addition of dried leaves of Stevia rebaudiana Bert.
3.13. Glutathione Reductase (GR) Activity in the Blood Serum
In our own study, the average activity of glutathione reductase in the blood serum of animals receiving the AIN-93G diet was 2.38 ± 0.32 mU/mL and did not differ significantly (p > 0.05) in relation to the activity of the enzyme in animals receiving the CHOL diet. In the groups of rats fed the hypercholesterolemic diet, modified with the addition of steviol glycosides (GS), a tendency to increase the activity of GR (4.44 ± 0.94 mU/mL) was observed in relation to the CHOL groups. On the other hand, when dried leaves of Stevia rebaudiana from Polish (10% PL) and Brazilian (17% BR) cultivation were added, the activity of the tested parameter tended to decrease in relation to those receiving the CHOL diet.
3.14. Glutathione Peroxidase (GPx) Activity in the Blood Serum
The study showed no changes (p > 0.05) in the activity of glutathione peroxidase (GPx) in the blood serum of animals receiving the hypercholesterolemic diet compared to the group fed the AIN-93G diet. In animals fed the hypercholesterolemic diet modified with the addition of dried leaves of Stevia rebaudiana Bert., also no significant changes in this parameter were observed in relation to animals fed the CHOL diet and the GS diet.
3.15. The Antioxidant Activity of Blood Serum
The average antioxidant activity of blood serum of animals receiving the AIN-93G diet was 213.1 ± 22.3 μmol/L. Although the value of this parameter for the blood serum of animals fed the CHOL diet was 332.3 ± 40.17 μmol/mL, the differences found were not significant (p > 0.05). In the blood serum of animals fed the GS diet and 17%BR and 18%PR, a tendency to decrease (p > 0.05) of the value of the examined parameter was observed in relation to the blood serum of animals fed the CHOL diet and the 10%PL diet. In turn, the highest antioxidant activity (385.3 μmol/mL) was recorded in the blood serum of rats fed the hypercholesterolemic diet with the addition of dried leaves of this plant grown in Poland (10%PL).
3.16. Concentration of Malondialdehyde (MDA) in the Blood Serum
In the conducted study, the concentration of MDA in the blood serum of animals receiving the CHOL diet (5.61 ± 4.55 U/mL) was higher than those fed the AIN-93G diet (2.85 ± 0.96 U/mL). However, these differences were not statistically significant (p > 0.05). In animals fed the hypercholesterolemic diet, modified with the addition of steviol glycosides (GS), the concentration of the examined parameter was significantly reduced by 69%, in relation to animals receiving the CHOL diet. In turn, no significant changes (p > 0.05) in the concentration of MDA were noted in the blood serum of animals fed the diet with the addition of dried leaves of Stevia rebaudiana Bert., regardless of the place of cultivation, compared to animals fed the CHOL and GS diet.
3.17. Malondialdehyde (MDA) Concentration in the Liver
The average concentration of MDA in the liver of rats fed the AIN-93G diet was 0.024 ± 0.006 nmol/mL of the homogenate. Although the concentration of the examined parameter in the liver of animals receiving the hypercholesterolemic diet (CHOL) was 0.041 ± 0.028 nmol/mL of the homogenate, the difference was not significant (p > 0.05). In rats fed a hypercholesterolemic diet supplemented with dried leaves of Stevia rebaudiana Bert. (10%PL, 17%BR, 18%PR), the concentration of MDA tended to be lower compared to animals fed the CHOL diet. Statistical analysis showed a significant decrease (p ≤ 0.05) in the concentration of the examined parameter in the liver of rats fed the hypercholesterolemic diet with the addition of steviol glycosides (GS) compared to rats receiving the hypercholesterolemic diet (CHOL). The value of the examined parameter also tended to decrease in the liver of rats receiving the hypercholesterolemic diet with the addition of steviol glycosides (GS) in relation to those fed a hypercholesterolemic diet with the addition of dried leaves of Stevia rebaudiana Bert. (10%PL, 17%BR, 18%PR).
3.18. Histological Evaluation of the Liver
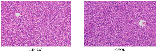
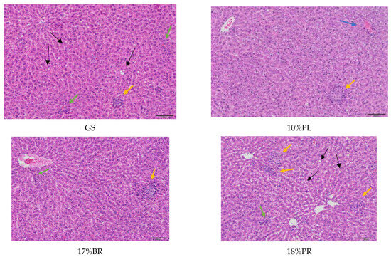
The animals fed the hypercholesterolemic diet were shown to have small lobular steatosis, evenly distributed throughout the tissue, without inflammatory lesions compared to animals receiving the AIN-93G diet. In the livers of rats fed the diet with the addition of dried leaves of Stevia rebaudiana Bert., originating from Polish cultivation (10% PL), the formation of micro- and large-drop steatosis of the examined organ and various degrees of hepatocyte damage were found. Histological evaluation also showed small foci of necrosis and numerous inflammatory infiltrates compared to rats fed the hypercholesterolemic diet (CHOL) and the hypercholesterolemic diet with the addition of steviol glycosides (GS). In addition, it was observed that the addition of 17%BR and 18%PR of dried leaves of Stevia rebaudiana Bert. from Brazilian and Paraguayan cultivation caused smaller inflammatory foci compared to animals receiving the 10%PL diet with the addition of dried leaves of Stevia rebaudiana Bert. from Polish cultivation. The obtained results are shown in Figure 1.

Figure 1.
Histological evaluation of the liver of Wistar rats. AIN-93G—semi-synthetic diet; CHOL—Hypercholesterolemic diet; GS—Hypercholesterolemic diet with steviol glycosides; 10%PL—Hypercholesterolemic diet with 10% of dried leaves of Stevia rebaudiana Bertoni from Polish cultivation; 17%BR—Hypercholesterolemic diet with 17% of dried leaves of Stevia rebaudiana Bertoni from Brazilian cultivation; 18%PR—Hypercholesterolemic diet with 18% of dried leaves of Stevia rebaudiana Bertoni from Paraguayan cultivation. Yellow arrow—infiltration of inflammatory cells with necrosis of hepatocytes; Green arrow—infiltration of inflammatory cells; Blue arrow—extravasation with inflammatory cell infiltration; Black arrow—small and large cell steatosis.
4. Discussion
Different climatic, soil and agrotechnical conditions affect the differences in composition of plants, i.e., Stevia leaves. Therefore, it was assumed that the sum of plant components that interfere with each other weakening or strengthening the response will have an unequal effect on the evaluated parameters [26].
The results concerning the effect of steviol glycosides obtained in this study generally differ from those available in the literature. It could be due to the fact that non-diabetic rats were used in our research, as opposed to the below-cited data reported by other authors.
In our study, both the addition of steviol glycosides and Stevia leaves to the hypercholesterolemic diet resulted in a significant reduction in body gain. The weight of kidneys, heart and liver did not change significantly in rats fed the diet with the addition of steviol glycosides. However, in rats fed the diet with the addition of Stevia leaves, the heart weight decreased, the kidney weight did not change, and the liver weight increased only after adding Stevia leaves of Polish and Paraguayan origin.
Significant differences in the reduction in the body weight of experimental animals were noted in Sumon et al. [27] and Misra et al. [28] studies. However different results were obtained by Bekele [29], who observed a small but significant (p < 0.05) increase in body weight of the animals fed a diet with a water extract of Stevia rebaudiana.
In a 21-day experiment, Gengaihi et al. [30] administered pure stevioside in the amount of 2.5 g/kg b.w. to diabetic rats, as an addition to the basic diet. The researchers showed a significant reduction (p ≤ 0.05) in the concentration of glucose in the animal blood compared to the control group of diabetic rats. In the study by Suanarunsawat et al. [31], a 10-times-lower (0.25 g/kg b.w.) dose of stevioside significantly increased glucose levels in healthy rats, but did not cause changes in sick diabetic animals. Jeppesen et al. [32] conducted research on Wistar and Goto–Kakizaki rats. The Goto–Kakizaki animals are characterized by induced diabetes. It was shown that the addition of stevioside to the diet in rats with impaired carbohydrate metabolism did not significantly affect blood glucose levels. The study showed that stevioside increased insulin secretion and lowered glucagon concentration. The same effect was not observed in Wistar rats, proving that stevioside had hypoglycemic activity only in rats with impaired carbohydrate metabolism. Cavalcante de Silva et al. [33] analyzed the effect of stevioside administered orally for 90 days, in the amount of 50 mg/day, on selected biochemical parameters of people with hyperlipidemia. In a study conducted by Atteh et al. [34] on a group of chickens fed dried leaves of Stevia rebaudiana Bert. as an addition to the diet (2 g/100 g of diet) or stevioside (0.013 g/100 g of diet), a significant reduction in glucose concentration from 265.6 mg/100 mL to 228.5 mg/100 mL was observed in the group of animals receiving a diet with the addition of dried Stevia rebaudiana leaves. The addition of stevioside to the diet did not cause a significant difference in the level of glucose in the blood of chickens.
Research results in the available literature [35,36,37] most often differ from the results of the lipid profile obtained in our own experiment.
We found in our study that the addition of steviol glycosides to the hypercholesterol diet did not cause a reduction in serum triacylglycerols. Other parameters of the lipid profile also did not change significantly. However, after adding Stevia leaves to the hypercholesterolemic diet, all parameters of lipid profiles increased. Only triacylglycerols did not change significantly as a result of feeding rats the diet with the addition of Brazilian-origin Stevia leaves.
In all of the above-cited references, a reduction in the concentration of total cholesterol in the blood serum of animals receiving the diet with the addition of Stevia rebaudiana compared to those fed the control diet was observed. An important factor influencing the differentiation of results may be the form in which Stevia rebaudiana was administered (i.e., extract or dried material), the amount of addition to the basic diet or the health status of the experimental animals (e.g., diabetic or not).
The results of human studies also differed from our own studies. Cavalcante de Silva et al. [33], in an experiment in hyperlipidemia patients who were given oral stevioside for 90 days, observed a slight decrease in total cholesterol, which was 25.04 mg/dL, compared to the baseline. The 90-day study conducted by Chan et al. [38] involved patients with untreated hyperlipidemia and congenital arterial hypertension. Their consumption of stevioside resulted in reduction in the lipid profile parameters. In turn, Barriocanal et al. [39] conducted an experiment where 76 volunteers were assigned to three groups: those suffering from type II diabetes, type I diabetes and healthy people. Steviol glycosides with purity ≥ 92% were administered over a period of three months. On completion of the experiment, a significant increase in the level of total cholesterol (from 164.7 to 173.7 mg/dL) was observed in the blood serum of healthy patients. Similarly, an increase in total cholesterol (from 148.9 to 159.5 mg/dL) was observed in the group of people with type 1 diabetes. On the contrary, a significant decrease in the value of this parameter (from 186.9 to 175.1 mg/dL) was observed among people with type II diabetes.
Due to the small number of standardized studies on the effect of Stevia rebaudiana Bert. on the level of total cholesterol, it is difficult to clearly compare the results obtained with the results described in the available scientific papers.
The literature data regarding the examined relationship between the concentration of HDL cholesterol and the addition of dried leaves of Stevia rebaudiana or steviol glycosides to the diet of experimental animals are not unambiguous.
In the study by Junbi and Amer [40], with rats receiving a diet with the addition of 1% Stevia rebaudiana Bert., a significant increase in the concentration of HDL cholesterol in the blood serum of healthy and diabetic rats was observed. Similar results were obtained by Sayed et al. [36], who observed a significant increase in the value of the examined parameter in animals fed a diet with the addition of 1% of dried Stevia rebaudiana Bert. leaves from plantations in Bangladesh. In their own study, the authors also noted a significant reduction in the concentration of HDL cholesterol in the blood serum of rats receiving the diet with the addition of 4 and 5% of dried leaves of this plant. Figlewicz et al. [41] noted that the concentration of the examined parameter in the blood serum of rats receiving an aqueous extract of Stevia rebaudiana Bert leaves tended to decrease. The results of Park and Cha [35] confirm the beneficial effects of the tested plant. Different conclusions regarding the effect of Stevia rebaudiana on HDL cholesterol levels have also been drawn from human studies. Cavalcante de Silva et al. [33], Savita et al. [42] as well as Barriocanal et al. [39] observed the lowering effect of Stevia rebaudiana Bert. on the tested parameter in their patients, regardless of the form of administration of this plant. In turn, Sharma et al. [24] noted the beneficial effect of Stevia rebaudiana leaf extract, resulting in a significant increase in the concentration of the parameter in question, from 47.9 mg/dL to 49.75 mg/dL.
There was a significant increase in the concentration of triacylglycerols in the blood serum of rats receiving the hypercholesterolemic diet with the addition of 18% of dried Stevia rebaudiana Bert. leaves from a Paraguayan plantation. In rats fed the diet with the addition of steviol glycosides, there were no significant changes in the concentration of triacylglycerols in the blood serum. In the study by Junbi and Amer [40], a lower, but insignificant, level of triacylglycerols (72 mg/dL) was observed in the blood serum of healthy rats fed a diet with 1% Stevia rebaudiana, compared to rats receiving a control diet (78 mg/dL). The addition of stevioside, given to patients with hyperlipidemia in the studies by Cavalcante de Silva et al. [33], resulted in a non-significant increase in triacylglycerol concentration. A different result was obtained by Sharma et al. [24], who used an aqueous extract of Stevia rebaudiana leaves. The above-mentioned authors observed a significant decrease in the concentration of the examined parameter among patients, from 207.2 mg/dL to 194.8 mg/dL.
Serum ALT tended to decrease in rats fed the hypercholesterolemic diet with the addition of steviol glycosides and increase in animals fed the hypercholesterolemic diet with the addition of dried leaves of Stevia rebaudiana. This parameter was significantly increased in rats fed the diet with 18% of dried leaves from Paraguay. The tendency to decrease the activity of AST was found in our study only after the addition of steviol glycosides and dried leaves from Paraguay. The available scientific papers on the effect of Stevia rebaudiana as a dietary supplement on the activity of these enzymes are not unambiguous. Gengaihi et al. [30] reported a beneficial effect of the addition of steviol glycosides to the diet of diabetic rats, compared to diabetic animals fed a control diet. ALT activity decreased by 1.63% and AST activity by 41.4% compared to the control group. Similar results were obtained by Shivanna et al. [43], who analyzed, e.g., changes in the activity of liver enzymes in healthy and diabetic rats. After 5 weeks of feeding a diet with 4% of dried Stevia rebaudiana leaves, a significant reduction in ALT and AST (amounting to 45 and 38%, respectively) was observed in the group of diabetic animals, compared to the control group.
Studies conducted on patients with hyperlipidemia show that the addition of isolated stevioside to their diet did not affect the activity of alanine and aspartate aminotransferase in blood serum [33].
In the experiment, no significant changes in the concentration of SOD were found in the blood. The addition of steviol glycosides resulted in a non-significant, 3.93% reduction in SOD compared to the rats receiving the hypercholesterolemic diet. Sharma et al. [24] found a significant increase in the concentration of superoxide dismutase in the blood of diabetic rats receiving a diet with the addition of an aqueous extract of Stevia rebaudiana leaves for 28 days compared to the control group.
No significant changes in the activity of GR in the blood serum of the animals fed the hypercholesterolemic diet with the addition of steviol glycosides or dried leaves of the tested plant, both from domestic and foreign cultivation, in comparison to the animals receiving the hypercholesterolemic diet, were observed. In a study on induced diabetic rats by Shivanna et al. [43], the concentration of GR in the serum of rats fed a diet with the addition of dried leaves of Stevia rebaudiana Bert. showed a tendency to decrease compared to a group of rats fed a control diet. In our study, the activity of GPx in the blood serum of animals receiving the hypercholesterolemic diet modified with the addition of dried leaves of the plant from Polish cultivation showed a tendency to increase in comparison to animals fed the hypercholesterolemic diet and the hypercholesterolemic diet with the addition of steviol glycosides.
A significant increase in the concentration of GPx in the blood serum of healthy rats receiving a diet with 4% addition of dried leaves of Stevia rebaudiana Bert. compared to the control diet was found in the study by Shivanna et al. [43]. On the other hand, a significant decrease in the value of the examined parameter was observed in the blood of rats with induced diabetes, fed with the above-mentioned addition of dried leaves of the tested plant in relation to the control group of diabetic animals.
In our own study, various concentrations of MDA were found in the blood serum and liver of the experimental animals.
An increase (≈50%) in the concentration of MDA in the blood serum of animals receiving the hypercholesterolemic diet as compared to the animals fed the AIN-93G diet was observed, but these differences were not significant.
In rats fed the diet with the addition of steviol glycosides, but not in rats fed a diet with the addition of Stevia leaves (p > 0.05), a significant decrease in MDA concentration was found in relation to rats fed the hypercholesterolemic diet (p ≤ 0.05). In the liver of rats fed the hypercholesterolemic diet with the addition of steviol glycosides, there was a significant decrease in the value of the examined parameter compared to rats fed the hypercholesterolemic diet.
Özbayer et al. [44] found a tendency that the concentration of MDA increased in the blood and liver of experimental animals fed a diet with the addition of water extract of Stevia rebaudiana. At the same time, it was shown that the addition of the extract to the diet of diabatic rats caused a significant reduction in MDA, both in the blood and in the liver, compared to the control group.
There are no data in the available literature on histological evaluation of rats’ liver fed with steviol glycosides or Stevia leaves. Histological evaluation of the liver of rats fed the diet with the addition of dried leaves of Stevia rebaudiana Bert., originating from domestic cultivation, showed the formation of fine- and coarse-grained steatosis of the examined organ and various degrees of damage to hepatocytes. In addition, small foci of necrosis and numerous inflammatory infiltrates were also found in comparison to rats fed the hypercholesterolemic diet and the hypercholesterolemic diet with the addition of steviol glycosides. The addition of 17% and 18% of dried leaves of the plant cultivated in Brazil and Paraguay to the diet of animals resulted in smaller inflammatory foci compared to animals receiving a hypercholesterolemic diet with the addition of dried leaves of Stevia rebaudiana Bert. from Polish cultivation.
To summarize, it is extremely difficult to conclude why the addition of whole Stevia leaves to the diet caused changes mainly in the blood lipid profile while the addition of steviol glycosides alone did not alter these parameters. As mentioned above, a plant is a carrier of many nutritional and non-nutritive ingredients that interfere and can trigger different, sometimes unexpected, biological effects. In order to precisely explain the obtained results, different combinations of the individual ingredients would have to be used both together and separately in similar studies, which is not easy, as long-term studies involving experimental animals must be compliant with the 3R principle.
5. Conclusions
Our research was the first to compare the addition of steviol glycosides of Stevia leaves to the hypercholesterolemic diet-fed rats, and we observed the following results:
The addition of steviol glycosides to the hypercholesterolemic diet did not result in significant differences between the weight of the kidneys, heart and liver compared to the animals fed the hypercholesterolemic diet.
In the animals fed the hypercholesterolemic diet with the addition of steviol glycosides, there were no significant differences in the blood concentration of glucose, serum TCh, Ch-HDL, Ch-LDL + VLDL and TG parameters compared to animals receiving the hypercholesterolemic diet. Similar results were shown in the case of rats fed with the hypercholesterolemic diet supplemented with Stevia leaves, with the exception of TCh and Ch-VLDL + LDL, which significantly increased in each case, and Ch-HDL (Brazilian and Paraguay origin) when compared both to the rats fed the hypercholesterolemic diet and with the diet supplemented with steviol glycosides.
The activity of ALT in the blood serum of animals had a tendency to decrease after the addition of steviol glycosides and increase after the addition of Stevia leaves (10%PL and 17%BR) in comparison to animals fed the hypercholesterolemic diet. At the same time, a tendency to decrease the activity of AST was found, both after the addition of steviol glycosides and dried leaves of the tested plant (18%PR).
In the conducted experiment, a tendency to decreased antioxidant activity (TAS) of the blood serum of the animals fed the hypercholesterolemic diet, modified with the addition of the tested plant and the addition of steviol glycosides, was most often demonstrated, compared to the animals fed the hypercholesterolemic diet.
The addition of steviol glycosides to the diet (but not Stevia leaves) significantly reduced the level of MDA in the liver.
In animals fed the modified diet, both by the addition of dried leaves of Stevia rebaudiana Bert. and steviol glycosides, the pro/antioxidant system remains in balance.
Considering that the significant changes in the examined parameters were unfavorable, it is not possible to conclude, from this study, that Stevia leaves can be safely used by the consumers.
The application of different doses of dried leaves corresponding to the same amount of steviol glycosides did not allow us to clearly determine which Stevia had the most beneficial and which the most unfavorable effects.
In the next studies, the authors compared the effect of the addition of Stevia leaves also of Paraguayan, Brazilian and Polish origin to the diet, but in identical amounts, on the growth and selected biochemical parameters of experimental animals. These studies have not been published yet.
Author Contributions
Conceptualization T.L. and B.P.; methodology, B.P. and A.K.; formal analysis, B.P.; writing—original draft preparation T.L., B.P., E.P. and R.B.-K.; writing—review and editing, E.P. and T.L.; supervision T.L. All authors have read and agreed to the published version of the manuscript.
Funding
The study was financed by the Ministry of Science and Higher Education of the Republic of Poland.
Institutional Review Board Statement
The experiments were carried out at the Department of Human Nutrition of the University of Agriculture in Krakow, after obtaining the consent of the 1st Local Ethical Committee in Krakow (no. 97/VI/2010).
Informed Consent Statement
Not applicable.
Data Availability Statement
Data are contained within the article.
Conflicts of Interest
The authors declare no conflict of interest.
References
- Grajek, W. Role of antioxidants in reducing the occurrence risk of cancer and cardiac vascular diseases. Food Sci. Technol. Qual. 2004, 11, 3–11. [Google Scholar]
- Genus, J. Stevioside. Phytochemisty 2003, 64, 913–921. [Google Scholar] [CrossRef] [PubMed]
- Leszczyńska, T.; Piekło, B.; Kopeć, A.; Zimmermann, B.F. Comparative Assessment of the Basic Chemical Composition and Antioxidant Activity of Stevia rebaudiana Bertoni Dried Leaves, Grown in Poland, Paraguay and Brazil—Preliminary Results. Appl. Sci. 2021, 11, 3634. [Google Scholar] [CrossRef]
- Kolanowski, W. Glikozydy stewiolowe–właściwości i zastosowanie w żywności. Bromatol. Chem. Toksykol. 2013, 46, 140–150. [Google Scholar]
- Lemus-Mondaca, R.; Vega-Gálvez, A.; Zura-Bravo, L.; Ah-Hen, K. Stevia rebaudiana Bertoni, source of a high-potency natural sweetener: A comprehensive review on the biochemical, nutritional and functional aspects. Food Chem. 2012, 132, 1121–1132. [Google Scholar] [CrossRef]
- Abou-Arab, A.E.; Abou-Arab, A.A.; Abu-Salem, M.F. Physico-chemical assessment of natural sweeteners steviosides produced from Stevia rebaudiana Bertoni plant. Afr. J. Food Sci. 2010, 4, 269–281. [Google Scholar]
- McGarvey, B.D.; Attygalle, A.B.; Starratt, A.N.; Xiang, B.; Schroeder, F.C.; Brandle, J.E.; Meinwald, J. New Non-Glycosidic Diterpenes from the Leaves of Stevia rebaudiana. J. Nat. Prod. 2003, 66, 1395–1398. [Google Scholar] [CrossRef]
- Choi, Y.; Manthey, J.A.; Park, T.H.; Cha, Y.K.; Kim, Y.; Kim, Y. Correlation between in vitro binding activity of sweeteners to cloned human sweet taste receptor and sensory evaluation. Food Sci. Biotechnol. 2021, 30, 675–682. [Google Scholar] [CrossRef]
- Melis, M.S.; Rocha, S.T.; Augusto, A. Steviol effect, a glycoside of Stevia rebaudiana on glucose clearances in rats. Braz. J. Biol. 2009, 69, 371–374. [Google Scholar] [CrossRef]
- Carakostas, M.C.; Curry, L.L.; Boileau, A.C.; Brusick, D.J. Overview: The history, technical function and safety of rebaudioside A, a naturally occurring steviol glycoside, for use in food and beverages. Food Chem. Toxicol. 2008, 46, S1–S10. [Google Scholar] [CrossRef]
- Dacome, A.S.; Da Silva, C.C.; Da Costa, C.E.; Fontana, J.D.; Adelmann, J.; Da Costa, S.C. Sweet diterpenic glycosides balance of a new cultivar of Stevia rebaudiana (Bert.) Bertoni: Isolation and quantitative distribution by chromatographic, spectroscopic, and electrophoretic methods. Process Biochem. 2005, 40, 3587–3594. [Google Scholar] [CrossRef]
- Momtazi-Borojeni, A.A.; Esmaeili, S.A.; Abdollahi, E.; Sahebkar, A.A. Review on the Pharmacology and Toxicology of Steviol Glycosides Extracted from Stevia rebaudiana. Curr. Pharm. Des. 2017, 23, 1616–1622. [Google Scholar] [CrossRef] [PubMed]
- Ahmad, U.; Ahmad, R.S. Anti diabetic property of aqueous extract of Stevia rebaudiana Bertoni leaves in streptozotocin-induced diabetes in albino rats. BMC Complement. Altern. Med. 2018, 18, 179. [Google Scholar] [CrossRef] [PubMed]
- He, J.; Zhu, N.-L.; Kong, J.; Peng, P.; Li, L.-F.; Wei, X.-L.; Jiang, Y.Y.; Zhang, Y.L.; Bian, B.L.; She, G.-M. A newly discovered phenylethanoid glycoside from Stevia rebaudiana Bertoni affects insulin secretion in rat INS-1 Islet β cells. Molecules 2019, 24, 4178. [Google Scholar] [CrossRef]
- Khare, N.; Chandra, S. Stevioside mediated chemosensitization studies and cytotoxicity assay on breast cancer cell lines MDA-MB-231 and SKBR3. Saudi J. Biol. Sci. 2019, 26, 1596–1601. [Google Scholar] [CrossRef]
- Zhao, L.; Yang, H.; Xu, M.; Wang, X.; Wang, C.; Lian, Y.; Mehmood, A.; Dai, H. Stevia residue extract ameliorates oxidative stress in d-galactose-induced aging mice via Akt/Nrf2/HO-1 pathway. J. Funct. Foods 2019, 52, 587–595. [Google Scholar] [CrossRef]
- Khatun, M.C.S.; Muhit, M.A.; Hossain, M.J.; Al-Mansur, M.A.; Rahman, S.A. Isolation of phytochemical constituents from Stevia rebaudiana (Bert.) and evaluation of their anticancer, antimicrobial and antioxidant properties via in vitro and in silico approaches. Heliyon 2021, 7, e08475. [Google Scholar] [CrossRef]
- Sengul, M.; Unver, H.; Topdas, E.F.; Akbulut, M.; Coklar, H.; Yilmaz, B. Evaluation of antioxidant properties and phenolic and aromatic profiles of cornelian cherry pestil samples prepared with sucrose and stevia addition. J. Food Process. Preserv. 2022, 46, e16681. [Google Scholar] [CrossRef]
- Myint, K.Z.; Chen, J.M.; Zhou, Z.Y.; Xia, Y.M.; Lin, J.; Zhang, J. Structural dependence of antidiabetic effect of steviol glycosides and their metabolites on streptozotocin-induced diabetic mice. J. Sci. Food Agric. 2020, 100, 3841–3849. [Google Scholar] [CrossRef]
- Deenadayalan, A.; Subramanian, V.; Paramasivan, V.; Veeraraghavan, V.P.; Rengasamy, G.; Sadagopan, J.C.; Rajagopal, P.; Jayaraman, S. Stevioside attenuates insulin resistance in skeletal muscle by facilitating IR/IRS-1/Akt/GLUT 4 signaling pathways: An in vivo and in silico approach. Molecules 2021, 26, 7689. [Google Scholar] [CrossRef]
- El-Mesallamy, A.; Mahmoud, S.A.; Elazab, K.M.; Hussein, S.A.M.; Hussein, A.M. Attenuation of metabolic dysfunctions in the skeletal muscles of type 1 diabetic rats by Stevia rebaudiana extracts, via AMPK upregulation and antioxidant activities. Acta Sci. Pol. Technol. Aliment. 2018, 17, 289–297. [Google Scholar] [CrossRef] [PubMed]
- Reeves, P.G.; Nielsen, F.H.; Fahey, G.C., Jr. AIN-93 purified diets for laboratory rodents: Final report of the American Institute of Nutrition ad hoc writing committee on the reformulation of the AIN-76A rodent diet. J. Nutr. 1993, 123, 1939–1951. [Google Scholar] [CrossRef] [PubMed]
- Melis, M.S. Chronic administration of aqueous extract of Stevia rebaudiana in rats: Renal effects. J. Ethnopharmacol. 1995, 47, 129–134. [Google Scholar] [CrossRef]
- Sharma, M.; Thakral, N.K.; Thakral, S. Chemistry and in vivo profile of ent-kaurene glycosides of Stevia rebaudiana Bertoni—An overview. Nat. Prod. Radiance 2009, 8, 181–189. [Google Scholar]
- Kopeć, A.; Piątkowska, E.; Leszczyńska, T.; Koronowicz, A. Effect of long term administration of resveratrol on lipid concentration in selected organs and liver’s histology in rats fed high fructose diet. J. Funct. Foods 2013, 5, 299–305. [Google Scholar] [CrossRef]
- Baranowska, M.; Koziara, Z.; Suliborska, K.; Chrzanowski, W.; Wormstone, M.; Namieśnik, J.; Bartoszek, A. Interactions between polyphenolic antioxidants quercetin and naringenin dictate the distinctive redox-related chemical and biological behaviour of their mixtures. Sci. Rep. 2021, 11, 12282. [Google Scholar] [CrossRef]
- Sumon, M.H.; Mostofa, M.; Jahan, M.S.; Kayesh, E.H.; Haque, M.A. Comparative efficacy of powdered form of stevia (Stevia rebaudiana Bertoni) leaves and glimepiride in induced diabetic rats. Bangladesh J. Vet. Med. 2008, 6, 211–215. [Google Scholar] [CrossRef]
- Misra, H.; Soni, M.; Silawat, N.; Mehta, D.; Mehta, B.K.; Jain, D.C. Antidiabetic activity of medium-polar extract from the leaves of Stevia rebaudiana Bert. (Bertoni) on alloxaninduced diabetic rats. J. Pharm. Bioallied Sci. 2011, 3, 242–248. [Google Scholar]
- Bekele, T. Antidiabetic Activity and Phytochemical Screening of Crude Extracts of Stevia rebaudiana Bertoni and Ajuga remota Benth Grown in Ethiopia on Alloxan-Induced Diabetic Mice. Master’s Thesis, Addis Ababa University, Addis Ababa, Ethiopia, 2008. [Google Scholar]
- Gengaihi, E.; Souad, N.I.; Sahar, R.; Regal, E.; Naglaa, S. Sweet ent-kaurene diterpene glycosides of Stevia rebaudiana Leaves bertoni and biological evaluation. J. Am. Sci. 2011, 7, 775–782. [Google Scholar]
- Suanarunsawat, T.; Klongpanichapak, S.; Rungseesantivanon, S.; Chaiyabutr, N. Glycemic effect of stevioside and Stevia rebaudiana in streptozotocin-induced diabetic rats. East. J. Med. 2004, 9, 51. [Google Scholar]
- Jeppesen, P.B.; Gregersen, S.; Alstrup, K.K.; Hermansen, K. Stevioside induces antihyperglycaemic, insulinotropic and glucagonostatic effects in vivo: Studies in the diabetic Goto-Kakizaki (GK) rats. Phytomedicine 2002, 9, 9–14. [Google Scholar] [CrossRef] [PubMed]
- Silva, G.E.C.D.; Assef, A.H.; Albino, C.C.; Ferri, L.D.A.F.; Tasin, G.; Takahashi, M.H.; Filho, W.E.; Bazotte, R.B. Investigation of the tolerability of oral stevioside in Brazilian hyperlipidemic patients. Braz. Arch. Biol. Technol. 2006, 49, 583–587. [Google Scholar] [CrossRef]
- Atteh, J.O.; Onagbesan, O.M.; Tona, K.; Decuypere, E.; Geuns, J.M.C.; Buyse, J. Evaluation of supplementary stevia (Stevia rebaudiana, bertoni) leaves and stevioside in broiler diets: Effects on feed intake, nutrient metabolism, blood parameters and growth performance. J. Anim. Physiol. Anim. Nutr. 2008, 92, 640–649. [Google Scholar] [CrossRef] [PubMed]
- Park, J.E.; Cha, Y.S. Stevia rebaudiana Bertoni extract supplementation improves lipid and carnitine profiles in C57BL/6J mice fed a high-fat diet. J. Sci. Food Agric. 2010, 90, 1099–1105. [Google Scholar] [CrossRef] [PubMed]
- Sayed, M.A.; Mortuza, M.G.; Rashid, M.H.; Hossain, M.A. Formulation of stevia incorporated cereal-legume based therapeutic food for regulating lipid profile. J. Agrofor. Environ. 2009, 3, 95–97. [Google Scholar]
- Hossain, M.S.; Alam, M.B.; Asadujjaman, M.; Islam, M.M.; Rahman, M.A.; Islam, M.A.; Islam, A. Antihyperglycemic and antihyperlipidemic effects of different fractions of Stevia rebaudiana leaves in alloxan induced diabetic rats. Int. J. Pharm. Sci. 2011, 2, 1722. [Google Scholar]
- Chan, P.; Tomlinson, B.; Chen, Y.J.; Liu, J.C.; Hsieh, M.H.; Cheng, J.T. A double-blind placebo-controlled study of the effectiveness and tolerability of oral stevioside in human hypertension. Br. J. Clin. Pharmacol. 2000, 50, 215–220. [Google Scholar] [CrossRef]
- Barriocanal, L.A.; Palacios, M.; Benitez, G.; Benitez, S.; Jimenez, J.T.; Jimenez, N.; Rojas, V. Apparent lack of pharmacological effect of steviol glycosides used as sweeteners in humans. A pilot study of repeated exposures in some normotensive and hypotensive individuals and in Type 1 and Type 2 diabetics. Regul. Toxicol. Pharmacol. 2008, 51, 37–41. [Google Scholar] [CrossRef]
- Junbi, H.H.; Amer, A.H. Biological properties of Stevia sweetener and egg replacers’ products on serum biochemical markers of diabetic rats. J. Nutr. Metab. 2013, 2, 82–87. [Google Scholar]
- Figlewicz, D.P.; Ioannou, G.; Jay, J.B.; Kittleson, S.; Savard, C.; Roth, C.L. Effect of moderate intake of sweeteners on metabolic health in the rat. Physiol. Behav. 2009, 98, 618–624. [Google Scholar] [CrossRef]
- Savita, S.M.; Sheela, K.; Sunanda, S.; Shankar, A.G.; Ramakrishna, P.; Sakey, S. Health implications of Stevia rebaudiana. J. Hum. Ecol. 2004, 15, 191–194. [Google Scholar] [CrossRef]
- Shivanna, N.; Naika, M.; Khanum, F.; Kaul, V.K. Antioxidant, anti-diabetic and renal protective properties of Stevia rebaudiana. J. Diabetes Complicat. 2013, 27, 103–113. [Google Scholar] [CrossRef] [PubMed]
- Özbayer, C.; Değirmenci, İ.; Kurt, H.; Özden, H.; Civi, K.; Basaran, A.; Gunes, H. Antioxidant and free radical-scavenging properties of Stevia rebaudiana (Bertoni) extracts and L-NNA in streptozotocine-nicotinamide induced diabetic rat liver. Turk. Klin. J. Health Sci. 2011, 31, 51–60. [Google Scholar] [CrossRef]
Disclaimer/Publisher’s Note: The statements, opinions and data contained in all publications are solely those of the individual author(s) and contributor(s) and not of MDPI and/or the editor(s). MDPI and/or the editor(s) disclaim responsibility for any injury to people or property resulting from any ideas, methods, instructions or products referred to in the content. |
© 2023 by the authors. Licensee MDPI, Basel, Switzerland. This article is an open access article distributed under the terms and conditions of the Creative Commons Attribution (CC BY) license (https://creativecommons.org/licenses/by/4.0/).