Biomechanical Assessment of Cannulated Nails for the Treatment of Proximal Femur Fractures
Abstract
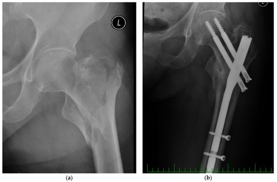
:1. Introduction
2. Materials and Methods

| Medin a.s. | Nail collo-diaphyseal angle 125° | Healed femur | Figure 6a |
| Broken femur | Figure 7a | ||
| Nail collo-diaphyseal angle 130° | Healed femur | Figure 6b | |
| Broken femur | Figure 7b | ||
| Nail collo-diaphyseal angle 135° | Healed femur | Figure 6c | |
| Broken femur | Figure 7c | ||
| Tantum | Nail collo-diaphyseal angle 120° | Healed femur | Figure 6d |
| Broken femur | Figure 7d | ||
| Nail collo-diaphyseal angle 125° | Healed femur | Figure 6e | |
| Broken femur | Figure 7e |


3. Finite Element Analysis
4. Results
5. Discussion
6. Conclusions
Author Contributions
Funding
Institutional Review Board Statement
Informed Consent Statement
Data Availability Statement
Acknowledgments
Conflicts of Interest
References
- Frydrýšek, K.; Šír, M.; Pleva, L. Strength Analyses of Screws for Femoral Neck Fractures. J. Med. Biol. Eng. 2018, 38, 816–834. [Google Scholar] [CrossRef] [PubMed] [Green Version]
- Frydrýšek, K.; Šír, M.; Pleva, L.; Szeliga, J.; Stránský, J.; Čepica, D.; Kratochvíl, J.; Koutecký, J.; Madeja, R.; Dědková, K.P.; et al. Stochastic Strength Analyses of Screws for Femoral Neck Fractures. Appl. Sci. 2022, 12, 1015. [Google Scholar] [CrossRef]
- Meinberg, E.; Agel, J.; Roberts, C.; Karam, M.D.; Kellam, J.F. Fracture and Dislocation Classification Compendium—2018. J. Orthop. Trauma 2018, 32, S1–S10. [Google Scholar] [CrossRef] [PubMed]
- Mittal, R.; Banerjee, S. Proximal femoral fractures: Principles of management and review of literature. J. Clin. Orthop. Trauma 2012, 3, 15–23. [Google Scholar] [CrossRef] [Green Version]
- Evans, E.M. The treatment of trochanteric fractures of the femur. J. Bone Jt. Surg. 1949, 31, 190–203. [Google Scholar] [CrossRef]
- Garden, R.S. Low-Angle Fixation in Fractures of the Femoral Neck. J. Bone Jt. Surgery. Br. Vol. 1961, 43, 647–663. [Google Scholar] [CrossRef]
- Theisz, G.; Frydrýšek, K.; Fojtík, F.; Pečenka, L.; Kubín, T.; Sadilek, M.; Kratochvíl, J.; Demel, J.; Madeja, R.; Pleva, L. Locking Compression Plate for Distal Tibia Fractures. Appl. Mech. Mater. 2016, 827, 359–366. [Google Scholar] [CrossRef]
- Frydrýšek, K.; Theisz, G.; Bialy, L.; Pliska, L.; Pleva, L. Finite element modelling of T-plate for treatment of distal radius. In Intelligent Systems for Computer Modelling. Advances in Intelligent Systems and Computing; Stýskala, V., Kolosov, D., Snášel, V., Karakeyev, T., Abraham, A., Eds.; Springer: Cham, Switzerland, 2016; Volume 423. [Google Scholar] [CrossRef]
- Bartoníček, J.; Rammelt, S. The history of internal fixation of proximal femur fractures Ernst Pohl—The genius behind. Int. Orthop. 2014, 38, 2421–2426. [Google Scholar] [CrossRef]
- Hasenboehler, E.A.; Agudelo, J.F.; Morgan, S.J.; Smith, W.R.; Hak, D.J.; Stahel, P.F. Treatment of Complex Proximal Femoral Fractures with the Proximal Femur Locking Compression Plate. Orthopedics 2007, 30, 618–623. [Google Scholar]
- Simmermacher, R.; Bosch, A.; Van der Werken, C. The AO/ASIF-proximal femoral nail (PFN): A new device for the treatment of unstable proximal femoral fractures. Injury 1999, 30, 327–332. [Google Scholar] [CrossRef]
- Ramlee, M.H. Finite Element Modelling and Simulation for Lower Limb of Human Bone: A Review. Mal. J. Med. Health Sci. 2020, 16, 262–271. [Google Scholar]
- Jamari, J.; Ammarullah, M.; Saad, A.; Syahrom, A.; Uddin, M.; van der Heide, E.; Basri, H. The Effect of Bottom Profile Dimples on the Femoral Head on Wear in Metal-on-Metal Total Hip Arthroplasty. J. Funct. Biomater. 2021, 12, 38. [Google Scholar] [CrossRef]
- Čada, R.; Frydrýšek, K.; Sejda, F.; Demel, J.; Pleva, L. Analysis of Locking Self-Taping Bone Screws for Angularly Stable Plates. J. Med. Biol. Eng. 2017, 37, 612–625. [Google Scholar] [CrossRef] [Green Version]
- Drápala, J.; Kostiuková, G.; Losertová, M. Influence of heat treatment on microstructure and mechanical properties of SUS 316L alloy. In Proceedings of the 27th International Conference on Metallurgy and Materials (METAL), Brno, Czech Republic, 23–25 May 2018; pp. 1527–1532. [Google Scholar]
- Hlinka, J.; Dostalova, K.; Dedkova, K.P.; Madeja, R.; Frydrysek, K.; Koutecky, J.; Sova, P.; Douglas, T.E.L. Complex Material and Surface Analysis of Anterolateral Distal Tibial Plate of 1.4441 Steel. Metals 2021, 12, 60. [Google Scholar] [CrossRef]
- Deswal, A.; Saxena, A.K.; Bala, A. Measurement of Collo-Diaphyseal Angle and Femoral Neck Anteversion Angle of Femur Bone. Int. J. Sci. Stud. 2017, 5, 97–99. [Google Scholar]
- MEDIN. Instruments and Implants for Traumatology; MEDIN: Nové Město na Moravě, Czech Republic, 2018; pp. E5.3–E5.4. Available online: https://www.medin.cz/media/cache/file/ce/medin-traumatology-catalogue-2018-10-CS-EN_LQ.pdf (accessed on 21 April 2022).
- Tantum. Systemübersicht PLATON. Available online: https://tantum-ag.de/wp-content/uploads/2018/09/b_02_11.1_platon_broschuere.pdf (accessed on 21 April 2022).
- Ansys. Ansys Workbench 2020 R2. 2020. Available online: https://www.ansys.com/products/ansys-workbench (accessed on 21 April 2022).
- Steinberg, E.L.; Blumberg, N.; Dekel, S. The fixion proximal femur nailing system: Biomechanical properties of the nail and a cadaveric study. J. Biomech. 2005, 38, 63–68. [Google Scholar] [CrossRef]
- Moon, J.K.; Lee, J.I.; Hwang, K.T.; Yang, J.-H.; Park, Y.-S.; Park, K.-C. Biomechanical comparison of the femoral neck system and the dynamic hip screw in basicervical femoral neck fractures. Sci. Rep. 2022, 12, 7915. [Google Scholar] [CrossRef]
- Huang, Y.; Zhang, C.; Luo, Y. A comparative biomechanical study of proximal femoral nail (InterTAN) and proximal femoral nail antirotation for intertrochanteric fractures. Int. Orthop. 2013, 37, 2465–2473. [Google Scholar] [CrossRef] [Green Version]
- Frydrýšek, K.; Čepica, D.; Halo, T.; Skoupý, O.; Pleva, L.; Madeja, R.; Pometlová, J.; Losertová, M.; Koutecký, J.; Michal, P.; et al. Biomechanical Analysis of Staples for Epiphysiodesis. Appl. Sci. 2022, 12, 614. [Google Scholar] [CrossRef]
- Cristofolini, L.; Viceconti, M.; Cappello, A.; Toni, A. Mechanical validation of whole bone composite femur models. J. Biomech. 1996, 29, 525–535. [Google Scholar] [CrossRef]
- Orwoll, E.S.; Marshall, L.M.; Nielson, C.M.; Cummings, S.R.; Lapidus, J.; Cauley, J.A.; Ensrud, K.; Lane, N.; Hoffmann, P.R.; Kopperdahl, D.L.; et al. Finite Element Analysis of the Proximal Femur and Hip Fracture Risk in Older Men. J. Bone Miner. Res. 2009, 24, 475–483. [Google Scholar] [CrossRef] [Green Version]
- Grassi, L.; Väänänen, S.; Yavari, S.A.; Weinans, H.; Jurvelin, J.S.; Zadpoor, A.A.; Isaksson, H. Experimental validation of finite element model for proximal composite femur using optical measurements. J. Mech. Behav. Biomed. Mater. 2013, 21, 86–94. [Google Scholar] [CrossRef]
- Nizamuddin, M.K.; Kirthana, S. Reconstruction of human femur bone from CT scan images using CAD techniques. IOP Conf. Ser. Mater. Sci. Eng. 2018, 455, 012103. [Google Scholar] [CrossRef]
- Materialise. Mimics Innovation Suite. Medical Image Analysis Software. Available online: https://www.materialise.com/en (accessed on 21 April 2022).

















| Material | Modulus of Tensile Elasticity/MPa/ | Poisson’s Constant/1/ | Offset Yield Strength Rp0.2/MPa/ | Tensile Strength Rm/MPa/ |
|---|---|---|---|---|
| Bone | 13,000 | 0.3 | - | - |
| 1.4441 steel | 200,000 | 0.29 | 800 | 1000 |
| Element | Femur | Screw | |
|---|---|---|---|
| Healed femur | Femur | (One body) | Bonded |
| Nail | Bonded | Bonded | |
| Broken femur | Femur | Frictionless | Bonded |
| Nail | Bonded | No separation |
| Σ of Elements | Σ of Nodes | |||
|---|---|---|---|---|
| Medin a.s. | Nail collo-diaphyseal angle 125° | Healed femur | 111,447 | 188,515 |
| Broken femur | 114,990 | 193,606 | ||
| Nail collo-diaphyseal angle 130° | Healed femur | 101,685 | 172,160 | |
| Broken femur | 103,090 | 174,794 | ||
| Nail collo-diaphyseal angle 135° | Healed femur | 102,524 | 173,702 | |
| Broken femur | 104,092 | 176,498 | ||
| Tantum | Nail collo-diaphyseal angle 120° | Healed femur | 113,942 | 190,439 |
| Broken femur | 109,578 | 183,865 | ||
| Nail collo-diaphyseal angle 125° | Healed femur | 110,558 | 185,967 | |
| Broken femur | 110,746 | 186,860 | ||
| Nail Material | Femur | (HMH)·10−2/MPa/ | Medin | Tantum | |||
|---|---|---|---|---|---|---|---|
| 125° | 130° | 135° | 120° | 125° | |||
| 1.4441 steel | Healed femur | 11.15 ÷ 12.55 | 5.69 ÷ 6.41 | 8.51 ÷ 9.58 | 7.46 ÷ 8.40 | 8.18 ÷ 9.21 | |
| Broken femur | 7.22 ÷ 8.12 | 5.58 ÷ 6.28 | 9.84 ÷ 11.07 | 5.45 ÷ 6.13 | 8.56 ÷ 9.63 | ||
| Nail Material | Femur | (HMH) /MPa/ | Medin | Tantum | |||
|---|---|---|---|---|---|---|---|
| 125° | 130° | 135° | 120° | 125° | |||
| 1.4441 steel | Healed femur | 109.35 ÷ 123.08 | 55.80 ÷ 62.86 | 83.46 ÷ 93.95 | 73.16 ÷ 82.38 | 80.22 ÷ 90.32 | |
| Broken femur | 70.81 ÷ 79.63 | 54.72 ÷ 61.59 | 96.50 ÷ 108.56 | 53.45 ÷ 60.12 | 83.95 ÷ 94.44 | ||
| Nail Material | Femur | Safety k/1/ | Medin | Tantum | |||
|---|---|---|---|---|---|---|---|
| 125° | 130° | 135° | 120° | 125° | |||
| 1.4441 steel | Healed femur | 7.32 | 14.34 | 9.59 | 10.93 | 9.97 | |
| 6.50 | 12.73 | 8.52 | 9.71 | 8.86 | |||
| Broken femur | 11.30 | 14.62 | 8.29 | 14.97 | 9.53 | ||
| 10.05 | 12.99 | 7.37 | 13.31 | 8.47 | |||
Publisher’s Note: MDPI stays neutral with regard to jurisdictional claims in published maps and institutional affiliations. |
© 2022 by the authors. Licensee MDPI, Basel, Switzerland. This article is an open access article distributed under the terms and conditions of the Creative Commons Attribution (CC BY) license (https://creativecommons.org/licenses/by/4.0/).
Share and Cite
Frydrýšek, K.; Halo, T.; Čepica, D.; Machalla, V.; Šimečková, K.; Skoupý, O.; Madeja, R.; Havlíček, M.; Dostálová, K.; Trefil, A.; et al. Biomechanical Assessment of Cannulated Nails for the Treatment of Proximal Femur Fractures. Appl. Sci. 2022, 12, 7470. https://doi.org/10.3390/app12157470
Frydrýšek K, Halo T, Čepica D, Machalla V, Šimečková K, Skoupý O, Madeja R, Havlíček M, Dostálová K, Trefil A, et al. Biomechanical Assessment of Cannulated Nails for the Treatment of Proximal Femur Fractures. Applied Sciences. 2022; 12(15):7470. https://doi.org/10.3390/app12157470
Chicago/Turabian StyleFrydrýšek, Karel, Tomáš Halo, Daniel Čepica, Vojtěch Machalla, Kateřina Šimečková, Ondřej Skoupý, Roman Madeja, Miroslav Havlíček, Kamila Dostálová, Antonín Trefil, and et al. 2022. "Biomechanical Assessment of Cannulated Nails for the Treatment of Proximal Femur Fractures" Applied Sciences 12, no. 15: 7470. https://doi.org/10.3390/app12157470
APA StyleFrydrýšek, K., Halo, T., Čepica, D., Machalla, V., Šimečková, K., Skoupý, O., Madeja, R., Havlíček, M., Dostálová, K., Trefil, A., Pleva, L., Murčinkova, Z., Krpec, P., & Hlinka, J. (2022). Biomechanical Assessment of Cannulated Nails for the Treatment of Proximal Femur Fractures. Applied Sciences, 12(15), 7470. https://doi.org/10.3390/app12157470

