Analysis of Dental Implant Rehabilitation in the Reconstructed Jaw by Deep Circumflex Iliac Artery Flap, a Retrospective Study
Abstract
:Featured Application
Abstract
1. Introduction
2. Materials and Methods
2.1. Study Participants
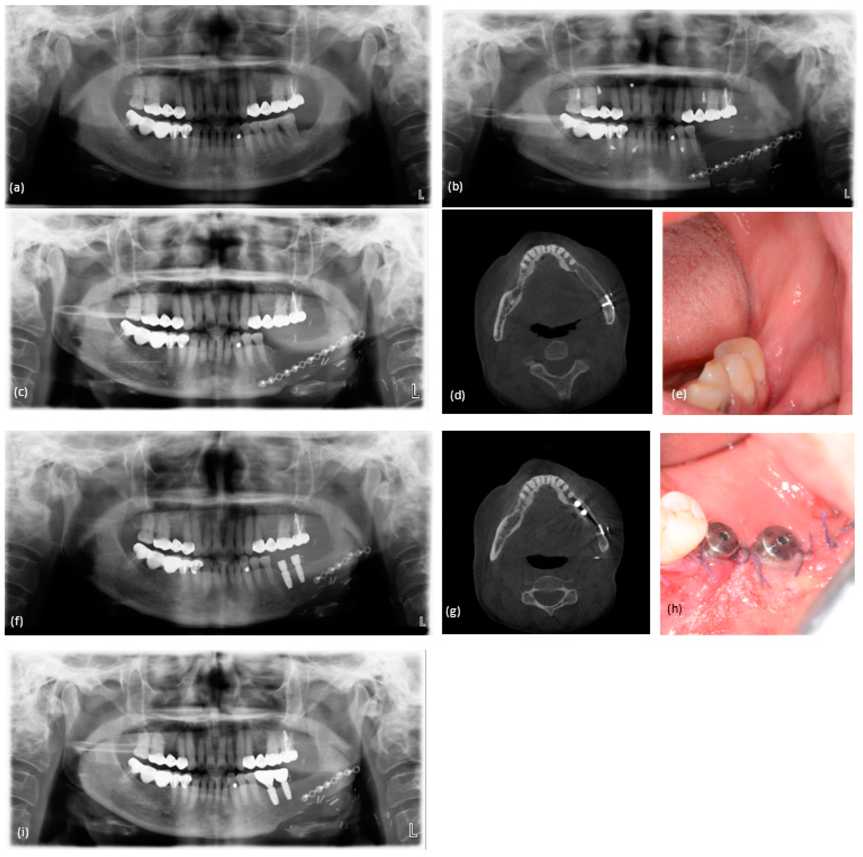
2.2. Placement of the Dental Implants
2.3. Data Collection
3. Results
3.1. Patients Characteristics
3.2. Analysis of Implants
3.3. Evaluation of Peri-Implant Marginal Bone Loss
3.4. Volume of Grafted Bone
3.5. Implant Survival
4. Discussion
5. Conclusions
Author Contributions
Funding
Institutional Review Board Statement
Informed Consent Statement
Data Availability Statement
Conflicts of Interest
References
- Fernández-Ferro, M.; Fernández-Sanromán, J.; Costas-López, A.; López-Betancourt, A.; Casañas-Villalba, N.; López-Fernández, P. Complex Dentoalveolar Fractures: Main Clinical Variables Description and Analysis. J. Craniofacial Surg. 2020, 31, e761–e765. [Google Scholar] [CrossRef] [PubMed]
- Brown, J.S.; Barry, C.; Ho, M.; Shaw, R. A new classification for mandibular defects after oncological resection. Lancet Oncol. 2016, 17, e23–e30. [Google Scholar] [CrossRef]
- Giudice, A.; Barone, S.; Diodati, F.; Antonelli, A.; Nocini, R.; Cristofaro, M.G. Can surgical management improve resolution of medication-related osteonecrosis of the jaw at early stages? A prospective cohort study. J. Oral Maxillofac. Surg. 2020, 78, 1986–1999. [Google Scholar] [CrossRef] [PubMed]
- Ferrari, S.; Copelli, C.; Bianchi, B.; Ferri, A.; Poli, T.; Ferri, T.; Gallesi, P.; Sesenna, E.; Brevi, B. Rehabilitation with endosseous implants in fibula free-flap mandibular reconstruction: A case series of up to 10 years. J. Craniomaxillofac. Surg. 2013, 41, 172–178. [Google Scholar] [CrossRef] [PubMed]
- Chiapasco, M.; Biglioli, F.; Autelitano, L.; Romeo, E.; Brusati, R. Clinical outcome of dental implants placed in fibula-free flaps used for the reconstruction of maxillo-mandibular defects following ablation for tumors or osteoradionecrosis. Clin. Oral Implant. Res. 2006, 17, 220–228. [Google Scholar] [CrossRef]
- Rana, M.; Warraich, R.; Kokemüller, H.; Lemound, J.; Essig, H.; Tavassol, F.; Eckardt, A.; Gellrich, N.-C. Reconstruction of mandibular defects-clinical retrospective research over a 10-year period. Head Neck Oncol. 2011, 3, 23. [Google Scholar] [CrossRef] [Green Version]
- Khadembaschi, D.; Russell, P.; Beech, N.; Batstone, M.D. Osseointegrated implant survival, success and prosthodontic outcomes in composite free flaps: A 10-year retrospective cohort study. Clin. Oral Implant. Res. 2021, 32, 1251–1261. [Google Scholar] [CrossRef]
- Attanasio, F.; Antonelli, A.; Brancaccio, Y.; Averta, F.; Figliuzzi, M.M.; Fortunato, L.; Giudice, A. Primary stability of three different osteotomy techniques in medullary bone: An in vitro study. Dent. J. 2020, 8, 21. [Google Scholar] [CrossRef] [Green Version]
- Kniha, K.; Möhlhenrich, S.C.; Foldenauer, A.C.; Peters, F.; Ayoub, N.; Goloborodko, E.; Hölzle, F.; Modabber, A. Evaluation of bone resorption in fibula and deep circumflex iliac artery flaps following dental implantation: A three-year follow-up study. J. Craniomaxillofac. Surg. 2017, 45, 474–478. [Google Scholar] [CrossRef]
- Binger, T.; Hell, B. Resorption of microsurgically vascularized bone grafts after augmentation of the mandible. J. Craniomaxillofac. Surg. 1999, 27, 82–85. [Google Scholar] [CrossRef]
- Li, L.; Blake, F.; Heiland, M.; Schmelzle, R.; Pohlenz, P. Long-term evaluation after mandibular reconstruction with fibular grafts versus microsurgical fibular flaps. J. Oral. Maxillofac. Surg. 2007, 65, 281–286. [Google Scholar] [CrossRef] [PubMed]
- Kademani, D.; Salinas, T.; Moran, S.L. Medial femoral periosteal microvascular free flap: A new method for maxillary reconstruction. J. Oral Maxillofac. Surg. 2009, 67, 661–665. [Google Scholar] [CrossRef] [PubMed]
- Van Genechten, M.; Batstone, M. The relative survival of composite free flaps in head and neck reconstruction. Int. J. Oral Maxillofac. Surg. 2016, 45, 163–166. [Google Scholar] [CrossRef] [PubMed]
- Mertens, C.; Decker, C.; Engel, M.; Sander, A.; Hoffmann, J.; Freier, K. Early bone resorption of free microvascular reanastomized bone grafts for mandibular reconstruction–a comparison of iliac crest and fibula grafts. J. Craniomaxillofac. Surg. 2014, 42, e217–e223. [Google Scholar] [CrossRef] [PubMed]
- Chiapasco, M.; Zaniboni, M.; Boisco, M. Augmentation procedures for the rehabilitation of deficient edentulous ridges with oral implants. Clin. Oral Implant. Res. 2006, 17, 136–159. [Google Scholar] [CrossRef] [PubMed]
- Kim, H.-S.; Kim, B.C.; Kim, H.-J.; Kim, H.J. Anatomical basis of the deep circumflex iliac artery flap. J. Craniofac. Surg. 2013, 24, 605–609. [Google Scholar] [CrossRef] [PubMed]
- Lee, J.; Kim, M.; Choi, W.; Yoon, P.; Ahn, K.; Myung, H.; Hwang, S.; Seo, B.; Choi, J.; Choung, P. Concomitant reconstruction of mandibular basal and alveolar bone with a free fibular flap. Int. J. Oral Maxillofac. Surg. 2004, 33, 150–156. [Google Scholar] [CrossRef]
- Sumi, Y.; Hasegawa, T.; Miyaishi, O.; Ueda, M. Interface analysis of titanium implants in a human vascularized fibula bone graft. J. Oral Maxillofac. Surg. 2001, 59, 213–216. [Google Scholar] [CrossRef]
- Reychler, H.; Ortabe, J.; Pecheur, A.; Brogniez, V. Mandibular reconstruction with a free vascularized fibula flap and osseointegrated implants: A report of four cases. J. Oral Maxillofac. Surg. 1996, 54, 1464–1469. [Google Scholar] [CrossRef]
- Brose, M.O.; Avers, R.J.; Rieger, M.R.; Duckworth, J.E. Submerged alumina dental root implants in humans: Five-year evaluation. J. Prosthet. Dent. 1989, 61, 594–601. [Google Scholar] [CrossRef]
- Nasr, H.F.; Meffert, R.M. A proposed radiographic index for assessment of the current status of osseointegration. Int. J. Oral Maxillofac. Implant. 1993, 8, 323–328. [Google Scholar]
- Haas, R.; Mensdorff-Pouilly, N.; Mailath, G.; Watzek, G. Brånemark single tooth implants: A preliminary report of 76 implants. J. Prosthet Dent. 1995, 73, 274–279. [Google Scholar] [CrossRef]
- Glantz, P.O.J.; Nilner, K. Biomechanical aspects of prosthetic implant-borne reconstructions. Periodontol. 2000 1998, 17, 119–124. [Google Scholar] [CrossRef] [PubMed]
- Schulte, J.; Flores, A.M.; Weed, M. Crown-to-implant ratios of single tooth implant-supported restorations. J. Prosthet Dent. 2007, 98, 1–5. [Google Scholar] [CrossRef]
- Albrektsson, T.; Zarb, G.; Worthington, P.; Eriksson, A. The long-term efficacy of currently used dental implants: A review and proposed criteria of success. Int. J. Oral Maxillofac. Implant. 1986, 1, 11–25. [Google Scholar]
- Buser, D.; Weber, H.P.; Lang, N.P. Tissue integration of non-submerged implants. l-year results of a prospective study with 100 ITI hollow-cylinder and hollow-screw implants. Clin. Oral Implant. Res. 1990, 1, 33–40. [Google Scholar] [CrossRef]
- Anne-Gaëlle, B.; Samuel, S.; Julie, B.; Renaud, L.; Pierre, B. Dental implant placement after mandibular reconstruction by microvascular free fibula flap: Current knowledge and remaining questions. Oral Oncol. 2011, 47, 1099–1104. [Google Scholar] [CrossRef]
- Sießegger, M.; Schneider, B.T.; Mischkowski, R.A.; Lazar, F.; Krug, B.; Klesper, B.; Zöller, J.E. Use of an image-guided navigation system in dental implant surgery in anatomically complex operation sites. J. Craniomaxillofac. Surg. 2001, 29, 276–281. [Google Scholar] [CrossRef]
- Valente, F.; Schiroli, G.; Sbrenna, A. Accuracy of computer-aided oral implant surgery: A clinical and radiographic study. Int. J. Oral Maxillofac. Implant. 2009, 24, 234–242. [Google Scholar]


| Patients Number | Age | Gender | Diagnosis | Site | Operation Procedure | Timing of Reconstruction | Overall F/U Period (Month) | Implant Placement (One or Two-Stage) (Month) | F/U Period after Prosthesis (Month) |
|---|---|---|---|---|---|---|---|---|---|
| #1 | 68 | M | SCC | Mn (#35–45) | MM | Primary | 107 | 10 | 51 |
| #2 | 63 | M | SCC | Mn (#35–38) | MM | Primary | 96 | 10 | 2 |
| #3 | 59 | F | SCC | Mn (#36–38) | SM | Primary | 44 | 10 | 27 |
| #4 | 15 | F | MC | Mx (#14–18) | PM | Primary | 43 | 10 | 11 |
| #5 | 51 | M | VC | Mn (#43–48) | SM | Primary | 29 | 11.5 | 7 |
| #6 | 71 | F | SCC | Mn (#34–38) | MM | Primary | 63 | 10 | 8 |
| #7 | 75 | M | SCC | Mn (#33–36) | SM | Primary | 44 | 9 | 31 |
| #8 | 69 | M | SCC | Mn (#35–37) | MM | Primary | 32 | 13 | 10 |
| #9 | 62 | F | OM | Mn (#33–34) | S | Primary | 43 | 34 | 3 |
| #10 | 66 | F | CS | Mn (#33–34) | SM | Primary | 41 | 6 | 16 |
| #11 | 41 | F | PO | Mx (#14–16) | PM | Secondary | 17 | 10 | 7 |
| #12 | 53 | M | SCC | Mn (#43–46) | SM | primary | 38 | 14 | 16 |
| #13 | 69 | M | OM | Mx (#21–26) | S | Primary | 28 | 13 | 6 |
| Patients Number | Numbers/Type of Implants | Implantation Area | Diameter of Implants (mm) | Length of Implants (mm) | Crown-Implant Ratio | Implant Failure (n) |
|---|---|---|---|---|---|---|
| #1 | 4/Dentis HA | #34, 35, 44, 45 | 4.3/4.3/4.3/4.3 | 10.0/10.0/10.0/10.0 | 1.15/1.18/1.22/1.31 | 0 |
| #2 | 2/DIO UF | #35, 36 | 4.0/4.0 | 10.0/10.0 | 0.91/1.21 | 0 |
| #3 | 2/NEO | #36, 37 | 4.5/5.0 | 10.0/10.0 | 1.21/0.97 | 0 |
| #4 | 3/DIO UF | #14, 15, 16 | 4.0/4.0/4.5 | 10.0/10.0/10.0 | 1.29/1.36/1.20 | 0 |
| #5 | 3/DIO UF | #43, 44, 46 | 4.0/4.0/4.5 | 11.5/11.5/10.0 | 0.88/0.70/0.98 | 1 |
| #6 | 4/Dentis oneQ | #34, 35, 36, 37 | 4.2/4.2/4.2/4.2 | 10.0/10.0/10.0/10.0 | 0.90/0.69/-/- | 0 |
| #7 | 4/Osstem TS | #33, 34, 35, 36 | 4.0/4.0/4.0/4.0 | 10.0/10.0/10.0/10.0 | 1.83/1.82/1.83/1.83 | 0 |
| #8 | 3/DIO UF | #35, 36, 37 | 4.5/5.0/5.0 | 10.0/10.0/10.0 | 1.35/1.29/1.18 | 0 |
| #9 | 2/Dentis oneQ | #33, 34 | 4.2/4.2 | 10.0/10.0 | 1.16/1.12 | 0 |
| #10 | 3/Dentis oneQ | #34, 35, 37 | 3.9/4.2/4.2 | 10.0/10.0/10.0 | 1.60/1.52/1.43 | 0 |
| #11 | 3/Dentis oneQ | #14, 15, 16 | 4.2/4.7/4.7 | 10.0/10.0/10.0 | 1.03/1.05/0.98 | 0 |
| #12 | 4/DIO UF | #43, 44, 45, 46 | 4.2/4.2/4.7/4.7 | 10.0/10.0/10.0/10.0 | 1.65/1.86/1.77/1.33 | 0 |
| #13 | 4/DIO UF | #21, 22, 24, 26 | 4.5/5.0/5.0/5.0 | 10.0/10.0/10.0/10.0 | 1.10/1.14/1.10/1.19 | 0 |
| Timepoint | Number of Implants | Differences to T0 (Mean ± SD) |
|---|---|---|
| T1 | 41 | 0.16 ± 0.34 |
| T2 | 36 | 0.48 ± 0.48 |
| Patients Number | Graft Bone Sagittal Minimum Width (mm) | Graft Bone Sagittal Maximum Width (mm) | Average between Minimum and Maximum (mm) |
|---|---|---|---|
| #1 | 6.92 | 12.27 | 9.60 |
| #2 | 6.24 | 8.03 | 7.14 |
| #3 | 7.04 | 9.17 | 8.11 |
| #4 | 5.51 | 12.60 | 9.06 |
| #5 | 9.31 | 11.30 | 10.31 |
| #6 | 5.25 | 7.95 | 6.60 |
| #7 | 6.59 | 9.12 | 7.86 |
| #8 | 10.27 | 13.23 | 11.75 |
| 9 | 6.11 | 8.67 | 7.39 |
| #10 | 5.80 | 13.54 | 9.67 |
| #11 | 8.4 | 10.6 | 9.50 |
| #12 | 8.95 | 15.31 | 12.13 |
| #13 | 5.77 | 9.46 | 7.62 |
| Mean ± SD | 7.09 ± 1.62 | 10.87 ± 2.36 | 8.46 ± 1.73 |
| Patients Number | Height (mm) | Crestal Width (mm) | Mesiodistal Length (mm) |
|---|---|---|---|
| #1 | 27.19 | 7.79 | 66.41 |
| #2 | 10.12 | 7.56 | 45.85 |
| #3 | 18.82 | 7.7 | 46.10 |
| #4 | 16.88 | 8.46 | 37.02 |
| #5 | 11.25 | 9.39 | 31.13 |
| #6 | 10.78 | 7.05 | 42.09 |
| #7 | 28.71 | 8.79 | 63.20 |
| #8 | 18.05 | 10.83 | 37.37 |
| 9 | 21.04 | 8.74 | 36.22 |
| #10 | 30.11 | 5.82 | 82.95 |
| #11 | 20.99 | 9.29 | 27.85 |
| #12 | 33.23 | 10.4 | 55.44 |
| #13 | 21.34 | 10.2 | 38.22 |
| Mean ± SD | 20.65 ± 7.51 | 8.61 ± 1.43 | 46.91 ± 15.89 |
| No. of Patients | No. of Placement Implants | No. of Removed Implants | Survival Rate |
|---|---|---|---|
| 13 | 41 | 1 | 97.6% |
Publisher’s Note: MDPI stays neutral with regard to jurisdictional claims in published maps and institutional affiliations. |
© 2022 by the authors. Licensee MDPI, Basel, Switzerland. This article is an open access article distributed under the terms and conditions of the Creative Commons Attribution (CC BY) license (https://creativecommons.org/licenses/by/4.0/).
Share and Cite
Choi, J.-S.; Jo, Y.-J.; Bang, J.-A.; Kim, J.; Oh, J.-S.; Moon, S.-Y. Analysis of Dental Implant Rehabilitation in the Reconstructed Jaw by Deep Circumflex Iliac Artery Flap, a Retrospective Study. Appl. Sci. 2022, 12, 7050. https://doi.org/10.3390/app12147050
Choi J-S, Jo Y-J, Bang J-A, Kim J, Oh J-S, Moon S-Y. Analysis of Dental Implant Rehabilitation in the Reconstructed Jaw by Deep Circumflex Iliac Artery Flap, a Retrospective Study. Applied Sciences. 2022; 12(14):7050. https://doi.org/10.3390/app12147050
Chicago/Turabian StyleChoi, Jun-Seok, Ye-Joon Jo, Jin-Ah Bang, Jin Kim, Ji-Su Oh, and Seong-Yong Moon. 2022. "Analysis of Dental Implant Rehabilitation in the Reconstructed Jaw by Deep Circumflex Iliac Artery Flap, a Retrospective Study" Applied Sciences 12, no. 14: 7050. https://doi.org/10.3390/app12147050
APA StyleChoi, J.-S., Jo, Y.-J., Bang, J.-A., Kim, J., Oh, J.-S., & Moon, S.-Y. (2022). Analysis of Dental Implant Rehabilitation in the Reconstructed Jaw by Deep Circumflex Iliac Artery Flap, a Retrospective Study. Applied Sciences, 12(14), 7050. https://doi.org/10.3390/app12147050

