Abstract
In this paper, we introduce an AI-based procedure to estimate and assist in choosing the optimal surgery timing, in the case of a thoracic cancer diagnostic, based on an explainable machine learning model trained on a knowledge base. This decision is usually taken by the surgeon after examining a set of clinical parameters and their evolution in time. Therefore, it is sometimes subjective, it depends heavily on the previous experience of the surgeon, and it might not be confirmed by the histopathological exam. Therefore, we propose a pipeline of automatic processing steps with the purpose of inferring the prospective result of the histopathologic exam, generating an explanation of why this inference holds, and finally, evaluating it against the conclusive opinion of an experienced surgeon. To obtain an accurate practical result, the training dataset is labeled manually by the thoracic surgeon, creating a training knowledge base that is not biased towards clinical practice. The resulting intelligent system benefits from both the precision of a classical expert system and the flexibility of deep neural networks, and it is supposed to avoid, at maximum, any possible human misinterpretations and provide a factual estimate for the proper timing for surgical intervention. Overall, the experiments showed a 7% improvement on the test set compared with the medical opinion alone. To enable the reproducibility of the AI system, complete handling of a case study is presented from both the medical and technical aspects.
1. Introduction
Lung cancer is one of the deadliest malignancies today, killing more patients than any other cancer worldwide [1]. For the United States alone, the prediction of new lung cancer cases for 2021 is 12–13%, while the new deaths prediction rate is 22% for these patients [2]. For this reason, it is considered to be a public health problem.
An accurate diagnosis of lung cancer is the first and most important step in deciding the treatment of the prospective patient. Correlating different test results is not always an easy task. Therefore, we propose an intelligent system based on machine learning classifiers and on agnostic and stabilized numerical explainability models, to assist a surgeon during a prospective lung cancer diagnosis consultation, and moreover, we provide an estimate for the optimal timing for the surgical intervention.
Our approach mimics the fact that starting from Computed Tomography (CT) or other imaging scans, coupled with a series of other clinical investigations, the surgeon usually extracts a number of clinical parameters needed to establish a diagnosis. In our model, those parameters will be fed as input data for the deep neural network classifier embedded in our overall high-accuracy intelligent processing. Since we are aiming to build an intelligent system using both the strengths of a classical expert system and the flexibility of a deep neural network, we plan to avoid the automatic and unsupervised extraction of these parameters for the training dataset that acts in our case, similar to the knowledge base of an expert system.
Therefore, our training set is labeled by experienced surgeons, with the clinical parameters manually extracted from the clinical investigations, in order to minimize the false interpretations and the possibility of having a biased accuracy in practice, as happens with many already deployed automatic systems, such as, e.g., the notorious Google mammography system [3]. When, in early 2020, Google applied their intelligent system to two large sets of images, one from the UK and one from the U.S., it reduced false positives by 1.2 and 5.7 percent and false negatives by 2.7 and 9.4 percent compared with the original determinations made by medical professionals. However, the study was not able to be reproduced by other researchers or to be tested for the same accuracy in hospitals. Moreover, according to many later studies, such as, e.g., [4] from the Harvard medical school, the data bias in clinical practice is too high for the unsupervised extraction of the clinical parameters from data.
The main disadvantage of our approach is, at first, the number of data rows, only 150, compared to the automatic and unsupervised parameter extraction, but the system is growing over time with the input of the surgeons, and eventually, this temporary drawback will vanish. Using GANs-generated data (see Section 6.1), we have also tested the scalability of the system, and we obtained 500 data rows with an accuracy of 86%.
The overall pipeline for the proposed intelligent system reads similarly to the Figure 1 below:
Figure 1.
Overall processing steps of the intelligent thoracic diagnosis assistance system.
This approach, where the specialist physician intervenes in the second and the last step of the pipeline and combines his clinical experience with the data-processing abilities of the algorithms, could be most efficient when applied to real-life diagnostic situations. The merged approach is really necessary due to the fact that the histopathological exam cannot be performed without minimal invasive surgery or invasive procedures in the case of thoracic cancer; in the eventuality that biopsy proves negative for malignancy, diagnostic surgery could have been avoided.
The algorithm implies a series of pipeline processing steps starting with the design of an ensemble classifier, trained on real patient data and labeled for ground truth with their histopathological results. The next algorithmic step is based on the application of two explainable artificial intelligence models, namely LIME and SHAP. We will show how we obtain fair results with accuracy on the test set over 72% after balancing our small dataset of 150 patients using the SMOTE method [5]. Still, this accuracy is not yet relevant in clinical practice, so the validation of what the network has learned with the previously mentioned model agnostic explainable artificial intelligence (XAI) algorithms is compulsory. For the explicability and trustworthiness of the results, we use enhanced LIME and SHAP methods that have been stabilized numerically and statistically using the composed stability-fit index proposed in [6] because they provide both local and global vision regarding the data that lead to the inference results of the network.
2. Materials and Methods
To achieve the aims of our study, the clinical charts, operation logs, CT scans, and pathology reports of 150 patients operated on in a single thoracic surgery clinic were reviewed by five thoracic surgeons. The data were collected at the Thoracic Surgery Clinic from the Emergency Municipal Clinical Hospital Timisoara, the only such specialized clinic in the Banat region of Romania, serving a population of about 1.5 million people, see https://www.spitalul-municipal-timisoara.ro/, (accessed on 1 November 2021). These 150 patients were all anonymized, and the data recorded during the review was used to train the machine to recognize lung nodules and establish their nature (malignant or benign) based on the image characteristics of the identified nodules and clinical data, along with the pathology reports that either confirmed or infirmed a cancer diagnosis.
When a patient is suspected of suffering from lung cancer disease, they are usually directed to a thoracic surgery clinic, where a thoracic surgeon evaluates the patient’s history, current health status, age, smoking status, and most importantly, a thoracic CT scan of the patient. The goal of the first examination is to determine if the patient has a high probability of lung malignancy and if so, they establish the clinical stage of the disease and define the treatment strategy—surgery followed by chemotherapy and/or radiation therapy.
To set a correct clinical diagnosis, a surgeon has to evaluate numerous factors. These factors can often be overlooked if the surgeon has little experience. This experience bias could be amplified if the CT scan is evaluated and interpreted by an inexperienced radiologist as well. Since our purpose is to avoid these biases, we have constructed the training set in the form of a knowledge base.
For the knowledge base, we considered a total number of 16 clinical (a–f) and imaging (f–p) factors that are associated with a higher cancer probability, as follows:
- Age: it is known that lung cancer has a greater incidence after the age of 45 years [7].
- Gender (Sex): so far, there is a higher incidence of lung cancer observed in men compared to women in all countries, regardless of the country’s development status [8].
- Smoking status: it is well proven in the literature that smokers have a very high risk of lung cancer compared to non-smokers [9].
- Exposure: the scientific literature demonstrated the role of passive smokers [10,11,12,13]. Furthermore, exposure to microparticles and pollutants has a direct role in lung cancer etiology [14,15,16,17].
- Medical history (Historic): refers to prior chronic lung illness that could be related to lung cancer, such as tuberculosis [18,19,20] or prior chemotherapy [21] that could be the main cause of malignant transformation of the lung cells.
- Number of nodules (NoNoduls): CT scan may show a single solitary lung nodule, but in many patients, the nodule can associate with one or more extra nodules in the same lobe or lung, suggesting malignancy or metastatic disease. The imaging characteristics of the nodules are very important and will be discussed below.
- Localization (PeHi): central localization is associated with a higher prevalence of cancer as opposed to peripheral nodules
- Size: Wahiti et al. proved the relationship between the size of the solitary pulmonary nodule (SPN) and malignancy rates: 1% for less than 5 mm, 6–28% between 5 to 10 mm, and 64–82% for SPN larger than 2 cm [22].
- Calcification: it is usually a sign of benign disease. There are 6 types of calcifications associated with benign disease: central dense nidus, diffuse solid, laminated, and is usually encountered in granulomatous lung disease (sarcoidosis or TB); laminated and popcorn—associated with lung hamartomas; punctuate and dendriform—not always associated with benign disease, they were described in carcinoid tumors, metastasis, and primary bronchogenic carcinoma [9].
- Fat within the nodule: CT SPN that have fatty HU density are usually associated with pulmonary hamartoma, lipoid pneumonia, or lipoma and are considered a sign of benignity [9,23].
- Margins (Borders): the margins of the lung nodules are classified as follows: (1) sharp and smooth; (2) moderately smooth; (3) undulated borders or minimal spiculation; (4) gross marginal spiculation [24]. However, although the margins and spiculations of SPN are associated with malignancy, they are not specific and must correlate with other factors [9].
- Cavitation (Cavity): if present, the cavitation margins thickness suggestive of malignancy: (1) under 1 mm is not associated with cancer; (2) wall size of 5–15 mm is malignant in 49% of cases, and (3) over 15 mm is almost always malignant [25].
- Densitometry (HUavg): measured in Hounsfield units (HU), it is considered that SPN with a measured mean HU value over 164 is benign. Regarding lower HU values, Xu et al. concluded that baseline nodule density and changes in nodule features could not be used to discriminate between benign and malignant solid indeterminate pulmonary nodules, but an increase in density is suggestive of malignancy and requires a shorter follow-up or a biopsy [26].
- The positive bronchus sign (Bronchial sign): is a CT aspect of a bronchus that leads directly to a lung nodule, stopping at the nodule margin or advancing into its interior. It could be a sign of bronchial invasion if a large bronchus is involved [9].
- Alternance in attenuation (Alternant ions): lung nodules cand appear solid (non-attenuated) or ground-glass opacity (GGO—attenuated) in the whole mass, or they may appear part solid part GGO (alternate attenuation). The latter is more likely to be associated with malignancy [27].
- The halo sign (sem011) refers to GGO presence in the lung.
- The feeding vessel sign (sem012): the CT scan can show a pulmonary artery branch heading directly into the nodule. This sign is most commonly seen in metastatic disease (malignancy or septic emboli if the infection is associated) [28,29,30,31,32].
The handling of these clinical parameters by the intelligent system is presented in Section 4. We started the lengthy bureaucratic procedure with the hospital management in order to make the complete dataset public available on Elsevier Mendeley. Until then, a presentation of the already encoded data is given in Figure 2.
Figure 2.
Exemplification of input data (the columns entitled ‘semo011’ and ‘sem012’ correspond to halo sign—referring to part solid ground-glass opacity—and feeding blood vessel sign, respectively).
3. Medical Justification
A substantial problem of lung cancer is represented by the stage of the disease at the moment of diagnosis, as most lung tumors remain undiagnosed due to non-specific, easy-to-ignore signs [33]. That is why when symptoms occur, for the patients that are being directed to the thoracic surgery units, the disease is most probably diagnosed locally and/or in the systemic advanced stage [33,34,35]. There have been many attempts to develop screening for lung malignancies. The United States Preventive Services Task Force (USPSTF) and CMS recommend annual low-dose CT lung screening (CTLS) for current and former smokers at high risk [36,37]. This desiderate is not reachable in poorly developed countries, where the patient’s access to a computer tomography is limited and thus is not applicable. Moreover, most patients that reach a CT scanner have a higher stage at diagnosis. In Romania alone, an eastern European 20 million people country, in 2020 only, there were almost 100,000 new cases, while the death toll by this disease was 54,486 cases [38]. These numbers show two things: first, the high number of deaths associated with this disease, and the second, most important, that these deaths occurred due to the high frequency of advanced stages at diagnosis.
Another known issue with lung tumors is with clinical-stage 1A diseased patients. Those patients are fully asymptomatic; most of them discovered the lesion at a routine chest X-ray taken as required for employment, marriage, etc. These patients usually present a unique less than 1–2 cm lung nodule with non-specific radiologic signs. This entity is also known as solitary lung nodule (SPN) and requires special attention. If the nodule is less than 8 mm, the indication is to follow up the patient with a CT scan. Otherwise, if malignancy is suspected, the patient must perform a PET/CT scan or a biopsy [39]. If these procedures are not accessible and/or the patient opts out of performing a biopsy, then the SPM must be monitored by using another CT scan 6 months later [39,40].
Considering that PET/CT scans are still a poorly accessible procedure due to low availability and high costs, we look for an alternate method of increasing diagnostic accuracy and estimating the nature of the lung nodule (e.g., malignant or benign) using the standard CT scan of the patients. This helps the thoracic surgeon to establish the optimal surgery moment in case of a thoracic cancer is suggested.
This decision is usually taken by the surgeon after examining a set of clinical parameters and their evolution in time. Therefore, it is sometimes subjective, it depends heavily on the previous experience of the surgeon and/or the radiologist interpreting the images, and it might not be confirmed by the pathological examination.
3.1. Example Study Case: Medical Part
For the medical part of the case study, we present the case of a 62-year-old male patient admitted to the thoracic surgery department with a right upper lobe tumor, diagnosed 6 months before by performing a thoracic CT scan. The patient decided at that time not to undergo surgery, not even a biopsy, and assumed to wait and see if the lung mass grows in size.
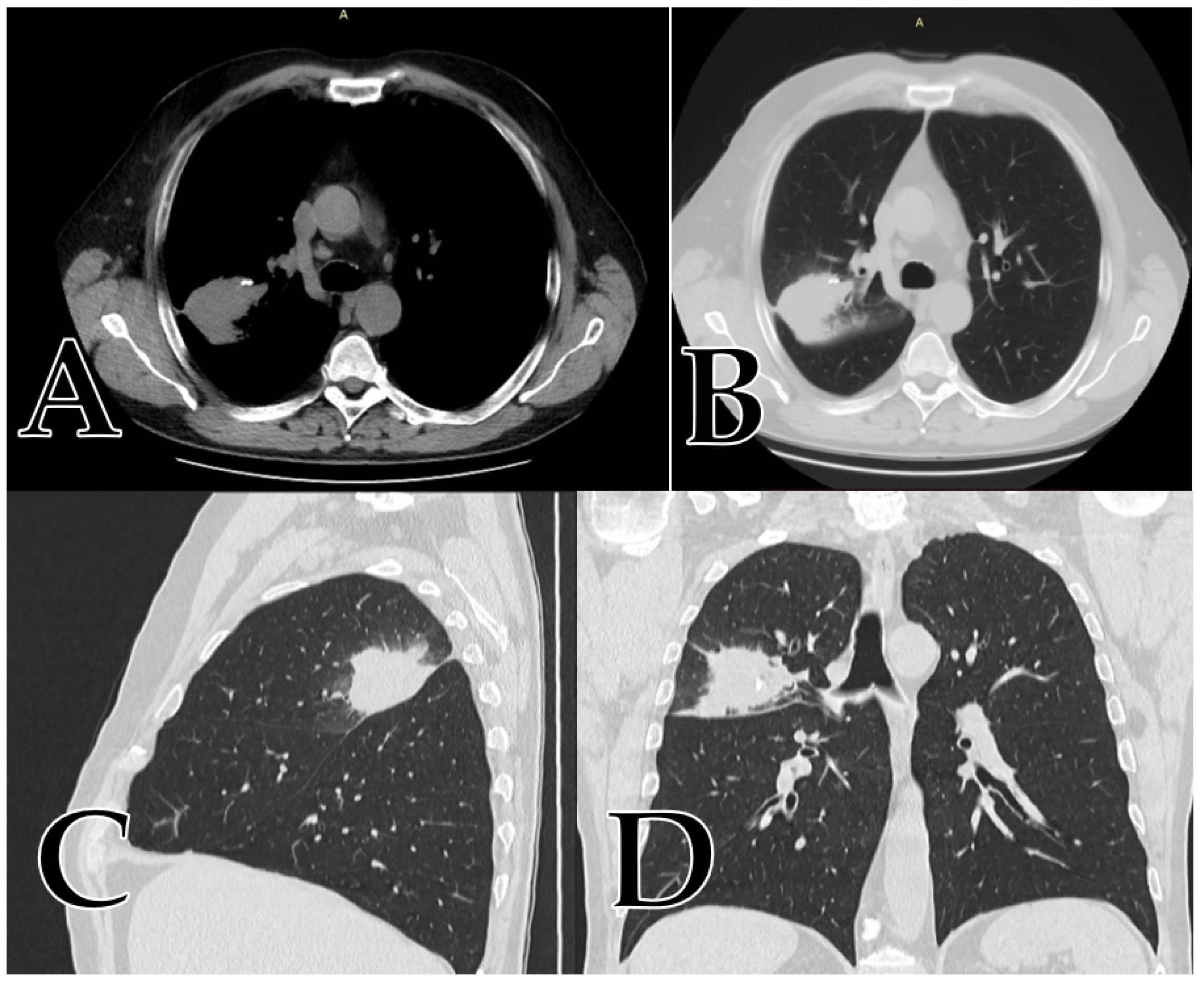
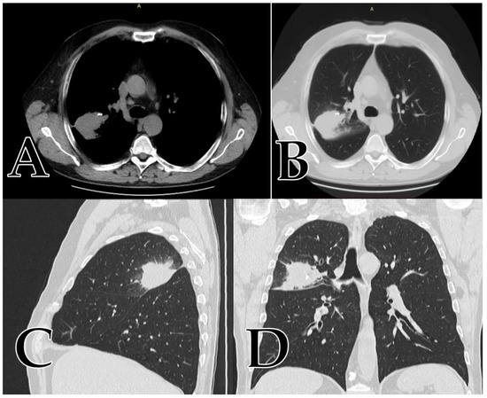
At the time of admission, the patient’s general status was worse, having symptoms such as a productive cough, fatigue, and dyspnea. The CT scan showed an increase in the diameter of the mass by 5 cm, having all the characteristics of a malignant lung tumor (Figure 3A–D), just as we described them for our study, see Figure 3 below.
Figure 3.
(A,B) coronal view; (C) sagittal view; (D) axial view of a right upper lobe mass presenting all the aspects of malignancy: size over 5 cm, gross spiculation, attenuation alternances (part solid, part GGO), punctuate calcification, no tumoral fatty tissue, positive bronchial sign with a mean value of 34 HU and a growth rate of 5 cm over 6 months period.
This time, the patient accepted the surgical procedure. Thoracotomy was performed. The proposed surgical procedure was a right upper lobectomy with radical mediastinal lymphadenectomy, but the intra-operative aspect (lung mass adherent to middle lobe blood vessels and lack of horizontal fissure) determined an increased lung resection—upper-middle bi-lobectomy. The postoperative outcome of the patient was favorable, but we recorded a decrease in FEV/FEV 1 by almost 40%.
The pathology report was a hamartoma, with chronic pneumonia surrounding the tumor, with no malignant cells present both in the resected lung parenchyma and in all the mediastinal nodal stations.
This case proves that even experienced surgeons can be tricked by the clinical and imaging aspects of lung masses or nodules into strongly believing that the correct diagnosis is lung cancer when, in fact, it is a benign tumor.
We applied our pipeline processing to this specific case, and given the novel correlations and the feature explanation provided by our intelligent system, we infer that the surgeon could have changed his opinion regarding the surgery in view of these parameter interpretations. We synchronize with the exact technical results for this case in Section 4.1 of the technical part. We want to emphasize here why an intelligent processing system powered by a deep learning classifier, as we propose, could have been very useful considering other treatment options, such as conservative treatment and further imaging follow-up and reserve lung resection as a last resort.
Advances in artificial intelligence, both in terms of algorithms and hardware, with the development of new, very capable processors that use neural engines and bionic chipsets, have opened a wide range of possibilities for data scientists to apply these technologies to a vast array of domains, including medicine, to help surgeons and physicians improve their medical and surgical procedures and to help them minimize errors. This leads to a more precise, faster diagnosis and a better understanding of diseases and treatments both for doctors and patients.
For a thoracic surgeon, the intelligent system developed using these modern technologies, similar to the one proposed in this paper, could prove to be very valuable in conducting a correct clinical and imaging diagnostic in the fight against lung cancer for two main reasons. First, this tool could compensate for the lack of experience of younger surgeons when interpreting imaging data and establishing the optimal moment for surgery and the extent of lung resection. Second, as we have shown earlier in this paper, some of the patients have a benign lung pathology with associated lung infections due to bronchial obstruction that mimics lung cancer and can lead to unnecessary surgery or unnecessary extensive surgery, leaving the patient with less functional lung parenchyma and thus poor ventilatory function which translates into fatigability after low or moderate effort, affecting the patient’s quality of life. For many patients undergoing lung surgery, the remaining lung parenchyma is affected by other diseases such as lung fibrosis, COPD, and lung emphysema. This leads to a further loss of respiratory volumes and an even lower quality of life.
We will explain in the next section the complete pipeline of automatic processing steps, during which we infer the possible result of the pathology examination, we generate a stable explanation of why this inference is valid, and finally, we evaluate it against the expert opinion of an experienced surgeon.
The resulting model was created with the purpose of avoiding, at maximum, any possible human misinterpretations and providing a factual estimate for the etiology of the lung nodule and thus the appropriate moment for surgical intervention. In total, out of 45 patients in the test set, the system raised concerns about the initial medical decision in three cases, making a total of 7%.
4. Technical Contribution
Given the fact that our knowledge base has been curated with the support of experienced surgeons, we have no missing data in the training set, and therefore, no data imputation that can further increase the bias, and the data drift was necessary. We only had to encode the data since some features are categorical and other features are numerical, and for them, normalization was performed by subtracting the mean and dividing by the standard deviation. Another problem was related to the imbalance of the dataset. As can be observed from Figure 4, we have more cases with cancer than with no cancer.
Figure 4.
(a) imbalanced dataset, (b) SMOTE-based balanced dataset.
To solve this issue, we have used the SMOTE technique to balance the dataset [5]. SMOTE (Synthetic Minority Oversampling Technique) consists of synthesizing elements for the minority class based on those that already exist. It works randomly by picking a point from the minority class and computing the k-nearest neighbors for this point. The synthetic points are added between the chosen point and its neighbors. The SMOTE provided a number of subscriptions, 37, and the proportion of no subscription data in the oversampled data was 0.5, and the proportion of subscription data in the oversampled data was 0.5, giving us a perfectly balanced set, as in Figure 4b.
The input of the AI-based system (see Figure 2) is represented by the independent clinical parameters described in Section 2 plus the dependent variable, ExamHP, which is our target. The ExamHP parameter represents the value of the histopathological examination and stands as the ground truth for training our system. As said before, the data were collected from 150 patients and then curated by experienced surgeons in order to benefit from the advantages of an expert system. Moreover, to have representative results, we trained the ensemble prediction model with various combinations of parameters, as will be explained below.
For a global observation of the collected data, we first computed a statistical analysis figure (see Figure 5 below), which considers the minimum and maximum values, and calculates the standard deviation, which allows us to immediately observe the values that are out of the medium range. The percentiles that appear in the figure are to be included in the output. All of the values should fall between 0 and 1.
The defaults are [0.25, 0.5, and 0.75], which return the 25th, 50th, and 75th percentiles. For the numeric data, the results will include count, mean, std, min, max, as well as the lower 50 and upper percentiles. By default, the lower percentile is 25, and the upper percentile is 75. The 50 percentile is the same as the median.
The importance of deciding on the necessity of surgery due to lung cancer disease is different from a lot of other types of cancer due to the fact that biopsy can be prevented only during surgery, and if the patient does not have cancer, then this procedure would not have been necessary. Combining the experience of the medical doctor with the data provided by automatic data processing can achieve the desired output. The pipeline approach for automatic data processing by using machine learning consists of designing the ensemble model, loading the data, training the model, and then interpreting the inference and explaining the prediction. For someone without a technical background, such as a surgeon, the explainability part could be most helpful. Moreover, in addition to the actual model designed exactly to best fit this purpose, we also applied a covariant function on the data, additionally computed alongside the model, to obtain a features correlation matrix. We can see this matrix in Figure 6. This image also offers a global perspective on the correlation between the data. While the exact values are not that important, the correlation is outlined in color. The interpretation of the matrix is that the darker the color is, the more the data forming those cells are correlated.
Figure 6.
Correlation matrix (first 100 data rows).
Given the fact that the dataset was still relatively small, we have applied special techniques to handle it, such as stratified k-fold cross-validation and the ensemble voting before applying the LIME and SHAP explainability models. Stratified k-fold cross-validation is an extension of the cross-validation technique used for classification problems. It maintains the same class ratio throughout the k-folds as the ratio in the original dataset. In our case, since we are dealing with cancer prediction by using a stratified k-fold, the same class ratio is preserved throughout the k-folds.
In order to constitute the ensemble, we have created three supervised classification models: a random forest, a support vector machine, and a deep neural network. The random forest model and the SVM both yielded similar results in terms of accuracy, close to 63%, while the neural network reached a 73% percent accuracy after special training configurations. Therefore, it received a higher vote in the overall ensemble accuracy for classification prediction. The random forest was configured with 50 estimators, and the support vector classifier was configured with the parameters obtained by applying GridSearchCV, which performs an exhaustive search over specified parameter values for an estimator.
We present in detail the tuning of the neural network classifier. Since we have no possibility of a true validation set, we have used k-folding and various heuristic tests to establish a good configuration of the network. We have pushed the model to overfit in order to see a glimpse of the model capacity, and then we applied L1 regularization, early stopping, a dropout of 0.2 during the training and the corresponding scaling during the test. The final configuration was set with the Adam optimizer, four hidden layers with ReLU activation, and one output layer with sigmoid activation and binary-cross entropy loss. The early stopping trick stopped the network after 29 epochs using a batch size of 16 samples. Given the accuracy of a little over 70%, it is not relevant to display the ROC AUC curve, which represents sensitivity/specificity as a pair corresponding to a particular decision threshold; and instead, we computed both sensitivity and specificity at the standard threshold. We obtained a value of 76.15% for sensitivity and 61.12% for specificity. All of the values were computed based on the confusion matrix.
The next step was to apply model-agnostic XAI methods on top of our classifier. We started with the first glimpse of the clinical parameters, as some indicators have greater importance than others. We then focused on some of the most relevant variables, i.e., the presence of nodules rather than age. LIME [4] and SHAP [5] are explicability libraries that can be applied to the output of the network, and they provide global and local coverage, the components that influence most of the inference of the AI model. These results correspond to the correlation matrix, obtained mathematically and independent of the network. The computations were performed in order to see if we achieved similar results with different approaches. In Figure 7, we represent the probability of cancer with red and benign tumors with blue.
Figure 7.
Cancer incidence probability.
4.1. Example Study Case, Technical Approach
At this point, we have all the tools in place to provide the system response to the medical use case presented in Section 3.1 and to also formalize the technical contribution, in addition to the medical one, which in the combined form offered an overall 7% improvement, representing three novel correlations not observed by the surgeon out of a total of 45 cases.
The summary plot combines feature importance with feature effects. Each point on the summary plot is a Shapley value for a feature and an instance. The position on the y-axis is determined by the feature and on the x-axis by the Shapley value. The color represents the value of the feature from low to high. The overlapping points are jittered in the y-axis direction, so we achieve a sense of the distribution of the Shapley values per feature.
The features are ordered according to their importance. In the summary plot, we see the first indications of the relationship between the value of a feature and the impact on the prediction. The parameters are ordered automatically with respect to the impact on the decision of the network. As can be seen in Figure 8, the Size parameter was considered the most important for the overall result of the network computation. By correlating the features’ inter-dependencies, see Figure 6 and Figure 7, with the feature importance given by the global SHAP, see Figure 8, we were able to reduce the number of relevant features for a particular prediction.
Figure 8.
Global feature importance. SHAP explainable plot.
The explainability can also be performed for each individual at once due to the fact that we are interested in deciding the diagnostic for particular persons.
The explainable representation for one individual, i.e., our case study can be seen in Figure 9 for SHAP and in Figure 10 for LIME. In this case, we drastically reduced the number of independent relevant features for explanation to five. Furthermore, the LIME post-hoc application was stabilized, as proposed in paper [6], and we obtained a compound stability–fit index of 85, which is considered acceptable for the explanations.
Figure 9.
Shap explainability representation for the case study.
Figure 10.
LIME explainability representation for the case study.
The first correlation is to be read from Figure 8: from the global SHAP representation, we found out that the variables Size, HUavg, age, PeHi, and Sem0l2 have the overall highest impact on the system’s decisions. The second correlation can be found in Figure 9 and Figure 10: given the importance of global SHAP features, we reduced the construction of the Shapley values and the ridge regression for the local explainability to only five variables, respectively.
Given the positive factors for the decision, such as PeHi, size, and HUavg, and the negative factor for the decision, such as sex and Sem0l2, for the particular case according to Figure 10, the system explanation opened a novel perspective for the surgeon who considers that now that the person is unlikely to have cancer, even though the system inferred with a 56% accuracy that they have cancer, as suggested by the original surgeon in charge with the case. This represents the third novel correlation.
The improvement refers to the cases for which the post-hoc agnostic explanations are found useful to increase the trustworthiness of the AI system’s inference. We had 45 patients in the test set after SMOTE balancing, and for three of them, including the case study explained from both technical and medical perspectives in the manuscript, the explainability models provided to the surgeon an interpretation of the variables contribution, on which the decision is based, which changed his original opinion, as was described above for the case study presented. Hence, we obtained a 7% improvement over the network accuracy alone. Since this is a cumulative value, we computed for statistical analysis the p-value under k-fold validation with k = 2, k = 3, and k = 5, and we obtained in the all the cases a p < 0.05, which is considered to be statistically significant.
5. Medical Discussion
As we have shown, lung cancer today is more than ever a public health concern and could be considered a pandemic disease, as it affects a great proportion of the world population.
Studies worldwide have shown that lung cancer screening using low-dose CT scans can bring a real benefit in survival [41]. However, not all populations have access to screening programs since there are numerous countries with low-to-middle income, and access to a tomography scan is still very low [42]. These countries have basically no screening programs [7]. This is still happening in a huge number of countries worldwide; in spite of the fact that predictions for cancer mortality are grim, Sleeman and colleagues estimated that cancer mortality worldwide is expected to be 16.3 million by 2060, as opposed to the 7.8 million deaths reported in 2016, in the ranks of health-related disorder cancer patients. The authors also underline that 80% of these deaths will happen in low-to-middle-income countries; the projections estimate that the first two killers will be lung and breast cancer [43].
It is well known that in these countries, most lung cancer patients are diagnosed in stage 3B or higher, with a significantly lower frequency in operable stages (1A to 3A), and even lower patients are detected with solitary lung nodules or ground-glass opacities with or without solid components [8]. This paper focuses on the latter group of patients. As we have stated, these patients are oligosymptomatic or asymptomatic, and the lung nodules are detected in most cases as an incidental finding.
All of the clinically staged 1A solitary lung nodule patients that reach a thoracic surgeon receive explanations about the possible etiology of the nodule, including malignancy, and they are confronted with two main choices: to undergo surgery or to wait and perform regular CT follow-ups to identify over-time changes of nodule aspect, such as size, volume, density (GGO or solid), new lesions, lymph node size, and number.
A small percentage of patients either choose to perform percutaneous CT-guided lung biopsies to confirm a malignancy, but this is a procedure that does not lack complications [44], or to perform a PET CT scan, which is both expensive and difficult to access. This is the reason why many patients opt for a “wait and see strategy”. Unfortunately, some of these patients do not return in time or at all for follow-up, and a number of those that do come back present with either locally advanced disease or extensive N2 and even metastatic disease, which are a contraindication for radical surgeries.
This is why we searched for an alternative method to better appreciate the malignant etiology of lung nodules and ultimately to better explain to the patients their therapeutic options and facilitate options for early surgery, which could prove lifesaving. Modern technology is the key to finding good answers to this problem.
6. Study Limitations and Conclusions
To better estimate the nature of lung nodules, a radiologist must identify features that are somehow related to cancer suspiciousness, such as volume, shape, subtlety, solidity, spiculation, and sphericity, among others, which is not always easy. Computer assistance using aided diagnostics can be of real help. Modern methods include advanced machine learning techniques to identify the nature of the nodules, but these systems are dependent on many parameters that have to be manually introduced, limiting the reproducibility of the results [45]. To eliminate these inconveniences, deep learning techniques that use neural engines for machine learning were imagined. They have the advantage of performing end-to-end detection of the most subtle changes during the training process. By having a variable training set, the system can learn invariant features from malignant nodules to obtain better results. Since no features are manually introduced, the software is able to learn, on its own, the correlation between CT findings and cancer using the provided ground truth [3]. Once training is finished, the software is expected to be able to generalize its learning and detect malignant nodules (or patient-level cancer) in new cases that have never been seen before by the system.
For our study, we chose to create a training database of 150 CT scans of patients who have already been examined or operated on and have a positive cancer diagnosis, with TNM staging ranging from 1A to 3A. Our data has proven to be sufficient to obtain good results for the system training. Our training database is relatively similar to the SPIE-AAPM-NCI LungX database, containing datasets from 60 thoracic CT scans [46], or the ANODE09, an automated nodule detection that contained 55 patients [47].
Our training series was limited by the fact that we used data from a single thoracic surgery unit. We opted for 150 scans training dataset that was designed for our purpose even if there are also bigger training datasets, such as The Danish Lung Cancer Screening Trial, containing 823 scans [48], or The National Lung Screening Trial (NLST), containing more than 54,000 participants [49]. The number of scans in the datasets has not yet proven to be an insurmountable prerequisite for good results since the literature provides studies with better performance on fewer scans. Roe and colleagues proposed the HUNT model for lung cancer prediction in the Danish screening trial and had better results than the NLST or the NELSON study criteria [50]. Also, the presented models could be further enhanced with image or signal processing techniques like [51,52], or other deep learning predictive models see [53].
6.1. Further Dataset Augmentation
To check the flexibility and the scalability of our AI-based system when the number of data rows increases, we have used a tabular generative adversarial network as in [54,55]. Tabular GAN (TGAN) is constructed to generate tabular data, such as medical or educational records. Using the power of deep neural networks, TGAN generates high-quality and fully-synthetic tables while simultaneously generating discrete and continuous variables. In TGAN, the discriminator D tries to distinguish whether the data are from the real distribution, while the generator G generates synthetic data and tries to fool the discriminator. The use of a Long-Short Term Memory (LSTM) network was proposed as the generator and a Multi-Layer Perceptron (MLP) for the discriminator. Using these generator and discriminator networks, we created 500 new synthetic data rows, and we grew closer to 86% percent accuracy after fine-tuning our original network design.
6.2. Overall Study Conclusions
By corroborating the medical and the technical presentation of the case study (Section 3.1 and Section 4.1), we have observed an overall improvement of 7% in the test set against the medical decision alone. This is significant because, in all of the three cases where the proposed intelligent system raised concerns, the ExamHP did not confirm the initial cancer suspicions.
As we have shown, our approach, in which the medical professional intervenes in the second and the last step of the pipeline and combines his clinical experience with the data-processing abilities of the algorithms, could be most efficient when applied in real-life diagnostic situations.
Compared to other similar AI-diagnosis systems, our model is custom-made for thoracic surgery diagnostic needs; it makes use of a knowledge base for training, annotated with the support of experienced surgeons instead of extracting the parameters from a CT scan by itself, it correlates with other clinical parameters that are not in the CT and finally it uses the compound stability–fit index in order to stabilize the LIME explanation and to match it with SHAP global feature importance.
The explainability algorithms presented in here are currently being tested with promising results on monitoring IT security alerts datasets.
Author Contributions
G.V.C. and I.A.P. contributed equally to the medical part; D.O. and C.I. contributed equally to the AI part. All authors have read and agreed to the published version of the manuscript.
Funding
The third author (and corresponding author) Codruta Istin, was supported by the project AISIMIA, contract no. 10163/11.06.2021, at the Politehnica University of Timisoara.
Institutional Review Board Statement
The study was conducted in accordance with the Declaration of Helsinki, and approved with no. e-3418/2022 by the ethic committee of the Emergency Municipal Clinical Hospital Timisoara.
Informed Consent Statement
Informed consent was obtained from all subjects involved in the study. Also, all patient data has been anonymized.
Data Availability Statement
Not applicable.
Acknowledgments
All authors want to express their gratitude to the five thoracic surgeons from the Thoracic Surgery Clinic of the Emergency Municipal Clinical Hospital Timisoara, that supported with their patients and clinic cases the work of the two surgeons, which are among the authors of this study. On the computational side, the authors want to thank Flavia Costi for helping with some of the XAI experiments.
Conflicts of Interest
The authors declare no conflict of interest.
References
- Fitzmaurice, C.; Allen, C.; Barber, R.M.; Barregard, L.; Bhutta, Z.A.; Brenner, H.; Dicker, D.J.; Chimed-Orchir, O.; Dandona, R.; Dandona, L.; et al. Global, Regional, and National Cancer Incidence, Mortality, Years of Life Lost, Years Lived With Disability, and Disability-Adjusted Life-years for 32 Cancer Groups, 1990 to 2015: A systematic analysis for the global burden of disease study Global Burden of Disease Cancer Collaboration. JAMA Oncol. 2017, 3, 524–548. [Google Scholar] [CrossRef] [PubMed]
- Siegel, R.L.; Miller, K.D.; Fuchs, H.E.; Jemal, A. Cancer Statistics, 2021. CA Cancer J. Clin. 2021, 71, 7–33. [Google Scholar] [CrossRef] [PubMed]
- Killock, D. AI outperforms radiologists in mammographic screening. Nat. Rev. Clin. Oncol. 2020, 17, 134. [Google Scholar] [CrossRef] [PubMed]
- Sweeney, C. Harvard Public Health. Available online: https://www.hsph.harvard.edu/magazine/magazine_article/artificial-intelligences-promise-and-peril/ (accessed on 1 January 2022).
- Chawla, N.V.; Bowyer, K.W.; Hall, L.O.; Kegelmeyer, W.P. SMOTE: Synthetic Minority Over-sampling Technique. J. Artif. Intell. Res. 2002, 16, 321–357. [Google Scholar] [CrossRef]
- Onchis, D.M.; Gillich, G.-R. Stable and explainable deep learning damage prediction for prismatic cantilever steel beam. Comput. Ind. 2021, 125, 103359. [Google Scholar] [CrossRef]
- Torre, L.A.; Bray, F.; Siegel, R.L.; Ferlay, J.; Lortet-Tieulent, J.; Jemal, A. Global cancer statistics, 2012. CA Cancer J. Clin. 2015, 65, 87–108. [Google Scholar] [CrossRef]
- Youlden, D.R.; Cramb, S.M.; Baade, P.D. The International Epidemiology of Lung Cancer: Geographical Distribution and Secular Trends. J. Thorac. Oncol. 2008, 3, 819–831. [Google Scholar] [CrossRef]
- Khan, A.N.; Al-Jahdali, H.H.; Irion, K.L.; Arabi, M.; Koteyar, S.S. Solitary pulmonary nodule: A diagnostic algorithm in the light of current imaging technique. Avicenna J. Med. 2011, 1, 39–51. [Google Scholar] [CrossRef]
- Kurahashi, N.; Inoue, M.; Liu, Y.; Iwasaki, M.; Sasazuki, S.; Sobue, T. Passive smoking and lung cancer in Japanese non-smoking women: A prospective study. Int. J. Cancer 2008, 122, 653–657. [Google Scholar] [CrossRef]
- Du, Y.; Cui, X.; Sidorenkov, G.; Groen, H.J.M.; Vliegenthart, R.; Heuvelmans, M.A.; Liu, S.; Oudkerk, M.; de Bock, G.H. Lung cancer occurrence attributable to passive smoking among never smokers in China: A systematic review and meta-analysis. Transl. Lung Cancer Res. 2020, 9, 204–217. [Google Scholar] [CrossRef]
- Taylor, R.; Gumming, R.; Woodward, A.; Black, M. Passive smoking and lung cancer: A cumulative meta-analysis. Aust. New Zealand J. Public Health 2001, 25, 203–211. [Google Scholar] [CrossRef] [PubMed]
- Taylor, R.; Najafi, F.; Dobson, A. Meta-analysis of studies of passive smoking and lung cancer: Effects of study type and continent. Int. J. Epidemiol. 2007, 36, 1048–1059. [Google Scholar] [CrossRef] [PubMed]
- Yue, S.; Wang, Y.; Wang, J.; Chen, J. Relationships between lung cancer incidences and air pollutants. Technol. Health Care 2017, 25, 411–422. [Google Scholar] [CrossRef] [PubMed]
- Dehghani, M.; Keshtgar, L.; Javaheri, M.R.; Derakhshan, Z.; Conti, G.O.; Zuccarello, P.; Ferrante, M. The effects of air pollutants on the mortality rate of lung cancer and leukemia. Mol. Med. Rep. 2017, 15, 3390–3397. [Google Scholar] [CrossRef] [PubMed]
- Wang, Y.; Yue, S.; Zheng, B.; Hao, Z.; Chen, J. A general method for evaluating the effects of air pollutants on lung cancer prevalence. J. Air Waste Manag. Assoc. 2018, 68, 1366–1377. [Google Scholar] [CrossRef]
- Park, E.Y.; Park, E.; Kim, J.; Oh, J.-K.; Kim, B.; Hong, Y.-C.; Lim, M.K. Impact of environmental exposure to persistent organic pollutants on lung cancer risk. Environ. Int. 2020, 143, 105925. [Google Scholar] [CrossRef]
- Zhang, M.; Zhou, Y.; Zhang, Y. High Expression of TLR2 in the serum of patients with tuberculosis and lung cancer, and can promote the progression of lung cancer. Math. Biosci. Eng. 2020, 17, 1959–1972. [Google Scholar] [CrossRef]
- Abudureheman, M.; Simayi, R.; Aimuroula, H.; Yan, X.-Y.; Hu, R.; Ma, Y.; Ma, J.-S. Association of Mycobacterium tuberculosis L-formmpb64 gene and lung cancer. Eur. Rev. Med. Pharmacol. Sci. 2019, 23, 113–120. [Google Scholar]
- Molina-Romero, C.; Arrieta, O.; Hernández-Pando, R. Tuberculosis and lung cancer. Salud Pública México 2019, 61, 286–291. [Google Scholar] [CrossRef]
- Van Leeuwen, F.E.; Ng, A.K. Long-term risk of second malignancy and cardiovascular disease after Hodgkin lymphoma treatment. Hematology 2016, 2016, 323–330. [Google Scholar] [CrossRef]
- Wahidi, M.M.; Govert, J.A.; Goudar, R.K.; Gould, M.K.; McCrory, D. Evidence for the Treatment of Patients With Pulmonary Nodules: When Is It Lung Cancer? Chest 2007, 132, 94S–107S. [Google Scholar] [CrossRef] [PubMed]
- Caskey, C.I.; Templeton, P.A.; Zerhouni, E.A. Current evaluation of the solitary pulmonary nodule. Radiol. Clin. N. Am. 1990, 28, 511–520. [Google Scholar]
- Zwirewich, C.V.; Vedal, S.; Miller, R.R.; Müller, N.L. Solitary pulmonary nodule: High-resolution CT and radiologic-pathologic correlation. Radiology 1991, 179, 469–476. [Google Scholar] [CrossRef] [PubMed]
- Naidich, D.P.; Webb, W.R.; Muller, N.L.; Vlahos, I.; Krinsky, G.A.; Kim, E.E. Computed Tomography and Magnetic Resonance of the Thorax. J. Nucl. Med. 2007, 48, 2088. [Google Scholar] [CrossRef]
- Xu, D.M.; van Klaveren, R.J.; de Bock, G.H.; Leusveld, A.L.; Dorrius, M.D.; Zhao, Y.; Wang, Y.; de Koning, H.J.; Scholten, E.T.; Verschakelen, J.; et al. Role of baseline nodule density and changes in density and nodule features in the discrimination between benign and malignant solid indeterminate pulmonary nodules. Eur. J. Radiol. 2009, 70, 492–498. [Google Scholar] [CrossRef] [PubMed]
- Henschke, C.I.; Yankelevitz, D.F.; Mirtcheva, R.; McGuinness, G.; McCauley, D.; Miettinen, O.S. CT Screening for Lung Cancer: Frequency and significance of part-solid and nonsolid nodules. Am. J. Roentgenol. 2002, 178, 1053–1057. [Google Scholar] [CrossRef]
- Jiang, G.-M.; Zhao, J.-W.; Chen, Y.-X.; Tian, F. Blood supply of pulmonary metastases and its clinical significance. Ai Zheng Aizheng Chin. J. Cancer 2006, 25, 885–887. [Google Scholar]
- Milne, E.N.; Zerhouni, E.A. Blood supply of pulmonary metastases. J. Thorac. Imaging 1987, 2, 15–23. [Google Scholar] [CrossRef]
- Lee, S.-J.; Cha, S.-I.; Kim, C.-H.; Park, J.-Y.; Jung, T.-H.; Jeon, K.-N.; Kim, G.-W. Septic pulmonary embolism in Korea: Microbiology, clinicoradiologic features, and treatment outcome. J. Infect. 2007, 54, 230–234. [Google Scholar] [CrossRef]
- Dodd, J.D.; Souza, C.A.; Müller, N.L. High-Resolution MDCT of Pulmonary Septic Embolism: Evaluation of the Feeding Vessel Sign. Am. J. Roentgenol. 2006, 187, 623–629. [Google Scholar] [CrossRef]
- Kuhlman, J.E.; Fishman, E.K.; Teigen, C. Pulmonary septic emboli: Diagnosis with CT. Radiology 1990, 174, 211–213. [Google Scholar] [CrossRef] [PubMed]
- Birring, S.S.; Peake, M.D. Symptoms and the early diagnosis of lung cancer. Thorax 2005, 60, 268–269. [Google Scholar] [CrossRef] [PubMed]
- Koyi, H.; Hillerdal, G.; Brandén, E. Patient’s and doctors’ delays in the diagnosis of chest tumors. Lung Cancer 2002, 35, 53–57. [Google Scholar] [CrossRef]
- Salomaa, E.-R.; Sällinen, S.; Hiekkanen, H.; Liippo, K. Delays in the Diagnosis and Treatment of Lung Cancer. Chest 2005, 128, 2282–2288. [Google Scholar] [CrossRef]
- Houston, T. Screening for Lung Cancer. Med. Clin. N. Am. 2020, 104, 1037–1050. [Google Scholar] [CrossRef]
- Lowenstein, L.M.; Deyter, G.M.R.; Nishi, S.; Wang, T.; Volk, R.J. Shared decision-making conversations and smoking cessation interventions: Critical components of low-dose CT lung cancer screening programs. Transl. Lung Cancer Res. 2018, 7, 254–271. [Google Scholar] [CrossRef]
- Beatrice, S.; Valentin, B.M.; Elena, M.; Oana, I.; Sergiu, C. About Lung Cancer in Romania and Constanta County. ARS Med. Tomitana 2020, 26, 145–149. [Google Scholar] [CrossRef]
- Groheux, D.; Quere, G.; Blanc, E.; Lemarignier, C.; Vercellino, L.; de Margerie-Mellon, C.; Merlet, P.; Querellou, S. FDG PET-CT for solitary pulmonary nodule and lung cancer: Literature review. Diagn. Interv. Imaging 2016, 97, 1003–1017. [Google Scholar] [CrossRef]
- Detterbeck, F.C.; Mazzone, P.J.; Naidich, D.; Bach, P.B. Screening for Lung Cancer: Diagnosis and management of lung cancer, 3rd ed: American college of chest physicians evidence-based clinical practice guidelines. Chest 2013, 143, e78S–e92S. [Google Scholar] [CrossRef]
- Aberle, D.R.; Adams, A.M.; Berg, C.D.; Black, W.C.; Clapp, J.D.; Fagerstrom, R.M. Reduced Lung-Cancer Mortality with Low-Dose Computed Tomographic Screening—The National Lung Screening Trial Research Team. N. Engl. J. Med. 2011, 365, 395–409. [Google Scholar]
- Lubuzo, B.; Ginindza, T.; Hlongwana, K. The barriers to initiating lung cancer care in low-and middle-income countries. Pan Afr. Med. J. 2020, 35, 38. [Google Scholar] [CrossRef] [PubMed]
- Sleeman, K.E.; Gomes, B.; de Brito, M.; Shamieh, O.; Harding, R. The burden of serious health-related suffering among cancer decedents: Global projections study to 2060. Palliat. Med. 2021, 35, 231–235. [Google Scholar] [CrossRef] [PubMed]
- Mir, M.F.; Naik, M.A.; Malik, J.A. CT guided lung biopsy complications: A single centre prospective study. Int. J. Res. Med. Sci. 2018, 6, 2943. [Google Scholar] [CrossRef]
- Riquelme, D.; Akhloufi, M.A. Deep Learning for Lung Cancer Nodules Detection and Classification in CT Scans. AI 2020, 1, 28–67. [Google Scholar] [CrossRef]
- Giger, M.L. Introduction to the LUNGx Challenge. J. Med. Imaging 2015, 2, 020102. [Google Scholar] [CrossRef] [PubMed][Green Version]
- van Ginneken, B.; Armato, S.G.; de Hoop, B.; Vorst, S.V.A.-V.D.; Duindam, T.; Niemeijer, M.; Murphy, K.; Schilham, A.; Retico, A.; Fantacci, M.E.; et al. Comparing and combining algorithms for computer-aided detection of pulmonary nodules in computed tomography scans: The ANODE09 study. Med. Image Anal. 2010, 14, 707–722. [Google Scholar] [CrossRef]
- Wille, M.M.W.; Van Riel, S.J.; Saghir, Z.; Dirksen, A.; Pedersen, J.H.; Jacobs, C.; Thomsen, L.H.; Scholten, E.T.; Skovgaard, L.T.; Van Ginneken, B. Predictive Accuracy of the PanCan Lung Cancer Risk Prediction Model -External Validation based on CT from the Danish Lung Cancer Screening Trial. Eur. Radiol. 2015, 25, 3093–3099. [Google Scholar] [CrossRef]
- Hassannezhad, R.; Vahed, N. Prediction of the Risk of Malignancy Among Detected Lung Nodules in the National Lung Screening Trial. J. Am. Coll. Radiol. 2018, 15, 1529–1535. [Google Scholar] [CrossRef]
- Røe, O.D.; Markaki, M.; Tsamardinos, I.; Lagani, V.; Nguyen, O.T.D.; Pedersen, J.H.; Saghir, Z.; Ashraf, H.G. ‘Reduced’ HUNT model outperforms NLST and NELSON study criteria in predicting lung cancer in the Danish screening trial. BMJ Open Respir. Res. 2019, 6, e000512. [Google Scholar] [CrossRef]
- Yan, R.; Chen, X.; Wang, P.; Onchis, D.M. Deep learning for fault diagnosis and prognosis in manufacturing systems. Comput. Ind. 2019, 110, 1–2. [Google Scholar] [CrossRef]
- Onchis, D. Observing damaged beams through their time-frequency extended signatures. Signal Processing 2014, 96, 16–20. [Google Scholar] [CrossRef]
- Gaianu, M.; Onchis, D.M. Face and marker detection using Gabor frames on GPUs. Signal Processing 2014, 96, 90–93. [Google Scholar] [CrossRef]
- Ashrapov, I. Tabular GANs for Uneven Distribution. arXiv 2010, arXiv:2010.00638. [Google Scholar]
- Xu, L.; Veeramachaneni, K. Synthesizing Tabular Data Using Generative Adversarial Networks. arXiv 2018, arXiv:1811.11264. [Google Scholar]
Publisher’s Note: MDPI stays neutral with regard to jurisdictional claims in published maps and institutional affiliations. |
© 2022 by the authors. Licensee MDPI, Basel, Switzerland. This article is an open access article distributed under the terms and conditions of the Creative Commons Attribution (CC BY) license (https://creativecommons.org/licenses/by/4.0/).









