Skin-Reducing Mastectomy and Immediate Reconstruction for a Large Recurrent Borderline Phyllodes Tumor
Abstract
1. Introduction
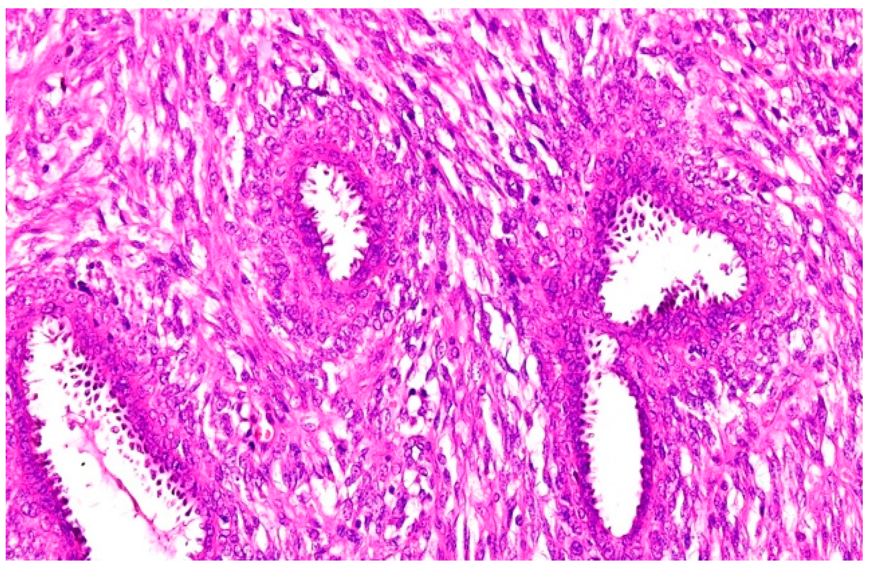
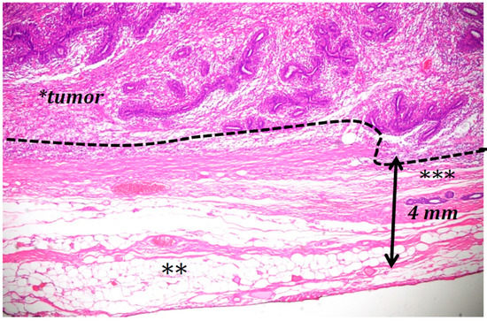
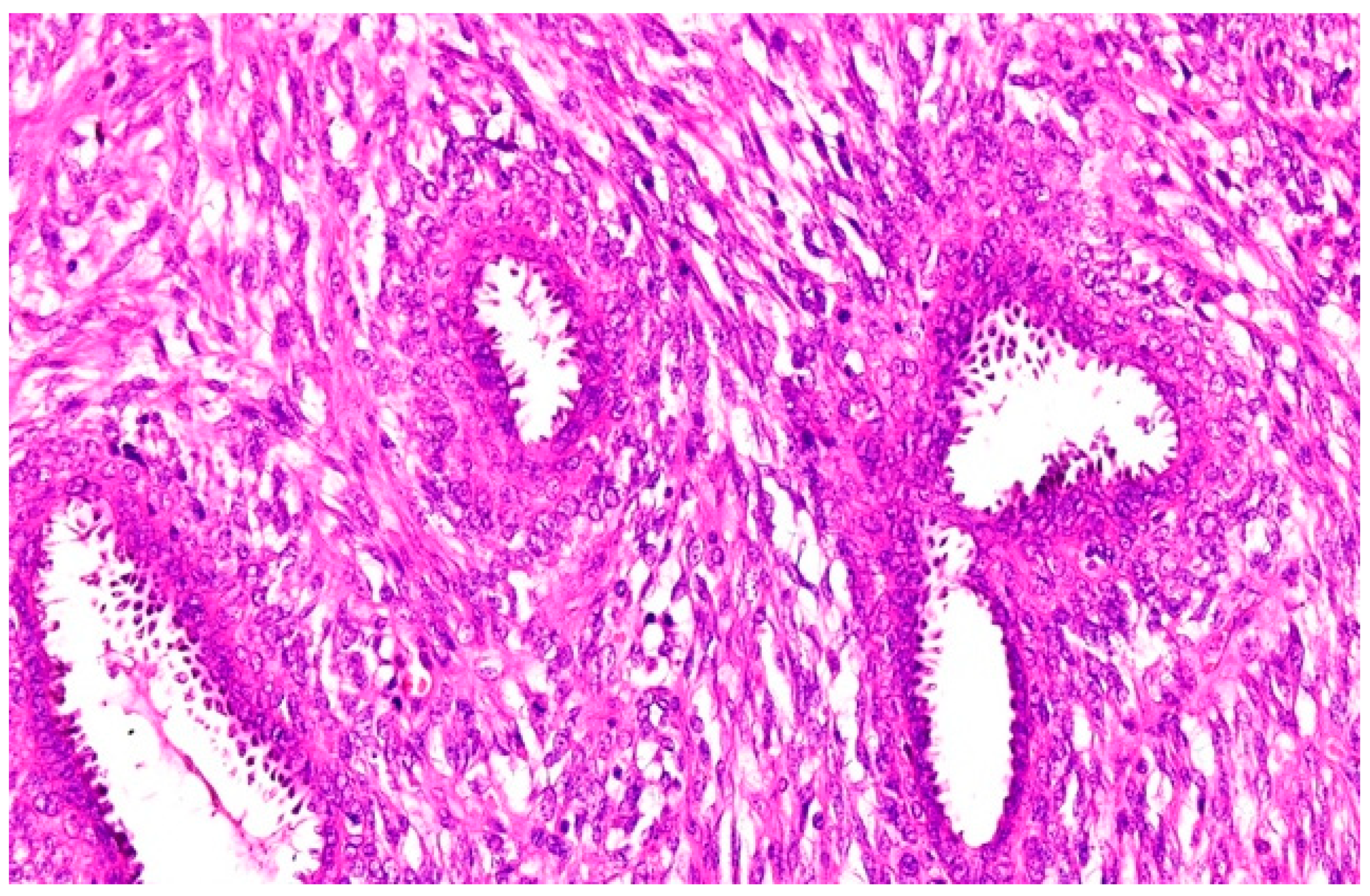
2. Case Presentation
3. Case Discussion
4. Conclusions
Author Contributions
Funding
Institutional Review Board Statement
Informed Consent Statement
Data Availability Statement
Conflicts of Interest
References
- Muller, J. Uber den feinren Ban und Die Formen der Kraften Geschwulste. Berlin G. Reiner 1838, 1, 54–57. [Google Scholar]
- Venter, A.C.; Roşca, E.; Daina, L.G.; Muţiu, G.; Pirte, A.N.; Rahotă, D. Phyllodes tumor: Diagnostic imaging and histopathology findings. Rom. J. Morphol. Embryol. 2015, 56, 1397–1402. [Google Scholar] [PubMed]
- Plaza, M.J.; Swintelski, C.; Yaziji, H.; Torres-Salichs, M.; Esserman, L.E. Phyllodes tumor: Review of key imaging characteristics. Breast Dis. 2015, 35, 79–86. [Google Scholar] [CrossRef] [PubMed]
- Salvadori, B.; Cusumano, F.; Del Bo, R.; Delledonne, V.; Grassi, M.; Rovini, D.; Saccozzi, R.; Andreola, S.; Clemente, C. Surgical treatment of phyllodes tumors of the breast. Cancer 1989, 63, 2532–2536. [Google Scholar] [CrossRef]
- Bernstein, L.; Deapen, D.; Ross, R.K. The descriptive epidemiology of malignant cystosarcoma phyllodes tumors of the breast. Cancer 1993, 71, 3020–3024. [Google Scholar] [CrossRef]
- Lakhani, S.R.; Ellis, I.O.; Schnitt, S.J.; Tan, P.H.; van der Vijver, M.J. (Eds.) World Health Organisation Classification of Tumors of the Breast; IARC Press: Lyon, France, 2012. [Google Scholar]
- Ang, M.K.; Ooi, A.S.; Thike, A.A.; Tan, P.; Zhang, Z.; Dykema, K.; Furge, K.; Teh, B.T.; Tan, P.H. Molecular classification of breast phyllodes tumors: Validation of the histologic grading scheme and insights into malignant progression. Breast Cancer Res. Treat. 2011, 129, 319–329. [Google Scholar] [CrossRef]
- Tan, P.H.; Thike, A.A.; Tan, W.J.; Thu, M.M.M.; Busmanis, I.; Li, H.; Chay, W.Y.; Tan, M.; Singapore, T.P.T.N. Predicting clinical behaviour of breast phyllodes tumours: A nomogram based on histological criteria and surgical margins. J. Clin. Pathol. 2012, 65, 69–76. [Google Scholar] [CrossRef]
- Tan, P.H.; Jayabaskar, T.; Yip, G.; Tan, Y.; Hilmy, M.; Selvajaran, S. P53 and C-Kit (CD117) protein expression as prognostic indicators in breast phyllodes tumors: A tissue microarray study. Mod. Pathol. 2005, 18, 1527–1534. [Google Scholar] [CrossRef]
- Parker, S.J.; Harries, S.A. Phyllodes tumours. Postgrad. Med. J. 2001, 77, 428–435. [Google Scholar] [CrossRef]
- Khosravi-Shahi, P. Management of non metastatic phyllodes tumors of the breast: Review of the literature. Surg. Oncol. 2011, 20, e143–e148. [Google Scholar] [CrossRef]
- National Comprehensive Cancer Network. Phyllodes tumor, version 1. 2018. Plymouth Meeting (PA). Available online: https://www.nccn.org (accessed on 17 December 2020).
- Sedgwick, E.L.; Ebuoma, L.; Hamame, A.; Phalak, K.; Ruiz-Flores, L.; Ortiz-Pérez, T.; Sepulveda, K.A. BI-RADS update for breast cancer caregivers. Breast Cancer Res. Treat. 2015, 150, 243–254. [Google Scholar] [CrossRef] [PubMed]
- Oken, M.M.; Creech, R.H.; Tormey, D.C.; Horton, J.; Davis, T.E.; McFadden, E.T.; Carbone, P.P. Toxicity and response criteria of the Eastern Cooperative Oncology Group. Am. J. Clin. Oncol. 1982, 5, 649–655. [Google Scholar] [CrossRef] [PubMed]
- Adamietz, B.R.; Kahmann, L.; Fasching, P.A.; Schulz-Wendtland, R.; Uder, M.; Beckmann, M.W.; Meier-Meitinger, M. Differentiation between phyllodes tumor and fibroadenoma using real-time elastography. Ultraschall Med. 2011, 32 (Suppl. 2), E75–E79. [Google Scholar] [CrossRef] [PubMed]
- Macdonald, O.K.; Lee, C.M.; Tward, J.D.; Chappel, C.D.; Gaffney, D.K. Malignant phyllodes tumor of the female breast: Association of primary therapy with cause-specific survival from the Surveillance, Epidemiology, and End Results (SEER) program. Cancer 2006, 107, 2127–2133. [Google Scholar] [CrossRef]
- Cui, W.J.; Wang, C.; Jia, L.; Ren, S.; Duan, S.F.; Cui, C.; Chen, X.; Wang, Z.Q. Differentiation Between G1 and G2/G3 Phyllodes Tumors of Breast Using Mammography and Mammographic Texture Analysis. Front. Oncol. 2019, 9, 433. [Google Scholar] [CrossRef]
- Kundes, M.F.; Cetin, K.; Kaya, S.; Kucuk, H.F. Is the surgical approach very important to treatment for phyllodes tumors? South. Clin. Istanb. Eurasia 2019, 30, 130–134. [Google Scholar] [CrossRef]
- Karim, R.Z.; Gerega, S.K.; Yang, Y.H.; Spillane, A.; Carmalt, H.; Scolyer, R.; Lee, C. Phyllodes tumours of the breast: A clinicopathological analysis of 65 cases from a single institution. Breast 2009, 18, 165–170. [Google Scholar] [CrossRef]
- Bapat, K.; Oropeza, R.; Sahoo, S. Benign phyllodes tumor of the male breast. Breast J. 2002, 8, 115–116. [Google Scholar] [CrossRef]
- Dillon, M.F.; Quinn, C.M.; McDermott, E.W.; O’Doherty, A.; O’Higgins, N.; Hill, A.D. Needle core biopsy in the diagnosis of phyllodes neoplasm. Surgery 2006, 140, 779–784. [Google Scholar] [CrossRef]
- Lee, A.H.; Hodi, Z.; Ellis, I.O.; Elston, C.W. Histological features useful in the distinction of phyllodes tumour and fibroadenoma on needle core biopsy of the breast. Histopathology 2007, 51, 336–344. [Google Scholar] [CrossRef]
- de Roos, W.K.; Kaye, P.; Dent, D.M. Factors leading to local recurrence or death after surgical resection of phyllodes tumours of the breast. Br. J. Surg. 1999, 86, 396–399. [Google Scholar] [CrossRef] [PubMed]
- Tan, B.Y.; Acs, G.; Apple, S.K.; Badve, S.; Bleiweiss, I.J.; Brogi, E.; Calvo, J.P.; Dabbs, D.J.; Ellis, I.O.; Eusebi, V.; et al. Phyllodes tumours of the breast: A consensus review. Histopathology 2016, 68, 5–21. [Google Scholar] [CrossRef] [PubMed]
- Pant, N.K.; Singh, A.; Kumar, D.; Pandey, H. A rare case of a phyllodes tumour of the breast converting to a fibrosarcoma with successful treatment. Ecancermedicalscience 2012, 6, 247. [Google Scholar] [CrossRef] [PubMed]
- Ur Rab, A.Z.; Alim, S.S.; Wasif, M.A. Giant phyllodes tumor of breast post fibroadenoma excision: A rare case report and review of literature. Int. J. Surg. Sci. 2020, 4, 188–190. [Google Scholar] [CrossRef][Green Version]
- Toh, Y.F.; Cheah, P.L.; Looi, L.M.; Teoh, K.H.; Tan, P.H. Phyllodes tumours of the breast: Retrospective analysis of a University Hospital’s experience. Malays. J. Pathol. 2016, 38, 19–24. [Google Scholar]
- Spitaleri, G.; Toesca, A.; Botteri, E.; Bottiglieri, L.; Rotmensz, N.; Boselli, S.; Sangalli, C.; Catania, C.; Toffalorio, F.; Noberasco, C.; et al. Breast phyllodes tumor: A review of literature and a single center retrospective series analysis. Crit. Rev. Oncol. Hematol. 2013, 88, 427–436. [Google Scholar] [CrossRef]
- Ogunbiyi, S.; Perry, A.; Jakate, K.; Simpson, J.; George, R. Phyllodes tumour of the breast and margins: How much is enough. Can. J. Surg. 2019, 62, E19–E21. [Google Scholar] [CrossRef]
- Sotheran, W.; Domjan, J.; Jeffrey, M.; Wise, M.H.; Perry, P.M. Phyllodes tumours of the breast--a retrospective study from 1982-2000 of 50 cases in Portsmouth. Ann. R. Coll. Surg. Engl. 2005, 87, 339–344. [Google Scholar] [CrossRef]
- Ben Hassouna, J.; Damak, T.; Gamoudi, A.; Chargui, R.; Khomsi, F.; Mahjoub, S.; Slimene, M.; Ben Dhiab, T.; Hechiche, M.; Boussen, H.; et al. Phyllodes tumors of the breast: A case series of 106 patients. Am. J. Surg. 2006, 192, 141–147. [Google Scholar] [CrossRef]
- Kapiris, I.; Nasiri, N.; A’Hern, R.; Healy, V.; Gui, G.P. Outcome and predictive factors of local recurrence and distant metastases following primary surgical treatment of high-grade malignant phyllodes tumours of the breast. Eur. J. Surg. Oncol. 2001, 27, 723–730. [Google Scholar] [CrossRef]
- Barrio, A.V.; Clark, B.D.; Goldberg, J.I.; Hoque, L.W.; Bernik, S.F.; Flynn, L.W.; Susnik, B.; Giri, D.; Polo, K.; Patil, S.; et al. Clinicopathologic features and long-term outcomes of 293 phyllodes tumors of the breast. Ann. Surg. Oncol. 2007, 14, 2961–2970. [Google Scholar] [CrossRef] [PubMed]
- Reinfuss, M.; Mituś, J.; Duda, K.; Stelmach, A.; Ryś, J.; Smolak, K. The treatment and prognosis of patients with phyllodes tumor of the breast: An analysis of 170 cases. Cancer 1996, 77, 910–916. [Google Scholar] [CrossRef]
- NCCN Clinical Practice Guidelines in Oncology (NCCN Guidelines) Breast Cancer, Version 4.2020-may 8,2020. Available online: https://www.nccn.org/ (accessed on 17 December 2020).
- Hoinoiu, T.; Grujic, D.; Prilipceanu, G.; Folescu, R.; Hoinoiu, B.; Bratu, T.; Poroch, V.; Grujic, L. The Use of Collagen-Glycosaminoglycan Biodegradable Matrix (Integra®) in the Management of Neck Postburn Hypertrophic Scars and Contractures. Appl. Sci. 2020, 10, 3731. [Google Scholar] [CrossRef]
- Oprean, C.M.; Negru, S.M.; Popovici, D.I.; Saftescu, S.; Han, R.-A.; Dragomir, G.-M.; Hoinoiu, T.; Dema, A. Postmenopausal Breast Cancer in Women, Clinical and Epidemiological Factors Related to the Molecular Subtype: A Retrospective Cohort Study in a Single Institution for 13 Years. Follow-Up Data. Int. J. Environ. Res. Public Health 2020, 17, 8722. [Google Scholar] [CrossRef] [PubMed]
- Zhou, Z.R.; Wang, C.C.; Yang, Z.Z.; Yu, X.L.; Guo, X.M. Phyllodes tumors of the breast: Diagnosis, treatment and prognostic factors related to recurrence. J. Thorac. Dis. 2016, 8, 3361–3368. [Google Scholar] [CrossRef]
- Suzuki-Uematsu, S.; Shiraishi, K.; Ito, T.; Adachi, N.; Inage, Y.; Taeda, Y.; Ueki, H.; Ohtani, H. Malignant phyllodes tumor composed almost exclusively of a fibrosarcomatous component: A case report and review of malignant phyllodes tumors with metastases. Breast Cancer 2010, 17, 218–224. [Google Scholar] [CrossRef]
- Chaney, A.W.; Pollack, A.; McNeese, M.D.; Zagars, G.K.; Pisters, P.W.; Pollock, R.E.; Hunt, K.K. Primary treatment of cystosarcoma phyllodes of the breast. Cancer 2000, 89, 1502–1511. [Google Scholar] [CrossRef]







Publisher’s Note: MDPI stays neutral with regard to jurisdictional claims in published maps and institutional affiliations. |
© 2021 by the authors. Licensee MDPI, Basel, Switzerland. This article is an open access article distributed under the terms and conditions of the Creative Commons Attribution (CC BY) license (http://creativecommons.org/licenses/by/4.0/).
Share and Cite
Grujic, D.; Cristian, H.; Hoinoiu, T.; Miclauș, C.D.; Cerbu, S.; Grujic, L.; Oprean, C. Skin-Reducing Mastectomy and Immediate Reconstruction for a Large Recurrent Borderline Phyllodes Tumor. Appl. Sci. 2021, 11, 1224. https://doi.org/10.3390/app11031224
Grujic D, Cristian H, Hoinoiu T, Miclauș CD, Cerbu S, Grujic L, Oprean C. Skin-Reducing Mastectomy and Immediate Reconstruction for a Large Recurrent Borderline Phyllodes Tumor. Applied Sciences. 2021; 11(3):1224. https://doi.org/10.3390/app11031224
Chicago/Turabian StyleGrujic, Daciana, Horia Cristian, Teodora Hoinoiu, Codruta Diana Miclauș, Simona Cerbu, Ljubisa Grujic, and Cristina Oprean. 2021. "Skin-Reducing Mastectomy and Immediate Reconstruction for a Large Recurrent Borderline Phyllodes Tumor" Applied Sciences 11, no. 3: 1224. https://doi.org/10.3390/app11031224
APA StyleGrujic, D., Cristian, H., Hoinoiu, T., Miclauș, C. D., Cerbu, S., Grujic, L., & Oprean, C. (2021). Skin-Reducing Mastectomy and Immediate Reconstruction for a Large Recurrent Borderline Phyllodes Tumor. Applied Sciences, 11(3), 1224. https://doi.org/10.3390/app11031224

