The Impact of Orthodontic Treatment on Pre-Existing Gingival Recessions: A Retrospective Study
Abstract
1. Introduction
2. Materials and Methods
2.1. Selection
2.2. Measurements
2.2.1. Patient Records
- General data: age (years), gender (male, female), duration of orthodontic treatment (months).
- Tooth extraction (no extraction, extractions in the maxillary or mandibular dental arch, or extractions in both dental arches).
Plaster Models
- The extent of gingival recession was measured in millimeters, using a digital caliper (Fino, Germany) before (T0) and after (T1) OT. Measurements were recorded to the nearest 0.01 mm (Figure 2). The change of GR (T0–T1) was categorized into three groups (worsened, did not change, improved (this group consists of healed GR, which became better but did not disappear, and fully healed-which disappeared after OT). Recession change of ≥0.5 mm was recorded as improvement or worsening [23,24].
- Overbite (OB), measured in millimeters before OT. OB values were categorized into three groups (<1 mm; 1–3 mm; >3 mm) [25].
- Overjet (OJ) was measured in millimeters before OT. Data were categorized into two groups (<4 mm; ≥4 mm) [25].
- Sagittal relationship (between maxillary and mandibular canines). Class I was considered when upper canine displacement from the ideal position was less than 1 mm.
- Crowding (yes/no) was determined according to the plaster models before OT.
- Position of teeth with GRs in the dental arch was assessed and classified to: (1) labial tooth position due to crowding, (2) labial/buccal root inclination, and (3) unfavorable occlusal contacts with antagonist teeth (cusp-to cusp or deep overbite).
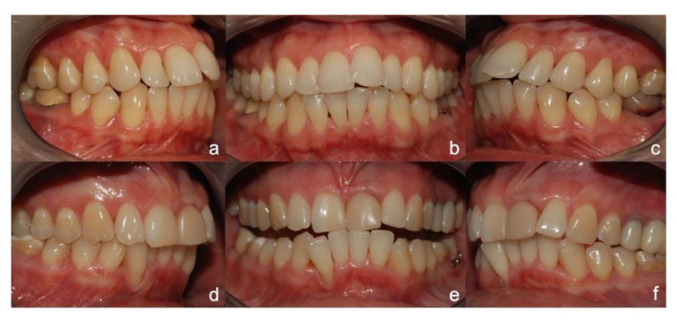
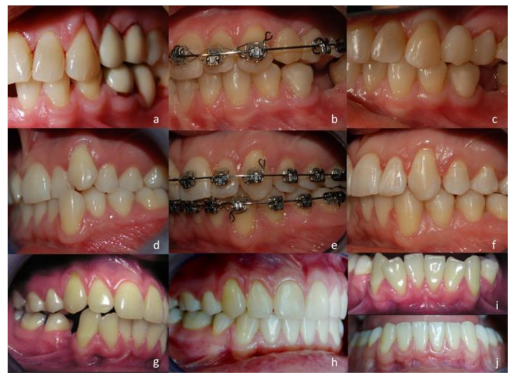
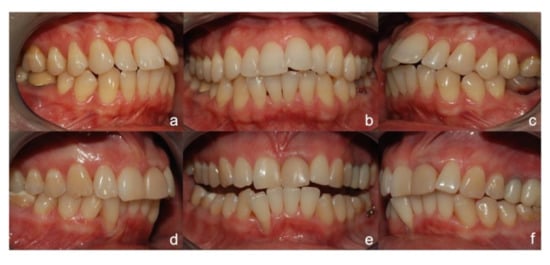
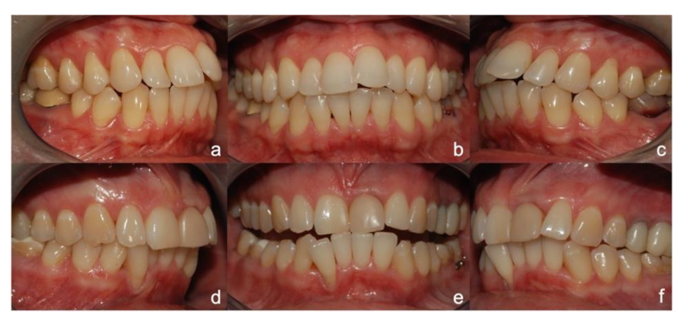
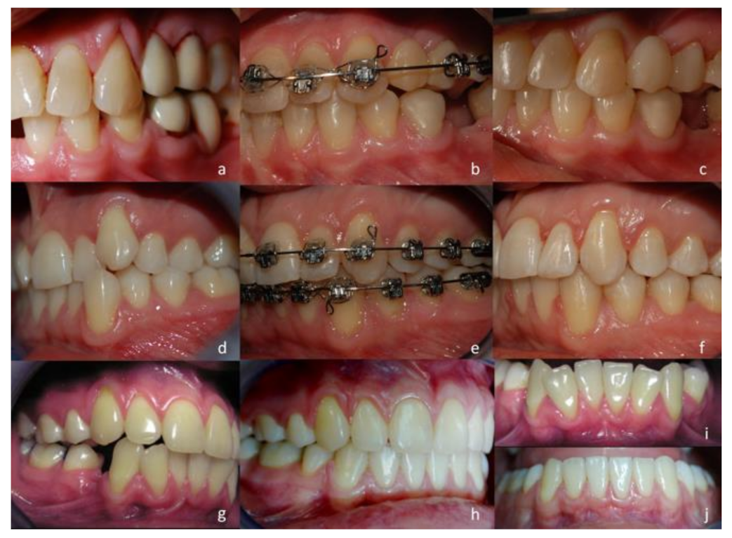
2.2.2. Intraoral Photographs
2.3. Data Preparation
2.4. Statistical Analysis
3. Results
3.1. Baseline Data
3.2. Gingival Recession Change at Patient Level
3.3. Patient-Related Factors
- Sagittal relationship: Significant mean GR improvement was found in patients with dental Angle I (0.60 mm, CI: 0.31, 0.89; p = 0.001) and Angle II (0.47 mm, CI: 0.20; 0.74; p = 0.003), however, no significant GR changes were observed in Angle class III patients (mean 0.18 mm, CI: −0.25; 0.61; p = 0.44). No difference between three groups in GR change was found (p = 0.21).
- Overbite: Significant median GR improvement after OT was found in patients with normal/deep (≥1 mm) pre-treatment overbite (0.59 mm, Q1; Q3: 0.28; 0.93) (p = 0.001). No median GR improvement in subjects with a reduced overbite (<1 mm), rather a tendency to median recession worsening was observed (0.002 mm, Q1; Q3: −0.49; 0.36) (p = 0.75). Significant difference in GR change between patients in three overbite groups was found (p = 0.03). Median GR improvement was significantly lower in patients with pre-treatment open bite (<1 mm) in comparison to normal (1–3 mm) (p < 0.05) or deep (>3 mm) (p < 0.05) overbite.
- Biotype: Mean GR improvement from T0 to T1 was found in subjects with thin (0.29 mm, CI: 0.09, 0.49; p = 0.01; n = 15) and normal/thick biotype (0.56 mm, CI: 0.30; 0.82; p = 0.001; n = 22), with no significant differences between groups (p = 0.13).
- Overjet: No significant differences in patient-level GR changes were found between pre-treatment overjet <4 mm and ≥4 mm subjects (p = 0.22).
- Crowding: No significant differences in patient-level GR changes were found between patients with (n = 28) or without (n = 9) pre-treatment crowding (p = 0.57).
- Sex: No significant differences in patient-level GR changes were found between males and females (p = 0.57).
- Age: No significant differences in patient-level GR changes were observed in adults (≥18 years) and young (<18 years) subjects (p = 0.53).
3.4. Treatment-Related Factors
3.5. Gingival Recession Change at Tooth Level
4. Discussion
5. Conclusions
Author Contributions
Funding
Institutional Review Board Statement
Informed Consent Statement
Data Availability Statement
Acknowledgments
Conflicts of Interest
Abbreviations
| GR | gingival recession |
| MGJ | mucogingival junction |
| OT | orthodontic treatment |
| OB | overbite |
| OJ | overjet |
References
- Manson, J.D.; Eley, B.M. Mucogingival problems and their treatment. In Outline of Periodontics; Manson, J.D., Eley, B.M., Eds.; Elsevier Health Sciences: London, UK, 2000. [Google Scholar]
- Cortellini, P.; Bissada, N.F. Mucogingival conditions in the natural dentition: Narrative review, case definitions, and diagnostic considerations. J. Periodontol. 2018, 89 (Suppl. 1), S204–S213. [Google Scholar] [CrossRef]
- Tugnait, A.; Clerehugh, V. Gingival recession-its significance and management. J. Dent. 2001, 29, 381–394. [Google Scholar] [CrossRef]
- Jepsen, S.; Caton, J.G.; Albandar, J.M.; Bissada, N.F.; Bouchard, P.; Cortellini, P.; Demirel, K.; de Sanctis, M.; Ercoli, C.; Fan, J.; et al. Periodontal manifestations of systemic diseases and developmental and acquired conditions: Consensus report of workgroup 3 of the 2017 World Workshop on the Classification of Periodontal and Peri-Implant Diseases and Conditions. J. Clin. Periodontol. 2018, 45 (Suppl. 20), S219–S229. [Google Scholar] [CrossRef] [PubMed]
- Miller, P.D. A classification of marginal tissue recession. Int. J. Periodontics Restor. Dent. 1985, 5, 8–13. [Google Scholar] [PubMed]
- Cairo, F.; Nieri, M.; Cincinelli, S.; Mervelt, J.; Pagliaro, U. The interproximal clinical attachment level to classify gingival recessions and predict root coverage outcomes: An explorative and reliability study. J. Clin. Periodontol. 2011, 38, 661–666. [Google Scholar] [CrossRef] [PubMed]
- Pini-Prato, G. The Miller classification of gingival recession: Limits and drawbacks. J. Clin. Periodontol. 2011, 38, 243–245. [Google Scholar] [CrossRef] [PubMed]
- Loe, H.; Anerud, A.; Boysen, H. The natural history of periodontal disease in man: Prevalence, severity, and extent of gingival recession. J. Periodontol. 1992, 63, 489–495. [Google Scholar] [CrossRef]
- Marini, M.G.; Greghi, S.L.; Passanezi, E.; Sant’ana, A.C. Gingival recession: Prevalence, extension and severity in adults. J. Appl. Oral Sci. 2004, 12, 250–255. [Google Scholar] [CrossRef] [PubMed]
- Sarfati, A.; Bourgeois, D.; Katsahian, S.; Mora, F.; Bouchard, P. Risk assessment for buccal gingival recession defects in an adult population. J. Periodontol. 2010, 81, 1419–1425. [Google Scholar] [CrossRef] [PubMed]
- Mythri, S.; Arunkumar, S.M.; Hegde, S.; Rajesh, S.K.; Munaz, M.; Ashwin, D. Etiology and occurrence of gingival recession-An epidemiological study. J. Indian Soc. Periodontol. 2015, 19, 671–675. [Google Scholar] [CrossRef]
- Jati, A.S.; Furquim, L.Z.; Consolaro, A. Gingival recession: Its causes and types, and the importance of orthodontic treatment. Dent. Press J. Orthod. 2016, 21, 18–29. [Google Scholar] [CrossRef]
- Kassab, M.M.; Cohen, R.E. The etiology and prevalence of gingival recession. J. Am. Dent. Assoc. 2003, 134, 220–225. [Google Scholar] [CrossRef] [PubMed]
- Richman, C. Is gingival recession a consequence of an orthodontic tooth size and/or tooth position discrepancy? “A paradigm shift”. Compend. Contin. Educ. Dent. 2011, 32, e73–e79. [Google Scholar]
- Le, B.T.; Borzabadi-Farahani, A. Labial bone thickness in area of anterior maxillary implants associated with crestal labial soft tissue thickness. Implant. Dent. 2012, 21, 406–410. [Google Scholar] [CrossRef] [PubMed]
- Rasperini, G.; Acunzo, R.; Cannalire, P.; Farronato, G. Influence of Periodontal Biotype on Root Surface Exposure During Orthodontic Treatment: A Preliminary Study. Int. J. Periodontics Restor. Dent. 2015, 35, 665–675. [Google Scholar] [CrossRef] [PubMed]
- Flores-Mir, C. Does orthodontic treatment lead to gingival recession? Evid. Based Dent. 2011, 12, 20. [Google Scholar] [CrossRef] [PubMed]
- Zweers, J.; Thomas, R.Z.; Slot, D.E.; Weisgold, A.S.; Van der Weijden, F.G. Characteristics of periodontal biotype, its dimensions, associations and prevalence: A systematic review. J. Clin. Periodontol. 2014, 41, 958–971. [Google Scholar] [CrossRef]
- Cosgarea, R.; Kloukos, D.; Katsaros, C.; Sculean, A. Etiology and Treatment of Gingival Recessions in Orthodontically Treated Patients. In The Ortho-Perio Patient. Clinical Evidence & Therapeutic Guidelines, 1st ed.; Eliades, T., Katsaros, C., Eds.; Quintessence Publishing Co. Inc.: Batavia, IL, USA, 2019. [Google Scholar]
- Renkema, A.M.; Fudalej, P.S.; Renkema, A.; Kiekens, R.; Katsaros, C. Development of labial gingival recessions in orthodontically treated patients. Am. J. Orthod. Dentofac. Orthop. 2013, 143, 206–212. [Google Scholar] [CrossRef]
- Renkema, A.M.; Fudalej, P.S.; Renkema, A.A.; Abbas, F.; Bronkhorst, E.; Katsaros, C. Gingival labial recessions in orthodontically treated and untreated individuals: A case-control study. J. Clin. Periodontol. 2013, 40, 631–637. [Google Scholar] [CrossRef]
- Gorbunkova, A.; Pagni, G.; Brizhak, A.; Farronato, G.; Rasperini, G. Impact of Orthodontic Treatment on Periodontal Tissues: A Narrative Review of Multidisciplinary Literature. Int. J. Dent. 2016, 2016, 4723589. [Google Scholar] [CrossRef]
- Cesar Neto, J.B.; Cavalcanti, M.C.; Sekiguchi, R.T.; Pannuti, C.M.; Romito, G.A.; Tatakis, D.N. Root Coverage for Single Deep Gingival Recessions: Outcomes Based on a Decision-Making Algorithm. Int. J. Dent. 2019, 2019, 1830765. [Google Scholar] [CrossRef] [PubMed]
- Goodson, J.M.; Haffajee, A.D.; Socransky, S.S.; Kent, R.; Teles, R.; Hasturk, H.; Bogren, A.; Van Dyke, T.; Wennstrom, J.; Lindhe, J. Control of periodontal infections: A randomized controlled trial I. The primary outcome attachment gain and pocket depth reduction at treated sites. J. Clin. Periodontol. 2012, 39, 526–536. [Google Scholar] [CrossRef] [PubMed]
- Proffit, W.R. Malocclusion and Dentofacial Deformity in Contemporary Society. In Contemporary Orthodontics-E-Book; Proffit, W.R., Fields, H.W., Larson, B., Sarver, D.M., Eds.; Elsevier Health Sciences: Philadelphia, PA, USA, 2018. [Google Scholar]
- Boke, F.; Gazioglu, C.; Akkaya, S.; Akkaya, M. Relationship between orthodontic treatment and gingival health: A retrospective study. Eur. J. Dent. 2014, 8, 373–380. [Google Scholar] [CrossRef] [PubMed]
- Esfahrood, Z.R.; Kadkhodazadeh, M.; Talebi Ardakani, M.R. Gingival biotype: A review. Gen. Dent. 2013, 61, 14–17. [Google Scholar] [PubMed]
- Johal, A.; Katsaros, C.; Kiliaridis, S.; Leitao, P.; Rosa, M.; Sculean, A.; Weiland, F.; Zachrisson, B. State of the science on controversial topics: Orthodontic therapy and gingival recession (a report of the Angle Society of Europe 2013 meeting). Prog. Orthod. 2013, 14, 16. [Google Scholar] [CrossRef] [PubMed]
- Wishney, M. Potential risks of orthodontic therapy: A critical review and conceptual framework. Aust. Dent. J. 2017, 62 (Suppl. 1), 86–96. [Google Scholar] [CrossRef] [PubMed]
- Koletsi, D.; Pandis, N.; Polychronopoulou, A.; Eliades, T. Does published orthodontic research account for clustering effects during statistical data analysis? Eur. J. Orthod. 2012, 34, 287–292. [Google Scholar] [CrossRef] [PubMed]
- Melsen, B.; Allais, D. Factors of importance for the development of dehiscences during labial movement of mandibular incisors: A retrospective study of adult orthodontic patients. Am. J. Orthod. Dentofac. Orthop. 2005, 127, 552–561. [Google Scholar] [CrossRef]
- Vasconcelos, G.; Kjellsen, K.; Preus, H.; Vandevska-Radunovic, V.; Hansen, B.F. Prevalence and severity of vestibular recession in mandibular incisors after orthodontic treatment. Angle Orthod. 2012, 82, 42–47. [Google Scholar] [CrossRef]
- Bin Bahar, B.S.K.; Alkhalidy, S.R.; Kaklamanos, E.G.; Athanasiou, A.E. Do orthodontic patients develop more gingival recession in anterior teeth compared to untreated individuals? A systematic review of controlled studies. Int. Orthod. 2020, 18, 1–9. [Google Scholar] [CrossRef] [PubMed]
- Chrysanthakopoulos, N.A. Gingival recession: Prevalence and risk indicators among young greek adults. J. Clin. Exp. Dent. 2014, 6, e243–e249. [Google Scholar] [CrossRef]
- Fageeh, H.N.; Meshni, A.A.; Jamal, H.A.; Preethanath, R.S.; Halboub, E. The accuracy and reliability of digital measurements of gingival recession versus conventional methods. BMC Oral Health 2019, 19, 154. [Google Scholar]
- Zimmer, B.; Seifi-Shirvandeh, N. Changes in gingival recession related to orthodontic treatment of traumatic deep bites in adults. J. Orofac. Orthop. 2007, 68, 232–244. [Google Scholar] [CrossRef] [PubMed]
- Papageorgiou, S.N.; Papadelli, A.A.; Eliades, T. Effect of orthodontic treatment on periodontal clinical attachment: A systematic review and meta-analysis. Eur. J. Orthod. 2018, 40, 176–194. [Google Scholar] [CrossRef] [PubMed]
- Yagci, A.; Veli, I.; Uysal, T.; Ucar, F.I.; Ozer, T.; Enhos, S. Dehiscence and fenestration in skeletal Class I, II, and III malocclusions assessed with cone-beam computed tomography. Angle Orthod. 2012, 82, 67–74. [Google Scholar] [CrossRef] [PubMed]
- Enhos, S.; Uysal, T.; Yagci, A.; Veli, I.; Ucar, F.I.; Ozer, T. Dehiscence and fenestration in patients with different vertical growth patterns assessed with cone-beam computed tomography. Angle Orthod. 2012, 82, 868–874. [Google Scholar] [CrossRef] [PubMed]
- Kamak, G.; Kamak, H.; Keklik, H.; Gurel, H.G. The effect of changes in lower incisor inclination on gingival recession. Sci. World J. 2015, 2015, 193206. [Google Scholar] [CrossRef]
- Morris, J.W.; Campbell, P.M.; Tadlock, L.P.; Boley, J.; Buschang, P.H. Prevalence of gingival recession after orthodontic tooth movements. Am. J. Orthod. Dentofac. Orthop. 2017, 151, 851–859. [Google Scholar] [CrossRef]
- Joss-Vassalli, I.; Grebenstein, C.; Topouzelis, N.; Sculean, A.; Katsaros, C. Orthodontic therapy and gingival recession: A systematic review. Orthod. Craniofac. Res. 2010, 13, 127–141. [Google Scholar] [CrossRef]
- Sperry, T.P.; Speidel, T.M.; Isaacson, R.J.; Worms, F.W. The role of dental compensations in the orthodontic treatment of mandibular prognathism. Angle Orthod. 1977, 47, 293–299. [Google Scholar]
- Wennstrom, J.L. Mucogingival considerations in orthodontic treatment. Semin. Orthod. 1996, 2, 46–54. [Google Scholar] [CrossRef]
- Mandelaris, G.A.; Neiva, R.; Chambrone, L. Cone-beam computed tomography and interdisciplinary dentofacial therapy: An American academy of periodontology best evidence review focusing on risk assessment of the dentoalveolar bone changes influenced by tooth movement. J. Periodontol. 2017, 88, 960–977. [Google Scholar] [CrossRef] [PubMed]
- Scribante, A.; Gallo, S.; Celmare, R.L.; D’Antò, V.; Grippaudo, C.; Gandini, P.; Sfondrini, M.F. Orthodontic debonding and tooth sensitivity of anterior and posterior teeth. Angle Orthod. 2020, 90, 766–773. [Google Scholar] [CrossRef] [PubMed]








| Variable | |
|---|---|
| Age at T0 (years), | |
| Mean (SD): | 28.7 (8.1) |
| <18 n (%) | 4 (10.8) |
| >18 n (%) | 33 (89.2) |
| Gender, n (%) | |
| male | 8 (21.6) |
| female | 29 (78.4) |
| Duration of orthodontic treatment, (months) | |
| Mean (SD) | 21.41 (7.23) |
| <18 months, n (%) | 14 (37.8) |
| ≥18months, n (%) | 23 (62.2) |
| Gingival biotype, n (%) | |
| normal/thick | 22 (59.5) |
| thin | 15 (40.5) |
| Overjet, n (%) | |
| <4 mm | 30 (81.1) |
| ≥4 mm | 7 (18.9) |
| Overbite, n (%) | |
| <1 mm | 6 (16.2) |
| 1–3 mm | 25 (67.6) |
| >3 mm | 6 (16.2) |
| Angle class of canines at T0, n (%) | |
| I | 14 (37.8) |
| II | 14 (37.8) |
| III | 9 (24.4) |
| Pre-treatment crowding, n (%) | 28 (75.7) |
| Crowding maxillary arch, n (%) | 4 (10.8) |
| Crowding mandibular arch, n (%) | 9 (24.3) |
| Crowding both arches, n (%) | 15 (40.5) |
| No pre-treatment crowding, n (%) | 9 (24.3) |
| Extraction treatment, n (%) | |
| Maxillary dental arch | 2 (5.4) |
| Mandibular dental arch | 2 (5.4) |
| Both arches | 15 (40.5) |
| Non-extraction | 18 (48.7) |
| Tooth Group | Change of Gingival Recession | |||
|---|---|---|---|---|
| Improved n (%) | No Change n (%) | Became Worse n (%) | Total n (100%) | |
| Maxillary incisors | 10 (62.5) | 5 (31.3) | 1 (6.3) | 16 |
| Maxillary canines | 11 (84.6) | 2 (15.4) | 0 (0.0) | 13 |
| Maxillary premolars | 16 (53.3) | 13 (43.3) | 1 (3.3) | 30 |
| Mandibular incisors | 7 (58.3) | 5 (41.7) | 0 (0.0) | 12 |
| Mandibular canines | 10 (52.6) | 8 (42.1) | 1 (5.3) | 19 |
| Mandibular premolars | 13 (54.2) | 8 (33.3) | 3 (12.5) | 24 |
| Total | 67 (58.8) | 41 (36.0) | 6 (5.3) | 114 |
| Gingival Recessions at Tooth Level (mm) Median (Q1; Q3) | |||||
|---|---|---|---|---|---|
| Pre-Treatment Variable | N | T0 | T1 | Change T0–T1 | p |
| - | 114 | 1.48 (1.02; 2.03) | 0.65 (0; 1.30) | 0.55 (0.12; 0.96) | 0.001 |
| Dental Angle I | 50 | 1.52 (1.02; 2.02) | 0.95 (0.54; 1.13) | 0.59 * (0.19; 1.11) | 0.001 |
| Dental Angle II | 36 | 1.40 (0.98; 2.06) | 1.04 (0.60; 1.35) | 0.66 (0.15; 0.90) | 0.001 |
| Dental Angle III | 28 | 1.36 (0.99; 2.21) | 1.09 (0.92; 1.44) | 0.20 * (−0.08; 0.59) | 0.018 |
| Normal overbite | 77 | 1.36 (1.04; 1.97) | 0.95 (0.54; 1.27) | 0.55 + (0.18; 0.92) | 0.001 |
| Open bite or edge to edge | 19 | 1.16 (0.95; 1.56) | 1.03 (0.95; 1.57) | 0.11 +,++ (−0.12; 0.52) | 0.40 |
| Deep overbite | 18 | 2.08 (1.07; 2.81) | 1.17 (0.60; 1.95) | 0.86 ++ (0.49; 1.14) | 0.001 |
| Overjet < 4 mm | 82 | 1.34 (1.05; 1.91) | 1.02 (0.60; 1.31) | 0.51 (0.10; 0.87) | 0.001 |
| Overjet ≥ 4 mm | 32 | 1.86 (0.98; 2.33) | 1.08 (071; 1.53) | 0.76 (0.27; 1.11) | 0.001 |
| Labial tooth position due to crowding | 38 | 1.56 (1.00; 2.32) | 0.99 (0.49; 1.95) | 0.57 (0.09; 0.97) | 0.001 |
| Labial/buccal root inclination | 48 | 1.36 (1.00; 2.02) | 1.01 (0.80; 1.23) | 0.54 (0.14; 1.02) | 0.001 |
| Traumatic contact | 28 | 1.31 (1.05; 2.13) | 1.08 (0.58; 1.55) | 0.52 (0.08; 0.98) | 0.001 |
| Thin biotype | 39 | 1.17 (0.94; 1.64) | 0.95 (0.61; 1.21) | 0.43 ** (0; 0.57) | 0.001 |
| Normal/thick biotype | 75 | 1.63 (1.14; 2.12) | 1.05 (0.66; 1.42) | 0.74 ** (0.13; 1.08) | 0.001 |
Publisher’s Note: MDPI stays neutral with regard to jurisdictional claims in published maps and institutional affiliations. |
© 2021 by the authors. Licensee MDPI, Basel, Switzerland. This article is an open access article distributed under the terms and conditions of the Creative Commons Attribution (CC BY) license (https://creativecommons.org/licenses/by/4.0/).
Share and Cite
Antanavičienė, G.; Zasčiurinskienė, E.; Smailienė, D.; Basevičienė, N. The Impact of Orthodontic Treatment on Pre-Existing Gingival Recessions: A Retrospective Study. Appl. Sci. 2021, 11, 9036. https://doi.org/10.3390/app11199036
Antanavičienė G, Zasčiurinskienė E, Smailienė D, Basevičienė N. The Impact of Orthodontic Treatment on Pre-Existing Gingival Recessions: A Retrospective Study. Applied Sciences. 2021; 11(19):9036. https://doi.org/10.3390/app11199036
Chicago/Turabian StyleAntanavičienė, Guostė, Eglė Zasčiurinskienė, Dalia Smailienė, and Nomeda Basevičienė. 2021. "The Impact of Orthodontic Treatment on Pre-Existing Gingival Recessions: A Retrospective Study" Applied Sciences 11, no. 19: 9036. https://doi.org/10.3390/app11199036
APA StyleAntanavičienė, G., Zasčiurinskienė, E., Smailienė, D., & Basevičienė, N. (2021). The Impact of Orthodontic Treatment on Pre-Existing Gingival Recessions: A Retrospective Study. Applied Sciences, 11(19), 9036. https://doi.org/10.3390/app11199036

