Synovial Sarcoma of the Extremities: A Literature Review
Abstract
:1. Introduction
2. Diagnosis
2.1. Clinical Presentation
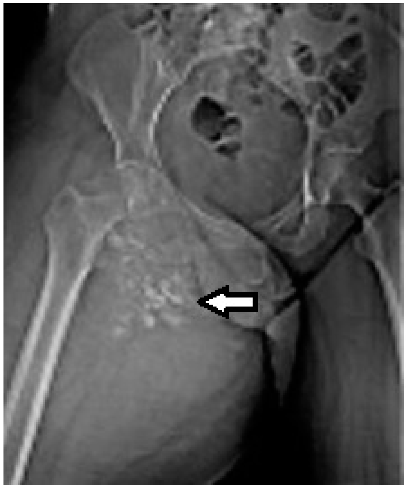
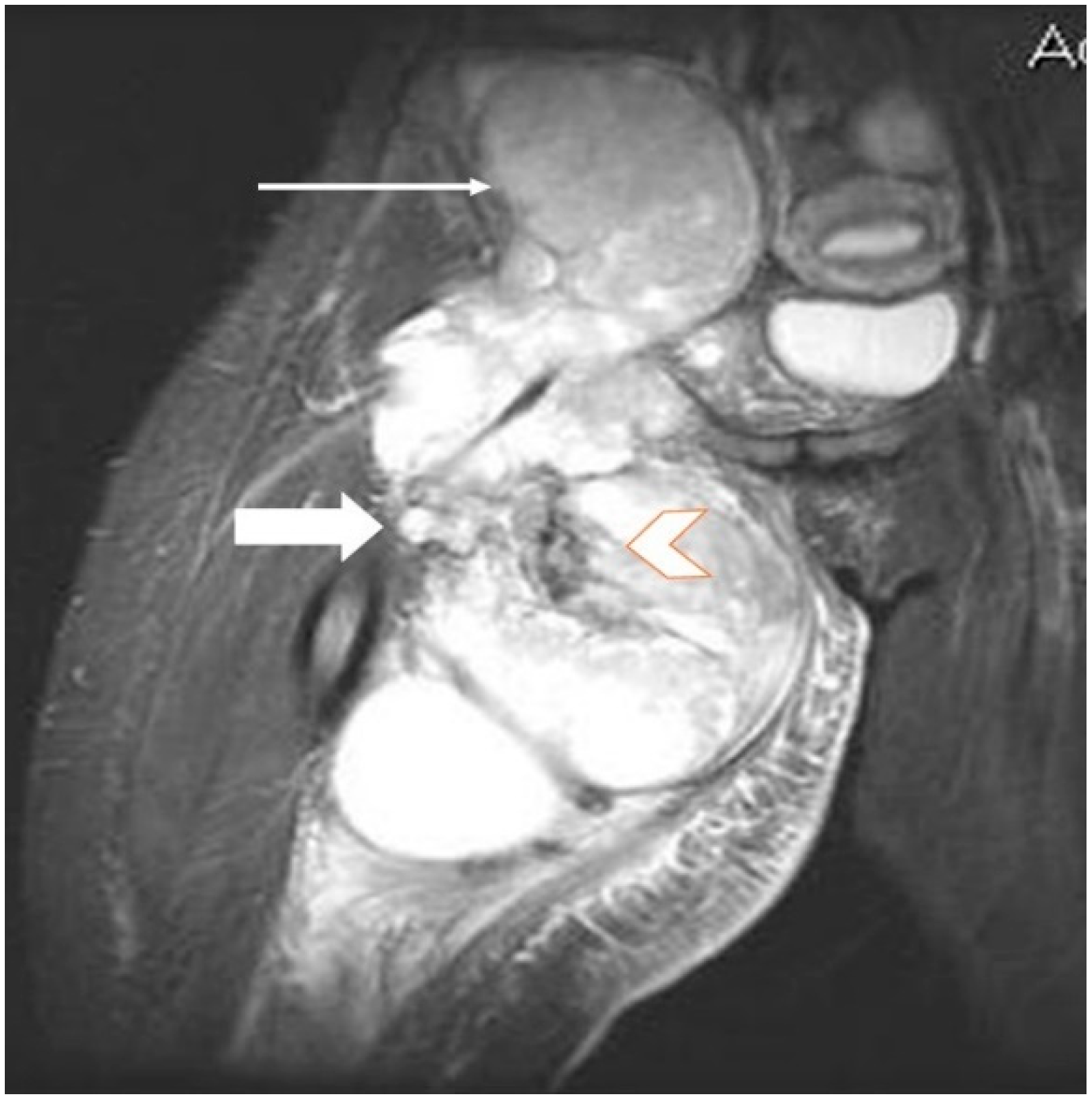
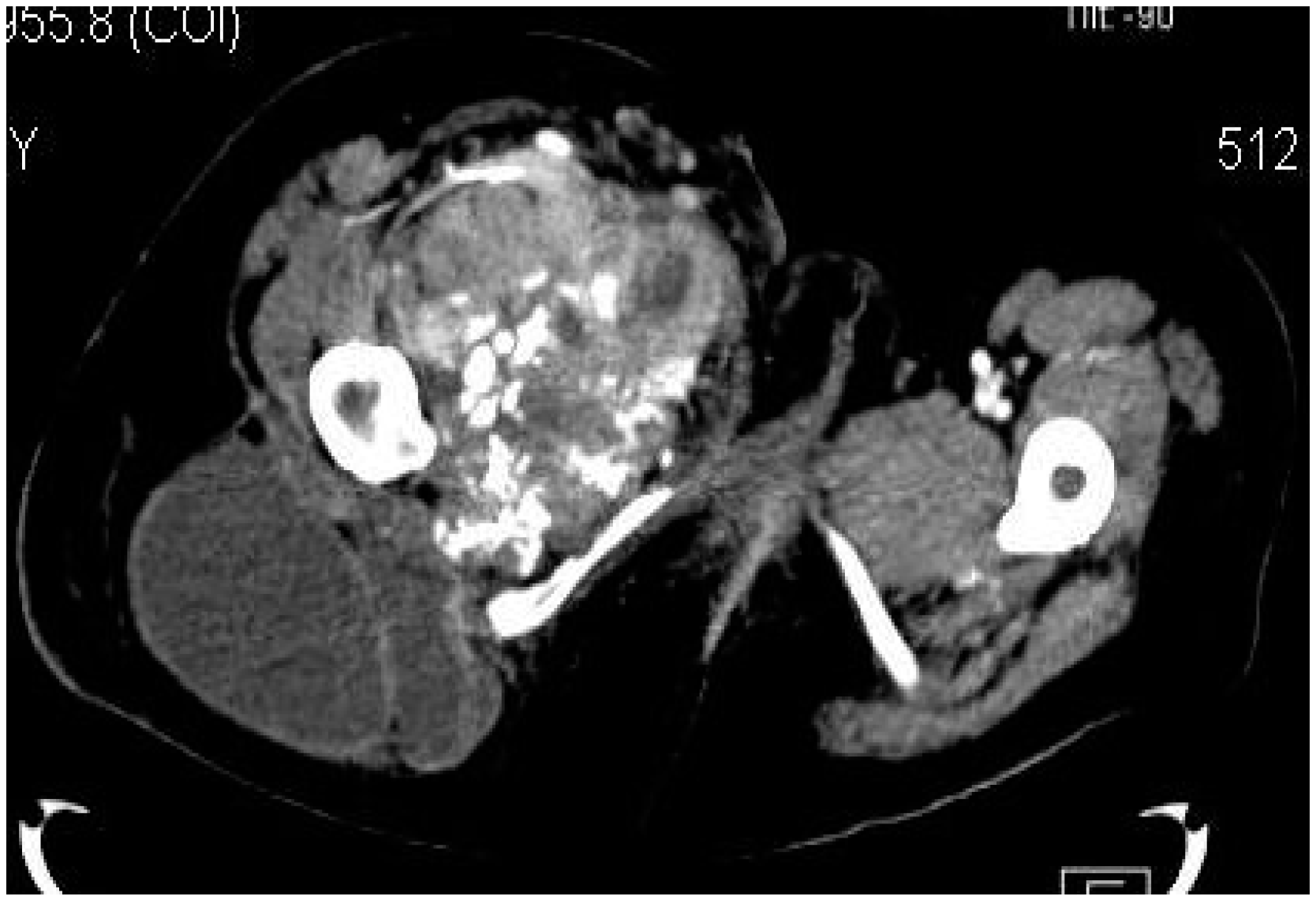
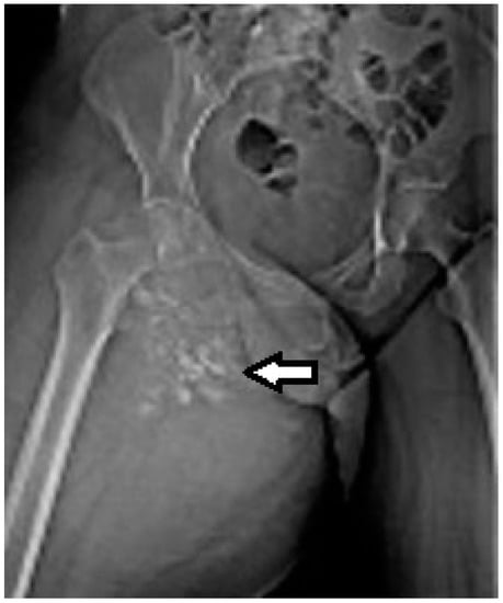
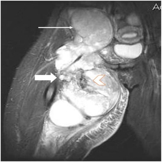
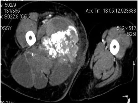
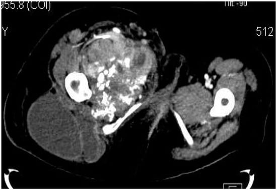
2.2. Imaging Examinations
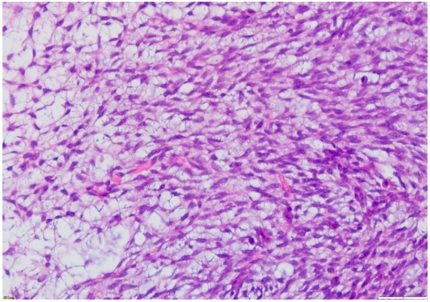
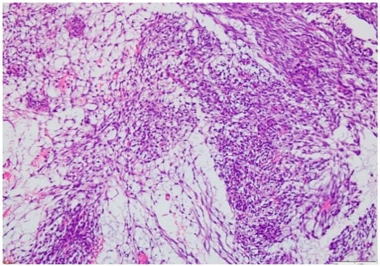
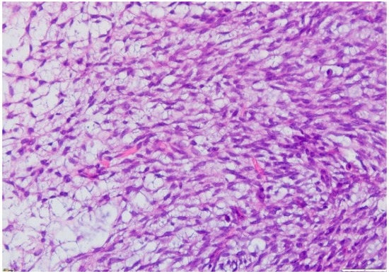
2.3. Biopsy
3. Treatment
3.1. Surgical Treatment
3.2. Radiotherapy
3.3. Chemotherapy
3.4. Other Therapeutical Options
4. Discussion
5. Conclusions
Author Contributions
Funding
Institutional Review Board Statement
Informed Consent Statement
Conflicts of Interest
References
- Kransdorf, M.J. Malignant soft-tissue tumors in a large referral population: Distribution of diagnoses by age, sex, and location. AJR Am. J. Roentgenol. 1995, 164, 129–134. [Google Scholar] [CrossRef]
- Sistla, R.; Tameem, A.; Vidyasagar, J.V. Intra articular synovial sarcoma. Indian J. Pathol. Microbiol. 2010, 53, 115–116. [Google Scholar] [CrossRef] [PubMed]
- Murphey, M.D.; Gibson, M.S.; Jennings, B.T.; Crespo-Rodríguez, A.M.; Fanburg-Smith, J.; Gajewski, D.A. Imaging of Synovial Sarcoma with Radiologic-Pathologic Correlation. RadioGraphics 2006, 26, 1543–1565. [Google Scholar] [CrossRef] [PubMed]
- Joseph, N.; Laurent, S.; Zheng, S.; Stirnadel-Farrant, H.; Dharmani, C. Epidemiology of synovial sarcoma in EU28 countries. Sarcoma 2019, 30, 706–707. [Google Scholar] [CrossRef]
- Smith, M.; Fisher, C.; Wilkinson, L.; Edwards, J. Synovial sarcomas lack synovial differentiation. Histopathology 1995, 26, 279–281. [Google Scholar] [CrossRef] [PubMed]
- Thway, K.; Fisher, C. Synovial sarcoma: Defining features and diagnostic evolution. Ann. Diagn. Pathol. 2014, 18, 369–380. [Google Scholar] [CrossRef] [PubMed]
- Ryan, C.W.; Meyer, J. Clinical Presentation, Histopathology, Diagnostic Evaluation, and Staging of Soft Tissue Sarcoma. UpToDate. January 2015. Available online: https://www.uptodate.com/contents/clinical-presentation-histopathology-diagnostic-evaluation-and-staging-of-soft-tissue-sarcoma (accessed on 1 November 2020).
- Folpe, A.L.; Schmidt, R.A.; Chapman, D.; Gown, A.M. Poorly Differentiated Synovial Sarcoma: Immunohistochemical Distinction From Primitive Neuroectodermal Tumors and High-Grade Malignant Peripheral Nerve Sheath Tumors. Am. J. Surg. Pathol. 1998, 22, 673–682. [Google Scholar] [CrossRef]
- Siegel, H.J.; Sessions, W.; Casillas, M.A., Jr.; Said-Al-Naief, N.; Lander, P.H.; Lopez-Ben, R. Synovial sarcoma: Clinicopathologic features, treatment, and prognosis. Orthopedics 2007, 30, 1020–1025. [Google Scholar] [CrossRef]
- Robbins, P.F.; Morgan, R.A.; Feldman, S.A.; Yang, J.C.; Sherry, R.M.; Dudley, M.E.; Wunderlich, J.R.; Nahvi, A.V.; Helman, L.J.; Mackall, C.L.; et al. Tumor Regression in Patients with Metastatic Synovial Cell Sarcoma and Melanoma Using Genetically Engineered Lymphocytes Reactive With NY-ESO-1. J. Clin. Oncol. 2011, 29, 917–924. [Google Scholar] [CrossRef] [PubMed]
- Vargas, B. Synovial Cell Sarcoma. Medscape Ref. 2014. Available online: https://emedicine.medscape.com/article/1257131-overview (accessed on 1 November 2020).
- Palmerini, E.; Paioli, A.; Ferrari, S. Emerging therapeutic targets for synovial sarcoma. Expert Rev. Anticancer Ther. 2014, 14, 791–806. [Google Scholar] [CrossRef]
- Jo, V.Y.; Fletcher, C.D. WHO classification of soft tissue tumors: An update based on the 2013 (4th) edition. Pathology 2014, 46, 95–140. [Google Scholar] [CrossRef]
- Song, S.; Park, J.; Kim, H.J.; Kim, I.H.; Han, I.; Kim, H.-S.; Kim, S. Effects of Adjuvant Radiotherapy in Patients with Synovial Sarcoma. Am. J. Clin. Oncol. 2017, 40, 306–311. [Google Scholar] [CrossRef]
- Nakamura, T.; Saito, Y.; Tsuchiya, K.; Miyachi, M.; Iwata, S.; Sudo, A.; Kawai, A. Is perioperative chemotherapy recommended in childhood and adolescent patients with synovial sarcoma? A systematic review. Jpn. J. Clin. Oncol. 2021, 51, 927–931. [Google Scholar] [CrossRef]
- Casali, P.G.; Picci, P. Adjuvant chemotherapy for soft tissue sarcoma. Curr. Opin. Oncol. 2005, 17, 361–365. [Google Scholar] [CrossRef]
- Chao, C.; Al-Saleem, T.; Brooks, J.J.; Kraybill, W.G.; Eisenberg, B. Vascular Endothelial Growth Factor and Soft Tissue Sarcomas: Tumor Expression Correlates With Grade. Ann. Surg. Oncol. 2001, 8, 260–267. [Google Scholar] [CrossRef] [PubMed]
- Martín-Liberal, J.; Pousa, A.L.; Martin-Broto, J.; Cubedo, R.; Gallego, O.; Brendel, E.; Tirado, O.M.; Del Muro, X.G. Phase I trial of sorafenib in combination with ifosfamide in patients with advanced sarcoma: A Spanish group for research on sarcomas (GEIS) study. Investig. New Drugs 2014, 32, 287–294. [Google Scholar] [CrossRef] [PubMed]
- D’Angelo, S.P.; Melchiori, L.; Merchant, M.S.; Bernstein, D.; Glod, J.; Kaplan, R.; Grupp, S.; Tap, W.D.; Chagin, K.; Binder, G.K.; et al. Antitumor Activity Associated with Prolonged Persistence of Adoptively Transferred NY-ESO-1 c259T Cells in Synovial Sarcoma. Cancer Discov. 2018, 8, 944–957. [Google Scholar] [CrossRef] [Green Version]
- Alvegård, T.A.; Berg, N.O. Histopathology peer review of high-grade soft tissue sarcoma: The Scandinavian Sarcoma Group experience. J. Clin. Oncol. 2016, 7, 1845–1851. [Google Scholar] [CrossRef] [PubMed]
- Pop, D.L.; Nodiţi, G.; Abu-Awwad, A.; Maliţa, D.C.; Zamfir, C.L.; Grigoraş, M.L.; Vermeşan, D.; Prejbeanu, R.; Faur, C.I.; Hărăguş, H.G.; et al. Alveolar rhabdomyosarcoma in an adolescent male patient—Case report and current perspectives. Rom. J. Morphol. Embryol. 2018, 59, 1247–1252. [Google Scholar] [PubMed]
- Abu-Awwad, A.; Folescu, R.; Pop, D.L.; Motoc, A.G.M.; Oprea, D.M.; Tudoran, M.; Zamfir, C.; Faur, C.I.; Vermeşan, D.; Deleanu, B.N.; et al. Morphometric characteristics of fibrocartilaginous tissue in the herniated intervertebral disc. Rom. J. Morphol. Embryol. 2019, 60, 629–634. [Google Scholar] [PubMed]
- Nielsen, T.O.; Poulin, N.M.; Ladanyi, M. Synovial Sarcoma: Recent Discoveries as a Roadmap to New Avenues for Therapy. Cancer Discov. 2015, 5, 124–134. [Google Scholar] [CrossRef] [Green Version]
- Guillou, L.; Benhattar, J.; Bonichon, F.; Gallagher, G.; Terrier, P.; Stauffer, E.; Somerhausen, N.D.S.A.; Michels, J.-J.; Jundt, G.; Vince, D.R.; et al. Histologic Grade, But Not SYT-SSX Fusion Type, Is an Important Prognostic Factor in Patients with Synovial Sarcoma: A Multicenter, Retrospective Analysis. J. Clin. Oncol. 2004, 22, 4040–4050. [Google Scholar] [CrossRef]
- Przybyl, J.; Sciot, R.; Woźniak, A.; Schöffski, P.; Vanspauwen, V.; Samson, I.; Siedlecki, J.A.; Rutkowski, P.; Debiec-Rychter, M. Metastatic potential is determined early in synovial sarcoma development and reflected by tumor molecular features. Int. J. Biochem. Cell Biol. 2014, 53, 505–513. [Google Scholar] [CrossRef]
- Shi, W.; Indelicato, D.J.; Morris, C.G.; Scarborough, M.T.; Gibbs, C.P.; Zlotecki, R.A. Long-term treatment outcomes for patients with synovial sarcoma: A 40-year experience at the University of Florida. Am. J. Clin. Oncol. 2013, 36, 83–88. [Google Scholar] [CrossRef] [PubMed]
- Spillane, A.J.; A’Hern, R.; Judson, I.R.; Fisher, C.; Thomas, J.M. Synovial Sarcoma: A Clinicopathologic, Staging, and Prognostic Assessment. J. Clin. Oncol. 2000, 18, 3794–3803. [Google Scholar] [CrossRef] [PubMed]
- Ferrari, A.; Gronchi, A.; Casanova, M.; Meazza, C.; Gandola, L.; Collini, P.; Lozza, L.; Bertulli, R.M.; Olmi, P.; Casali, P.G. Synovial sarcoma: A retrospective analysis of 271 patients of all ages treated at a single institution. Cancer 2004, 101, 627–634. [Google Scholar] [CrossRef]
- Spurrell, E.L.; Fisher, C.; Thomas, J.M.; Judson, I.R. Prognostic factors in advanced synovial sarcoma: An analysis of 104 patients treated at the Royal Marsden Hospital. Ann. Oncol. 2005, 16, 437–444. [Google Scholar] [CrossRef]
- Guadagnolo, B.A.; Zagars, G.K.; Ballo, M.; Patel, S.R.; Lewis, V.O.; Pisters, P.W.; Benjamin, R.S.; Pollock, R. Long-Term Outcomes for Synovial Sarcoma Treated With Conservation Surgery and Radiotherapy. Int. J. Radiat. Oncol. 2007, 69, 1173–1180. [Google Scholar] [CrossRef]
- Radaelli, S.; Stacchiotti, S.; Casali, P.G.; Gronchi, A. Emerging therapies for adult soft tissue sarcoma. Expert Rev. Anticancer Ther. 2014, 14, 689–704. [Google Scholar] [CrossRef]
- Mitsuyoshi, G.; Naito, N.; Kawai, A.; Kunisada, T.; Yoshida, A.; Yanai, H.; Dendo, S.; Yoshino, T.; Kanazawa, S.; Ozaki, T. Accurate diagnosis of musculoskeletal lesions by core needle biopsy. J. Surg. Oncol. 2006, 94, 21–27. [Google Scholar] [CrossRef] [Green Version]










Publisher’s Note: MDPI stays neutral with regard to jurisdictional claims in published maps and institutional affiliations. |
© 2021 by the authors. Licensee MDPI, Basel, Switzerland. This article is an open access article distributed under the terms and conditions of the Creative Commons Attribution (CC BY) license (https://creativecommons.org/licenses/by/4.0/).
Share and Cite
Faur, C.I.; Pop, D.L.; Abu Awwad, A.; Zamfir, C.L.; Folescu, R.; Gurgus, D.; Motoc, A.G.M.; Patrascu, J.M.; Motoi, S.B.; Belei, O.; et al. Synovial Sarcoma of the Extremities: A Literature Review. Appl. Sci. 2021, 11, 7407. https://doi.org/10.3390/app11167407
Faur CI, Pop DL, Abu Awwad A, Zamfir CL, Folescu R, Gurgus D, Motoc AGM, Patrascu JM, Motoi SB, Belei O, et al. Synovial Sarcoma of the Extremities: A Literature Review. Applied Sciences. 2021; 11(16):7407. https://doi.org/10.3390/app11167407
Chicago/Turabian StyleFaur, Cosmin Ioan, Daniel Laurentiu Pop, Ahmed Abu Awwad, Carmen Lacramioara Zamfir, Roxana Folescu, Daniela Gurgus, Andrei Gheorghe Marius Motoc, Jenel Marian Patrascu, Sorin Bogdan Motoi, Oana Belei, and et al. 2021. "Synovial Sarcoma of the Extremities: A Literature Review" Applied Sciences 11, no. 16: 7407. https://doi.org/10.3390/app11167407
APA StyleFaur, C. I., Pop, D. L., Abu Awwad, A., Zamfir, C. L., Folescu, R., Gurgus, D., Motoc, A. G. M., Patrascu, J. M., Motoi, S. B., Belei, O., & Ungureanu, A. M. (2021). Synovial Sarcoma of the Extremities: A Literature Review. Applied Sciences, 11(16), 7407. https://doi.org/10.3390/app11167407

