Conservative Technique Using Oral Dressing Material for Wound Dehiscence after Ridge Augmentation: A Technical Report with a Case Series
Abstract
:1. Introduction
2. Materials and Methods
Technical Report
3. A Case Series
3.1. Case #1. Wound Dehiscence after an Autogenous Tooth Bone Graft with a Collagen Membrane
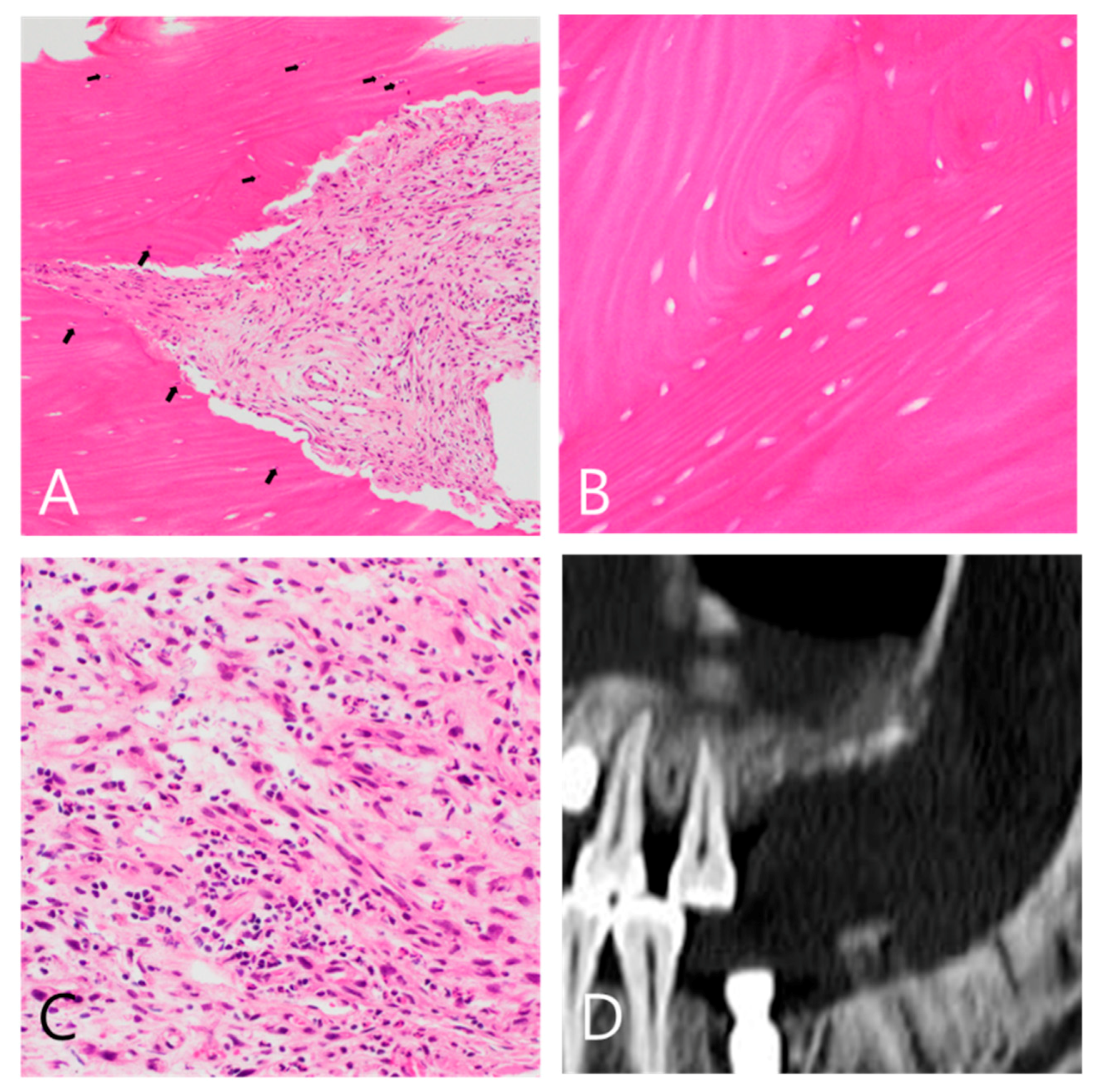
3.2. Case #2. Wound Dehiscence after an Autogenous Bone Graft with a Titanium Mesh and Histology Analysis with Mesh Removal at 10 Weeks Postoperatively
3.3. Case #3. Wound Dehiscence after Bone Graft Mixed with Autogenous Bone and Autogenous Tooth Bone Graft
4. Discussion
5. Conclusions
Author Contributions
Funding
Institutional Review Board Statement
Informed Consent Statement
Data Availability Statement
Conflicts of Interest
References
- Kim, Y.-K.; Ku, J.-K. Guided bone regeneration. J. Korean Assoc. Oral Maxillofac. Surg. 2020, 46, 361–366. [Google Scholar] [CrossRef] [PubMed]
- Sakkas, A.; Wilde, F.; Heufelder, M.; Winter, K.; Schramm, A. Autogenous bone grafts in oral implantology—Is it still a “gold standard”? A consecutive review of 279 patients with 456 clinical procedures. Int. J. Implant. Dent. 2017, 3, 23. [Google Scholar] [CrossRef] [PubMed]
- Um, I.-W.; Ku, J.-K.; Kim, Y.-K.; Lee, B.-K.; Leem, D.H. Histological Review of Demineralized Dentin Matrix as a Carrier of rhBMP-2. Tissue Eng. Part B Rev. 2020, 26, 284–293. [Google Scholar] [CrossRef] [PubMed]
- Cucchi, A.; Vignudelli, E.; Napolitano, A.; Marchetti, C.; Corinaldesi, G. Evaluation of complication rates and vertical bone gain after guided bone regeneration with non-resorbable membranes versus titanium meshes and resorbable membranes. A randomized clinical trial. Clin. Implant. Dent. Relat. Res. 2017, 19, 821–832. [Google Scholar] [CrossRef] [PubMed] [Green Version]
- Fontana, F.; Maschera, E.; Rocchietta, I.; Simion, M. Clinical classification of complications in guided bone regeneration procedures by means of a nonresorbable membrane. Int. J. Periodontics Restor. Dent. 2011, 31, 265–273. [Google Scholar]
- Baghani, Z.; Kadkhodazadeh, M. Periodontal dressing: A review article. J. Dent. Res. Dent. Clin. Dent. Prospect. 2013, 7, 183–191. [Google Scholar]
- Kadkhodazadeh, M.; Baghani, Z.; Torshabi, M.; Basirat, B. In Vitro Comparison of Biological Effects of Coe-Pak and Reso-Pac Periodontal Dressings. J. Oral Maxillofac. Res. 2017, 8, e3. [Google Scholar] [CrossRef] [PubMed] [Green Version]
- Um, I.-W.; Jun, S.-H.; Yun, P.-Y.; Kim, Y.-K. Histological Comparison of Autogenous and Allogenic Demineralized Dentin Matrix Loaded with Recombinant Human Bone Morphogenetic Protein-2 for Alveolar Bone Repair: A Preliminary Report. J. Hard Tissue Biol. 2017, 26, 417–424. [Google Scholar] [CrossRef] [Green Version]
- Rasia-dal Polo, M.; Poli, P.P.; Rancitelli, D.; Beretta, M.; Maiorana, C. Alveolar ridge reconstruction with titanium meshes: A systematic review of the literature. Med. Oral Patol. Oral Cir. Bucal 2014, 19, e639–e646. [Google Scholar] [CrossRef] [PubMed]
- Machtei, E.E. The effect of membrane exposure on the outcome of regenerative procedures in humans: A meta-analysis. J. Periodontol. 2001, 72, 512–516. [Google Scholar] [CrossRef] [PubMed]
- Moses, O.; Pitaru, S.; Artzi, Z.; Nemcovsky, C.E. Healing of dehiscence-type defects in implants placed together with different barrier membranes: A comparative clinical study. Clin. Oral Implant. Res. 2005, 16, 210–219. [Google Scholar] [CrossRef] [PubMed]
- Crowley, M.M.; Schroeder, B.; Fredersdorf, A.; Obara, S.; Talarico, M.; Kucera, S.; McGinity, J.W. Physicochemical properties and mechanism of drug release from ethyl cellulose matrix tablets prepared by direct compression and hot-melt extrusion. Int. J. Pharm. 2004, 269, 509–522. [Google Scholar] [CrossRef] [PubMed]
- Um, I.-W.; Ku, J.-K.; Kim, Y.-M.; Yun, P.-Y.; Chang, N.-H.; Kim, Y.-K.; Choi, Y. Allogeneic Demineralized Dentin Matrix Graft for Guided Bone Regeneration in Dental Implants. Appl. Sci. 2020, 10, 4661. [Google Scholar] [CrossRef]







| Case | Sex (Age, Year) | Bone Graft Surgery | Timing of Wound Dehiscence | Postoperative Treatment |
|---|---|---|---|---|
| 1 | Male (42) | Implant placement and DDM/rhBMP-2 graft with Ossguide | Five days | 1. Orascar with omnivac splint for 3 weeks 2. Prosthetic loading at 6 months after the surgery |
| 2 | Male (42) | Autogenous bone graft with Retro Ti-matrix | Three weeks | 1. Orascar with omnivac splint for two weeks 2. Mesh removal and biopsy at 10 weeks after the surgery |
| 3 | Male (24) | Autogenous bone and DDM/rhBMP-2 graft with Retro Ti-matrix | Seven days | 1. Orascar with omnivac splint for 3 weeks 2. Mesh removal and implant placement at 6 months after the surgery |
Publisher’s Note: MDPI stays neutral with regard to jurisdictional claims in published maps and institutional affiliations. |
© 2021 by the authors. Licensee MDPI, Basel, Switzerland. This article is an open access article distributed under the terms and conditions of the Creative Commons Attribution (CC BY) license (https://creativecommons.org/licenses/by/4.0/).
Share and Cite
Ku, J.-K.; Jeong, Y.K.; Choi, Y.-S.; Kim, T.; Cho, I.-W.; Leem, D.H. Conservative Technique Using Oral Dressing Material for Wound Dehiscence after Ridge Augmentation: A Technical Report with a Case Series. Appl. Sci. 2021, 11, 6115. https://doi.org/10.3390/app11136115
Ku J-K, Jeong YK, Choi Y-S, Kim T, Cho I-W, Leem DH. Conservative Technique Using Oral Dressing Material for Wound Dehiscence after Ridge Augmentation: A Technical Report with a Case Series. Applied Sciences. 2021; 11(13):6115. https://doi.org/10.3390/app11136115
Chicago/Turabian StyleKu, Jeong-Kui, Yeong Kon Jeong, Yong-Suk Choi, Taeyeong Kim, In-Woo Cho, and Dae Ho Leem. 2021. "Conservative Technique Using Oral Dressing Material for Wound Dehiscence after Ridge Augmentation: A Technical Report with a Case Series" Applied Sciences 11, no. 13: 6115. https://doi.org/10.3390/app11136115
APA StyleKu, J.-K., Jeong, Y. K., Choi, Y.-S., Kim, T., Cho, I.-W., & Leem, D. H. (2021). Conservative Technique Using Oral Dressing Material for Wound Dehiscence after Ridge Augmentation: A Technical Report with a Case Series. Applied Sciences, 11(13), 6115. https://doi.org/10.3390/app11136115

