Abstract
This study describes the clinical and esthetic outcome of n apical surgical treatment on peri-implant soft tissue dehiscence in an implant with a poor prognosis in the esthetic area. The patient presented a compromised situation of clinical attachment loss both in the 1.2 implant and in the adjacent teeth. A biphasic approach consisted firstly of a connective tissue graft accessed by apical and then, 11 months later, a palatal flap technique plus a connective tissue graft. After 20 months of healing, surgical approaches without vertical releasing incisions showed a gain in recession reduction over the implant ranging from 0.3 to 2.7 mm (CI 95%), in addition to a gain in width (2 mm) and thickness (2.3 mm) of the keratinized mucosa. With respect to the white esthetic score, 4 points were gained, and with respect to the pink esthetic score, 3 points were gained. With the use of the apical approach technique and the palatal flap technique, satisfactory results are obtained in the treatment of recessions on implants, improving the amount of keratinized mucosa and the esthetic result in an objective manner in the anterior area.
1. Introduction
The concept of osseointegration was originally defined by Brånemark et al., as a direct structural and functional connection between living bone tissue and the surface of an implant []. In the same way that systemic factors [] (smokers, patients with poorly-controlled diabetes, osteoporosis or oncologic conditions) affect bone metabolism, therefore affecting osseointegration, local factors [] (modern surface treatments such as formation of a thick layer of titanium oxide, alteration of surface chemical composition by incorporating bioactive molecules and at the creation of a surface topography) increase and accelerate implant osseointegration.
Dental implants are a widely used treatment option in dental clinics with very high long-term success rates; however, they are not free of complications [,]. The most prevalent are mucositis (29.48%) and/or peri-implantitis (9.25%) [], esthetic complications [,] and loss of osseointegration prior to prosthetic loading []. However, in addition to these biological and biomechanical complications of direct cause, there are different clinical complications linked to the non-use of classical knowledge in implantology and periodontology []. Today, these complications, especially in the esthetic area, can be reduced thanks to the new digital tools that we have at our disposal []. That is, a good diagnosis must first be established, appropriate biomaterials used, and biologically appropriate restorations performed [,].
The peri-implant mucosa acts as a soft tissue barrier aimed at preventing bacterial penetration; this aspect must be taken into account, since the oral epithelium has a lower capacity to seal the implant than to seal a natural tooth [,].
In the premaxilla, the facial bone wall and the soft tissue of the vestibular surface are thinner than in the palatal region []. The most common peri-implant esthetic complications are vestibular soft tissue recession and papilla loss, so surgical treatment using autogenous soft tissue grafts is commonly necessary []. The most popular surgical procedures aim to increase the keratinized mucosa width (KMW), which is the strip measured in millimeters from the free mucosal margin to the mucogingival junction on the central-vestibular side of each implant and/or the mucosal thickness (MT). MT can be measured both in vestibular (measurement in mm of the thickness of the facial mucosa 2–3 mm apical to the soft mucosal margin of the implant) and in crestal (vertical dimension measured in millimeters from the most coronal portion of soft tissue to the crestal bone) to improve esthetics, function, and biology []. The purpose of increasing the keratinized mucosa width (KMW) is to decrease plaque accumulation, since in the presence of more than 2 mm of keratinized tissue, according to some authors, there is evidence of better plaque control [,]. In addition, with increased peri-implant mucosal thickness (MT), less marginal bone loss is observed, as well as less discoloration of the soft tissues [,,].
Peri-implant soft tissue dehiscences/deficiencies (PSTD) is the most widely used term for recessions on dental implants that are accompanied by a loss attachment on one or more of their surfaces []. Several factors seem to influence PSTD, including peri-implant soft tissue thickness, presence of <2 mm of keratinized mucosa, absence of facial bone wall, implant malposition, single-unit implants, attachment loss of adjacent teeth, and surgical trauma [,,]. Different surgical procedures have been recommended to treat PSTD on the vestibular side, and the coronal advancement flap with or without vertical releasing incisions plus a connective tissue graft is the most commonly described technique in the literature [,,].
Recently, Zucchelli et al. [] in 2019, made a classification to describe PSTD on single implants in the esthetic zone, adding a subcategory in relation to the papilla dimension (Table 1). In addition, they recommend a decision-making protocol to select the most appropriate treatment. This classification identifies four classes of dehiscence (PSTD) according to the vestibular–palatal position of the implant-supported crown profile (except class I, which is characterized by a soft tissue margin located at the same level as the ideal position of the gingival margin of the natural tooth counterpart; thus, only an inadequate thickness of the peri-implant keratinized mucosa is identified). Three subcategories (for classes II, III and IV) are also identified according to the dimension of the interproximal papillae: (a) the tip of both papillae is >3 mm coronal to the ideal position of the soft tissue margin of the implant-supported crown; (b) the tip of at least one papilla is <3 mm coronal to the ideal position of the soft tissue margin; (c) the height of at least one papilla is at the same level or more apical to the ideal position of the soft tissue margin of the implant-supported crown.
Table 1.
Classification of PSTD and recommended surgical treatment [].
However, in the Zucchelli et al. [] classification, minimally invasive approaches that do not involve such extensive flaps without the need for vertical releasing incisions are not included as a treatment option, whereas they should be in great demand by patients and clinicians. In addition, patients do not always accept implant removal as a treatment option in the presence of PSTD.
Indexes have been developed to evaluate soft tissue esthetics in order to monitor mainly the appearance around implant-supported crowns in the anterior region. One of the first was Furhauser et al. [] in 2005, who proposed an index called the “Pink Esthetic Score” (PES) focusing mainly on the appearance of soft tissues around implant-supported crowns. In 2009, Belser et al. [] made a modification in the sense of assessing not only the peri-implant soft tissues but also the optical characteristics of the restoration, called the “White Esthetic Score” (WES). Their assessment is ordinal from 0 (poor esthetics), 1 (moderate esthetics) and 2 (good esthetics), and it allows the clinician to compute a series of parameters of both the white part (WES) and the pink part (PES). It is based on 5 parameters whose maximum value is 10, and the threshold defining minimum esthetic conditions is 6. Therefore, when combining PES/WES, the maximum value that can be obtained is 20.
The purpose of our study was to describe two different surgical approaches using connective tissue graft (CTG) to treat PSTD in the esthetic area with loss of peri-implant papillae and loss of periodontal attachment to adjacent teeth. Another objective was to assess changes in width and thickness of the peri-implant keratinized mucosa, as well as pink and white esthetics using the PES/WES index modified by Belser et al. [].
2. Case Report
2.1. Recruitment
A 40-year-old man was referred to the Master of Oral Surgery of the Dental Clinic of the University of Salamanca, Spain, where he consented to participate in this study favorably approved by the bioethics committee of the University of Salamanca (Spain) (registry no. 483, date of approval: 22 June 2020).
2.2. Baseline Clinical Assessment
The patient had suffered an early implantological failure in the position of the upper right lateral incisor 1.2; then, he underwent reconstruction of the alveolar process with regenerative techniques and placement of a second submerged implant in position 1.2 without definitive implant-supported rehabilitation.
Clinical examination showed generalized inflammation with increased probing depths (Figure 1A). In the area of implant 1.2, the reason for which the patient came to the Master’s office, a PSTD associated with loss of the mesial and distal papilla was observed (Figure 1B).
Figure 1.
(A) Clinical and periodontal examination. (B): Preoperative intraoral view. (C): Occlusal view without implant crown. The head of the implant is inside the straight imaginary line that connects the profile of the adjacent teeth at the level of the gingival margin. (D): Occlusal view. The crown profile is located outside the imaginary curve line that connects the profile of the adjacent teeth at the soft tissue margin. (E): Baseline clinical aspect of buccal soft tissue dehiscence and lack of peri-implant papilla.
From the esthetic point of view, the initial PES index with the temporary implant-supported crown was 0 points and the initial WES was 1 point (Table 2).
Table 2.
Detailed description of the preoperative and final PES/WES according to Belser et al. [].
Also, a gray shade was observed in the vestibular soft tissue of the implant. The position of the implant head 12 was located within (more palatally) the straight imaginary line connecting the profile of the adjacent teeth at the level of the gingival margin (Figure 1C). After placement of a screw-retained temporary crown on implant 1.2, it was observed that the profile of the temporary crown was outside (more vestibular) of the imaginary curved line connecting the profile of the adjacent teeth at the level of the soft tissue margin (Figure 1D). The height of both the mesial and distal papillae were more apical than the esthetically ideal position of the soft tissue margin of the implant-supported crown (Figure 1E). Therefore, the defect could be defined according to the classification proposed by Zucchelli et al. [] as class III, subclass C.
In the evaluation by cone beam computed tomography, the implant presented an inadequate angulation in addition to an almost inappreciable facial bone wall and an incorrect position in the apico-coronal direction as it was too deep (Figure 2A). The periapical radiograph showed bone and attachment loss in both the implant and the adjacent natural teeth 1.1 and 1.3 (Figure 2B).
Figure 2.
(A): Cone beam computed tomography. (B): Intraoral periapical radiograph.
For the evaluation of the esthetic treatment result using the PES/WES index, photographs were taken with a Canon EOS 700D camera, Canon EF 100mm f/2.8L Macro lens (Canon, Tokyo, Japan) and two 60 × 60 cm softboxes with studio flash (Neewer, Shenzhen, China). The composition, i.e., how we and the patient were positioned when taking the photograph, was as follows: the patient lying on the dental chair completely parallel to the floor and us positioned at 12 o’clock at a distance of 0.49 m and aperture f 20. We made sure that the contralateral tooth was also completely and symmetrically represented in the photographs. The following clinical parameters and indexes were recorded at the 1.2 implant site and adjacent teeth:
- Probing depth (PD) measured in millimeters from the mucosal margin to the bottom of the peri-implant sulcus on the implant and from the gingival margin to the bottom of the gingival sulcus on the adjacent teeth, using a periodontal probe marked millimeter by millimeter adjusting the measurement in multiples of half a millimeter (Colorvue UNC 12, Hu-friedy, Chicago, IL, USA).
- Recession Depth (REC) measured on the implant on the mesio-, mid- and disto- buccal side by means of a digital millimeter ruler. The digital photographs were imported into a presentation software (Keynote®, Apple Inc, Cupertino, California, USA) and perpendicular lines were drawn taking as references the incisal edge and the cemento-enamel junction. The length of the clinical crown of the contralateral homologous tooth 2.2 was measured with a digital caliper from the incisal edge to the cemento-enamel junction. To calculate the initial and final REC on the implant, the length of the clinical crown was subtracted from the length of the clinical crown of the contralateral homologous tooth 2.2. On the teeth, the same probe was used to measure from the cemento-enamel junction to the gingival margin on the vestibular side.
- Gingival index (GI) (Löe and Silness) [] scored from 0 to 3 according to the extent and severity of bleeding on probing.
- Plaque index (PI) (Silness and Löe) [] scored from 0 to 3 according to the visibility and severity of plaque accumulation.
- Width of keratinized (WK) mucosa on the adjacent teeth and the 1.2 implant in the mid-vestibular site, recorded using the same periodontal probe.
- Mucosal thickness (MT) on the 1.2 implant in the mid-vestibular site, recorded using a caliper 2mm below the mucosal margin and, on the adjacent teeth using a K#10 endodontic file with rubber stop.
Measurements were taken at the initial clinical examination and after delivery of the final restoration. The PES/WES analysis was performed by an experienced prosthodontist–implantologist (J.M.) who had not participated in the prosthetic treatment (Table 1).
Given the psychological impact plus the biological, technical, and economic risks involved in implant explantation and reconstruction of the alveolar process with regenerative techniques, as well as the patient’s strong motivation to keep the implant, we opted to improve the existing condition by means of peri-implant mucogingival surgery with the experimental technique of apical access and coronally positioned palatal sliding flap, as described by Bethaz et al. [] and Tinti et al. [], respectively.
2.3. Surgical Procedure
Prior to surgery, the temporary implant-supported crown was removed to facilitate access to the surgical site and the patient rinsed his mouth for 1 min with a chlorhexidine mouthwash. The surgical technique began with the preparation of the recipient area; for this purpose, a partial-thickness sulcular incision was made at the level of the PSTD, followed by dissection apically and laterally towards teeth 1.3 and 1.1, extending 3 to 5 mm from the PSTD to allow entry of the CTG and its stabilization. Subsequently, an apical horizontal incision was made on the vestibular aspect of the bottom of the vestibule, leaving a bridge of tissue that would serve as a double blood supply to the graft (Figure 3A). The tissue coronal to the incision was later repositioned apico-coronally maintaining the marginal integrity of the tissue.
Figure 3.
(A): Apical horizontal incision at the bottom of the vestibule. No vertical releasing incisions are made. (B): Sub-epithelial connective tissue graft. (C): Double-crossed sutures are used for the fixation of the buccal soft tissue complex, including the connective tissue graft. The horizontal incision in the vestibule is not sutured. (D): Intraoral view immediately after removing the suture. (E): Clinical situation 4 months after surgery. (F): Postsurgical wound healing at 10 months.
Once the recipient bed was created, a CTG was obtained from the palatal masticatory mucosa; that graft was sutured using two horizontal mattress stitches, one located mesially and the other distally to the envelope (Figure 3B). For further adaptation, stabilization, and traction of the CTG and papillae coronally, a double-crossed vertical suspensory stitch was performed using 5–0 non-absorbable suture (5–0 Polyamide, Serag-Wiessner GmbH & Co. KG, Zum Kugelfang, Naila, Germany). The base where the horizontal incision was made was left to heal by secondary intention (Figure 3C).
A control was performed one week after the intervention and, after 15 days, we removed the suture and observed the revascularization of the graft and epithelialization of the horizontal incision made at the bottom of the vestibule (Figure 3D). Follow-up photographs were taken 4 months and 10 months after the procedure (Figure 3E,F).
After completing the first phase of treatment, a second surgery was performed 11 months later (Figure 4A,B).

Figure 4.
(A): Before performing the second surgical procedure. (B) Occlusal view. (C): On the buccal aspect a tunneling flap is prepared. Incision is made using a microsurgical blade. (D): Palatal flap design. (E): Subepithelial connective tissue graft is inserted into the mucosal tunnel on the buccal side. (F): The provisional is inserted, double-crossed sutures are placed and coronal traction sutures are fixed with composite. (G): Clinical image of the CTG obtained from the palate and immediate postoperative palatal view. The displacement and elongation of the palatal flap is observed. (H): Postoperative aspect of treated area 14 days after surgery. (I): Palatal appearance after 14 days. (J): Postsurgical wound healing at 1 month. Note poor patient plaque control on adjacent teeth.
The flap design consisted of that proposed by Tinti and Parma-Benfenati []. In the vestibular region, a tunneled flap was made with a micro-scalpel (Spoon Blade No.3, MJK instruments, Marseille, France), through a sulcular incision (from mesial tooth 1.1 to distal tooth 1.3) at partial thickness extending beyond the mucogingival junction, which allowed the mobilization of the vestibular flap without tension (Figure 4C). In the palatal area, it consisted of two vertical incisions and one horizontal incision that were made at partial thickness at different depths (Figure 4D). This design of palatal incisions results in greater elongation and passivity of the flap, allowing greater displacement and avoiding the negative effect on the functional and esthetic outcome due to the coronal displacement of the mucogingival junction, resulting in a reduced width of keratinized mucosa, as well as esthetic irregularities.
A CTG was extracted from the palatal masticatory mucosa and placed in the vestibular tunnel-like recipient bed using Cytoplast™ 3–0 PTFE non-resorbable suture (3–0 PTFE, Osteogenics Biomedical, Lubbock, TX, USA). For this purpose, we used two independent mattress stitch sutures at both ends of the tunnel and, by means of the traction of this suture, the graft was introduced and positioned in the created bed (Figure 4E). Once the graft was inserted, it was fixed in position by coronally tractioning the flap and graft through the double-crossed vertical suspensory suture with Seralon® 5–0 (5–0 Polyamide, Serag-Wiessner GmbH & Co. KG, Zum Kugelfang, Naila, Germany).
The gingival margins of teeth 1.1 and 1.3 were coronally repositioned using stitches anchored with composite resin on the vestibular surface of both teeth (Figure 4F,G).
The stitches were removed after 14 days and the patient was followed up for 7 months to monitor surgical healing (Figure 4H,J). At 7 months, the soft tissues maintained their volume and an adequate gingival profile had been achieved. In addition, the tips of the papillae were also positioned more coronally, so the definitive restoration of the implant was carried out.
2.4. Restorative Phase
Soft tissue conditioning was performed as suggested by González et al. [], using a PMMA-made temporary crown screwed to the implant. This crown was modified during treatment in the critical contour area, modifying the position of the gingival margin towards the coronal site and of the subcritical contour, in the form of a concave surface providing the necessary space for the CTG.
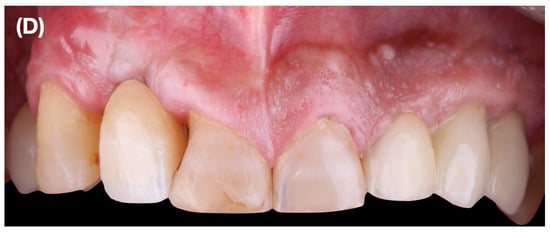
The definitive restoration was delivered 6 months after the second surgery was performed; the soft tissue situation was more favorable in terms of the width and thickness of the keratinized mucosa. For this purpose, a final impression was made using a customized impression hoping to accurately replicate the peri-implant soft tissues achieved after the CTGs were performed []. Regarding the final implant crown material, a customized zirconia abutment was made on a nitrided titanium base (BTI_NU3; BTI, Álava, Spain), adapting the design to the emergence profile already consolidated with the provisional crown (Figure 5A,C). The zirconia used for the abutment had a flexural strength of 1200 MPa (Aidite Zirconia, Hebei, China). The crown was made by CAD-CAM in zirconia with incisal cut-back and layering of veneering feldspathic ceramics for zirconia (Initial, GC Ibérica, Madrid, España). The zirconia used for the cemented crown was a 600 MPa multilayer (3M Lava, Madrid, Spain) to try to get as close as possible to the natural abrasiveness of the antagonist (Figure 5A,D).

Figure 5.
(A): Appearance of the final restoration. (B): Radiographic image 5 months after definitive restoration. (C): Postoperative intraoral view. (D): Clinical view at 4 months of follow-up.
3. Results
3.1. Gingival Parameters
The evaluation of the peri-implant gingival tissues is shown in Table 3. After computing the data from mesial, central and distal points in probing depth, it was observed that the 95% confidence interval of the change after treatment ranged from −1.2–1.0 mm among teeth and −0.7–9.3 mm among treated implants. In a similar way, the average change in gingival recession was −0.9–1.2 mm (CI 95%) for teeth and 0.3–2.7 mm for the implant. This finding revealed that change in the treated implant was significantly greater than among teeth. Regarding change in mucosal thickness, it was observed that since no change occurred among teeth, both keratinized mucosal width and thickness changed from 2 mm to 2.3 mm, respectively, after treatment.
Table 3.
Clinical gingival measurements after both surgical techniques (mm).
3.2. Esthetic Parameters
Finally, in the final esthetic evaluation, a favorable improvement of 3 points out of 10 was observed in the pink score (PES); specifically, the curvature of the facial mucosa, the vertical level of the facial mucosa, and soft tissue color and texture were improved (Table 2). With respect to the white score, the change was greater than 4 points out of 10 (WES), with a change in all parameters except color, which continued to have a score of 1, meaning that it continued to have a slight discrepancy.
4. Discussion
The purpose of the study was to illustrate two surgical techniques by evaluating the clinical efficacy in terms of peri-implant mucosal gains in patients with unitary PSTD in the esthetic zone.
PSTDs are an increasingly common finding due to the continuing demand for dental implants in the esthetic zone. For anatomical reasons, it is common to place implants with excessive vestibular angulation, with thin or even absent vestibular cortex, covered with a thin gingival phenotype and with a reduced amount of keratinized mucosa. This, taken together, would pose a risk of developing PSTD with consequent exposure of the implant surface [,,].
Recent systematic reviews and consensus publications report that, on tooth, there are predictable techniques for coverage of the denuded root surface, with or without using CTG [,,].
However, for implants (PSTD), some techniques to achieve coverage of the exposed implant surface have been described, but are limited to animal testing, clinical cases, or case series focused on shallow recessions [,,]. Future work should address studies on the predictability of these techniques in a healthier research design. To date, among the most studied treatment options for the treatment of PSTD, the coronal advancement flap plus a CTG (in mild defects <2 mm) stands out []. A disadvantage of this technique is the use of vertical releasing incisions that significantly compromise the vascularization of the tissues, in addition to the esthetic risk due to the possible appearance of scars and the coronal displacement of the mucogingival line [,,]. To avoid these side effects, from the 1980s to the present time, in gingival recession defects and periodontal reconstructive surgeries, different flap designs have been developed that avoid or minimize the number of vertical or horizontal releasing incisions on the vestibular side, with or without the use of CTG, in order to maximize tissue preservation [,,,,,,,,].
However, for the treatment of PSTD in unfavorable anatomical conditions (thin phenotype, dental implant malposition), there are no therapeutic protocols with sufficient scientific evidence to ensure complete coverage of peri-implant soft tissue dehiscence and comprehensive reconstruction of the papilla.
The surgical approach of the present clinical case of PSTD is inspired by the work of Bethaz et al. [] who, in 2014, published a series of 15 cases of gingival recessions in the mandibular anterior area with a follow-up of up to two years after a bilaminar technique of only one horizontal incision in the bottom of the vestibule. The results showed an average root coverage of 90.6% ± 16.8%.
For the first surgical approach, the apical approach technique (horizontal incision in the bottom of the vestibule) was chosen because of its respect for the papillae and the ability to coronally reposition the vestibular flap. In addition, vertical releasing incisions are avoided with this technique, which reduces the appearance of unsightly visible scars and, as a consequence, increases the vascular supply to the flap. At 6 months after maturation, a gain of keratinized mucosa both in thickness and width around the implant 1.2 was achieved. For the second surgical approach, the palatal sliding flap published by Tinti and Parma-Benfenati [] in 1995 and later modified by Zurhr et al. [] was chosen. This approach proposed advancing the palatal tissue coronally by means of partial thickness preparations at different depths. Among its advantages are the reduction of the tension of the vestibular flap, the excessive reduction of the vestibule, which results in a minimal alteration of the mucogingival junction, the preservation of the papillary complex and, above all, the avoidance of vertical releasing incisions in the facial mucosa [,].
The biphasic approach (first, the apical approach technique plus CTG; second, the sliding palatal flap plus CTG) presented in this work is justified by the unfavorable situation of the three-dimensional position of the implant and the scarce/null peri-implant mucosa. Therefore, each technique had a different objective. The purpose of the first surgical technique was to augment the peri-implant mucosa and the purpose of the second approach was to coronally reposition the mucosa achieved. For the same reasoning, it was not possible to achieve a “Restitutio ad integrum”, since we still had a slight discrepancy with respect to the natural tooth; however, a change of 30% and 40% at the esthetic level (PES/WES) was clinically perceptible by the patient, who showed his satisfaction.
It would be desirable to perform controlled clinical studies on PSTD where we could see the mucosal gains achieved in both width and thickness in patients with non-ideal clinical situations such as interproximal attachment loss and peri-implant bone loss, as we know that these types of pathologies are seen daily in our dental clinics. It would also be interesting to assess how these mucosal changes influence peri-implant health.
5. Conclusions
This case report demonstrates an approach combining soft and prosthetic tissue augmentation surgeries for the treatment of PSTD. The combination of both surgical techniques without performing releasing incisions in the esthetic area, the use of CTG, and the manipulation of a crown on a provisional implant are key elements to improve and stabilize the width and thickness of the peri-implant keratinized mucosa.
Evaluation of the esthetic outcome of the treated implant using the PES/WES index shows an esthetic improvement of both soft and hard tissue.
Author Contributions
Conceptualization, N.Q.-L. and J.M.-Á.; methodology, N.Q.-L.; validation N.Q.-L. and J.M.; writing—original draft preparation, N.Q.-L., P.G.M., J.M.-Á.; writing—review and editing, C.G.-F., Y.G. and J.M. All authors have read and agreed to the published version of the manuscript.
Funding
This research received no external funding.
Institutional Review Board Statement
The study was conducted according to the guidelines of the Declaration of Helsinki, and approved by the Ethics Committee of Salamanca University (protocol code 483 in 22 June 2020).
Informed Consent Statement
Written informed consent has been obtained from the patient to publish this paper.
Data Availability Statement
The datasets used and/or analysed during the current study are available from the corresponding author on reasonable request.
Conflicts of Interest
The authors declare no conflict of interest.
Abbreviations
| PSTD | peri-implant soft tissue dehiscence/deficiency |
| CTG | connective tissue graft |
| CAF | coronally advanced flap |
| KMW | keratinized mucosa width |
| MT | mucosal thickness |
| PMMA | polymethylmethacrylate |
| WES | white esthetic score |
| PES | pink esthetic score |
| PD | probing depth |
| REC | recession depth |
| GI | gingival index |
| PI | plaque index |
References
- Brånemark, R.; Brånemark, P.I.; Rydevik, B.; Myers, R.R. Osseointegration in skeletal reconstruction and rehabilitation: A review. J. Rehabil. Res. Dev. 2001, 38, 175–181. [Google Scholar]
- Diz, P.; Scully, C.; Sanz, M. Dental implants in the medically compromised patient. J. Dent. 2013, 41, 195–206. [Google Scholar] [CrossRef]
- Pellegrini, G.; Francetti, L.; Barbaro, B.; Del Fabbro, M. Novel surfaces and osseointegration in implant dentistry. J. Investig. Clin. Dent. 2018, 9, e12349. [Google Scholar] [CrossRef]
- Goiato, M.C.; dos Santos, D.M.; Santiago, J.F., Jr.; Moreno, A.; Pellizzer, E.P. Longevity of dental implants in type IV bone: A systematic review. Int. J. Oral Maxillofac. Surg. 2014, 43, 1108–1116. [Google Scholar] [CrossRef]
- Pjetursson, B.E.; Thoma, D.; Jung, R.; Zwahlen, M.; Zembic, A. A systematic review of the survival and complication rates of implant-supported fixed dental prostheses (FDPs) after a mean observation period of at least 5 years. Clin. Oral Implants Res. 2012, 23 (Suppl. 6), 22–38. [Google Scholar] [CrossRef] [PubMed]
- Lee, C.T.; Huang, Y.W.; Zhu, L.; Weltman, R. Prevalences of peri-implantitis and peri-implant mucositis: Systematic review and meta-analysis. J. Dent. 2017, 62, 1–12. [Google Scholar] [CrossRef] [PubMed]
- Thoma, D.S.; Buranawat, B.; Hämmerle, C.H.; Held, U.; Jung, R.E. Efficacy of soft tissue augmentation around dental implants and in partially edentulous areas: A systematic review. J. Clin. Periodontol. 2014, 41 (Suppl. 15), S77–S91. [Google Scholar] [CrossRef]
- Changi, K.K.; Finkelstein, J.; Papapanou, P.N. Peri-implantitis prevalence, incidence rate, and risk factors: A study of electronic health records at a U.S. dental school. Clin. Oral Implants Res. 2019, 30, 306–314. [Google Scholar] [CrossRef]
- Krisam, J.; Ott, L.; Schmitz, S.; Klotz, A.L.; Seyidaliyeva, A.; Rammelsberg, P.; Zenthöfer, A. Factors affecting the early failure of implants placed in a dental practice with a specialization in implantology—A retrospective study. BMC Oral Health 2019, 19, 208. [Google Scholar] [CrossRef] [PubMed]
- Renouard, F.; Amalberti, R.; Renouard, E. Are “Human Factors” the Primary Cause of Complications in the Field of Implant Dentistry? Int. J. Oral Maxillofac. Implants 2017, 32, e55–e61. [Google Scholar] [CrossRef]
- Cattoni, F.; Teté, G.; Calloni, A.M.; Manazza, F.; Gastaldi, G.; Capparè, P. Milled versus moulded mock-ups based on the superimposition of 3D meshes from digital oral impressions: A comparative in vitro study in the aesthetic area. BMC Oral Health 2019, 19, 230. [Google Scholar] [CrossRef] [PubMed]
- Crespi, R.; Capparé, P.; Romanos, G.E.; Mariani, E.; Benasciutti, E.; Gherlone, E. Corticocancellous porcine bone in the healing of human extraction sockets: Combining histomorphometry with osteoblast gene expression profiles in vivo. Int. J. Oral Maxillofac. Implants 2011, 26, 866–872. [Google Scholar] [PubMed]
- Crespi, R.; Capparè, P.; Gherlone, E. Comparison of magnesium-enriched hydroxyapatite and porcine bone in human extraction socket healing: A histologic and histomorphometric evaluation. Int. J. Oral Maxillofac. Implants 2011, 26, 1057–1062. [Google Scholar]
- Berglundh, T.; Lindhe, J.; Ericsson, I.; Marinello, C.P.; Liljenberg, B.; Thomsen, P. The soft tissue barrier at implants and teeth. Clin. Oral Implants Res. 1991, 2, 81–90. [Google Scholar] [CrossRef]
- Atsuta, I.; Ayukawa, Y.; Kondo, R.; Oshiro, W.; Matsuura, Y.; Furuhashi, A.; Tsukiyama, Y.; Koyano, K. Soft tissue sealing around dental implants based on histological interpretation. J. Prosthodont. Res. 2016, 60, 3–11. [Google Scholar] [CrossRef]
- Tan, W.L.; Wong, T.L.; Wong, M.C.; Lang, N.P. A systematic review of post-extractional alveolar hard and soft tissue dimensional changes in humans. Clin. Oral Implants Res. 2012, 23 (Suppl. 5), 1–21. [Google Scholar] [CrossRef]
- Mazzotti, C.; Stefanini, M.; Felice, P.; Bentivogli, V.; Mounssif, I.; Zucchelli, G. Soft-tissue dehiscence coverage at peri-implant sites. Periodontology 2000 2018, 77, 256–272. [Google Scholar] [CrossRef] [PubMed]
- Giannobile, W.V.; Jung, R.E.; Schwarz, F.; Groups of the 2nd Osteology Foundation Consensus Meeting. Evidence-based knowledge on the aesthetics and maintenance of peri-implant soft tissues: Osteology Foundation Consensus Report Part 1-Effects of soft tissue augmentation procedures on the maintenance of peri-implant soft tissue health. Clin. Oral Implants Res. 2018, 29 (Suppl. 15), 7–10. [Google Scholar] [CrossRef]
- Monje, A.; Blasi, G. Significance of keratinized mucosa/gingiva on peri-implant and adjacent periodontal conditions in erratic maintenance compliers. J. Periodontol. 2019, 90, 445–453. [Google Scholar] [CrossRef] [PubMed]
- Ioannidis, A.; Cathomen, E.; Jung, R.E.; Fehmer, V.; Hüsler, J.; Thoma, D.S. Discoloration of the mucosa caused by different restorative materials—A spectrophotometric in vitro study. Clin. Oral Implants Res. 2017, 28, 1133–1138. [Google Scholar] [CrossRef]
- Nisapakultorn, K.; Suphanantachat, S.; Silkosessak, O.; Rattanamongkolgul, S. Factors affecting soft tissue level around anterior maxillary single-tooth implants. Clin. Oral Implants Res. 2010, 21, 662–670. [Google Scholar] [CrossRef] [PubMed]
- Berglundh, T.; Armitage, G.; Araujo, M.G.; Avila-Ortiz, G.; Blanco, J.; Camargo, P.M.; Chen, S.; Cochran, D.; Derks, J.; Figuero, E.; et al. Peri-implant diseases and conditions: Consensus report of workgroup 4 of the 2017 World Workshop on the Classification of Periodontal and Peri-Implant Diseases and Conditions. J. Clin. Periodontol. 2018, 45 (Suppl. 20), S286–S291. [Google Scholar] [CrossRef]
- Sanz-Martín, I.; Regidor, E.; Navarro, J.; Sanz-Sánchez, I.; Sanz, M.; Ortiz-Vigón, A. Factors associated with the presence of peri-implant buccal soft tissue dehiscences: A case-control study [published online ahead of print, 2020 Jan 24]. J. Periodontol. 2020. [Google Scholar] [CrossRef]
- Zucchelli, G.; Mazzotti, C.; Mounssif, I.; Mele, M.; Stefanini, M.; Montebugnoli, L. A novel surgical-prosthetic approach for soft tissue dehiscence coverage around single implant. Clin. Oral Implants Res. 2013, 24, 957–962. [Google Scholar] [CrossRef]
- Roccuzzo, M.; Dalmasso, P.; Pittoni, D.; Roccuzzo, A. Treatment of buccal soft tissue dehiscence around single implant: 5-year results from a prospective study. Clin. Oral Investig. 2019, 23, 1977–1983. [Google Scholar] [CrossRef] [PubMed]
- Zucchelli, G.; Tavelli, L.; Stefanini, M.; Barootchi, S.; Mazzotti, C.; Gori, G.; Wang, H.L. Classification of facial peri-implant soft tissue dehiscence/deficiencies at single implant sites in the esthetic zone. J. Periodontol. 2019, 90, 1116–1124. [Google Scholar] [CrossRef] [PubMed]
- Fürhauser, R.; Florescu, D.; Benesch, T.; Haas, R.; Mailath, G.; Watzek, G. Evaluation of soft tissue around single-tooth implant crowns: The pink esthetic score. Clin. Oral Implants Res. 2005, 16, 639–644. [Google Scholar] [CrossRef]
- Belser, U.C.; Grütter, L.; Vailati, F.; Bornstein, M.M.; Weber, H.P.; Buser, D. Outcome evaluation of early placed maxillary anterior single-tooth implants using objective esthetic criteria: A cross-sectional, retrospective study in 45 patients with a 2- to 4-year follow-up using pink and white esthetic scores. J. Periodontol. 2009, 80, 140–151. [Google Scholar] [CrossRef]
- Löe, H.; Silness, J. Periodontal Disease in pregnancy.I. Prevalence and severity. Acta Odontol. Scand. 1963, 21, 533–551. [Google Scholar] [CrossRef] [PubMed]
- Silness, J.; Löe, H. Periodontal disease in pregnancy. II. Correlation between oral hygiene and periodontal condition. Acta Odontol. Scand. 1964, 22, 121–135. [Google Scholar] [CrossRef]
- Bethaz, N.; Romano, F.; Ferrarotti, F.; Mariani, G.M.; Aimetti, M. A mucogingival technique for the treatment of multiple recession defects in the mandibular anterior region: A case series with a 2-year follow-up. Int. J. Periodontics Restor. Dent. 2014, 34, 345–352. [Google Scholar] [CrossRef] [PubMed][Green Version]
- Tinti, C.; Parma-Benfenati, S. Coronally positioned palatal sliding flap. Int. J. Periodontics Restor. Dent 1995, 15, 298–310. [Google Scholar]
- González-Martín, O.; Lee, E.; Weisgold, A.; Veltri, M.; Su, H. Contour Management of Implant Restorations for Optimal Emergence Profiles: Guidelines for Immediate and Delayed Provisional Restorations. Int. J. Periodontics Restor. Dent. 2020, 40, 61–70. [Google Scholar] [CrossRef] [PubMed]
- Hinds, K.F. Custom impression coping for an exact registration of the healed tissue in the esthetic implant restoration. Int. J. Periodontics Restor. Dent. 1997, 17, 584–591. [Google Scholar]
- Hämmerle, C.H.F.; Tarnow, D. The etiology of hard- and soft-tissue deficiencies at dental implants: A narrative review. J. Periodontol. 2018, 89 (Suppl. 1), S291–S303. [Google Scholar] [CrossRef]
- Wang, Q.; Tang, Z.; Han, J.; Meng, H. The width of keratinized mucosa around dental implants and its influencing factors. Clin. Implant Dent. Relat. Res. 2020, 22, 359–365. [Google Scholar] [CrossRef]
- Sanz, M.; Simion, M.; Working Group 3 of the European Workshop on Periodontology. Surgical techniques on periodontal plastic surgery and soft tissue regeneration: Consensus report of Group 3 of the 10th European Workshop on Periodontology. J. Clin. Periodontol. 2014, 41 (Suppl. 15), S92–S97. [Google Scholar] [CrossRef]
- Tatakis, D.N.; Chambrone, L.; Allen, E.P.; Langer, B.; McGuire, M.K.; Richardson, C.R.; Zabalegui, I.; Zadeh, H.H. Periodontal soft tissue root coverage procedures: A consensus report from the AAP Regeneration Workshop. J. Periodontol. 2015, 86 (Suppl. 2), S52–S55. [Google Scholar] [CrossRef] [PubMed]
- Chambrone, L.; Ortega MA, S.; Sukekava, F.; Rotundo, R.; Kalemaj, Z.; Buti, J.; Prato, G.P.P. Root coverage procedures for treating single and multiple recession-type defects: An updated Cochrane systematic review. J. Periodontol. 2019, 90, 1399–1422. [Google Scholar] [CrossRef] [PubMed]
- Roccuzzo, M.; Gaudioso, L.; Bunino, M.; Dalmasso, P. Surgical treatment of buccal soft tissue recessions around single implants: 1-year results from a prospective pilot study. Clin. Oral Implants Res. 2014, 25, 641–646. [Google Scholar] [CrossRef] [PubMed]
- Schwarz, F.; Mihatovic, I.; Shirakata, Y.; Becker, J.; Bosshardt, D.; Sculean, A. Treatment of soft tissue recessions at titanium implants using a resorbable collagen matrix: A pilot study. Clin. Oral Implants Res. 2014, 25, 110–115. [Google Scholar] [CrossRef] [PubMed]
- Froum, S.J.; Wang, W.C.; Hafez, T.; Suzuki, T.; Yu, Y.C.P.; Cho, S.C. Incision Design and Soft Tissue Management to Maintain or Establish an Interproximal Papilla Around Integrated Implants: A Case Series. Int. J. Periodontics Restor. Dent. 2018, 38, 61–69. [Google Scholar] [CrossRef] [PubMed]
- Sculean, A.; Chappuis, V.; Cosgarea, R. Coverage of mucosal recessions at dental implants. Periodontology 2000 2017, 73, 134–140. [Google Scholar] [CrossRef] [PubMed]
- Zuhr, O.; Rebele, S.F.; Cheung, S.L.; Hürzeler, M.B.; Research Group on Oral Soft Tissue Biology and Wound Healing. Surgery without papilla incision: Tunneling flap procedures in plastic periodontal and implant surgery. Periodontology 2000 2018, 77, 123–149. [Google Scholar] [CrossRef]
- Zucchelli, G.; Felice, P.; Mazzotti, C.; Marzadori, M.; Mounssif, I.; Monaco, C.; Stefanini, M. 5-year outcomes after coverage of soft tissue dehiscence around single implants: A prospective cohort study. Eur. J. Oral Implantol. 2018, 11, 215–224. [Google Scholar] [PubMed]
- Marggraf, E. A direct technique with a double lateral bridging flap for coverage of denuded root surface and gingiva extension. Clinical evaluation after 2 years. J. Clin. Periodontol. 1985, 12, 69–76. [Google Scholar] [CrossRef] [PubMed]
- Raetzke, P.B. Covering localized areas of root exposure employing the “envelope” technique. J. Periodontol. 1985, 56, 397–402. [Google Scholar] [CrossRef] [PubMed]
- Azzi, R.; Etienne, D.; Sauvan, J.L.; Miller, P.D. Root coverage and papilla reconstruction in Class IV recession: A case report. Int. J. Periodontics Restor. Dent. 1999, 19, 449–455. [Google Scholar]
- Sculean, A.; Allen, E.P. The Laterally Closed Tunnel for the Treatment of Deep Isolated Mandibular Recessions: Surgical Technique and a Report of 24 Cases. Int. J. Periodontics Restor. Dent. 2018, 38, 479–487. [Google Scholar] [CrossRef] [PubMed]
- Nemcovsky, C.E. Interproximal papilla augmentation procedure: A novel surgical approach and clinical evaluation of 10 consecutive procedures. Int. J. Periodontics Restor. Dent. 2001, 21, 553–559. [Google Scholar]
- Zadeh, H.H. Minimally invasive treatment of maxillary anterior gingival recession defects by vestibular incision subperiosteal tunnel access and platelet-derived growth factor BB. Int. J. Periodontics Restor. Dent. 2011, 31, 653–660. [Google Scholar]
- Aslan, S.; Buduneli, N.; Cortellini, P. Entire Papilla Preservation Technique: A Novel Surgical Approach for Regenerative Treatment of Deep and Wide Intrabony Defects. Int. J. Periodontics Restor. Dent. 2017, 37, 227–233. [Google Scholar] [CrossRef] [PubMed]
- Moreno Rodríguez, J.A.; Ortiz Ruiz, A.J.; Caffesse, R.G. Periodontal reconstructive surgery of deep intraosseous defects using an apical approach. Non-incised papillae surgical approach (NIPSA): A retrospective cohort study. J. Periodontol. 2019, 90, 454–464. [Google Scholar] [CrossRef] [PubMed]
- Maiorana, C.; Poli, P.P.; Beretta, M. Guided Bone Regeneration and Implant Placement in Association With a Coronally Positioned Palatal Sliding Flap: A 17-Year Follow-Up Case Report. J. Oral Implantol. 2018, 44, 371–376. [Google Scholar] [CrossRef] [PubMed]
Publisher’s Note: MDPI stays neutral with regard to jurisdictional claims in published maps and institutional affiliations. |
© 2021 by the authors. Licensee MDPI, Basel, Switzerland. This article is an open access article distributed under the terms and conditions of the Creative Commons Attribution (CC BY) license (https://creativecommons.org/licenses/by/4.0/).