Relationships between Muscle Architecture and Performance in Division I Male Italian Field Hockey Players
Abstract
1. Introduction
2. Materials and Methods
2.1. Subjects
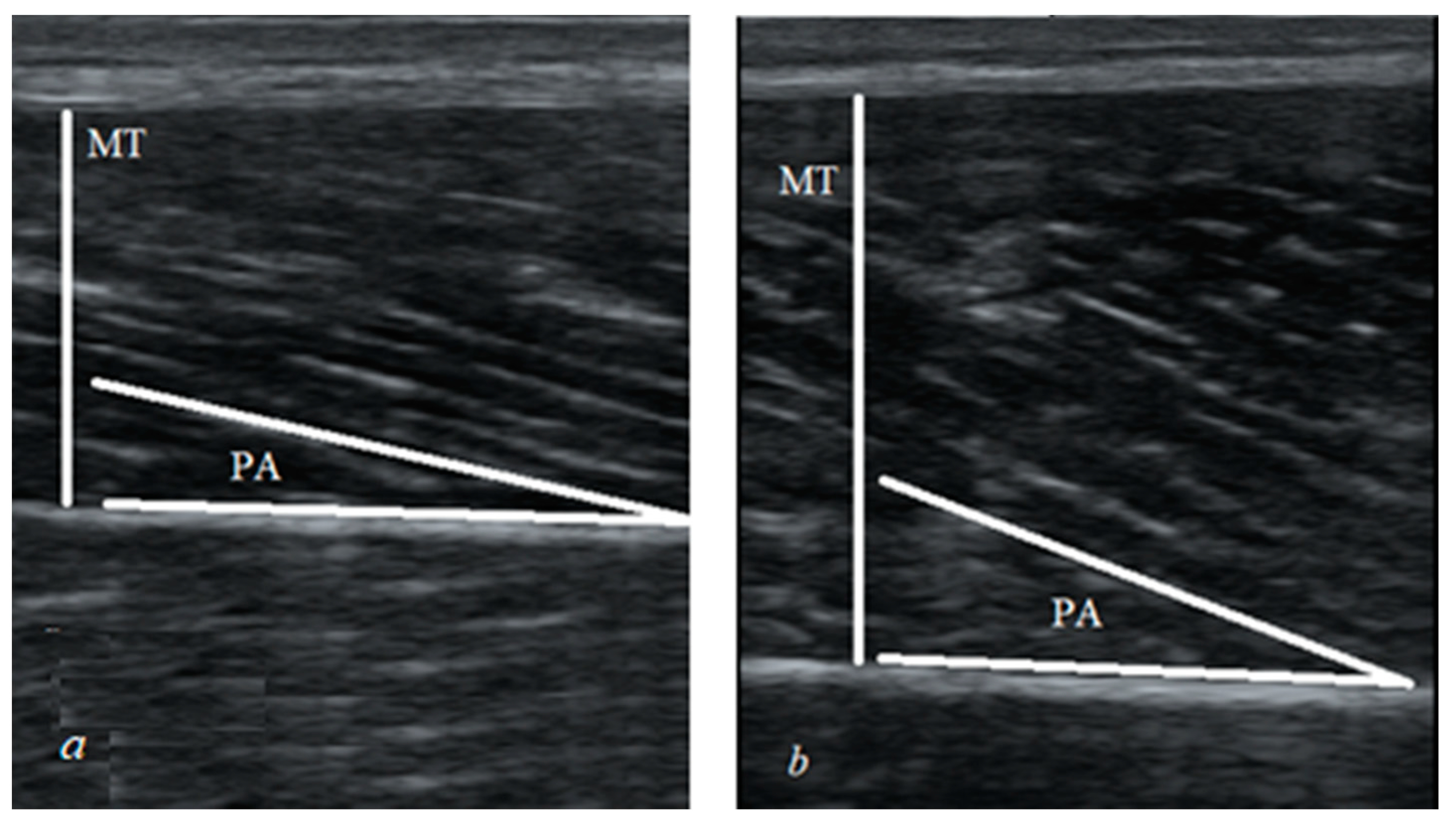
2.2. Measures
2.3. Design and Procedures
2.4. Statistical Analysis
3. Results
4. Discussion
5. Conclusions
Author Contributions
Funding
Institutional Review Board
Informed Consent Statement
Data Availability Statement
Conflicts of Interest
References
- Boyle, P.M.; Mahoney, C.A.; Wallace, W.F. The competitive demands of elite male field hockey. J. Sports Med. Phys. Fit. 1994, 34, 235–241. [Google Scholar]
- Reilly, T.; Borrie, A. Physiology applied to field hockey. Sports Med. 1992, 14, 10–26. [Google Scholar] [CrossRef] [PubMed]
- Mann, J.B.; Ivey, P.A.; Mayhew, J.L.; Schumacher, R.M.; Brechue, W.F. Relationship between agility tests and short sprints: Reliability and smallest worthwhile difference in National Collegiate Athletic Association Division-I football players. J. Strength Cond. Res. 2016, 30, 893–900. [Google Scholar] [CrossRef] [PubMed]
- Bartolomei, S.; Hoffman, J.R.; Stout, J.R.; Merni, F. Effect of Lower-Body Resistance Training on Upper-Body Strength Adaptation in Trained Men. J. Strength Cond. Res. 2018, 32, 13–18. [Google Scholar] [CrossRef]
- Blazevich, A.J.; Gill, N.D.; Zhou, S. Intra-and intermuscular variation in human quadriceps femoris architecture assessed in vivo. J. Anat. 2006, 209, 289–310. [Google Scholar] [CrossRef]
- Abe, T.; Fukashiro, S.; Harada, Y.; Kawamoto, K. Relationship between sprint performance and muscle fascicle length in female sprinters. J. Physiol. Anthr. Appl. Hum. Sci. 2001, 20, 141–147. [Google Scholar] [CrossRef]
- Mangine, G.T.; Fukuda, D.H.; Townsend, J.R.; Wells, A.J.; Gonzalez, A.M.; Jajtner, A.R.; Bohner, J.D.; LaMonica, M.; Hoffman, J.R.; Fragala, M.S.; et al. Sprinting performance on the Woodway Curve 3.0 TM is related to muscle architecture. Eur. J. Sport Sci. 2015, 15, 606–614. [Google Scholar] [CrossRef]
- Kumagai, K.; Abe, T.; Brechue, W.F.; Ryushi, T.; Takano, S.; Mizuno, M. Sprint performance is related to muscle fascicle length in male 100-m sprinters. J. Appl. Physiol. 2000, 88, 811–816. [Google Scholar] [CrossRef] [PubMed]
- Bartolomei, S.; Rovai, C.; Lanzoni, I.M.; di Michele, R. Relationships Between Muscle Architecture, Deadlift Performance, and Maximal Isometric Force Produced at the Midthigh and Midshin Pull in Resistance-Trained Individuals. J. Strength Cond. Res. 2019. [Google Scholar] [CrossRef]
- Bartolomei, S.; Grillone, G.; Di Michele, R.; Cortesi, M. A Comparison between Male and Female Athletes in Relative Strength and Power Performances. J. Funct. Morphol. Kinesiol. 2021, 6, 17. [Google Scholar] [CrossRef]
- Fukunaga, T.; Miyatani, M.; Tachi, M.; Kouzaki, M.; Kawakami, Y.; Kanehisa, H. Muscle volume is a major determinant of joint torque in humans. Acta Physiol. Scand. 2001, 172, 249–255. [Google Scholar] [CrossRef]
- Brughelli, M.; Cronin, J.; Nosaka, K. Muscle architecture and optimum angle of the knee flexors and extensors: A comparison between cyclists and Australian Rules football players. J. Strength Cond. Res. 2010, 24, 717–721. [Google Scholar] [CrossRef] [PubMed]
- Zaras, N.D.; Stasinaki, A.N.E.; Methenitis, S.K.; Krase, A.A.; Karampatsos, G.P.; Georgiadis, G.V.; Spengos, K.M.; Terzis, G.D. Rate of force development, muscle architecture, and performance in young competitive track and field throwers. J. Strength Cond. Res. 2016, 30, 81–92. [Google Scholar] [CrossRef]
- Nasirzade, A.; Ehsanbakhsh, A.; Ilbeygi, S.; Sobhkhiz, A.; Argavani, H.; Aliakbari, M. Relationship between sprint performance of front crawl swimming and muscle fascicle length in young swimmers. J. Sports Sci. Med. 2014, 13, 550. [Google Scholar] [PubMed]
- Nadzalan, A.M.; Mohamad, N.I.; Lee, J.L.F.; Chinnasee, C. Relationship between muscle architecture and badminton-specific physical abilities. Hum. Mov. 2018, 19, 44–50. [Google Scholar] [CrossRef]
- Evans, E.M.; Rowe, D.A.; Misic, M.M.; Prior, B.M.; Arngrímsson, S.A. Skinfold prediction equation for athletes developed using a four-component model. Med. Sci. Sports Exerc. 2005, 37, 2006–2011. [Google Scholar] [CrossRef] [PubMed]
- Bemben, M.G. Use of diagnostic ultrasound for assessing muscle size. J. Strength Cond. Res. 2018, 16, 103–108. [Google Scholar]
- Bosco, C.; Luhtanen, P.; Komi, P.V. A simple method for measurement of mechanical power in jumping. Eur. J. Appl. Physiol. Occup. Physiol. 1983, 50, 273–282. [Google Scholar] [CrossRef]
- Haff, G.G.; Ruben, R.P.; Lider, J.; Twine, C.; Cormie, P. A comparison of methods for determining the rate of force development during isometric midthigh clean pulls. J. Strength Cond. Res. 2015, 29, 386–395. [Google Scholar] [CrossRef]
- Bartolomei, S.; Di Michele, R.; Merni, F. Effects of self-selected music on maximal bench press strength and strength endurance. Percept. Mot. Ski. 2015, 120, 714–721. [Google Scholar] [CrossRef]
- Hopkins, W.; Marshall, S.; Batterham, A.; Hanin, J. Progressive statistics for studies in sports medicine and exercise science. Med. Sci. Sports Exerc. 2009, 41, 3. [Google Scholar] [CrossRef] [PubMed]
- Bodine, S.C.; Roy, R.R.; Meadows, D.A.; Zernicke, R.F.; Sacks, R.D.; Fournier, M.; Edgerton, V.R. Architectural, histochemical, and contractile characteristics of a unique biarticular muscle: The cat semitendinosus. J. Neurophysiol. 1982, 48, 192–201. [Google Scholar] [CrossRef] [PubMed]
- Lee, S.S.; Piazza, S.J. Built for speed: Musculoskeletal structure and sprinting ability. J. Exp. Biol. 2009, 212, 3700–3707. [Google Scholar] [CrossRef] [PubMed]
- Blazevich, A.J.; Giorgi, A. Effect of testosterone administration and weight training on muscle architecture. Med. Sci. Sports Exerc. 2001, 33, 1688–1693. [Google Scholar] [CrossRef] [PubMed]
- Blazevich, A.J.; Gill, N.D.; Bronks, R.; Newton, R.U. Training-specific muscle architecture adaptation after 5-wk training in athletes. Med. Sci. Sports Exerc. 2003, 35, 2013–2022. [Google Scholar] [CrossRef] [PubMed]
- Alegre, L.M.; Jiménez, F.; Gonzalo-Orden, J.M.; Martín-Acero, R.; Aguado, X. Effects of dynamic resistance training on fascicle length and isometric strength. J. Sport Sci. 2006, 24, 501–508. [Google Scholar] [CrossRef]
- Kawakami, Y.; Abe, T.; Kuno, S.Y.; Fukunaga, T. Training-induced changes in muscle architecture and specific tension. Eur. J. Appl. Physiol. Occup. Physiol. 1995, 72, 37–43. [Google Scholar] [CrossRef]
- Hoffman, J. Norms for Fitness, Performance, and Health; Human Kinetics: Champaign, IL, USA,, 2006; pp. 119–121. [Google Scholar]
- Yamashita, D.; Asakura, M.; Ito, Y.; Yamada, S.; Yamada, Y. Physical characteristics and performance of Japanese top-level American football players. J. Strength Cond. Res. 2017, 31, 2455. [Google Scholar] [CrossRef]
- Bartolomei, S.; Nigro, F.; Gubellini, L.; Ciacci, S.; Merni, F.; Treno, F.; Cortesi, M.; Semprini, G. A physiological and sport-specific comparison between division I and division II Italian male Field Hockey players. J. Strength Cond. Res. 2019, 33, 3123–3128. [Google Scholar] [CrossRef]
- Kano, Y.; Takahashi, H.; Morioka, Y.; Akima, H.; Miyashita, K.; Kuno, S.; Katsuta, S. Relationship between the morphological features of thigh muscles and sprinting performance. Med. Sci. Sports Exerc. 1997, 29, 220. [Google Scholar] [CrossRef]
- Bandyopadhyay, A.; Datta, G.; Dey, S.K. Body composition characteristics and physiological performance tests of junior elite field hockey players according to different playing positions. J. Phys. Educ. Sport 2019, 19, 1460–1467. [Google Scholar]
- Popovic, S.; Bjelica, D.; Jaksic, D.; Hadzic, R. Comparative Study of Anthropometric Measurement and Body Composition between Elite Soccer and Volleyball Players. Int. J. Morphol. 2014, 32, 267–274. [Google Scholar] [CrossRef]
- Sharma, H.B.; Kailashiya, J. The anthropometric correlates for the physiological demand of strength and flexibility: A study in young indian field hockey players. J. Clin. Diagn Res. 2017, 11, CC01. [Google Scholar] [CrossRef] [PubMed]






| Performance Parameters | M ± SD (Min–Max) |
|---|---|
| Body Mass (kg) | 78.5 ± 9.0 (58.1–89.5) |
| Body Height (cm) | 179.6 ± 7.8 (160.1–185.3) |
| Body Fat (%) | 12.4 ± 3.1 (8.4–19.0) |
| ISQ (N) | 1233.4 ± 242.0 (921.5–1828.7) |
| pRFD20 (N/sec−1) | 6915.6 ± 1152.2 (5175.0–9046.1) |
| CMJ (cm) | 41.9 ± 4.2 (34.0–50.2) |
| PRO (s) | 4.7 ± 0.2 (4.4–5.1) |
| SPRINT (s) | 4.3 ± 0.2 (4.0–4.6) |
| Muscle Architecture | M (SD) |
|---|---|
| MT (mm) | 17.2 ± 3.5 |
| PA (°) | 10.6 ± 1.9 |
| FL (mm) | 94.7 ± 16.5 |
| ISQ | CMJ | PRO | SPRINT | MT | PA | FL | |
|---|---|---|---|---|---|---|---|
| Body Fat | 0.13 | 0.40 | 0.58 | 0.61 | 0.21 | 0.37 | −0.11 |
| p = 0.602 | p = 0.119 | p = 0.012 | p = 0.009 | p = 0.408 | p = 0.126 | p = 0.664 | |
| ISQ | 0.46; | −0.14; | −0.57; | 0.38; | 0.09; | 0.30; | |
| p = 0.071 | p = 0.574 | p = 0.013 | p = 0.118 | p = 0.732 | p = 0.217 | ||
| CMJ | −0.46; | −0.33; | −0.18; | −0.20; | −0.09; | ||
| p = 0.108 | p = 0.208 | p = 0.496 | p = 0.447 | p = 0.739 | |||
| PRO | 0.43; | 0.51; | 0.62; | 0.06; | |||
| p = 0.073 | p = 0.031 | p = 0.006 | p = 0.801 | ||||
| SPRINT | 0.53; | 0.50; | −0.50; | ||||
| p = 0.845 | p = 0.046 | p = 0.034 | |||||
| MT | 0.53; | 0.57; | |||||
| p = 0.022 | p = 0.014 | ||||||
| PA | −0.37; | ||||||
| p = 0.127 |
Publisher’s Note: MDPI stays neutral with regard to jurisdictional claims in published maps and institutional affiliations. |
© 2021 by the authors. Licensee MDPI, Basel, Switzerland. This article is an open access article distributed under the terms and conditions of the Creative Commons Attribution (CC BY) license (https://creativecommons.org/licenses/by/4.0/).
Share and Cite
Bartolomei, S.; Nigro, F.; Ciacci, S.; Malagoli Lanzoni, I.; Treno, F.; Cortesi, M. Relationships between Muscle Architecture and Performance in Division I Male Italian Field Hockey Players. Appl. Sci. 2021, 11, 4394. https://doi.org/10.3390/app11104394
Bartolomei S, Nigro F, Ciacci S, Malagoli Lanzoni I, Treno F, Cortesi M. Relationships between Muscle Architecture and Performance in Division I Male Italian Field Hockey Players. Applied Sciences. 2021; 11(10):4394. https://doi.org/10.3390/app11104394
Chicago/Turabian StyleBartolomei, Sandro, Federico Nigro, Simone Ciacci, Ivan Malagoli Lanzoni, Filippo Treno, and Matteo Cortesi. 2021. "Relationships between Muscle Architecture and Performance in Division I Male Italian Field Hockey Players" Applied Sciences 11, no. 10: 4394. https://doi.org/10.3390/app11104394
APA StyleBartolomei, S., Nigro, F., Ciacci, S., Malagoli Lanzoni, I., Treno, F., & Cortesi, M. (2021). Relationships between Muscle Architecture and Performance in Division I Male Italian Field Hockey Players. Applied Sciences, 11(10), 4394. https://doi.org/10.3390/app11104394

